IUGR and care of Low
birth weight baby
Roll no 0954
Intrauterine growth restriction is said to be
present in those babies whose birth weight
is below the tenth percentile of the average
for gestational age.
Definition
It can occur in preterm,
term or post-term babies
Disparity of >= 2 weeks- Mild
IUGR
Disparity of >=4 weeks-
severe IUGR
Incidence
• Dysmaturity comprises about one-third of
LBW babies.
• In developed countries, its overall incidence is
about 3-10%
• Term babies- 5%
• Post-term babies-15%
Relationship between birthweight percentile and perinatal mortality and
morbidity in small-for-gestational-age fetuses. A progressive increase in
both mortality and morbidity is observed as birthweight percentile falls.
Nomenclature
• SGA and IUGR are too often used synonymously
though there is a degree of overlap.
• SGA fetus is not necessarily growth retarded.
Baby may be constitutionally small not at
increased risk.
• Late onset of pathological cessation of growth
may produce a baby with typical features of IUGR
increased perinatal mortality and morbidity
Normal fetal growth
• cellular hyperplasia (upto 16 weeks)
• hyperplasia and hypertrophy (16 to 32 weeks)
• hypertrophy (after 32 weeks)
• Most of fetal weight gain (2/3) occurs beyond
24th week of pregnancy
Types
Based on clinical evaluation and US examination-
(i) Fetuses those are small and healthy.
• Birth weight is less than 10th percentile for
gestational age
• They have normal ponderal index, normal
subcutaneous fat and usually have uneventful
neonatal course
(ii) Fetuses where growth is restricted by
pathological process (true IUGR)
Depending on relative size of their head,
abdomen and femur, they are subdivided into
• Symmetrical or type I
• Asymmetrical or type II
Symmetrical (20%)
• Affected from noxious effect very early in the phase of
cellular hyperplasia
• Total cell no is less
• Most often caused by structural or chromosomal
abnormalities or congenital infection(TORCH)
• Pathological process is intrinsic to fetus and involves all
organs including head
Asymmetrical (80%)
• Affected in later months during cellular hypertrophy
• Total cell no remains same but size is smaller
• Pathological process is often maternal disease extrinsic to
fetus
• Diseases alter fetal size by reducing uteroplacental flow or
by restricting oxygen and nutrient transfer or by reducing
placental size.
• preferential shunting of oxygen and nutrients to the brain
Symmetrical Asymmetrical
Uniformly small Head larger than abdomen
Ponderal index (birth
wt/Crown-heel length3 )normal
Low
HC: AC and FL:AC –normal Elevated
Etiology: genetic disease or
infection (Intrinsic to fetus)
Chronic placental insufficiency
(extrinsic to fetus)
Total cell no- less
Cell size- normal
Normal
Smaller
Neonatal course- complicated
with poor prognosis
Usually uncomplicated having
good prognosis
Etiology
1. Maternal
• Constitutional
- Small women, maternal genetic and racial background
- Not at increased risk
- Pre-pregnancy weight less than 100 pounds- 2-fold risk
- Reduced intrauterine growth of the mother is a risk factor
• Maternal nutrition before and during pregnancy
-Glucose, amino acids and oxygen are deficient during
pregnancy
• Social Deprivation
effects of associated lifestyle factors such as smoking,
alcohol or other substance abuse, and poor nutrition.
• Maternal diseases
Anemia(sickle cell disease, hereditary anemias),
hypertension, thrombotic diseases, heart diseases,
chronic renal disease, collagen vascular disease
• Toxins
Alcohol, smoking, cocaine, heroin, drugs
• Antiphospholipid Antibody Syndrome
-anticardiolipin antibodies and lupus anticoagulant
-maternal platelet aggregation and placental
thrombosis.
• Extrauterine Pregnancy
2. Fetal
Substrate not utilised by fetus
1. Structural anomalies - cardiovascular, renal
2. Chromosomal abnormality
- 8-12% growth retarded infants
- Triploidy, aneuploidy
- Trisomies( 13, 18, 21), Turner’s syndrome
3. Disorders of bone and cartilage
-osteogenesis imperfecta, chondrodystrophies
3. Infection
• TORCH and malaria
• Cytomegalovirus : direct cytolysis and loss of functional cells.
