1
Gene stacking and it’s
relevance in crop
improvement
Gene stacking and its materiality in
crop improvement
Shamly Gupta
Doctoral Seminar-I
D/PBG/133/2017-18
Genetic variation
- Greater chances of survival and flourishing
- Reduces the chances of unfavourable inherited traits.
 Plant breeders takes the advantage of genetic
variants to improve existing plant and create new
varieties.
 Breed varieties for biotic and abiotic stresses viz;
disease resistance, increased tolerance for cold
resistance and many more.
2
• The conscious introduction of genetic diversity into
breeding populations by intercrossing selected plants
with outstanding characters that complement one
another.
• The selection of superior plants with genes for
desired traits until higher levels of improved
adaptation, genetic uniformity, and agronomic
stability are reached (Breseghello, 2013).
3
Sources of variation
Land races, vintage
varieties
Obsolete varieties
Wild
species/relatives
Intersp./genera
Transgenic level
4
Methods of plant transformation
5
6
Gene stacking
• The combination of two or more gene of interest in
to genome of host plant i.e the resultant genetically
modified plant carry two or more different gene. This
term is usually used when plant contains foreign
gene.
• Transformation event (Holst-Jensen et al, 2006)
• Gene stacked event.
7
• According to OECD(2004), Stacked transformation
events defined as “new products with more than one
transformation event.’’
• The first stack that gained regulatory approval in
1995 was a dual hybrid cotton stack produced by
crossing BollgardTM cotton that expresses the Bt
toxin cry1ab and RoundupTM ready cotton that
produces the epsps enzyme conferring resistance to
herbicide glyphosate.
8
GM Hybrids Vs GM Stacking Events
• In a GM hybrid, the transgenic trait originates from
the GM inbred parental line that was crossed with
one or more non-transgenic elite inbred lines.
• In a GM Stacking events, two or more transgenic
traits are brought together by crossing GM inbred
lines, each being different initial events.
• De Schrijver et al. (2007) defined “one-way GM
stacked events "as stacked events where two
transgenic traits are combined, while “three-way
GM* stacked events” contain three transgenic traits.
9
Gene stacking Vs Gene pyramiding
• Gene pyramiding: Assembling multiple desirable genes
from multiple parents into a single genotype. For
example Bacterial blight resistance genes (Xa4, Xa5, Xa13 and
Xa21) incorporated in to rice through gene pyramiding.
• Gene stacking: Combination of two or more transgenes
of interest in the genome of the host plant.
 Bollgard II (Roundup Ready Flex) is a triple stack -Cry1A(c)
and Cry2A(b) genes and a RR trait.
 Transgenic corn triple stacks-Cry3B,
Cry1A
RR
10
Strategies for gene stacking
• Iterative procedure/ sexual hybridization
• Re-transformation
• Co-transformation
11
Iterative procedure/ sexual hybridization
• Plants containing several transgenes can be
produced by crossing parents with different
transgenes until all the required genes are
present in the progeny.
• Cross-breeding has been used to introduce
novel proteins or new biochemical pathways
into plants.
12
• An early example of the power of this strategy was the
production of secretory IgA antibodies in plants by
cross-breeding of tobacco to combine, in one plant,
four genes encoding different immunoglobulin
polypeptides (Ma et al. 1995 ).
• Disease- and pest-resistant rice has been developed by
crossing plants expressing the Xa21 gene (resistance to
bacterial blight) with plants expressing both a Bt fusion
gene and a chitinase gene (resistance to yellow stem
borer and tolerance to sheath blight, respectively)
(Datta et al. 2002).
13
Limitations
• The introduced transgenes will be integrated
randomly in different genomic positions which can
result in lack of co-ordination between the
expression levels of different transgenes.
• Subsequent independent segregation of transgenes
in the later generation.
• Labour intensive and taking several generations to
complete.
14
Re-transformation
• This strategy can be particularly useful in crops that are not
easy to propagate by sexual crossing, such as woody plants
and trees.
• For Example : In forsythia, flower colour has been modified by
sequential transformation with the genes for di-hydroflavonol
4-reductase from Antirrhinum majus and anthocyanidin
synthase from Matthiola incana . This induced anthocyanin
synthesis in the double transformants which displayed a novel
bronze-orange petal colour.
