CONTENTS
Definitions
Advantages and disadvantages of immediate dentures
Contraindications of immediate dentures
Basic over view of an immediate denture fabrication
Surgery and Immediate Denture Insertion
Patient instructions
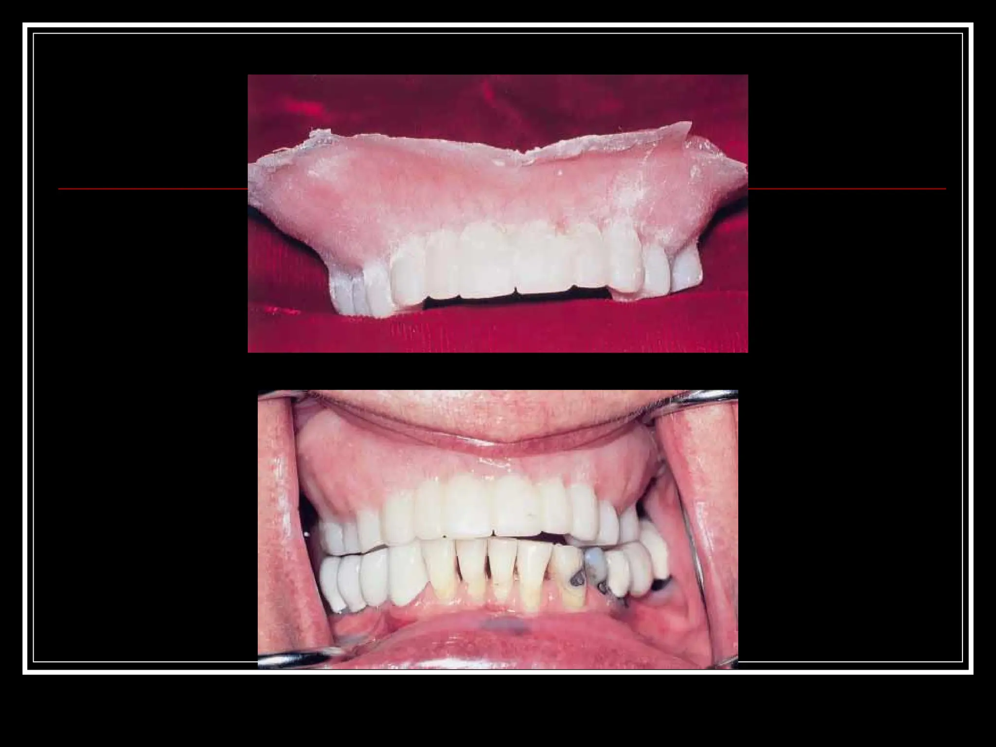
Review of literature
Conclusion
References
Definition
The glossary of prosthodontic terms ‘defines an
immediate denture as a complete or removable
partial denture constructed for insertion
immediately following the removal of natural
teeth.
Interim Immediate Denture/
Transitional Immediate Denture
 An immediate denture after healing can be relined
and refitted to be used as a definitive denture but an
Interim immediate denture is worn only during the
healing period to be replaced with a new prosthesis
as soon as healing is complete.
One of the first references to immediate dentures in the
literature was that of Richardson in 1860 (Seals,
1999).
ADVANTAGES AND DISADVANTAGES
OF IMMEDIATE DENTURES
Advantages
Maintenance of a patient's appearance
No edentulous period.
No interruption of a normal lifestyle of smiling, talking,
eating, and socializing.
Circum-oral support, muscle tone, vertical dimension
of occlusion can be maintained.
The tongue will not spread out as a result of tooth loss.
Less postoperative pain
Some authors have discussed whether immediate
dentures reduce residual ridge resorption (Heartwell,
1965; Johnson, 1966; Kelly, 1958; Campbell, 1960;
Carlsson, 1967).
Duplication of the natural tooth shape and position,
plus arch form and width.
Adaptation to dentures
Speech, mastication and nutrition can be maintained.
Tissue-conditioning material allows for considerable versatility
in the correction and refinement of the denture fitting surface
Overall, the patient's psychological and social well-being is
preserved.