• Rubella :vascular insufficiency by damaging the endothelium
of small vessels. ,reduces cell division
• Hepatitis A and B, Listeriosis, tuberculosis, and syphilis
• Paradoxically, with syphilis, the placenta is almost always
increased in weight and size due to edema and perivascular
inflammation
4. Multiple pregnancy
Mechanical hindrance to growth and excessive fetal demand
5. Chronic Hypoxia
• high altitude ,maternal cyanotic heart disease
3. Placental
• Poor uterine blood flow to placental site for a
long time
• This leads to chronic placental insufficiency with
inadequate substrate transfer
• Placenta praevia, Abruption, circumvallate,
infarction, mosaicism
4. Unknown- 40%
Pathophysiology
• Reduced availability of nutrients in mother
• Reduced transfer by placenta to fetus
• Reduced utilisation by fetus
Brain size (asymmetric) as well as cell no (symmetric) are
reduced
Liver glycogen content is reduced
Renal and pulmonary contribution to amniotic fluid are
diminished due to reduced blood flow
Oligohydramnios
Risk of intrauterine hypoxia and acidosis  death if severe
Accelerated Maturation
• accelerated fetal pulmonary maturation in
complicated pregnancies associated with
growth restriction
• fetus responds to a stressed environment by
increasing adrenal glucocorticoid production,
which leads to earlier or accelerated fetal lung
maturation
Diagnosis
Clinical
• Palpation of uterus
 Fundal height
 Liqour volume
 Fetal mass
• SFH
 Closely correlates with
gestational age after 24
weeks
 Lag of 4 cm or more- IUGR
 Fairly sensitive (30-80%)
 Serial measurement is
important
• Maternal weight gain-
stationary or falling during
second half of pregnancy
• Abdominal girth- stationary
or falling
Investigations
Hemoglobin
Blood group- ABO, Rh
Urine- sugar, albumin, microscopy, culture and
sensitivity
HIV, STS
TSH
HbSAg
OGTT
Biophysical
• First examination(16-20 weeks) should confirm
gestational age, anomalies
• USG-
• 2-3 weekly
• diagnosis of IUGR, type
 Head circumference/ Abdominal circumference ratios
>1- before 32 weeks
=1 - 32-34 weeks
<1- after 34 weeks
Elevated- asymmetrical IUGR
Normal –asymmetrical IUGR
85% IUGR fetuses are detected
AC-Single most sensitive parameter
Correlation of fetal weight estimation using abdominal circumference (AC) with actual birthwt
Serial measurements of AC and estimation of fetal weight are
more diagnostic
• Femur length
Not affected in asymmetric IUGR
FL/AC =22 from 21 weeks to term
FL/AC> 23.5- IUGR
• Amniotic fluid volume
Vertical pocket of amniotic fluid <1 cm suggests IUGR
Four quadrant technique –measuring vertical diameter of largest
pockets of fluid found in each of 4 quadrants of uterus. The
sum of results is AFI
AFI 5 to 25 cm- normal
AFI< 5 cm- oligohydramnios
• Anatomical survey: To exclude fetal abnormalities
• Bi-parietal diameter
Placental grading
• grade 0 : < 18 weeks :
– uniform echogenicity
– smooth chorionic plate
• grade I : 18 - 29 weeks :
– occasional parenchymal calcification / hyper-echoic
areas
• grade II : > 30 weeks :
– occasional basal calcification / hyper-echoic areas
– may also have comma type densities at the chorionic
plate.
• grade III : > 39 weeks :
– significant basal calcification
– chorionic plate interrupted by indentations
– an early progression to a grade III placenta is sometimes
associated with placental insufficiency
Ultrasound doppler parameters
Doppler velocimetry
Elevated uterine artery S/D ratio (>2.6)
presence of diastolic notch
Diastolic notch suggests incomplete invasion of placental
trophoblasts to uterine spiral arteries
Also predicts possible development of pre-eclampsia
Normally, diastolic flow increases as pregnancy
progresses.
Reduced/ absent/ reversed diastolic flow in umbilical
artery indicates fetal jeopardy and poor perinatal
outcome
Normal flow velocity waveform from the
uterine artery at 24 weeks of gestation. Flow velocity waveform from the uterine
artery at 24 weeks of gestation in a pregnancy
with impaired placentation; in early diastole
there is a notch (yellow arrow) and in late
diastole there is decreased flow (orange
arrow).
Umbilical arterial Doppler velocimetry studies, ranging from normal to markedly abnormal. A.
Normal velocimetry pattern with an S/D ratio of <30. B. The diastolic velocity approaching zero
reflects increased placental vascular resistance. C. During diastole, arterial flow is reversed
(negative S/D ratio), which is an ominous sign that may precede fetal demise
• Middle cerebral artery
Increased diastolic velocity(brain sparing effect) in
compromised fetus
• Cerebro-Placental Doppler ratio [RI (mca)/ RI (umb.
a.)] is decreased
• The normal ratio is > 1.
• PI
Degree of fetal wasting judged
(birth weight/Crown-heel length 3 )
<10 th percentile –IUGR
Reduction of fetal facial fat stores- IUGR
Color doppler and spectral waveform of the middle cerebral artery shows increased
diastolic flow in the brain suggesting a "fetal brain sparing" effect, whereby, the fetal
cerebral vessels "open up", lowering the cerebral vascular resistance to increase flow
to the brain thus diverting blood to the important organs in a state of overall hypoxia.
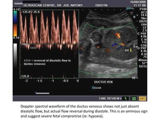
Doppler spectral waveform of the ductus venosus shows not just absent
diastolic flow, but actual flow reversal during diastole. This is an ominous sign
and suggest severe fetal compromise (ie: hypoxia).
Biochemical markers
• Elevated levels of MSAFP and hCG level in
second trimester are markers of abnormal
placentation and risks of IUGR
Physical features at birth
• Weight deficit- 600 g
below the minimum in
percentile standard
• Length- unaffected
• Head circumference –
relatively larger than
body in asymmetric
IUGR
• Alert, active, normal
cry. Eyes- open
• Reflexes- normal
Dry and wrinkled skin because of less subcutaneous fat,
scaphoid abdomen, thin meconium stained vernix caseosa
and thin umbilical cord – “old man look”
Pinna- cartilaginous ridges.
