CA BLADDER :
Dept of Urology
Govt Royapettah Hospital and Kilpauk Medical College
Chennai 1
Moderators:
Professors:
• Prof. Dr. G. Sivasankar, M.S., M.Ch.,
• Prof. Dr. A. Senthilvel, M.S., M.Ch.,
Asst Professors:
• Dr. J. Sivabalan, M.S., M.Ch.,
• Dr. R. Bhargavi, M.S., M.Ch.,
• Dr. S. Raju, M.S., M.Ch.,
• Dr. K. Muthurathinam, M.S., M.Ch.,
• Dr. D. Tamilselvan, M.S., M.Ch.,
• Dr. K. Senthilkumar, M.S., M.Ch.
Dept of Urology, GRH and KMC, Chennai. 2
• EPIDEMIOLOGY
• ETIOPATHOGENESIS
• CLASSIFICATION,
• CLINICAL FEATURES,
• HISTOPATHOLOGY OF BENIGN & MALIGNANT TUMOR
3
Dept of Urology, GRH and KMC, Chennai.
EPIDEMIOLOGY
4
Dept of Urology, GRH and KMC, Chennai.
5
Dept of Urology, GRH and KMC, Chennai.
M>F - More prevalence of smoking and exposure to environmental
toxins
• Adolescents and young adults - develop well-differentiated non
invasive, rather than invasive bladder cancer
6
Dept of Urology, GRH and KMC, Chennai.
ETIOLOGY
• Genetic abnormalities
• External risk factors
• Smoking
• Nutritional factors
• Fluid intake
• Inflammation
•Chemotherapy, Radiation.
7
Dept of Urology, GRH and KMC, Chennai.
Genetic
• Several polymorphisms - related & susceptibility to
environmental carcinogen
• N-acetyl transferase (NAT) & slow NAT-2 polymorphism is
related to bladder cancer
• Glutathione-S transferase (GSTM1) conjugates arylamines and
nitrosamines.
• The null GSTM1 and slow NAT-2 lead to high levels of 3-
aminobiphenyl - higher risk of bladder cancer.
8
Dept of Urology, GRH and KMC, Chennai.
N-acetyl transferase (NAT) detoxifies nitrosamines, a
known bladder carcinogen.
NAT-2 regulates the rate of acetylation of compounds such as
caffeine, which are related to bladder cancer formation.
Glutathione-S transferase (GSTM1) conjugates several reactive
chemicals, including arylamines and nitrosamines.
9
Dept of Urology, GRH and KMC, Chennai.
Genetic Abnormalities
Protooncogenes expression - Ras, p21
Tumour suppressor gene mutation -
p53, p21, p27
 LOH of chromosome 9
 Abnormalities of specific cell cycle regulatory proteins
CABLES, k167,cyclinD
10
Dept of Urology, GRH and KMC, Chennai.
External Risk Factors
• Exposure of chemical
Dye and Rubber industries
• Primary culprits -- Aromatic amines that bind
to DNA .
Benzidine and β-naphthylamine ,
• Polycyclic aromatic hydrocarbons (PAH), diesel exhaust, and
paint substances
• Environmental carcinogens –by inhalation or through skin
absorption
11
Dept of Urology, GRH and KMC, Chennai.
12
Dept of Urology, GRH and KMC, Chennai.
13
Dept of Urology, GRH and KMC, Chennai.
Smoking
•The intensity and duration of smoking is linearly
related to the increased risk, with no clear plateau
level
•Black tobacco appears to be worse than blonde
tobacco because of a greater amount of aromatic
amines in the former
•30 % Bladder Cancer associated with smoking
•Risk correlates with number, duration, degree of
inhalation
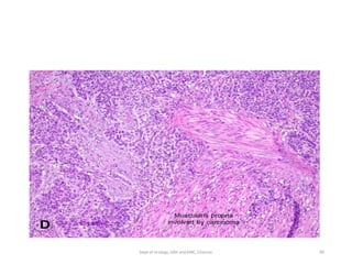
14
Dept of Urology, GRH and KMC, Chennai.
Nutritional Factors
• Moderately higher in coffee and tea drinkers
• Mediterranean diet -- Lowest urothelial cancer risk
• Fruits and vegetables—
Polyphenols,& antioxidants, are important in detoxification.
Can prevent DNA adduct formation and oxidative damage
• Micronutrients & antioxidants
Vitamins A, C and E; selenium and zinc
15
Dept of Urology, GRH and KMC, Chennai.
Inflammation
• Chronic infection with Schistosoma hematobium leads to
formation of Squamous cell carcinoma
• Chronic indwelling catheter , stones, and infections
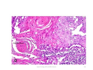
• Chronic urinary tract infections
Escherichia coli and Pseudomonas
16
Dept of Urology, GRH and KMC, Chennai.
Chemotherapy
• Related to the duration and intensity of cyclophosphamide
Mutagenic metabolic – Phosphoramide mustard .
• Up to ninefold increased risk
• High grade, muscle infiltrating, younger, equal in both sexes
• Latency period = 6 to 13 years
• Uro protectant - MESNA (2-Mercaptoethanesulfonic acid)
17
Dept of Urology, GRH and KMC, Chennai.
18
Dept of Urology, GRH and KMC, Chennai.
19
Dept of Urology, GRH and KMC, Chennai.
• Radiation
Increased risk in patients with prostate or cervical cancer
treated with RT
• Heredity
First-degree relatives -- twofold increased risk
20
Dept of Urology, GRH and KMC, Chennai.
• Fluid Intake
Increased fluid intake  Decrease the concentration of
potential carcinogens  Decrease the risk of bladder
cancer
Consumers of artificial sweeteners, alcohol intake,
phenacetin - No evidence of Risk
• BMI-Causes hyperinsulimia –increases-growth factors
• Pioglitazone –increses cancer risk
21
Dept of Urology, GRH and KMC, Chennai.
22
Dept of Urology, GRH and KMC, Chennai.
PATHOPHYSIOLOGY
 Urothelium 3-7 layers thick
 BM
 Lamina propria -
muscularis mucosa, blood
vessels, lymphatic,
nerves
 Muscularis propria- inner
longitudinal, middle circular,
and outer longitudinal
 Serosa
23
Dept of Urology, GRH and KMC, Chennai.
24
Dept of Urology, GRH and KMC, Chennai.
Term usingfor....
 Hyperplasia :-increase in no of cell layers without nuclear or
cellular abnormalities.
