Done by :
Mohammad Akkawi
and
Mohammad Tailakh
Knee disorders
Outline :
• Patellar instability
• Lateral patellar compression syndrome
• Idiopathic chondromalacia patellae
• Quadriceps tendon rupture
• Patella tendon tendinitis
• Articular cartilage defects of knee
• Osteonecrosis of the knee
Patellar instability
1. RECURRENT DISLOCATION
2. RECURRENT SUBLUXATION
3. OTHER TYPES OF NON-TRAUMATIC DISLOCATION
RECURRENT DISLOCATION
 Dislocation occurs
unexpectedly when the
quadriceps muscle is
contracted with the
knee in flexion
 Dislocation is almost
always towards the
lateral side
 medial dislocation is
seen only in rare
iatrogenic cases
Usually acute strain but may
spontaneously
More common Girls
Unilateral but may bilateral
15–20 % recurrent dislocation
or subluxation
(disruption or stretching of the
ligamentous structures which
normally stabilize the extensor
mechanism.)
predisposing factors :
(1)generalized ligamentous laxity
(2) under -development of the lateral femoral condyle and
flattening of the intercondylar groove
(3) Maldevelopment of the patella, which may be too high or too
Small
(4) valgus deformity of the knee
(5) external tibial torsion
(6) primary muscle defect
Clinical presentation :
 acute pain
 knee is stuck in flexion and the patient may fall to the ground.
Although the patella always dislocates laterally, the patient may think
it has displaced medially because the uncovered medial femoral
condyle stands out prominently.
Physical examination :
• The diagnosis is obvious If the knee
is seen while the patella is
dislocated.
1- lump on the lateral side
2-the front of the knee (where the patella ought to be) is flat
medial side are tender
3-may be swollen (aspiration may reveal a blood-stained effusion.)
•More often the patella has reduced
by the time the patient is seen.
1-Tenderness and swelling may still be
2- positive apprehension test
The apprehension test :
 if the patella is pushed laterally
with the knee slightly flexed, the
patient resists and becomes
anxious, fearing another
dislocation.
 The patient will normally
volunteer a history of previous
dislocation.
Imaging:
• X-rays
may reveal loose bodies in the knee, derived
from old osteochondral fragments.
 A lateral view with the knee in slight flexion may show a high-riding
patella
 tangential views can be used to measure
the sulcus angle and the congruence angle.
• MRI
helpful and may show signs of the previous patello-femoral soft-tissue
disruption
lateral
view
tangential views
MRI
Management :
If the patella is still dislocated, it is pushed back into
place while the knee is gently extended
 The only indications for immediate surgery are :
(1) inability to reduce the patella
(2) the presence of a large, displaced osteochondral fragment.
splint is applied for 2–3 weeks
 quadriceps-strengthening exercises (Exercises should be continued for
at least 3 months)
the patient is allowed to walk with the aid of crutches.
Surgeries
RECURRENT SUBLUXATION
• Patellar dislocation is sometimes followed by
recurrent subluxation rather than further
episodes of complete displacement.
• This is the borderline between frank instability
and maltracking of the patella
Congenital dislocation
-The patella is permanently displaced
-very rare
- Reconstructive procedures
have been tried but the results are unpredictable.
Habitual dislocation
-The patella dislocates every time the knee is bent and reduces each time it is
straightened.
-In longstanding cases the patella may be permanently dislocated.
contracture of the quadriceps
-may be congenital or may result from repeated injections (usually antibiotics) into the
muscle.
-Treatment requires lengthening of the quadriceps.
OTHER TYPES OF NON-TRAUMATIC DISLOCATION
Lateral patellar
compression syndrome
PATELLO-FEMORAL PAIN SYNDROME
• This syndrome is common among active adolescents and young
adults(women).
• It is often (but not invariably) associated with softening and
fibrillation of the articular surface of the patella – chondromalacia
patellae
• The basic disorder is probably mechanical overload of the patello-
femoral joint
• Diagnosed by exclusion
Clinical presentation:
• pain over the front of the knee or underneath the knee-cap
• aggravated by activity or climbing stairs, or when standing up after
prolonged sitting
• knee may give way and occasionally swells.
• Often both knees are affected
P.E:
• At first sight the knee looks normal but careful
• examination may reveal malalignment or tilting of the patellae.
