Female reproductive
system
Department of the Histology, Cytology and EmbryologyDepartment of the Histology, Cytology and Embryology
Tatiana GlobaTatiana Globa
State University of Medicine and Pharmacy “Nicolae Testemitanu”State University of Medicine and Pharmacy “Nicolae Testemitanu”
Female reproductive system
Internal organs:
• Ovaries- ‫שחלות‬
• Oviducts- ‫השחלה‬ ‫צינור‬
• Uterus -‫רחם‬
• Vagina- ‫נרתיק‬
External genitalia:
• Pubis- ‫חיק‬
• Labia majora & minora-‫שפתיים‬
• Clitoris- ‫דגדגן‬
• Vestibule- ‫פרוזדור‬
• Openings of vagina and urethra
Mammary glands ‫-שדיים‬
Female Reproductive System
OvariesOvaries ‫שחלות‬
FUNCTIONS:
• The production of gametes (gametogenesis –
oogenesis)-‫מין‬ ‫-תאי‬
• =Endocrine: secretion of steroid hormones
(estrogens & progesterone). Estrogens promote
growth and maturation of internal and external sex
organs & are responsible for the typical female
characteristics that develop at the time of puberty.
They also act on mammary glands to promote
breasts development.
• Progesterone prepare sex organs, mainly the uterus,
for pregnancy by promoting secretory changes in the
endometrium – ‫הרחם‬ ‫.רירית‬ It prepare the mammary
glands for lactation-‫.הנקה‬
OVARY ‫שחלה‬
• The surface of the ovary is covered with surface epithelium (is
known as the germinal epithelium-‫התפתחותו‬ ‫,)בראשית‬ a simple
epithelium which changes from aqueous-‫קשקשי‬ to cuboidal-‫קובייתי‬
with age. Immediately beneath this surface epithelium there is a
dense connective tissue sheath-‫,צפוף‬ the tunica albuginea.
• The ovaries are composed of an outer cortex-‫קליפה‬ -and inner
medulla-‫.לשד‬ The cortex is composed of ovarian follicles-‫זקיקים‬
(developing oocytes-‫ביצית‬ with their associated follicular cells),
interstitial gland cells and stromal elements –‫חיבור‬ ‫רקמת‬ ‫.של‬
Ovarian follicles are in different stages of development (least
mature to most mature):
– Primordial
– Primary
– Secondary
– Mature (vesicular, Graafian follicle)
• Medulla contains loose connective tissue, blood vessels, lymphatic
vessels & nerves.
Ovarian follicles-‫-זקיקים‬
• 400.000 – 800.000 oocytes present at the
birth.
• During the reproductive life span, a women
produces only about 400-500 mature ovum.
• Most of them degenerate-‫ניוון‬ by atresia-
‫מעבר‬ ‫אי‬)98% ).
• Provide the microenvironment for the
developing oocytes.
• Normally, only one follicle completes
maturation in each cycle.
Primordial follicles
• At first appear in the ovaries during the third month
of fetal development –‫עוברית‬ ‫התפתחות‬
• Are most numerous
• Are located at the periphery of the cortex
• Each consists of a primary oocyte and a single layer
of flattened follicular cells, the outer surface of which
is bounded by a basal lamina. The nucleus of the
oocyte is positioned eccentric-‫-משונה‬ in the cell. It
appears very light and contains a prominent –‫-בולט‬
nucleolus. Most organelles of the oocyte aggregate-
‫מתאחדים‬ in the centre of the cell, where they form the
vitelline body.- ‫ביצה‬ >‫)ח‬ ‫)ויטלין‬
click image to return
click image to return
Primary follicles
• Is the first stage of the growing follicle
• It consists of a primary oocyte with a single layer of
cuboidal /columnar follicular cells. As development
proceeds, the number of follicular cells increases by
mitosis forming several layers around the primary
oocyte (membrana granulosa).
• Between the primary oocyte & the adjacent-‫סמוך‬
follicular cells appear zona pellucida (gel-like
substance that is rich in glycosaminoglycans-
‫סוכר+חלבון=ריר‬ and proteoglycans).
• Stromal cells, surrounding the follicle, form a sheath of
connective tissue cells, known as the theca folliculi.
• During each cycle, a few primary follicles will continue
to develop into secondary follicles.
Secondary follicle
• It consists of primary oocyte, that is surrounded by zona pellucida
• Membrana granulosa begins to secrete follicular fluid. Small
pockets of fluid between granulosa cells begin to appear.
• Previously undifferentiated stromal cells now develop into two
distinct layers around the developing follicle: the theca interna
and the theca externa . Cells in the theca interna are large,
rounded and epithelial-like, in response to LH-stimulation they
synthesize and secrete the androgens that are precursors--‫מקדים‬ of
estrogens. The theca external is the layer of connective tissue
cells. It mainly contains smooth muscle cells and bundles of
collagen fibers.
• The secondary-vesicular follicle is characterized by the presence
of pockets of follicular fluid within the membrana granulosa. As
the follicle continues to develop, the separate pockets fuse to form
one large pocket of fluid called the follicular antrum.
Graafian follicle
• As the secondary follicle increases in size, the antrum
also enlarges.
• The primary oocyte migrates at the periphery
• The granulosa cells form a thickened mound-‫נערמים‬ –
the cumulus oophorus
• The cells of the cumulus oophorus surround the oocyte &
remain with it at ovulation-‫ביוץ‬ – corona radiata
• At time of ovulation takes place the first meiotic
division, that gives rise to the secondary oocyte & the
first polar body.