Plantar creases- well defined
Complications
Fetal
• Antenatal- chronic fetal distress, fetal death,
diminished amniotic fluid volume increases
the likelihood of cord compression
• Intranatal –hypoxia, acidosis
• After birth- immediate
-late
Immediate
• Asphyxia , bronchopulmonary dysplasia and RDS
• Hypoglycemia due to shortage of glycogen reserve in
liver because of chronic hypoxia
• Meconium aspiration syndrome
• Microcoagulation leading to DIC
• Hypothermia
• Pulmonary haemorrhage
• Polycythaemia, anaemia, thrombocytopenia
• Hyperviscosity thrombosis
• Necrotising enterocolitis due to reduced intestinal
blood flow
• IVH
• Electrolyte abnormalities ,
hyperphosphataemia, hypokalemia due to
impaired renal function
• Multiorgan failure
• Increased perinatal mortality and morbidity
Late
• Symmetrical growth retarded baby is likely to grow
slowly after birth
• Asymmetrical- catch up growth in early infancy
1. retarded neurologic and intellectual development
in infancy
• Worst prognosis- congenital infection, congenital
abnormalities, chromosomal defects
2. Increased risk- metabolic syndrome in adult life:
obesity, hypertension, diabetes, coronary heart
disease
3. altered orexigenic mechanism that causes
increased appetite and reduced satiety
4. Reduced no of nephrons- renal vascular
hypertension
Maternal
• Per se IUGR does not cause any harm to mother
• Underlying disease process like pre-eclampsia, heart
disease, malnutrition may be life threatening
• Risk of having another growth retarded infant is two
fold
Immediate neonatal mortality- 6 times more than
normal newborn or even similar weight appropriate to
shorter gestational age
Most babies –die within 24 hours
Morbidity rises to 50%
Management
• Constitutionally small- no intervention
• symmetric IUGR
• - investigated for anomalies, infections,
genetic syndromes
-No effective therapy
• Placental disease or reduced placental blood
flow
May be given some treatment
General
No proven therapy for reversing IUGR once it has established
1. Adequate bed rest specially in left lateral position
2. Correct malnutrition by balanced diet- 300 extra calories
per day
3. Appropriate therapy for complicating factors likely to
produce IUGR
4. Avoidance of smoking, alcohol
5. Maternal hyperoxygenation at the rate of 2.5 mL/min by
nasal prong ,for short term prolongation of pregnancy
6. Low dose aspirin (50 mg daily) in selected cases with
history of thrombotic disease, hypertension, pre-
eclampsia or IUGR
Antepartum evaluation
Serial evaluations of fetal growth and
assessment of well being should be done
• USG- intervals of 3-4 weeks for assessment of
BPD, HC/AC, fetal weight and AFI
• Fetal well being- kick count, NST, biophysical
profile, amniotic fluid volume and
cordocentesis for blood gases
• Doppler ultrasound parameters
Time of delivery
Factors to be considered:
1. Presence of fetal abnormality
2. Duration of pregnancy
3. Degree of growth restriction
4. Associated complicating factor
5. Degree of fetal compromise
6. Previous obstetric history
7. Availability of NICU
• Beyond 37 weeks
Delivery should be done
• Before 37 weeks
a) Uncomplicated mild IUGR:
General treatment
Placental function may improve
pregnancy is allowed to continue till at least 37
weeks
(b) Severe degree of IUGR
• If lung maturation is achieved
Presence of phosphatidyl glycerol and L:S ratio at least 2
from amniotic fluid study  termination
• Lung maturation not yet achieved
problems- prematurity, growth restriction
Preterm IUGR requires highest level of NICU
Betamethasone therapy - <34 week
Corticosteroid reduce risk of neonatal HMD and IVH
Methods of delivery
Route and time decided considering:
1. Severity of IUGR
2. Maternal condition
3. Any other obstetric complication
Low rupture of membranes followed by oxytocin
• Beyond 34 weeks with favourable cervix and head is
deep in pelvis
• PGE2 gel when cervix unfavourable
Intrapartum monitoring by clinical , continuous electronic
and scalp blood sampling is needed as risk of
intrapartum asphyxia is high
Care during vaginal delivery
• Equipped institution where intensive intranatal
monitoring (clinical and electronic) is possible
and having facilities for NICU.
• precautions
Caesarean section without a trial of labour- when risks
of vaginal delivery are more( fetal acidemia, absent or
reversed diastolic flow in umbilical artery or
unfavourable cervix)
First stage
• Ensure adequate fetal oxygenation by giving oxygen to
mother by mask
• Epidural analgesia is of choice
• Labour carefully monitored preferably with continuous
EFM
Second stage
• Birth should be gentle and slow to avoid rapid
compression and decompression of head
• Episiotomy may be done to minimise head compression
• Tendency to delay is curtailed by low forceps
• Cord is to be clamped immediately at birth
Management protocol of IUGR
•To confirm IUGR and type
•To exclude cong malformation
•To treat specific cause if found
•Fetal surveillance
-Daily fetal movement count
-Cardiotocography, NST
-Biophysical profile
-Doppler US parameters, ductus
venosus, umbilical vein
Pregnancy >= 37 weeks
Delivery
Pregnancy <37 weeks
Severe IUGR Mild IUGR
Mild IUGR
•Increased rest
•Folic acid
•Increased fliud
intake
•General
management
•Fetal
monitoring till
37 weeks
Delivery
Dual problem
•Prematurity
•dysmaturity
Equipped
centre Centre with
limited
facilities
In utero transfer to a
referral centre
Severe IUGR
Fetal surveillance
Reassuring
fetal status
Non-
reassuring
fetal
status
Doppler
after 1
week
Assess lung maturity
•L:S ratio
•Phosphatidyl
glycerol level
Not
mature
Mature
Betamethasone
therapy
Delivery
Delivery
Non-reassuring fetal status
Low birth weight
• WHO has defined LBW “as one whose birth
weight is less than 2500 g (irrespective of
gestational age”
• Very low birth weight - <=1500 g
• Extremely low birth weight- <=1000 g
LBW
Preterm
• Birth occurs before
completion of 37
weeks of gestation
regardless of birth
weight
• Growth potential is
normal and
appropriate for
gestational period(10-
90th percentile)
SGA
• Birth weight< 10th
percentile or <2 SD for
gestational age
• May be constitutionally
small(70%) or due to
pathologic
process(30%)
Incidence
• Highest in those countries where mean birth
weight is low
• 5%-40% of live births
• India- 1/3
• Factors- short gestational period, socio-
economic status, nutritional and intrauterine
environment, ethnic background, genetic
control
Care of low birth weight baby
IMMEDIATE MANAGEMENT FOLLOWING BIRTH
‡ - The cord is to be clamped quickly to prevent
hypervolaemia and development of
hyperbilirubinemia
‡ Cord length is kept long ( 10-12 cm) in case
exchange transfusion is required
‡ Air passage should be cleared of mucus
promptly and gently using a mucus sucker
‡ Adequate oxygenation through mask or nasal
catheter in concentration not exceeding 35%
‡ Baby should be wrapped including head in a
sterile warm towel (36.5-37.5 ⁰C)
‡ Aqueous solution of vitamin K 1 mg is to be
injected i.m. to prevent haemorrhagic
manifestations
Hypothermia and sequelae:
Hypoxia
Hypoglycemia
Anaerobic metabolism
Metabolic acidosis
INTENSIVE CARE PROTOCOL
Those requiring special care are judged by:
• Inability to suckle the breast and to swallow
• Incapacity to regulate temperature within
limited range 96⁰-99⁰F (35.6⁰- 37.2⁰ C)
• Inability to control cardio-respiratory function
without cyanotic attacks
Maintaining body temperature
• Delivery room dept warm, dry
• With mother- skin to skin contact
• Best placed in incubator where temperature and
humidity(50%) can be better stabilised
• Under radiant warmer
with protective plastic
covers. Baby is placed
naked.