15
Limitations of Retransformation
• Retransformation Strategy requires a variety of
selectable marker genes to be available so that
different one can be used with each sequential
transformation.
• Re- transformation can induce transgene silencing.
16
Co-transformation
Co-transformation of multiple genes
for carotenoid biosynthesis to produce
‘Golden rice’.
17
Co- transformation events
18
Single plasmid co-transformation
of linked transgene
Multiple plasmid co-
transformation of unlinked
transgene
• Co-transformation, via particle bombardment, has
also been used to simultaneously introduce three
insecticidal genes (the Bt genes cry1Ac and cry2A ,
and the snowdrop lectin gene gna ) into Indica rice (
Maqbool et al. 2001 ).
• Transgenic plants containing all three genes showed
significant levels of protection against three of the
most important insect pests of rice: rice leaf folder
(Cnaphalocrocis medinalis), yellow stemborer(
Scirpophaga incertulas) and brown plant hopper(
Nilaparvata lugens ).
19
Limitations
• High copy number integrating
• Gene silencing can be a problem if the same
promoter is used with each transgene to
ensure that they are co-ordinately expressed.
Use of the same promoter can trigger
homology-based silencing and therefore it is
possible that the introduced gene may not be
stably expressed in the long-term (over many
plant generations).
20
21
Promoter homology can be avoided by
Using diverse promoter
Isolated from different plant
and viral genomes
Synthetic promoters
Identified cis-elements of promoter can be placed
In a synthetic stretch of DNA different from its
own native DNA, context to create a functionally
similar promoter with ‘novel’ DNA sequences
‘Domain swapping’-cis element
of the promoter can be replaced
with functionally equivalent regions
form heterologous promoters
How selection is done?
• Iterative method: at the phenotypic level
• When for the different characters- on the basis of
performance and response towards the desired
character.
• When for the same character- (e.g., disease)-
molecular marker level.
• Re-transformation/co-transformation:Selection
mainly with the help of markers assisted selection
• Selection evaluation on the basis of phenotypic
characters.
22
Present method of GM detection
• Single seed-based DNA analysis (real-time PCR): (MON810 x
GA21) multiplex RT-PCR (Akiyama et al., 2005 ).
• Based on grinding of individual grains (MON810, GA21,
MON810 x GA21) and multiplex qualitative real time PCR
detection of SSIIb, P35S and GA21-construct in one tube.
• Individual kernels contain either one of the transgenes (single
events) or both transgenes(StaEv MON810xGA21), which can
be distinguished based on amplification plots, end-point
analysis (fluorophore emission intensities), or agarose gel
separation of PCR products.
23
Factors affecting co-ordinating the
expression of introduced genes
• Position effect
• Matrix Attachment Region (MARs)
• Number of transgenic loci
• Number of insertion at given locus and stability of
each locus
• Promoter(s)
24
Matrix attachment region
Amita Bhattacharya,
2014
Recents
26
Polycistronic transgenes
Gene 1 Gene 2 Gene 3Promoter
Polyprotein
Polycistronic transgene
One way of overcoming the difficulties of co-ordinating the
expression of different transgenes without duplicating the
regulatory sequences is to express several ‘effect genes’ from
a single promoter as a single transcription unit.
27
Polyprotein expression system
• IRES- Internal Ribosome Entry Site
• 2A polyprotein system
• NIa Protease sequence
IRES-INTERNAL RIBOSOME ENTRY SITE
• An IRES is a sequence internal to a mRNA which
recruits the ribosome to an initiation codon
downstream of the capped 5’-end of the mRNA. IRES
sequences, usually of viral origin, can be used in a
heterologous context i.e. they can be placed
between two transgenes to produce a bicistronic
construct.
• It is a common cap independent ribosome scanning
system found in viruses like: Potyviridae,
Comoviridae and Luteoviridae.
29
• If bicistronic construct, IRES promotes the translation
of a second cistron at 21%−31% of the levels of the
first cistron. Thus, although both cistrons are co-
ordinately regulated, they are expressed at different
levels (Dorokhov et al.,2002).
30
C B AB A
IRES IRES
31
2A polyprotein system
• It is novel polyprotein cleavage strategy from the
FMDV (foot and mouth disease virus).
• Incorporate the 20 amino acid sequence of FMDV
virus, which ensure the polyprotein cleavage.