• If in the oviduct takes place the fertilization-‫הפריה‬ -is
happened the second meiotic division & the secondary
oocyte transforms into the mature ovum.
• If there is no fertilization the secondary oocyte will die in
48 hours.
Ovulation -‫ביוץ‬
• is a hormone-mediated process
resulting in the release of the
secondary oocyte
• takes place at the middle of
the menstrual cycle
• is stimulated by LH
• the factors include:
- increase in the volume
and pressure of the
follicular fluid
- contraction of smooth
muscle fibers in the theca
externa
1 2
43
Ovulation
Stigma formed by lack of blood
flow and action of fibroblast-derived
collagenase
• In primordial, primary and
secondary follicles, primary oocytes
are arrested in prophase of first
meiotic division.
• The LH surge causes the oocyte to
complete the first meiotic division and
begin the second, which is arrested in
metaphase. It is now called a
secondary oocyte.
• If the secondary oocyte is fertilized,
the 2nd
meiotic division will be
completed.
Meiosis of Oocytes
1st
polar
body
may divide
to
produce
2 non-
functional
polar bodies
2nd
polar
body
Corpus luteum (yellow body)
• The collapsed follicle undergoes reorganization into the corpus
luteum after ovulation.
• In the corpus luteum development are distinguished next phases:
proliferation-, morphological changes, flowering & involution.
• Two types of luteal cells are identified:
- granulosa lutein cells, very large, centrally located cells derived
from the granulosa cells. The granulosa cells undergo hyperplasia
(proliferation), hypertrophy (enlargement) and are transformed
into granulosa lutein cells.
- theca lutein cells, smaller, peripherally located cells derived
from the cells of the theca interna layer
• The resulting structure is highly vascular. If fertilization occurs,
the corpus luteum persists -‫מתמיד‬ and secretes progesterone and
estrogens. These hormones stimulate the growth and secretory
activity of the endometrium, to prepare it for the implantation of
the blastocyst.‫הזרע‬ ‫של‬ ‫הנבטה‬
Corpus luteum (yellow body)
• Are distinguished corpus luteum of pregnancy & corpus
luteum of menstruation-‫-וסת‬ (is formed in the absence of
fertilization)
• Corpus luteum of pregnancy is formed after fertilization and
implantation. Human chorionic gonadotropin-‫ואשכים‬ ‫שחלות‬
(hCG), secreted by the trophoblast-‫המופרית‬ ‫בביצית‬ ‫חיצונית‬ ‫שכבה‬ of
the chorion -‫סיסית‬ stimulates the corpus luteum & prevents its
degeneration.
• hCG can be detected in the serum as early as 6 days after
conception & in the urine as early as 10-14 days of pregnancy.
• Detection of hCG in the urine forms the basis of most
pregnancy tests.
Fate of Corpus Luteum (CL)
without fertilization
• FSH and LH release is inhibited by the
progesterone and estradiol released by the CL .
• If fertilization and implantation do not occur,
the corpus luteum remains active only for 14
days. It degenerates and is replaced by
connective tissue forming a corpus albicans ,
that slowly decrease in size but never
disappears.
FSH
• FSH (follicle-stimulating hormone)
•, ( )‫מיני‬ ‫הורמון‬ ‫זקיק‬ ‫מגרה‬ ‫הורמון‬ ‫רפואה‬
-‫המוח‬ ‫יותרת‬ ‫בלוטת‬ ‫ידי‬ ‫על‬ ‫המיוצר‬
)‫השחלת‬ ‫הזקיקים‬ ‫התבגרות‬ ‫את‬ ‫ממריצה‬‫י‬,‫ים‬
‫אצל‬ ‫האסטרוגן‬ ‫וייצור‬ ‫הרחם‬ ‫רירית‬ ‫צמיחת‬
;(‫אצל‬ ‫הזרע‬ ‫יצירת‬ ‫את‬ ‫ומגרה‬ ‫ממריץ‬ ‫נשים‬
‫גברים‬
GnRH
LH maintains the
corpus luteum
Progesterone &
estrogen from CL
inhibits GnRH ,
slowing the release
of FSH and LH
Without LH, the
CL degenerates
Junqueira et al. 8th
ed. Appleton and Lange
X X
Corpus albicans
The cellular
components of the
corpus luteum are
replaced by fibrous
connective tissue
Fate of Corpus LuteumFate of Corpus Luteum withwith fertilization &fertilization &
implantationimplantation
• Corpus luteum of pregnancy is formed after fertilization and
implantation.
• Human chorionic gonadotropin (hCG), secreted by the trophoblast of
the chorion stimulates the corpus luteum & prevents its degeneration
for ~ 6 months (hCG can be detected in the serum as early as 6 days after conception
& in the urine as early as 10-14 days of pregnancy. Detection of hCG in the urine forms
the basis of most pregnancy tests).
• also estrogen, IGF-I and II (from ovary), LH, prolactin (from ant.
pituitary) and insulin contribute to formation and maintenance
CL.
– CL grows to a diameter of 5 cm
– Continues to secrete progesterone
– Decreases in size during last 3 months
• Begins to secrete relaxin (causes dilation of cervix, softens
symphysis pubis ) in preparation for birth.
Ovarian cycle has 2 phasesOvarian cycle has 2 phases
• FOLLICULAR PHASEFOLLICULAR PHASE – consists of
the development of a primordial follicle
into a mature or Graafian follicle
(dominant follicle).