• If not possible to maintain
for entire room, cot is
kept warm( 30 ⁰C).
Rubber hot water ( not
boiling) bottles stoppered
and well covered with
clothings
Respiratory support
• To tide over initial cyanotic
phase, air passage is cleared
• Placed in incubator with oxygen
running / Baby’s head kept in
oxygen head box for prolonged
oxygen therapy
• Some may require endotracheal
intubation and mechanical
ventilation
• Pulse oximeter- continuous O2 monitoring (90-
92%)
• Arterial blood gas values:
PaO2 55-65 mm Hg
PaCO2 35-45 mm Hg
pH 7.35-7.45
• Surfactant replacement therapy is indicated in
HMD
Infection
• Respiratory tract, GIT, skin, umbilicus
• Poor defensive power of neonates with low WBC
count and poor phagocytic activity make baby
more vulnerable
• Prophylactic antibiotic therapy in premature
rupture of membranes
• Every precaution to prevent infection
• Ampicillin 100 mg/kg per day or amikacin 10-15
mg/kg per day i.v. in 2 divided doses for 5-7 days
Nutrition
• Enteral feeding depending on gestation age
and vigour
• May require gavage feeding/ parenteral
nutrition
• Human milk is 1st choice
• Colostrum, foremilk, hindmilk and preterm
milk help faster growth
Commencement
• 1/2-1 hours of birth
• Eliminates hypoglycaemia, lowers serum
bilirubin and neurological sequelae
Intervals- hourly in extreme prematurity to 3
hourly in birth after 36 weeks
Methods
• Start i.v. fluids if <1200 g (<30 weeks)
• gradually tube feeding after 1-3 days
• Spoon after 2-4 weeks
1200-1800 g(30-34 weeks) started with tube
feeding and gradually spoon and breast feeding
>1800 g (>34 weeks)- breast feed
Tube/ Gavage:
• Fine polythene tube 0.5 mm
internal diameter
• Through nose down to
oesophagus
• Expressed milk is started with
small volume and gradually
build up.
• Continued for about 7 days
• Calculated amount is injected
with syringe by
gravitation/pressure
• Pipette, dropper, katori and spoon- where baby
can swallow but fails to suck
• Bottle- when baby can suck and swallow but can’t
manage to express milk from the breast
• I.v. fluids- neonates within incubator/radiant
warmer
•Net reqt= 60-80 mL/kg/day of
10% dextrose water on 1st day,
increase by 15 mL/kg/day
•More amount(10%) if
phototherapy used
•Monitoring by body weight,
urine output, specific gravity
and serum sodium
Position- when in cot, placed on one side with
head raised a little to prevent regurgitation
Nature of food- undiluted breast milk expressed
from mother or pooled is ideal
• Diluted cow’s milk 1:1 for 1st month and 2:1
during second month
• One tsp glucose added to 50 mL milk prepared
for 1st 10 days ,then reduced to 1 tsp to 100 mL
• Alternately, half cream powder milk with glucose
in full strength
Calorie reqt
• More than mature counterpart because of greater loss
of heat from body surface
• 60 cal/kg/d on 7th day
• 100 cal/kg/d on 14th day
• 120-150 cal/kg/d on 21st day
Food volume
Amount of milk to be given is given slowly and
progressively increased
1st day- 80mL/kg
Increased by 15 mL/kg /d to reach 200 mL/kg/d by 8-10
day
Small stomach capacity, weak cardiac sphincter, poor
cough reflex small feeds at shorter intervals
Additional supplements
• Started after 2 weeks
• Vitamin A 2500 IU, vitamin D 400 IU,vitamin C
50 mg, folic acid 65 µg, vitamin B1 0.5 mg
• Iron- liquid preparation 2-4 mg/kg/d in 2
divided doses
• calcium , phosphate
• I.v. gamma globulin therapy(400 mg/kg/dose)
to prevent infections
• <1200 g- parenteral nutrition with a.a, lipids
with dextrose and multivitamins
Adequate nursing care
• 1 nurse-2 or 3 infants
• Temperature –twice daily
• Weight daily- over or underhydrated
• Constant supervision during 1st 48 hours
• Mother should be allowed to her baby in the
nursery
• Mother taught general care and manual
expression of milk
Favourable signs of progress
• Colour of skin remains pink all the time
• Smooth and regular breathing
• Increasing vigour –movements of limb, cry
• Progressive gain in weight. Loss of 1-2%
everyday for 5-7 days, gain 1-1.5% daily,
regains birth wt by 10-14 days
Discharge
• When they attain sufficient weight
• Attain good vigour
• Able to suck the breast successfully
Advice
• About feeding schedule
• Prescribe suitable multivitamin and oral iron
preparation
• To attend child welfare clinic for subsequent check up,
immunisation and guidance
Supervision continued at home by public health nurses or
health visitors if possible.
iugr-180818145504 (1).pdf

iugr-180818145504 (1).pdf

  • 1.