• Other signs include quadriceps wasting, fluid in the knee, tenderness
under the edge of the patella and crepitus on moving the knee.
investigation :
• The most accurate way of showing and measuring patello-femoral
malposition is by CT or MRI with the knees in full extension and varying
degrees of flexion
• arthroscopy is useful in excluding other causes of anterior knee pain
Management:
• CONSERVATIVE MANAGEMENT In the vast majority of cases the patient
will be helped by adjustment of stressful activities and physiotherapy
• OPERATIVE TREATMENT Surgery should be considered only if :
(1) there is a demonstrable abnormality that is correctable by operation
(2) conservative treatment has been tried for at least 6 months
• Operation is intended to improve patellar alignment and patello-femoral
congruence and to reduce patello-femoral pressure
Idiopathic
chondromalacia patellae
Discussion:
chondromalacia describes softening & fissuring of articular hyaline
cartilage
chondromalacia may result from an excessive load on patellofemoral
joint, but disuse may be a contributing factor
most common in young women
 contributing factors:
- weakness and tightness
of quadriceps muscle
- genu valgum
- increased Q angle
- patella alta
Clinical Features and Exam:
 pts may report anterior knee pain, esp. while climbing stairs
compression of patella may cause pain
 compression of the patella during flexion & extension of knee may elicits
crepitation and discomfort
- patellar tracking
- best seen when examiner
is seated in front of pt
takes knee through full
passive and active ROM.
Note: crepitus may be a normal
finding in young people
Radiographic Features:
 best seen on a lateral x-ray
 usually it will involve the medial facet
Stages:
- I: swelling and softening of the cartilage;
- II: fissuring w/in the softened areas
- III: fasciclations of articular cartilage almost to level
of subchondral bone
- IV: destruction of cartilage w/ subchondral bone
no un- equivocal progression
from stage I to IV
Management :
• Non Operative Treatment:
- reduced strenuous activities;
- exercises to stretch & strengthen quadriceps muscle are started
- avoid stressing the painful motions
- immobilization is a contributing cause of chondromalacia and its
subsequent symptoms
- Operative:
- debridement-
• Partial lateral patellar facetectomy for treatment of arthritis due to lateral
patellar compression syndrome.
• lateral retinacular release
• distal realignment procedures
• Anteromedialization of the tibial tuberosity in the treatment of
patellofemoral pain and malalignment.
Quadriceps
tendon
rupture
• The quadriceps muscle is composed of four
muscle groups, as follows:
• Vastus intermedius
• Vastus medialis
• Vastus lateralis
• Rectus femoris
• the blood supply to the quadriceps tendon
arises from the descending branches of the
lateral circumflex femoral artery, branches of
the descending geniculate artery, and
branches of the medial and lateral superior
geniculate arteries. The superficial layers are
well vascularized. In the deep layer, however,
there is an oval, avascular area that is 30 × 15
mm in size; it probably plays a significant role
in tendon degeneration.
Discussion:
 Ruptures of the quadriceps tendon occur relatively
infrequently and usually occur in patients older than 40
years, Ruptures most often occur unilaterally. Bilateral
ruptures are highly correlated with systemic disease
 more common w/ cortisone injections, diabetes,
chronic renal failure, hyperthyroidism, and gout
 Male: female 8:1
 tear may involve either portion of trilaminar tendon or
its entirety
 usually the tear is initiated centrally and progresses
peripherally
 tendon usually ruptures transversely at the
osteotendinous junction
(just proximal to patella)
 its level usually corresponds to amount of flexion at
time of injury
Pathophysiology
• Various systemic conditions may cause damage to the tendon
vascular supply or may disrupt the tendon structure.
• Diabetes can cause arteriosclerotic changes in tendon vessels.
• Fibrinoid necrosis of tendons is seen with chronic synovitis.
• Hyperparathyroidism causes dystrophic calcifications and
subperiosteal bone resorption at the tendon insertion.
• Obesity causes fatty degenerative changes in tendons and increases
the forces on the tendon.
• Fatty degeneration, fibrinoid degeneration, and decreased collagen
are seen with normal aging.
• 97% of the pathologic changes were degenerative.
Etiology
• Quadriceps tendon rupture usually occurs during a rapid, eccentric
contraction of the quadriceps muscle, with the foot planted and the
knee partially flexed.
• This injury commonly occurs during falls. Other mechanisms of injury
include direct blows, lacerations, and iatrogenic causes.
Clinical Presentation :
History:
Patients typically present with acute knee pain, swelling, and functional loss after
a stumble, fall, or giving way of the knee. There may be no history of prior knee
pain.
Specifically ask patients about any history of systemic disease, steroid use,
infection, tumors, or prior surgeries. There may be a history of an audible pop at
the time of injury.
Physical Examination
• Begin the physical examination by noting any obesity. Patients with recent
ruptures have difficulty ambulating. Usually, obvious suprapatellar swelling,
ecchymosis, and tenderness are present. Carefully evaluate lacerations.
There may be a palpable defect in the suprapatellar area and a low-lying
patella, but swelling initially may obscure this finding.