 Atypical hyperplasia: -Increase in no of cells with nuclear or cellular
changes
 Metaplasia: - change in epithelium with squamous or adenomatous
development. Mild to moderate nuclear & cellular atypia
 Dysplasia: abnormal histology or anatomical structure
-Epithelial changes that are intermediate between normal
urothelium and CIS (severe dysplasia)
- Isolated dysplasia – 19% CIS & 15% TCC
- Dysplasia with previoush/o UC – 60% CIS
25
Dept of Urology, GRH and KMC, Chennai.
Pathogenesis of urothelial cancer formation
26
Dept of Urology, GRH and KMC, Chennai.
27
Dept of Urology, GRH and KMC, Chennai.
Pathogenesis of urothelial cancer formation
• Somatic mutations - more common than germline mutations
• Accumulation of the genetic event - phenotypic changes results
unregulated cell growth and invasion
28
Dept of Urology, GRH and KMC, Chennai.
• Lowgrade papillary tumors - genomic stability
allows tumor recurrence
• Genetic alterations - fibroblast growth factor
receptor–3 , deletions of 9p and 9q.
• High-grade papillary cancer and CIS - unstable genomes
Genetic alteration - HRAS, FGFR, 5q-, 6q-, 7q+
29
Dept of Urology, GRH and KMC, Chennai.
CLASSIFICATION
• WHO 1973 – G1/G2/G3, based on degree of cellular &
architectural atypia
• WHO/ISUP 1998 – introduction of term PUNLMP
define Papilloma, PUNLMP, CaLG, CaHG
30
Dept of Urology, GRH and KMC, Chennai.
• WHO 2004 – introduction of low grade & high grade PUC
PUNLMP term adopted by WHO
clear Histological features of UC &
dec. the diagnostic subjectivity of the WHO
1973 scheme
• WHO 2004/2016 – Division of pT1 tumors into LG & HG
- further differentiate Non-invasive LG &
HG papillary car. from Invasive urothelial carcinoma
31
Dept of Urology, GRH and KMC, Chennai.
32
Dept of Urology, GRH and KMC, Chennai.
33
Dept of Urology, GRH and KMC, Chennai.
classifications & percentage
34
Dept of Urology, GRH and KMC, Chennai.
35
Dept of Urology, GRH and KMC, Chennai.
36
Dept of Urology, GRH and KMC, Chennai.
37
Dept of Urology, GRH and KMC, Chennai.
38
Dept of Urology, GRH and KMC, Chennai.
Histology
 Non–muscle-invasive bladder cancer (NMIBC) includes –
 Papillary urothelial neoplasia of low
malignant potential (PUNLMP),
 Low- and high-grade urothelial cancer
 CIS ( carcinoma in situ)
previously been called “superficial bladder cancer
39
Dept of Urology, GRH and KMC, Chennai.
40
Dept of Urology, GRH and KMC, Chennai.
EPIDEMIOLOGY
• 9th most common cancer world wide
• Cancer of environment and advancing age
• Peak Incidence - 8th decade of life
• Strong association with environmental
toxins
41
Dept of Urology, GRH and KMC, Chennai.
Papillary urothelial neoplasia of low-
malignant potential (PUNLMP)
• Papillary growth with minimal
cytological atypia more than
seven cells thick
• Solitary and located on the trigone
42
Dept of Urology, GRH and KMC, Chennai.
PUNLMP
• Composed of thin papillary stalks
• Polarity of the cells is maintained
• Nuclei are minimally enlarged.
• Low proliferation, non invasive, non metastatic
43
Dept of Urology, GRH and KMC, Chennai.
PUNLMP
44
Dept of Urology, GRH and KMC, Chennai.
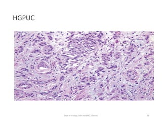
HGPUC
• Fused papillary stalks with high-grade
cancer in the urothelial layer.
• Disordered growth pattern,
numerous mitotic figures
pleomorphic cells
with exaggerated nuclei.
• Over 80% of high-grade cancers will
invade the underlying stroma
45
Dept of Urology, GRH and KMC, Chennai.
HGPUC
46
Dept of Urology, GRH and KMC, Chennai.
47
Dept of Urology, GRH and KMC, Chennai.
Tumor suppressor genes
Low grade papillry CIS and muscle
invasive
High grade papillary
and Muscle invasive
TP53 mutations (17p13) Uncommon Hallmark- 60% Hallmark-
>50%
PTEN (10q23) Rare Hallmark Hallmark- 30-35%
RB gene (13q14) Rare Hallmark Hallmark-37%
Deletions of Ch regions
9P16, 9p21
Hallmark Absent in pure CIS 70-80%
Loss of heterozygosity (LOH) of Ch 9 >50% Rare Rare
48
Dept of Urology, GRH and KMC, Chennai.
proto oncogenes
Low grade
papillry
CIS and muscle
invasive
High grade papillary
and Muscle invasive
Alterations in the
fibroblast growth factor receptor–3
(FGFR-3) - 4p16
Hallmark-75% Infrequent-20% Common
Deletions -9p14, 9q11-13, 9q33-34 Hallmark Absent in pure CIS 70-80%
H RAS mutations- (11p15) 15% 10-15% 10-15%
Point mutations in PIK3CA (3q26) 16% Rare Rare
Over expression of C-Erb B2 (7q) Uncommon 10-14% 10-14%
49
Dept of Urology, GRH and KMC, Chennai.
BENIGN LESIONS/ TUMORS OF
THE BLADDER
• EPITHELIAL METAPLASIA
• LEUKOPLAKIA
• INVERTED PAPILLOMA
• PAPILLOMA
• NEPHROGENIC ADENOMA
• CYSTITIS CYSTICA AND GLANDULARIS
• LEIOMYOMA
50
Dept of Urology, GRH and KMC, Chennai.
EpithelialMetaplasia
• Focal area of transformed urothelium surrounded by normal
urothelium
• Normal cellular & nuclear architecture
• Location- trigone
Composed of squamous (Squ.metaplasia) or glandular (glan
Metap. )
51
Dept of Urology, GRH and KMC, Chennai.
ON CYSTOSCOPY- knobby app.covered by white flaky, easily
disrupted
& lying on the trigone
Glandular Metaplasia appears as clumpy, raised, reddish
area that look like inflammatory, often confused for cancer
Approx 40% female
5% male have Squ. Metaplasia of the bladder
Biopsy & t/t not required.
52
Dept of Urology, GRH and KMC, Chennai.
Leukoplakia
• Similar to Squ. Metaplasia
with the addition of
• Keratin deposition that
appears as a white flaky
substance floating in the
bladder
• Benign lesion,
53
Dept of Urology, GRH and KMC, Chennai.
54
Dept of Urology, GRH and KMC, Chennai.
• Symptoms- vesical irritation & passage of flakes
• Premalignant
• Careful cystoscopic assessment & biopsy
• May require resection.
