LUPUS NEPHRITIS 2.0
PATHOGENESIS
• Lupus nephritis develops in individuals with an unfortunate
combination of genetic variants that compromise the
maintenance of immune tolerance to endogenous nuclear
material.
• The consequence of tolerance loss is autovaccination and
lifelong persistence of antinuclear antibodies (ANA), indicating
persistently active autoreactive T- and B-cell clones.
• Only a subset of patients develops clinical symptoms,often
upon (viral) infections or hormonal influences that provide an
unspecific stimulus for the expansion of these autoreactive
lymphocyte clones.
• The symptoms depend on interferon-alpha release, hence they
are unspecific just as in any viral infection.
• A further subset of patients develops organ manifestations
such as lupus nephritis, which depends on the presence of
additional susceptibility genes, some of which affect the
kidney itself, whereas others drive persistent systemic
inflammation and autoimmunity.
AUTOVACCINATION
• The main pathogenesis of SLE is the loss of
immune tolerance to nuclear autoantigens
• SLE is usually not monogenic but is a polygenic
disorder inherited as a Mendelian trait.
• SLE patient has overt
autovaccination/immunization to nuclear material
exemplified by the presence of antinuclear
antibody.
• The concept of autovaccination -the immune
systems will remain primed like after any other
vaccine shots, and so there is no cure for SLE but
lifelong monitoring and suppression of
autoimmune disease activity are necessary.
PSEUDOANTIVIRAL
IMMUNITY
• Loss of immune tolerance and antinuclear
antibodies production does not necessarily produce
any clinical symptoms
• Immune recognition of endogenous nucleic acids via
Toll-like receptors 7 and 9 induces interferon alpha
dependent antiviral immunity, which manifests
clinically as fatigue, fever, arthralgia, and myalgia, as
may be seen in any viral infection-
PSEUDOANTIVIRAL IMMUNITY
• SLE activity can be influenced by environmental
factors that contribute to DNA unmasking (certain
drugs) and massive cell death (ultraviolet light), or
that provide an unspecific immunostimulatoryeffect
to autoreactive lymphocyte clones (infections)
ORGAN
DAMAGE
• The risk of an SLE patient developing LN
depends on additional genetic variants that
create a predisposition for significant renal
damage during the systemicautoimmune state
• Some gene variants may promote mesangial cell
proliferation; others affect basement membrane
stabilityor the functions of integrin-alpha Such
additional “weaknesses” or susceptibility factors
determine whether a patient develops signs of
nephritis.
• Immune complex glomerulonephritis in SLE can
present in different ways depending on the
primary site of immune complex deposition
• IC form in situ via the recognition of
intrarenal lupus autoantigens in the
mesangium, subendothelial space, or
outside the glomerular basement membrane
between podocyte foot processes.
• Once formed, immune complexes activate
complement, which can injure adjacent cells,
leading to either mesangial LN (class I, II),
endothelial-proliferative LN (class III, IV),
nephrotic syndrome (class V)
Kidney Disease In
SLE Other Than
Immune Complex
Glomerulonephritis
Thrombotic microangiopathy-
secondary Antiphospholipid
Antibody Syndrome
Podocytopathies
Steroid-induced diabetes or
atherosclerosis, leading to diabetic
nephropathy or renovascular
disease
LUPUS IN
MALE
Less common
Men with lupus have a more complex clinical course than women
Higher mortality in one year than women
More seizures, immune-mediated anemia (low hemoglobin level) and
lupus anticoagulant level that may lead to thrombogenesis
Fertile, sexually active and have normal reproductive history
Kidney involvement-Higher prevalence, poorer renal outcome, and
poorer overall survival rate
Higher prevalence of Class IV, diffuse proliferative nephritis (DPGN)
LUPUS IN
PREGNENCY
Normal pregnancy,
• The number of CD4+/CD25+ regulatory T cells (Tregs) is
increased
• Potent immunosuppressiveaction and contribute to fetal
tolerance
• Shift from a Th1 cell-mediated to a Th2 antibody-
mediated immune response (commonly referred to as
Th2 polarization)
Lupus with Pregnency
• Fewer Tregs that also are functionally defective -
increased risks for pre-eclampsia and maternal and fetal
morbidity
• In the setting of Th2 polarization, Th2-mediated
diseases, such as SLE, mayworsen during pregnancy.
• The risk for disease flare may be further enhanced by the
hormonal changes of pregnancy (Estrogen)
• Secondary Antiphospholipid Syndrome
DRUG
INDUCED
LUPUS
Type B (hypersensitivity) reaction
Drug induced lupus is uncommon
GN is uncommon but has been reported
with hydralazine, sulfasalazine, PTU,
penicillamine and anti–TNF-α therapy
Antihistone antibodies are common in DIL
Drug Clinical Features Laboratory Features Positive Antibody Tests
Hydralazine
Rash, fever, myalgias,
pleuritis, polyarthritis
nephritis <10%
Anemia, leukopenia
ANA, anti-dsDNA, ANCA,
antihistone
Procainamide
Polyarthritis, polyarthralgias
serositis nephritis <10%
Anemia
Anti-dsDNA, antihistone,
anticardiolipin
TNF-α inhibitors
(etanercept/adalimumab/i
nfliximab
Systemic symptoms
predominant (nephritis in
7%); skin manifestations
dominate
Thrombocytopenia,
hypocomplementem
ia
ANA, anti-dsDNA,
antinucleosome,
anticardiolipin
ANA
ANA's are a heterogenous group of circulating immunoglobulins that
include IgM, IgG, and IgA.
These immunoglobulins react with the whole nucleus in host tissue,
and they are true autoantibodies.
ANA's have no organ or species specificity and are capable of cross-
reacting with nuclear material from human or various animal tissues.
Each immunoglobin is composed of two heavy chains and two
light chains. Light chains contribute to antigen binding and heavy
chain regions determine antibody isotype ( IgM, IgD, IgG, IgA, or IgE).
In lupus patients the light and heavy chains may no longer be
autoreactive and eliminate a high percentage of autoreactive B-cells,
which are responsible for producing antibodies.
