MONTEGGIA
FRACTURE
DR. YASH N THAKKAR
Junior resident
Dept. of Orthopedics
Seth GSMC and KEM hospital
WHAT IS MONTEGGIA
FRACTURE?
• Fracture of ulna associated
with proximal radioulnar
joint and radio capitellar
joint dislocation.
• MC age: 4-10 YEARS
• Giovanni Batista Monteggia
in 1814
BADO CLASSIFICATION
BADO CLASSIFICATION
TYPE RADIUS ULNA MECHANISM OF
INJURY
1. Anterior Ulnar diaphyseal fracture with
apex anterior
M/c in children, might be
associated with soft tissue
interposition
Rotational position of
forearm seems to affect
the fracture
2.
Posterior/posterolateral Ulnar diaphyseal/metaphyseal
with apex posterior
M/c in adult
Rotational position of
forearm does not seems
to affect the fracture
pattern.
TYPE RADIUS ULNA MECHANISM OF INJURY
3.
Lateral Fracture of proximal ulna with
apex lateral or in varus but does
not consider olecranon fracture
2nd m/c in children, m/c a/w
soft tissue interposition
between radio capitellar joint
Varus stress at the level
of elbow when forearm
is planted on a hard
surface
TYPE RADIUS ULNA MECHANISM OF INJURY
4.
Anterior Radius + ulna fracture Similar to type 1
TYPE RADIUS ULNA MECHANISM OF INJURY
• DORMANS AND RANG:
• Extended BADO classification by adding a type 5
• Intermittent and habitual dislocation of radio capitellar joint and
proximal radioulnar joint.
Letts classification
• Classified monteggia fracture in children based on the direction of
radial head dislocation and ulnar fracture
• BADO type 1 is subdivided in three sub types
• TYPE A – anterior bowing of ulna (Plastic deformation) and ant.
Dislocation of radial head
• TYPE B – Greenstick fracture of ulna
• TYPE C – Complete fracture of ulna
• TYPE D – same like BADO type 2
• TYPE E – same like BADO type 3
MECHANISM OF
INJURY
TYPE 1
A. Direct trauma: direct blow on
posterior aspect of forearm - ulnar fracture
and anterior dislocation of radial head.
B. Hyperextension theory: m/c:
FOOSH leading to hyper-extension of
elbow - pull of biceps leading to radial head
dislocation
HYPERPRONATION
THEORY:
Sudden hyper pronation causes
Rotation of radius over ulna
Anterior directed force on radial head leading
to anterior dislocation of radial head or
fracture of proximal third of ulna.
TYPE 2
60 degree of elbow flexion with applied
longitudinal traction resulting in posterior
elbow dislocation.
• Also in patients with weaker ulna than its
surrounding ligaments, bone gives away
earlier than the ligament hence the fracture
occurs.
TYPE 3
• Varus stress at the level of elbow in
combination with outstretched hand planted
firmly against a fixed surface.
• Often produces a green stick fracture with
tension failure radially and compression
medially.
• Lateral dislocation of radial head a/w rupture
of annular ligament
MONTEGGIA EQUIVALENTS
ASSOCIATED INJURIES WITH MONTEGGIA:
• Distal radial and ulnar fractures
• Galeazzi fractures
• Radial head and neck fractures
• Distal humerus lateral condyle
FACTORS A/W POORER OUTCOME:
• Intra-articular injury
• Coronoid fracture
• Comminuted ulna fracture
• Comminuted radial head fracture
CLINICAL FINDINGS
BADO TYPE 1
Skin tenting and ecchymosis on anterior
aspect of skin.
Fullness on anterior aspect of elbow.
Valgus positioning of elbow
BADO TYPE 2
Swelling in posterolateral aspect of
radial head.
Posterior tenting of skin.
Radial nerve and Posterior interosseous
nerve injury is common
BADO TYPE 3
Lateral swelling
Varus deformity
Loss of rom (mainly supination)
BADO TYPE 4
Similar to type 1 but more severe
injury
Risk of compartment syndrome
Increased risk of neurovascular
injury
RADIOLOGY
• Xray elbow ap and lateral
• Xray full length forearm with
wrist ap and lateral (ipsilateral)
• Xray contralateral side Elbow ap
and lateral
LIGAMENTS
1.Annular ligament (orbicular
ligament)
• Prime stabiliser of PRUJ
• Get tightens in supination.
• Encircles radial neck from its origin and
its insertion on proximal ulna.
• Confluent with the remainder of LCL and
provides stability to radio capitellar joint
and PRUJ also resists varus stress.