55
Dept of Urology, GRH and KMC, Chennai.
A. Epithelial metaplasia B. Leukoplakia
56
Dept of Urology, GRH and KMC, Chennai.
Benign proliferative lesions
Inverted Papilloma
• Associated with
-Chronic inflammation
-Bladder outlet obstruction.
• Located throughout the bladder
-Most common – Trigone
-Less than 1% of all bladder tumors
57
Dept of Urology, GRH and KMC, Chennai.
• Present with non-specific hematuria or irritative voiding
symptoms
• May be asso. with urothelial cancer or malignant changes
• Recurrence – 1%
58
Dept of Urology, GRH and KMC, Chennai.
InvertedPapilloma......
• Gross:
- usually smooth, solitary, polypoid, sessile or pedunculated
- Usually < 3 cm
- multiple lesions – 1.5 to 4.5%
• Microscopic ( Histologic )
- smooth surface & base with minimal to absent exophytic
components
- no/minimal cytologic atypia
59
Dept of Urology, GRH and KMC, Chennai.
• DDx:
- Urothelial cancer with inverted growth pattern
- Papillary urothelial neoplasm of LMP
• FISH – differentiate b/w benign & malignant
• Treatment - Transurethral resection
60
Dept of Urology, GRH and KMC, Chennai.
Inverted Papilloma.....
• Two main subtypes:
1. Trabecular subtype ( classic type)
- irregular, downward growth
- consisting of cords & trabeculae as a sheets arising from
the urothelial layer growing into the lamina propria
2. Glandular subtype
- morphologically overlap with Cystitis cystica
61
Dept of Urology, GRH and KMC, Chennai.
62
Dept of Urology, GRH and KMC, Chennai.
1. Inverted growth pattern of papillary 2. Inverted growth pattern of lining cells
fronds of typical inverted Papilloma with central streaming & peripheral
composedof intact surface of bladder palisading without any atypia and
urothelium. ( H&E ; X10 ) mitosis. ( H&E ; x40 )
63
Dept of Urology, GRH and KMC, Chennai.
Papilloma
• Discrete Papillary growth with
a central fibrovascular core
lined by normal urothelium
• Small, single, exophytic lesion
• Younger pts ( mean age- 46yrs)
64
Dept of Urology, GRH and KMC, Chennai.
Posterior or lateral wall (close to UO)
R/F similar to urothelial cancer
C/F- asymptomatic, Hematuria
Benign behaviour, may recur but not progress or invade the
bladder
T/t – TUR of lesions
65
Dept of Urology, GRH and KMC, Chennai.
Papilloma.....
• Gross:
- Soft, pink, small isolated growth with discrete papillary
structure
- Usually pedunculated, mean 3 mm
• Microscopic(Histologic):
- Discrete Papillary fronds, minimal branching & fusion,
benign cells
- Papillae appear to float above urothelial surface
- Papillae usually small with scant stroma & slender
fibrovascular cores
- Lined by normal urothelium with prominent umbrella cells
66
Dept of Urology, GRH and KMC, Chennai.
• Molecular/cytogenetic discription:
- Negative stain – p53 & RB
. Positive stain – CK-20
- Diploid , 75% cases are FGFR3 mutations
67
Dept of Urology, GRH and KMC, Chennai.
DDX:PUNLMP: it has a thicker cell layer, large nuclei with occasional
mitotic figures, recurrence- 20-30%
68
Dept of Urology, GRH and KMC, Chennai.
Nephrogenic Adenoma
• Chronic irrigation of the
urothelium
- Trauma
- Previous surgery
- Renal transplantation
- Intravesical
chemotherapy
- Stones, catheters &
infection
- Immunosuppression
• Associated with
inflammation
69
Dept of Urology, GRH and KMC, Chennai.
Nephrogenic Adenoma......
• Usually adults,
• more common at bladder neck, 15% prostatic urethra
• In renal transplant recipients, derived from exfoliated &
implanted renal tubular cells in the bladder
• In other pts, appear to be metaplastic and not a neoplasm
• Involve mucosa & submucosa
70
Dept of Urology, GRH and KMC, Chennai.
Clinical features:
• Gross hematuria, irritative voiding symptoms
• Valvety app on cystoscopy, often mistaken for papillary
urothelial car.
• Benign, no malignant transformation
71
Dept of Urology, GRH and KMC, Chennai.
Neohrogenic adenoma.....
• Gross:
- Polypoid, sessile or Papillary, 20% multiple
• Microscopic (Histologic):
- small hollow tubules, on EM – similar to PCT
- usually lined by single layer of Cuboidal or Hobnail cells
- clear or eosinophilic cytoplasm, small nuclei, no prominent
nucleoli
72
Dept of Urology, GRH and KMC, Chennai.
73
Dept of Urology, GRH and KMC, Chennai.
IHC:
Positive stains – PAX-2, PAX-8 Negativestains – p16
CK-7 & CK-20 S100
PAS+, A1+ CD10
74
Dept of Urology, GRH and KMC, Chennai.
• DDx
1. Papillary urothelial car.
multilayered, atypia, p16+
2. Prostatic carcinoma : prostatic urethra may resemble &
similar express AMACR+, but NA is PSA & PSAP –ve
more atypia in PC
3. Urothelial car. Nested variant
- cystic degeneration of nests,
- multilayered, marked atypia
-
75
Dept of Urology, GRH and KMC, Chennai.
Cystitis Cystica & Glandularis
UreteritisCystica
• Common incidental finding
in bladder specimens
• Reactive urothelial changes
76
Dept of Urology, GRH and KMC, Chennai.
• chronic Cystitis,
• Bladder extrophy,
• ureteral implantation,
• neurogenic bladder or
• any cause of mucosal irritation
77
Dept of Urology, GRH and KMC, Chennai.
Term using....
1. Brunn nests : invagination from the overlying urothelium into
lamina propria.
2. Cystitis Cystica: when Brunn nests become cystically dilated
( with or without eosinophilic secretions in the lumen)
.
3. Cystitis Glandularis: when the urothelial cell nests show central
cyst or lumen lined by columnar/ Cuboidal epithelium.
78
Dept of Urology, GRH and KMC, Chennai.
Cystitis Cystica& Glandularis
HP image:all threepattern
79
Dept of Urology, GRH and KMC, Chennai.
HPspecimen: (a)CystitisCystica. (b)cystitis Glandularis
80
Dept of Urology, GRH and KMC, Chennai.
Cystitis Cystica& Glandularis....
• C/F – incidental finding in biopsies ,
- on cystoscopy – may present as papillary or polypoid
mass
- usually asymptomatic, recurrent UTI
81
Dept of Urology, GRH and KMC, Chennai.