• Testing for full, active extension against gravity is the most important aspect
of the examination. This may make the defect more apparent. Extension lags
of varying degrees are seen, depending on the amount of retinacular
damage. In incomplete ruptures, the patient may be able to fully extend the
knee from the supine position but not from the flexed position. If only
tendinitis is present, no extension lag should be noted with any test position.
Examine the contralateral knee to rule out bilateral rupture.
• If the patient is not seen in the acute phase, diagnosing the rupture becomes
more difficult, and it can be easily missed.
 usually associated w/ intense pain
 patient is unable to walk
swelling ( large hemarthrosis )
 patient unable to extend the knee
 freely mobile patella
 suprapatellar gap(2nd to hemarthrosis)

Note :
 hemarthrosis/swelling may mask defect; aspiration or knee flexion may
widen the gap by shortening the rectus
 partial tears
- an extensor lag usually is present
Radiology :
 may show patella in a
lower position than
normal, use contralateral
patella for comparison
 Partial tear - in these
patients, MRI may
delineate the extent of
injury.
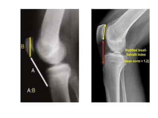
• The Insall-Salvati ratio or index is the ratio of the patella
tendon length (TL) to the length of the patella (PL).
• - Insall-Salvati method for determining patella alta/baja
• - Normal (T/P) = 0.80 - 1.2
• - Patella Infera/Baja < .80 possible Quad tendon rupture
• - Patella Alta > 1.2 possible Patella tendon ruptur
Management:
Surgical Treatment:
 rupture is repaired within 7 days if possible;
 early intervention allows end-to-end repair of the
tendon as well as tendon to bone anchorage
 make anterior longitudinal incision in midline of
extremity
 partial tears of quadriceps tendon may be treated
non surgically w/ immobilization and early range
of motion.
- transossoeous repair
- Scuderi technique
- Codivilla technique
transossoeous repair
Scuderi technique
Codivilla technique
Patella
tendonitis(jumper’s
knee)
Discussion:
inflammation of patellar tendon
second to repeated trauma
(jumping sports)
 seen in athletes involved in
running, jumping, and kicking
sports
occurs usually in skeletally mature
adults, Age range 16 to 40 years,
males slightly > females
excessive foot pronation and
running hills can exacerbate these
symptoms;
Clinical presentation :
• classification:
- phase I: pain only after activity
- phase II: Pain during and after activity, although the patient is
still able to perform satisfactorily in his or her sport
- phase III: Prolonged pain during and after activity, with
increasing difficulty in performing at a satisfactory level
- phase IV: complete tendon disruption
Physical Exam:
Perform exam with knee in full extension
- Bassett Sign:
- Tenderness to palpation with knee at full extension and patellar
tendon relaxed
- Non-tender with knee in flexion and patellar tendon taut
Quadriceps atrophy
 Quadriceps and hamstring tightness
 Knee effusion is rare
Ligaments usually stable
Radiology :
 X-ray:
- in adolescents, sclerosis,
decalcification and fragmentation
at the inferior pole of the patella is
referred to as Sinding-Larsen-
Johansson disease
 MRI or Ultrasound: may confirm
the diagnosis
 Bone scan ~ 29% false-negative
rate
Management:
Non-Operative Treatment:
- Ice, NSAIDs, Bracing & Strapping, Activity modification(REST)
- Steroid injection – controversial, but not recommended
Surgical Intervention:
- Indications
- High profile athlete
- Failure of 6 months non-operative therapy
- Tendon rupture
- Open Tendon debridement
- Pole excision with reinsertion of tendon
- Realignment
- Arthroscopic Tendon and Fat Pad debridement
Articular
cartilage
defects of
knee
Discussion :
 knee is the commonest of the large joints to be affected by osteoarthritis
 Cartilage breakdown usually starts in an area of
excessive loading
 predisposing factor:
injury to the articular surface
torn meniscus
ligamentous instability
pre-existing deformity of the hip or knee
 male: female distribution is more or less equal ……(black African women)
 Osteoarthritis is often bilateral
 The natural history of osteoarthritis is one of alternating ‘bad spells’ and ‘good spells’.
Patients may experience long periods of lesser discomfort and only moderate loss of
function, followed by exacerbations of pain and stiffness (perhaps after unaccustomed
activity).
Clinical presentation :
Pain is the leading symptom, worse after use, or the patello-femoral
joint is affected) on stairs.
After rest, the joint feels stiff and it hurts to ‘get going’ after sitting for
any length of time.
 Swelling is common
 giving way or locking may occur.
Physical examination :
There may be an obvious deformity(usually Varus)
 the scar of a previous operation.