MUSCULATURE
• Biceps brachii
• Deforming force in type 1 lesion, hence elbow is to be kept flexed in type 1 lesion to
prevent recurrent anterior dislocation of radial head
• Anconeus
• Dynamic stabiliser of elbow joint and provides a valgus moment at the joint during
pronation and extension
• Surgical exposures of proximal radioulnar joint and radio capitellar joint is performed
through anconeus and ecu interval
NERVES
Radial nerve
• Passes through interval between biceps and brachialis
• Close proximity to radial head makes it susceptible to injury in monteggia
fractures (specifically in type 2)
Posterior interosseous nerve
Associated with injury in type 1 and type 3 monteggia fracture
Leads to partial or complete loss of finger extension, thumb abduction and sensory
loss over dorsum of hand of lateral three and half fingers
Ulnar nerve
• Associated with injury in type 2 monteggia because of stretched associated with
varus deformity and in chronic monteggia where it is associated with ulnar
lengthening
TREATMENT
• Goals of treatment:
• Restoration of radio capitellar joint congruency
• Maintain ulnar length and fracture stability
• Anatomical correction of ulnar deformity
Non operative treatment
Reserved for Paediatric
population
• Reduction is maintained in
flexion by above elbow cast
for 6 to 8 weeks duration
• Degree of flexion depends
upon the radial head
dislocation
TYPE 1
• Close reduction manoeuvre
TYPE 2
• Closed reduction via longitudinal
traction and an anteriorly directed force in
60 degree flexion.
• Slab applied in 60 degree flexion or
complete extension.
• Osteonecrosis and non union are
complications
TYPE 3
Closed reduction: longitudinal
traction along with valgus
stress to reduce radial head.
TYPE 4
• Aim is to do closed reduction
and convert type 4 lesion into
type 1 by fixing radial shaft
fractures.
OPERATIVE treatment :
Indication for operative intervention
• Failure of ulnar reduction
Can be reduced but difficult to maintain because of
obliquity of fractures, hence ORIF is necessary
• Failure of radial head reduction
This is due to interposed soft tissue (radial
nerve/annular ligament) within the radio capitellar
joint.
COMPLICATIONS:
NEGLECTED MONTEGGIA FRACTURE
NERVE INJRIES
PERIARTICULAR OSSIFICATION
COMPARTMENT SYNDROME
RADIAL HEAD INSTABILITY
NON UNION – MOST OFTENLY BADO TYPE 2
Neglected Monteggia fracture
• Uncommon
• Frequently missed in children
• Chronic neglected monteggia > 1month
Can lead to – Limited ROM
Radial head deformation
Radioulnar synostosis
Malunion
shortening of Ulna
Neglected Monteggia Lesion
• Criteria for surgical Repair
(1). Normal concave radial head articular and convex capitulum
(2). Progressive deformity
(3). Normal shape of radius and ulna
(Deformity of either correctable by osteotomy)
Best when corrected within 6 months of injury
Better outcome up to 10 years of age
• Surgical procedure
Open reduction
Ulnar osteotomy alone or in combination with ligament
reconstruction
Annular ligament repair or reconstruction
Radial osteotomy
Radial head excision
Ulnar osteotomy
• Aim – to restore radio-ulnar relation and interosseous membrane
• Mc location is at level of Proximal Ulna
• Posterior bending overcorrection osteotomy – ulnar lengthening
• Bone grafting
• Fix with either plate and screws or
• Using gradual lengthening technique temporary stabilization with
external fixation followed by gradual lengthening
• Some patient might need ALR if unstable.(check for stability intra-op)
They did z shaped sagittal osteotomy, distracted, angulated and fixed
with one medio-lateral screw
Post op immobilised in AE slab for 6 weeks followed by gradual
mobilization
Rajasekaran S, Venkatadass K. "Sliding angulation osteotomy": preliminary report of a novel technique of treatment for chronic radial head
dislocation following missed Monteggia injuries. Int Orthop. 2014 Dec;38(12):2519-24. doi: 10.1007/s00264-014-2514-8. Epub 2014 Sep 11.
PMID: 25209346.
ANNULAR LIGAMENT RECONSTRUCTION:
• Intra op test for radial head stability should be checked
• Approaches for ALR
• Kocher approach
• Boyds approach
APPROACHES:
Kocher approach:
• Skin incision over the lateral
epicondyle and continue distally and
obliquely directly over the lateral
epicondyle up to proximal ulna
• Inter nervous plane: b/w anconeus and
ECU
• Forearm in pronation in order to
protect PIN
BOYD APPROACH:
• Incision: extends from lateral border of triceps to
lateral condyle and extending along the radial side
of proximal ulna.