• This peptide mediates a “ribosomal skip” during viral
transcript translation that results in a co-translation.
Amrani et al.,2004
32
A B A
G GP P
2A 2A
33
NIa Protease sequence
• Nuclear inclusion proteins (NIa)
• Plant potyviruses such as tobacco etch virus (TEV) and tobacco
vein mottling virus (TVMV) having specific heptapeptide
sequences which are responsible for processing of large viral
polyproteins.
A B48kDa NIa protease sequences
Helpin et al.,2005
34
• Kinal et al. 1995 produced transgenic tobacco plants
expressing the KP6 preprotoxin from the fungal
pathogen Ustilago maydis.
• Processing of the preprotoxin results in the
production and activation of alpha and beta
polypeptides.
• When these two polypeptides were separated by the
linker sequence IGKRGKRPR, processing in plant was
found to occur at IGKR↓GKRPR and the two active
polypeptides were produced.
35
Techniques for the removal of marker genes from
transgenic plants
• Cre/LoxP system
• Transposable element system
• Co transformation system
• An Intrachromosomal Recombination (ICR) system
• The MAT vector system
Scutt et al.,2002
Cre-lox based system
• Cre-lox technology was introduced in the 1980s
(Sauer and Henderson 1988; Sternberg and
Hamilton 1981) and patented by DuPont
Pharmaceuticals.
• Site-specific recombination technology.
• Carry out deletions, insertions, translocations and
inversions at specific sites in the DNA of cells.
• Implemented in both eukaryotic and prokaryotic
system.
37
Cre-lox recombination
38
Use of Cre-lox
39
Case study
40
Fig.A Pathway for β-carotene synthesis
Phytoene desaturase Erwinia uredovora
Phytoene synthase
Lycopene β-cyclase
(Narcissus
pseudonarcissus)
41
Wild type
PSY from
Daffodil
PSY from
Maize/Rice
37μg/g carotenoid
(84% β-carotene)
42
43
44
Datta et al.,2002
Xa21
RC7
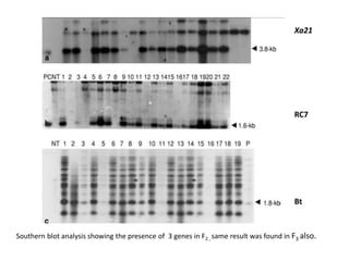
Bt
Southern blot analysis showing the presence of 3 genes in F2 , same result was found in F3 also.
46
Plant no BB lesion (cm) PCR result (for Xa21) SB lesion (%) Southern result (for RC7 )
XYZ-7-10a 3.2 + 15.6 +
XYZ-7-14 3.3 + 20.0 +
XYZ-7-16 3.6 + 25.0 +
XYZ-7-12a 4.4 + 6.6 +
XYZ-7-18 4.6 + 14.4 +
XYZ-7-20 7.4 + 5.9 +
XYZ-7-25 8.1 + 15.6 +
XYZ-7-21 9.5 + 5.7 +
XYZ-7-27 12.9 + 25.0 +
XYZ-8-5 7.9 + 22.5 +
XYZ-8-2 8.0 + 25.0 +
XYZ-8-17a 8.2 + 15.0 +
XYZ-8-26 10.9 + 23.1 +
XYZ-8-28 12.2 + 35.0 +
XYZ-8-24 12.9 + 13.8 +
XYZ-19-1 7.9 + 24.4 +
XYZ-19-32 8.7 + 29.4 +
XYZ-19-3 10.5 + 26.3 +
XYZ-19-15 15.4 + 8.8 +
XYZ-21-5 5.2 + 41.3 +
XYZ-21-19a 6.9 + 11.9 +
XYZ-21-10 8.1 + 14.8 +
XYZ-21-1 10.0 + 33.8 +
XYZ-21-11 10.1 + 23.5 +
XYZ-21-15 10.4 + 22.5 +
Different lines carrying the Xa21 and RC7 genes showing a variable response to there respective
bioassay
Datta et al.,2002
47
• Maize line Y642 produced by- insertion of the lysine-rich
protein encoded by the sb401 gene , originally isolated
from the potato species S. berthaultii (Liu et al., 1997).
• Development of lysine-rich maize is desirable:- it could
decrease the additional cost of maize grain-based animal
feed by reducing usage of supplemental lysine.
