Imaging in Rickets & Scurvy
Presented by- Moderator-
Dr. Shivani Gupta Dr. Shalini
Agarwal
Junior Resident 1
Dept. of Radio-diagnosis
PGIMS Rohtak
PHYSIS/ GROWTH PLATE
 It is the anatomical
difference between growing
and mature bone.
 It appears radiologically as a
lucency between the
epiphysis and the
metaphysis.
 It represents the site where
longitudinal bone growth
occurs.
 It is the primary site for the
effect of metabolic and
endocrine bone disorder.
3 zones of
physis-
 Resting/ germinal zone
 Proliferating zone
 Hypertrophic
zone: zone of
maturation,
degeneration and
provisional
calcification
RICKET
S
INTRODUCTION
 It is a disease of childhood
characterized by failure of
mineralization of osteoid tissue in
developing skeleton, particularly at the
growth plate.
 Age: 6-12 months.
 At risk- Dark pigmented individuals,
infants breast-fed for prolonged
periods of time by a multiparous
mother, at higher altitudes
Pathology of rickets v/s
scurvy
PATHOLOGY
 Decrease in quantity of calcified
osteoid & increase in uncalcified
osteoid.
Osteopenia
 Cartilage cells at physis grow normally
but FAIL TO CALCIFY.
Growth plate is widened due to
overgrown & hypertrophied cartilage
CAUSES OF RICKETS
1.Vitamin-D deficiency
2.Abnormality in phosphate metabolism.
3.Calcium Deficiency
CLINICAL FEATURES
 First 6 months :Tetanic convulsions
 Irritability, weakness
 Delayed development
 Small stature
 Bony deformities and pain
 Rachitic rosary
 Swelling of wrist and costocartilage
 Thoracic kyphosis with pigeon chest
 Harrison’s sulcus
 Greenstick fractures are common
RADIOLOGICAL FEATURES
 MC and non specific finding : osteopenia
 Loss of provisional zone of calcification
 Changes are seen at open growth plate
 Especially visible at fast growing growth
plates like costochondral junction of the
middle ribs, knees, wrists & ankles.
 Earliest sign : distal ends of radius and
ulna. Ulnar growth plate grows more
rapidly so manifestations are seen
earlier in ulnar growth plate
WIDENING OF GROWTH PLATE
 Earliest and specific radiological
change
 Due to increase in cartilaginous cell
mass and loss of normal zone of
provisional calcification
METAPHYSEAL FRAYING
 Irregular
metaphyseal
margins
 Cause-
Disorganisation
of spongy bone
in metaphyseal
region
METAPHYSEAL CUPPINGAND
WIDENING
 Protrusion of bulky
mass of
cartilageneous cells in
the zone of
hypertrophy into the
poorly mineralized
metaphysis
 Cupping is common
in both ends of fibula
and distal end of ulna
and tibia
 Not seen in bones of
elbow
 Paint-brush
metaphysis
SHAFTABNORMALITIES
 Rarefaction of shaft due to loss of
mineral content
 Cortex becomes thin with a coarse
texture
SKELETAL DEFORMITIES
 Ribs : rachitic rosary
 Skull : Craniotabes
 Long bones : bowing deformities
 Spine : scoliosis and vertebral end
plate deformities (when weight
bearing becomes prominent)
 Pelvis : triradiate configuration
RACHITIC ROSARY
 Bulbous
enlargement of
costochondral
junction
especially
middle ribs
 Cause-
Widening of rib
epiphyseal
cartilage.
CRANIOTABES
 Excess osteoid
deposition in
frontal and parietal
regions with
posterior flattening
of skull due to
supine posture of
infant
 Squared
configuration of
skull
 Demineralisation
of skull
BOWING OF LONG BONES
 Cause-
Displacement of
growth centres
owing to
asymmetrical
musculotendino
us pull on the
weakened
growth plate
TRIRADIATE PELVIS
 Protrusion of
hip and spine
into the soft
pelvis with
protrussio
acetabuli
 PA radiograph of both hands shows
diffuse osteopenia, cupping, fraying &
splaying of metaphyses of b/l distal
radius and ulna.