• This incision is carried under the anconeus and ecu
in an extra periosteal manner elevating the fibres
of supinator from ulna.
• Advantages:
• Approach proximal fourth of radius
• Access radio capitellar joint
• Fixation of ulna
ANNULAR LIGAMENT RECONSTRUCTION:
Bell tawse:
• Used the central portion of triceps tendon passed through a drill hole and around he radal neck to stabilise the
reduction and immobilised the elbow in long arm cast in extension
• BUCKNILLAND LLYOD ROBERTS:
Modified bell tawse approach where they used the lateral portion of triceps tendon with a trans
capitellar pin for stability.
Elbow was immobilised in flexion
• THOMPSON AND LIPSCOMB:
Utilised fasica lata for the same approach.
Radial head excision
Radius osteotomies Poor outcomes
Treatment of choice
• ORIF of ulna fracture with 3.5 mm DCP or Intramedullary nailing (less
favoured) in paediatric patients
• Plate on tension side of ulna
• Close reduction of radial head once ulnar length is achieved
• Failure of close reduction of radial head – open reduction of radial head
and pinning
• Posterior elbow splint or AE slab Post op f/b physiotherapy
Monteggia fracture in adults
TAKE HOME MESSAGE
TAKE HOME MESSAGE
• HIGH INDEX OF SUSPICION
• ALWAYS GET XRAY OF IPSILATERAL WRIST AND CONTRALATERAL
ELBOW
• CONSERVATIVELY MANAGED PATIENT TO BE FOLLOWED UP EVERY
WEEKLY FOR SEQUENTIAL CHECK XRAYS
• CHECK FOR RADIAL NERVE AND POST INTEROSSEOUS NERVE PALSY
• LOOK FOR SIGNS OF COMPARTMENT SYNDROME
• FAILIURE TO MAKE DIAGNOSIS CAN LEAD TO CHRONIC MONTEGGIA
LESION
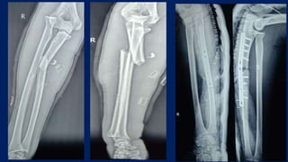
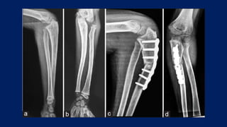
CASE DISCUSSION
• 7 year old child
July 2021 Xray
• Fresh xray
Thank you

Monteggia fracture dislocation.pptx

  • 1.
    MONTEGGIA FRACTURE DR. YASH NTHAKKAR Junior resident Dept. of Orthopedics Seth GSMC and KEM hospital
  • 2.
    WHAT IS MONTEGGIA FRACTURE? •Fracture of ulna associated with proximal radioulnar joint and radio capitellar joint dislocation. • MC age: 4-10 YEARS • Giovanni Batista Monteggia in 1814
  • 3.
  • 4.
    BADO CLASSIFICATION TYPE RADIUSULNA MECHANISM OF INJURY 1. Anterior Ulnar diaphyseal fracture with apex anterior M/c in children, might be associated with soft tissue interposition Rotational position of forearm seems to affect the fracture
  • 5.
    2. Posterior/posterolateral Ulnar diaphyseal/metaphyseal withapex posterior M/c in adult Rotational position of forearm does not seems to affect the fracture pattern. TYPE RADIUS ULNA MECHANISM OF INJURY
  • 6.
    3. Lateral Fracture ofproximal ulna with apex lateral or in varus but does not consider olecranon fracture 2nd m/c in children, m/c a/w soft tissue interposition between radio capitellar joint Varus stress at the level of elbow when forearm is planted on a hard surface TYPE RADIUS ULNA MECHANISM OF INJURY
  • 7.
    4. Anterior Radius +ulna fracture Similar to type 1 TYPE RADIUS ULNA MECHANISM OF INJURY
  • 8.
    • DORMANS ANDRANG: • Extended BADO classification by adding a type 5 • Intermittent and habitual dislocation of radio capitellar joint and proximal radioulnar joint.
  • 9.
    Letts classification • Classifiedmonteggia fracture in children based on the direction of radial head dislocation and ulnar fracture • BADO type 1 is subdivided in three sub types • TYPE A – anterior bowing of ulna (Plastic deformation) and ant. Dislocation of radial head • TYPE B – Greenstick fracture of ulna • TYPE C – Complete fracture of ulna • TYPE D – same like BADO type 2 • TYPE E – same like BADO type 3
  • 10.
