Embed presentation
Downloaded 31 times
















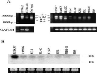
Ikaros is a transcription factor that contains an N-terminal domain with multiple zinc fingers that bind to DNA and a C-terminal domain that mediates dimerization. Ikaros is expressed in non-lymphoid leukemia cells and can function both as a transcriptional repressor and activator by binding histone deacetylase complexes and chromatin remodeling complexes. Ikaros represses the TdT gene by displacing the activator Ets-1 and enhancing heterochromatin formation, keeping the gene inactive by recruiting the NURD complex.