• LUTEAL PHASELUTEAL PHASE – consists of the
formation of the corpus luteum, a
major-secreting gland.
• At the middle of the ovarian cycle the
OVULATIONOVULATION takes place.
Endocrine Control
of Follicular
Development &
Ovulation
GnRH
(12 hrs. after LH peak)
-
Inhibin
Fate of Non-ovulated Follicles
• Although several secondary follicles are
growing during each cycle, only one is
ovulated
• Remainder of follicles in the cohort undergo
atresia
• Atresia occurs via genetically programmed
cell death (apoptosis) and can occur at any
stage of follicular development
Follicular atresia or Degeneration
• Such degenerate follicles are called atretic
follicles. Sometimes they appear to contain a
dark pink-staining material which is probably the
remains of the zona pellucida of the follicle.
• Large numbers of follicle undergo atresia during
fetal development, early postnatal life & puberty.
• After puberty, during a reproductive cycle a group
of follicles starts the maturation process;
normally, only one or two follicle complete its
maturation and are eventually ovulated.
1. Oocyte showing signs of degeneration (multiple stages of this).
2. Stratum granulosa showing signs of disorganization.
3. Follicular cells separate from basal lamina and oocyte.
4. Glassy membrane (between granulosa and theca interna) is a
sign of advanced atresia.
OVIDUCT
The uterine tubes (also called Fallopian tubes or oviducts):
Functions:
• transport the ovum from the ovary to the site of fertilization
• help transport spermatozoa from the site of deposition to the
site of fertilization
• provide an appropriate environment for fertilization
• transport the fertilized ovum (embryo) to the uterine horns
where implantation and further development may occur.
The uterine tubes can be divided into four major parts:
• the infundibulum
• the ampulla
• the isthmus
• the uterine or intramural segment
(intramural)
~ 1 cm long
(2/3 of
total length)
Bloom and Fawcett, 12th
ed. Chapman and Hall
open to peritoneal cavity
Fimbriae
(fringed extensions)
Oviduct
The oviduct is a typical
tubular organ composed
of:
• Tunica mucosa
• Tunica muscularis:
smooth muscle tissue, 2
layers: inner – thicker,
circular & outer –
thinner, longitudinal
• Tunica serosa:
connective tissue basis
that is covered by
mesothelium
Oviduct
• Tunica mucosa with a simple columnar
ciliated epithelium and a lamina propria.
There is no lamina muscularis mucosae in
the oviduct.
The tunica mucosa is highly branched and
folded, especially in the infundibulum and
ampulla.
Epithelium of the oviduct
Contains two types of cells:
• Ciliated cells; ciliary beating causes caudal fluid
flow, to move the oocyte toward the uterus; Estrogens
increase the rate of the cilliary beat. During luteolysis,
ciliated cells lose their cilia (deciliation). Estrogen
increases the proportion of ciliated cells.
• Non-ciliated secretory cells called "Peg cells“, are
less numerous than the ciliated cells. They produce
the oviductal fluid that provides nutrients to the egg
during its migration. Progesteron increases the
proportion of secretory cells.
Early Follicular Phase – few ciliated cells
Midcycle - Estrogen  Numerous ciliated cells
sweep oocyte toward uterus
Uterus
Functions:
1. serves to receive the sperm
2. transports sperm from site of deposition to uterine tubes for
fertilization
3. provides suitable environment for
a. implantation of the embryo
b. nourishment of the embryo & fetus during pregnancy
4. provides mechanical protection of the fetus
5. expels the mature fetus at the end of pregnancy
In the fundus and body of the uterus, the wall is divided into the:
• Endometrium = tunica mucosa (basal & functional layers)
• Myometrium = tunica muscularis
• Perimetrium = tunica serosa
1
2
3
Perimetrium
• is the tunica serosa of the uterus. It has the
typical composition of loose connective
tissue with mesothelium, but contains a
large number of lymphatic vessels.
Myometrium
• Submucosal layer – smooth muscle
bundles are oriented parallel to the long axis
of the uterus
• Vascular layer – is the thickest layer.
Contains numerous large blood and
lymphatic vessels. Smooth muscle bundles
are oriented in a circular or spiral pattern
interlaced with each other.
• Supravascular layer – the arrangement of
smooth muscle bundles is the same as in the
submucosal layer
Blood supply of the uterine wall
Endometrium
• The epithelium is usually simple columnar
ciliated.
• The lamina propria consists of loose
connective tissue full of neutrophils and
lymphocytes.
• Uterine glands are simple tubular
nonbranched glands located in the lamina
propria.
• Contains a system of blood vessels
The endometrium proliferates and then degenerates
during a menstrual cycle
• Throughout the reproductive life span, the endometrium
undergoes cyclic changes each month that prepare it for
the implantation of the embryo. Changes in the
secretory activity of the endometrium during the cycle
are correlated with the maturation of the ovarian
follicles.
• During reproductive life, the endometrium consists of 2
layers that differ in structure & function: functional
layer & basal layer.
• Functional layer – the thick part of the endometrium,
which is sloughed off at menstruation.
• Basal layer – serves as the source for regeneration of
the functional layer.