Histological two types ;
1. Usual type – more common, express membranous
beta-catenin
2. intestinal type – also called intestinal metaplasia
- presence of goblet & mucin cells
- express nuclear beta-catenin
- risk of adenocarcinoma more
Both type involved only lamina propria
82
Dept of Urology, GRH and KMC, Chennai.
• usual type – CK7+ , CDX2 & CK-20 –ve
Intestinal type – CDX2 & CK-20 + ve
• D/D-ADENOCARCINOMA
• ENDOCERVICOSIS
83
Dept of Urology, GRH and KMC, Chennai.
• Treatment: removal of source of infection/injury
long term antibiotics therapy
Surgical options reserved when conservative Mx not
respond.
84
Dept of Urology, GRH and KMC, Chennai.
HP specimens: CystitisGlandularis( usualtype)
85
Dept of Urology, GRH and KMC, Chennai.
86
Dept of Urology, GRH and KMC, Chennai.
LEIOMYOMA
• Rare benign Mesenchymal tumor
• Till now, only 250 cases are reported
• Similar incidence in male and female
87
Dept of Urology, GRH and KMC, Chennai.
Leiomyoma
• Etiology is still unknown, but may be related to
- chromosomal alteration
- hormonal disturbance
- Repeated bladder wall & detrusor infection
- perivascular inflammation
88
Dept of Urology, GRH and KMC, Chennai.
• Based on location – 3 type 1. Endovesical - (65-85% )
2. Intramural - ( 3-7% )
3. Extravesical - ( 10-30% )
89
Dept of Urology, GRH and KMC, Chennai.
Histopathologicalspecimens:
(A) Proliferation of spindle
shaped cells,
Eosinophilic cytoplasm on H &
E stain,
No evidence of mitotic changes
or atypia
(B) Stain negatively for Ki-67
(C) Positive SMs staining for
Actin
90
Dept of Urology, GRH and KMC, Chennai.
Clinical presentation (30%)
• Obst. voiding symptoms (49%)-
• Irrit. Voiding symptoms (38%)
• Flank pain (13%)
• Hematuria (11% )
91
Dept of Urology, GRH and KMC, Chennai.
• Best imaging for diagnosis – MRI & cystoscopic biopsy
• Treatment : Endovesical – TURBT
Intramural & Extravesical – wide excision/partial cystectomy
open/laparoscopic
92
Dept of Urology, GRH and KMC, Chennai.
On USG: Smoothwall, Homogeneous, hypoechoic, solid mass
with echogenic surface
On CT(P):Hypodense mass, CT(c): Moderately enhancingmass
93
Dept of Urology, GRH and KMC, Chennai.
Carcinomain situ(CIS)
 Flat, high grade , non- invasive urothelial cancer
 surface epithelium contains cancer cells
• Spread – Distal ureters and prostatic urethra on the surface
or in a pagetoid manner
94
Dept of Urology, GRH and KMC, Chennai.
• Urine cytology - 80- 90 % positive
• 40 - 83% progress to muscle-invasive cancer
• Endoscopically, - reddish with heaped-up mucosa can be
mistaken for inflammatory changes or
radiation cystitis.
95
Dept of Urology, GRH and KMC, Chennai.
96
Dept of Urology, GRH and KMC, Chennai.
Classificationof CIS intoclinicaltypes:
• Primary : isolated CIS with no previous or concurrent
Papillary tumors or previous CIS
• Secondary : CIS detected during follow-up of pts with a
previous tumor that was not a CIS
• Concurrent : CIS in the presence of any other urothelial
tumors in the bladder
97
Dept of Urology, GRH and KMC, Chennai.
• Muscle invasive
• Histology:
• Invading urothelium shows irregular nests, single cell
infiltration or tentacular finger-like projections
• Stromal response
-desmoplasia,
-retraction or
-inflammation.
98
Dept of Urology, GRH and KMC, Chennai.
99
Dept of Urology, GRH and KMC, Chennai.
• Assess level of invasion for staging
.
• Presence and status of involvement of muscularis propria
should be reported in TURBT specimen for adequate staging.
100
Dept of Urology, GRH and KMC, Chennai.
HISTOLOGICVARIANTS OF UROTHELIAL CARCINOMA
• Nested pattern
• Small tubular pattern
• Microcytic pattern
• Inverted pattern
• With squamous differentiation
• With glandular differentiation
• Micro papillary
• Sarcomatoid
• Clear cell
• With syncitiotrophoblasts
• With unusual stromal reaction
101
Dept of Urology, GRH and KMC, Chennai.
NESTEDVARIANTOFUROTHELIALCARCINOMA
• Rarebut aggressive cancer
• male-to-female ratio of 6 : 1
• confused with benign lesions
- von Brunn nests that are in the lamina propria,
- cystitis cystica,
-inverted papillomas.
littlenuclear atypia in the nested variant of urothelial carcinoma
102
Dept of Urology, GRH and KMC, Chennai.
Nested variant
• Tumor cells will often contain areas with
large nuclei and mitotic figures
103
Dept of Urology, GRH and KMC, Chennai.
CLEAR CELLVARIANTOFUROTHELIAL CARCINOMA
• 70% -will have foci of clear cells within the tumor.
• glycogen-rich vacuoles and may be confused with metastatic
clear cell carcinoma of the kidney.
Clear cell variant does not a significantly worse prognosis for
urothelial cancers
104
Dept of Urology, GRH and KMC, Chennai.
105
Dept of Urology, GRH and KMC, Chennai.
GLANDULAROR ADENOCARCINOMA DIFFERENTIATION
• Mixed tumor differentiation is m/c with squamous cell
cancer,
• only 6% of urothelial cancer cases.
Diffi- two glandular spaces within the tumor
• Mucin production can occur, and tumor cells seem to be
floating in the mucin.
106
Dept of Urology, GRH and KMC, Chennai.
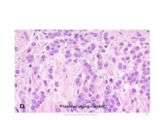
PLASMACYTOIDTUMOR
Recognized by the WHO classification system since 2004
• Urothelial tumor cells look like plasma cells due to abundant
eosinophilic cytoplasmhe ecentric nuclei & indistinct nucleoli.
• Invade the bladder wall and perivesical adipose tissue &
abdominal cavity at the time of diagnosis.
107
Dept of Urology, GRH and KMC, Chennai.
• diagnosed at an advanced stage, 64% T3 & 23% T4, 60%
metastasis.
• Positive stains: CK, CD138
• Negative stains: plasma cells & lymphocytes marker
• Delation of 9p21, p53 mutation in 30%
• Onset of hematuria is delayed –
• sessile and non-papillary tumor growth pattern.
108
Dept of Urology, GRH and KMC, Chennai.
