Optimising back up support

           Douglas Fraser
           Manchester Royal Infirmary
           UK
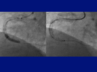
Guide catheter backing out
Backup achieved by contact       As guide backs out –backup
with coronary osteum and aorta   lost as guide comes away from
                                 coronary osteum & aortic wall
        JR4
Solutions
•  Poor backup     support guide      anchor balloon
                         deep seating large bore guide
•  Tortuousity     support wire
                                  buddy
  wire
•  Friction        lesion preparation
                          lower profile
  stent
Ballooning / buddy wire frequently only option without
changing guide
→ Guide catheter extension
use within 6F guide over wires already in place
HEARTRAIL




GUIDELINER
How Guide catheter extension helps
1)  ↑back up support
      shape change
      extra deep seating

2) Cross obstruction easier than a stent
     more flexible / smoother
                  pulling down

3)  Proximal to distal stenting
      crosses deployed stents with ease
Extension ↑↑ force transmission
Shape modification Deep intubation          ↑↑ Force
↑ contact aorta    ↑ contact coronary    transmission
                   bypass tortuousity




                                        Improved coaxial
   Amplatzing                           alignment
only
                          only




•  2cm intubation equates to 8F guide   Takahashi CCI 2004
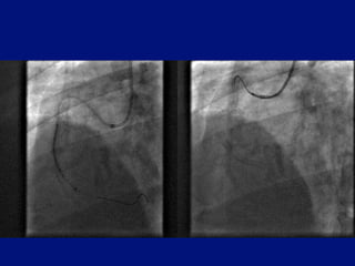
Balloon / stent delivery CTO




             CCI in press 2010 Mamas Ordoubadi Fraser
More difficult stent delivery
Extension crosses tortuousity
     easier than stent
Pull catheter in over balloon inflated
            distal lesion
Pulling is less traumatic than pushing




                    Wire re-centered
Conventional anchor
Severe proximal and distal disease

      Severe proximal
      disease causes
      pressure damping
      prevents coronary
      intubation




 Distal disease cannot
 be reached
Assisted proximal then distal stenting
Stent advanced into   Extension advanced       Stent advanced into
proximal disease      through deployed stent   distal vessel with ease
                      = obstruction crossed
Getting out of
                    trouble 6F




•  Wire exchange
•  Guideliner proximal → distal stenting
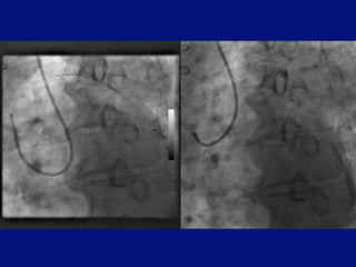
Bypass graft PCI
Extend tip to cannulate osteum




•  Heartrail 5in6
Backup aortic valve
Proximal → Distal stenting
Success stent delivery vs intubation
                   22      depth/cm 37 cases
                   20

                   18

                   16
Intubation depth




                   14

                   12
                   10                                      Failure
                    8                                      Success
                    6

                    4

                    2

                    0
                        1 2   3 4 5 6   7 8 9 10 11 12 13 14 15 16 17 18 19 20 21 22 23 24 25 26 27 28 29 30 31 32 33 34 35 36 37 38
                                                                        Case
                                                                 Eurointervention 2009;5 (2) 265-71 Mamas Ordoubadi Fraser
Balloon / stent delivery 175 cases
•  Non CTO lesions n=145
  –  Prior failure     46%
  –  Upfront use       54%
  –  Success       94%
  –  RCA 55% LAD / Cx / VG 15%
•  CTO lesions          n=30
  –  wire cross                success 4/15 cases
  –  balloon / stent cross     success all 15 cases
•  Complications        2 cases dissection
Conclusion
•  Stent (equipment ) delivery → overcome vessel /
   lesion resistance
•  Support guides, deep intubation often useful
•  Guide extensions very useful
  –  ↑↑ force transmission
  –  cross obstructions easier than stents
  –  can be pulled down the vessel
  –  enable proximal to distal stenting
  –  very useful vein graft PCI
•  Overcome limitations of poor guide support
•  Get you out of trouble, enable procedures
   otherwise not possible
Comparison
•  Both highly effective, atraumatic
•  Can use within standard guide in situ without moving wire
  Heartrail
 •  Air embolism
 •  Removal often disturbs undocked wires
 •  Can only extent stent 8cm beyond tip