Disadvantages
 More challenging modality than complete dentures
 The presence of teeth makes impressions and
maxillomandibular positions more difficult to record.
 Expensive, time consuming, adjustments
 Trial for anterior teeth not possible
Patients unsuitable for this
treatment option:
 Poor general health or who are at poor surgical
risks (e.g., post irradiation of the head and neck
regions, systemic conditions that affect healing or
blood clotting and psychological disorders).
 uncooperative, cannot understand and appreciate
the scope, demands, and limitations to the course
of immediate denture treatment
 Basic over view of an immediate denture
fabrication
History taking
 Dental history
patients needs & expectations
 Medical history
Preliminary examination
Oral examination
Jaw relation and occlusion
Radiographic examination
Preliminary Impressions and
Diagnostic Casts
Impressions are made in irreversible
hydrocolloid (alginate) in stock metal or plastic
trays..
Fabrication of custom tray and
final impression
 Single full arch custom tray
 Two part impressions
Campagna impression Technique:
 Putty-index technique
Jaw Relation
 Identical to those for complete dentures
 Denture base & wax occlusal rims
 Vertical dimension is established
Face bow transfer
Jaw relation records
 Notches 5mm deep cut into the rims
 Centric relation registration
 Protrusive records made
 Condylar guidance adjusted
Setting the posterior Denture Teeth/Verifying
Jaw Relations and the Patient Try-in
Appointment
 The articulated casts are used for setting any
anterior/posterior teeth that are missing so that a try-
in can be accomplished with the patient.
Anterior teeth selection &
positioning
 The midline or newly selected midline is recorded on
the base area of the master casts.
 A discussion of placement of diastema, rotated teeth,
notches, and other natural arrangements should occur
so that the patient is actively involved in the esthetic
decisions.
Cast trimming & anterior teeth
arrangement
 Ridge lapping
Rule of Thirds – Cast Trim
Recess Socket 1 mm
Remove tooth at
gingival level
Step 1 Step 2
Step 3 Step 4
Labial edge recess to
incisal third mark
Mid-point recess to
mid-width labial cut
Step 4 Step 5
Round over lingual aspect of socket
Step 5 Step 6
Round off labial to middle
third, sand smooth
Denture is waxed up.
Final waxing
and carving
done.
Processing and Finishing
 Processed and finished in the usual manner of
complete dentures.
 If desired, a laboratory remount can be accomplished
before removing the dentures from their casts and
finishing.
 Keep the undercut areas of the denture slightly thick
at this point to allow for insertion over undercuts.
 These areas can be thinned later before sending the
patient home.
Surgery and Immediate Denture
Insertion
Extraction of the remaining teeth, taking care to
preserve the labial plate of bone
The surgical template is used as a guide to ensure that
the prescribed bone trimming is done adequately.
Ridge after extraction and
placement of sutures if required.
Patient instructions
Dentures must be left into the mouth during first 24
hours
Ice compress on face for 20 minutes on repeatedly for
the first 24 hours.
No chewing, liquid diet
After the first 24hours, patient should carefully remove the
denture twice a day
Recall after 24 hours
Occlusal corrections from 48hrs to 1-2weeks
Recall every 3 months, adjustments with tissue
conditioning material
Following the bone resorption period (approximately 6
to 12 months) a more permanent reline will be
placed.
Review of literature:
Walter j Demer 1972
“Minimising problems in placement of immediate
dentures” …
 Distolingual undercut
 Buccal and lingual undercuts in the bicuspid region
 Sublingual undercuts
 Incisive fossae and canine eminences
 Distolingual and anterior combinations
 Labial and lingual undercuts
 Extractions without alveoloplasty
 Extraction with alveoloplasty
Septal alveolectomy
Radical alveolectomy
John P Dahlberg(1965)
“Reconstructing the Natural Appearance By
Immediate dentures
Antony S Gotlieb(2001)
“An atypical chairside
immediate denture”
Ashok Soni et al (2000)
 Trial anterior artificial tooth arrangement for an
immediate denture patient :A clinical report
 A technique is described that allows the esthetic
try-in of the maxillary anterior artificial tooth
before the extraction and completion of an
immediate denture
Intra oral view
 Posterior artificial tooth try in
done with modified anterior
wax up in anterior labial
flange area.
