Ductus venosus
Quick hint on Fetal Circulation
What is a shunt ??
• A passage or anastomosis between two natural
channels, especially between blood vessels
• to turn to one side; to divert; to bypass.
• There are three shunts in the fetal circulation :
• 1- Ductus venosus
• 2- Foramen Ovale
• 3- Ductus arteriousus
The umbilical cord
Two umbilical arteries:
return non-oxygenated blood, fetal waste,
CO2 to placenta.
One umbilical vein:
brings oxygenated blood and nutrients to
the fetus
N.B: the nomenclature of artery or vein is in relation
to the fetal heart
The Journey
• Oxygen-rich blood is carried by
the umbilical vein from the
placenta to the fetus. The
umbilical vein enters at the
umbilicus and divides into two
branches:
• Right umbilical branch enters
through the inferior border of the
liver passes to the right side of
the liver and is joined by the
portal vein; the blood from the
liver eventually drains into
the inferior vena cava(IVC) via
the hepatic veins
•Left umbilical
branch gets shunted
via the ductus
venosus into the IVC
(the first shunt)
Ductus Venosus
Historical point of view
• It s attributed to Guilio Cezare Aranzi (1530-
1589), but the first written account dates back
to his contemporary Veaslius in 1561.
• Its function was long recognized but of hardly
any clinical importance until the ultrasound
techniques were introduced.
Anatomy and development
• It is a thin , slightly trumpet-shaped
connecting the umbilical vein to the IVC.
• Its inlet, the isthmus, is on average 0.7mm at
18 weeks and 1.7mm at 40 weeks of
gestation.
• Leaves the umbilical vein in a cranial and
dorsal direction and reaches the IVC at the
level of hepatic venous confluence
• Shortly below the artia
• This segment of the IVC is shaped as a funnel
bulging predominantly to the left side to
receive the Ductus venosus and the left
hepatic veins.
Physiologic background
Via Sinistra
• a classical widely accepted concept of the
pathway of the oxygenated blood to the left
side of the fetal heart. (other concept is Via
dextra)
• As a direct connection between the Umbilical
Vein and the central venous system , it has the
capacity to shunt oxygenated blood to the CVS
and thus to the left atrium
• During experimental hypoxia and
hypovolemia , a flow across the ductus
venosus is maintained .
• However since the flow to the liver is reduced
, this implies that the fraction of blood
shunted through ductus can increase as high
as 70 %
• A similar effect has been recorded in growth
restricted fetuses
• Alpha adrenergic constriction and beta
cholinergic relaxation has been recorded in
the ductus.
Umbilical liver perfusion
• About 70 to 80% of the blood in the U.V
perfuses the liver as a primary fetal organ.
• The pattern implies the importance of the
fetal liver in intrauterine life .
• Recent studies indicate that blood flow in the
fetal liver controls the fetal growth, and that
this flow depends on external factors as
maternal nutrition (especially late in
pregnancy)
• During acute challenges (Hypoxia and
hypovolemia) short term response involves
increasing the shunted blood across the DV to
ensure survival.
• If such challenges are maintained for a long
duration other adaptational mechanisms take
place as decreasing metabolic requirements
and circulatory redistributions.
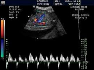
Ultrasound imaging and insonation
• A Sagittal anterior insonation offers the best
visualization of the Ductus venosus .
• An oblique transverse section may be more
convenient and easier to obtain in some fetal
position but rarely offers visualization of the
entire length of the vessel.
• Color Doppler is an indispensable tool to
identify the high velocity flow at the isthmus
of the ductus venosus.
• Pulsed wave Doppler can be obtained in both
Sagittal and transverse view and no angle of
correction is usually needed.
• The sample volume should be kept as wide as
the geometric detail of the vessel to reduce
interference by surrounding vessels
Normal Ductus venosus Blood Velocity
• The ductus has a usually high flow during the
entire cardiac cycle compared to the
neighboring veins.
• Starting the early gestation the velocity
increases to reach a plateau at 22 weeks.
• For the rest of the pregnancy the PSV ranges
between 40-85 cm/s
• The velocity pattern reflects the with a peak
during systole and another during diastole ,
and a nadir during active diastolic filling(atrial
contraction).
• Typically this nadir doesn’t reach zero or
below zero during the second half of
pregnancy.
• However below 15 weeks a nadir zero or
below zero is being recorded in normal
fetuses.
Interpretation of the wave form
• The a-wave : Is the single most important part of
the waveform from a diagnostic point of view .
• The augmented artial contraction signifies an
increased end diastolic filling pressure of the
heart.