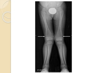
 AP Radiograph of
both lower limbs
obtained 2 years
after active disease
phase shows
bowing of tibia and
fibula and
transverse sclerotic
bands at the
metaphysis parallel
to the growth plate
(Harris growth
arrest lines or park
lines)
SIGNS OF HEALING RICKETS
 Seen within 2-3 weeks of adequate therapy
 Total calcification is usually complete in 2
months
 Signs :
 Reappearance of dense zone of provisional
calcification : first evidence
 Increase in cupping of healing metaphysis
 Recalcification of subperiosteal osteoid
resulting in thick cortex surrounding the shaft
 Sharply defined ossification centres
FIRST E/O HEALING RICKETS:
REAPPEARANCE OF DENSE
ZONE OF PROVISIONAL
CALCIFICATION
 Seen as a
transverse line of
increased density
which appears
beyond the visible
end of shaft with
metaphysis
interposed
between two
radiolucent areas
 Complete healing and restoration of
normal structure is the rule in rickets
even if severe changes are present
during the active stage !
SCURVY
 A.k.a. Barlow’s disease or
hypovitaminosis C
Introduction
 Scurvy is a nutritional bone disorder
which occurs due to long term
deficiency of Vitamin C.
 Infantile Scurvy: due to pasteurised or
boiled milk preparations
 Age: 8-14 months
 Latent period- 4 months before
symptoms and skeletal changes
become apparent.
PATHOLOGY
 Vitamin C is necessary for hydroxylation of
proline to hydroxyproline which is vital for
collagen synthesis.
 Vitamin C is also necessary for endothelial lining
Deficiency causes increased vascular fragility
 Osteoblasts require vit C to form mature osteoid
tissue.
 Decreased osteoblastic activity
Generalised osteopenia and osteoporosis
 Cartilage proliferation is decreased but
mineralisation is normal.
Clinical features
 Clinical hallmark : Spontaneous
haemorrhage i.e. cutaneous
petechiae,bleeding gums,melena &
hematuria.
 Progressive irritability with tender
edematous limbs and a tendency to lie
supine & motionless with the thighs
abducted (frog-leg position,
pseudoparalysis)
 Bulging at costochondral junction
(Scorbutic rosary-Sharp pain & tender)
WHITE LINE OF FRENKEL
 Dense zone of
provisional calcification.
 Radiodense line in the
zone of provisional
calcification at the
growing metaphysis
 Cause- Cartilage
proliferation decreased
with normal
mineralisation.
Conversion into bone is
delayed.
TRUMMERFELD ZONE
(Scorbutic zone)
 Transverse radiolucent
band directly beneath
the zone of provisonal
calcification.
 Cause- Suppressed
osteoblastic activity
with normal
mineralisation leading
to disordered osteoid
formation.
 Trabecular bone mass is
decreased.
PELKAN’S SPUR
 Bony protuberances at
the metaphyseal
margins at right angles
to the shaft.
 Cause- Zone of
provisional calcification
extends beyond the
margins of the
metaphysis resulting in
periosteal elevation
and marginal spur
formation
WIMBERGER'S
SIGN
(Ring epiphysis)
 Epiphysis is small &
sharply marginated by
sclerotic rim with central
portion more radiolucent.
 Cause- Decreased
cartilage proliferation
and unimpaired
mineralization
(sclerosis)
 Differentiates healing
rickets and scurvy
CORNER (ANGLE) SIGN
 Irregularity of the
metaphyseal
margins.
 Cause- Infarctions
of the epiphyseal-
metaphyseal
junction
SUBPERIOSTEAL
HEMORRAGES
 Seen in ends of long
bones(femur,tibia,
humerus)
 May cause
periosteal elevation
and new bone
formation
 Cause-Increased
capillary fragility
 Coronal T2-weighted fat-suppressed MR
image of both distal femoral
metadiaphyses shows heterogeneously
increased T2 signal intensity in the
marrow (*) and around the bone (arrows)
HEALING SCURVY
 On vitamin C therapy, all changes are
reversible though a single growth
arrest line may remain in metaphysis
as residual frenkel’s line.