109
Dept of Urology, GRH and KMC, Chennai.
MICROPAPILLARY
• Incidence- 0.7-2.2%
• M:F - 10:1
• occurs at older age – 65 yrs
• Present at advanced stage,
• Edematous stroma with chronic inflammatory infiltrate
• Associated with conventional urothelial ca in 80%
110
Dept of Urology, GRH and KMC, Chennai.
• Histology- Small nests & papillae with surrounding retraction
spaces, similar to papillary serous ca of ovary ( no psammoma
bodies)
• Angiolymphatic invasion is common
• High progression from Non-muscle invasive -Muscle invasive
- Metastatic
111
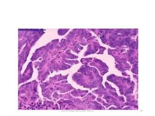
Dept of Urology, GRH and KMC, Chennai.
HP image:Micropapillary(U)& UsualUC(L)
• Positive stains:
CK7, CK20, variable HER2 & CA-125
DDx: papillary car. Of ovary
papillary nephrogenic adenoma
invasive UC with stromal retraction
112
Dept of Urology, GRH and KMC, Chennai.
NONUROTHELIAL MALIGNANCY
•Sarcoma
•Signet ring cell ca
•Small cell ca
•Sq cell ca
•Prostatic urethral ca
•adenocarcinoma
113
Dept of Urology, GRH and KMC, Chennai.
Squamouscell carcinoma
• Risk factor for bladder SCC
- Smoking
- Stones/FBs
- Schistosomiasis haematobium
- Chronic UTIs
- Chronic indwelling catheter
114
Dept of Urology, GRH and KMC, Chennai.
- BCG
- Diverticula (bladder)
- Trauma
- prolonged cyclophosphamide-
115
Dept of Urology, GRH and KMC, Chennai.
116
Dept of Urology, GRH and KMC, Chennai.
SquamousCell Carcinoma
• Histological types: Usual
type,
• Verrucous,
• Variant,
• Basaloid with sarcomatoid
features
117
Dept of Urology, GRH and KMC, Chennai.
Mechanism may be due to
1.Increased proliferation rate
2.Chronic inflammation and exposure to environmental
agent – Generate: N-butyle N-Nitrosomaine
 Chronic infection converts nitrates – nitrites - nitrosamines
118
Dept of Urology, GRH and KMC, Chennai.
119
Dept of Urology, GRH and KMC, Chennai.
• Large ulcerated, necrotic
• 80% involved muscular wall
at diagnosis
• Squ. Metaplasia up to 60%
120
Dept of Urology, GRH and KMC, Chennai.
• LN metastasis- 10-27%
• Metastasis to bone & lung
• Positive stains: CK5/6( 77%)
CK5/14 (96%)
• Negative stains: CK-20 & Uroplakin III
• Grading is not reproducible
121
Dept of Urology, GRH and KMC, Chennai.
Adenocarcinoma
• Risk factors for adenocarcinoma of the bladder
- Urachal cyst/remnant,
- Cystitis glandularis,
- CIS,
- Chronic inflammation,
- Ureterosigmoidostomy,
- Bladder augmentation
- Exstrophy of bladder.
122
Dept of Urology, GRH and KMC, Chennai.
ADENOCARCINOMA
• <2% of primary bladder cancers
• Majority represent Mets from GI
tract, breast, lung , colon primary
• Usually arise in trigoneor in dome
(urachal)
123
Dept of Urology, GRH and KMC, Chennai.
• M/C – Exstrophy
&
associated with pelvic lipomatosis
Develop in response -
• chronic inflammation
• irritation
124
Dept of Urology, GRH and KMC, Chennai.
125
Dept of Urology, GRH and KMC, Chennai.
• Classifications of adenocarcinomas of the GU tract
• 1) primary vesical
• 2) urachal
• 3) metastatic
126
Dept of Urology, GRH and KMC, Chennai.
• Most are poorly differentiated and invasive
• More often associated with cystitis glandularis than CIS
• Glandular components predominant, resemble colonic CA
• Poor prognosis due to advanced stage at presentation.
• Positive stains: CK7, CK20, CEA, EMA, Villin, membranous
beta-catenin
• Negative stains: vimetin, Uroplakin III, nuclear beta-catenin
127
Dept of Urology, GRH and KMC, Chennai.
URACHAL ADENOCARCINOMA
• Located at the dome of the
bladder
• 90% of masses occur close
to the bladder
128
Dept of Urology, GRH and KMC, Chennai.
• Midline,
• infraumbilical,
• soft-tissuemass with calcification ( Stippled )
consideredto be urachal adenocarcinoma until
proved otherwise.
129
Dept of Urology, GRH and KMC, Chennai.
• Usually adenocarcinomas but can also be TCC, SCC, or even
sarcomas
• C/F- bloody or mucoid discharge from umbilicus
• palpable mass after forming mucocele.
130
Dept of Urology, GRH and KMC, Chennai.
Urachaladenocarcinoma...
• Staging is different than other
UC
• Sheldon staging system
• Positive stains: CK7, CK20,
CDX2
beta-catenin –ve
• Mets to LN, lungs, Peritoneal
cavity, liver & bone
131
Dept of Urology, GRH and KMC, Chennai.
• DDx: 1. local extension of colonic or other adenocarcinoma
2. Metastatic AC
3. Villous adenoma
4. Non urachal AC of bladder with
mucinous or colloidal histology
132
Dept of Urology, GRH and KMC, Chennai.
133
Dept of Urology, GRH and KMC, Chennai.
134
Dept of Urology, GRH and KMC, Chennai.
Urachal adenocarcinoma....
135
Dept of Urology, GRH and KMC, Chennai.
• Cystoscopy: Exophytic,
• sessile mass
• Grape like,
• Papillary lesions
• fulgrated area
136
Dept of Urology, GRH and KMC, Chennai.
T/t: clinically localised/feasibl case:
• Partial cystectomy with en block resection of MUL & Umbilicus
• RT, CT( 5-FU, Cisplatin)
• Targeted therapies: sunitinib, Gafitinib Bevacizumab & cetuximab
Advance cases: radical cystectomy
• Poor prognosis, 5 yrs SR – 25-50%
137
Dept of Urology, GRH and KMC, Chennai.
138
Dept of Urology, GRH and KMC, Chennai.
SIGNET CELL CARCINOMA:
• 1/3 urachal origin and 2/3 directly extend into the bladder
• Rare variant of adenocarcinoma
• High-grade, high-stage tumors at presentation
• Poor prognosis
139
Dept of Urology, GRH and KMC, Chennai.
• Carcinoembryonic antigen (CEA)- Elevated
• The prognostic significance – unclear
• Treatment is radical cystectomy
• Survival < 20 months
140
Dept of Urology, GRH and KMC, Chennai.