    IUGR and careof Low birth weight baby Roll no 0954
  • 2.
    Intrauterine growth restrictionis said to be present in those babies whose birth weight is below the tenth percentile of the average for gestational age. Definition It can occur in preterm, term or post-term babies Disparity of >= 2 weeks- Mild IUGR Disparity of >=4 weeks- severe IUGR
  • 3.
    Incidence • Dysmaturity comprisesabout one-third of LBW babies. • In developed countries, its overall incidence is about 3-10% • Term babies- 5% • Post-term babies-15%
  • 4.
    Relationship between birthweightpercentile and perinatal mortality and morbidity in small-for-gestational-age fetuses. A progressive increase in both mortality and morbidity is observed as birthweight percentile falls.
  • 5.
    Nomenclature • SGA andIUGR are too often used synonymously though there is a degree of overlap. • SGA fetus is not necessarily growth retarded. Baby may be constitutionally small not at increased risk. • Late onset of pathological cessation of growth may produce a baby with typical features of IUGR increased perinatal mortality and morbidity
  • 6.
    Normal fetal growth •cellular hyperplasia (upto 16 weeks) • hyperplasia and hypertrophy (16 to 32 weeks) • hypertrophy (after 32 weeks) • Most of fetal weight gain (2/3) occurs beyond 24th week of pregnancy
  • 7.
    Types Based on clinicalevaluation and US examination- (i) Fetuses those are small and healthy. • Birth weight is less than 10th percentile for gestational age • They have normal ponderal index, normal subcutaneous fat and usually have uneventful neonatal course
  • 8.
    (ii) Fetuses wheregrowth is restricted by pathological process (true IUGR) Depending on relative size of their head, abdomen and femur, they are subdivided into • Symmetrical or type I • Asymmetrical or type II
  • 9.
    Symmetrical (20%) • Affectedfrom noxious effect very early in the phase of cellular hyperplasia • Total cell no is less • Most often caused by structural or chromosomal abnormalities or congenital infection(TORCH) • Pathological process is intrinsic to fetus and involves all organs including head
  • 10.
    Asymmetrical (80%) • Affectedin later months during cellular hypertrophy • Total cell no remains same but size is smaller • Pathological process is often maternal disease extrinsic to fetus • Diseases alter fetal size by reducing uteroplacental flow or by restricting oxygen and nutrient transfer or by reducing placental size. • preferential shunting of oxygen and nutrients to the brain
  • 11.
    Symmetrical Asymmetrical Uniformly smallHead larger than abdomen Ponderal index (birth wt/Crown-heel length3 )normal Low HC: AC and FL:AC –normal Elevated Etiology: genetic disease or infection (Intrinsic to fetus) Chronic placental insufficiency (extrinsic to fetus) Total cell no- less Cell size- normal Normal Smaller Neonatal course- complicated with poor prognosis Usually uncomplicated having good prognosis
  • 12.
    Etiology 1. Maternal • Constitutional -Small women, maternal genetic and racial background - Not at increased risk - Pre-pregnancy weight less than 100 pounds- 2-fold risk - Reduced intrauterine growth of the mother is a risk factor • Maternal nutrition before and during pregnancy -Glucose, amino acids and oxygen are deficient during pregnancy • Social Deprivation effects of associated lifestyle factors such as smoking, alcohol or other substance abuse, and poor nutrition.
  • 13.
    • Maternal diseases Anemia(sicklecell disease, hereditary anemias), hypertension, thrombotic diseases, heart diseases, chronic renal disease, collagen vascular disease • Toxins Alcohol, smoking, cocaine, heroin, drugs • Antiphospholipid Antibody Syndrome -anticardiolipin antibodies and lupus anticoagulant -maternal platelet aggregation and placental thrombosis. • Extrauterine Pregnancy
  • 14.
    2. Fetal Substrate notutilised by fetus 1. Structural anomalies - cardiovascular, renal 2. Chromosomal abnormality - 8-12% growth retarded infants - Triploidy, aneuploidy - Trisomies( 13, 18, 21), Turner’s syndrome 3. Disorders of bone and cartilage -osteogenesis imperfecta, chondrodystrophies
  • 15.
    3. Infection • TORCHand malaria • Cytomegalovirus : direct cytolysis and loss of functional cells. • Rubella :vascular insufficiency by damaging the endothelium of small vessels. ,reduces cell division • Hepatitis A and B, Listeriosis, tuberculosis, and syphilis • Paradoxically, with syphilis, the placenta is almost always increased in weight and size due to edema and perivascular inflammation 4. Multiple pregnancy Mechanical hindrance to growth and excessive fetal demand 5. Chronic Hypoxia • high altitude ,maternal cyanotic heart disease
  • 16.
    3. Placental • Pooruterine blood flow to placental site for a long time • This leads to chronic placental insufficiency with inadequate substrate transfer • Placenta praevia, Abruption, circumvallate, infarction, mosaicism 4. Unknown- 40%
  • 17.
    Pathophysiology • Reduced availabilityof nutrients in mother • Reduced transfer by placenta to fetus • Reduced utilisation by fetus Brain size (asymmetric) as well as cell no (symmetric) are reduced Liver glycogen content is reduced Renal and pulmonary contribution to amniotic fluid are diminished due to reduced blood flow Oligohydramnios Risk of intrauterine hypoxia and acidosis  death if severe
  • 18.
    Accelerated Maturation • acceleratedfetal pulmonary maturation in complicated pregnancies associated with growth restriction • fetus responds to a stressed environment by increasing adrenal glucocorticoid production, which leads to earlier or accelerated fetal lung maturation
  • 19.