Try in of posterior artificial tooth arrangement with
processed maxillary denture.
 To relate the maxillary
denture to remaining
teeth and supporting
tissues, an impression
of the adjusted denture
was made and a new
maxillary cast
fabricated.
 The maxillary
artificial anterior
teeth were arranged
to reflect the
position of the
patients natural
teeth.
 Labial index of the
completed anterior
artificial tooth
arrangement was made
with impression plaster.
 After the separation
of the index the
teeth were fixed
using
autopolymerizing
acrylic resin.
 Denture was
finished and inserted
immediately after
the extraction.
Majid B et al (2004)
 Described fabrication of a clear surgical template that
minimizes pressure caused by immediate complete
dentures on a surgical area.
Conclusion
• Patient education.
• Meticulous treatment planning.
• Staging extractions.
• Good impression technique.
• Tissue conditioners and remounts.
____________________________
= improve the predictability of the outcome.
References :
1. BOUCHER,
S –prosthodontic treatment for edentulous patients 9th
edition
& 11th
edition .
2. CHARLES HEARTWELL & ARTHUR O RAHN –Sylabuss of complete
dentures 4th
edition.
3. DENTAL CLINICS OF NORTH AMERICA- Complete dentures, april
1977, 21;2
4. JOHN J SHARRY- Complete denture prosthodontics 2nd
edition.
5. JOHN N ADERSON, ROY STORER – Immediate dentures & replacement
dentures 3rd
edition
6. SHELDON WINKLER- Essentials of complete dentures 2nd
edition
7. RUDD & MURROW – Dental lab procedures , complete dentures
8. ZARB, BOLENDER – Prosthodontic treatment for edentulous patients
12th
edition.
9.. MM Devan “The Trasition From Natural To Artificial Teeth" JPD
1960 vol-1
10. William B Lineberg “SURGICAL PREPARATION OF MOUTH FOR
IMMEDIATE DENTURES “1963 vol 13 no 1
11. John P Dahlberg“Reconstructing the Natural Appearance By Immediate
dentures”JPD 1965;205-210
12..M Heartwell IMMEDIATE COMPLETE DENTURE; AN
EVALUATION 1965 vol 15 no 4
13. Asok Soni “Trial anterior artificial tooth arrangement for an immediate
denture patient : A Clinical report ,JPD 2000 ;84 :260-263
14. Anton S Gotleib “An atypical chairside immediate denture :A clinical report
JPD 2001 :86 :241-243
15. Masjid Bissasu “A simple procedure for minimising adjustmentsof
immediate complete denture :Aclinical Report :JPD 2004 ;92: 125-127
16. Jonkman RE, van Waas MA, van 't Hof MA, Kalk W
J Dent. 1997 Mar;25(2):107-11.
17. Geoffrey St George et al, Immediate Dentures: 1 diagnosis & treatment
planning. Dent Update 2010
18. Geoffrey St George et al, Immediate Dentures: 2 Clinical stages of
construction Dent Update 2010; 37: 154-160
Thank you..

100121562-Immediate-Dentures-ppt-Autosaved.ppt

  • 2.
    CONTENTS Definitions Advantages and disadvantagesof immediate dentures Contraindications of immediate dentures Basic over view of an immediate denture fabrication Surgery and Immediate Denture Insertion
  • 3.
    Patient instructions Review ofliterature Conclusion References
  • 4.
    Definition The glossary ofprosthodontic terms ‘defines an immediate denture as a complete or removable partial denture constructed for insertion immediately following the removal of natural teeth.
  • 5.
    Interim Immediate Denture/ TransitionalImmediate Denture  An immediate denture after healing can be relined and refitted to be used as a definitive denture but an Interim immediate denture is worn only during the healing period to be replaced with a new prosthesis as soon as healing is complete.
  • 6.
    One of thefirst references to immediate dentures in the literature was that of Richardson in 1860 (Seals, 1999).
  • 7.
  • 8.
    Advantages Maintenance of apatient's appearance No edentulous period. No interruption of a normal lifestyle of smiling, talking, eating, and socializing.
  • 9.