Accordingly, transgenic maize line Y642 was developed as
a GM crop whose grain contains higher concentrations of
lysine.
• No dose-related adverse effects observed in rats
consuming diets formulated with transgenic lysine-rich
GM maize Y642 compared with the conventional QPM
Nongda 108 diet and the AIN93G negative control diet.
48
•A-lines : MH1A, MA2A, MH3A, MH4A
•B-lines : MH1B, MH2B, MH3B, MH4B
• R-lines: MH1R, MH2R, MH3R, MH4R, MH5R, MH6R
• Controls for BB resistance testing : near isogenic IRBB lines
containing combinations of Xa21 genes
• Susceptible control :Taichung native 1(TN1)
• IR72 and IR72 carrying the Xa21 gene were tested for BB
resistance.
• Generation of transgenic Pusa basmati line carrying Xa21
49
50
51
Table 3
•Stack favorable alleles of crtRB1, lcyE and opaque2 genes into elite
inbreds/hybrids by using marker-assisted backcross breeding (MABB)
• Evaluate the MABB-derived –inbreds/hybrids for nutritional quality,
agronomic and yield related traits.
52
53
Gene stacked events till date
54
Conclusion
• One of the most effective current approaches appears to be a
combination of the co-transformation and linked transgene strategies,
such that different DNA molecules, each harboring several linked
genes, are transformed together into plants.
• Re-transformation of a GM plant with additional transgenes is not a
particularly attractive method for crops that are sexually propagated,
but may be an option for vegetative propagated species.
• Our increasing understanding of metabolic pathways and identification
of the genes involved provide the basic tools for producing hardier
crops that could resist disease and thrive in adverse environmental
conditions,having enhanced nutritive value and health-promoting
properties.
• In order to realize the opportunities, we will need to refine and
supplement the existing ‘toolkit’ for co- ordinated multigene
manipulation in plants.
55
56
Future thrust
• It is still require to expand our understanding about
metabolic pathways and identification of gene
involved.
• Refinement of the existing technique to be require for
co-ordinated multigene manipulation in plant to
provide more durable and cleaner transgene
technologies that can simplify the route to regulatory
approval and can reassure the consumers about safety
and stability of GM product
• More suitable vector system should be design which
can be transfer more than one gene with single
transfer.
57
58
Thank
You

Gene stacking and its materiality in crop improvement

  • 1.
    1 Gene stacking andit’s relevance in crop improvement Gene stacking and its materiality in crop improvement Shamly Gupta Doctoral Seminar-I D/PBG/133/2017-18
  • 2.
    Genetic variation - Greaterchances of survival and flourishing - Reduces the chances of unfavourable inherited traits.  Plant breeders takes the advantage of genetic variants to improve existing plant and create new varieties.  Breed varieties for biotic and abiotic stresses viz; disease resistance, increased tolerance for cold resistance and many more. 2
  • 3.
    • The consciousintroduction of genetic diversity into breeding populations by intercrossing selected plants with outstanding characters that complement one another. • The selection of superior plants with genes for desired traits until higher levels of improved adaptation, genetic uniformity, and agronomic stability are reached (Breseghello, 2013). 3
  • 4.
    Sources of variation Landraces, vintage varieties Obsolete varieties Wild species/relatives Intersp./genera Transgenic level 4
  • 5.
    Methods of planttransformation 5
  • 6.
  • 7.
    Gene stacking • Thecombination of two or more gene of interest in to genome of host plant i.e the resultant genetically modified plant carry two or more different gene. This term is usually used when plant contains foreign gene. • Transformation event (Holst-Jensen et al, 2006) • Gene stacked event. 7
  • 8.
    • According toOECD(2004), Stacked transformation events defined as “new products with more than one transformation event.’’ • The first stack that gained regulatory approval in 1995 was a dual hybrid cotton stack produced by crossing BollgardTM cotton that expresses the Bt toxin cry1ab and RoundupTM ready cotton that produces the epsps enzyme conferring resistance to herbicide glyphosate. 8
  • 9.
    GM Hybrids VsGM Stacking Events • In a GM hybrid, the transgenic trait originates from the GM inbred parental line that was crossed with one or more non-transgenic elite inbred lines. • In a GM Stacking events, two or more transgenic traits are brought together by crossing GM inbred lines, each being different initial events. • De Schrijver et al. (2007) defined “one-way GM stacked events "as stacked events where two transgenic traits are combined, while “three-way GM* stacked events” contain three transgenic traits. 9
  • 10.