    Diagnosis Clinical • Palpation ofuterus  Fundal height  Liqour volume  Fetal mass • SFH  Closely correlates with gestational age after 24 weeks  Lag of 4 cm or more- IUGR  Fairly sensitive (30-80%)  Serial measurement is important • Maternal weight gain- stationary or falling during second half of pregnancy • Abdominal girth- stationary or falling
  • 20.
    Investigations Hemoglobin Blood group- ABO,Rh Urine- sugar, albumin, microscopy, culture and sensitivity HIV, STS TSH HbSAg OGTT
  • 21.
    Biophysical • First examination(16-20weeks) should confirm gestational age, anomalies • USG- • 2-3 weekly • diagnosis of IUGR, type  Head circumference/ Abdominal circumference ratios >1- before 32 weeks =1 - 32-34 weeks <1- after 34 weeks Elevated- asymmetrical IUGR Normal –asymmetrical IUGR 85% IUGR fetuses are detected AC-Single most sensitive parameter
  • 22.
    Correlation of fetalweight estimation using abdominal circumference (AC) with actual birthwt
  • 23.
    Serial measurements ofAC and estimation of fetal weight are more diagnostic • Femur length Not affected in asymmetric IUGR FL/AC =22 from 21 weeks to term FL/AC> 23.5- IUGR • Amniotic fluid volume Vertical pocket of amniotic fluid <1 cm suggests IUGR Four quadrant technique –measuring vertical diameter of largest pockets of fluid found in each of 4 quadrants of uterus. The sum of results is AFI AFI 5 to 25 cm- normal AFI< 5 cm- oligohydramnios • Anatomical survey: To exclude fetal abnormalities • Bi-parietal diameter
  • 24.
    Placental grading • grade0 : < 18 weeks : – uniform echogenicity – smooth chorionic plate • grade I : 18 - 29 weeks : – occasional parenchymal calcification / hyper-echoic areas • grade II : > 30 weeks : – occasional basal calcification / hyper-echoic areas – may also have comma type densities at the chorionic plate. • grade III : > 39 weeks : – significant basal calcification – chorionic plate interrupted by indentations – an early progression to a grade III placenta is sometimes associated with placental insufficiency
  • 25.
    Ultrasound doppler parameters Dopplervelocimetry Elevated uterine artery S/D ratio (>2.6) presence of diastolic notch Diastolic notch suggests incomplete invasion of placental trophoblasts to uterine spiral arteries Also predicts possible development of pre-eclampsia Normally, diastolic flow increases as pregnancy progresses. Reduced/ absent/ reversed diastolic flow in umbilical artery indicates fetal jeopardy and poor perinatal outcome
  • 26.
    Normal flow velocitywaveform from the uterine artery at 24 weeks of gestation. Flow velocity waveform from the uterine artery at 24 weeks of gestation in a pregnancy with impaired placentation; in early diastole there is a notch (yellow arrow) and in late diastole there is decreased flow (orange arrow).
  • 28.
    Umbilical arterial Dopplervelocimetry studies, ranging from normal to markedly abnormal. A. Normal velocimetry pattern with an S/D ratio of <30. B. The diastolic velocity approaching zero reflects increased placental vascular resistance. C. During diastole, arterial flow is reversed (negative S/D ratio), which is an ominous sign that may precede fetal demise
  • 29.
    • Middle cerebralartery Increased diastolic velocity(brain sparing effect) in compromised fetus • Cerebro-Placental Doppler ratio [RI (mca)/ RI (umb. a.)] is decreased • The normal ratio is > 1. • PI Degree of fetal wasting judged (birth weight/Crown-heel length 3 ) <10 th percentile –IUGR Reduction of fetal facial fat stores- IUGR
  • 30.
    Color doppler andspectral waveform of the middle cerebral artery shows increased diastolic flow in the brain suggesting a "fetal brain sparing" effect, whereby, the fetal cerebral vessels "open up", lowering the cerebral vascular resistance to increase flow to the brain thus diverting blood to the important organs in a state of overall hypoxia.
  • 31.
    Doppler spectral waveformof the ductus venosus shows not just absent diastolic flow, but actual flow reversal during diastole. This is an ominous sign and suggest severe fetal compromise (ie: hypoxia).
  • 32.
    Biochemical markers • Elevatedlevels of MSAFP and hCG level in second trimester are markers of abnormal placentation and risks of IUGR
  • 33.
    Physical features atbirth • Weight deficit- 600 g below the minimum in percentile standard • Length- unaffected • Head circumference – relatively larger than body in asymmetric IUGR • Alert, active, normal cry. Eyes- open • Reflexes- normal
  • 34.
    Dry and wrinkledskin because of less subcutaneous fat, scaphoid abdomen, thin meconium stained vernix caseosa and thin umbilical cord – “old man look” Pinna- cartilaginous ridges. Plantar creases- well defined
  • 35.
    Complications Fetal • Antenatal- chronicfetal distress, fetal death, diminished amniotic fluid volume increases the likelihood of cord compression • Intranatal –hypoxia, acidosis • After birth- immediate -late
  • 36.
    Immediate • Asphyxia ,bronchopulmonary dysplasia and RDS • Hypoglycemia due to shortage of glycogen reserve in liver because of chronic hypoxia • Meconium aspiration syndrome • Microcoagulation leading to DIC • Hypothermia • Pulmonary haemorrhage • Polycythaemia, anaemia, thrombocytopenia • Hyperviscosity thrombosis • Necrotising enterocolitis due to reduced intestinal blood flow • IVH
  • 37.
    • Electrolyte abnormalities, hyperphosphataemia, hypokalemia due to impaired renal function • Multiorgan failure • Increased perinatal mortality and morbidity
  • 38.
