Inguinal hernia
Dr.MOHAMED RUVAIS
 A hernia is defined as an abnormal protrusion of
an organ or tissue through a defect in its
surrounding walls.
 more common in men and women but
much more common in men.
Comprises of :
 Covering
 Sac
 Content
 The sac is a diverticulum of the peritoneum
with mouth, neck,body and fundus.
 Hernias without neck and large mouth-
incisional hernia and direct hernia.
 Hernias without sac – epigastric
hernia(protrusion extra peritoneal fat).
 Anatomy
 Types
 Origin
 Classification
 Diagnosis
 Surgery
Index
 A canal 4cm long
 located in the lower part of the anterior
abdominal wall above the groin,directed
downwards, medially and forward.
EXTENT
 Deep inguinal ring to the superficial inguinal
ring.
Basic anatomy of the inguinal canal
Deep inguinal ring
 U-shaped opening on the transversalis fascia 1.25cm
above and perpendicular to the mid inguinal
point(midway between the anterior superior iliac
spine and the pubic tubercle)
 approximately 2–3 cm above the femoral artery pulse
in the groin
Superficial inguinal ring
 V-shaped defect
 opening on the `external oblique aponeurosis
Formed by-
 herniation of the gubernaculum testis and the
processus vaginalis which makes it possible
for the testis and spermatic cord to pass from
the abdomen to the scrotum in males and the
round ligament in female.
Embryology
Anterior wall-
 aponeurosis of the external oblique, and
reinforced by the internal oblique muscle
laterally.
Posterior wall-
 transversalis fascia and conjoint tendon
medial half.
BOUNDRIES
Roof-
 by the internal oblique, transversus abdominis
and transversalis fascia.
Floor-
 inguinal ligament (a ‘rolled up’ portion of the
external oblique aponeurosis) and thickened
medially by the lacunar ligament.
 Spermatic cord (men)
 Round ligament (women)
 Ilioinguinal nerve
CONTENT
 The classic and memorable description of the
contents of
 spermatic cord in the male are:
 3 arteries: cremasteric, differential and testicular art.
 3 nerves: ilioinguinal, the iliohypogastric
 and the genital branch of the genitofemoral nerve
 3 fascial layers: external spermatic, cremasteric,
 and internal spermatic fascia.
 3 other structures: pampiniform plexus, vas
 deferens (ductus deferens), testicular lymphatics
Spermatic cord
 Indirect(lateral ,oblique)
 Direct(medial)
 Slidinghernia
TYPES
Three types of classification
1.According to the extent of the hernia
 a) bubonocele — when the hernia does not come out
of the superficial inguinal ring
 (b) incomplete hernia— when it comes out through
the superficial inguinal ring but fails to reach the
bottom of the scrotum
 (c) complete hernia — when it reaches the bottom of
the scrotum
A. ANATOMICAL TYPES
2.According to its site of exit-
(a)oblique (indirect) hernia
(b)direct hernia
3.According to the contents of the hernia-
 Omentum – omentocele-
 Intestine – enterocele
 urinary bladder-cystocele
 Two loops of intestine in a manner of W -Maydl’s
hernia
 Appendix – Amayand hernia
 Meckel’s diverticulum – litter’s hernia
 lateral because its origin is lateral to the
inferior epigastric vessels.
 oblique as the hernia passes obliquely from
lateral to medial through the abdominal
muscle layers.
1.Indirect(lateral ,oblique)
 Two forms of indirect inguinal hernia
 (i) Congenital hernia
 (ii) Acquired hernia
In neonates and young children
 As the testis descends, a tube of peritoneum(funicular
process of peritoneum) is pulled with the testis and wraps
around it ultimately to form tunica vaginalis.
 This peritoneal tube should obliterate, possibly under
hormonal control, but it commonly fails to fuse either in
part or totally. As a result, bowel within the peritoneal
cavity is able to pass inside the tube down towards the
scrotum.
1.Congenital hernia
 In case of congenital hernia the whole process remains patent.
 Thus a congenital hernia reaches the bottom of the scrotum
very quickly.
 It may so happen that the funicular process remains patent up
to the top of the testis. So the hernia stops at the top of the
testis and is known as a congenital funicular hernia.
 As the name suggests it does not protrude into a pre-
formed sac.
 Clinically it can be differentiated from a congenital
hernia by the fact that it does not become complete
at once.
 Acquired hernia progresses gradually.
2.Acquired hernia
 Is acquired
 more common above the age of 40.
 It is a result of stretching and weakening of the
abdominal wall just medial to the inferior epigastric
(IE) vessels.
There is a triangle referred to as Hasselbach’s triangle
 laterally- the IE vessels
 medially -lateral edge of rectus abdominis
 below -pubic bone (the iliopubic tract)
2.Direct(medial)
Hesselbach’s Triangle(inguinal
triangle)
 This area is weak
 Abdominal wall here consists of only transversalis fascia
covered by the external oblique aponeurosis.
 A direct, medial hernia is more likely in elderly patients.
 It is broadly based and therefore unlikely to strangulate.
 The medially placed bladder can be pulled into a direct
hernia.
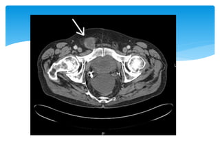
This cystogram shows the urinary bladder, part of
which has descended into a left direct inguinal hernia
(arrows).
 Acquired hernia
 Due to weakening of the abdominal wall
 lateral to the IE vessels.
 Retroperitoneal fatty tissue is pushed downwards .
 As more tissue enters the hernia- peritoneum is
pulled-creating a sac.