• Such pressure can be increased by increased
distention of the artia leading to an augmented
contraction (The Frank-Starling law) commonly
seen in cases of congestive heart failure and
increased preload
• An increased afterload can also produce such
an effect
• In cases of hypoxia this effect is believed to be
primarily a direct effect of hypoxia on the
myocardium.
• The heart rate is an important determinant for
the venous waveforms.
• A slower heat rate permits more time for
filling and thus results in a more augmented
atrial contraction. The effect is seen in fetal
bradycardia.
• An increased venous return causes a more
pronounced myocardial distention. Producing
the same effect this similar to the condition in
twin to twin transfusion and some AV
malformations.
• Hyperkinetic circulation such as in fetal
anemia increases the preload and with
deterioration in cardiac function congestive
heart faliure occurs and the effect is seen.
• The compliance of the heart is reflected by the
a-wave .
• A decrease in this compliance as in
myocarditis (parvo virus B19 infection)
,cardiomyopathies, hypoxemia and acidosis is
associated with a deepened a-wave.
• Increased pressure in the fetal chest as in
large tumors and effsuion or tracheal atresia,
causes further restriction in the cardiac
compliance .
• A significant tricuspid or mitral regruitation
attribute to an increased volume and pressure
in the atria causing augmented a-wave .
Pitfalls
• For the beginners Sampling in a neighbouring
vein or including interference from the IVC or
and other vessels may give a false impression
of an abnormal wave.
Ductus venosus vs. hepatic vein
• The velocity in the hepatic veins tend to be
more acute . Particularly that normal during
the second trimester these veins have a zero
or below a-wave.
• Before leaping to a conclusion it is prudent to
reproduce the wave in a renewed insonation.
• It is helpful to know that the abnormality in
the ductus venosus wave commonly has a
corresponding form in the U.V (umbilical vein)
• Local changes with no pathologic significance
can cause a change in the wave form . In
cases if the fetus is bending forward especially
with presence of oligohydramnios.
• Can cause squeezing of the IVC , the outlet or
the entire length of the ductus venosus to the
extent that most of the wave is reflected and
this can change with change in the fetal
position.
Agenesis of the Ductus Venosus
• An increasing number of case reports link
agenesis to fetal demise , hydrops fetalis ,
cardiac disorders and chromosomal
abnormality .
• In normal fetuses the a-wave is positive from
the first trimester onwards and the pulsatility
index for veins decreases with advancing
gestation
• High pulsatility index for veins and absent or
reversed a-wave are observed in fetuses with
aneuploidies, cardiac defects, growth
restriction and either the recipient or donor
fetus in twin-to-twin transfusion syndrome
a-wave reversal in the 1st trimester
• Reversed a-wave is associated with increased
risk for:
• Chromosomal abnormalities
• Сardiac defects
• Fetal death
• However, in about 80% of cases with reversed
a-wave the pregnancy outcome is normal
Reversal later in pregancy
• Unlike umbilical artery or MCA abnormalities
which may be present for weeks, absence or
reversal of ductus venosus a-wave appears to
occur late in progression of placenta based
IUGR.
Specific notes regarding Ductus
venosus and FGR .
• Changes preceeding stillbirth: Serial assessments
in pregnancies resulting in stillbirth have
demonstrated major differences in the responses
during the last three days preceeding death
depending on gestation:
• In stillbirths before 34 weeks there is a major
increase in the umbilical artery and ductus
venosus PI and decrease in amniotic fluid volume
and fetal tone and movements. The intensity of
monitoring should increase if there is worsening
in umbilical artery and/or ductus venosus PI or
decrease in amniotic fluid volume and may vary
from once per week to daily
Use of Ductus venosus and timing of
delivery
• Less than 28 weeks: reversed a-wave in the
ductus venosus and reversed end-diastolic
flow in the umbilical artery and deepest
pocket of amniotic fluid less than 2 cm and no
movements
• 28-30 weeks: reversed a-wave in the ductus
venosus orreversed end-diastolic flow in
the umbilical artery and deepest pocket of
amniotic fluid less than 2 cm and no
movements
• 31-33 weeks: absent end-diastolic flow in the
umbilical artery or absent a-wave in the
ductus venosus or deepest pocket of amniotic
fluid less than 2 cm and no movements
ACOG bulletin 134 (2013)
• Daily surveillance with NST/BPP; serial UA
Dopplers
• Corticosteroids to accelerate fetal lung maturity
• Individualize fetal assessment
• Deliver at point that fetal risk in-utero appears
greater than risk of prematurity
• Additional Doppler surveillance
• MCA diastolic flow evaluation
• Ductus venosus
• Magnesium sulfate for neuroprotection if delivery
< 32 weeks
RCOG Greentop guideline
no.31
2nd Edition | February
2013 | Minor revisions –
January 2014
• Ductus venosus Doppler has moderate
predictive value for acidaemia and adverse
outcome (A)
• Ductus venosus Doppler should be used for
surveillance in the preterm SGA fetus with
abnormal umbilical artery Doppler and used
to time delivery. (A)
• In the preterm SGA fetus with umbilical artery
AREDV detected prior to 32 weeks of
gestation, delivery is recommended when DV
Doppler becomes abnormal or UV pulsations
appear, provided the fetus is considered viable
and after completion of steroids.(good
practice point)
• Even when venous Doppler is normal, delivery
is recommended by 32 weeks of gestation and
should be considered between 30–32 weeks
of gestation (good practice point)
• The Ductus venosus (DV) Doppler flow
velocity pattern reflects atrial pressure–
volume changes during the cardiac cycle.
