Marwa Abo Elmaaty Besar
Lecturer Of Internal Medicine
(Rheumatology & immunology Unit)
(Pediatric Rheumatologist)
Lupus complication
Lupus nephritis; screening and
management.
Incidence:
Clinically
- In early stages, detected in 25-50% of lupus pts.
- In the later stages, detected in 2/3 of lupus pts.
Histologically, can be found in almost all cases, Annual
incidence : 10%.
Onset: - Usually within 5 yrs of diagnosis;
- Renal failure may be initial presentation.
- Uncommon after 10 yrs of diagnosis.
Sex: SLE: Female: male = 9:1.
Lupus nephritis: Slightly higher & more severe in ♂ > ♀
Age: Common in pts aged 20-40 yrs
Race: Higher, more severe in Black and Asian people.
Genetic factors:
More common in first-degree relatives of SLE pts.
Higher Concordance rates with monozygotic > dizygotic twins
Increased risk with HLA-DR2, -DR3 and -B8 gene association.
Increased risk with polymorphisms of Fc-‫ע‬ receptors gene
for IgG.
Immunologic factors: LN is associated w/ the production of
nephritogenic autoantibodies.
Environmental factors play a role in disease expression.
At least 3 overlapping immunopathogenic mechanisms:
1. Autoimmunity:
OR
DNA & anti-DNA Ab antigen & antibody
Deposition in the kidney (glomeruli,
subepithelial; subendothelial, membrane)
Circulating immune complexes
Chemotaxis of neutrophils
Complement cascade activation
local inflammatory process
2. Antibodies against specific cellular targets may produce renal injury
e.g, anti-ribosomal P antibodies.
3. Glomerular thrombosis 2ry to antiphospholipid antibody syndrome
(APLA) may produce renal injury .
Other mechanisms
1. STAT6 and IL-4 may contribute to glomerulosclerosis
STAT4 may play a role in autoantibody production.
2. T-lymphocytes may contribute to endothelial cell activation and
inflammation
3. B-lymphocytes may activate T helper cell promoting LN, an additional
role for B cells, apart from autoantibody production.
Renal biopsy is considered for:
1. Patients with active sediment
2. Proteinuria >500-1000mg/day
3. Azotemia, creatinine > ~1.1 mg/dL
4. Prior to initiating cytotoxic Rx.
5. Restaging, prognosis, and adjustment of therapy
It is not necessary if the patient will be treated with CYC for
extra-renal manifestations of SLE (e.g severe CNS disease)
but still should be considered to help predict renal outcome
The World Health Organization (WHO) described a classification of
lupus renal disease from renal biopsy specimens based on :
Light microscopy,
Immunofluorescence and
Electron microscopy findings
Transitions from one WHO Classification to another occurs in
~20-40% of the patients.
Endothelial cells
Mesangial matrix
Epithelial cells
Mesangial cells
Efferent
arteriole
Afferent
arteriole
Parietal Epithelium Bowman’s capsule
Juxtaglomerular
appartus
Capillary loops
Urinary
space
frequency
electron microscopy
(Immune deposits sites)
Immuno-fluorescence
(Immune deposits sites)
light microscopy
WHO Classification
~8%
Normal
Normal
Normal
Class I
~40%
No or few mesangial
Mesangial
No or few mesangial
Mesangial
Normal
Mesangial prolif.
Class II (Mesangial)
Class II-A:
Class II-B
~15%
Mesangial and
subendothelial
Diffuse mesangial &
Irregular capillary.
Segmental capillary
loop proliferation in <
50% of glomeruli
Class III (focal
proliferative GN)
~25%
Subendothelial and
subepithelial
Diffuse mesangial and
Diffuse capillary walls
Global capillary loop
proliferation in > 50%
of glomeruli
Class IV (diffuse
proliferative GN)
~8%
Intramembranous &
subepithelial
Intramembranous &
Frequent mesangial
Diffuse thickening
of basement M.
Class V
(membranous N)
~4%
Chronic glomerular
sclerosis, ISF and
tubular atrophy.
Class VI
(sclerosing GN)
C. Molino et al. / European Journal of Internal Medicine 20
(2009) 447–453
Mesangial LN with
moderate mesangial
hypercellularity
Immunofluorescence:
Focal proliferative LN
Light M/E:
Focal proliferative LN
Diffuse proliferative lupus nephritis
with hypertensive vascular changes.
Diffuse proliferative lupus nephritis
with early crescent formation
DPLN with extensive crescent
formation (rapidly progressive
glomerulonephritis)
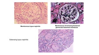
Membranous LN showing thickened
glomerular basement membrane.