    MECHANISM OF INJURY TYPE 1 A.Direct trauma: direct blow on posterior aspect of forearm - ulnar fracture and anterior dislocation of radial head. B. Hyperextension theory: m/c: FOOSH leading to hyper-extension of elbow - pull of biceps leading to radial head dislocation
  • 11.
    HYPERPRONATION THEORY: Sudden hyper pronationcauses Rotation of radius over ulna Anterior directed force on radial head leading to anterior dislocation of radial head or fracture of proximal third of ulna.
  • 12.
    TYPE 2 60 degreeof elbow flexion with applied longitudinal traction resulting in posterior elbow dislocation. • Also in patients with weaker ulna than its surrounding ligaments, bone gives away earlier than the ligament hence the fracture occurs.
  • 13.
    TYPE 3 • Varusstress at the level of elbow in combination with outstretched hand planted firmly against a fixed surface. • Often produces a green stick fracture with tension failure radially and compression medially. • Lateral dislocation of radial head a/w rupture of annular ligament
  • 14.
  • 16.
    ASSOCIATED INJURIES WITHMONTEGGIA: • Distal radial and ulnar fractures • Galeazzi fractures • Radial head and neck fractures • Distal humerus lateral condyle FACTORS A/W POORER OUTCOME: • Intra-articular injury • Coronoid fracture • Comminuted ulna fracture • Comminuted radial head fracture
  • 17.
    CLINICAL FINDINGS BADO TYPE1 Skin tenting and ecchymosis on anterior aspect of skin. Fullness on anterior aspect of elbow. Valgus positioning of elbow
  • 18.
    BADO TYPE 2 Swellingin posterolateral aspect of radial head. Posterior tenting of skin. Radial nerve and Posterior interosseous nerve injury is common
  • 19.
    BADO TYPE 3 Lateralswelling Varus deformity Loss of rom (mainly supination)
  • 20.
    BADO TYPE 4 Similarto type 1 but more severe injury Risk of compartment syndrome Increased risk of neurovascular injury
  • 21.
    RADIOLOGY • Xray elbowap and lateral • Xray full length forearm with wrist ap and lateral (ipsilateral) • Xray contralateral side Elbow ap and lateral
  • 22.
    LIGAMENTS 1.Annular ligament (orbicular ligament) •Prime stabiliser of PRUJ • Get tightens in supination. • Encircles radial neck from its origin and its insertion on proximal ulna. • Confluent with the remainder of LCL and provides stability to radio capitellar joint and PRUJ also resists varus stress.
  • 23.
    MUSCULATURE • Biceps brachii •Deforming force in type 1 lesion, hence elbow is to be kept flexed in type 1 lesion to prevent recurrent anterior dislocation of radial head • Anconeus • Dynamic stabiliser of elbow joint and provides a valgus moment at the joint during pronation and extension • Surgical exposures of proximal radioulnar joint and radio capitellar joint is performed through anconeus and ecu interval
  • 24.
    NERVES Radial nerve • Passesthrough interval between biceps and brachialis • Close proximity to radial head makes it susceptible to injury in monteggia fractures (specifically in type 2) Posterior interosseous nerve Associated with injury in type 1 and type 3 monteggia fracture Leads to partial or complete loss of finger extension, thumb abduction and sensory loss over dorsum of hand of lateral three and half fingers Ulnar nerve • Associated with injury in type 2 monteggia because of stretched associated with varus deformity and in chronic monteggia where it is associated with ulnar lengthening
  • 25.
    TREATMENT • Goals oftreatment: • Restoration of radio capitellar joint congruency • Maintain ulnar length and fracture stability • Anatomical correction of ulnar deformity
  • 26.
    Non operative treatment Reservedfor Paediatric population • Reduction is maintained in flexion by above elbow cast for 6 to 8 weeks duration • Degree of flexion depends upon the radial head dislocation
  • 27.
    TYPE 1 • Closereduction manoeuvre
  • 28.
    TYPE 2 • Closedreduction via longitudinal traction and an anteriorly directed force in 60 degree flexion. • Slab applied in 60 degree flexion or complete extension. • Osteonecrosis and non union are complications
  • 29.
    TYPE 3 Closed reduction:longitudinal traction along with valgus stress to reduce radial head.
  • 30.
    TYPE 4 • Aimis to do closed reduction and convert type 4 lesion into type 1 by fixing radial shaft fractures.
  • 31.
    OPERATIVE treatment : Indicationfor operative intervention • Failure of ulnar reduction Can be reduced but difficult to maintain because of obliquity of fractures, hence ORIF is necessary • Failure of radial head reduction This is due to interposed soft tissue (radial nerve/annular ligament) within the radio capitellar joint.