    Circum-oral support, muscletone, vertical dimension of occlusion can be maintained. The tongue will not spread out as a result of tooth loss.
  • 10.
    Less postoperative pain Someauthors have discussed whether immediate dentures reduce residual ridge resorption (Heartwell, 1965; Johnson, 1966; Kelly, 1958; Campbell, 1960; Carlsson, 1967). Duplication of the natural tooth shape and position, plus arch form and width.
  • 11.
    Adaptation to dentures Speech,mastication and nutrition can be maintained. Tissue-conditioning material allows for considerable versatility in the correction and refinement of the denture fitting surface Overall, the patient's psychological and social well-being is preserved.
  • 12.
    Disadvantages  More challengingmodality than complete dentures  The presence of teeth makes impressions and maxillomandibular positions more difficult to record.  Expensive, time consuming, adjustments  Trial for anterior teeth not possible
  • 13.
    Patients unsuitable forthis treatment option:  Poor general health or who are at poor surgical risks (e.g., post irradiation of the head and neck regions, systemic conditions that affect healing or blood clotting and psychological disorders).  uncooperative, cannot understand and appreciate the scope, demands, and limitations to the course of immediate denture treatment
  • 14.
     Basic overview of an immediate denture fabrication
  • 15.
    History taking  Dentalhistory patients needs & expectations  Medical history
  • 16.
    Preliminary examination Oral examination Jawrelation and occlusion Radiographic examination
  • 17.
    Preliminary Impressions and DiagnosticCasts Impressions are made in irreversible hydrocolloid (alginate) in stock metal or plastic trays..
  • 18.
    Fabrication of customtray and final impression  Single full arch custom tray
  • 20.
     Two partimpressions
  • 22.
  • 23.
  • 24.
    Jaw Relation  Identicalto those for complete dentures  Denture base & wax occlusal rims  Vertical dimension is established
  • 25.
  • 26.
    Jaw relation records Notches 5mm deep cut into the rims  Centric relation registration  Protrusive records made  Condylar guidance adjusted
  • 28.
    Setting the posteriorDenture Teeth/Verifying Jaw Relations and the Patient Try-in Appointment  The articulated casts are used for setting any anterior/posterior teeth that are missing so that a try- in can be accomplished with the patient.
  • 29.
    Anterior teeth selection& positioning  The midline or newly selected midline is recorded on the base area of the master casts.  A discussion of placement of diastema, rotated teeth, notches, and other natural arrangements should occur so that the patient is actively involved in the esthetic decisions.
  • 30.
    Cast trimming &anterior teeth arrangement  Ridge lapping
  • 32.
    Rule of Thirds– Cast Trim Recess Socket 1 mm Remove tooth at gingival level Step 1 Step 2
  • 33.
    Step 3 Step4 Labial edge recess to incisal third mark Mid-point recess to mid-width labial cut
  • 34.
    Step 4 Step5 Round over lingual aspect of socket
  • 35.
    Step 5 Step6 Round off labial to middle third, sand smooth
  • 37.
    Denture is waxedup. Final waxing and carving done.
  • 38.
    Processing and Finishing Processed and finished in the usual manner of complete dentures.  If desired, a laboratory remount can be accomplished before removing the dentures from their casts and finishing.
  • 39.
     Keep theundercut areas of the denture slightly thick at this point to allow for insertion over undercuts.  These areas can be thinned later before sending the patient home.
  • 40.
    Surgery and ImmediateDenture Insertion Extraction of the remaining teeth, taking care to preserve the labial plate of bone
  • 41.
    The surgical templateis used as a guide to ensure that the prescribed bone trimming is done adequately.
  • 42.
    Ridge after extractionand placement of sutures if required.
  • 43.
    Patient instructions Dentures mustbe left into the mouth during first 24 hours Ice compress on face for 20 minutes on repeatedly for the first 24 hours. No chewing, liquid diet
  • 44.
    After the first24hours, patient should carefully remove the denture twice a day Recall after 24 hours Occlusal corrections from 48hrs to 1-2weeks Recall every 3 months, adjustments with tissue conditioning material
  • 45.
    Following the boneresorption period (approximately 6 to 12 months) a more permanent reline will be placed.