 Sac has formed secondarily, distinguishing it from a
classic indirect hernia.
3.Sliding hernia
Pantaloon hernia
Occasionally, both lateral and medial hernias are present in
the same patient.
Richter hernia
small portion of the antimesenteric wall of the intestine is
content.
Ogilvie hernia
 Congenital direct hernia
 through a rigid circular orifice in the conjoined tendon
Clinically hernia may be of five types-
1. Reducible hernia—contents can be returned
into the abdominal cavity, but the sac remains
in its position.
2. Irreducible hernia contents cannot be
returned to the abdomen.
 not suggest any other complication.
B. CLINICAL TYPES
causes of irreducibility are
 (i) adhesion of its contents to each other
 (ii) adhesion of its contents with the sac
 (iii) adhesion of one part of the sac to the other part
 (iv) sliding hernia
 (v) very large scrotal hernia (scrotal abdomen)
 Often confused with strangulated hernia by the
beginners.
 Clinically a strangulated hernia is also irreducible,
but it is extremely tender and tense and the
overlying skin may be red.
 These signs are absent in a pure irreducible hernia.
3. Obstructed or incarcerated hernia
 irreducibility+Intestinal obstruction
 Due to occlusion of the lumen of the bowel.
 No interference with the blood supply
4. Strangulated hernia
 irreducibility+obstruction+arrest of blood supply to
the contents
Diagnosis
 Irreducible
 No impulse on coughing
 Tense and tender
 Features of acute intestinal obstruction.
5. Inflamed hernia
 very rare condition
 Mimic a strangulated hernia.
 when its content such as an appendix, a salpinx or a
Meckel's diverticulum becomes inflamed.
Diagnosis
 constitutional disturbances
 local signs of inflammation-skin becomes red and
oedematous and the swelling becomes painful,
tender and swollen.
 The only differentiating feature from a strangulated
hernia is that this hernia is not tense and is not
associated with intestinal obstruction.
 Casten,Halverson and McVay, Zollinger, Ponka, Gilbert
and Nyhus.
 The European Hernia Society has recently suggested a
simplified system
 primary or recurrent (P or R);
 lateral, medial or femoral (L, M or F);
 defect size in fingerbreadths assumed to be 1.5 cm
 A primary, indirect, inguinal hernia with a 3-cm defect
 size would be PL2.
Classification
 presenting as intermittent swellings,
 lying above and lateral to the pubic tubercle
 associated cough impulse.
 Often the hernia will reduce on lying and reappear on
standing.
Diagnosis of an inguinal hernia
 Irreducibility
 Obstruction
 incarceration
 Strangulation
 Rupture of sac – trauma, pressure necrosis
ofoverlying skin
 Fistula formation – Richter's hernia
 Hemorrhage
 Hydrocele of sac
 Extension of intra abdominal inflammation
 Extension of intra abdominal tumour.
 Torsion of omentum
Complications
Investigation
Treatment
MANAGEMENT OF INGUINAL
HERNIA
 Ultrasound
 High Test Sensitivity (>90%)
 High Test Specificity
 CT&MRIof the abdomen and pelvis may be useful
 laparoscopy can be diagnostic and therapeutic for
particularly challenging cases.
 A herniogram involves the injection of contrast into the
peritoneal cavity followed by screening which shows the
presence of a sac or asymmetrical bulging of the inguinal
anatomy.
Investigations
Incarcerated hernias
Strangulated hernias
Sliding hernias
EMERGENCY REPAIR
Non operative Treatment-with the use of a truss
 Truss is a mechanical appliance ,belt with a pad
applied to groin after spontaneous or manual
reduction of hernia.
 purpose is to maintain reduction and to prevent
enlargement.
TREATMENT
INDIRECT INGUINAL HERNIA
 Herniotomy
 Lytle’s repair
 herniorrhaphy
HERNIOTOMY-
 Separation of sac from cord srtuctures
 Reducing the content
 Transfixation and ligation of sac
 Excise the redundant sac
LYTLE’S REPAIR-
 Tightening of the internal inguinal ring around the
spermatic cord.
 Use prolene 2.o
HERNIORRHAPHY
 Heniotomy +reconstruction of the posterior wall of
the inguinal canal.
 Anterior repairs are the most common operative
approach-Tension-free repairs are now standard.
 Older tissue types of repair are rarely indicated
except
 for patients with simultaneous contamination or
concomitant bowel resection, when placement of a
mesh prosthesis may be contraindicated
Operative Repair
 make a transversely oriented linear or slightly
curvilinear incision above the inguinal ligament and a
fingerbreadth below the internal inguinal ring.
 Dissection is continued through the subcutaneous
tissues and Scarpa fascia.
 The external oblique fascia and external inguinal ring
are identified. The external oblique fascia is incised
through the superficial inguinal ring to expose the
inguinal canal.
`
 The genital branch of the genitofemoral nerve
and the ilioinguinal and iliohypogastric nerves
are identified and avoided or mobilized to
prevent transection and entrapment.
 The cremaster muscle of the mobilized spermatic
cord is separated parallel to its fibers from the
underlying cord structures.
 The cremaster artery and vein, which join the
cremaster muscle near the inguinal ring, can usually
be avoided but may need to be cauterized or ligated
and divided.
 When an indirect hernia is present, the hernia sac is
located deep to the cremaster muscle and anterior
and superior to the spermatic cord structures.
 Incising the cremaster muscle in a longitudinal
direction and dividing it circumferentially near the
internal inguinal ring help expose the indirect hernia
sac.
