Lecture 4
Intraperitoneal Abscesses
Pelvic Abscess
Retroperitoneal
Scenario
• A 45 year old Mrs. Nasir
underwent laparotomy
for the following
investigation and
peritonitis.
Scenario continued – 4th post operative day
• A 45 year old Mrs. Nasir
underwent laparotomy for
perforated duodenal perforation.
Postoperatively she developed
Fever, Malaise, lethargy, Anorexia
and weight loss. Fever is of high
grade and associated with Sweats
± rigors & chills.
What can go wrong ?
110/80
mmHg
92%
110/ min
101oF
Differential
• Plug Leakage
• Abscess formation
• Any other cause of POP
7W’s of post operative pyrexia
• Wind
• Water
• Wound
• Walk
• Wonder drugs
• Weather
• Waisay hee (idiopathic)
Scenario 2
• A 45 year old Mr Nasir underwent laparotomy for perforated
Appendix. Postoperatively he developed Fever, Malaise, lethargy,
Anorexia and weight loss. Fever is of high grade and associated with
Sweats ± rigors & chills.
• On examination he complaints of Abdominal pain,
diarrhoea and mucus discharge
What has Gone wrong ?
• Injury to the Bowel
• Leakage from the stump
• Abscess formation
• 7 W’s
THE RETROPERITONEAL SPACE
• Retroperitoneal fibrosis
• Retroperitoneal (psoas) abscess
• Retroperitoneal tumours
Retroperitoneal fibrosis
• A rare diagnosis - Flat grey/white plaque of tissue
• Starts in the low lumbar region then spreads
• Encase the common iliac vessels, ureters and aorta.
• Histological appearances vary from active inflammation with a high
cellular content interspersed with bundles of collagen through to one
of acellularity and mature fibrosis/calcification.
• Cause ??????
Retroperitoneal fibrosis - clinical features
• Ill-defined chronic backache or
• Compromise to involved structures,
• e.g. lower limb or scrotal oedema or
• chronic renal failure secondary to ureteric obstruction.
Retroperitoneal fibrosis - Management
•Treatment will be directed to the cause
&
•Modification of disease activity when
appropriate, e.g.
•immunomodulation with steroids,
•Tamoxifen and
•Restoration of flow in affected structures, e.g.
ureteric stenting.
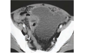
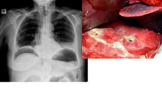
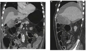
Retroperitoneal (psoas) abscess
• At the start of the twentieth century, psoas abscess was mainly
caused by TB of the spine (Pott’s disease).
• With the decline of M. tuberculosis as a major pathogen in resource-
rich countries,
• a psoas abscess was mostly found secondary to direct spread of
infection from the inflamed ± perforated digestive or urinary tract.
• In recent years a primary psoas abscess due to haematogenous
spread from an occult source is more common, especially in
immunocompromised and older patients, as well as in association
with intravenous drug misuse.
Retroperitoneal (psoas) abscess
Retroperitoneal (psoas) abscess
Retroperitoneal (psoas) abscess
Retroperitoneal (psoas) abscess
Retroperitoneal (psoas) abscess
Clinical presentation
• Back pain, lassitude and fever.
• A swelling may point to the groin as it tracks along iliopsoas.
• Pain may be elicited by passive extension of the hip
• or a fixed flexion of the hip evident on inspection.
Retroperitoneal (psoas) abscess
Clinical presentation
.
Retroperitoneal (psoas) abscess
.
Retroperitoneal (psoas) abscess
• At the start of the twentieth century, psoas abscess was mainly
caused by TB of the spine (Pott’s disease).
• With the decline of M. tuberculosis as a major pathogen in resource-
rich countries,
• Secondary to direct spread of infection from the inflamed ±
perforated digestive or urinary tract.
• Primary psoas abscess due to haematogenous spread from an occult
source is more common, especially in immunocompromised and
older patients, as well as in association with intravenous drug misuse.
Aspiration Culture
Support
Retroperitoneal (psoas) abscess
Retroperitoneal tumours
• Direct extension from surrounding Structures
• Primary tumours of mesenchymal origin
• Can be malignant ( Sarcomas)
• Liposarcoma
• Leimyosarcoma
• Malignant fibrous histiocytoma (MFH)
Lecture 4 - 4th year mBBS SIMS
Lecture 4 - 4th year mBBS SIMS