 The quadriceps muscle is usually wasted.
Movement is somewhat limited and is often accompanied by patella-femoral
crepitus.
It is useful to test movement applying first a varus and then a valgus force to the
knee; pain indicates which tibio-femoral compartment is involved.
Pressure on the patella may elicit pain.
Except during an exacerbation, there is little fluid
and no warmth; nor is the synovial membrane thickened
Radiology:
x-ray
-Anteroposterior the patient standing and bearing weight
-Findings :
- The tibio-femoral joint space is diminished
(often only in one compartment)
- subchondral sclerosis.
- Osteophytes and subchondral cysts
- sometimes there is soft-tissue calcification in the
suprapatellar region or in the joint itself
(chondrocalcinosis).
Management:
conservative.
If symptoms are not severe
Joint loading is lessened by using a walking stick.
Quadriceps exercises are important. Analgesics are prescribed
for pain
Intra-articular corticosteroid injections will often relieve pain,
repeated injections may permit (or even predispose to)
progressive cartilage and bone destruction.
 oral administration of glucosamine and intra-articular injection
of hyalourans. ( no agreement about the long-term efficacy of
these products)
OPERATIVE
usual indications
- Persistent pain
-unresponsive to conservative treatment
-progressive deformity
-instability .
Available surgeries :
• Arthroscopic washouts, with trimming of degenerate meniscal
tissue and osteophytes, may give temporary relief
• Patellectomy is indicated only in those rare cases where
osteoarthritis is strictly confined to the patellofemoral joint
• Realignment osteotomy ideal indication is a ‘young’ patient (under 50
years) with a varus knee and osteoarthritis confined to the
medial compartment
• Replacement arthroplasty is indicated in older patients with
progressive joint destructionArthrodesis is indicated only if there
is a strong contraindication to arthroplasty (e.g. previous
infection)
Osteonecrosis of the knee
Discussion:
• The usual site is the dome of one of the femoral condyles, but
occasionally the medial tibial condyle is affected
• commonly presents in females over age 60 years of age
• women are affected three times more often than men
• these lesions often show articular degenerative changes, especially
when lesions are large or when there is pre-existing varus deformities;
• Two main categories are identified:
(1) osteonecrosis associated with a definite background disorder
e.g. corticosteroid therapy
alcohol abuse
sickle-cell disease
hyperbaric decompression sickness or caisson disease
systemic lupus erythematosus (SLE)
Gaucher’s disease
(2) ‘spontaneous’ osteonecrosis of the knee( known by SONK)
which is due to :
- a small insufficiency fracture of a prominent part of the
osteoarticular surface in osteoporotic bone
- the vascular supply to the free fragment is compromised
A third type, postmeniscectomy osteonecrosis, has been reported; its prevalence
and pathophysiology are still unclear
Clinical presentation and P.E:
• pain may or may not be associated w/ acute injury and may be worse at
night;
• Typically sudden, acute pain on the medial side of the joint. Pain at rest
also is common.
• The patient may offer a history of similar symptoms in the hip or the
shoulder(so examined as well)
• small effusion
• The classic feature is tenderness on pressure upon the medial femoral or
tibial condyle rather than along the joint line proper.
INVESTIGATION:
• Imaging
• X RAY
- slight flattening of medial femoral condyle on both AP & lateral views
bone scan:
- technetium 99 bone scan may reveal increased uptake in both femoral
condyles and slightly increased in the proximal tibia
- MRI
- evidence of well localized osteonecrosis in lateral condyle & extensive
involvement of the medial condyle
- T1 images show decreased signal
• Special investigations
• Once the diagnosis is confirmed, investigations should be carried out to exclude generalized disorders known to be
associated with osteonecrosis
Treatment:
• Treatment is conservative in the first instance (measures to reduce
loading of the joint and analgesics for pain)
• If symptoms or signs increase operative treatment may be considered
• Treatment Options:
- high tibial osteotomy:
- indicated for small (less than 45%) AVN lesions of
the medial femoral condyle in patients with a pre-
existing varus deformity
- total knee arthroplasty:
- indicated for older patients w/ significant collapse and
degenerative changes
Knee disorders

Knee disorders

  • 1.
    Done by : MohammadAkkawi and Mohammad Tailakh Knee disorders
  • 2.
    Outline : • Patellarinstability • Lateral patellar compression syndrome • Idiopathic chondromalacia patellae • Quadriceps tendon rupture • Patella tendon tendinitis • Articular cartilage defects of knee • Osteonecrosis of the knee
  • 3.
    Patellar instability 1. RECURRENTDISLOCATION 2. RECURRENT SUBLUXATION 3. OTHER TYPES OF NON-TRAUMATIC DISLOCATION
  • 4.