 The hernia sac is carefully separated from adjacent
cord structures and dissected to the level of the
internal inguinal ring.
 The sac is opened and examined for visceral contents
if it is large; however, this step is unnecessary in small
hernias.
 The sac can be mobilized and placed within the
preperitoneal space, or the neck of the sac can be
ligated at the level of the internal ring and any excess
sac excised.
 If a large hernia sac is present, it can be divided with
use of electrocautery to facilitate ligation.
 It is not necessary to excise the distal portion of the
sac.
 If the sac is broad based, it may be easier to displace it
into the peritoneal cavity rather than to ligate it.
 Direct hernia sacs protrude through the floor of the
inguinal canal and can be reduced below the
transversalis fascia before repair.
 A “lipoma” of the cord actually represents
retroperitoneal fat that has herniated through the
deep inguinal ring; this should be suture ligated and
removed.
 Not done nowadays- because of high recurrence
rates.
Tissue repairs
 Iliopubic tract
 Shouldice
 Bassini
 McVay repairs
Available options for tissue repair
 Approximates the transversus abdominis aponeurotic
arch to the iliopubic tract with the use of interrupted
sutures.
 The repair begins at the pubic tubercle and extends
laterally past the internal inguinal ring.
Iliopubic tract repair
A multilayer imbricated repair of the posterior
wall of the inguinal canal with a continuous
running suture technique.
The initial suture line secures the transversus
abdominis aponeurotic arch to the iliopubic
tract.
Shouldice repair
 The internal oblique and transversus abdominis
muscles and aponeuroses are sutured to the inguinal
ligament.
 The Shouldice repair is associated with a very low
recurrence rate and a high degree of patient
satisfaction in highly selected patients.
 By suturing the transversus abdominis and internal
oblique musculoaponeurotic arches or conjoined
tendon (when present) to the inguinal ligament.
 This once popular technique is the basic approach to
nonanatomic hernia repairs .
 most popular type of repair done before the advent
of tension-free repairs.
Bassini repair
Also known as Cooper ligament repair.
has traditionally been popular for the correction of
direct inguinal hernias, large indirect hernias, recurrent
hernias, and femoral hernias.
Interrupted nonabsorbable sutures are used to
approximate the edge of the transversus abdominis
aponeurosis to Cooper ligament(extension of lacunar
ligament).
McVay repair
The McVay repair
 suited for strangulated femoral hernias because it
provides obliteration of the femoral space without
the use of mesh.
 Dominant method of inguinal hernia repair
 Tension in a repair is the principal cause of
recurrence.
 Current practices in hernia management-synthetic
mesh to bridge the defect a concept-by
Lichtenstein.
Tension-free anterior repair
Anterior inguinal herniorrhaphy
includes
 Lichtenstein approach
 plug and patch technique
 sandwich technique, with both an anterior and
preperitoneal piece of mesh.
Tension-free anterior repair
 nonabsorbable mesh is fashioned to fit the
canal.
 A slit is cut into the distal lateral edge of the
mesh to accommodate the spermatic cord.
Lichtenstein repair
 nonabsorbable suture - to secure the mesh
 beginning at the pubic tubercle and running a length
of suture in both directions toward the superior
aspect above the internal inguinal ring to the level of
the tails of the mesh.
 The mesh is sutured to the aponeurotic tissue
overlying the pubic tubercle medially, continuing
superiorly along the transversus abdominis or
conjoined tendon.
 The inferolateral edge of the mesh is sutured to the iliopubic
tract or inguinal ligament
 Tails created by the slit are sutured together around the
spermatic cord-forming a new internal inguinal ring.
 It is important to protect the nerves from as they are passed
through this newly fashioned internal inguinal ring.
 Adapting the principles of tension-free repair.
 By Gilbert .
 A cone-shaped plug of polypropylene mesh into the
internal inguinal ring - act like an upside-down
umbrella and occlude the hernia.
 plug is fixed to the surrounding tissues and held in
place by an additional overlying mesh patch
Plug and patch repair
 This patch may not need to be secured by sutures.
 An extension of Lichtenstein’s original mesh repair,
has now become the most commonly performed
primary anterior inguinal hernia repair.
 Can be done without suture by some experienced
surgeons.
 Most secure plug and patch -nonabsorbable suture.
 A bilayered device, with three polypropylene
components.
 An underlay patch provides a posterior repair similar
to that of the laparoscopic approach
 An onlay patch covers the posterior inguinal floor.
Sandwich technique
 using a self-expanding polypropylene patch.
 A pocket is created in the preperitoneal space
 A preformed mesh patch is inserted into the hernia defect,
which expands to cover the direct, indirect, and femoral
spaces.
 The patch lies parallel to the inguinal ligament.
 can remain without suture fixation, or a tacking suture .
Preperitoneal repair
 A subumbilical midline incision.
 large mesh prosthesis into the preperitoneal space.
 space that extends into the prevesical space, beyond
the obturator foramen, and posterolateral to the
pelvic brim.
Stoppa-Rives repair
 distributing the natural intra-abdominal pressure
across a broad area to retain the mesh in a proper
location.
 Useful for large, recurrent, or bilateral hernias.
Open preperitoneal approach is useful for
 Recurrent inguinal hernias
 Sliding hernias
 Femoral hernias
 Some strangulated hernias.
Preperitoneal repair
 A transverse skin incision 2 cm above the internal
inguinal ring and is directed to the medial border of
the rectus sheath.
 The muscles of the anterior abdominal wall are
incised transversely.
 preperitoneal space is identified
 The transversalis fascia and transversus abdominis
aponeurosis are identified and sutured to the
iliopubic tract with permanent sutures.