Functional
layer
Basal layer
Stratum
Functionalis
Stratum
Basalis
Myometrium
Endometrium
(glands present;
dependent on
ovarian hormones
for appearance &
maintenance)
Uterine lumen
Arcuate
Arteries
(myometrium)
Uterine artery
Spiral arteries
(in endometrium –
dependent on
ovarian hormones for
growth &
maintenance)
Vascular Supply of Myometrium & EndometriumVascular Supply of Myometrium & Endometrium
Spiral arteries: dependent
upon estradiol for growth,
progesterone for
maintenance
Capillary bed with dilated
portions of capillary wall
(lacunae)
Menstrual cycleMenstrual cycle
The endometrium is directly controlled by
OVARIAN hormones (estrogen,
progesterone), not by pituitary hormones
Menstrual cycle has 3 phases:
• Proliferative phaseProliferative phase is regulated by estrogens.
• Secretory phaseSecretory phase is under the control of
progesterone.
• Menstrual phaseMenstrual phase results from a decline in the
ovarian secretion of progesterone & estrogens.
PROLIFERATIVE
PHASE
(days 4 – 14 of cycle)
MENSTRUAL CYCLE
4
Proliferative phase
• under control of estrogenes
(follicular phase of ovarian
cycle) the stromal and
epithelial cells in the
stratum basalis begin to
proliferate
• epithelial cells in the basal
portion of glands rapidly
proliferate, reconstituting
the glands and migrating to
cover the denuded
endometrial surface
• stroma, glands, spiral
arteries grow toward lumen
s. basalis
Proliferative phase: day 4 – day 14 of menstrual cycle
SECRETORY PHASE
(days 14 – 28 of cycle)
MENSTRUAL CYCLE
Secretory phase
- under control of
progesterone (luteal
phase of ovarian cycle
- uterine glands coiled,
larger lumens
- secrete glycogen,
mucin
- arteries become more
coiled, extend nearly to the
surface of the endometrium
- stromal cells transform in
desidual cells (rich in
glycogen)
Secretory phase: day 14 – 28 of menstrual cycle
MENSTRUAL PHASE
(days 1 – 4 of cycle)
MENSTRUAL CYCLE
Menstrual phaseMenstrual phase
- the involution of the corpus
luteum results from a decrease
in blood levels of steroid
hormones, leading to an
ischemic phase.
- a reduction in the normal blood
supply-causing intermittent
ischemia - and the consequent
hypoxia determine the necrosis
of the functional layer of the
endometrium, which sloughs off
during the menstrual phase.
Menstruation
At end of luteal phase of ovarian cycle,
Progesterone  Spiral arteries to constrict
Gestational hyperplasiaProliferative: day 9 Secretory: day 15 Secretory: day19
Pregnancy
Cervix
Endocervix (glands)
-not sloughed off
during menstrual
phase
Fornix of vagina
Ectocervix
Cervical Os
next slide
The internal surface of the cervix (endocervix or cervical
canal) is covered by a simple columnar epithelium that secretes
mucous and invaginates into the cervical wall to form branched
tubular mucous-secreting glands which lubricate the vagina.
Endocervix with
branched tubular mucous
glands
Mucus:
• Thick during follicular and
luteal phases to impede
sperm and bacterial entry
• Increase in volume,
decreased viscosity
enhances sperm entry
during ovulation (due to high
levels of estradiol)
Cervical
Os
Cervical
Os
Wall of
Vagina
Pap smears
Dense CT
and
Smooth muscle
adapted from Bloom and Fawcett, 12th
ed.
Chapman and Hall
The epithelium of ectocervix is stratified squamous epithelium continuous
with the vaginal epithelium. This transition zone is utilized for Pap smears, as it is
the primary site of cervical cancer.
Vagina
Vagina
• The vagina serves and the receptacle for the penis during copulation and
also expels the fetus at birth, serving as the birth canal.
The vagina is a fibromuscular tube with a wall consisting of three layers:
the mucosa, muscularis and adventitia of the vagina.
• Mucosa: The stratified squamous epithelium (deep stratum basalis,
intermediate stratum spinosum, superficial layers of flat eosinophilic
cells which do contain keratin but which do not normally form a true
horny layer) rests on a very cellular lamina propria (many leukocytes).
Towards the muscularis some vascular cavernous spaces may be seen
(typical erectile tissue).
• Muscularis: Inner circular and outer longitudinal layers of smooth
muscle are present. Inferiorly, the striated, voluntary bulbospongiosus
muscle forms a sphincter around the vagina.
• Adventitia: The part of the adventitia bordering the muscularis is fairly
dense and contains many elastic fibers. Loose connective tissue with a
prominent venous plexus forms the outer part of the adventitia.
Vagina
• The lamina propria contains many elastic fibers, a large
venous plexus and NO GLANDS.
• Lubrication is provided by the cervical glands and by the
vestibular mucous glands (present at the opening [vestibule]
of the vagina; a.k.a. Bartholin’s glands).
• The epithelial cells are continually desquamated and contain
much glycogen when estrogen levels are high (ovulation).
• Bacteria in the vagina ferment the glycogen to form lactic
acid, thus lowering the pH. The acidic environment inhibits
the growth of some pathogenic microorganisms.
• Post-menopausal women do not secrete much glycogen
because of their low estradiol levels; the subsequent higher
vaginal pH can lead to increased vaginal infections.
Glycogen Lactic acid
Vagina
LAMINA PROPRIA:
Numerous
elastic fibers
Veins
No glands!
Lubricated by cervical
mucus and vestibular glands
Bacterial
fermentation
Non-keratinized
Non-keratinized
Ross et al. 2003 LWW
Lamina propriaLamina propria
Female Histology

Female Histology

  • 1.
