Echocardiography in infective
endocarditis
Dr. Sruthi Meenaxshi MBBS ,MD ,PDF
What is infective endocarditis?
• Infection of the endocardium, or lining layer of the heart, can
occur on any surface, including valve leaflets, congenital
defects, the walls or chordae of the chambers, prosthetic tissue,
or the attachment of implanted shunts, conduits, and fistulae.
• The clinical diagnosis of infective endocarditis (IE) is based
upon a combination of features such as positive blood cultures,
echocardiographic findings, and other clinical or laboratory
criteria
ROLE OF ECHO
●Determining the underlying anatomy of the valvular structures
(and comparing with prior studies, when available)
●Determining the presence, location, size, and number of
vegetation-like masses
●Defining any functional valvular abnormalities/dysfunction
resulting from vegetation(s) and leaflet damage
●Determining the impact of valvular abnormalities/dysfunction, if
any, on right and left ventricular size and function
●Detecting complications of IE (eg, abscess, fistula, etc)
Modified dukes criteria for diagnosis of
infective endocarditis
Diagnosis of infective endocarditis
• Three echocardiographic structural findings as major criteria:
• presence of an oscillating intracardiac mass,
• presence of an abscess, or
• partial dehiscence of a prosthetic valve
• Less common echocardiographic findings of IE include
• pseudoaneurysm,
• fistula, or valve perforation.
• New valvular regurgitation(AHA)
WHO NEEDS TEE
TEE is recommended in patients with high clinical suspicion of IE and
a negative or nondiagnostic TTE.
all patients with complications or if intracardiac device leads are
present
in case of staphylococcal bacterimia with unknown source
in patients with prosthetic valve with persistent fever in absence of
bacteremia or new murmur
Repeat TTE and/or TEE are recommended as soon as a new
complication of IE is suspected (new murmur, embolism, persisting
fever, heart failure, abscess, atrioventricular block).
VEGETATION DEFINITION
• a valvular vegetation is defined as "a discrete mass of echogenic
material adherent at some point to a leaflet surface and distinct in
character from the remainder of the leaflet" based upon the following
characteristics
• Texture – Gray scale and reflectance of myocardium
●Location – Upstream side of the valve in the path of the jet or on
prosthetic material
●Characteristic motion – Chaotic; independent of valve motion
●Shape – Lobulated and amorphous
●Accompanying abnormalities – Abscess and pseudoaneurysm,
fistulae, prosthetic dehiscence, paravalvular leak, significant
preexisting or new regurgitation
• Vegetations also characteristically prolapse into the upstream
chamber
• Vegetations tend to flank the regurgitant jet
• . Intracardiac foreign structures, such as pacemaker leads,
must also be interrogated for the presence of a vegetation
These vegetations should be examined carefully because of greater risk
of embolism.
Size of the vegetation should be noted taking two largest orthogonal
diameter
Mobility, density and extent of vegetation
should be graded
Grade 1 Grade2 Grade3 grade4
MOBILITY fixed Fixed base and
free edge
pedunculated prolapsing
DENSITY Calcified Partial calcified Denser than
myocardium not
calcified
Equal to
myocardium
EXTEND Single Multiple in single
leaflet
Multiple leaflet Extended to
extravalvular
structures
RECOGNITION OF INTRACARDIAC
COMPLICATIONS OF ENDOCARDITIS
• valvular regurgitation
• valve perforation
• abscess
• fistula formation
Valvular regurgitation —
• Bacterial infiltration and proliferation in valve tissue can destroy
the leaflet integrity, leading to regurgitation
• Must be differentiated from a disrupted prolapsing and flail
leaflet
Perivalvular abscess or fistula — When the infective process
spreads beyond the valve leaflets or the cavitary endocardium, it
invades the continuous basal myocardium and tissue of the
fibrous cardiac skeleton.
Early in this process, the organism produces cellulitis, which may
be identified as echodense thickening of perivalvular tissue.
If tissue necrosis and white cell activity continue, the central
portion of this process forms a space-occupying abscess
cavity
Abscess formation is most likely with S. aureus infection.
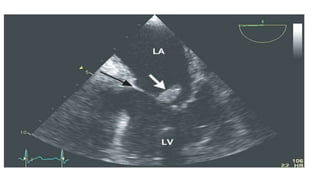
Large oscillating intracardiac mass suggestive
of infective etiology
AHA identifies the following
echocardiographic features of vegetations
that suggest potential need for surgical
intervention
• Persistent vegetation after systemic embolization
• Anterior mitral leaflet vegetation, particularly >10 mm
• Increase in vegetation size despite appropriate antimicrobial
therapy
ESC when surgery is indicated ?
The ESC identifies symptomatic heart failure or
echocardiographic signs of poor hemodynamic tolerance
as indicators for surgery associated with echocardiographic
findings of left-sided severe regurgitation, obstruction, or
fistula formation.
 If the hemodynamic abnormality is acute and associated with
shock, then emergency surgery is indicated [3].