 A mesh prosthesis is frequently used to obliterate
the defect.
 Method of tension-free mesh repair based on a
preperitoneal approach.
The most popular techniques are-
 Totally extraperitoneal (TEP)
 Transabdominal preperitoneal (TAPP)
Laparoscopic repair
 main difference between these two techniques is the
sequence of gaining access to the preperitoneal
space.
 TEP approach, the dissection begins in the
preperitoneal space using a balloon dissector.
 TAPP repair, the preperitoneal space is accessed after
initially entering the peritoneal cavity.
Merits of TEP
 preperitoneal dissection is quicker.
 potential risk for intraperitoneal visceral damage is minimized.
De-merits of TEP
 Use of dissection balloons is costly.
 May not be possible to create a working space if the patient
has had a prior preperitoneal operation.
 If a large tear in the peritoneum is created during a
TEP,potential working space can become obliterated,
necessitating conversion to a TAPP approach.
Laparoscopic mesh surgery, as compared to open mesh surgery
Advantages Disadvantages
•Quicker recovery •Needs surgeon highly
experienced
•Less pain during first days Longer operating time
•Fewer postoperative
complications
such as infections, bleeding
and seromas
Increased recurrence of
primary hernias if
surgeon not experienced
enough
•Less risk of chronic pain
Merits of TAPP
 The transabdominal approach allows identification of
the groin anatomy.
 larger working space of the peritoneal cavity .
 No absolute contraindications to laparoscopic
inguinal hernia repair , except
 Inability to tolerate GA.
 prior lower abdominal surgeries-adhesions.
 radical retropubic prostatectomy - preperitoneal
space previously dissected-
 Infraumbilical incision
 Anterior rectus sheath is incised
 Ipsilateral rectus abdominis muscle is retracted
laterally
 Create a space beneath the rectus.
 A dissecting balloon is inserted deep to the posterior
rectus sheath, advanced to the pubic symphysis, and
inflated under direct laparoscopic vision.
TEP approach
 30-degree laparoscope provides the best
visualization of the inguinal region.
 inferior epigastric vessels are identified along the
lower portion of the rectus muscle and serve as a
useful landmark.
 Care must be taken to avoid injury to
 femoral branch of the genitofemoral nerve and
lateral femoral cutaneous nerve- which are located
lateral to and below the iliopubic tract
 Lateral dissection is carried out to the anterior
superior iliac spine. Finally, the spermatic cord is
skeletonized.
 infraumbilical incision -gain access to the peritoneal
cavity
 Two 5-mm ports -lateral to the inferior epigastric
vessels at the level of the umbilicus.
 A peritoneal flap is created high on the anterior
abdominal wall, extending from the median umbilical
fold to the anterior superior iliac spine.
 Rest is similar to a TEP procedure
TAPP approach
 direct hernia- preperitoneal fat
 Reduced by traction if not already reduced by balloon
expansion of the peritoneal space.
 Small indirect hernia sac is mobilized from the cord
structures and reduced into the peritoneal cavity.
 large sac -difficult to reduce
 So, the sac is divided with cautery near the internal
inguinal ring, leaving the distal sac in situ.
 The proximal peritoneal sac is closed with a loop
ligature to prevent pneumoperitoneum.
 After reduction- piece of polypropylene mesh is
inserted through a trocar and unfolded.
 It covers the direct, indirect, and femoral spaces and
rests over the cord structures
 mesh is carefully secured with a tacking stapler to
Cooper ligament from the pubic tubercle to the
external iliac vein.
 Anteriorly to the posterior rectus musculature and
transversus abdominis aponeurotic arch at least 2 cm
above the hernia defect.
 laterally to the iliopubic tract.
 The mesh extends beyond the pubic symphysis and
below the spermatic cord and peritoneum.
 Tacks are not placed inferior to the iliopubic tract
beyond the external iliac artery.
 Staples placed in this area may injure the femoral
branch of the genitofemoral nerve or lateral femoral
cutaneous nerve.
 Staples are also avoided in - triangle of doom
 bounded by the ductus deferens medially
 spermatic vessels laterally,
 avoid injury to the external iliac vessels and femoral
nerve.
TRIANGLE OF DOOM
External iliac vessels
Deep circumflex iliac vein
Femoral nerve
Genital branch of GF nerve
Nerves
 Lateral femoral cutaneous
 Femoral branch of GF nerve
 Femoral nerve
TRIANGLE OF PAIN`
Intraoperative complications
 Injury to the Vas Deferens and Viscera
Postoperative complication
 Urinary retention
 Urinary tract infection
 Ischemic Orchitis
 Surgical site infection
 Neuralgia,
 pain
 Life-threatening complications
Complications After Open and Lap
Inguinal Hernia Repair
Long-term complications
 Seroma
 Infection
 Chronic pain
 Ischemic Orchitis and Testicular Atrophy
 Recurrence
 major quality indicators –
 Postoperative pain and return to work.
 Tension-free and laparoscopic mesh-based
approaches-less painful
 Lap-Least Pain
Quality of Life
Recurrence Factors
 Patient
 Technical
 Tissue
RECURRENCE
Patient factors
 malnutrition, immunosuppression, diabetes, steroid
use, and smoking.
Technical factors
 mesh size, prosthesis fixation, and technical
proficiency of the surgeon.
Tissue factors
 wound infection, tissue ischemia, and increased
tension within the surgical repair
 Bailey & Love's Short Practice of Surgery 27th Edition.
 S Das 9th Edition.