 Following therapy, subperiosteal
hematomas rapidly calcify and
demarcate.
Thank you !

Imaging in Rickets & Scurvy.pptx

  • 1.
    Imaging in Rickets& Scurvy Presented by- Moderator- Dr. Shivani Gupta Dr. Shalini Agarwal Junior Resident 1 Dept. of Radio-diagnosis PGIMS Rohtak
  • 2.
    PHYSIS/ GROWTH PLATE It is the anatomical difference between growing and mature bone.  It appears radiologically as a lucency between the epiphysis and the metaphysis.  It represents the site where longitudinal bone growth occurs.  It is the primary site for the effect of metabolic and endocrine bone disorder.
  • 3.
    3 zones of physis- Resting/ germinal zone  Proliferating zone  Hypertrophic zone: zone of maturation, degeneration and provisional calcification
  • 4.
  • 5.
    INTRODUCTION  It isa disease of childhood characterized by failure of mineralization of osteoid tissue in developing skeleton, particularly at the growth plate.  Age: 6-12 months.  At risk- Dark pigmented individuals, infants breast-fed for prolonged periods of time by a multiparous mother, at higher altitudes
  • 6.
  • 7.
    PATHOLOGY  Decrease inquantity of calcified osteoid & increase in uncalcified osteoid. Osteopenia  Cartilage cells at physis grow normally but FAIL TO CALCIFY. Growth plate is widened due to overgrown & hypertrophied cartilage
  • 8.
    CAUSES OF RICKETS 1.Vitamin-Ddeficiency 2.Abnormality in phosphate metabolism. 3.Calcium Deficiency
  • 9.
    CLINICAL FEATURES  First6 months :Tetanic convulsions  Irritability, weakness  Delayed development  Small stature  Bony deformities and pain  Rachitic rosary  Swelling of wrist and costocartilage  Thoracic kyphosis with pigeon chest  Harrison’s sulcus  Greenstick fractures are common
  • 11.
    RADIOLOGICAL FEATURES  MCand non specific finding : osteopenia  Loss of provisional zone of calcification  Changes are seen at open growth plate  Especially visible at fast growing growth plates like costochondral junction of the middle ribs, knees, wrists & ankles.  Earliest sign : distal ends of radius and ulna. Ulnar growth plate grows more rapidly so manifestations are seen earlier in ulnar growth plate
  • 12.
    WIDENING OF GROWTHPLATE  Earliest and specific radiological change  Due to increase in cartilaginous cell mass and loss of normal zone of provisional calcification
  • 13.
    METAPHYSEAL FRAYING  Irregular metaphyseal margins Cause- Disorganisation of spongy bone in metaphyseal region
  • 14.
    METAPHYSEAL CUPPINGAND WIDENING  Protrusionof bulky mass of cartilageneous cells in the zone of hypertrophy into the poorly mineralized metaphysis  Cupping is common in both ends of fibula and distal end of ulna and tibia  Not seen in bones of elbow  Paint-brush metaphysis
  • 15.
    SHAFTABNORMALITIES  Rarefaction ofshaft due to loss of mineral content  Cortex becomes thin with a coarse texture
  • 16.
    SKELETAL DEFORMITIES  Ribs: rachitic rosary  Skull : Craniotabes  Long bones : bowing deformities  Spine : scoliosis and vertebral end plate deformities (when weight bearing becomes prominent)  Pelvis : triradiate configuration
  • 17.
    RACHITIC ROSARY  Bulbous enlargementof costochondral junction especially middle ribs  Cause- Widening of rib epiphyseal cartilage.
  • 18.
    CRANIOTABES  Excess osteoid depositionin frontal and parietal regions with posterior flattening of skull due to supine posture of infant  Squared configuration of skull  Demineralisation of skull
  • 19.
    BOWING OF LONGBONES  Cause- Displacement of growth centres owing to asymmetrical musculotendino us pull on the weakened growth plate
  • 20.
    TRIRADIATE PELVIS  Protrusionof hip and spine into the soft pelvis with protrussio acetabuli
  • 21.
     PA radiographof both hands shows diffuse osteopenia, cupping, fraying & splaying of metaphyses of b/l distal radius and ulna.