    Gene stacking VsGene pyramiding • Gene pyramiding: Assembling multiple desirable genes from multiple parents into a single genotype. For example Bacterial blight resistance genes (Xa4, Xa5, Xa13 and Xa21) incorporated in to rice through gene pyramiding. • Gene stacking: Combination of two or more transgenes of interest in the genome of the host plant.  Bollgard II (Roundup Ready Flex) is a triple stack -Cry1A(c) and Cry2A(b) genes and a RR trait.  Transgenic corn triple stacks-Cry3B, Cry1A RR 10
  • 11.
    Strategies for genestacking • Iterative procedure/ sexual hybridization • Re-transformation • Co-transformation 11
  • 12.
    Iterative procedure/ sexualhybridization • Plants containing several transgenes can be produced by crossing parents with different transgenes until all the required genes are present in the progeny. • Cross-breeding has been used to introduce novel proteins or new biochemical pathways into plants. 12
  • 13.
    • An earlyexample of the power of this strategy was the production of secretory IgA antibodies in plants by cross-breeding of tobacco to combine, in one plant, four genes encoding different immunoglobulin polypeptides (Ma et al. 1995 ). • Disease- and pest-resistant rice has been developed by crossing plants expressing the Xa21 gene (resistance to bacterial blight) with plants expressing both a Bt fusion gene and a chitinase gene (resistance to yellow stem borer and tolerance to sheath blight, respectively) (Datta et al. 2002). 13
  • 14.
    Limitations • The introducedtransgenes will be integrated randomly in different genomic positions which can result in lack of co-ordination between the expression levels of different transgenes. • Subsequent independent segregation of transgenes in the later generation. • Labour intensive and taking several generations to complete. 14
  • 15.
    Re-transformation • This strategycan be particularly useful in crops that are not easy to propagate by sexual crossing, such as woody plants and trees. • For Example : In forsythia, flower colour has been modified by sequential transformation with the genes for di-hydroflavonol 4-reductase from Antirrhinum majus and anthocyanidin synthase from Matthiola incana . This induced anthocyanin synthesis in the double transformants which displayed a novel bronze-orange petal colour. 15
  • 16.
    Limitations of Retransformation •Retransformation Strategy requires a variety of selectable marker genes to be available so that different one can be used with each sequential transformation. • Re- transformation can induce transgene silencing. 16
  • 17.
    Co-transformation Co-transformation of multiplegenes for carotenoid biosynthesis to produce ‘Golden rice’. 17
  • 18.
    Co- transformation events 18 Singleplasmid co-transformation of linked transgene Multiple plasmid co- transformation of unlinked transgene
  • 19.
    • Co-transformation, viaparticle bombardment, has also been used to simultaneously introduce three insecticidal genes (the Bt genes cry1Ac and cry2A , and the snowdrop lectin gene gna ) into Indica rice ( Maqbool et al. 2001 ). • Transgenic plants containing all three genes showed significant levels of protection against three of the most important insect pests of rice: rice leaf folder (Cnaphalocrocis medinalis), yellow stemborer( Scirpophaga incertulas) and brown plant hopper( Nilaparvata lugens ). 19
  • 20.
    Limitations • High copynumber integrating • Gene silencing can be a problem if the same promoter is used with each transgene to ensure that they are co-ordinately expressed. Use of the same promoter can trigger homology-based silencing and therefore it is possible that the introduced gene may not be stably expressed in the long-term (over many plant generations). 20
  • 21.
    21 Promoter homology canbe avoided by Using diverse promoter Isolated from different plant and viral genomes Synthetic promoters Identified cis-elements of promoter can be placed In a synthetic stretch of DNA different from its own native DNA, context to create a functionally similar promoter with ‘novel’ DNA sequences ‘Domain swapping’-cis element of the promoter can be replaced with functionally equivalent regions form heterologous promoters
  • 22.
    How selection isdone? • Iterative method: at the phenotypic level • When for the different characters- on the basis of performance and response towards the desired character. • When for the same character- (e.g., disease)- molecular marker level. • Re-transformation/co-transformation:Selection mainly with the help of markers assisted selection • Selection evaluation on the basis of phenotypic characters. 22
  • 23.