 Guideliner
 •  Rapid exchange convenience
 •  No air embolism
 •  Large stents, stents on secondary wires catch at
    metal collar – wire wrap
CCI 72:222–227 (2008)




KIWAMI 4Fr. Straight Prototype

    I.D. 0.050” (1.27 mm) O.D. 4 Fr. (1.43 mm) Length 120cm
•  6F ID 0.51
  –  equivalent 4F HR
•  7F ID 0.59
  –  equivalent 5F HR

Fraser D

  • 1.
    Optimising back upsupport Douglas Fraser Manchester Royal Infirmary UK
  • 2.
    Guide catheter backingout Backup achieved by contact As guide backs out –backup with coronary osteum and aorta lost as guide comes away from coronary osteum & aortic wall JR4
  • 3.
    Solutions •  Poor backup support guide anchor balloon deep seating large bore guide •  Tortuousity support wire buddy wire •  Friction lesion preparation lower profile stent Ballooning / buddy wire frequently only option without changing guide → Guide catheter extension use within 6F guide over wires already in place
  • 7.
  • 8.
    How Guide catheterextension helps 1)  ↑back up support shape change extra deep seating 2) Cross obstruction easier than a stent more flexible / smoother pulling down 3)  Proximal to distal stenting crosses deployed stents with ease
  • 9.
    Extension ↑↑ forcetransmission Shape modification Deep intubation ↑↑ Force ↑ contact aorta ↑ contact coronary transmission bypass tortuousity Improved coaxial Amplatzing alignment
  • 10.
    only only •  2cm intubation equates to 8F guide Takahashi CCI 2004
  • 11.
    Balloon / stentdelivery CTO CCI in press 2010 Mamas Ordoubadi Fraser
  • 12.
  • 13.
  • 15.
    Pull catheter inover balloon inflated distal lesion
  • 16.
    Pulling is lesstraumatic than pushing Wire re-centered
  • 19.
  • 20.
    Severe proximal anddistal disease Severe proximal disease causes pressure damping prevents coronary intubation Distal disease cannot be reached
  • 21.
    Assisted proximal thendistal stenting Stent advanced into Extension advanced Stent advanced into proximal disease through deployed stent distal vessel with ease = obstruction crossed
  • 22.
    Getting out of trouble 6F •  Wire exchange
  • 23.
    •  Guideliner proximal→ distal stenting
  • 25.
  • 26.
    Extend tip tocannulate osteum •  Heartrail 5in6
  • 27.
  • 29.
  • 31.
    Success stent deliveryvs intubation 22 depth/cm 37 cases 20 18 16 Intubation depth 14 12 10 Failure 8 Success 6 4 2 0 1 2 3 4 5 6 7 8 9 10 11 12 13 14 15 16 17 18 19 20 21 22 23 24 25 26 27 28 29 30 31 32 33 34 35 36 37 38 Case Eurointervention 2009;5 (2) 265-71 Mamas Ordoubadi Fraser
  • 32.
    Balloon / stentdelivery 175 cases •  Non CTO lesions n=145 –  Prior failure 46% –  Upfront use 54% –  Success 94% –  RCA 55% LAD / Cx / VG 15% •  CTO lesions n=30 –  wire cross success 4/15 cases –  balloon / stent cross success all 15 cases •  Complications 2 cases dissection
  • 33.
    Conclusion •  Stent (equipment) delivery → overcome vessel / lesion resistance •  Support guides, deep intubation often useful •  Guide extensions very useful –  ↑↑ force transmission –  cross obstructions easier than stents –  can be pulled down the vessel –  enable proximal to distal stenting –  very useful vein graft PCI •  Overcome limitations of poor guide support •  Get you out of trouble, enable procedures otherwise not possible
  • 36.
    Comparison •  Both highlyeffective, atraumatic •  Can use within standard guide in situ without moving wire Heartrail •  Air embolism •  Removal often disturbs undocked wires •  Can only extent stent 8cm beyond tip Guideliner •  Rapid exchange convenience •  No air embolism •  Large stents, stents on secondary wires catch at metal collar – wire wrap
  • 37.
    CCI 72:222–227 (2008) KIWAMI4Fr. Straight Prototype I.D. 0.050” (1.27 mm) O.D. 4 Fr. (1.43 mm) Length 120cm
  • 38.
    •  6F ID0.51 –  equivalent 4F HR •  7F ID 0.59 –  equivalent 5F HR