MENINGIOMA
Diagnóstico Patológico
Clinical Molecular Staging in
Meningiomas: Prospective Experience of a
Single Institution Using Routine FFPE
Samples
•
Malak S Abedalthagafi, Shakti H Ramkissoon, Keith L Ligon, Azra H Ligon, Rebecca D Folkerth, Sandro Santagata. Brigham and
Women's Hospital and Harvard Medical School, Boston, MA
Results: In addition to the known CNVs in the WHO classifications, we identified several new molecular signatures including: single 
copy loss in 12q , polysomy in chromosomes 3, 4, 5, 6, 7, 9, 13, 16, 18, 19, 20 and 21, occurring singly or in combination, in our sample. 
Three WHO grade I meningiomas with brain invasion, but insufficient WHO features of atypia, had grade II genomic signatures. Our 
genomic approach also led to the histologic re-classification of two uncertain "poorly differentiated neoplasms" into anaplastic 
meningioma.
WHO grade22q- and/or 1p-mono6 and/or 6q-Significant OthersI (n=65)*36 (55.3 % of have 22q- , 27% have 22q- and 1p- )6 (9.3% )
Trisomy 1,2,3,5,9,10,12,13,15,18,20,21 5(7.69%)II (n=37)25 (67.5%)8(21.6%)-3P,-19q, 1q+, monosomy 8trisomy 15 and 20 (18.9%)III 
(n=14)**7 (50%)4 (28.5%)19p+, trisomy 5 and 20, 9q-,17q- (21.4%)
* 3 cases had some but not all features of grade II, **2 cases had non-meningothelial tumors in differential.
Conclusions: The integration of histopathology with complex genetic/genomic data, results in the improved identification of clinically 
distinct meningioma subgroups, which in turn directs the clinical care plan for certain patients. Such results 
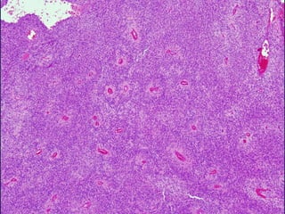
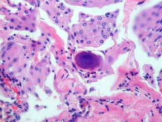
Variedades (50% o mas del tumor)
• WHO grado I (90%) 
Meningoendotelial
Fibroso (Fibroblástico)
Transicional (mixto)
Psamomatoso
Angiomatoso
Microquístico
Secretor
Linfoplasmocítico
Metaplásico
• WHO II (5-7 %)
De células claras
Cordoide
Meningioma atípico
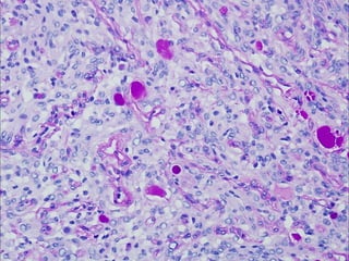
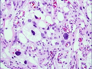
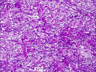
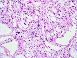
MENINGIOMA ATÍPICO
• Incremento de la actividad mitótica (4 ó más x
10 HPF) o tres o más de los siguientes cuadros
• Incremento de la celularidad
• Células pequeñas con un alto ratio
nucleo:citoplasma
• Nucleolo prominente
• Patrón en mantos
• Necrosis espontanea o geografica
• Se considerara también
atípico a la combinación
de hipercelularidad con
5 o más mitosis x 10
HPF
• WHO III (1-3 %)
Meningioma papilar
Meningioma anaplásico (maligno)
Rabdoide
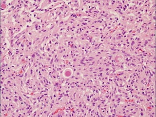
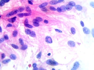
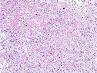
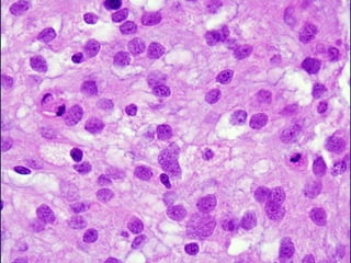
MENINGIOMA ANAPLASICO
• Histológicamente francamente maligno
(similar a sarcoma, carcinoma o melanoma
focal o difusamente) o un alto índice mitotico
(20 o más mitosis por 10 HPF)
CONCLUSIONES
• TUMORES DE LA CAPA MENINGOTELIAL
• SON DEL 13 AL 26% DE LAS NEOPLASIAS
INTRACRANEALES
• DELECION DEL CROMOSOMA 22q
• INMUNOHISTOQUIMICA:
• VIM, EMA, CEA, R. Progesterona
• MENINGIOMA ATIPICO KI67; 7.2%
• MENINGIOMA ANAPLASICO KI 67; 14.7%
• KI67 >O IGUAL A 4.2; ALTO
• EL HALLAZGO DE INVASION CEREBRAL ES INDICADOR
DE RECURRENCIA FRECUENTE (GRADO II OMS).
Referencia Bibliografica
• Diagnostic Value of HER2 expression in meningioma: an immunohistochemical
and fluorescence in situ hybridization study. Delphine Loussouarn, Huaman
Pathology (2006) 37, 415-421.
• Molecular pathogenesis of meningiomas. Arie Perry, Journal of Neuro-Oncology
70: 183-202, 2004.
• Aggressive Phenotypic and Genotypic Features in Pediatric and NF2-Associated
Meningiomas: A Clinicopathologic Study of 53 cases. Arie Perry, Journal of
Neuropathology and Experimental Neurology Vol. 60, Nº10, 994-1003, 2001.
• “Malignancy” in Meningiomas. A Clinicopathologic Study of 116 Patients, with
Grading Implicatios. Arie Perry, Cancer May 1, 1999/ Vol. 85/ Nº9, 2046-2056.