141
Dept of Urology, GRH and KMC, Chennai.
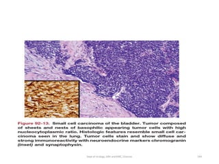
SMALLCELLCARCINOMA
• < 1% all primary bladder tumors
• Derived from neuroendocrinestem cells
or dendritic cells
• Stain +ve for Enolase
• May be mixed with elements of TCC
• Very aggressive with earlyvascular and
muscle invasion
142
Dept of Urology, GRH and KMC, Chennai.
• Small cell carcinoma of lung or prostate- Metastasized to the
bladder
Small cell carcinoma of the bladder should be considered
and treated as metastatic disease, even if there is no
radiologic evidence of disease outside the bladder.
Chemo-radiation
143
Dept of Urology, GRH and KMC, Chennai.
144
Dept of Urology, GRH and KMC, Chennai.
SARCOMA
• Leiomyosarcoma >
rhabdomyosarcoma
• M:F = 2:1, 6th decades of life ,
non- smoker
• Rhabdomyosarcoma- MC in
young children.
• Produce polyploidy lesions at
the base of the bladder,
described as botryoides
tumors
145
Dept of Urology, GRH and KMC, Chennai.
• Pelvic RT & CT (Cyclophosphamide)
• Most of sarcomas are high grade
• > 75% are confined to bladder muscle
• Gross painless hematuria
• local irritative symptoms
146
Dept of Urology, GRH and KMC, Chennai.
147
Dept of Urology, GRH and KMC, Chennai.
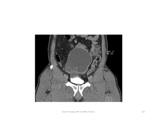
CECT abdo:(a) heterogeneousenhancingtumorin thebladder
(b) Delayed imaging showing siteof attachmentof tumorto the
domeof bladder 148
Dept of Urology, GRH and KMC, Chennai.
Cystoscopicimages:(a) Tumor(T) seeninside the bladder (UB)
(b) Narrowareaof attachmentof tumor
to bladder
149
Dept of Urology, GRH and KMC, Chennai.
• Mean size- 7cm,
• Invasive with ulcerative
surface
• necrosis in high grade
• Myxoid subtype: like
inflammatory
myofibroblastic tumor
150
Dept of Urology, GRH and KMC, Chennai.
• IHC: positive stains-
• Actin,
• h-caldesmin,
• desmin,
• vemetin
Negative stains –
EMA,
S100,
CK5/6
151
Dept of Urology, GRH and KMC, Chennai.
• DDx:
• 1. Sarcomatoid car.
2. Inflammatory myofibroblastic
tumor
• T/t: Radical cystectomy with wide margin
• CT for Mets or CT+RT before SX
• Poor prognosis
152
Dept of Urology, GRH and KMC, Chennai.
153
Dept of Urology, GRH and KMC, Chennai.
Prostatic Urethral Carcinoma
• Associatedwith urothelial Ca in 90%
of cases
• Isolatedcases only 3%
• Risk factors : CIS of the bladder neck,
h/o intravesicalCT
• Pts undergoing radical cystectomy for
UC – 40%
•
154
Dept of Urology, GRH and KMC, Chennai.
• Route of spread- Direct or pagetoid
• Diagnosis : Transurethral resection of prostatic urethra is
primary method
• Treatment : Non invasive-
• Transurethral resection of prostatic urethra + BCG
• Prostatic ductal ca- complete
transurethral prostatectomy + BCG
155
Dept of Urology, GRH and KMC, Chennai.
156
Dept of Urology, GRH and KMC, Chennai.
Pagetoid spread
• Cancer cells grow undermining the normal
surface urothelium
• Primary seen in urothelial CIS
• Can occur into the prostatic urethra & distal
ureters
157
Dept of Urology, GRH and KMC, Chennai.
• M/C after repeated doses of intravesical therapies
• Detection is very difficult, only 15% CIS
& 11% NMIBC shows this type of growth
• Biopsy should be considered
158
Dept of Urology, GRH and KMC, Chennai.
DIRECT EXTENSION
• Direct extension of tumors into deeper structure &
angiolymphatic system
• caused by genetic & epigenetic changes
• produce substance in ECM that invade these tissue
-collagenases,
motility &
growth factors,
cell adhesion molecules
• Proepithelin – critical role as autocrine growth factor
159
Dept of Urology, GRH and KMC, Chennai.
Directextension
• Others growth factors associated with UC invasion
• EGFs ,
TGFa ,
HBGF,
ILGF,
• Cell adhesion molecules: maintain cell-cell junction &
inhibition of cell growth
- E-cadherin integrins , CD-44, NCD-44
160
Dept of Urology, GRH and KMC, Chennai.
161
Dept of Urology, GRH and KMC, Chennai.
Prognosticfactors
• Tumor size
• Multiplicity
• Papillary vs Sessile configuration
• Absence/presence of Lymphovascular invasion
162
Dept of Urology, GRH and KMC, Chennai.
• Status of remaining urothelium
• Cytogenetic profile
• Stage & grade of tumor
Tumor Grade: growth potential of primary tumor/progression
Tumor stage: extent of the cancer & ability to invade/survival
163
Dept of Urology, GRH and KMC, Chennai.
•
THANK YOU
164
Dept of Urology, GRH and KMC, Chennai.

Etiopathogenesis Urinary bladder malignancy

  • 1.
    CA BLADDER : Deptof Urology Govt Royapettah Hospital and Kilpauk Medical College Chennai 1
  • 2.
    Moderators: Professors: • Prof. Dr.G. Sivasankar, M.S., M.Ch., • Prof. Dr. A. Senthilvel, M.S., M.Ch., Asst Professors: • Dr. J. Sivabalan, M.S., M.Ch., • Dr. R. Bhargavi, M.S., M.Ch., • Dr. S. Raju, M.S., M.Ch., • Dr. K. Muthurathinam, M.S., M.Ch., • Dr. D. Tamilselvan, M.S., M.Ch., • Dr. K. Senthilkumar, M.S., M.Ch. Dept of Urology, GRH and KMC, Chennai. 2
  • 3.
    • EPIDEMIOLOGY • ETIOPATHOGENESIS •CLASSIFICATION, • CLINICAL FEATURES, • HISTOPATHOLOGY OF BENIGN & MALIGNANT TUMOR 3 Dept of Urology, GRH and KMC, Chennai.
  • 4.
    EPIDEMIOLOGY 4 Dept of Urology,GRH and KMC, Chennai.
  • 5.
    5 Dept of Urology,GRH and KMC, Chennai.
  • 6.