    Female reproductive system Department ofthe Histology, Cytology and EmbryologyDepartment of the Histology, Cytology and Embryology Tatiana GlobaTatiana Globa State University of Medicine and Pharmacy “Nicolae Testemitanu”State University of Medicine and Pharmacy “Nicolae Testemitanu”
  • 2.
    Female reproductive system Internalorgans: • Ovaries- ‫שחלות‬ • Oviducts- ‫השחלה‬ ‫צינור‬ • Uterus -‫רחם‬ • Vagina- ‫נרתיק‬ External genitalia: • Pubis- ‫חיק‬ • Labia majora & minora-‫שפתיים‬ • Clitoris- ‫דגדגן‬ • Vestibule- ‫פרוזדור‬ • Openings of vagina and urethra Mammary glands ‫-שדיים‬
  • 3.
  • 6.
    OvariesOvaries ‫שחלות‬ FUNCTIONS: • Theproduction of gametes (gametogenesis – oogenesis)-‫מין‬ ‫-תאי‬ • =Endocrine: secretion of steroid hormones (estrogens & progesterone). Estrogens promote growth and maturation of internal and external sex organs & are responsible for the typical female characteristics that develop at the time of puberty. They also act on mammary glands to promote breasts development. • Progesterone prepare sex organs, mainly the uterus, for pregnancy by promoting secretory changes in the endometrium – ‫הרחם‬ ‫.רירית‬ It prepare the mammary glands for lactation-‫.הנקה‬
  • 7.
    OVARY ‫שחלה‬ • Thesurface of the ovary is covered with surface epithelium (is known as the germinal epithelium-‫התפתחותו‬ ‫,)בראשית‬ a simple epithelium which changes from aqueous-‫קשקשי‬ to cuboidal-‫קובייתי‬ with age. Immediately beneath this surface epithelium there is a dense connective tissue sheath-‫,צפוף‬ the tunica albuginea. • The ovaries are composed of an outer cortex-‫קליפה‬ -and inner medulla-‫.לשד‬ The cortex is composed of ovarian follicles-‫זקיקים‬ (developing oocytes-‫ביצית‬ with their associated follicular cells), interstitial gland cells and stromal elements –‫חיבור‬ ‫רקמת‬ ‫.של‬ Ovarian follicles are in different stages of development (least mature to most mature): – Primordial – Primary – Secondary – Mature (vesicular, Graafian follicle) • Medulla contains loose connective tissue, blood vessels, lymphatic vessels & nerves.
  • 10.
    Ovarian follicles-‫-זקיקים‬ • 400.000– 800.000 oocytes present at the birth. • During the reproductive life span, a women produces only about 400-500 mature ovum. • Most of them degenerate-‫ניוון‬ by atresia- ‫מעבר‬ ‫אי‬)98% ). • Provide the microenvironment for the developing oocytes. • Normally, only one follicle completes maturation in each cycle.
  • 11.
    Primordial follicles • Atfirst appear in the ovaries during the third month of fetal development –‫עוברית‬ ‫התפתחות‬ • Are most numerous • Are located at the periphery of the cortex • Each consists of a primary oocyte and a single layer of flattened follicular cells, the outer surface of which is bounded by a basal lamina. The nucleus of the oocyte is positioned eccentric-‫-משונה‬ in the cell. It appears very light and contains a prominent –‫-בולט‬ nucleolus. Most organelles of the oocyte aggregate- ‫מתאחדים‬ in the centre of the cell, where they form the vitelline body.- ‫ביצה‬ >‫)ח‬ ‫)ויטלין‬
  • 13.
  • 14.
  • 15.
    Primary follicles • Isthe first stage of the growing follicle • It consists of a primary oocyte with a single layer of cuboidal /columnar follicular cells. As development proceeds, the number of follicular cells increases by mitosis forming several layers around the primary oocyte (membrana granulosa). • Between the primary oocyte & the adjacent-‫סמוך‬ follicular cells appear zona pellucida (gel-like substance that is rich in glycosaminoglycans- ‫סוכר+חלבון=ריר‬ and proteoglycans). • Stromal cells, surrounding the follicle, form a sheath of connective tissue cells, known as the theca folliculi. • During each cycle, a few primary follicles will continue to develop into secondary follicles.
  • 19.
    Secondary follicle • Itconsists of primary oocyte, that is surrounded by zona pellucida • Membrana granulosa begins to secrete follicular fluid. Small pockets of fluid between granulosa cells begin to appear. • Previously undifferentiated stromal cells now develop into two distinct layers around the developing follicle: the theca interna and the theca externa . Cells in the theca interna are large, rounded and epithelial-like, in response to LH-stimulation they synthesize and secrete the androgens that are precursors--‫מקדים‬ of estrogens. The theca external is the layer of connective tissue cells. It mainly contains smooth muscle cells and bundles of collagen fibers. • The secondary-vesicular follicle is characterized by the presence of pockets of follicular fluid within the membrana granulosa. As the follicle continues to develop, the separate pockets fuse to form one large pocket of fluid called the follicular antrum.
  • 22.
    Graafian follicle • Asthe secondary follicle increases in size, the antrum also enlarges. • The primary oocyte migrates at the periphery • The granulosa cells form a thickened mound-‫נערמים‬ – the cumulus oophorus • The cells of the cumulus oophorus surround the oocyte & remain with it at ovulation-‫ביוץ‬ – corona radiata • At time of ovulation takes place the first meiotic division, that gives rise to the secondary oocyte & the first polar body. • If in the oviduct takes place the fertilization-‫הפריה‬ -is happened the second meiotic division & the secondary oocyte transforms into the mature ovum. • If there is no fertilization the secondary oocyte will die in 48 hours.