Membranous lupus nephritis
Sclerosing lupus nephritis
Class II
Class V
Asymptomatic proteinuria
Fever Fatigue Rash
Arthritis
Oral ulceration
Convulsion
Class III
Class IV
Active SLE manifestations
Visual
disturbance, Convulsions
Dizzness,
Headache,
Class IV
HTN
Peripheral Edema
Pericardial effusion
Pleural effusion
Ascites
Class IV
Class V
Edema/Nephrotic Proteinuria
With HTN
Without HTN
Prognosis
Clinical manifestations
WHO Classification
Excellent
Normal clinically
Normal blood tests
Class I
Excellent
Normal
Asymptomatic proteinuria
Class II
Class II-A:
Class II-B
Good with minority
of pts developing
progressive RF. 1/3
of pts progress to
DPGN
•HTN (Headache, dizziness, visual disturbances)
•Active SLE [fatigue, fever, rash, arthritis, serositis,
oral or nasal ulcer, CNS disease).
•Moderate-high proteinuria - Abnormal sediment
•Edema(peripheral/ ascites/ pleural/ pericardial effusion)
Class III (DPGN)
Fair with significant
No of pts developing
progressive RF over
time
•HTN
•Active SLE
•Nephrotic proteinuria - Abnormal sediment
•Edema
Class IV (FPGN)
Fair with significant
No of pts develop RF
•Moderate-high Proteinuria, Normal sediment
•Edema
Class V
Poor
•Significant renal insufficiency or ESRD and unlikely
respond to treatment.
Class VI
↑ESR
↑ anti-dsDNA, anti-Sm Ab especially with FPLN and DPLN
↓ C3 & C4 levels
↓Total hemolytic complement (CH50)
↓Serum albumin and ↑serum cholesterol.
↑ Serum creatinine (in renal dysfunction]
30% ↓ creatinine clearance (in 40-80% of pts).
↑Proteinuria >1000 mg/d ± active sediment (leukocyturia, hematuria, and
granular & hyaline casts.
CHRONICTY INDEX
ACTIVITY INDEX
Reflects the amount of fibrosis & scarring,
irreversible & unlikely to respond to Rx..
Reflects the state of active inflammation
which may be reversible with medications
Glomerular abnormalities
1. Glomerular sclerosis
2. Fibrous crescents
Glomerular abnormalities
1. Cellular proliferation
2. Fibrinoid necrosis, karyorrhexis
3. Cellular crescents
4. Hyaline thrombi, wire loops
5. Leukocyte infiltration
Tubulointerstitial abnormalities
1. Interstitial fibrosis
2. Tubular atrophy
Tubulointerstitial abnormalities
1. Mononuclear cell infiltrates
- Severity of each index quantitated as 0 = absent, 1 = mild, 2 = moderate and 3 = severe
- Maximum activity index is 18 and that of chronicity index 12.
Based on renal biopsy
Medical Care
Aim
To normalize renal function or, at least, to
prevent progressive loss of renal function.
Diet
Restrict salt for HTN.
Restrict fat for hyperlipidemia 2ry to
nephrotic syndrome.
Restrict protein if renal function is
significantly impaired.
Medical Care
General
– Consider performing a renal biopsy to assess activity and
chronicity indices.
– ♀Patients should avoid pregnancy if they have active lupus
nephritis because it may
worsen their renal disease.
 Treat extrarenal manifestations and other variables that may
affect the kidneys & avoid nephrotoxic drugs including NSAID
 Patients with ESRD, sclerosis, and a high chronicity index are
unlikely to respond to aggressive therapy. So, focus therapy on
extrarenal manifestations of SLE and on possible kidney
transplantation
Medications
ACE inhibitors for HTN with significant proteinuria &
insignificant renal insufficiency.
Calcium + Vit D or bisphosphonate, to prevent
osteoporosis with long-term corticosteroid therapy.
Anticoagulation or anti-platelet agents in patients with
hyper- coagulability that accompanies APLA syndrome.