    M>F - Moreprevalence of smoking and exposure to environmental toxins • Adolescents and young adults - develop well-differentiated non invasive, rather than invasive bladder cancer 6 Dept of Urology, GRH and KMC, Chennai.
  • 7.
    ETIOLOGY • Genetic abnormalities •External risk factors • Smoking • Nutritional factors • Fluid intake • Inflammation •Chemotherapy, Radiation. 7 Dept of Urology, GRH and KMC, Chennai.
  • 8.
    Genetic • Several polymorphisms- related & susceptibility to environmental carcinogen • N-acetyl transferase (NAT) & slow NAT-2 polymorphism is related to bladder cancer • Glutathione-S transferase (GSTM1) conjugates arylamines and nitrosamines. • The null GSTM1 and slow NAT-2 lead to high levels of 3- aminobiphenyl - higher risk of bladder cancer. 8 Dept of Urology, GRH and KMC, Chennai.
  • 9.
    N-acetyl transferase (NAT)detoxifies nitrosamines, a known bladder carcinogen. NAT-2 regulates the rate of acetylation of compounds such as caffeine, which are related to bladder cancer formation. Glutathione-S transferase (GSTM1) conjugates several reactive chemicals, including arylamines and nitrosamines. 9 Dept of Urology, GRH and KMC, Chennai.
  • 10.
    Genetic Abnormalities Protooncogenes expression- Ras, p21 Tumour suppressor gene mutation - p53, p21, p27  LOH of chromosome 9  Abnormalities of specific cell cycle regulatory proteins CABLES, k167,cyclinD 10 Dept of Urology, GRH and KMC, Chennai.
  • 11.
    External Risk Factors •Exposure of chemical Dye and Rubber industries • Primary culprits -- Aromatic amines that bind to DNA . Benzidine and β-naphthylamine , • Polycyclic aromatic hydrocarbons (PAH), diesel exhaust, and paint substances • Environmental carcinogens –by inhalation or through skin absorption 11 Dept of Urology, GRH and KMC, Chennai.
  • 12.
    12 Dept of Urology,GRH and KMC, Chennai.
  • 13.
    13 Dept of Urology,GRH and KMC, Chennai.
  • 14.
    Smoking •The intensity andduration of smoking is linearly related to the increased risk, with no clear plateau level •Black tobacco appears to be worse than blonde tobacco because of a greater amount of aromatic amines in the former •30 % Bladder Cancer associated with smoking •Risk correlates with number, duration, degree of inhalation 14 Dept of Urology, GRH and KMC, Chennai.
  • 15.
    Nutritional Factors • Moderatelyhigher in coffee and tea drinkers • Mediterranean diet -- Lowest urothelial cancer risk • Fruits and vegetables— Polyphenols,& antioxidants, are important in detoxification. Can prevent DNA adduct formation and oxidative damage • Micronutrients & antioxidants Vitamins A, C and E; selenium and zinc 15 Dept of Urology, GRH and KMC, Chennai.
  • 16.
    Inflammation • Chronic infectionwith Schistosoma hematobium leads to formation of Squamous cell carcinoma • Chronic indwelling catheter , stones, and infections • Chronic urinary tract infections Escherichia coli and Pseudomonas 16 Dept of Urology, GRH and KMC, Chennai.
  • 17.
    Chemotherapy • Related tothe duration and intensity of cyclophosphamide Mutagenic metabolic – Phosphoramide mustard . • Up to ninefold increased risk • High grade, muscle infiltrating, younger, equal in both sexes • Latency period = 6 to 13 years • Uro protectant - MESNA (2-Mercaptoethanesulfonic acid) 17 Dept of Urology, GRH and KMC, Chennai.
  • 18.
    18 Dept of Urology,GRH and KMC, Chennai.
  • 19.
    19 Dept of Urology,GRH and KMC, Chennai.
  • 20.
    • Radiation Increased riskin patients with prostate or cervical cancer treated with RT • Heredity First-degree relatives -- twofold increased risk 20 Dept of Urology, GRH and KMC, Chennai.
  • 21.
    • Fluid Intake Increasedfluid intake  Decrease the concentration of potential carcinogens  Decrease the risk of bladder cancer Consumers of artificial sweeteners, alcohol intake, phenacetin - No evidence of Risk • BMI-Causes hyperinsulimia –increases-growth factors • Pioglitazone –increses cancer risk 21 Dept of Urology, GRH and KMC, Chennai.
  • 22.
    22 Dept of Urology,GRH and KMC, Chennai.
  • 23.
    PATHOPHYSIOLOGY  Urothelium 3-7layers thick  BM  Lamina propria - muscularis mucosa, blood vessels, lymphatic, nerves  Muscularis propria- inner longitudinal, middle circular, and outer longitudinal  Serosa 23 Dept of Urology, GRH and KMC, Chennai.
  • 24.
    24 Dept of Urology,GRH and KMC, Chennai.
  • 25.
    Term usingfor....  Hyperplasia:-increase in no of cell layers without nuclear or cellular abnormalities.  Atypical hyperplasia: -Increase in no of cells with nuclear or cellular changes  Metaplasia: - change in epithelium with squamous or adenomatous development. Mild to moderate nuclear & cellular atypia  Dysplasia: abnormal histology or anatomical structure -Epithelial changes that are intermediate between normal urothelium and CIS (severe dysplasia) - Isolated dysplasia – 19% CIS & 15% TCC - Dysplasia with previoush/o UC – 60% CIS 25 Dept of Urology, GRH and KMC, Chennai.
  • 26.
    Pathogenesis of urothelialcancer formation 26 Dept of Urology, GRH and KMC, Chennai.
  • 27.
    27 Dept of Urology,GRH and KMC, Chennai.
  • 28.
    Pathogenesis of urothelialcancer formation • Somatic mutations - more common than germline mutations • Accumulation of the genetic event - phenotypic changes results unregulated cell growth and invasion 28 Dept of Urology, GRH and KMC, Chennai.
  • 29.
    • Lowgrade papillarytumors - genomic stability allows tumor recurrence • Genetic alterations - fibroblast growth factor receptor–3 , deletions of 9p and 9q. • High-grade papillary cancer and CIS - unstable genomes Genetic alteration - HRAS, FGFR, 5q-, 6q-, 7q+ 29 Dept of Urology, GRH and KMC, Chennai.
  • 30.
    CLASSIFICATION • WHO 1973– G1/G2/G3, based on degree of cellular & architectural atypia • WHO/ISUP 1998 – introduction of term PUNLMP define Papilloma, PUNLMP, CaLG, CaHG 30 Dept of Urology, GRH and KMC, Chennai.
  • 31.