  • 28.
    Ovulation -‫ביוץ‬ • isa hormone-mediated process resulting in the release of the secondary oocyte • takes place at the middle of the menstrual cycle • is stimulated by LH • the factors include: - increase in the volume and pressure of the follicular fluid - contraction of smooth muscle fibers in the theca externa
  • 29.
    1 2 43 Ovulation Stigma formedby lack of blood flow and action of fibroblast-derived collagenase
  • 32.
    • In primordial,primary and secondary follicles, primary oocytes are arrested in prophase of first meiotic division. • The LH surge causes the oocyte to complete the first meiotic division and begin the second, which is arrested in metaphase. It is now called a secondary oocyte. • If the secondary oocyte is fertilized, the 2nd meiotic division will be completed. Meiosis of Oocytes 1st polar body may divide to produce 2 non- functional polar bodies 2nd polar body
  • 33.
    Corpus luteum (yellowbody) • The collapsed follicle undergoes reorganization into the corpus luteum after ovulation. • In the corpus luteum development are distinguished next phases: proliferation-, morphological changes, flowering & involution. • Two types of luteal cells are identified: - granulosa lutein cells, very large, centrally located cells derived from the granulosa cells. The granulosa cells undergo hyperplasia (proliferation), hypertrophy (enlargement) and are transformed into granulosa lutein cells. - theca lutein cells, smaller, peripherally located cells derived from the cells of the theca interna layer • The resulting structure is highly vascular. If fertilization occurs, the corpus luteum persists -‫מתמיד‬ and secretes progesterone and estrogens. These hormones stimulate the growth and secretory activity of the endometrium, to prepare it for the implantation of the blastocyst.‫הזרע‬ ‫של‬ ‫הנבטה‬
  • 36.
    Corpus luteum (yellowbody) • Are distinguished corpus luteum of pregnancy & corpus luteum of menstruation-‫-וסת‬ (is formed in the absence of fertilization) • Corpus luteum of pregnancy is formed after fertilization and implantation. Human chorionic gonadotropin-‫ואשכים‬ ‫שחלות‬ (hCG), secreted by the trophoblast-‫המופרית‬ ‫בביצית‬ ‫חיצונית‬ ‫שכבה‬ of the chorion -‫סיסית‬ stimulates the corpus luteum & prevents its degeneration. • hCG can be detected in the serum as early as 6 days after conception & in the urine as early as 10-14 days of pregnancy. • Detection of hCG in the urine forms the basis of most pregnancy tests.
  • 38.
    Fate of CorpusLuteum (CL) without fertilization • FSH and LH release is inhibited by the progesterone and estradiol released by the CL . • If fertilization and implantation do not occur, the corpus luteum remains active only for 14 days. It degenerates and is replaced by connective tissue forming a corpus albicans , that slowly decrease in size but never disappears.
  • 39.
    FSH • FSH (follicle-stimulatinghormone) •, ( )‫מיני‬ ‫הורמון‬ ‫זקיק‬ ‫מגרה‬ ‫הורמון‬ ‫רפואה‬ -‫המוח‬ ‫יותרת‬ ‫בלוטת‬ ‫ידי‬ ‫על‬ ‫המיוצר‬ )‫השחלת‬ ‫הזקיקים‬ ‫התבגרות‬ ‫את‬ ‫ממריצה‬‫י‬,‫ים‬ ‫אצל‬ ‫האסטרוגן‬ ‫וייצור‬ ‫הרחם‬ ‫רירית‬ ‫צמיחת‬ ;(‫אצל‬ ‫הזרע‬ ‫יצירת‬ ‫את‬ ‫ומגרה‬ ‫ממריץ‬ ‫נשים‬ ‫גברים‬
  • 40.
    GnRH LH maintains the corpusluteum Progesterone & estrogen from CL inhibits GnRH , slowing the release of FSH and LH Without LH, the CL degenerates Junqueira et al. 8th ed. Appleton and Lange X X
  • 41.
    Corpus albicans The cellular componentsof the corpus luteum are replaced by fibrous connective tissue
  • 43.
    Fate of CorpusLuteumFate of Corpus Luteum withwith fertilization &fertilization & implantationimplantation • Corpus luteum of pregnancy is formed after fertilization and implantation. • Human chorionic gonadotropin (hCG), secreted by the trophoblast of the chorion stimulates the corpus luteum & prevents its degeneration for ~ 6 months (hCG can be detected in the serum as early as 6 days after conception & in the urine as early as 10-14 days of pregnancy. Detection of hCG in the urine forms the basis of most pregnancy tests). • also estrogen, IGF-I and II (from ovary), LH, prolactin (from ant. pituitary) and insulin contribute to formation and maintenance CL. – CL grows to a diameter of 5 cm – Continues to secrete progesterone – Decreases in size during last 3 months • Begins to secrete relaxin (causes dilation of cervix, softens symphysis pubis ) in preparation for birth.
  • 45.
    Ovarian cycle has2 phasesOvarian cycle has 2 phases • FOLLICULAR PHASEFOLLICULAR PHASE – consists of the development of a primordial follicle into a mature or Graafian follicle (dominant follicle). • LUTEAL PHASELUTEAL PHASE – consists of the formation of the corpus luteum, a major-secreting gland. • At the middle of the ovarian cycle the OVULATIONOVULATION takes place.