By the ESC recommendations, surgery should be considered
for native valve aortic or mitral vegetations >10 mm with low
operative risk or for very large vegetations >30 mm
FOLLOW UP ECHOCARDIOGRAM
• To assess for the development of complications (eg, abscess,
fistula, valve perforation, etc).
• After 7 days of medical therapy to compare vegetation size
• At completion of antibiotic therapy for evaluation of cardiac function
and valve morphology
Large vegetation over the tricuspid leaflet
Echocardiographic image of infective
endocarditis over the pulmonary valve
PROSTHETIC VALVE ENDOCARDITIS
• Prosthetic valve dehiscence is highly suggestive of IE.
• Dehiscence can be the only manifestation of IE with a prosthetic
valve in the absence of vegetation or abscess
• A valve rocking motion may indicate valve dehiscence.
• Paravalvular regurgitation may also indicate prosthetic valve
endocarditis but should be compared with any prior paravalvular
regurgitation
• TEE solves this problem for mitral prostheses and improves it for
aortic prostheses .However, when both mitral and aortic prostheses
are present, the mitral device tends to obscure the aortic valve.
Tricuspid and pulmonic devices pose similar problems.
DIFFERENTIAL DIAGNOSIS OF CARDIAC
MASSES IDENTIFIED BY ECHOCARDIOGRAM
●Tiny mobile strands are frequently encountered on the valves; these strands
probably represent a normal degenerative process and are known as Lambl's
excrescences.
The valve of the inferior vena cava (Eustachian valve), or the Chiari network in
the right atrium may be mistaken for vegetative masses.
Prolapse of the mitral valve may also in some views be confused with a
vegetation.
●Annular calcification (typically the mitral annulus) can protrude into the cardiac
chambers and raise the possibility of a vegetation.
●Thrombus and tumor should also be considered among the differential diagnosis
of intracardiac echodensities.
A papillary fibroelastoma is a tumor that may be encountered on valve tissues.
Non-bacterial thrombotic endocarditis should also be considered
●Valvular disruption from trauma or other causes may also cause significant
regurgitation and be confused with IE.
Lambl's excrescences
CHIARI NETWORK
LV APICAL THROMBUS
RV THROMBUS
MITRAL ANNULAR CALCIFICATION
Characteristics of a mass not likely to be
an acute vegetation include
●Texture – reflectance of calcium or pericardium (appears white)
●Location – outflow tract attachment, downstream surface of
valve
●Shape – stringy or hair-like strands with narrow attachment
●Lack of accompanying turbulent flow or regurgitation
Infective endocarditis Echocardiography

Infective endocarditis Echocardiography

  • 1.
    Echocardiography in infective endocarditis Dr.Sruthi Meenaxshi MBBS ,MD ,PDF
  • 2.
    What is infectiveendocarditis? • Infection of the endocardium, or lining layer of the heart, can occur on any surface, including valve leaflets, congenital defects, the walls or chordae of the chambers, prosthetic tissue, or the attachment of implanted shunts, conduits, and fistulae. • The clinical diagnosis of infective endocarditis (IE) is based upon a combination of features such as positive blood cultures, echocardiographic findings, and other clinical or laboratory criteria
  • 6.
    ROLE OF ECHO ●Determiningthe underlying anatomy of the valvular structures (and comparing with prior studies, when available) ●Determining the presence, location, size, and number of vegetation-like masses ●Defining any functional valvular abnormalities/dysfunction resulting from vegetation(s) and leaflet damage ●Determining the impact of valvular abnormalities/dysfunction, if any, on right and left ventricular size and function ●Detecting complications of IE (eg, abscess, fistula, etc)
  • 7.
    Modified dukes criteriafor diagnosis of infective endocarditis
  • 9.
    Diagnosis of infectiveendocarditis • Three echocardiographic structural findings as major criteria: • presence of an oscillating intracardiac mass, • presence of an abscess, or • partial dehiscence of a prosthetic valve • Less common echocardiographic findings of IE include • pseudoaneurysm, • fistula, or valve perforation. • New valvular regurgitation(AHA)
  • 11.
    WHO NEEDS TEE TEEis recommended in patients with high clinical suspicion of IE and a negative or nondiagnostic TTE. all patients with complications or if intracardiac device leads are present in case of staphylococcal bacterimia with unknown source in patients with prosthetic valve with persistent fever in absence of bacteremia or new murmur Repeat TTE and/or TEE are recommended as soon as a new complication of IE is suspected (new murmur, embolism, persisting fever, heart failure, abscess, atrioventricular block).
  • 12.
    VEGETATION DEFINITION • avalvular vegetation is defined as "a discrete mass of echogenic material adherent at some point to a leaflet surface and distinct in character from the remainder of the leaflet" based upon the following characteristics • Texture – Gray scale and reflectance of myocardium ●Location – Upstream side of the valve in the path of the jet or on prosthetic material ●Characteristic motion – Chaotic; independent of valve motion ●Shape – Lobulated and amorphous ●Accompanying abnormalities – Abscess and pseudoaneurysm, fistulae, prosthetic dehiscence, paravalvular leak, significant preexisting or new regurgitation
  • 13.