Prednisone and Immunosuppressive agents :
Two Rx regimens are suggested in previously
active LN and severe clinical manifestation (i.e
function and/or high grade proteinuria) :
Immunosuppressive
Prednisone
Situations
WHO Classification
No Rx
No Rx
No proteinuria
Class I
No RX
Azathioprine
No Rx
low-to-moderate doses (i.e 20-40 mg/d) for 1-3
months, then tapered by 5-10 mg q 1-3 w
No proteinuria or active urinary
sediment
Proteinuria > 1 gm/d, ↑anti-dsDNA ,
and ↓C3 levels
Class II-A:
Class II-B
•Azathioprine
•CYC
•Usually responds to 1 mg/kg/d x4-12 w depending
on clinical response
•Higher dose 2-4mg/kg/d x4-12 w
Taper to maintenance dose 5-10 mg/dx2y
………………………………………………………
………………………………………………………
………………………………………………………
……..
•Nephrotic Syndrome
•Active sediment.
•No azotemia
•Azotemia
Class III
CYC:10-15mg/kg (0.5-1gm/ m²
of body surface) monthlyx 6mo
then q 2mox 3 doses-then q 3
mox 4 doses then maintain w/
azathioprine or MMF for 2-2.5y
•1 mg/kg/d x4-12 w
•2-4mg/kg/d x4-12 w
•Nephrotic Syndrome
•Active sediment.
Class IV
•Azathioprine or cyclosporin
•CYC
1 mg/kg/ dx 1-3 mo Tapering for 1-2 yrs if respond.
Discontinue if no response
………………………………………………………
………………………………………………………
………………………………………………………
………
•Nephrotic Syndrome
•Pure membranous
•Concurrent DPLN
Class V
Class VI No response to aggressive therapy. So, focus therapy on extrarenal manifestations of SLE and on Dialysis & possible transplan
End-stage renal disease
 Pt needs dialysis & is good candidate for kidney
transplantation.
Hemodialysis is preferred over peritoneal
dialysis because:
Hemodialysis has anti-inflammatory effects
SLE is generally quiescent in patients on
hemodialysis.
Higher anti-dsDNA levels, more
thrombocytopenia, and higher steroid dose
occur with peritoneal dialysis.
Cyclophosphamide (Cytoxan®)
Typically administered with 4-24 hours of IV hydration or with the use of
mercaptoethylamine sulfonate sodium (MESNA) to minimize the risk of
hemorrhagic cystitis.
Each subsequent dose is titrated upward or downward by 10-25% to achieve
a nadir WBCs count at 10-14 d of nearly 3,500 /mm³. Reduce the dose if
creatinine clearance < 30 mL/min
Oral vs. Intravenous Dosing
IV oral
•More effective - Less effective
•Lower incidence of hgic cystitis - Lower incidence of gonadal failure
- 2mg/kg/d is more effective than
prednisone alone
Cyclophosphamide (Cytoxan®)
Main side effects
 Bone marrow suppression with peripheral cytopenias.
 Infection including herpex zoster, sepsis
 Nausea, Vomiting
 Alopecia
 Temporary 2ry amenorrhea, permanent ovarian failure with infertility
(> with IV ), azospermia.
 Hemorrhagic cystitis (> with oral)
 Malignancy (long term, particularly leukemias)
 Cervical Dysplasia
Azathioprine (Imuran®)
More effective than prednisone alone
"steroid-sparing" agent for non-Class IV Disease
Not as effective as IV CYC for Class IV Disease
Less toxic than cyclophosphamide
Can be used:
- if no response or intolerance to CYC
- sequentially after a 6-mo course of predinsolone plus CYC.
Dose is 2-4 mg/kg/day po
Dose is adjusted depending on hematologic response.
Cyclosporin
- used for pts with pure membranous nephritis & incessant nephrotic
syndrome
- dose is typically 2.5-5 mg/kg/day with close monitoring of BP and serum
creatinine
- Side effects
 nephrotoxicity, hypertension, hyperuricemia,
 headache, tremor, hypertrichosis,
 increased risk of infection and
 theoretic risk of malignancy.
Other therapies:
Plasmapheresis-
Remove immune complexes & autoantibodies
Most useful in lupus pts w/ thrombotic microangiopathic
hemolytic anemia or 2ry TTP.
2-4 L (40mg/kg] of plasma are removed & replaced with albumin-
saline solution ± 1-2 units of fresh frozen plasma.
Most useful if given in combination with corticosteroids &
cytotoxic drugs.
Rituximab
Both The EULAR/ERA-EDTA And The ACR guidelines recommend the use of
rituximab (RTX) either as add-on treatment or as monotherapy in cases of
refractory LN.
Other therapies
IV immunoglobulin-
- act by blocking Fc receptor of IgG .
- can be associated with acute RF (monitor Cr 24 hrs after infusion)
LJP397-known as a B cell tolerogen:
Non-toxic Rx that reduces production of anti-DNA antibodies by binding them to the membrane of
auto-reactive B cells.