    Present method ofGM detection • Single seed-based DNA analysis (real-time PCR): (MON810 x GA21) multiplex RT-PCR (Akiyama et al., 2005 ). • Based on grinding of individual grains (MON810, GA21, MON810 x GA21) and multiplex qualitative real time PCR detection of SSIIb, P35S and GA21-construct in one tube. • Individual kernels contain either one of the transgenes (single events) or both transgenes(StaEv MON810xGA21), which can be distinguished based on amplification plots, end-point analysis (fluorophore emission intensities), or agarose gel separation of PCR products. 23
  • 24.
    Factors affecting co-ordinatingthe expression of introduced genes • Position effect • Matrix Attachment Region (MARs) • Number of transgenic loci • Number of insertion at given locus and stability of each locus • Promoter(s) 24
  • 25.
  • 26.
  • 27.
    Polycistronic transgenes Gene 1Gene 2 Gene 3Promoter Polyprotein Polycistronic transgene One way of overcoming the difficulties of co-ordinating the expression of different transgenes without duplicating the regulatory sequences is to express several ‘effect genes’ from a single promoter as a single transcription unit. 27
  • 28.
    Polyprotein expression system •IRES- Internal Ribosome Entry Site • 2A polyprotein system • NIa Protease sequence
  • 29.
    IRES-INTERNAL RIBOSOME ENTRYSITE • An IRES is a sequence internal to a mRNA which recruits the ribosome to an initiation codon downstream of the capped 5’-end of the mRNA. IRES sequences, usually of viral origin, can be used in a heterologous context i.e. they can be placed between two transgenes to produce a bicistronic construct. • It is a common cap independent ribosome scanning system found in viruses like: Potyviridae, Comoviridae and Luteoviridae. 29
  • 30.
    • If bicistronicconstruct, IRES promotes the translation of a second cistron at 21%−31% of the levels of the first cistron. Thus, although both cistrons are co- ordinately regulated, they are expressed at different levels (Dorokhov et al.,2002). 30
  • 31.
    C B ABA IRES IRES 31
  • 32.
    2A polyprotein system •It is novel polyprotein cleavage strategy from the FMDV (foot and mouth disease virus). • Incorporate the 20 amino acid sequence of FMDV virus, which ensure the polyprotein cleavage. • This peptide mediates a “ribosomal skip” during viral transcript translation that results in a co-translation. Amrani et al.,2004 32
  • 33.
    A B A GGP P 2A 2A 33
  • 34.
    NIa Protease sequence •Nuclear inclusion proteins (NIa) • Plant potyviruses such as tobacco etch virus (TEV) and tobacco vein mottling virus (TVMV) having specific heptapeptide sequences which are responsible for processing of large viral polyproteins. A B48kDa NIa protease sequences Helpin et al.,2005 34
  • 35.
    • Kinal etal. 1995 produced transgenic tobacco plants expressing the KP6 preprotoxin from the fungal pathogen Ustilago maydis. • Processing of the preprotoxin results in the production and activation of alpha and beta polypeptides. • When these two polypeptides were separated by the linker sequence IGKRGKRPR, processing in plant was found to occur at IGKR↓GKRPR and the two active polypeptides were produced. 35
  • 36.
    Techniques for theremoval of marker genes from transgenic plants • Cre/LoxP system • Transposable element system • Co transformation system • An Intrachromosomal Recombination (ICR) system • The MAT vector system Scutt et al.,2002
  • 37.
    Cre-lox based system •Cre-lox technology was introduced in the 1980s (Sauer and Henderson 1988; Sternberg and Hamilton 1981) and patented by DuPont Pharmaceuticals. • Site-specific recombination technology. • Carry out deletions, insertions, translocations and inversions at specific sites in the DNA of cells. • Implemented in both eukaryotic and prokaryotic system. 37
  • 38.
  • 39.
  • 40.
  • 41.
    Fig.A Pathway forβ-carotene synthesis Phytoene desaturase Erwinia uredovora Phytoene synthase Lycopene β-cyclase (Narcissus pseudonarcissus) 41
  • 42.
    Wild type PSY from Daffodil PSYfrom Maize/Rice 37μg/g carotenoid (84% β-carotene) 42
  • 43.
  • 44.