LUPUS
PODOCYTOPATHY
• A patient with SLE, presenting with nephrotic
syndrome and kidney biopsy findings of
• Normal glomeruli or focal segmental
glomerulosclerosis (FSGS) lesions (with or
without mesangial proliferation) on light
microscopy and the absence of subepithelial or
subendothelial deposition
• The prevalence of lupus podocytopathy represents
approximately 1% of LN biopsies.
• Acute kidney injury (AKI) is uncommonin lupus
podocytopathy (34%).
• Microscopic hematuria and hypertension are also
rare in lupus podocytopathy (18%)
MEMBRANOUS
LUPUS
• Differentiating MLN from pMN can be challenging.
• Antibodies
• Neutral Endopeptidase (NEP)
• Phospholipase A2 receptor (PLA2R) in pMN.
(approximately 70% of patients with pMN )
• Anti-ThrombospondinType 1 Domain Containing 7
Autoantibodies (anti THSD7A)
• Exostosin1 and 2 (differentiate primary from
autoimmune forms of membranous nephropathy)
• Histology
• Mesangial hypercellularity
• Electron microscopy –mesangial and subendothelial
immune complex deposition, and tubuloreticular
inclusions.
• Immunofluorescence examinationin MLN
demonstrates positive staining for immunoglobulin G
(IgG), C3, IgM, IgA, and C1q.
• Predominant IgG in MLN is usually IgG1 and/or IgG3.
In contrast, IgG4 subclass deposits are typical of pMN
TREATMENT
KADIGO
• Class I LN (minimal-mesangial LN) treated
for extrarenal clinical manifestations of
lupus.
• Class II LN (mesangial-proliferative LN)
• Treat patients with class II LN and proteinuria <1
g/d as dictated by the extrarenal clinical
manifestations of lupus.
• Proteinuria >3 g/d be treated with
corticosteroidsor CNIs as described for MCD
• Class III LN (focal LN) and class IV LN (diffuse LN)—
• Initial therapy -We recommend initial therapy
with corticosteroids+ either cyclophosphamide
or MMF
• We suggest that, if patients have worsening LN
(rising SCr, worsening proteinuria) during the
first 3 months of treatment, a change be made
to an alternative recommended initial therapy,
or a repeat kidney biopsy be performed to guide
further treatment
KADIGO
KADIGO
• Maintenance therapy - Azathioprine (1.5–2.5 mg/kg/d) or
MMF (1–2 g/d in divided doses), and low-dose oral
corticosteroids (r10 mg/d prednisone equivalent).
• CNIs with low-dose corticosteroids (intolerant of MMF
and azathioprine
• After complete remission is achieved, maintenance
therapy be continued for at least 1 year before
consideration is given to tapering
the immunosuppression.
• If complete remission has not been achieved after 12
months of maintenance therapy, consider performing a
repeat kidney biopsy before determining if a change in
therapy is indicated. (Not Graded)
• While maintenance therapy is being tapered, if kidney
function deteriorates and/or proteinuria worsens, we
suggestthat treatment be increased to the previous level
of immunosuppressionthat controlled the LN.
• Class V LN (membranous LN)
• normal kidney function, and non–nephrotic-range
proteinuria be treated with antiproteinuric +
antihypertensive medications, and only receive
corticosteroids and immunosuppressives as dictated by
the extrarenal manifestations of systemiclupus.
• Persistent nephrotic proteinuria be treated with
corticosteroids plus an additional immunosuppressive
agent: cyclophosphamide or CNI or MMF or azathioprine
• General treatmentof LN
• LN of any class are treated with hydroxychloroquine
(maximum daily dose of 6–6.5 mg/kg ideal body weight),
• Class VI LN (advanced sclerosis LN)
• Corticosteroids and immunosuppressives only as dictated
by the extrarenal manifestations of systemiclupus. (2D)
KADIGO
• Relapse of LN
• Relapse of LN after complete or partial remission be
treated with the initial therapy followed by the
maintenance therapy that was effective in inducing the
original remission.
• Risk for excessive lifetime cyclophosphamide exposure,-
non cyclophosphamide-based initial regimen be used
• Consider a repeat kidney biopsy during relapse if there is
suspicion of histologic class change or rising SCr and/or
worsening proteinuria represents disease activity or
chronicity.
• Treatmentof resistantdisease
• In patients with worsening SCr and/or proteinuria after
completing one of the initial treatment regimens, consider
performing a repeat kidney biopsy to distinguish active LN
from scarring
• Treat patients with worsening SCr and/or proteinuria who
continue to have active LN on biopsy with alternative
initial treatment regimens
• Nonresponders who have failed more than one of the
recommended initial regimens - treatment with rituximab,
i.v. immunoglobulin, or CNIs.
KADIGO
• Systemiclupus and thromboticmicroangiopathy
• APLA-involving the kidney in systemiclupus patients, with
or without LN, be treated by anticoagulation (target INR
2–3).
• Plasmaexchange
• Systemiclupus and pregnancy
• counselled to delay pregnancy until a complete remission
of LN has been achieved.
• Cyclophosphamide, MMF, ACE-I, and ARBs not be used
during pregnancy.
• Hydroxychloroquine be continued during pregnancy.
• MMF be switched to azathioprine.
• Relapse during pregnancy, they receive treatment with
corticosteroids and, depending on the severity of the
relapse, azathioprine.
• Drugs not be tapered during pregnancy or for at least 3
months after delivery. Administer of low-dose aspirin
during pregnancy to decrease the risk of fetal loss.