Anti- C5 monoclonal antibody.
Reduces the production of C5a and C5b-9 and the inflammatory reaction consequent to the generation
of immune complexes in the kidney.
Anti-CD40ligand monoclonal antibody (Anti-CD40L)
Reduce the production of autoantibodies
Inhibit inflammatory cytokine production
Inhibit T-cell dependent activation of endothelial cells
Surgical Care, transplantation:
Ensure that SLE disease is not active at the time of
transplantation.
SLE pt should wait 6-12mo on dialysis prior transplantation to
ensure that spontaneous renal recovery does not occur.
Graft survival in SLE is more worse than in non-SLE pts.
The outcomes of living-related allografts are better than
cadaveric allografts.
Recurrence of active LN in the transplant is unusual [10%).
Recurrent lupus nephritis & concomitant APLA syndrome →
allograft loss.
Good indicators
Poor indicators
White race
↓Proteinuria to < 1gm /d by 6 mo of Rx
Stabilize Cr & ↓proteinuria to < 2gm/d
Normalization of Cr.
Renal biopsy findings showing
- Activity index < 12
- Chronicity index < 4
Delay in Rx of > 5 mo from onset.
Young age at onset of nephritis
Male sex
Black race
Hypertension
Persistent Nephrotic range of proteiuria.
Doubling of proteinuria by 4 wk Rx.
↑ Cr level (>3mg/dL) at presentation.
Doubling of baseline Cr at any time
Persistently ↑anti-dsDNA & ↓C3 & C4
Renal biopsy findings showing
- crescents > 50% of glomeruli
- high chronicity index .
C. Molino et al. / European Journal of Internal Medicine 20
Effect of Lupus & Lupus nephritis on pregnancy
1. Miscarriage (anti-phospholipids antibodies)
2. Preterm delivery (50%) especially with lupus flares.
3. -Premature rupture of membrane.
4. I.U.G.R (placental insufficiency)
5. Still-births (especially in the presence of APL ab)
6. -Pregnancy-induced HTN & pre-eclampsia (early w/ APL)
Effect of Lupus & Lupus nephritis on baby
Risk of neonatal lupus in 5% of the new-born induced by mother’s
antibodies ( anti-Ro & anti-La) that cross the placenta to the fetus.
Neonatal lupus is characterized by rashes which disappear in 3-6
mo. [not lupus & not turn to lupus].
Some babies have congenital heart block, irreversible CHF and
blood abnormalities (pancytopenia).
Effect of pregnancy on Lupus & Lupus nephritis
Flare of Lupus & Lupus nephritis may be more frequent during
pregnancy → increased proteinuria and renal failure.
Flare is more in women with active disease at start of pregnancy.
Flares may occur at any time in pregnancy or post-partum period but
usually mild.
Pre-eclampsia with HTN and proteinuria may be mistaken for the flare
of lupus.
Treatment
Flares of lupus nephritis during pregnancy should be treated
with steroids and azathiaprine. Steroids, azathiaprine,
methyldopa and diuretics are safe in pregnancy.
Continuation of immunosuppressive treatment for at least 2
months after delivery is advised. (Postpartum flares may be
related to high levels of prolactin in lactating mothers ].
Very severe exacerbation of lupus in pregnancy may require
termination of pregnancy but the disease will not necessarily
improve.
• Kidney involvement is common in systemic lupus erythematosus,
occurring in up to 60% of affected adults during the course of their disease.
In most cases, renal disease develops within the first 3 years following
diagnosis.
• Lupus nephritis remains the main morbidity and mortality determinant for
patients with systemic lupus erythematosus.
• The clinical presentation of kidney involvement is highly variable, ranging
from mild asymptomatic urinary anomalies to rapidly progressive uraemia
• The morphologic renal changes in a patient with systemic lupus
erythematosus includes a wide spectrum of lesions: glomerulonephritis,
vasculopathy and tubular-interstitium disease.
Long-term follow-up studies have demonstrated that, with treatment,
patient survival is higher than the precedent decades. Preservation of renal
function is less encouraging.
The optimal treatment regimen in lupus nephritis varies according to
histological lesions, the benefits of early treatment are well
documented. This has led to a propensity to treat all patients with
proliferative lesions regardless of severity.
• Current treatment regimens combine corticosteroids with
cyclophosphamide, azathioprine or ciclosporin, although
mycophenolate mofetil has recently received great attention as a
potentially superior immune suppressive agent and less aggressive
immunosuppressive regimens can be prescribed.