    Late • Symmetrical growthretarded baby is likely to grow slowly after birth • Asymmetrical- catch up growth in early infancy 1. retarded neurologic and intellectual development in infancy • Worst prognosis- congenital infection, congenital abnormalities, chromosomal defects 2. Increased risk- metabolic syndrome in adult life: obesity, hypertension, diabetes, coronary heart disease
  • 39.
    3. altered orexigenicmechanism that causes increased appetite and reduced satiety 4. Reduced no of nephrons- renal vascular hypertension
  • 40.
    Maternal • Per seIUGR does not cause any harm to mother • Underlying disease process like pre-eclampsia, heart disease, malnutrition may be life threatening • Risk of having another growth retarded infant is two fold Immediate neonatal mortality- 6 times more than normal newborn or even similar weight appropriate to shorter gestational age Most babies –die within 24 hours Morbidity rises to 50%
  • 41.
    Management • Constitutionally small-no intervention • symmetric IUGR • - investigated for anomalies, infections, genetic syndromes -No effective therapy • Placental disease or reduced placental blood flow May be given some treatment
  • 42.
    General No proven therapyfor reversing IUGR once it has established 1. Adequate bed rest specially in left lateral position 2. Correct malnutrition by balanced diet- 300 extra calories per day 3. Appropriate therapy for complicating factors likely to produce IUGR 4. Avoidance of smoking, alcohol 5. Maternal hyperoxygenation at the rate of 2.5 mL/min by nasal prong ,for short term prolongation of pregnancy 6. Low dose aspirin (50 mg daily) in selected cases with history of thrombotic disease, hypertension, pre- eclampsia or IUGR
  • 43.
    Antepartum evaluation Serial evaluationsof fetal growth and assessment of well being should be done • USG- intervals of 3-4 weeks for assessment of BPD, HC/AC, fetal weight and AFI • Fetal well being- kick count, NST, biophysical profile, amniotic fluid volume and cordocentesis for blood gases • Doppler ultrasound parameters
  • 44.
    Time of delivery Factorsto be considered: 1. Presence of fetal abnormality 2. Duration of pregnancy 3. Degree of growth restriction 4. Associated complicating factor 5. Degree of fetal compromise 6. Previous obstetric history 7. Availability of NICU
  • 45.
    • Beyond 37weeks Delivery should be done • Before 37 weeks a) Uncomplicated mild IUGR: General treatment Placental function may improve pregnancy is allowed to continue till at least 37 weeks
  • 46.
    (b) Severe degreeof IUGR • If lung maturation is achieved Presence of phosphatidyl glycerol and L:S ratio at least 2 from amniotic fluid study  termination • Lung maturation not yet achieved problems- prematurity, growth restriction Preterm IUGR requires highest level of NICU Betamethasone therapy - <34 week Corticosteroid reduce risk of neonatal HMD and IVH
  • 47.
    Methods of delivery Routeand time decided considering: 1. Severity of IUGR 2. Maternal condition 3. Any other obstetric complication Low rupture of membranes followed by oxytocin • Beyond 34 weeks with favourable cervix and head is deep in pelvis • PGE2 gel when cervix unfavourable Intrapartum monitoring by clinical , continuous electronic and scalp blood sampling is needed as risk of intrapartum asphyxia is high
  • 48.
    Care during vaginaldelivery • Equipped institution where intensive intranatal monitoring (clinical and electronic) is possible and having facilities for NICU. • precautions Caesarean section without a trial of labour- when risks of vaginal delivery are more( fetal acidemia, absent or reversed diastolic flow in umbilical artery or unfavourable cervix)
  • 49.
    First stage • Ensureadequate fetal oxygenation by giving oxygen to mother by mask • Epidural analgesia is of choice • Labour carefully monitored preferably with continuous EFM Second stage • Birth should be gentle and slow to avoid rapid compression and decompression of head • Episiotomy may be done to minimise head compression • Tendency to delay is curtailed by low forceps • Cord is to be clamped immediately at birth
  • 50.
    Management protocol ofIUGR •To confirm IUGR and type •To exclude cong malformation •To treat specific cause if found •Fetal surveillance -Daily fetal movement count -Cardiotocography, NST -Biophysical profile -Doppler US parameters, ductus venosus, umbilical vein Pregnancy >= 37 weeks Delivery Pregnancy <37 weeks Severe IUGR Mild IUGR
  • 51.
    Mild IUGR •Increased rest •Folicacid •Increased fliud intake •General management •Fetal monitoring till 37 weeks Delivery Dual problem •Prematurity •dysmaturity Equipped centre Centre with limited facilities In utero transfer to a referral centre Severe IUGR Fetal surveillance Reassuring fetal status Non- reassuring fetal status Doppler after 1 week
  • 52.
    Assess lung maturity •L:Sratio •Phosphatidyl glycerol level Not mature Mature Betamethasone therapy Delivery Delivery Non-reassuring fetal status
  • 53.
    Low birth weight •WHO has defined LBW “as one whose birth weight is less than 2500 g (irrespective of gestational age” • Very low birth weight - <=1500 g • Extremely low birth weight- <=1000 g
  • 55.
    LBW Preterm • Birth occursbefore completion of 37 weeks of gestation regardless of birth weight • Growth potential is normal and appropriate for gestational period(10- 90th percentile) SGA • Birth weight< 10th percentile or <2 SD for gestational age • May be constitutionally small(70%) or due to pathologic process(30%)
  • 56.
    Incidence • Highest inthose countries where mean birth weight is low • 5%-40% of live births • India- 1/3 • Factors- short gestational period, socio- economic status, nutritional and intrauterine environment, ethnic background, genetic control
  • 57.
    Care of lowbirth weight baby IMMEDIATE MANAGEMENT FOLLOWING BIRTH ‡ - The cord is to be clamped quickly to prevent hypervolaemia and development of hyperbilirubinemia ‡ Cord length is kept long ( 10-12 cm) in case exchange transfusion is required
  • 58.