  • 46.
  • 47.
    Walter j Demer1972 “Minimising problems in placement of immediate dentures” …
  • 49.
     Distolingual undercut Buccal and lingual undercuts in the bicuspid region  Sublingual undercuts  Incisive fossae and canine eminences  Distolingual and anterior combinations  Labial and lingual undercuts
  • 50.
     Extractions withoutalveoloplasty  Extraction with alveoloplasty Septal alveolectomy Radical alveolectomy
  • 51.
    John P Dahlberg(1965) “Reconstructingthe Natural Appearance By Immediate dentures
  • 52.
    Antony S Gotlieb(2001) “Anatypical chairside immediate denture”
  • 55.
    Ashok Soni etal (2000)  Trial anterior artificial tooth arrangement for an immediate denture patient :A clinical report  A technique is described that allows the esthetic try-in of the maxillary anterior artificial tooth before the extraction and completion of an immediate denture
  • 56.
    Intra oral view Posterior artificial tooth try in done with modified anterior wax up in anterior labial flange area.
  • 57.
    Try in ofposterior artificial tooth arrangement with processed maxillary denture.
  • 58.
     To relatethe maxillary denture to remaining teeth and supporting tissues, an impression of the adjusted denture was made and a new maxillary cast fabricated.
  • 59.
     The maxillary artificialanterior teeth were arranged to reflect the position of the patients natural teeth.
  • 60.
     Labial indexof the completed anterior artificial tooth arrangement was made with impression plaster.
  • 61.
     After theseparation of the index the teeth were fixed using autopolymerizing acrylic resin.  Denture was finished and inserted immediately after the extraction.
  • 62.
    Majid B etal (2004)  Described fabrication of a clear surgical template that minimizes pressure caused by immediate complete dentures on a surgical area.
  • 64.
    Conclusion • Patient education. •Meticulous treatment planning. • Staging extractions. • Good impression technique. • Tissue conditioners and remounts. ____________________________ = improve the predictability of the outcome.
  • 65.
    References : 1. BOUCHER, S–prosthodontic treatment for edentulous patients 9th edition & 11th edition . 2. CHARLES HEARTWELL & ARTHUR O RAHN –Sylabuss of complete dentures 4th edition. 3. DENTAL CLINICS OF NORTH AMERICA- Complete dentures, april 1977, 21;2 4. JOHN J SHARRY- Complete denture prosthodontics 2nd edition. 5. JOHN N ADERSON, ROY STORER – Immediate dentures & replacement dentures 3rd edition
  • 66.
    6. SHELDON WINKLER-Essentials of complete dentures 2nd edition 7. RUDD & MURROW – Dental lab procedures , complete dentures 8. ZARB, BOLENDER – Prosthodontic treatment for edentulous patients 12th edition. 9.. MM Devan “The Trasition From Natural To Artificial Teeth" JPD 1960 vol-1
  • 67.
    10. William BLineberg “SURGICAL PREPARATION OF MOUTH FOR IMMEDIATE DENTURES “1963 vol 13 no 1 11. John P Dahlberg“Reconstructing the Natural Appearance By Immediate dentures”JPD 1965;205-210 12..M Heartwell IMMEDIATE COMPLETE DENTURE; AN EVALUATION 1965 vol 15 no 4 13. Asok Soni “Trial anterior artificial tooth arrangement for an immediate denture patient : A Clinical report ,JPD 2000 ;84 :260-263
  • 68.
    14. Anton SGotleib “An atypical chairside immediate denture :A clinical report JPD 2001 :86 :241-243 15. Masjid Bissasu “A simple procedure for minimising adjustmentsof immediate complete denture :Aclinical Report :JPD 2004 ;92: 125-127 16. Jonkman RE, van Waas MA, van 't Hof MA, Kalk W J Dent. 1997 Mar;25(2):107-11.
  • 69.
    17. Geoffrey StGeorge et al, Immediate Dentures: 1 diagnosis & treatment planning. Dent Update 2010 18. Geoffrey St George et al, Immediate Dentures: 2 Clinical stages of construction Dent Update 2010; 37: 154-160
  • 70.