• The future challenge remains the design of therapeutic regimens
that will rapidly induce renal remission with minimum toxicity
Sle complication

Sle complication

  • 1.
    Marwa Abo ElmaatyBesar Lecturer Of Internal Medicine (Rheumatology & immunology Unit) (Pediatric Rheumatologist) Lupus complication Lupus nephritis; screening and management.
  • 3.
    Incidence: Clinically - In earlystages, detected in 25-50% of lupus pts. - In the later stages, detected in 2/3 of lupus pts. Histologically, can be found in almost all cases, Annual incidence : 10%. Onset: - Usually within 5 yrs of diagnosis; - Renal failure may be initial presentation. - Uncommon after 10 yrs of diagnosis.
  • 4.
    Sex: SLE: Female:male = 9:1. Lupus nephritis: Slightly higher & more severe in ♂ > ♀ Age: Common in pts aged 20-40 yrs Race: Higher, more severe in Black and Asian people.
  • 5.
    Genetic factors: More commonin first-degree relatives of SLE pts. Higher Concordance rates with monozygotic > dizygotic twins Increased risk with HLA-DR2, -DR3 and -B8 gene association. Increased risk with polymorphisms of Fc-‫ע‬ receptors gene for IgG. Immunologic factors: LN is associated w/ the production of nephritogenic autoantibodies. Environmental factors play a role in disease expression.
  • 6.
    At least 3overlapping immunopathogenic mechanisms: 1. Autoimmunity: OR DNA & anti-DNA Ab antigen & antibody Deposition in the kidney (glomeruli, subepithelial; subendothelial, membrane) Circulating immune complexes Chemotaxis of neutrophils Complement cascade activation local inflammatory process
  • 7.
    2. Antibodies againstspecific cellular targets may produce renal injury e.g, anti-ribosomal P antibodies. 3. Glomerular thrombosis 2ry to antiphospholipid antibody syndrome (APLA) may produce renal injury . Other mechanisms 1. STAT6 and IL-4 may contribute to glomerulosclerosis STAT4 may play a role in autoantibody production. 2. T-lymphocytes may contribute to endothelial cell activation and inflammation 3. B-lymphocytes may activate T helper cell promoting LN, an additional role for B cells, apart from autoantibody production.
  • 9.
    Renal biopsy isconsidered for: 1. Patients with active sediment 2. Proteinuria >500-1000mg/day 3. Azotemia, creatinine > ~1.1 mg/dL 4. Prior to initiating cytotoxic Rx. 5. Restaging, prognosis, and adjustment of therapy It is not necessary if the patient will be treated with CYC for extra-renal manifestations of SLE (e.g severe CNS disease) but still should be considered to help predict renal outcome
  • 10.
    The World HealthOrganization (WHO) described a classification of lupus renal disease from renal biopsy specimens based on : Light microscopy, Immunofluorescence and Electron microscopy findings Transitions from one WHO Classification to another occurs in ~20-40% of the patients.
  • 11.
    Endothelial cells Mesangial matrix Epithelialcells Mesangial cells Efferent arteriole Afferent arteriole Parietal Epithelium Bowman’s capsule Juxtaglomerular appartus Capillary loops Urinary space
  • 12.
    frequency electron microscopy (Immune depositssites) Immuno-fluorescence (Immune deposits sites) light microscopy WHO Classification ~8% Normal Normal Normal Class I ~40% No or few mesangial Mesangial No or few mesangial Mesangial Normal Mesangial prolif. Class II (Mesangial) Class II-A: Class II-B ~15% Mesangial and subendothelial Diffuse mesangial & Irregular capillary. Segmental capillary loop proliferation in < 50% of glomeruli Class III (focal proliferative GN) ~25% Subendothelial and subepithelial Diffuse mesangial and Diffuse capillary walls Global capillary loop proliferation in > 50% of glomeruli Class IV (diffuse proliferative GN) ~8% Intramembranous & subepithelial Intramembranous & Frequent mesangial Diffuse thickening of basement M. Class V (membranous N) ~4% Chronic glomerular sclerosis, ISF and tubular atrophy. Class VI (sclerosing GN)
  • 13.
    C. Molino etal. / European Journal of Internal Medicine 20 (2009) 447–453
  • 14.
    Mesangial LN with moderatemesangial hypercellularity Immunofluorescence: Focal proliferative LN Light M/E: Focal proliferative LN
  • 15.