  • 46.
    Endocrine Control of Follicular Development& Ovulation GnRH (12 hrs. after LH peak) - Inhibin
  • 48.
    Fate of Non-ovulatedFollicles • Although several secondary follicles are growing during each cycle, only one is ovulated • Remainder of follicles in the cohort undergo atresia • Atresia occurs via genetically programmed cell death (apoptosis) and can occur at any stage of follicular development
  • 49.
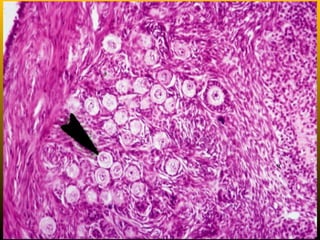
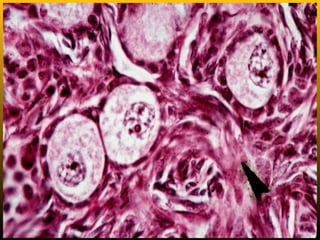
    Follicular atresia orDegeneration • Such degenerate follicles are called atretic follicles. Sometimes they appear to contain a dark pink-staining material which is probably the remains of the zona pellucida of the follicle. • Large numbers of follicle undergo atresia during fetal development, early postnatal life & puberty. • After puberty, during a reproductive cycle a group of follicles starts the maturation process; normally, only one or two follicle complete its maturation and are eventually ovulated.
  • 50.
    1. Oocyte showingsigns of degeneration (multiple stages of this). 2. Stratum granulosa showing signs of disorganization. 3. Follicular cells separate from basal lamina and oocyte. 4. Glassy membrane (between granulosa and theca interna) is a sign of advanced atresia.
  • 52.
    OVIDUCT The uterine tubes(also called Fallopian tubes or oviducts): Functions: • transport the ovum from the ovary to the site of fertilization • help transport spermatozoa from the site of deposition to the site of fertilization • provide an appropriate environment for fertilization • transport the fertilized ovum (embryo) to the uterine horns where implantation and further development may occur. The uterine tubes can be divided into four major parts: • the infundibulum • the ampulla • the isthmus • the uterine or intramural segment
  • 53.
    (intramural) ~ 1 cmlong (2/3 of total length) Bloom and Fawcett, 12th ed. Chapman and Hall open to peritoneal cavity Fimbriae (fringed extensions)
  • 55.
    Oviduct The oviduct isa typical tubular organ composed of: • Tunica mucosa • Tunica muscularis: smooth muscle tissue, 2 layers: inner – thicker, circular & outer – thinner, longitudinal • Tunica serosa: connective tissue basis that is covered by mesothelium
  • 56.
    Oviduct • Tunica mucosawith a simple columnar ciliated epithelium and a lamina propria. There is no lamina muscularis mucosae in the oviduct. The tunica mucosa is highly branched and folded, especially in the infundibulum and ampulla.
  • 57.
    Epithelium of theoviduct Contains two types of cells: • Ciliated cells; ciliary beating causes caudal fluid flow, to move the oocyte toward the uterus; Estrogens increase the rate of the cilliary beat. During luteolysis, ciliated cells lose their cilia (deciliation). Estrogen increases the proportion of ciliated cells. • Non-ciliated secretory cells called "Peg cells“, are less numerous than the ciliated cells. They produce the oviductal fluid that provides nutrients to the egg during its migration. Progesteron increases the proportion of secretory cells.
  • 60.
    Early Follicular Phase– few ciliated cells
  • 61.
    Midcycle - Estrogen Numerous ciliated cells sweep oocyte toward uterus
  • 62.
    Uterus Functions: 1. serves toreceive the sperm 2. transports sperm from site of deposition to uterine tubes for fertilization 3. provides suitable environment for a. implantation of the embryo b. nourishment of the embryo & fetus during pregnancy 4. provides mechanical protection of the fetus 5. expels the mature fetus at the end of pregnancy In the fundus and body of the uterus, the wall is divided into the: • Endometrium = tunica mucosa (basal & functional layers) • Myometrium = tunica muscularis • Perimetrium = tunica serosa
  • 65.
  • 66.
    Perimetrium • is thetunica serosa of the uterus. It has the typical composition of loose connective tissue with mesothelium, but contains a large number of lymphatic vessels.
  • 67.
    Myometrium • Submucosal layer– smooth muscle bundles are oriented parallel to the long axis of the uterus • Vascular layer – is the thickest layer. Contains numerous large blood and lymphatic vessels. Smooth muscle bundles are oriented in a circular or spiral pattern interlaced with each other. • Supravascular layer – the arrangement of smooth muscle bundles is the same as in the submucosal layer
  • 68.
    Blood supply ofthe uterine wall
  • 69.
    Endometrium • The epitheliumis usually simple columnar ciliated. • The lamina propria consists of loose connective tissue full of neutrophils and lymphocytes. • Uterine glands are simple tubular nonbranched glands located in the lamina propria. • Contains a system of blood vessels
  • 70.
    The endometrium proliferatesand then degenerates during a menstrual cycle • Throughout the reproductive life span, the endometrium undergoes cyclic changes each month that prepare it for the implantation of the embryo. Changes in the secretory activity of the endometrium during the cycle are correlated with the maturation of the ovarian follicles. • During reproductive life, the endometrium consists of 2 layers that differ in structure & function: functional layer & basal layer. • Functional layer – the thick part of the endometrium, which is sloughed off at menstruation. • Basal layer – serves as the source for regeneration of the functional layer.