• As FGR worsens velocity reduces in the DV a–
wave owing to increased afterload and
preload, as well as increased end–diastolic
pressure, resulting from the directs effects of
hypoxia/acidaemia and increased adrenergic
drive.
• A retrograde a–wave and pulsatile flow in the
umbilical vein (UV) signifies the onset of overt
fetal cardiac compromise.
• No systematic reviews of effectiveness of
venous Doppler as a surveillance tool in high
risk or SGA fetuses were identified (Evidence
level 1+)
• Observational studies have identified venous
Doppler as the best predictor of acidaemia
(Evidence level 2–)
Umbilical vein
• The umbilical vein should be examined either
within the fetal abdomen or in the umbilical
cord
• The flow is constant from 12 weeks onwards
in 90% of the fetuses
• Monophasic pulsations are relevant if central
veins are abnormal
• Clinical application of umbilical venous
Doppler: fetal growth restriction, twin-to-twin
transfusion syndrome and hydrops fetalis
• Pulsations are observed in 10% of fetuses and
these can be:
• Monophasic
• Biphasic
• Triphasic
• Multiphasic pulsations indicate abnormally
high venous pressure
Ductus venosus

Ductus venosus

  • 1.
  • 2.
    Quick hint onFetal Circulation
  • 3.
    What is ashunt ?? • A passage or anastomosis between two natural channels, especially between blood vessels • to turn to one side; to divert; to bypass. • There are three shunts in the fetal circulation : • 1- Ductus venosus • 2- Foramen Ovale • 3- Ductus arteriousus
  • 5.
    The umbilical cord Twoumbilical arteries: return non-oxygenated blood, fetal waste, CO2 to placenta. One umbilical vein: brings oxygenated blood and nutrients to the fetus N.B: the nomenclature of artery or vein is in relation to the fetal heart
  • 7.
    The Journey • Oxygen-richblood is carried by the umbilical vein from the placenta to the fetus. The umbilical vein enters at the umbilicus and divides into two branches:
  • 8.
    • Right umbilicalbranch enters through the inferior border of the liver passes to the right side of the liver and is joined by the portal vein; the blood from the liver eventually drains into the inferior vena cava(IVC) via the hepatic veins
  • 9.
    •Left umbilical branch getsshunted via the ductus venosus into the IVC (the first shunt)
  • 11.
  • 12.
    Historical point ofview • It s attributed to Guilio Cezare Aranzi (1530- 1589), but the first written account dates back to his contemporary Veaslius in 1561. • Its function was long recognized but of hardly any clinical importance until the ultrasound techniques were introduced.
  • 13.
    Anatomy and development •It is a thin , slightly trumpet-shaped connecting the umbilical vein to the IVC. • Its inlet, the isthmus, is on average 0.7mm at 18 weeks and 1.7mm at 40 weeks of gestation. • Leaves the umbilical vein in a cranial and dorsal direction and reaches the IVC at the level of hepatic venous confluence
  • 14.
    • Shortly belowthe artia • This segment of the IVC is shaped as a funnel bulging predominantly to the left side to receive the Ductus venosus and the left hepatic veins.
  • 15.
  • 16.
    Via Sinistra • aclassical widely accepted concept of the pathway of the oxygenated blood to the left side of the fetal heart. (other concept is Via dextra) • As a direct connection between the Umbilical Vein and the central venous system , it has the capacity to shunt oxygenated blood to the CVS and thus to the left atrium
  • 17.