    Diffuse proliferative lupusnephritis with hypertensive vascular changes. Diffuse proliferative lupus nephritis with early crescent formation DPLN with extensive crescent formation (rapidly progressive glomerulonephritis)
  • 16.
    Membranous LN showingthickened glomerular basement membrane. Membranous lupus nephritis Sclerosing lupus nephritis
  • 19.
  • 20.
    Fever Fatigue Rash Arthritis Oralulceration Convulsion Class III Class IV Active SLE manifestations
  • 21.
  • 22.
    Peripheral Edema Pericardial effusion Pleuraleffusion Ascites Class IV Class V Edema/Nephrotic Proteinuria With HTN Without HTN
  • 23.
    Prognosis Clinical manifestations WHO Classification Excellent Normalclinically Normal blood tests Class I Excellent Normal Asymptomatic proteinuria Class II Class II-A: Class II-B Good with minority of pts developing progressive RF. 1/3 of pts progress to DPGN •HTN (Headache, dizziness, visual disturbances) •Active SLE [fatigue, fever, rash, arthritis, serositis, oral or nasal ulcer, CNS disease). •Moderate-high proteinuria - Abnormal sediment •Edema(peripheral/ ascites/ pleural/ pericardial effusion) Class III (DPGN) Fair with significant No of pts developing progressive RF over time •HTN •Active SLE •Nephrotic proteinuria - Abnormal sediment •Edema Class IV (FPGN) Fair with significant No of pts develop RF •Moderate-high Proteinuria, Normal sediment •Edema Class V Poor •Significant renal insufficiency or ESRD and unlikely respond to treatment. Class VI
  • 24.
    ↑ESR ↑ anti-dsDNA, anti-SmAb especially with FPLN and DPLN ↓ C3 & C4 levels ↓Total hemolytic complement (CH50) ↓Serum albumin and ↑serum cholesterol. ↑ Serum creatinine (in renal dysfunction] 30% ↓ creatinine clearance (in 40-80% of pts). ↑Proteinuria >1000 mg/d ± active sediment (leukocyturia, hematuria, and granular & hyaline casts.
  • 25.
    CHRONICTY INDEX ACTIVITY INDEX Reflectsthe amount of fibrosis & scarring, irreversible & unlikely to respond to Rx.. Reflects the state of active inflammation which may be reversible with medications Glomerular abnormalities 1. Glomerular sclerosis 2. Fibrous crescents Glomerular abnormalities 1. Cellular proliferation 2. Fibrinoid necrosis, karyorrhexis 3. Cellular crescents 4. Hyaline thrombi, wire loops 5. Leukocyte infiltration Tubulointerstitial abnormalities 1. Interstitial fibrosis 2. Tubular atrophy Tubulointerstitial abnormalities 1. Mononuclear cell infiltrates - Severity of each index quantitated as 0 = absent, 1 = mild, 2 = moderate and 3 = severe - Maximum activity index is 18 and that of chronicity index 12. Based on renal biopsy
  • 27.
    Medical Care Aim To normalizerenal function or, at least, to prevent progressive loss of renal function. Diet Restrict salt for HTN. Restrict fat for hyperlipidemia 2ry to nephrotic syndrome. Restrict protein if renal function is significantly impaired.
  • 28.
    Medical Care General – Considerperforming a renal biopsy to assess activity and chronicity indices. – ♀Patients should avoid pregnancy if they have active lupus nephritis because it may worsen their renal disease.  Treat extrarenal manifestations and other variables that may affect the kidneys & avoid nephrotoxic drugs including NSAID  Patients with ESRD, sclerosis, and a high chronicity index are unlikely to respond to aggressive therapy. So, focus therapy on extrarenal manifestations of SLE and on possible kidney transplantation
  • 29.
    Medications ACE inhibitors forHTN with significant proteinuria & insignificant renal insufficiency. Calcium + Vit D or bisphosphonate, to prevent osteoporosis with long-term corticosteroid therapy. Anticoagulation or anti-platelet agents in patients with hyper- coagulability that accompanies APLA syndrome. Prednisone and Immunosuppressive agents : Two Rx regimens are suggested in previously active LN and severe clinical manifestation (i.e function and/or high grade proteinuria) :
  • 30.
