DENTAL IMPLANTS
A NEW BEGINNING
Dental implant is an
artificial titanium
fixture which is placed
surgically into the jaw
bone to substitute for a
missing tooth and its
root's.
Implants restoration look and
feel like your own teeth than
other therapies.
It enhances :
1. Stability
2. Function
3. Aesthetics
4. Preserve Integrity
5. Comfort
What are the consequences of tooth loss?
• Without the stimulation of the tooth or root the above
become unused &continuously resorbs.
•When a tooth is lost , the lack
of stimulation to the residual
bone causes a decrease in
trabeculae and bone density
in the area, with loss in
external width, the height, of
the bone volume
•With top premolars missing and
premolars have no opposing force
so they continue to erupt
•With no posterior contact all the
force is placed on anterior teeth
which in turn are overloaded and
pushed forward and outward
•Clinical example of side view
• With all the teeth present there is stability.Teeth
are not actually rigid in the mouth, but stay in
place due to a complex series of pressure
contacts and eruption
•2 lower molars missing
• Without the counter forces of the
bottom teeth , the top teeth supra
erupt
•With all teeth present there is stability.
Teeth are not actually rigid in the
mouth ,but stay in place due to
complex series of pressure contacts
and erruption forces
•Missing lower molar
•A single tooth loss in lower arch can
result in the tooth drifting forward
•This create poor contact and
periodontal (gum) problems