 Sabiston Text book of surgery 20thEdition.
REFERENCE
THANK YOU

Inguinal hernia

  • 1.
  • 2.
     A herniais defined as an abnormal protrusion of an organ or tissue through a defect in its surrounding walls.  more common in men and women but much more common in men.
  • 3.
    Comprises of : Covering  Sac  Content  The sac is a diverticulum of the peritoneum with mouth, neck,body and fundus.
  • 4.
     Hernias withoutneck and large mouth- incisional hernia and direct hernia.  Hernias without sac – epigastric hernia(protrusion extra peritoneal fat).
  • 5.
     Anatomy  Types Origin  Classification  Diagnosis  Surgery Index
  • 6.
     A canal4cm long  located in the lower part of the anterior abdominal wall above the groin,directed downwards, medially and forward. EXTENT  Deep inguinal ring to the superficial inguinal ring. Basic anatomy of the inguinal canal
  • 7.
    Deep inguinal ring U-shaped opening on the transversalis fascia 1.25cm above and perpendicular to the mid inguinal point(midway between the anterior superior iliac spine and the pubic tubercle)  approximately 2–3 cm above the femoral artery pulse in the groin Superficial inguinal ring  V-shaped defect  opening on the `external oblique aponeurosis
  • 8.
    Formed by-  herniationof the gubernaculum testis and the processus vaginalis which makes it possible for the testis and spermatic cord to pass from the abdomen to the scrotum in males and the round ligament in female. Embryology
  • 9.
    Anterior wall-  aponeurosisof the external oblique, and reinforced by the internal oblique muscle laterally. Posterior wall-  transversalis fascia and conjoint tendon medial half. BOUNDRIES
  • 10.
    Roof-  by theinternal oblique, transversus abdominis and transversalis fascia. Floor-  inguinal ligament (a ‘rolled up’ portion of the external oblique aponeurosis) and thickened medially by the lacunar ligament.
  • 12.
     Spermatic cord(men)  Round ligament (women)  Ilioinguinal nerve CONTENT
  • 13.
     The classicand memorable description of the contents of  spermatic cord in the male are:  3 arteries: cremasteric, differential and testicular art.  3 nerves: ilioinguinal, the iliohypogastric  and the genital branch of the genitofemoral nerve  3 fascial layers: external spermatic, cremasteric,  and internal spermatic fascia.  3 other structures: pampiniform plexus, vas  deferens (ductus deferens), testicular lymphatics Spermatic cord
  • 14.
     Indirect(lateral ,oblique) Direct(medial)  Slidinghernia TYPES
  • 15.
    Three types ofclassification 1.According to the extent of the hernia  a) bubonocele — when the hernia does not come out of the superficial inguinal ring  (b) incomplete hernia— when it comes out through the superficial inguinal ring but fails to reach the bottom of the scrotum  (c) complete hernia — when it reaches the bottom of the scrotum A. ANATOMICAL TYPES
  • 16.
    2.According to itssite of exit- (a)oblique (indirect) hernia (b)direct hernia
  • 17.
    3.According to thecontents of the hernia-  Omentum – omentocele-  Intestine – enterocele  urinary bladder-cystocele  Two loops of intestine in a manner of W -Maydl’s hernia  Appendix – Amayand hernia  Meckel’s diverticulum – litter’s hernia
  • 18.
     lateral becauseits origin is lateral to the inferior epigastric vessels.  oblique as the hernia passes obliquely from lateral to medial through the abdominal muscle layers. 1.Indirect(lateral ,oblique)
  • 19.
     Two formsof indirect inguinal hernia  (i) Congenital hernia  (ii) Acquired hernia
  • 20.
    In neonates andyoung children  As the testis descends, a tube of peritoneum(funicular process of peritoneum) is pulled with the testis and wraps around it ultimately to form tunica vaginalis.  This peritoneal tube should obliterate, possibly under hormonal control, but it commonly fails to fuse either in part or totally. As a result, bowel within the peritoneal cavity is able to pass inside the tube down towards the scrotum. 1.Congenital hernia
  • 21.
     In caseof congenital hernia the whole process remains patent.  Thus a congenital hernia reaches the bottom of the scrotum very quickly.  It may so happen that the funicular process remains patent up to the top of the testis. So the hernia stops at the top of the testis and is known as a congenital funicular hernia.
  • 22.
     As thename suggests it does not protrude into a pre- formed sac.  Clinically it can be differentiated from a congenital hernia by the fact that it does not become complete at once.  Acquired hernia progresses gradually. 2.Acquired hernia
  • 23.
     Is acquired more common above the age of 40.  It is a result of stretching and weakening of the abdominal wall just medial to the inferior epigastric (IE) vessels. There is a triangle referred to as Hasselbach’s triangle  laterally- the IE vessels  medially -lateral edge of rectus abdominis  below -pubic bone (the iliopubic tract) 2.Direct(medial)
  • 24.
  • 25.
     This areais weak  Abdominal wall here consists of only transversalis fascia covered by the external oblique aponeurosis.  A direct, medial hernia is more likely in elderly patients.  It is broadly based and therefore unlikely to strangulate.  The medially placed bladder can be pulled into a direct hernia.
  • 26.
    This cystogram showsthe urinary bladder, part of which has descended into a left direct inguinal hernia (arrows).
  • 27.
     Acquired hernia Due to weakening of the abdominal wall  lateral to the IE vessels.  Retroperitoneal fatty tissue is pushed downwards .  As more tissue enters the hernia- peritoneum is pulled-creating a sac.  Sac has formed secondarily, distinguishing it from a classic indirect hernia. 3.Sliding hernia
  • 28.