    Immunosuppressive Prednisone Situations WHO Classification No Rx NoRx No proteinuria Class I No RX Azathioprine No Rx low-to-moderate doses (i.e 20-40 mg/d) for 1-3 months, then tapered by 5-10 mg q 1-3 w No proteinuria or active urinary sediment Proteinuria > 1 gm/d, ↑anti-dsDNA , and ↓C3 levels Class II-A: Class II-B •Azathioprine •CYC •Usually responds to 1 mg/kg/d x4-12 w depending on clinical response •Higher dose 2-4mg/kg/d x4-12 w Taper to maintenance dose 5-10 mg/dx2y ……………………………………………………… ……………………………………………………… ……………………………………………………… …….. •Nephrotic Syndrome •Active sediment. •No azotemia •Azotemia Class III CYC:10-15mg/kg (0.5-1gm/ m² of body surface) monthlyx 6mo then q 2mox 3 doses-then q 3 mox 4 doses then maintain w/ azathioprine or MMF for 2-2.5y •1 mg/kg/d x4-12 w •2-4mg/kg/d x4-12 w •Nephrotic Syndrome •Active sediment. Class IV •Azathioprine or cyclosporin •CYC 1 mg/kg/ dx 1-3 mo Tapering for 1-2 yrs if respond. Discontinue if no response ……………………………………………………… ……………………………………………………… ……………………………………………………… ……… •Nephrotic Syndrome •Pure membranous •Concurrent DPLN Class V Class VI No response to aggressive therapy. So, focus therapy on extrarenal manifestations of SLE and on Dialysis & possible transplan
  • 37.
    End-stage renal disease Pt needs dialysis & is good candidate for kidney transplantation. Hemodialysis is preferred over peritoneal dialysis because: Hemodialysis has anti-inflammatory effects SLE is generally quiescent in patients on hemodialysis. Higher anti-dsDNA levels, more thrombocytopenia, and higher steroid dose occur with peritoneal dialysis.
  • 38.
    Cyclophosphamide (Cytoxan®) Typically administeredwith 4-24 hours of IV hydration or with the use of mercaptoethylamine sulfonate sodium (MESNA) to minimize the risk of hemorrhagic cystitis. Each subsequent dose is titrated upward or downward by 10-25% to achieve a nadir WBCs count at 10-14 d of nearly 3,500 /mm³. Reduce the dose if creatinine clearance < 30 mL/min Oral vs. Intravenous Dosing IV oral •More effective - Less effective •Lower incidence of hgic cystitis - Lower incidence of gonadal failure - 2mg/kg/d is more effective than prednisone alone
  • 39.
    Cyclophosphamide (Cytoxan®) Main sideeffects  Bone marrow suppression with peripheral cytopenias.  Infection including herpex zoster, sepsis  Nausea, Vomiting  Alopecia  Temporary 2ry amenorrhea, permanent ovarian failure with infertility (> with IV ), azospermia.  Hemorrhagic cystitis (> with oral)  Malignancy (long term, particularly leukemias)  Cervical Dysplasia
  • 40.
    Azathioprine (Imuran®) More effectivethan prednisone alone "steroid-sparing" agent for non-Class IV Disease Not as effective as IV CYC for Class IV Disease Less toxic than cyclophosphamide Can be used: - if no response or intolerance to CYC - sequentially after a 6-mo course of predinsolone plus CYC. Dose is 2-4 mg/kg/day po Dose is adjusted depending on hematologic response.
  • 41.
    Cyclosporin - used forpts with pure membranous nephritis & incessant nephrotic syndrome - dose is typically 2.5-5 mg/kg/day with close monitoring of BP and serum creatinine - Side effects  nephrotoxicity, hypertension, hyperuricemia,  headache, tremor, hypertrichosis,  increased risk of infection and  theoretic risk of malignancy.
  • 42.
    Other therapies: Plasmapheresis- Remove immunecomplexes & autoantibodies Most useful in lupus pts w/ thrombotic microangiopathic hemolytic anemia or 2ry TTP. 2-4 L (40mg/kg] of plasma are removed & replaced with albumin- saline solution ± 1-2 units of fresh frozen plasma. Most useful if given in combination with corticosteroids & cytotoxic drugs.
  • 43.
    Rituximab Both The EULAR/ERA-EDTAAnd The ACR guidelines recommend the use of rituximab (RTX) either as add-on treatment or as monotherapy in cases of refractory LN.
  • 44.
    Other therapies IV immunoglobulin- -act by blocking Fc receptor of IgG . - can be associated with acute RF (monitor Cr 24 hrs after infusion) LJP397-known as a B cell tolerogen: Non-toxic Rx that reduces production of anti-DNA antibodies by binding them to the membrane of auto-reactive B cells. Anti- C5 monoclonal antibody. Reduces the production of C5a and C5b-9 and the inflammatory reaction consequent to the generation of immune complexes in the kidney. Anti-CD40ligand monoclonal antibody (Anti-CD40L) Reduce the production of autoantibodies Inhibit inflammatory cytokine production Inhibit T-cell dependent activation of endothelial cells
  • 45.