  • 45.
    Xa21 RC7 Bt Southern blot analysisshowing the presence of 3 genes in F2 , same result was found in F3 also.
  • 46.
    46 Plant no BBlesion (cm) PCR result (for Xa21) SB lesion (%) Southern result (for RC7 ) XYZ-7-10a 3.2 + 15.6 + XYZ-7-14 3.3 + 20.0 + XYZ-7-16 3.6 + 25.0 + XYZ-7-12a 4.4 + 6.6 + XYZ-7-18 4.6 + 14.4 + XYZ-7-20 7.4 + 5.9 + XYZ-7-25 8.1 + 15.6 + XYZ-7-21 9.5 + 5.7 + XYZ-7-27 12.9 + 25.0 + XYZ-8-5 7.9 + 22.5 + XYZ-8-2 8.0 + 25.0 + XYZ-8-17a 8.2 + 15.0 + XYZ-8-26 10.9 + 23.1 + XYZ-8-28 12.2 + 35.0 + XYZ-8-24 12.9 + 13.8 + XYZ-19-1 7.9 + 24.4 + XYZ-19-32 8.7 + 29.4 + XYZ-19-3 10.5 + 26.3 + XYZ-19-15 15.4 + 8.8 + XYZ-21-5 5.2 + 41.3 + XYZ-21-19a 6.9 + 11.9 + XYZ-21-10 8.1 + 14.8 + XYZ-21-1 10.0 + 33.8 + XYZ-21-11 10.1 + 23.5 + XYZ-21-15 10.4 + 22.5 + Different lines carrying the Xa21 and RC7 genes showing a variable response to there respective bioassay Datta et al.,2002
  • 47.
  • 48.
    • Maize lineY642 produced by- insertion of the lysine-rich protein encoded by the sb401 gene , originally isolated from the potato species S. berthaultii (Liu et al., 1997). • Development of lysine-rich maize is desirable:- it could decrease the additional cost of maize grain-based animal feed by reducing usage of supplemental lysine. Accordingly, transgenic maize line Y642 was developed as a GM crop whose grain contains higher concentrations of lysine. • No dose-related adverse effects observed in rats consuming diets formulated with transgenic lysine-rich GM maize Y642 compared with the conventional QPM Nongda 108 diet and the AIN93G negative control diet. 48
  • 49.
    •A-lines : MH1A,MA2A, MH3A, MH4A •B-lines : MH1B, MH2B, MH3B, MH4B • R-lines: MH1R, MH2R, MH3R, MH4R, MH5R, MH6R • Controls for BB resistance testing : near isogenic IRBB lines containing combinations of Xa21 genes • Susceptible control :Taichung native 1(TN1) • IR72 and IR72 carrying the Xa21 gene were tested for BB resistance. • Generation of transgenic Pusa basmati line carrying Xa21 49
  • 50.
  • 51.
  • 52.
    •Stack favorable allelesof crtRB1, lcyE and opaque2 genes into elite inbreds/hybrids by using marker-assisted backcross breeding (MABB) • Evaluate the MABB-derived –inbreds/hybrids for nutritional quality, agronomic and yield related traits. 52
  • 53.
  • 54.
    Gene stacked eventstill date 54
  • 55.
    Conclusion • One ofthe most effective current approaches appears to be a combination of the co-transformation and linked transgene strategies, such that different DNA molecules, each harboring several linked genes, are transformed together into plants. • Re-transformation of a GM plant with additional transgenes is not a particularly attractive method for crops that are sexually propagated, but may be an option for vegetative propagated species. • Our increasing understanding of metabolic pathways and identification of the genes involved provide the basic tools for producing hardier crops that could resist disease and thrive in adverse environmental conditions,having enhanced nutritive value and health-promoting properties. • In order to realize the opportunities, we will need to refine and supplement the existing ‘toolkit’ for co- ordinated multigene manipulation in plants. 55
  • 56.
    56 Future thrust • Itis still require to expand our understanding about metabolic pathways and identification of gene involved. • Refinement of the existing technique to be require for co-ordinated multigene manipulation in plant to provide more durable and cleaner transgene technologies that can simplify the route to regulatory approval and can reassure the consumers about safety and stability of GM product • More suitable vector system should be design which can be transfer more than one gene with single transfer.
  • 57.
  • 58.