around the moving tooth
But most important consequence is
loss of self confidence… self embarassment
Best solution is dental implants
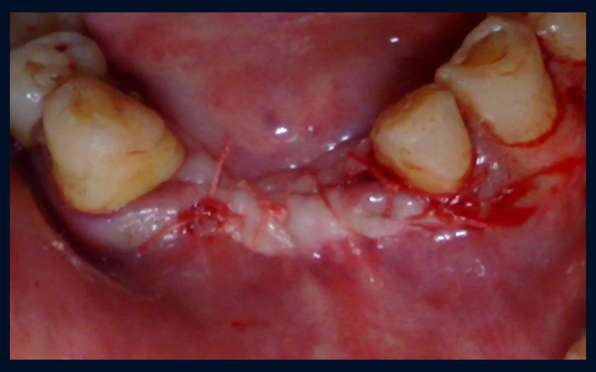
Crestal incision with releasing incisions
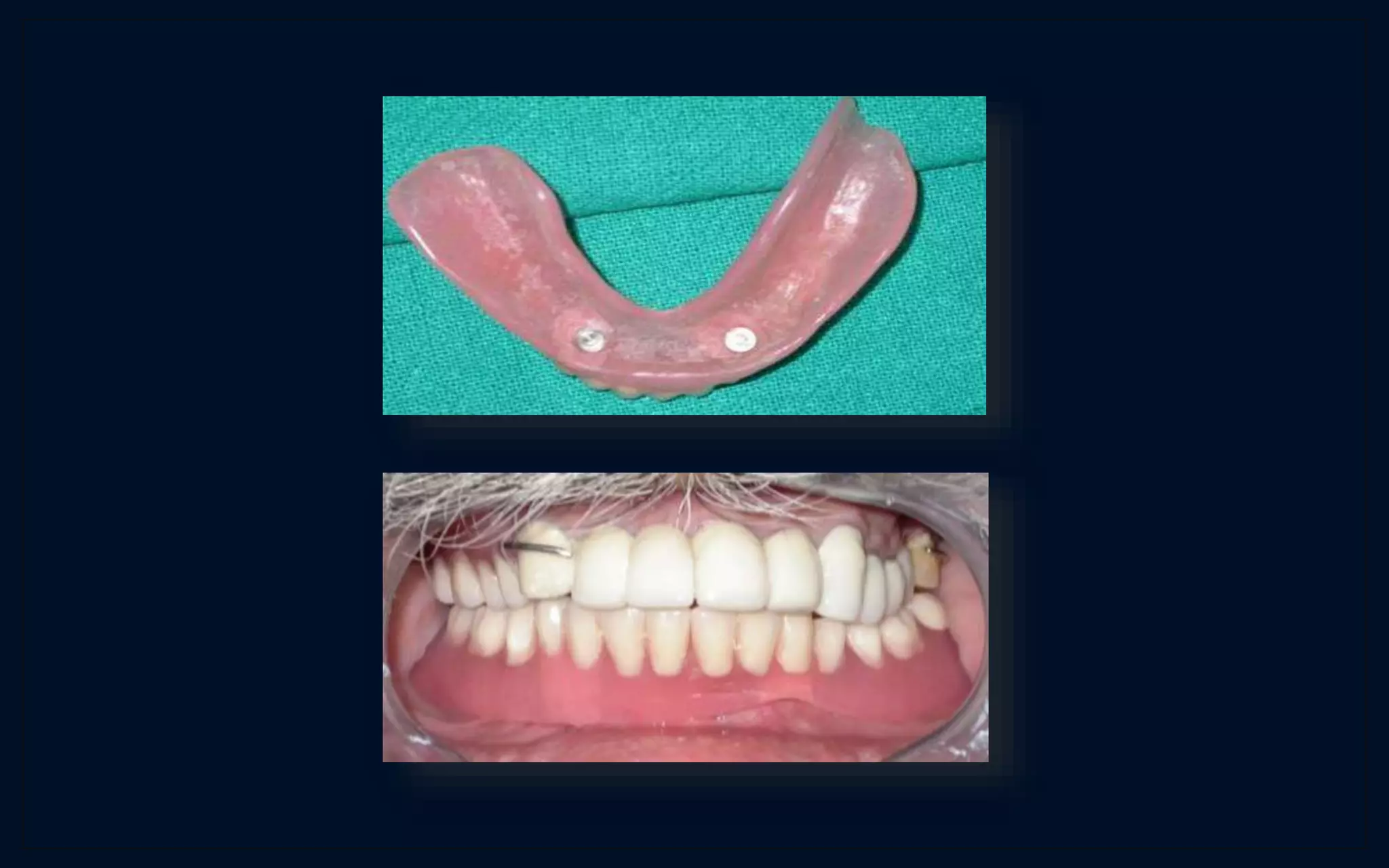
overdenture
P0ST-OPERATIVE….DAY - 2
P0ST-OPERATIVE….6 MONTHS
IMPLANT IN ANTERIOR
ESTHETIC ZONE
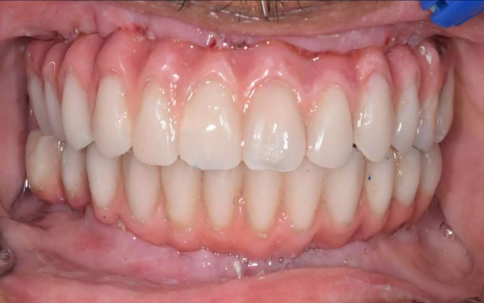
Post operative view
•Zirconia Based
Fixed Dental
ProsthesisWas
Fabricated
•Pink Porcelain
Was UsedTo
CamouflageThe
Interdental
Pappila & Gingiva
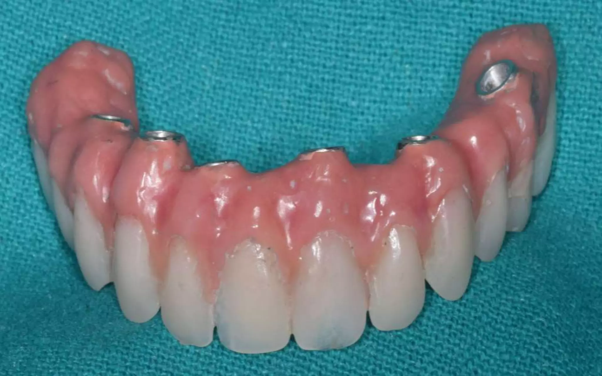
•Milled abutments
placed
•3 unit zirconia FDP
cementation done
Post OperativeView
Kennedy class I distal
extension case
Post operative view
Digital workflow
of
Titanium
framework
Digital Design Of
Porcelain Fused
ToTitanium
Prosthesis
(TILITE)
Milled abutment in
placed ( positioning
jig)
Porcelain
fused to
titanium alloy
Fixed dentate
prosthesis
OPG
POST OPERATIVEVIEW
Surgical Phase
CloseTray Impression
MilledAbutments MetalTry In
Porcelain FusedTo Metal
Bridge Cementation Done
Post operative view
Pre operative view
Completely
Edentulous Maxillary
Arch
Partially Edentulous MandibularArch
Milled
abutments in
position
Prosthetic
Phase
Cementation of the prosthesis
Post operative view
Intraoral welding
concept
Implant lecture
Implant lecture
Implant lecture
Implant lecture
Implant lecture
Implant lecture
Implant lecture
Implant lecture
Implant lecture
Implant lecture
Implant lecture
Implant lecture

Implant lecture