KADIGO
The Euro-Lupus Nephritis Trial
• Multicenter, prospecitive trial of 90 LN pts with Proliferative LN Initial
• Follow 41 months, subsequent long-term follow
• Monthly High dose IVCYT ( 6 mo IVP 0.5-1 g/m2+ 2 quarterly pulses )
vs Low dose IV CYT ( 500 mg IVP every 2 wks x 3 months followed by
oral AZA )
ALMS vs
MAINTAIN
TRIAL
• Blind study
• n-227
• various ethnic group
• Only patient who responded
entered maintenance phase
• Open
• n-105
• White
• all patient received EURO
LUPUS regimen and
entered maintenance
phase
Completed Clinical Trials
Abatacept – BMS Completed clinical trials CTLA4-B7 interaction Phase 3 – Failed to meet
end point
Abatacept – ACCESS Completed clinical trials CTLA4-B7 interaction Phase 2 – Failed to meet
end point
Anti-CD40L Completed clinical trials CD40-ligand Phase 2 – Terminated
Anti-TWEAK Completed clinical trials TWEAK Phase 2 – Terminated
Bortezomib Completed clinical trials Plasmacells Phase 4 – Terminated
Laquinamod Completed clinical trials Inflammation Phase 2 – Encouraging
Rituximab Completed clinical trials CD20 Phase 3 – Failed to meet
end point
Ocrelizumab Completed clinical trials CD20 Phase 3 – Failed to meet
end point
Active Clinical Trials
Anifrolumab Active clinical trials IFN-α Phase 2 – Recruiting
Belimumab Active clinical trials B lymphocyte stimulator Phase 3 – Recruitment
closed
Ixazomib Active clinical trials Plasmacells Phase 1 – Recruiting
Obinutuzumab Active clinical trials CD20 Phase 2 – Recruiting
Rituximab Active clinical trials CD20/steroid reduced Phase 3 – Recruiting
Rituximab/Belimumab Active clinical trials CD20/B lymphocyte
stimulator
Phase 2 – Recruiting
Voclosporin Active clinical trials Calcineurin Phase 2 – Recruitment
closed
THANK YOU…
LUPUS NEPHRITIS
HISTORY OF LUPUS
• Hippocrates (460-375 BC) was the first to describe cutaneous ulcers under the
heading of herpes esthiomenos
• The term "lupus", derived from Latin for wolf
• Associated systemic manifestations was described in 1872 and termed
"disseminated lupus erythematosus".
• A preference for "systemic" rather than "disseminated" was suggested in 1904
but would not prevail until the 1960s.
• Term "nephritis", denoting "inflammation of the kidneys" dating to the 1580s,
was first used to describe the renal lesions of SLE in 1902.
• Late 1950s after the introduction of kidney needle biopsies
• Lesions observed were classified by glomerular changes in 1975 and refined in
2003
DEFINITION
• Lupus nephritis (LN), immune complex glomerulonephritis (GN)
• Common and serious in patients with systemic lupus erythematosus
(SLE).
• SLE is defined by clinical and laboratory features as outlined in
• The 1997 American College of Rheumatology (ACR) criteria
• The SystemicLupus International Collaborating Clinics (SLICC) criteria
introduced in 2012
ACR Criteria
Presence(cumulative) of four or moreof the following:
• Malar rash
• Discoid rash
• Photosensitivity
• Oral or nasopharyngeal ulcers
• Nonerosive arthritis (involving ≥2 joints, characterized by tenderness, swelling, or effusion)
• Pleuritis or pericarditis
• Renal disease (proteinuria >500 mg/day OR 3+ by dipstick OR cellular casts)
• Neurologic disorder
• Hematologic disorder
• Immunologic disorder (positive anti-dsDNA antibody OR positive anti-Sm antibody OR positive antiphospholipid antibody (includes pr
lupus anticoagulant, false-positive treponemal test, positive anticardiolipin antibody)
• Positive ANA
SLICC Criteria
Presence (cumulative) offour ormoreofthe following (with atleast1 clinical and 1 immunologic criteria)OR biopsy-proven lupusnephritiswith positive
ANA or anti-dsDNA
Clinical Criteria Immunologic Criteria
• Acute OR subacute cutaneous lupus • Positive ANA
• Chronic cutaneous lupus • Positive anti-dsDNA antibody
• Nonscarring alopecia • Positive anti-Sm antibody
• Oral OR nasal ulcers
• Positive antiphospholipid antibody (includes presence of a lupus
anticoagulant, false-positive RPR, anticardiolipin antibody or anti-
β2 glycoproteinantibody)
• Synovitis ≥2 joints (swelling or effusion)OR tenderness in 2 or more
joints and ≥30 minof morning stiffness
• Low complement(C3, C4, or CH50)
• Serositis • Direct Coombstest(in the absence of hemolytic anemia)
• Renal disease (red blood cell casts OR proteinuria ≥500 mg/dayon 24-
hr urine collectionOR spotratio of urine protein to creatinine ratio ≥0.5)
• Neurologic disorder
• Hemolytic anemia
• LeukopeniaOR lymphopenia
EPIDIMIOLOGY
• SLE is more prevalent in women
• Female-to-Male ratio is highest at reproductive age
• Ranging between 8:1 and 15:1
• Lowest in prepubertal children at about 4:3
• Black and Hispanic SLE patients develop LN earlier and high risk for
CKD/ESKD (APOL1 gene-black)
• LN is a major risk factor for morbidity and mortality in SLE and 10% of
patients with LN will develop ESRD
• The risk of ESRD is higher in class 4 LN the risk may be as high as 44%
over 15 years
• Patients with LN also have a higher standardized mortality ratio and
die earlier than SLE patients without LN
• 10-year survival improves from 46% to 95% if disease remission can
be achieved
PATHOGENESIS
• A meta-analysis of HLA-DRB1 alleles in SLE concluded that
• Carriers of HLA-DR4 and DR11 were protected against LN
• Conversely HLA-DR3 and DR15 conferred an increased risk of LN
• Meta-analysis- Patients were women of European descent
found
• LN mapped to the PDGF receptor A gene and the gene for the
sodium-dependent glucose cotransporter SLC5A11
• PDGF may mediate kidney
• Cell proliferation,
• Matrix accumulation, and
• Intrarenal inflammation
• SLC5A11 may mediate a
• Decrease in serum and an increase in urine myo-inositol, active
role of SLC5A11 in proximal tubule inositol reabsorption
• Inositol regulation, SLC5A11 may mediate apoptosis through the
programmed cell death and TNF-α pathways
PATHOGENESIS
• Autoimmune response in SLE is seen against chromatin
(normally is shielded from the immune system due to its
location in the nucleus)
• The presence of apoptotic material may be the result of
• An aberrant process of apoptosis, increased rate of apoptosis or
apoptosis at the wrong moment or location
• Insufficient clearance of apoptotic cells and debris provides an
• The innate and adaptive immune system may thereby be
activated in several ways
• Apoptotic blebs and apoptotic chromatin, containing apoptosis-
induced modifications myeloid dendritic cells (mDCs) ligation
of toll-like receptors (TLRs) autoreactive T cells activate
autoreactive B cells specific for chromatin
• Particular RNA-containing immune complexes plasmacytoid
dendritic cells (pDCs) ligation of TLR7 production of type I
interferons like IFN-α.