    • During experimentalhypoxia and hypovolemia , a flow across the ductus venosus is maintained . • However since the flow to the liver is reduced , this implies that the fraction of blood shunted through ductus can increase as high as 70 % • A similar effect has been recorded in growth restricted fetuses • Alpha adrenergic constriction and beta cholinergic relaxation has been recorded in the ductus.
  • 18.
    Umbilical liver perfusion •About 70 to 80% of the blood in the U.V perfuses the liver as a primary fetal organ. • The pattern implies the importance of the fetal liver in intrauterine life . • Recent studies indicate that blood flow in the fetal liver controls the fetal growth, and that this flow depends on external factors as maternal nutrition (especially late in pregnancy)
  • 19.
    • During acutechallenges (Hypoxia and hypovolemia) short term response involves increasing the shunted blood across the DV to ensure survival. • If such challenges are maintained for a long duration other adaptational mechanisms take place as decreasing metabolic requirements and circulatory redistributions.
  • 20.
    Ultrasound imaging andinsonation • A Sagittal anterior insonation offers the best visualization of the Ductus venosus . • An oblique transverse section may be more convenient and easier to obtain in some fetal position but rarely offers visualization of the entire length of the vessel.
  • 22.
    • Color Doppleris an indispensable tool to identify the high velocity flow at the isthmus of the ductus venosus. • Pulsed wave Doppler can be obtained in both Sagittal and transverse view and no angle of correction is usually needed. • The sample volume should be kept as wide as the geometric detail of the vessel to reduce interference by surrounding vessels
  • 26.
    Normal Ductus venosusBlood Velocity • The ductus has a usually high flow during the entire cardiac cycle compared to the neighboring veins. • Starting the early gestation the velocity increases to reach a plateau at 22 weeks. • For the rest of the pregnancy the PSV ranges between 40-85 cm/s
  • 27.
    • The velocitypattern reflects the with a peak during systole and another during diastole , and a nadir during active diastolic filling(atrial contraction). • Typically this nadir doesn’t reach zero or below zero during the second half of pregnancy. • However below 15 weeks a nadir zero or below zero is being recorded in normal fetuses.
  • 28.
    Interpretation of thewave form • The a-wave : Is the single most important part of the waveform from a diagnostic point of view . • The augmented artial contraction signifies an increased end diastolic filling pressure of the heart. • Such pressure can be increased by increased distention of the artia leading to an augmented contraction (The Frank-Starling law) commonly seen in cases of congestive heart failure and increased preload
  • 29.
    • An increasedafterload can also produce such an effect • In cases of hypoxia this effect is believed to be primarily a direct effect of hypoxia on the myocardium. • The heart rate is an important determinant for the venous waveforms. • A slower heat rate permits more time for filling and thus results in a more augmented atrial contraction. The effect is seen in fetal bradycardia.
  • 30.
    • An increasedvenous return causes a more pronounced myocardial distention. Producing the same effect this similar to the condition in twin to twin transfusion and some AV malformations. • Hyperkinetic circulation such as in fetal anemia increases the preload and with deterioration in cardiac function congestive heart faliure occurs and the effect is seen.
  • 31.
    • The complianceof the heart is reflected by the a-wave . • A decrease in this compliance as in myocarditis (parvo virus B19 infection) ,cardiomyopathies, hypoxemia and acidosis is associated with a deepened a-wave. • Increased pressure in the fetal chest as in large tumors and effsuion or tracheal atresia, causes further restriction in the cardiac compliance .
  • 32.
    • A significanttricuspid or mitral regruitation attribute to an increased volume and pressure in the atria causing augmented a-wave .
  • 37.
    Pitfalls • For thebeginners Sampling in a neighbouring vein or including interference from the IVC or and other vessels may give a false impression of an abnormal wave.
  • 38.
    Ductus venosus vs.hepatic vein • The velocity in the hepatic veins tend to be more acute . Particularly that normal during the second trimester these veins have a zero or below a-wave. • Before leaping to a conclusion it is prudent to reproduce the wave in a renewed insonation. • It is helpful to know that the abnormality in the ductus venosus wave commonly has a corresponding form in the U.V (umbilical vein)
  • 41.
    • Local changeswith no pathologic significance can cause a change in the wave form . In cases if the fetus is bending forward especially with presence of oligohydramnios. • Can cause squeezing of the IVC , the outlet or the entire length of the ductus venosus to the extent that most of the wave is reflected and this can change with change in the fetal position.
  • 42.
    Agenesis of theDuctus Venosus • An increasing number of case reports link agenesis to fetal demise , hydrops fetalis , cardiac disorders and chromosomal abnormality .