    Pantaloon hernia Occasionally, bothlateral and medial hernias are present in the same patient. Richter hernia small portion of the antimesenteric wall of the intestine is content. Ogilvie hernia  Congenital direct hernia  through a rigid circular orifice in the conjoined tendon
  • 29.
    Clinically hernia maybe of five types- 1. Reducible hernia—contents can be returned into the abdominal cavity, but the sac remains in its position. 2. Irreducible hernia contents cannot be returned to the abdomen.  not suggest any other complication. B. CLINICAL TYPES
  • 30.
    causes of irreducibilityare  (i) adhesion of its contents to each other  (ii) adhesion of its contents with the sac  (iii) adhesion of one part of the sac to the other part  (iv) sliding hernia  (v) very large scrotal hernia (scrotal abdomen)
  • 31.
     Often confusedwith strangulated hernia by the beginners.  Clinically a strangulated hernia is also irreducible, but it is extremely tender and tense and the overlying skin may be red.  These signs are absent in a pure irreducible hernia.
  • 32.
    3. Obstructed orincarcerated hernia  irreducibility+Intestinal obstruction  Due to occlusion of the lumen of the bowel.  No interference with the blood supply
  • 33.
    4. Strangulated hernia irreducibility+obstruction+arrest of blood supply to the contents Diagnosis  Irreducible  No impulse on coughing  Tense and tender  Features of acute intestinal obstruction.
  • 34.
    5. Inflamed hernia very rare condition  Mimic a strangulated hernia.  when its content such as an appendix, a salpinx or a Meckel's diverticulum becomes inflamed.
  • 35.
    Diagnosis  constitutional disturbances local signs of inflammation-skin becomes red and oedematous and the swelling becomes painful, tender and swollen.  The only differentiating feature from a strangulated hernia is that this hernia is not tense and is not associated with intestinal obstruction.
  • 36.
     Casten,Halverson andMcVay, Zollinger, Ponka, Gilbert and Nyhus.  The European Hernia Society has recently suggested a simplified system  primary or recurrent (P or R);  lateral, medial or femoral (L, M or F);  defect size in fingerbreadths assumed to be 1.5 cm  A primary, indirect, inguinal hernia with a 3-cm defect  size would be PL2. Classification
  • 38.
     presenting asintermittent swellings,  lying above and lateral to the pubic tubercle  associated cough impulse.  Often the hernia will reduce on lying and reappear on standing. Diagnosis of an inguinal hernia
  • 39.
     Irreducibility  Obstruction incarceration  Strangulation  Rupture of sac – trauma, pressure necrosis ofoverlying skin  Fistula formation – Richter's hernia  Hemorrhage  Hydrocele of sac  Extension of intra abdominal inflammation  Extension of intra abdominal tumour.  Torsion of omentum Complications
  • 40.
  • 41.
     Ultrasound  HighTest Sensitivity (>90%)  High Test Specificity  CT&MRIof the abdomen and pelvis may be useful  laparoscopy can be diagnostic and therapeutic for particularly challenging cases.  A herniogram involves the injection of contrast into the peritoneal cavity followed by screening which shows the presence of a sac or asymmetrical bulging of the inguinal anatomy. Investigations
  • 43.
  • 44.
    Non operative Treatment-withthe use of a truss  Truss is a mechanical appliance ,belt with a pad applied to groin after spontaneous or manual reduction of hernia.  purpose is to maintain reduction and to prevent enlargement. TREATMENT
  • 45.
    INDIRECT INGUINAL HERNIA Herniotomy  Lytle’s repair  herniorrhaphy
  • 46.
    HERNIOTOMY-  Separation ofsac from cord srtuctures  Reducing the content  Transfixation and ligation of sac  Excise the redundant sac
  • 47.
    LYTLE’S REPAIR-  Tighteningof the internal inguinal ring around the spermatic cord.  Use prolene 2.o
  • 48.
    HERNIORRHAPHY  Heniotomy +reconstructionof the posterior wall of the inguinal canal.
  • 49.
     Anterior repairsare the most common operative approach-Tension-free repairs are now standard.  Older tissue types of repair are rarely indicated except  for patients with simultaneous contamination or concomitant bowel resection, when placement of a mesh prosthesis may be contraindicated Operative Repair
  • 50.
     make atransversely oriented linear or slightly curvilinear incision above the inguinal ligament and a fingerbreadth below the internal inguinal ring.  Dissection is continued through the subcutaneous tissues and Scarpa fascia.  The external oblique fascia and external inguinal ring are identified. The external oblique fascia is incised through the superficial inguinal ring to expose the inguinal canal. `
  • 51.
     The genitalbranch of the genitofemoral nerve and the ilioinguinal and iliohypogastric nerves are identified and avoided or mobilized to prevent transection and entrapment.
  • 52.
     The cremastermuscle of the mobilized spermatic cord is separated parallel to its fibers from the underlying cord structures.  The cremaster artery and vein, which join the cremaster muscle near the inguinal ring, can usually be avoided but may need to be cauterized or ligated and divided.  When an indirect hernia is present, the hernia sac is located deep to the cremaster muscle and anterior and superior to the spermatic cord structures.
  • 53.
     Incising thecremaster muscle in a longitudinal direction and dividing it circumferentially near the internal inguinal ring help expose the indirect hernia sac.  The hernia sac is carefully separated from adjacent cord structures and dissected to the level of the internal inguinal ring.  The sac is opened and examined for visceral contents if it is large; however, this step is unnecessary in small hernias.