• The Prognostic Significance of MIB-1, p53, and DNA Flow Cytometry in
Completely Resected Primary Meningiomas. Arie Perry, Cancer June 1, 1998/
Vol. 82/ Nº11, 2262-2268.
• Meningioma Grading. An Analysis of Histologic Parameters. Arie Perry, The
American Journal of Surgical Pathology 21 (12): 1455-1465, 1997.
• Clear Cell Meningioma. A Clinicopathologic Study of a Potentially Aggressive
Variant of Meningioma. S. Zorludemir, The American Journal of Surgical
Pathology 19(5): 493-505, 1995.
GRACIAS

Meningioma

  • 1.
  • 16.
    Clinical Molecular Stagingin Meningiomas: Prospective Experience of a Single Institution Using Routine FFPE Samples • Malak S Abedalthagafi, Shakti H Ramkissoon, Keith L Ligon, Azra H Ligon, Rebecca D Folkerth, Sandro Santagata. Brigham and Women's Hospital and Harvard Medical School, Boston, MA Results: In addition to the known CNVs in the WHO classifications, we identified several new molecular signatures including: single  copy loss in 12q , polysomy in chromosomes 3, 4, 5, 6, 7, 9, 13, 16, 18, 19, 20 and 21, occurring singly or in combination, in our sample.  Three WHO grade I meningiomas with brain invasion, but insufficient WHO features of atypia, had grade II genomic signatures. Our  genomic approach also led to the histologic re-classification of two uncertain "poorly differentiated neoplasms" into anaplastic  meningioma. WHO grade22q- and/or 1p-mono6 and/or 6q-Significant OthersI (n=65)*36 (55.3 % of have 22q- , 27% have 22q- and 1p- )6 (9.3% ) Trisomy 1,2,3,5,9,10,12,13,15,18,20,21 5(7.69%)II (n=37)25 (67.5%)8(21.6%)-3P,-19q, 1q+, monosomy 8trisomy 15 and 20 (18.9%)III  (n=14)**7 (50%)4 (28.5%)19p+, trisomy 5 and 20, 9q-,17q- (21.4%) * 3 cases had some but not all features of grade II, **2 cases had non-meningothelial tumors in differential. Conclusions: The integration of histopathology with complex genetic/genomic data, results in the improved identification of clinically  distinct meningioma subgroups, which in turn directs the clinical care plan for certain patients. Such results 
  • 19.
    Variedades (50% omas del tumor) • WHO grado I (90%)  Meningoendotelial Fibroso (Fibroblástico) Transicional (mixto) Psamomatoso Angiomatoso Microquístico Secretor Linfoplasmocítico Metaplásico
  • 25.
    • WHO II(5-7 %) De células claras Cordoide Meningioma atípico
  • 26.
    MENINGIOMA ATÍPICO • Incrementode la actividad mitótica (4 ó más x 10 HPF) o tres o más de los siguientes cuadros • Incremento de la celularidad • Células pequeñas con un alto ratio nucleo:citoplasma • Nucleolo prominente • Patrón en mantos • Necrosis espontanea o geografica
  • 30.
    • Se consideraratambién atípico a la combinación de hipercelularidad con 5 o más mitosis x 10 HPF
  • 35.
    • WHO III(1-3 %) Meningioma papilar Meningioma anaplásico (maligno) Rabdoide
  • 39.
    MENINGIOMA ANAPLASICO • Histológicamentefrancamente maligno (similar a sarcoma, carcinoma o melanoma focal o difusamente) o un alto índice mitotico (20 o más mitosis por 10 HPF)
  • 44.
    CONCLUSIONES • TUMORES DELA CAPA MENINGOTELIAL • SON DEL 13 AL 26% DE LAS NEOPLASIAS INTRACRANEALES • DELECION DEL CROMOSOMA 22q • INMUNOHISTOQUIMICA: • VIM, EMA, CEA, R. Progesterona • MENINGIOMA ATIPICO KI67; 7.2% • MENINGIOMA ANAPLASICO KI 67; 14.7% • KI67 >O IGUAL A 4.2; ALTO • EL HALLAZGO DE INVASION CEREBRAL ES INDICADOR DE RECURRENCIA FRECUENTE (GRADO II OMS).
  • 45.
    Referencia Bibliografica • DiagnosticValue of HER2 expression in meningioma: an immunohistochemical and fluorescence in situ hybridization study. Delphine Loussouarn, Huaman Pathology (2006) 37, 415-421. • Molecular pathogenesis of meningiomas. Arie Perry, Journal of Neuro-Oncology 70: 183-202, 2004. • Aggressive Phenotypic and Genotypic Features in Pediatric and NF2-Associated Meningiomas: A Clinicopathologic Study of 53 cases. Arie Perry, Journal of Neuropathology and Experimental Neurology Vol. 60, Nº10, 994-1003, 2001. • “Malignancy” in Meningiomas. A Clinicopathologic Study of 116 Patients, with Grading Implicatios. Arie Perry, Cancer May 1, 1999/ Vol. 85/ Nº9, 2046-2056. • The Prognostic Significance of MIB-1, p53, and DNA Flow Cytometry in Completely Resected Primary Meningiomas. Arie Perry, Cancer June 1, 1998/ Vol. 82/ Nº11, 2262-2268. • Meningioma Grading. An Analysis of Histologic Parameters. Arie Perry, The American Journal of Surgical Pathology 21 (12): 1455-1465, 1997. • Clear Cell Meningioma. A Clinicopathologic Study of a Potentially Aggressive Variant of Meningioma. S. Zorludemir, The American Journal of Surgical Pathology 19(5): 493-505, 1995.
  • 46.