    • Vegetations alsocharacteristically prolapse into the upstream chamber • Vegetations tend to flank the regurgitant jet • . Intracardiac foreign structures, such as pacemaker leads, must also be interrogated for the presence of a vegetation These vegetations should be examined carefully because of greater risk of embolism. Size of the vegetation should be noted taking two largest orthogonal diameter
  • 14.
    Mobility, density andextent of vegetation should be graded Grade 1 Grade2 Grade3 grade4 MOBILITY fixed Fixed base and free edge pedunculated prolapsing DENSITY Calcified Partial calcified Denser than myocardium not calcified Equal to myocardium EXTEND Single Multiple in single leaflet Multiple leaflet Extended to extravalvular structures
  • 15.
    RECOGNITION OF INTRACARDIAC COMPLICATIONSOF ENDOCARDITIS • valvular regurgitation • valve perforation • abscess • fistula formation
  • 16.
    Valvular regurgitation — •Bacterial infiltration and proliferation in valve tissue can destroy the leaflet integrity, leading to regurgitation • Must be differentiated from a disrupted prolapsing and flail leaflet Perivalvular abscess or fistula — When the infective process spreads beyond the valve leaflets or the cavitary endocardium, it invades the continuous basal myocardium and tissue of the fibrous cardiac skeleton. Early in this process, the organism produces cellulitis, which may be identified as echodense thickening of perivalvular tissue. If tissue necrosis and white cell activity continue, the central portion of this process forms a space-occupying abscess cavity Abscess formation is most likely with S. aureus infection.
  • 20.
    Large oscillating intracardiacmass suggestive of infective etiology
  • 21.
    AHA identifies thefollowing echocardiographic features of vegetations that suggest potential need for surgical intervention • Persistent vegetation after systemic embolization • Anterior mitral leaflet vegetation, particularly >10 mm • Increase in vegetation size despite appropriate antimicrobial therapy
  • 22.
    ESC when surgeryis indicated ? The ESC identifies symptomatic heart failure or echocardiographic signs of poor hemodynamic tolerance as indicators for surgery associated with echocardiographic findings of left-sided severe regurgitation, obstruction, or fistula formation.  If the hemodynamic abnormality is acute and associated with shock, then emergency surgery is indicated [3]. By the ESC recommendations, surgery should be considered for native valve aortic or mitral vegetations >10 mm with low operative risk or for very large vegetations >30 mm
  • 23.
    FOLLOW UP ECHOCARDIOGRAM •To assess for the development of complications (eg, abscess, fistula, valve perforation, etc). • After 7 days of medical therapy to compare vegetation size • At completion of antibiotic therapy for evaluation of cardiac function and valve morphology
  • 26.
    Large vegetation overthe tricuspid leaflet
  • 27.
    Echocardiographic image ofinfective endocarditis over the pulmonary valve
  • 30.
    PROSTHETIC VALVE ENDOCARDITIS •Prosthetic valve dehiscence is highly suggestive of IE. • Dehiscence can be the only manifestation of IE with a prosthetic valve in the absence of vegetation or abscess • A valve rocking motion may indicate valve dehiscence. • Paravalvular regurgitation may also indicate prosthetic valve endocarditis but should be compared with any prior paravalvular regurgitation • TEE solves this problem for mitral prostheses and improves it for aortic prostheses .However, when both mitral and aortic prostheses are present, the mitral device tends to obscure the aortic valve. Tricuspid and pulmonic devices pose similar problems.
  • 33.
    DIFFERENTIAL DIAGNOSIS OFCARDIAC MASSES IDENTIFIED BY ECHOCARDIOGRAM ●Tiny mobile strands are frequently encountered on the valves; these strands probably represent a normal degenerative process and are known as Lambl's excrescences. The valve of the inferior vena cava (Eustachian valve), or the Chiari network in the right atrium may be mistaken for vegetative masses. Prolapse of the mitral valve may also in some views be confused with a vegetation. ●Annular calcification (typically the mitral annulus) can protrude into the cardiac chambers and raise the possibility of a vegetation. ●Thrombus and tumor should also be considered among the differential diagnosis of intracardiac echodensities. A papillary fibroelastoma is a tumor that may be encountered on valve tissues. Non-bacterial thrombotic endocarditis should also be considered ●Valvular disruption from trauma or other causes may also cause significant regurgitation and be confused with IE.
  • 34.
  • 35.
  • 36.
  • 37.
  • 38.
  • 39.
    Characteristics of amass not likely to be an acute vegetation include ●Texture – reflectance of calcium or pericardium (appears white) ●Location – outflow tract attachment, downstream surface of valve ●Shape – stringy or hair-like strands with narrow attachment ●Lack of accompanying turbulent flow or regurgitation