  • 54.
     The saccan be mobilized and placed within the preperitoneal space, or the neck of the sac can be ligated at the level of the internal ring and any excess sac excised.  If a large hernia sac is present, it can be divided with use of electrocautery to facilitate ligation.  It is not necessary to excise the distal portion of the sac.
  • 55.
     If thesac is broad based, it may be easier to displace it into the peritoneal cavity rather than to ligate it.  Direct hernia sacs protrude through the floor of the inguinal canal and can be reduced below the transversalis fascia before repair.  A “lipoma” of the cord actually represents retroperitoneal fat that has herniated through the deep inguinal ring; this should be suture ligated and removed.
  • 56.
     Not donenowadays- because of high recurrence rates. Tissue repairs
  • 57.
     Iliopubic tract Shouldice  Bassini  McVay repairs Available options for tissue repair
  • 58.
     Approximates thetransversus abdominis aponeurotic arch to the iliopubic tract with the use of interrupted sutures.  The repair begins at the pubic tubercle and extends laterally past the internal inguinal ring. Iliopubic tract repair
  • 60.
    A multilayer imbricatedrepair of the posterior wall of the inguinal canal with a continuous running suture technique. The initial suture line secures the transversus abdominis aponeurotic arch to the iliopubic tract. Shouldice repair
  • 61.
     The internaloblique and transversus abdominis muscles and aponeuroses are sutured to the inguinal ligament.  The Shouldice repair is associated with a very low recurrence rate and a high degree of patient satisfaction in highly selected patients.
  • 62.
     By suturingthe transversus abdominis and internal oblique musculoaponeurotic arches or conjoined tendon (when present) to the inguinal ligament.  This once popular technique is the basic approach to nonanatomic hernia repairs .  most popular type of repair done before the advent of tension-free repairs. Bassini repair
  • 63.
    Also known asCooper ligament repair. has traditionally been popular for the correction of direct inguinal hernias, large indirect hernias, recurrent hernias, and femoral hernias. Interrupted nonabsorbable sutures are used to approximate the edge of the transversus abdominis aponeurosis to Cooper ligament(extension of lacunar ligament). McVay repair
  • 64.
    The McVay repair suited for strangulated femoral hernias because it provides obliteration of the femoral space without the use of mesh.
  • 65.
     Dominant methodof inguinal hernia repair  Tension in a repair is the principal cause of recurrence.  Current practices in hernia management-synthetic mesh to bridge the defect a concept-by Lichtenstein. Tension-free anterior repair
  • 66.
    Anterior inguinal herniorrhaphy includes Lichtenstein approach  plug and patch technique  sandwich technique, with both an anterior and preperitoneal piece of mesh. Tension-free anterior repair
  • 67.
     nonabsorbable meshis fashioned to fit the canal.  A slit is cut into the distal lateral edge of the mesh to accommodate the spermatic cord. Lichtenstein repair
  • 68.
     nonabsorbable suture- to secure the mesh  beginning at the pubic tubercle and running a length of suture in both directions toward the superior aspect above the internal inguinal ring to the level of the tails of the mesh.  The mesh is sutured to the aponeurotic tissue overlying the pubic tubercle medially, continuing superiorly along the transversus abdominis or conjoined tendon.
  • 69.
     The inferolateraledge of the mesh is sutured to the iliopubic tract or inguinal ligament  Tails created by the slit are sutured together around the spermatic cord-forming a new internal inguinal ring.  It is important to protect the nerves from as they are passed through this newly fashioned internal inguinal ring.
  • 71.
     Adapting theprinciples of tension-free repair.  By Gilbert .  A cone-shaped plug of polypropylene mesh into the internal inguinal ring - act like an upside-down umbrella and occlude the hernia.  plug is fixed to the surrounding tissues and held in place by an additional overlying mesh patch Plug and patch repair
  • 72.
     This patchmay not need to be secured by sutures.  An extension of Lichtenstein’s original mesh repair, has now become the most commonly performed primary anterior inguinal hernia repair.  Can be done without suture by some experienced surgeons.  Most secure plug and patch -nonabsorbable suture.
  • 73.
     A bilayereddevice, with three polypropylene components.  An underlay patch provides a posterior repair similar to that of the laparoscopic approach  An onlay patch covers the posterior inguinal floor. Sandwich technique
  • 74.
     using aself-expanding polypropylene patch.  A pocket is created in the preperitoneal space  A preformed mesh patch is inserted into the hernia defect, which expands to cover the direct, indirect, and femoral spaces.  The patch lies parallel to the inguinal ligament.  can remain without suture fixation, or a tacking suture . Preperitoneal repair
  • 75.
     A subumbilicalmidline incision.  large mesh prosthesis into the preperitoneal space.  space that extends into the prevesical space, beyond the obturator foramen, and posterolateral to the pelvic brim. Stoppa-Rives repair
  • 76.
     distributing thenatural intra-abdominal pressure across a broad area to retain the mesh in a proper location.  Useful for large, recurrent, or bilateral hernias.
  • 77.
    Open preperitoneal approachis useful for  Recurrent inguinal hernias  Sliding hernias  Femoral hernias  Some strangulated hernias. Preperitoneal repair
  • 78.
     A transverseskin incision 2 cm above the internal inguinal ring and is directed to the medial border of the rectus sheath.  The muscles of the anterior abdominal wall are incised transversely.  preperitoneal space is identified
  • 79.
     The transversalisfascia and transversus abdominis aponeurosis are identified and sutured to the iliopubic tract with permanent sutures.  A mesh prosthesis is frequently used to obliterate the defect.