• NETs (neutrophil extracellular traps) pDCs
• Autoreactive B cells may be directly activated by apoptotic
chromatin
APOPTOSIS AND SURVIVALDEFECTSIN SYSTEMICLUPUS
ERYTHEMATOSUS
• Fas receptor (CD95; FasR) and Fas ligand (CD95L; FasL)
• FasL is only expressed on immune cells, whereas FasR is expressed on non-
immune cells as well
• juvenile onset of SLE an increased expression of FasR on T cells has been
detected
• Bcl-2 family
• either anti-apoptotic ( Bcl-2) or pro-apoptotic (Bim )
• Integrin alpha-M, (ITGAM (CD11/CD18))
• Regulation of apoptosis in neutrophils, but also in leucocyte adhesion and
complement C3b binding
• B-cell survival signals affected in SLE include the cytokine B-cell
activating factor (BAFF)
• Neutrophil extracellular traps in SLE (NETs)
• Neutrophils can spill so-called neutrophil extracellular
traps (NETs), which consist of their total chromatin and
associatedpep- tides with anti-microbial activity like LL37
and HNP
• process of NET formation is called NETosis
• insufficient degradation of NETs is linked to SLE and lupus
nephritis
• anti-LL37 and anti-HNP antibodies, which correlate with
anti-DNA antibody titres
• NETs are able to activate plasmacytoid dendritic cells
CLEARANCE DEFECTS IN SYSTEMIC LUPUS
ERYTHEMATOSUS
• Cells undergoing apoptosis display
• ‘come and get me’ signals, like the lipid phosphatidylcholine (PC)
• ‘eat me’ signals, like the lipid phosphatidylserine (PS)
• This signals attract phagocytes and facilitate phagocytosis mediated
by receptors on phagocytes.
• Bridging molecules (opsonins)serve as an additional link between the
signals on the surface of the apoptotic cell and the receptors on the
phagocyte.
• Deficiencies in these components can lead to decreased clearance of
apoptotic cells and to the development of SLE
• PS is an important apoptotic cell signal for clearance which is present
at the outer cell membrane
• PS is bound directly by receptors on the phagocyte or indirectly via
bridging molecules or opsonins.
• The phagocytic cells express multiple receptors including
• PS receptor
• Milk fat globule-EGF factor 8 protein (MFGE8)
• Complement factor C1q receptor
• c-Mer proto-oncogene tyrosine kinase (MERTK)
• ITGAM
• macrophage receptor with collagenous structure (MARCO)
• Bridging molecules and opsonins that play an important role in the
clearance of apoptotic cells include
• Complement C1q,
• Pentraxins (PTX3),
• Mannan-binding lectin (MBL),
• C-reactive protein (CRP), and
• Serum amyloid P protein (SAP)
• C1q is an opsonin and required for uptake of degraded chromatin.
C1q deficiency always is associated with SLE.
• DNase1 (major endonuclease)-deficiency leads to the accumulation
of non-fragmented apoptotic chromatin
THE ROLE OF MYELOID DENDRITIC CELLS
• Macrophages can ingest apoptotic cells, blebs, and debris in an anti-
inflammatory manner, which is characterized by the production of
TGF beta and IL-10
• Dendritic cells encountering autoantigens without being activated will
induce immunological tolerance.
• The balance between immunity and tolerance apparently is skewed
towards autoimmunity in SLE.
• mDCs can be activated by apoptotic blebs and modified chromatin,
and after ingestion mDCs present the modified histone peptides in a
pro-inflammatory manner to T cells, thereby initiating an
autoimmune response
• Presentation by activated mDCs of the ingested modi- fied chromatin
to autoreactive T cells may be the first step in break- ing the
immunological tolerance that may occur in patients with SLE
• IL-6 concentrations, produced by activated mDCs, are high in patients
with SLE
• IL-6inhibit the development of regulatory T cells (TREG) while it
stimulates the development of Th17 cells
• Th17 cells activates autoreactive B cells and recruit inflammatory cells
to specific organs
The role of plasmacytoid dendritic cells and IFN-α
• Plasmacytoid DC express TLR7 and TLR9,
• pDCs are activated, thereby initiating the production of type
I IFNs with IFN-α as key cytokine
• IFN-α has a broad range of effector functions
• mDC maturation
• B-cell activation
• T-cell activation
• enhancing NETosis,
• NETs also trigger pDCs to produce IFN-α
VIRAL IMMUNITY –AUTOIMMUNITY-RELAPSING
AUTOIMMUNE DISEASE
• CD8 T cells become “exhausted” in the setting of persistent antigen
exposure and the absence of CD4 T cell costimulation.
• These exhausted CD8 cells lose effector function and express
inhibitory receptors at high levels.
• This leads to an inability to clear viral infections, but can be
protective against relapsing autoimmune disease
• The upregulated genes are 4–1BB, CTLA4, PDCD1, LILRB4, and KLG1.
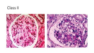
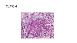
RENAL BIOPSY
Class II
CLASS III
CLASS 4
CLASS 5
CHANGES IN ISN/RPS 2018
• The minimum mesangial hypercellularity required to make a diagnosis
of class II lupus nephritis is the presence of ‘four or more nuclei fully
surrounded by matrix in mesangial area not including the hilar region
• The designations ‘A, C, and A/C,’ respectively, for ‘acute, chronic and
acute/chronic,’ have been replaced by a formal scoring of the activity
and chronicity indices
• Endocapillary hypercellularity’ replaces ‘endocapillary proliferation’
for the reason explained above.
• ‘Neutrophils/Karyorrhexis’ replaces ‘leukocyte infiltrate.’ This is
because karyorrhexis is typically the result of neutrophil
fragmentation and it is logical to group both lesions together.
• ‘Fibrinoid necrosis’ is now a separate item to be graded instead of
being graded as ‘fibrinoid necrosis/karyorrhexis.’
• ‘Cellular/fibrocellular crescents’ replaces ‘cellular crescent.’ In other
words, both cellular and fibrocellular crescents are accepted as
indicators of acute inflammatory activity.
• ‘Interstitial inflammation’ replaces ‘mononuclear cell infiltration.’