    RECURRENT DISLOCATION  Dislocationoccurs unexpectedly when the quadriceps muscle is contracted with the knee in flexion  Dislocation is almost always towards the lateral side  medial dislocation is seen only in rare iatrogenic cases
  • 5.
    Usually acute strainbut may spontaneously More common Girls Unilateral but may bilateral 15–20 % recurrent dislocation or subluxation (disruption or stretching of the ligamentous structures which normally stabilize the extensor mechanism.)
  • 6.
    predisposing factors : (1)generalizedligamentous laxity (2) under -development of the lateral femoral condyle and flattening of the intercondylar groove (3) Maldevelopment of the patella, which may be too high or too Small (4) valgus deformity of the knee (5) external tibial torsion (6) primary muscle defect
  • 7.
    Clinical presentation : acute pain  knee is stuck in flexion and the patient may fall to the ground. Although the patella always dislocates laterally, the patient may think it has displaced medially because the uncovered medial femoral condyle stands out prominently.
  • 8.
    Physical examination : •The diagnosis is obvious If the knee is seen while the patella is dislocated. 1- lump on the lateral side 2-the front of the knee (where the patella ought to be) is flat medial side are tender 3-may be swollen (aspiration may reveal a blood-stained effusion.) •More often the patella has reduced by the time the patient is seen. 1-Tenderness and swelling may still be 2- positive apprehension test
  • 9.
    The apprehension test:  if the patella is pushed laterally with the knee slightly flexed, the patient resists and becomes anxious, fearing another dislocation.  The patient will normally volunteer a history of previous dislocation.
  • 10.
    Imaging: • X-rays may revealloose bodies in the knee, derived from old osteochondral fragments.  A lateral view with the knee in slight flexion may show a high-riding patella  tangential views can be used to measure the sulcus angle and the congruence angle. • MRI helpful and may show signs of the previous patello-femoral soft-tissue disruption
  • 12.
  • 13.
    Management : If thepatella is still dislocated, it is pushed back into place while the knee is gently extended  The only indications for immediate surgery are : (1) inability to reduce the patella (2) the presence of a large, displaced osteochondral fragment. splint is applied for 2–3 weeks  quadriceps-strengthening exercises (Exercises should be continued for at least 3 months) the patient is allowed to walk with the aid of crutches.
  • 14.
  • 15.
    RECURRENT SUBLUXATION • Patellardislocation is sometimes followed by recurrent subluxation rather than further episodes of complete displacement. • This is the borderline between frank instability and maltracking of the patella
  • 16.
    Congenital dislocation -The patellais permanently displaced -very rare - Reconstructive procedures have been tried but the results are unpredictable. Habitual dislocation -The patella dislocates every time the knee is bent and reduces each time it is straightened. -In longstanding cases the patella may be permanently dislocated. contracture of the quadriceps -may be congenital or may result from repeated injections (usually antibiotics) into the muscle. -Treatment requires lengthening of the quadriceps. OTHER TYPES OF NON-TRAUMATIC DISLOCATION
  • 17.
  • 18.
    • This syndromeis common among active adolescents and young adults(women). • It is often (but not invariably) associated with softening and fibrillation of the articular surface of the patella – chondromalacia patellae • The basic disorder is probably mechanical overload of the patello- femoral joint • Diagnosed by exclusion
  • 20.
    Clinical presentation: • painover the front of the knee or underneath the knee-cap • aggravated by activity or climbing stairs, or when standing up after prolonged sitting • knee may give way and occasionally swells. • Often both knees are affected
  • 21.
    P.E: • At firstsight the knee looks normal but careful • examination may reveal malalignment or tilting of the patellae. • Other signs include quadriceps wasting, fluid in the knee, tenderness under the edge of the patella and crepitus on moving the knee.
  • 22.
    investigation : • Themost accurate way of showing and measuring patello-femoral malposition is by CT or MRI with the knees in full extension and varying degrees of flexion • arthroscopy is useful in excluding other causes of anterior knee pain
  • 23.
    Management: • CONSERVATIVE MANAGEMENTIn the vast majority of cases the patient will be helped by adjustment of stressful activities and physiotherapy • OPERATIVE TREATMENT Surgery should be considered only if : (1) there is a demonstrable abnormality that is correctable by operation (2) conservative treatment has been tried for at least 6 months • Operation is intended to improve patellar alignment and patello-femoral congruence and to reduce patello-femoral pressure
  • 24.
  • 25.
    Discussion: chondromalacia describes softening& fissuring of articular hyaline cartilage chondromalacia may result from an excessive load on patellofemoral joint, but disuse may be a contributing factor most common in young women  contributing factors: - weakness and tightness of quadriceps muscle - genu valgum - increased Q angle - patella alta
  • 26.