  • 71.
  • 72.
  • 73.
    Arcuate Arteries (myometrium) Uterine artery Spiral arteries (inendometrium – dependent on ovarian hormones for growth & maintenance) Vascular Supply of Myometrium & EndometriumVascular Supply of Myometrium & Endometrium
  • 74.
    Spiral arteries: dependent uponestradiol for growth, progesterone for maintenance Capillary bed with dilated portions of capillary wall (lacunae)
  • 75.
    Menstrual cycleMenstrual cycle Theendometrium is directly controlled by OVARIAN hormones (estrogen, progesterone), not by pituitary hormones Menstrual cycle has 3 phases: • Proliferative phaseProliferative phase is regulated by estrogens. • Secretory phaseSecretory phase is under the control of progesterone. • Menstrual phaseMenstrual phase results from a decline in the ovarian secretion of progesterone & estrogens.
  • 77.
    PROLIFERATIVE PHASE (days 4 –14 of cycle) MENSTRUAL CYCLE 4
  • 78.
    Proliferative phase • undercontrol of estrogenes (follicular phase of ovarian cycle) the stromal and epithelial cells in the stratum basalis begin to proliferate • epithelial cells in the basal portion of glands rapidly proliferate, reconstituting the glands and migrating to cover the denuded endometrial surface • stroma, glands, spiral arteries grow toward lumen s. basalis
  • 79.
    Proliferative phase: day4 – day 14 of menstrual cycle
  • 81.
    SECRETORY PHASE (days 14– 28 of cycle) MENSTRUAL CYCLE
  • 82.
    Secretory phase - undercontrol of progesterone (luteal phase of ovarian cycle - uterine glands coiled, larger lumens - secrete glycogen, mucin - arteries become more coiled, extend nearly to the surface of the endometrium - stromal cells transform in desidual cells (rich in glycogen)
  • 83.
    Secretory phase: day14 – 28 of menstrual cycle
  • 84.
    MENSTRUAL PHASE (days 1– 4 of cycle) MENSTRUAL CYCLE
  • 85.
    Menstrual phaseMenstrual phase -the involution of the corpus luteum results from a decrease in blood levels of steroid hormones, leading to an ischemic phase. - a reduction in the normal blood supply-causing intermittent ischemia - and the consequent hypoxia determine the necrosis of the functional layer of the endometrium, which sloughs off during the menstrual phase.
  • 86.
    Menstruation At end ofluteal phase of ovarian cycle, Progesterone  Spiral arteries to constrict
  • 87.
    Gestational hyperplasiaProliferative: day9 Secretory: day 15 Secretory: day19 Pregnancy
  • 88.
  • 89.
    Endocervix (glands) -not sloughedoff during menstrual phase Fornix of vagina Ectocervix Cervical Os next slide The internal surface of the cervix (endocervix or cervical canal) is covered by a simple columnar epithelium that secretes mucous and invaginates into the cervical wall to form branched tubular mucous-secreting glands which lubricate the vagina.
  • 90.
    Endocervix with branched tubularmucous glands Mucus: • Thick during follicular and luteal phases to impede sperm and bacterial entry • Increase in volume, decreased viscosity enhances sperm entry during ovulation (due to high levels of estradiol) Cervical Os
  • 91.
    Cervical Os Wall of Vagina Pap smears DenseCT and Smooth muscle adapted from Bloom and Fawcett, 12th ed. Chapman and Hall The epithelium of ectocervix is stratified squamous epithelium continuous with the vaginal epithelium. This transition zone is utilized for Pap smears, as it is the primary site of cervical cancer.
  • 92.
  • 93.
    Vagina • The vaginaserves and the receptacle for the penis during copulation and also expels the fetus at birth, serving as the birth canal. The vagina is a fibromuscular tube with a wall consisting of three layers: the mucosa, muscularis and adventitia of the vagina. • Mucosa: The stratified squamous epithelium (deep stratum basalis, intermediate stratum spinosum, superficial layers of flat eosinophilic cells which do contain keratin but which do not normally form a true horny layer) rests on a very cellular lamina propria (many leukocytes). Towards the muscularis some vascular cavernous spaces may be seen (typical erectile tissue). • Muscularis: Inner circular and outer longitudinal layers of smooth muscle are present. Inferiorly, the striated, voluntary bulbospongiosus muscle forms a sphincter around the vagina. • Adventitia: The part of the adventitia bordering the muscularis is fairly dense and contains many elastic fibers. Loose connective tissue with a prominent venous plexus forms the outer part of the adventitia.
  • 94.
    Vagina • The laminapropria contains many elastic fibers, a large venous plexus and NO GLANDS. • Lubrication is provided by the cervical glands and by the vestibular mucous glands (present at the opening [vestibule] of the vagina; a.k.a. Bartholin’s glands). • The epithelial cells are continually desquamated and contain much glycogen when estrogen levels are high (ovulation). • Bacteria in the vagina ferment the glycogen to form lactic acid, thus lowering the pH. The acidic environment inhibits the growth of some pathogenic microorganisms. • Post-menopausal women do not secrete much glycogen because of their low estradiol levels; the subsequent higher vaginal pH can lead to increased vaginal infections.
  • 96.
    Glycogen Lactic acid Vagina LAMINAPROPRIA: Numerous elastic fibers Veins No glands! Lubricated by cervical mucus and vestibular glands Bacterial fermentation Non-keratinized Non-keratinized Ross et al. 2003 LWW Lamina propriaLamina propria