This change recognized the role of neutrophils, eosinophils, and mast
cells in the pathogenesis of tissue injury.
• ‘Total glomerulosclerosis score’ includes both globally and segmental
sclerosis, since global sclerosis only captures later stages of disease.
THANK U…

Lupus nephritis Management

  • 1.
  • 2.
    PATHOGENESIS • Lupus nephritisdevelops in individuals with an unfortunate combination of genetic variants that compromise the maintenance of immune tolerance to endogenous nuclear material. • The consequence of tolerance loss is autovaccination and lifelong persistence of antinuclear antibodies (ANA), indicating persistently active autoreactive T- and B-cell clones. • Only a subset of patients develops clinical symptoms,often upon (viral) infections or hormonal influences that provide an unspecific stimulus for the expansion of these autoreactive lymphocyte clones. • The symptoms depend on interferon-alpha release, hence they are unspecific just as in any viral infection. • A further subset of patients develops organ manifestations such as lupus nephritis, which depends on the presence of additional susceptibility genes, some of which affect the kidney itself, whereas others drive persistent systemic inflammation and autoimmunity.
  • 4.
    AUTOVACCINATION • The mainpathogenesis of SLE is the loss of immune tolerance to nuclear autoantigens • SLE is usually not monogenic but is a polygenic disorder inherited as a Mendelian trait. • SLE patient has overt autovaccination/immunization to nuclear material exemplified by the presence of antinuclear antibody. • The concept of autovaccination -the immune systems will remain primed like after any other vaccine shots, and so there is no cure for SLE but lifelong monitoring and suppression of autoimmune disease activity are necessary.
  • 5.
    PSEUDOANTIVIRAL IMMUNITY • Loss ofimmune tolerance and antinuclear antibodies production does not necessarily produce any clinical symptoms • Immune recognition of endogenous nucleic acids via Toll-like receptors 7 and 9 induces interferon alpha dependent antiviral immunity, which manifests clinically as fatigue, fever, arthralgia, and myalgia, as may be seen in any viral infection- PSEUDOANTIVIRAL IMMUNITY • SLE activity can be influenced by environmental factors that contribute to DNA unmasking (certain drugs) and massive cell death (ultraviolet light), or that provide an unspecific immunostimulatoryeffect to autoreactive lymphocyte clones (infections)
  • 6.
    ORGAN DAMAGE • The riskof an SLE patient developing LN depends on additional genetic variants that create a predisposition for significant renal damage during the systemicautoimmune state • Some gene variants may promote mesangial cell proliferation; others affect basement membrane stabilityor the functions of integrin-alpha Such additional “weaknesses” or susceptibility factors determine whether a patient develops signs of nephritis. • Immune complex glomerulonephritis in SLE can present in different ways depending on the primary site of immune complex deposition
  • 7.
    • IC formin situ via the recognition of intrarenal lupus autoantigens in the mesangium, subendothelial space, or outside the glomerular basement membrane between podocyte foot processes. • Once formed, immune complexes activate complement, which can injure adjacent cells, leading to either mesangial LN (class I, II), endothelial-proliferative LN (class III, IV), nephrotic syndrome (class V)
  • 8.
    Kidney Disease In SLEOther Than Immune Complex Glomerulonephritis Thrombotic microangiopathy- secondary Antiphospholipid Antibody Syndrome Podocytopathies Steroid-induced diabetes or atherosclerosis, leading to diabetic nephropathy or renovascular disease
  • 9.
    LUPUS IN MALE Less common Menwith lupus have a more complex clinical course than women Higher mortality in one year than women More seizures, immune-mediated anemia (low hemoglobin level) and lupus anticoagulant level that may lead to thrombogenesis Fertile, sexually active and have normal reproductive history Kidney involvement-Higher prevalence, poorer renal outcome, and poorer overall survival rate Higher prevalence of Class IV, diffuse proliferative nephritis (DPGN)
  • 10.
    LUPUS IN PREGNENCY Normal pregnancy, •The number of CD4+/CD25+ regulatory T cells (Tregs) is increased • Potent immunosuppressiveaction and contribute to fetal tolerance • Shift from a Th1 cell-mediated to a Th2 antibody- mediated immune response (commonly referred to as Th2 polarization) Lupus with Pregnency • Fewer Tregs that also are functionally defective - increased risks for pre-eclampsia and maternal and fetal morbidity • In the setting of Th2 polarization, Th2-mediated diseases, such as SLE, mayworsen during pregnancy. • The risk for disease flare may be further enhanced by the hormonal changes of pregnancy (Estrogen) • Secondary Antiphospholipid Syndrome
  • 11.
    DRUG INDUCED LUPUS Type B (hypersensitivity)reaction Drug induced lupus is uncommon GN is uncommon but has been reported with hydralazine, sulfasalazine, PTU, penicillamine and anti–TNF-α therapy Antihistone antibodies are common in DIL
  • 12.
    Drug Clinical FeaturesLaboratory Features Positive Antibody Tests Hydralazine Rash, fever, myalgias, pleuritis, polyarthritis nephritis <10% Anemia, leukopenia ANA, anti-dsDNA, ANCA, antihistone Procainamide Polyarthritis, polyarthralgias serositis nephritis <10% Anemia Anti-dsDNA, antihistone, anticardiolipin TNF-α inhibitors (etanercept/adalimumab/i nfliximab Systemic symptoms predominant (nephritis in 7%); skin manifestations dominate Thrombocytopenia, hypocomplementem ia ANA, anti-dsDNA, antinucleosome, anticardiolipin
  • 13.
    ANA ANA's are aheterogenous group of circulating immunoglobulins that include IgM, IgG, and IgA. These immunoglobulins react with the whole nucleus in host tissue, and they are true autoantibodies. ANA's have no organ or species specificity and are capable of cross- reacting with nuclear material from human or various animal tissues. Each immunoglobin is composed of two heavy chains and two light chains. Light chains contribute to antigen binding and heavy chain regions determine antibody isotype ( IgM, IgD, IgG, IgA, or IgE). In lupus patients the light and heavy chains may no longer be autoreactive and eliminate a high percentage of autoreactive B-cells, which are responsible for producing antibodies.
  • 15.
