Embed presentation
Downloaded 72 times



















































































































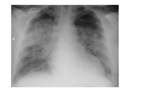
This document provides an overview of heart failure. It begins by outlining the objectives of understanding pathophysiology, classification, therapeutic targets, and initiating guideline directed medical therapy. It then discusses the anatomy, myocardial mechanics, effects on physiology, and introduction to heart failure. Classification systems such as ESC and AHA/ACC are presented. The document discusses heart failure in India, hospitalization risk, definition, and why ejection fraction is used for classification. It covers the pathophysiology, signs and symptoms, assessment, biomarkers, ECG, CXR findings, echocardiogram evaluation, treatment approaches for acute and chronic heart failure, guideline directed medical therapies including drugs, and SGLT2 inhibitors.


















































































