    Surgical Care, transplantation: Ensurethat SLE disease is not active at the time of transplantation. SLE pt should wait 6-12mo on dialysis prior transplantation to ensure that spontaneous renal recovery does not occur. Graft survival in SLE is more worse than in non-SLE pts. The outcomes of living-related allografts are better than cadaveric allografts. Recurrence of active LN in the transplant is unusual [10%). Recurrent lupus nephritis & concomitant APLA syndrome → allograft loss.
  • 48.
    Good indicators Poor indicators Whiterace ↓Proteinuria to < 1gm /d by 6 mo of Rx Stabilize Cr & ↓proteinuria to < 2gm/d Normalization of Cr. Renal biopsy findings showing - Activity index < 12 - Chronicity index < 4 Delay in Rx of > 5 mo from onset. Young age at onset of nephritis Male sex Black race Hypertension Persistent Nephrotic range of proteiuria. Doubling of proteinuria by 4 wk Rx. ↑ Cr level (>3mg/dL) at presentation. Doubling of baseline Cr at any time Persistently ↑anti-dsDNA & ↓C3 & C4 Renal biopsy findings showing - crescents > 50% of glomeruli - high chronicity index . C. Molino et al. / European Journal of Internal Medicine 20
  • 49.
    Effect of Lupus& Lupus nephritis on pregnancy 1. Miscarriage (anti-phospholipids antibodies) 2. Preterm delivery (50%) especially with lupus flares. 3. -Premature rupture of membrane. 4. I.U.G.R (placental insufficiency) 5. Still-births (especially in the presence of APL ab) 6. -Pregnancy-induced HTN & pre-eclampsia (early w/ APL)
  • 50.
    Effect of Lupus& Lupus nephritis on baby Risk of neonatal lupus in 5% of the new-born induced by mother’s antibodies ( anti-Ro & anti-La) that cross the placenta to the fetus. Neonatal lupus is characterized by rashes which disappear in 3-6 mo. [not lupus & not turn to lupus]. Some babies have congenital heart block, irreversible CHF and blood abnormalities (pancytopenia).
  • 51.
    Effect of pregnancyon Lupus & Lupus nephritis Flare of Lupus & Lupus nephritis may be more frequent during pregnancy → increased proteinuria and renal failure. Flare is more in women with active disease at start of pregnancy. Flares may occur at any time in pregnancy or post-partum period but usually mild. Pre-eclampsia with HTN and proteinuria may be mistaken for the flare of lupus.
  • 54.
    Treatment Flares of lupusnephritis during pregnancy should be treated with steroids and azathiaprine. Steroids, azathiaprine, methyldopa and diuretics are safe in pregnancy. Continuation of immunosuppressive treatment for at least 2 months after delivery is advised. (Postpartum flares may be related to high levels of prolactin in lactating mothers ]. Very severe exacerbation of lupus in pregnancy may require termination of pregnancy but the disease will not necessarily improve.
  • 56.
    • Kidney involvementis common in systemic lupus erythematosus, occurring in up to 60% of affected adults during the course of their disease. In most cases, renal disease develops within the first 3 years following diagnosis. • Lupus nephritis remains the main morbidity and mortality determinant for patients with systemic lupus erythematosus. • The clinical presentation of kidney involvement is highly variable, ranging from mild asymptomatic urinary anomalies to rapidly progressive uraemia • The morphologic renal changes in a patient with systemic lupus erythematosus includes a wide spectrum of lesions: glomerulonephritis, vasculopathy and tubular-interstitium disease. Long-term follow-up studies have demonstrated that, with treatment, patient survival is higher than the precedent decades. Preservation of renal function is less encouraging.
  • 57.
    The optimal treatmentregimen in lupus nephritis varies according to histological lesions, the benefits of early treatment are well documented. This has led to a propensity to treat all patients with proliferative lesions regardless of severity. • Current treatment regimens combine corticosteroids with cyclophosphamide, azathioprine or ciclosporin, although mycophenolate mofetil has recently received great attention as a potentially superior immune suppressive agent and less aggressive immunosuppressive regimens can be prescribed. • The future challenge remains the design of therapeutic regimens that will rapidly induce renal remission with minimum toxicity