    LUPUS PODOCYTOPATHY • A patientwith SLE, presenting with nephrotic syndrome and kidney biopsy findings of • Normal glomeruli or focal segmental glomerulosclerosis (FSGS) lesions (with or without mesangial proliferation) on light microscopy and the absence of subepithelial or subendothelial deposition • The prevalence of lupus podocytopathy represents approximately 1% of LN biopsies. • Acute kidney injury (AKI) is uncommonin lupus podocytopathy (34%). • Microscopic hematuria and hypertension are also rare in lupus podocytopathy (18%)
  • 17.
    MEMBRANOUS LUPUS • Differentiating MLNfrom pMN can be challenging. • Antibodies • Neutral Endopeptidase (NEP) • Phospholipase A2 receptor (PLA2R) in pMN. (approximately 70% of patients with pMN ) • Anti-ThrombospondinType 1 Domain Containing 7 Autoantibodies (anti THSD7A) • Exostosin1 and 2 (differentiate primary from autoimmune forms of membranous nephropathy) • Histology • Mesangial hypercellularity • Electron microscopy –mesangial and subendothelial immune complex deposition, and tubuloreticular inclusions. • Immunofluorescence examinationin MLN demonstrates positive staining for immunoglobulin G (IgG), C3, IgM, IgA, and C1q. • Predominant IgG in MLN is usually IgG1 and/or IgG3. In contrast, IgG4 subclass deposits are typical of pMN
  • 19.
  • 22.
    KADIGO • Class ILN (minimal-mesangial LN) treated for extrarenal clinical manifestations of lupus. • Class II LN (mesangial-proliferative LN) • Treat patients with class II LN and proteinuria <1 g/d as dictated by the extrarenal clinical manifestations of lupus. • Proteinuria >3 g/d be treated with corticosteroidsor CNIs as described for MCD
  • 23.
    • Class IIILN (focal LN) and class IV LN (diffuse LN)— • Initial therapy -We recommend initial therapy with corticosteroids+ either cyclophosphamide or MMF • We suggest that, if patients have worsening LN (rising SCr, worsening proteinuria) during the first 3 months of treatment, a change be made to an alternative recommended initial therapy, or a repeat kidney biopsy be performed to guide further treatment KADIGO
  • 24.
    KADIGO • Maintenance therapy- Azathioprine (1.5–2.5 mg/kg/d) or MMF (1–2 g/d in divided doses), and low-dose oral corticosteroids (r10 mg/d prednisone equivalent). • CNIs with low-dose corticosteroids (intolerant of MMF and azathioprine • After complete remission is achieved, maintenance therapy be continued for at least 1 year before consideration is given to tapering the immunosuppression. • If complete remission has not been achieved after 12 months of maintenance therapy, consider performing a repeat kidney biopsy before determining if a change in therapy is indicated. (Not Graded) • While maintenance therapy is being tapered, if kidney function deteriorates and/or proteinuria worsens, we suggestthat treatment be increased to the previous level of immunosuppressionthat controlled the LN.
  • 26.
    • Class VLN (membranous LN) • normal kidney function, and non–nephrotic-range proteinuria be treated with antiproteinuric + antihypertensive medications, and only receive corticosteroids and immunosuppressives as dictated by the extrarenal manifestations of systemiclupus. • Persistent nephrotic proteinuria be treated with corticosteroids plus an additional immunosuppressive agent: cyclophosphamide or CNI or MMF or azathioprine • General treatmentof LN • LN of any class are treated with hydroxychloroquine (maximum daily dose of 6–6.5 mg/kg ideal body weight), • Class VI LN (advanced sclerosis LN) • Corticosteroids and immunosuppressives only as dictated by the extrarenal manifestations of systemiclupus. (2D) KADIGO
  • 27.
    • Relapse ofLN • Relapse of LN after complete or partial remission be treated with the initial therapy followed by the maintenance therapy that was effective in inducing the original remission. • Risk for excessive lifetime cyclophosphamide exposure,- non cyclophosphamide-based initial regimen be used • Consider a repeat kidney biopsy during relapse if there is suspicion of histologic class change or rising SCr and/or worsening proteinuria represents disease activity or chronicity. • Treatmentof resistantdisease • In patients with worsening SCr and/or proteinuria after completing one of the initial treatment regimens, consider performing a repeat kidney biopsy to distinguish active LN from scarring • Treat patients with worsening SCr and/or proteinuria who continue to have active LN on biopsy with alternative initial treatment regimens • Nonresponders who have failed more than one of the recommended initial regimens - treatment with rituximab, i.v. immunoglobulin, or CNIs. KADIGO
  • 29.
    • Systemiclupus andthromboticmicroangiopathy • APLA-involving the kidney in systemiclupus patients, with or without LN, be treated by anticoagulation (target INR 2–3). • Plasmaexchange • Systemiclupus and pregnancy • counselled to delay pregnancy until a complete remission of LN has been achieved. • Cyclophosphamide, MMF, ACE-I, and ARBs not be used during pregnancy. • Hydroxychloroquine be continued during pregnancy. • MMF be switched to azathioprine. • Relapse during pregnancy, they receive treatment with corticosteroids and, depending on the severity of the relapse, azathioprine. • Drugs not be tapered during pregnancy or for at least 3 months after delivery. Administer of low-dose aspirin during pregnancy to decrease the risk of fetal loss. KADIGO
  • 39.
    The Euro-Lupus NephritisTrial • Multicenter, prospecitive trial of 90 LN pts with Proliferative LN Initial • Follow 41 months, subsequent long-term follow • Monthly High dose IVCYT ( 6 mo IVP 0.5-1 g/m2+ 2 quarterly pulses ) vs Low dose IV CYT ( 500 mg IVP every 2 wks x 3 months followed by oral AZA )
  • 49.
    ALMS vs MAINTAIN TRIAL • Blindstudy • n-227 • various ethnic group • Only patient who responded entered maintenance phase • Open • n-105 • White • all patient received EURO LUPUS regimen and entered maintenance phase
  • 53.