  • 44.
    • In normalfetuses the a-wave is positive from the first trimester onwards and the pulsatility index for veins decreases with advancing gestation • High pulsatility index for veins and absent or reversed a-wave are observed in fetuses with aneuploidies, cardiac defects, growth restriction and either the recipient or donor fetus in twin-to-twin transfusion syndrome
  • 45.
    a-wave reversal inthe 1st trimester • Reversed a-wave is associated with increased risk for: • Chromosomal abnormalities • Сardiac defects • Fetal death • However, in about 80% of cases with reversed a-wave the pregnancy outcome is normal
  • 46.
    Reversal later inpregancy • Unlike umbilical artery or MCA abnormalities which may be present for weeks, absence or reversal of ductus venosus a-wave appears to occur late in progression of placenta based IUGR.
  • 47.
    Specific notes regardingDuctus venosus and FGR . • Changes preceeding stillbirth: Serial assessments in pregnancies resulting in stillbirth have demonstrated major differences in the responses during the last three days preceeding death depending on gestation: • In stillbirths before 34 weeks there is a major increase in the umbilical artery and ductus venosus PI and decrease in amniotic fluid volume and fetal tone and movements. The intensity of monitoring should increase if there is worsening in umbilical artery and/or ductus venosus PI or decrease in amniotic fluid volume and may vary from once per week to daily
  • 48.
    Use of Ductusvenosus and timing of delivery • Less than 28 weeks: reversed a-wave in the ductus venosus and reversed end-diastolic flow in the umbilical artery and deepest pocket of amniotic fluid less than 2 cm and no movements
  • 49.
    • 28-30 weeks:reversed a-wave in the ductus venosus orreversed end-diastolic flow in the umbilical artery and deepest pocket of amniotic fluid less than 2 cm and no movements
  • 50.
    • 31-33 weeks:absent end-diastolic flow in the umbilical artery or absent a-wave in the ductus venosus or deepest pocket of amniotic fluid less than 2 cm and no movements
  • 51.
    ACOG bulletin 134(2013) • Daily surveillance with NST/BPP; serial UA Dopplers • Corticosteroids to accelerate fetal lung maturity • Individualize fetal assessment • Deliver at point that fetal risk in-utero appears greater than risk of prematurity • Additional Doppler surveillance • MCA diastolic flow evaluation • Ductus venosus • Magnesium sulfate for neuroprotection if delivery < 32 weeks
  • 52.
    RCOG Greentop guideline no.31 2ndEdition | February 2013 | Minor revisions – January 2014
  • 53.
    • Ductus venosusDoppler has moderate predictive value for acidaemia and adverse outcome (A) • Ductus venosus Doppler should be used for surveillance in the preterm SGA fetus with abnormal umbilical artery Doppler and used to time delivery. (A)
  • 54.
    • In thepreterm SGA fetus with umbilical artery AREDV detected prior to 32 weeks of gestation, delivery is recommended when DV Doppler becomes abnormal or UV pulsations appear, provided the fetus is considered viable and after completion of steroids.(good practice point)
  • 55.
    • Even whenvenous Doppler is normal, delivery is recommended by 32 weeks of gestation and should be considered between 30–32 weeks of gestation (good practice point)
  • 56.
    • The Ductusvenosus (DV) Doppler flow velocity pattern reflects atrial pressure– volume changes during the cardiac cycle. • As FGR worsens velocity reduces in the DV a– wave owing to increased afterload and preload, as well as increased end–diastolic pressure, resulting from the directs effects of hypoxia/acidaemia and increased adrenergic drive.
  • 57.
    • A retrogradea–wave and pulsatile flow in the umbilical vein (UV) signifies the onset of overt fetal cardiac compromise. • No systematic reviews of effectiveness of venous Doppler as a surveillance tool in high risk or SGA fetuses were identified (Evidence level 1+)
  • 58.
    • Observational studieshave identified venous Doppler as the best predictor of acidaemia (Evidence level 2–)
  • 59.
    Umbilical vein • Theumbilical vein should be examined either within the fetal abdomen or in the umbilical cord • The flow is constant from 12 weeks onwards in 90% of the fetuses • Monophasic pulsations are relevant if central veins are abnormal • Clinical application of umbilical venous Doppler: fetal growth restriction, twin-to-twin transfusion syndrome and hydrops fetalis
  • 60.
    • Pulsations areobserved in 10% of fetuses and these can be: • Monophasic • Biphasic • Triphasic • Multiphasic pulsations indicate abnormally high venous pressure