    Clinical Features andExam:  pts may report anterior knee pain, esp. while climbing stairs compression of patella may cause pain  compression of the patella during flexion & extension of knee may elicits crepitation and discomfort - patellar tracking - best seen when examiner is seated in front of pt takes knee through full passive and active ROM. Note: crepitus may be a normal finding in young people
  • 27.
    Radiographic Features:  bestseen on a lateral x-ray  usually it will involve the medial facet
  • 28.
    Stages: - I: swellingand softening of the cartilage; - II: fissuring w/in the softened areas - III: fasciclations of articular cartilage almost to level of subchondral bone - IV: destruction of cartilage w/ subchondral bone no un- equivocal progression from stage I to IV
  • 29.
    Management : • NonOperative Treatment: - reduced strenuous activities; - exercises to stretch & strengthen quadriceps muscle are started - avoid stressing the painful motions - immobilization is a contributing cause of chondromalacia and its subsequent symptoms - Operative: - debridement- • Partial lateral patellar facetectomy for treatment of arthritis due to lateral patellar compression syndrome. • lateral retinacular release • distal realignment procedures • Anteromedialization of the tibial tuberosity in the treatment of patellofemoral pain and malalignment.
  • 30.
  • 31.
    • The quadricepsmuscle is composed of four muscle groups, as follows: • Vastus intermedius • Vastus medialis • Vastus lateralis • Rectus femoris • the blood supply to the quadriceps tendon arises from the descending branches of the lateral circumflex femoral artery, branches of the descending geniculate artery, and branches of the medial and lateral superior geniculate arteries. The superficial layers are well vascularized. In the deep layer, however, there is an oval, avascular area that is 30 × 15 mm in size; it probably plays a significant role in tendon degeneration.
  • 32.
    Discussion:  Ruptures ofthe quadriceps tendon occur relatively infrequently and usually occur in patients older than 40 years, Ruptures most often occur unilaterally. Bilateral ruptures are highly correlated with systemic disease  more common w/ cortisone injections, diabetes, chronic renal failure, hyperthyroidism, and gout  Male: female 8:1  tear may involve either portion of trilaminar tendon or its entirety  usually the tear is initiated centrally and progresses peripherally  tendon usually ruptures transversely at the osteotendinous junction (just proximal to patella)  its level usually corresponds to amount of flexion at time of injury
  • 33.
    Pathophysiology • Various systemicconditions may cause damage to the tendon vascular supply or may disrupt the tendon structure. • Diabetes can cause arteriosclerotic changes in tendon vessels. • Fibrinoid necrosis of tendons is seen with chronic synovitis. • Hyperparathyroidism causes dystrophic calcifications and subperiosteal bone resorption at the tendon insertion. • Obesity causes fatty degenerative changes in tendons and increases the forces on the tendon. • Fatty degeneration, fibrinoid degeneration, and decreased collagen are seen with normal aging. • 97% of the pathologic changes were degenerative.
  • 34.
    Etiology • Quadriceps tendonrupture usually occurs during a rapid, eccentric contraction of the quadriceps muscle, with the foot planted and the knee partially flexed. • This injury commonly occurs during falls. Other mechanisms of injury include direct blows, lacerations, and iatrogenic causes.
  • 35.
    Clinical Presentation : History: Patientstypically present with acute knee pain, swelling, and functional loss after a stumble, fall, or giving way of the knee. There may be no history of prior knee pain. Specifically ask patients about any history of systemic disease, steroid use, infection, tumors, or prior surgeries. There may be a history of an audible pop at the time of injury.
  • 36.
    Physical Examination • Beginthe physical examination by noting any obesity. Patients with recent ruptures have difficulty ambulating. Usually, obvious suprapatellar swelling, ecchymosis, and tenderness are present. Carefully evaluate lacerations. There may be a palpable defect in the suprapatellar area and a low-lying patella, but swelling initially may obscure this finding. • Testing for full, active extension against gravity is the most important aspect of the examination. This may make the defect more apparent. Extension lags of varying degrees are seen, depending on the amount of retinacular damage. In incomplete ruptures, the patient may be able to fully extend the knee from the supine position but not from the flexed position. If only tendinitis is present, no extension lag should be noted with any test position. Examine the contralateral knee to rule out bilateral rupture. • If the patient is not seen in the acute phase, diagnosing the rupture becomes more difficult, and it can be easily missed.
  • 37.
     usually associatedw/ intense pain  patient is unable to walk swelling ( large hemarthrosis )  patient unable to extend the knee  freely mobile patella  suprapatellar gap(2nd to hemarthrosis)  Note :  hemarthrosis/swelling may mask defect; aspiration or knee flexion may widen the gap by shortening the rectus  partial tears - an extensor lag usually is present
  • 39.