Lecture 4 - 4th year mBBS SIMS

  • 1.
  • 2.
    Scenario • A 45year old Mrs. Nasir underwent laparotomy for the following investigation and peritonitis.
  • 4.
    Scenario continued –4th post operative day • A 45 year old Mrs. Nasir underwent laparotomy for perforated duodenal perforation. Postoperatively she developed Fever, Malaise, lethargy, Anorexia and weight loss. Fever is of high grade and associated with Sweats ± rigors & chills.
  • 5.
    What can gowrong ?
  • 6.
  • 7.
    Differential • Plug Leakage •Abscess formation • Any other cause of POP
  • 8.
    7W’s of postoperative pyrexia • Wind • Water • Wound • Walk • Wonder drugs • Weather • Waisay hee (idiopathic)
  • 12.
    Scenario 2 • A45 year old Mr Nasir underwent laparotomy for perforated Appendix. Postoperatively he developed Fever, Malaise, lethargy, Anorexia and weight loss. Fever is of high grade and associated with Sweats ± rigors & chills. • On examination he complaints of Abdominal pain, diarrhoea and mucus discharge
  • 13.
  • 14.
    • Injury tothe Bowel • Leakage from the stump • Abscess formation • 7 W’s
  • 20.
    THE RETROPERITONEAL SPACE •Retroperitoneal fibrosis • Retroperitoneal (psoas) abscess • Retroperitoneal tumours
  • 21.
    Retroperitoneal fibrosis • Arare diagnosis - Flat grey/white plaque of tissue • Starts in the low lumbar region then spreads • Encase the common iliac vessels, ureters and aorta. • Histological appearances vary from active inflammation with a high cellular content interspersed with bundles of collagen through to one of acellularity and mature fibrosis/calcification. • Cause ??????
  • 24.
    Retroperitoneal fibrosis -clinical features • Ill-defined chronic backache or • Compromise to involved structures, • e.g. lower limb or scrotal oedema or • chronic renal failure secondary to ureteric obstruction.
  • 25.
    Retroperitoneal fibrosis -Management •Treatment will be directed to the cause & •Modification of disease activity when appropriate, e.g. •immunomodulation with steroids, •Tamoxifen and •Restoration of flow in affected structures, e.g. ureteric stenting.
  • 26.
    Retroperitoneal (psoas) abscess •At the start of the twentieth century, psoas abscess was mainly caused by TB of the spine (Pott’s disease). • With the decline of M. tuberculosis as a major pathogen in resource- rich countries, • a psoas abscess was mostly found secondary to direct spread of infection from the inflamed ± perforated digestive or urinary tract. • In recent years a primary psoas abscess due to haematogenous spread from an occult source is more common, especially in immunocompromised and older patients, as well as in association with intravenous drug misuse.
  • 27.
  • 28.
  • 30.
  • 31.
  • 32.
    Retroperitoneal (psoas) abscess Clinicalpresentation • Back pain, lassitude and fever. • A swelling may point to the groin as it tracks along iliopsoas. • Pain may be elicited by passive extension of the hip • or a fixed flexion of the hip evident on inspection.
  • 33.
  • 34.
  • 35.
    Retroperitoneal (psoas) abscess •At the start of the twentieth century, psoas abscess was mainly caused by TB of the spine (Pott’s disease). • With the decline of M. tuberculosis as a major pathogen in resource- rich countries, • Secondary to direct spread of infection from the inflamed ± perforated digestive or urinary tract. • Primary psoas abscess due to haematogenous spread from an occult source is more common, especially in immunocompromised and older patients, as well as in association with intravenous drug misuse.
  • 36.
  • 37.
    Retroperitoneal tumours • Directextension from surrounding Structures • Primary tumours of mesenchymal origin • Can be malignant ( Sarcomas) • Liposarcoma • Leimyosarcoma • Malignant fibrous histiocytoma (MFH)

Editor's Notes

  • #10 Figure 61.7 (a) Intraperitoneal abscesses on transverse section: 1, the left subphrenic space; 2, left subhepatic space/lesser sac; 3, right subphrenic space; 4, right subhepatic space. (b) Intraperitoneal abscesses on sagittal section: 1, left subphrenic; 2, left subhepatic/ lesser sac; 3, right subphrenic; 4, right subhepatic.