    Completed Clinical Trials Abatacept– BMS Completed clinical trials CTLA4-B7 interaction Phase 3 – Failed to meet end point Abatacept – ACCESS Completed clinical trials CTLA4-B7 interaction Phase 2 – Failed to meet end point Anti-CD40L Completed clinical trials CD40-ligand Phase 2 – Terminated Anti-TWEAK Completed clinical trials TWEAK Phase 2 – Terminated Bortezomib Completed clinical trials Plasmacells Phase 4 – Terminated Laquinamod Completed clinical trials Inflammation Phase 2 – Encouraging Rituximab Completed clinical trials CD20 Phase 3 – Failed to meet end point Ocrelizumab Completed clinical trials CD20 Phase 3 – Failed to meet end point
  • 54.
    Active Clinical Trials AnifrolumabActive clinical trials IFN-α Phase 2 – Recruiting Belimumab Active clinical trials B lymphocyte stimulator Phase 3 – Recruitment closed Ixazomib Active clinical trials Plasmacells Phase 1 – Recruiting Obinutuzumab Active clinical trials CD20 Phase 2 – Recruiting Rituximab Active clinical trials CD20/steroid reduced Phase 3 – Recruiting Rituximab/Belimumab Active clinical trials CD20/B lymphocyte stimulator Phase 2 – Recruiting Voclosporin Active clinical trials Calcineurin Phase 2 – Recruitment closed
  • 55.
  • 56.
  • 57.
    HISTORY OF LUPUS •Hippocrates (460-375 BC) was the first to describe cutaneous ulcers under the heading of herpes esthiomenos • The term "lupus", derived from Latin for wolf
  • 58.
    • Associated systemicmanifestations was described in 1872 and termed "disseminated lupus erythematosus". • A preference for "systemic" rather than "disseminated" was suggested in 1904 but would not prevail until the 1960s. • Term "nephritis", denoting "inflammation of the kidneys" dating to the 1580s, was first used to describe the renal lesions of SLE in 1902. • Late 1950s after the introduction of kidney needle biopsies • Lesions observed were classified by glomerular changes in 1975 and refined in 2003
  • 59.
    DEFINITION • Lupus nephritis(LN), immune complex glomerulonephritis (GN) • Common and serious in patients with systemic lupus erythematosus (SLE). • SLE is defined by clinical and laboratory features as outlined in • The 1997 American College of Rheumatology (ACR) criteria • The SystemicLupus International Collaborating Clinics (SLICC) criteria introduced in 2012
  • 60.
    ACR Criteria Presence(cumulative) offour or moreof the following: • Malar rash • Discoid rash • Photosensitivity • Oral or nasopharyngeal ulcers • Nonerosive arthritis (involving ≥2 joints, characterized by tenderness, swelling, or effusion) • Pleuritis or pericarditis • Renal disease (proteinuria >500 mg/day OR 3+ by dipstick OR cellular casts) • Neurologic disorder • Hematologic disorder • Immunologic disorder (positive anti-dsDNA antibody OR positive anti-Sm antibody OR positive antiphospholipid antibody (includes pr lupus anticoagulant, false-positive treponemal test, positive anticardiolipin antibody) • Positive ANA
  • 61.
    SLICC Criteria Presence (cumulative)offour ormoreofthe following (with atleast1 clinical and 1 immunologic criteria)OR biopsy-proven lupusnephritiswith positive ANA or anti-dsDNA Clinical Criteria Immunologic Criteria • Acute OR subacute cutaneous lupus • Positive ANA • Chronic cutaneous lupus • Positive anti-dsDNA antibody • Nonscarring alopecia • Positive anti-Sm antibody • Oral OR nasal ulcers • Positive antiphospholipid antibody (includes presence of a lupus anticoagulant, false-positive RPR, anticardiolipin antibody or anti- β2 glycoproteinantibody) • Synovitis ≥2 joints (swelling or effusion)OR tenderness in 2 or more joints and ≥30 minof morning stiffness • Low complement(C3, C4, or CH50) • Serositis • Direct Coombstest(in the absence of hemolytic anemia) • Renal disease (red blood cell casts OR proteinuria ≥500 mg/dayon 24- hr urine collectionOR spotratio of urine protein to creatinine ratio ≥0.5) • Neurologic disorder • Hemolytic anemia • LeukopeniaOR lymphopenia
  • 62.
    EPIDIMIOLOGY • SLE ismore prevalent in women • Female-to-Male ratio is highest at reproductive age • Ranging between 8:1 and 15:1 • Lowest in prepubertal children at about 4:3 • Black and Hispanic SLE patients develop LN earlier and high risk for CKD/ESKD (APOL1 gene-black)
  • 63.
    • LN isa major risk factor for morbidity and mortality in SLE and 10% of patients with LN will develop ESRD • The risk of ESRD is higher in class 4 LN the risk may be as high as 44% over 15 years • Patients with LN also have a higher standardized mortality ratio and die earlier than SLE patients without LN • 10-year survival improves from 46% to 95% if disease remission can be achieved
  • 64.
    PATHOGENESIS • A meta-analysisof HLA-DRB1 alleles in SLE concluded that • Carriers of HLA-DR4 and DR11 were protected against LN • Conversely HLA-DR3 and DR15 conferred an increased risk of LN • Meta-analysis- Patients were women of European descent found • LN mapped to the PDGF receptor A gene and the gene for the sodium-dependent glucose cotransporter SLC5A11
  • 65.
    • PDGF maymediate kidney • Cell proliferation, • Matrix accumulation, and • Intrarenal inflammation • SLC5A11 may mediate a • Decrease in serum and an increase in urine myo-inositol, active role of SLC5A11 in proximal tubule inositol reabsorption • Inositol regulation, SLC5A11 may mediate apoptosis through the programmed cell death and TNF-α pathways
  • 66.
    PATHOGENESIS • Autoimmune responsein SLE is seen against chromatin (normally is shielded from the immune system due to its location in the nucleus) • The presence of apoptotic material may be the result of • An aberrant process of apoptosis, increased rate of apoptosis or apoptosis at the wrong moment or location • Insufficient clearance of apoptotic cells and debris provides an
  • 67.
    • The innateand adaptive immune system may thereby be activated in several ways • Apoptotic blebs and apoptotic chromatin, containing apoptosis- induced modifications myeloid dendritic cells (mDCs) ligation of toll-like receptors (TLRs) autoreactive T cells activate autoreactive B cells specific for chromatin • Particular RNA-containing immune complexes plasmacytoid dendritic cells (pDCs) ligation of TLR7 production of type I interferons like IFN-α. • NETs (neutrophil extracellular traps) pDCs • Autoreactive B cells may be directly activated by apoptotic chromatin
  • 68.