    Radiology :  mayshow patella in a lower position than normal, use contralateral patella for comparison  Partial tear - in these patients, MRI may delineate the extent of injury.
  • 40.
    • The Insall-Salvatiratio or index is the ratio of the patella tendon length (TL) to the length of the patella (PL). • - Insall-Salvati method for determining patella alta/baja • - Normal (T/P) = 0.80 - 1.2 • - Patella Infera/Baja < .80 possible Quad tendon rupture • - Patella Alta > 1.2 possible Patella tendon ruptur
  • 42.
    Management: Surgical Treatment:  ruptureis repaired within 7 days if possible;  early intervention allows end-to-end repair of the tendon as well as tendon to bone anchorage  make anterior longitudinal incision in midline of extremity  partial tears of quadriceps tendon may be treated non surgically w/ immobilization and early range of motion. - transossoeous repair - Scuderi technique - Codivilla technique
  • 43.
  • 44.
  • 45.
  • 46.
  • 47.
    Discussion: inflammation of patellartendon second to repeated trauma (jumping sports)  seen in athletes involved in running, jumping, and kicking sports occurs usually in skeletally mature adults, Age range 16 to 40 years, males slightly > females excessive foot pronation and running hills can exacerbate these symptoms;
  • 48.
    Clinical presentation : •classification: - phase I: pain only after activity - phase II: Pain during and after activity, although the patient is still able to perform satisfactorily in his or her sport - phase III: Prolonged pain during and after activity, with increasing difficulty in performing at a satisfactory level - phase IV: complete tendon disruption
  • 49.
    Physical Exam: Perform examwith knee in full extension - Bassett Sign: - Tenderness to palpation with knee at full extension and patellar tendon relaxed - Non-tender with knee in flexion and patellar tendon taut Quadriceps atrophy  Quadriceps and hamstring tightness  Knee effusion is rare Ligaments usually stable
  • 50.
    Radiology :  X-ray: -in adolescents, sclerosis, decalcification and fragmentation at the inferior pole of the patella is referred to as Sinding-Larsen- Johansson disease  MRI or Ultrasound: may confirm the diagnosis  Bone scan ~ 29% false-negative rate
  • 51.
    Management: Non-Operative Treatment: - Ice,NSAIDs, Bracing & Strapping, Activity modification(REST) - Steroid injection – controversial, but not recommended Surgical Intervention: - Indications - High profile athlete - Failure of 6 months non-operative therapy - Tendon rupture - Open Tendon debridement - Pole excision with reinsertion of tendon - Realignment - Arthroscopic Tendon and Fat Pad debridement
  • 52.
  • 53.
    Discussion :  kneeis the commonest of the large joints to be affected by osteoarthritis  Cartilage breakdown usually starts in an area of excessive loading  predisposing factor: injury to the articular surface torn meniscus ligamentous instability pre-existing deformity of the hip or knee  male: female distribution is more or less equal ……(black African women)  Osteoarthritis is often bilateral  The natural history of osteoarthritis is one of alternating ‘bad spells’ and ‘good spells’. Patients may experience long periods of lesser discomfort and only moderate loss of function, followed by exacerbations of pain and stiffness (perhaps after unaccustomed activity).
  • 54.
    Clinical presentation : Painis the leading symptom, worse after use, or the patello-femoral joint is affected) on stairs. After rest, the joint feels stiff and it hurts to ‘get going’ after sitting for any length of time.  Swelling is common  giving way or locking may occur.
  • 55.
    Physical examination : Theremay be an obvious deformity(usually Varus)  the scar of a previous operation.  The quadriceps muscle is usually wasted. Movement is somewhat limited and is often accompanied by patella-femoral crepitus. It is useful to test movement applying first a varus and then a valgus force to the knee; pain indicates which tibio-femoral compartment is involved. Pressure on the patella may elicit pain. Except during an exacerbation, there is little fluid and no warmth; nor is the synovial membrane thickened
  • 56.
    Radiology: x-ray -Anteroposterior the patientstanding and bearing weight -Findings : - The tibio-femoral joint space is diminished (often only in one compartment) - subchondral sclerosis. - Osteophytes and subchondral cysts - sometimes there is soft-tissue calcification in the suprapatellar region or in the joint itself (chondrocalcinosis).
  • 58.
    Management: conservative. If symptoms arenot severe Joint loading is lessened by using a walking stick. Quadriceps exercises are important. Analgesics are prescribed for pain Intra-articular corticosteroid injections will often relieve pain, repeated injections may permit (or even predispose to) progressive cartilage and bone destruction.  oral administration of glucosamine and intra-articular injection of hyalourans. ( no agreement about the long-term efficacy of these products)
  • 59.