  • 23.
     AP Radiographof both lower limbs obtained 2 years after active disease phase shows bowing of tibia and fibula and transverse sclerotic bands at the metaphysis parallel to the growth plate (Harris growth arrest lines or park lines)
  • 24.
    SIGNS OF HEALINGRICKETS  Seen within 2-3 weeks of adequate therapy  Total calcification is usually complete in 2 months  Signs :  Reappearance of dense zone of provisional calcification : first evidence  Increase in cupping of healing metaphysis  Recalcification of subperiosteal osteoid resulting in thick cortex surrounding the shaft  Sharply defined ossification centres
  • 25.
    FIRST E/O HEALINGRICKETS: REAPPEARANCE OF DENSE ZONE OF PROVISIONAL CALCIFICATION  Seen as a transverse line of increased density which appears beyond the visible end of shaft with metaphysis interposed between two radiolucent areas
  • 26.
     Complete healingand restoration of normal structure is the rule in rickets even if severe changes are present during the active stage !
  • 27.
    SCURVY  A.k.a. Barlow’sdisease or hypovitaminosis C
  • 28.
    Introduction  Scurvy isa nutritional bone disorder which occurs due to long term deficiency of Vitamin C.  Infantile Scurvy: due to pasteurised or boiled milk preparations  Age: 8-14 months  Latent period- 4 months before symptoms and skeletal changes become apparent.
  • 29.
    PATHOLOGY  Vitamin Cis necessary for hydroxylation of proline to hydroxyproline which is vital for collagen synthesis.  Vitamin C is also necessary for endothelial lining Deficiency causes increased vascular fragility  Osteoblasts require vit C to form mature osteoid tissue.  Decreased osteoblastic activity Generalised osteopenia and osteoporosis  Cartilage proliferation is decreased but mineralisation is normal.
  • 30.
    Clinical features  Clinicalhallmark : Spontaneous haemorrhage i.e. cutaneous petechiae,bleeding gums,melena & hematuria.  Progressive irritability with tender edematous limbs and a tendency to lie supine & motionless with the thighs abducted (frog-leg position, pseudoparalysis)  Bulging at costochondral junction (Scorbutic rosary-Sharp pain & tender)
  • 31.
    WHITE LINE OFFRENKEL  Dense zone of provisional calcification.  Radiodense line in the zone of provisional calcification at the growing metaphysis  Cause- Cartilage proliferation decreased with normal mineralisation. Conversion into bone is delayed.
  • 32.
    TRUMMERFELD ZONE (Scorbutic zone) Transverse radiolucent band directly beneath the zone of provisonal calcification.  Cause- Suppressed osteoblastic activity with normal mineralisation leading to disordered osteoid formation.  Trabecular bone mass is decreased.
  • 33.
    PELKAN’S SPUR  Bonyprotuberances at the metaphyseal margins at right angles to the shaft.  Cause- Zone of provisional calcification extends beyond the margins of the metaphysis resulting in periosteal elevation and marginal spur formation
  • 34.
    WIMBERGER'S SIGN (Ring epiphysis)  Epiphysisis small & sharply marginated by sclerotic rim with central portion more radiolucent.  Cause- Decreased cartilage proliferation and unimpaired mineralization (sclerosis)  Differentiates healing rickets and scurvy
  • 35.
    CORNER (ANGLE) SIGN Irregularity of the metaphyseal margins.  Cause- Infarctions of the epiphyseal- metaphyseal junction
  • 36.
    SUBPERIOSTEAL HEMORRAGES  Seen inends of long bones(femur,tibia, humerus)  May cause periosteal elevation and new bone formation  Cause-Increased capillary fragility
  • 40.
     Coronal T2-weightedfat-suppressed MR image of both distal femoral metadiaphyses shows heterogeneously increased T2 signal intensity in the marrow (*) and around the bone (arrows)
  • 41.
    HEALING SCURVY  Onvitamin C therapy, all changes are reversible though a single growth arrest line may remain in metaphysis as residual frenkel’s line.  Following therapy, subperiosteal hematomas rapidly calcify and demarcate.
  • 43.