    APOPTOSIS AND SURVIVALDEFECTSINSYSTEMICLUPUS ERYTHEMATOSUS • Fas receptor (CD95; FasR) and Fas ligand (CD95L; FasL) • FasL is only expressed on immune cells, whereas FasR is expressed on non- immune cells as well • juvenile onset of SLE an increased expression of FasR on T cells has been detected • Bcl-2 family • either anti-apoptotic ( Bcl-2) or pro-apoptotic (Bim ) • Integrin alpha-M, (ITGAM (CD11/CD18)) • Regulation of apoptosis in neutrophils, but also in leucocyte adhesion and complement C3b binding • B-cell survival signals affected in SLE include the cytokine B-cell activating factor (BAFF)
  • 69.
    • Neutrophil extracellulartraps in SLE (NETs) • Neutrophils can spill so-called neutrophil extracellular traps (NETs), which consist of their total chromatin and associatedpep- tides with anti-microbial activity like LL37 and HNP • process of NET formation is called NETosis • insufficient degradation of NETs is linked to SLE and lupus nephritis • anti-LL37 and anti-HNP antibodies, which correlate with anti-DNA antibody titres • NETs are able to activate plasmacytoid dendritic cells
  • 70.
    CLEARANCE DEFECTS INSYSTEMIC LUPUS ERYTHEMATOSUS • Cells undergoing apoptosis display • ‘come and get me’ signals, like the lipid phosphatidylcholine (PC) • ‘eat me’ signals, like the lipid phosphatidylserine (PS) • This signals attract phagocytes and facilitate phagocytosis mediated by receptors on phagocytes. • Bridging molecules (opsonins)serve as an additional link between the signals on the surface of the apoptotic cell and the receptors on the phagocyte. • Deficiencies in these components can lead to decreased clearance of apoptotic cells and to the development of SLE
  • 71.
    • PS isan important apoptotic cell signal for clearance which is present at the outer cell membrane • PS is bound directly by receptors on the phagocyte or indirectly via bridging molecules or opsonins. • The phagocytic cells express multiple receptors including • PS receptor • Milk fat globule-EGF factor 8 protein (MFGE8) • Complement factor C1q receptor • c-Mer proto-oncogene tyrosine kinase (MERTK) • ITGAM • macrophage receptor with collagenous structure (MARCO)
  • 72.
    • Bridging moleculesand opsonins that play an important role in the clearance of apoptotic cells include • Complement C1q, • Pentraxins (PTX3), • Mannan-binding lectin (MBL), • C-reactive protein (CRP), and • Serum amyloid P protein (SAP) • C1q is an opsonin and required for uptake of degraded chromatin. C1q deficiency always is associated with SLE. • DNase1 (major endonuclease)-deficiency leads to the accumulation of non-fragmented apoptotic chromatin
  • 73.
    THE ROLE OFMYELOID DENDRITIC CELLS • Macrophages can ingest apoptotic cells, blebs, and debris in an anti- inflammatory manner, which is characterized by the production of TGF beta and IL-10 • Dendritic cells encountering autoantigens without being activated will induce immunological tolerance. • The balance between immunity and tolerance apparently is skewed towards autoimmunity in SLE. • mDCs can be activated by apoptotic blebs and modified chromatin, and after ingestion mDCs present the modified histone peptides in a pro-inflammatory manner to T cells, thereby initiating an autoimmune response
  • 74.
    • Presentation byactivated mDCs of the ingested modi- fied chromatin to autoreactive T cells may be the first step in break- ing the immunological tolerance that may occur in patients with SLE • IL-6 concentrations, produced by activated mDCs, are high in patients with SLE • IL-6inhibit the development of regulatory T cells (TREG) while it stimulates the development of Th17 cells • Th17 cells activates autoreactive B cells and recruit inflammatory cells to specific organs
  • 75.
    The role ofplasmacytoid dendritic cells and IFN-α • Plasmacytoid DC express TLR7 and TLR9, • pDCs are activated, thereby initiating the production of type I IFNs with IFN-α as key cytokine • IFN-α has a broad range of effector functions • mDC maturation • B-cell activation • T-cell activation • enhancing NETosis, • NETs also trigger pDCs to produce IFN-α
  • 77.
    VIRAL IMMUNITY –AUTOIMMUNITY-RELAPSING AUTOIMMUNEDISEASE • CD8 T cells become “exhausted” in the setting of persistent antigen exposure and the absence of CD4 T cell costimulation. • These exhausted CD8 cells lose effector function and express inhibitory receptors at high levels. • This leads to an inability to clear viral infections, but can be protective against relapsing autoimmune disease • The upregulated genes are 4–1BB, CTLA4, PDCD1, LILRB4, and KLG1.
  • 78.
  • 81.
  • 82.
  • 83.
  • 84.
  • 87.
    CHANGES IN ISN/RPS2018 • The minimum mesangial hypercellularity required to make a diagnosis of class II lupus nephritis is the presence of ‘four or more nuclei fully surrounded by matrix in mesangial area not including the hilar region • The designations ‘A, C, and A/C,’ respectively, for ‘acute, chronic and acute/chronic,’ have been replaced by a formal scoring of the activity and chronicity indices • Endocapillary hypercellularity’ replaces ‘endocapillary proliferation’ for the reason explained above.
  • 88.
    • ‘Neutrophils/Karyorrhexis’ replaces‘leukocyte infiltrate.’ This is because karyorrhexis is typically the result of neutrophil fragmentation and it is logical to group both lesions together. • ‘Fibrinoid necrosis’ is now a separate item to be graded instead of being graded as ‘fibrinoid necrosis/karyorrhexis.’ • ‘Cellular/fibrocellular crescents’ replaces ‘cellular crescent.’ In other words, both cellular and fibrocellular crescents are accepted as indicators of acute inflammatory activity. • ‘Interstitial inflammation’ replaces ‘mononuclear cell infiltration.’ This change recognized the role of neutrophils, eosinophils, and mast cells in the pathogenesis of tissue injury. • ‘Total glomerulosclerosis score’ includes both globally and segmental sclerosis, since global sclerosis only captures later stages of disease.
  • 89.