    OPERATIVE usual indications - Persistentpain -unresponsive to conservative treatment -progressive deformity -instability . Available surgeries : • Arthroscopic washouts, with trimming of degenerate meniscal tissue and osteophytes, may give temporary relief • Patellectomy is indicated only in those rare cases where osteoarthritis is strictly confined to the patellofemoral joint • Realignment osteotomy ideal indication is a ‘young’ patient (under 50 years) with a varus knee and osteoarthritis confined to the medial compartment • Replacement arthroplasty is indicated in older patients with progressive joint destructionArthrodesis is indicated only if there is a strong contraindication to arthroplasty (e.g. previous infection)
  • 60.
  • 62.
    Discussion: • The usualsite is the dome of one of the femoral condyles, but occasionally the medial tibial condyle is affected • commonly presents in females over age 60 years of age • women are affected three times more often than men • these lesions often show articular degenerative changes, especially when lesions are large or when there is pre-existing varus deformities;
  • 63.
    • Two maincategories are identified: (1) osteonecrosis associated with a definite background disorder e.g. corticosteroid therapy alcohol abuse sickle-cell disease hyperbaric decompression sickness or caisson disease systemic lupus erythematosus (SLE) Gaucher’s disease (2) ‘spontaneous’ osteonecrosis of the knee( known by SONK) which is due to : - a small insufficiency fracture of a prominent part of the osteoarticular surface in osteoporotic bone - the vascular supply to the free fragment is compromised A third type, postmeniscectomy osteonecrosis, has been reported; its prevalence and pathophysiology are still unclear
  • 64.
    Clinical presentation andP.E: • pain may or may not be associated w/ acute injury and may be worse at night; • Typically sudden, acute pain on the medial side of the joint. Pain at rest also is common. • The patient may offer a history of similar symptoms in the hip or the shoulder(so examined as well) • small effusion • The classic feature is tenderness on pressure upon the medial femoral or tibial condyle rather than along the joint line proper.
  • 65.
    INVESTIGATION: • Imaging • XRAY - slight flattening of medial femoral condyle on both AP & lateral views bone scan: - technetium 99 bone scan may reveal increased uptake in both femoral condyles and slightly increased in the proximal tibia - MRI - evidence of well localized osteonecrosis in lateral condyle & extensive involvement of the medial condyle - T1 images show decreased signal • Special investigations • Once the diagnosis is confirmed, investigations should be carried out to exclude generalized disorders known to be associated with osteonecrosis
  • 68.
    Treatment: • Treatment isconservative in the first instance (measures to reduce loading of the joint and analgesics for pain) • If symptoms or signs increase operative treatment may be considered • Treatment Options: - high tibial osteotomy: - indicated for small (less than 45%) AVN lesions of the medial femoral condyle in patients with a pre- existing varus deformity - total knee arthroplasty: - indicated for older patients w/ significant collapse and degenerative changes

Editor's Notes

  • #11 Sulcus angle and congrounce angle
  • #14 Vastus medialis muscle
  • #25 Original Text by Clifford R. Wheeless, III, MD. Wheeless' Textbook of Orthopaedics
  • #26 increased Q angle    patella alta:Patella alta (or a high riding patella)
  • #27 misc signs:             - excessive tibial rotation             - foot pronation patellar tracking
  • #51 - Associated syndromes:  Sinding-Larsen-Johansson Disease:     - osteochondrosis of the inferior pole of the patella     - presents as anterior knee pain in the active adolescent     - usually resolves with skeletal maturation  Osgood-Schlatter Disease:     - partial avulsion of the tibial tubercle     - presents as tenderness at the tibial prominence in active adolescents     - usually resolves with rest
  • #64 Differential diagnosis Osteonecrosis of the knee should be distinguished from osteochondritis dissecans, though in truth the two conditions are closely related; however, the age group, aetiology, site of the lesion and prognosis are different and these factors may influence treatment. Other conditions that have a sudden, painful onset and tenderness at the joint line are fracture of an osteoarthritic osteophyte, disruption of a degenerative meniscus, a stress fracture, pes anserinus bursitis and a local tendonitis. Prognosis Symptoms and signs may stabilize and the patient be left with no more than slight distortion of the articular surface; or one of the condyles may collapse, leading to osteoarthritis of the affected compartment. The clinical progress depends on the radiographic size of the lesion, the ratio of size of the lesion to the size of the condyle (>40 per cent carries a worse prognosis) and the stage of the lesion (Patel et al., 1998).