  • 32.
    COMPLICATIONS: NEGLECTED MONTEGGIA FRACTURE NERVEINJRIES PERIARTICULAR OSSIFICATION COMPARTMENT SYNDROME RADIAL HEAD INSTABILITY NON UNION – MOST OFTENLY BADO TYPE 2
  • 33.
    Neglected Monteggia fracture •Uncommon • Frequently missed in children • Chronic neglected monteggia > 1month Can lead to – Limited ROM Radial head deformation Radioulnar synostosis Malunion shortening of Ulna
  • 34.
    Neglected Monteggia Lesion •Criteria for surgical Repair (1). Normal concave radial head articular and convex capitulum (2). Progressive deformity (3). Normal shape of radius and ulna (Deformity of either correctable by osteotomy) Best when corrected within 6 months of injury Better outcome up to 10 years of age
  • 35.
    • Surgical procedure Openreduction Ulnar osteotomy alone or in combination with ligament reconstruction Annular ligament repair or reconstruction Radial osteotomy Radial head excision
  • 36.
    Ulnar osteotomy • Aim– to restore radio-ulnar relation and interosseous membrane • Mc location is at level of Proximal Ulna • Posterior bending overcorrection osteotomy – ulnar lengthening • Bone grafting • Fix with either plate and screws or • Using gradual lengthening technique temporary stabilization with external fixation followed by gradual lengthening • Some patient might need ALR if unstable.(check for stability intra-op)
  • 38.
    They did zshaped sagittal osteotomy, distracted, angulated and fixed with one medio-lateral screw Post op immobilised in AE slab for 6 weeks followed by gradual mobilization
  • 39.
    Rajasekaran S, VenkatadassK. "Sliding angulation osteotomy": preliminary report of a novel technique of treatment for chronic radial head dislocation following missed Monteggia injuries. Int Orthop. 2014 Dec;38(12):2519-24. doi: 10.1007/s00264-014-2514-8. Epub 2014 Sep 11. PMID: 25209346.
  • 40.
    ANNULAR LIGAMENT RECONSTRUCTION: •Intra op test for radial head stability should be checked • Approaches for ALR • Kocher approach • Boyds approach
  • 41.
    APPROACHES: Kocher approach: • Skinincision over the lateral epicondyle and continue distally and obliquely directly over the lateral epicondyle up to proximal ulna • Inter nervous plane: b/w anconeus and ECU • Forearm in pronation in order to protect PIN
  • 42.
    BOYD APPROACH: • Incision:extends from lateral border of triceps to lateral condyle and extending along the radial side of proximal ulna. • This incision is carried under the anconeus and ecu in an extra periosteal manner elevating the fibres of supinator from ulna. • Advantages: • Approach proximal fourth of radius • Access radio capitellar joint • Fixation of ulna
  • 43.
    ANNULAR LIGAMENT RECONSTRUCTION: Belltawse: • Used the central portion of triceps tendon passed through a drill hole and around he radal neck to stabilise the reduction and immobilised the elbow in long arm cast in extension
  • 44.
    • BUCKNILLAND LLYODROBERTS: Modified bell tawse approach where they used the lateral portion of triceps tendon with a trans capitellar pin for stability. Elbow was immobilised in flexion • THOMPSON AND LIPSCOMB: Utilised fasica lata for the same approach.
  • 45.
    Radial head excision Radiusosteotomies Poor outcomes
  • 46.
    Treatment of choice •ORIF of ulna fracture with 3.5 mm DCP or Intramedullary nailing (less favoured) in paediatric patients • Plate on tension side of ulna • Close reduction of radial head once ulnar length is achieved • Failure of close reduction of radial head – open reduction of radial head and pinning • Posterior elbow splint or AE slab Post op f/b physiotherapy Monteggia fracture in adults
  • 49.
  • 50.
    TAKE HOME MESSAGE •HIGH INDEX OF SUSPICION • ALWAYS GET XRAY OF IPSILATERAL WRIST AND CONTRALATERAL ELBOW • CONSERVATIVELY MANAGED PATIENT TO BE FOLLOWED UP EVERY WEEKLY FOR SEQUENTIAL CHECK XRAYS • CHECK FOR RADIAL NERVE AND POST INTEROSSEOUS NERVE PALSY • LOOK FOR SIGNS OF COMPARTMENT SYNDROME • FAILIURE TO MAKE DIAGNOSIS CAN LEAD TO CHRONIC MONTEGGIA LESION
  • 51.
    CASE DISCUSSION • 7year old child July 2021 Xray
  • 52.
  • 53.