    ‡ Air passageshould be cleared of mucus promptly and gently using a mucus sucker ‡ Adequate oxygenation through mask or nasal catheter in concentration not exceeding 35% ‡ Baby should be wrapped including head in a sterile warm towel (36.5-37.5 ⁰C) ‡ Aqueous solution of vitamin K 1 mg is to be injected i.m. to prevent haemorrhagic manifestations
  • 59.
  • 60.
    INTENSIVE CARE PROTOCOL Thoserequiring special care are judged by: • Inability to suckle the breast and to swallow • Incapacity to regulate temperature within limited range 96⁰-99⁰F (35.6⁰- 37.2⁰ C) • Inability to control cardio-respiratory function without cyanotic attacks
  • 61.
    Maintaining body temperature •Delivery room dept warm, dry • With mother- skin to skin contact • Best placed in incubator where temperature and humidity(50%) can be better stabilised
  • 62.
    • Under radiantwarmer with protective plastic covers. Baby is placed naked. • If not possible to maintain for entire room, cot is kept warm( 30 ⁰C). Rubber hot water ( not boiling) bottles stoppered and well covered with clothings
  • 63.
    Respiratory support • Totide over initial cyanotic phase, air passage is cleared • Placed in incubator with oxygen running / Baby’s head kept in oxygen head box for prolonged oxygen therapy • Some may require endotracheal intubation and mechanical ventilation
  • 64.
    • Pulse oximeter-continuous O2 monitoring (90- 92%) • Arterial blood gas values: PaO2 55-65 mm Hg PaCO2 35-45 mm Hg pH 7.35-7.45 • Surfactant replacement therapy is indicated in HMD
  • 65.
    Infection • Respiratory tract,GIT, skin, umbilicus • Poor defensive power of neonates with low WBC count and poor phagocytic activity make baby more vulnerable • Prophylactic antibiotic therapy in premature rupture of membranes • Every precaution to prevent infection • Ampicillin 100 mg/kg per day or amikacin 10-15 mg/kg per day i.v. in 2 divided doses for 5-7 days
  • 66.
    Nutrition • Enteral feedingdepending on gestation age and vigour • May require gavage feeding/ parenteral nutrition • Human milk is 1st choice • Colostrum, foremilk, hindmilk and preterm milk help faster growth
  • 67.
    Commencement • 1/2-1 hoursof birth • Eliminates hypoglycaemia, lowers serum bilirubin and neurological sequelae Intervals- hourly in extreme prematurity to 3 hourly in birth after 36 weeks
  • 68.
    Methods • Start i.v.fluids if <1200 g (<30 weeks) • gradually tube feeding after 1-3 days • Spoon after 2-4 weeks 1200-1800 g(30-34 weeks) started with tube feeding and gradually spoon and breast feeding >1800 g (>34 weeks)- breast feed
  • 69.
    Tube/ Gavage: • Finepolythene tube 0.5 mm internal diameter • Through nose down to oesophagus • Expressed milk is started with small volume and gradually build up. • Continued for about 7 days • Calculated amount is injected with syringe by gravitation/pressure
  • 70.
    • Pipette, dropper,katori and spoon- where baby can swallow but fails to suck • Bottle- when baby can suck and swallow but can’t manage to express milk from the breast • I.v. fluids- neonates within incubator/radiant warmer •Net reqt= 60-80 mL/kg/day of 10% dextrose water on 1st day, increase by 15 mL/kg/day •More amount(10%) if phototherapy used •Monitoring by body weight, urine output, specific gravity and serum sodium
  • 71.
    Position- when incot, placed on one side with head raised a little to prevent regurgitation Nature of food- undiluted breast milk expressed from mother or pooled is ideal • Diluted cow’s milk 1:1 for 1st month and 2:1 during second month • One tsp glucose added to 50 mL milk prepared for 1st 10 days ,then reduced to 1 tsp to 100 mL • Alternately, half cream powder milk with glucose in full strength
  • 72.
    Calorie reqt • Morethan mature counterpart because of greater loss of heat from body surface • 60 cal/kg/d on 7th day • 100 cal/kg/d on 14th day • 120-150 cal/kg/d on 21st day Food volume Amount of milk to be given is given slowly and progressively increased 1st day- 80mL/kg Increased by 15 mL/kg /d to reach 200 mL/kg/d by 8-10 day Small stomach capacity, weak cardiac sphincter, poor cough reflex small feeds at shorter intervals
  • 73.
    Additional supplements • Startedafter 2 weeks • Vitamin A 2500 IU, vitamin D 400 IU,vitamin C 50 mg, folic acid 65 µg, vitamin B1 0.5 mg • Iron- liquid preparation 2-4 mg/kg/d in 2 divided doses • calcium , phosphate • I.v. gamma globulin therapy(400 mg/kg/dose) to prevent infections • <1200 g- parenteral nutrition with a.a, lipids with dextrose and multivitamins
  • 74.
    Adequate nursing care •1 nurse-2 or 3 infants • Temperature –twice daily • Weight daily- over or underhydrated • Constant supervision during 1st 48 hours • Mother should be allowed to her baby in the nursery • Mother taught general care and manual expression of milk
  • 75.
    Favourable signs ofprogress • Colour of skin remains pink all the time • Smooth and regular breathing • Increasing vigour –movements of limb, cry • Progressive gain in weight. Loss of 1-2% everyday for 5-7 days, gain 1-1.5% daily, regains birth wt by 10-14 days
  • 76.
    Discharge • When theyattain sufficient weight • Attain good vigour • Able to suck the breast successfully Advice • About feeding schedule • Prescribe suitable multivitamin and oral iron preparation • To attend child welfare clinic for subsequent check up, immunisation and guidance Supervision continued at home by public health nurses or health visitors if possible.