  • 80.
     Method oftension-free mesh repair based on a preperitoneal approach. The most popular techniques are-  Totally extraperitoneal (TEP)  Transabdominal preperitoneal (TAPP) Laparoscopic repair
  • 81.
     main differencebetween these two techniques is the sequence of gaining access to the preperitoneal space.  TEP approach, the dissection begins in the preperitoneal space using a balloon dissector.  TAPP repair, the preperitoneal space is accessed after initially entering the peritoneal cavity.
  • 82.
    Merits of TEP preperitoneal dissection is quicker.  potential risk for intraperitoneal visceral damage is minimized. De-merits of TEP  Use of dissection balloons is costly.  May not be possible to create a working space if the patient has had a prior preperitoneal operation.  If a large tear in the peritoneum is created during a TEP,potential working space can become obliterated, necessitating conversion to a TAPP approach.
  • 83.
    Laparoscopic mesh surgery,as compared to open mesh surgery Advantages Disadvantages •Quicker recovery •Needs surgeon highly experienced •Less pain during first days Longer operating time •Fewer postoperative complications such as infections, bleeding and seromas Increased recurrence of primary hernias if surgeon not experienced enough •Less risk of chronic pain
  • 84.
    Merits of TAPP The transabdominal approach allows identification of the groin anatomy.  larger working space of the peritoneal cavity .
  • 85.
     No absolutecontraindications to laparoscopic inguinal hernia repair , except  Inability to tolerate GA.  prior lower abdominal surgeries-adhesions.  radical retropubic prostatectomy - preperitoneal space previously dissected-
  • 86.
     Infraumbilical incision Anterior rectus sheath is incised  Ipsilateral rectus abdominis muscle is retracted laterally  Create a space beneath the rectus.  A dissecting balloon is inserted deep to the posterior rectus sheath, advanced to the pubic symphysis, and inflated under direct laparoscopic vision. TEP approach
  • 87.
     30-degree laparoscopeprovides the best visualization of the inguinal region.  inferior epigastric vessels are identified along the lower portion of the rectus muscle and serve as a useful landmark.
  • 88.
     Care mustbe taken to avoid injury to  femoral branch of the genitofemoral nerve and lateral femoral cutaneous nerve- which are located lateral to and below the iliopubic tract  Lateral dissection is carried out to the anterior superior iliac spine. Finally, the spermatic cord is skeletonized.
  • 90.
     infraumbilical incision-gain access to the peritoneal cavity  Two 5-mm ports -lateral to the inferior epigastric vessels at the level of the umbilicus.  A peritoneal flap is created high on the anterior abdominal wall, extending from the median umbilical fold to the anterior superior iliac spine.  Rest is similar to a TEP procedure TAPP approach
  • 91.
     direct hernia-preperitoneal fat  Reduced by traction if not already reduced by balloon expansion of the peritoneal space.  Small indirect hernia sac is mobilized from the cord structures and reduced into the peritoneal cavity.
  • 92.
     large sac-difficult to reduce  So, the sac is divided with cautery near the internal inguinal ring, leaving the distal sac in situ.  The proximal peritoneal sac is closed with a loop ligature to prevent pneumoperitoneum.
  • 93.
     After reduction-piece of polypropylene mesh is inserted through a trocar and unfolded.  It covers the direct, indirect, and femoral spaces and rests over the cord structures
  • 94.
     mesh iscarefully secured with a tacking stapler to Cooper ligament from the pubic tubercle to the external iliac vein.  Anteriorly to the posterior rectus musculature and transversus abdominis aponeurotic arch at least 2 cm above the hernia defect.  laterally to the iliopubic tract.
  • 95.
     The meshextends beyond the pubic symphysis and below the spermatic cord and peritoneum.  Tacks are not placed inferior to the iliopubic tract beyond the external iliac artery.  Staples placed in this area may injure the femoral branch of the genitofemoral nerve or lateral femoral cutaneous nerve.
  • 97.
     Staples arealso avoided in - triangle of doom  bounded by the ductus deferens medially  spermatic vessels laterally,  avoid injury to the external iliac vessels and femoral nerve.
  • 98.
    TRIANGLE OF DOOM Externaliliac vessels Deep circumflex iliac vein Femoral nerve Genital branch of GF nerve
  • 99.
    Nerves  Lateral femoralcutaneous  Femoral branch of GF nerve  Femoral nerve TRIANGLE OF PAIN`
  • 100.
    Intraoperative complications  Injuryto the Vas Deferens and Viscera Postoperative complication  Urinary retention  Urinary tract infection  Ischemic Orchitis  Surgical site infection  Neuralgia,  pain  Life-threatening complications Complications After Open and Lap Inguinal Hernia Repair
  • 101.
    Long-term complications  Seroma Infection  Chronic pain  Ischemic Orchitis and Testicular Atrophy  Recurrence
  • 102.
     major qualityindicators –  Postoperative pain and return to work.  Tension-free and laparoscopic mesh-based approaches-less painful  Lap-Least Pain Quality of Life
  • 103.
    Recurrence Factors  Patient Technical  Tissue RECURRENCE
  • 104.
    Patient factors  malnutrition,immunosuppression, diabetes, steroid use, and smoking. Technical factors  mesh size, prosthesis fixation, and technical proficiency of the surgeon. Tissue factors  wound infection, tissue ischemia, and increased tension within the surgical repair
  • 105.
     Bailey &Love's Short Practice of Surgery 27th Edition.  S Das 9th Edition.  Sabiston Text book of surgery 20thEdition. REFERENCE
  • 106.