    • WHO 2004– introduction of low grade & high grade PUC PUNLMP term adopted by WHO clear Histological features of UC & dec. the diagnostic subjectivity of the WHO 1973 scheme • WHO 2004/2016 – Division of pT1 tumors into LG & HG - further differentiate Non-invasive LG & HG papillary car. from Invasive urothelial carcinoma 31 Dept of Urology, GRH and KMC, Chennai.
  • 32.
    32 Dept of Urology,GRH and KMC, Chennai.
  • 33.
    33 Dept of Urology,GRH and KMC, Chennai.
  • 34.
    classifications & percentage 34 Deptof Urology, GRH and KMC, Chennai.
  • 35.
    35 Dept of Urology,GRH and KMC, Chennai.
  • 36.
    36 Dept of Urology,GRH and KMC, Chennai.
  • 37.
    37 Dept of Urology,GRH and KMC, Chennai.
  • 38.
    38 Dept of Urology,GRH and KMC, Chennai.
  • 39.
    Histology  Non–muscle-invasive bladdercancer (NMIBC) includes –  Papillary urothelial neoplasia of low malignant potential (PUNLMP),  Low- and high-grade urothelial cancer  CIS ( carcinoma in situ) previously been called “superficial bladder cancer 39 Dept of Urology, GRH and KMC, Chennai.
  • 40.
    40 Dept of Urology,GRH and KMC, Chennai.
  • 41.
    EPIDEMIOLOGY • 9th mostcommon cancer world wide • Cancer of environment and advancing age • Peak Incidence - 8th decade of life • Strong association with environmental toxins 41 Dept of Urology, GRH and KMC, Chennai.
  • 42.
    Papillary urothelial neoplasiaof low- malignant potential (PUNLMP) • Papillary growth with minimal cytological atypia more than seven cells thick • Solitary and located on the trigone 42 Dept of Urology, GRH and KMC, Chennai.
  • 43.
    PUNLMP • Composed ofthin papillary stalks • Polarity of the cells is maintained • Nuclei are minimally enlarged. • Low proliferation, non invasive, non metastatic 43 Dept of Urology, GRH and KMC, Chennai.
  • 44.
    PUNLMP 44 Dept of Urology,GRH and KMC, Chennai.
  • 45.
    HGPUC • Fused papillarystalks with high-grade cancer in the urothelial layer. • Disordered growth pattern, numerous mitotic figures pleomorphic cells with exaggerated nuclei. • Over 80% of high-grade cancers will invade the underlying stroma 45 Dept of Urology, GRH and KMC, Chennai.
  • 46.
    HGPUC 46 Dept of Urology,GRH and KMC, Chennai.
  • 47.
    47 Dept of Urology,GRH and KMC, Chennai.
  • 48.
    Tumor suppressor genes Lowgrade papillry CIS and muscle invasive High grade papillary and Muscle invasive TP53 mutations (17p13) Uncommon Hallmark- 60% Hallmark- >50% PTEN (10q23) Rare Hallmark Hallmark- 30-35% RB gene (13q14) Rare Hallmark Hallmark-37% Deletions of Ch regions 9P16, 9p21 Hallmark Absent in pure CIS 70-80% Loss of heterozygosity (LOH) of Ch 9 >50% Rare Rare 48 Dept of Urology, GRH and KMC, Chennai.
  • 49.
    proto oncogenes Low grade papillry CISand muscle invasive High grade papillary and Muscle invasive Alterations in the fibroblast growth factor receptor–3 (FGFR-3) - 4p16 Hallmark-75% Infrequent-20% Common Deletions -9p14, 9q11-13, 9q33-34 Hallmark Absent in pure CIS 70-80% H RAS mutations- (11p15) 15% 10-15% 10-15% Point mutations in PIK3CA (3q26) 16% Rare Rare Over expression of C-Erb B2 (7q) Uncommon 10-14% 10-14% 49 Dept of Urology, GRH and KMC, Chennai.
  • 50.
    BENIGN LESIONS/ TUMORSOF THE BLADDER • EPITHELIAL METAPLASIA • LEUKOPLAKIA • INVERTED PAPILLOMA • PAPILLOMA • NEPHROGENIC ADENOMA • CYSTITIS CYSTICA AND GLANDULARIS • LEIOMYOMA 50 Dept of Urology, GRH and KMC, Chennai.
  • 51.
    EpithelialMetaplasia • Focal areaof transformed urothelium surrounded by normal urothelium • Normal cellular & nuclear architecture • Location- trigone Composed of squamous (Squ.metaplasia) or glandular (glan Metap. ) 51 Dept of Urology, GRH and KMC, Chennai.
  • 52.
    ON CYSTOSCOPY- knobbyapp.covered by white flaky, easily disrupted & lying on the trigone Glandular Metaplasia appears as clumpy, raised, reddish area that look like inflammatory, often confused for cancer Approx 40% female 5% male have Squ. Metaplasia of the bladder Biopsy & t/t not required. 52 Dept of Urology, GRH and KMC, Chennai.
  • 53.
    Leukoplakia • Similar toSqu. Metaplasia with the addition of • Keratin deposition that appears as a white flaky substance floating in the bladder • Benign lesion, 53 Dept of Urology, GRH and KMC, Chennai.
  • 54.
    54 Dept of Urology,GRH and KMC, Chennai.
  • 55.
    • Symptoms- vesicalirritation & passage of flakes • Premalignant • Careful cystoscopic assessment & biopsy • May require resection. 55 Dept of Urology, GRH and KMC, Chennai.
  • 56.
    A. Epithelial metaplasiaB. Leukoplakia 56 Dept of Urology, GRH and KMC, Chennai.
  • 57.
    Benign proliferative lesions InvertedPapilloma • Associated with -Chronic inflammation -Bladder outlet obstruction. • Located throughout the bladder -Most common – Trigone -Less than 1% of all bladder tumors 57 Dept of Urology, GRH and KMC, Chennai.
  • 58.
    • Present withnon-specific hematuria or irritative voiding symptoms • May be asso. with urothelial cancer or malignant changes • Recurrence – 1% 58 Dept of Urology, GRH and KMC, Chennai.
  • 59.
    InvertedPapilloma...... • Gross: - usuallysmooth, solitary, polypoid, sessile or pedunculated - Usually < 3 cm - multiple lesions – 1.5 to 4.5% • Microscopic ( Histologic ) - smooth surface & base with minimal to absent exophytic components - no/minimal cytologic atypia 59 Dept of Urology, GRH and KMC, Chennai.
  • 60.
    • DDx: - Urothelialcancer with inverted growth pattern - Papillary urothelial neoplasm of LMP • FISH – differentiate b/w benign & malignant • Treatment - Transurethral resection 60 Dept of Urology, GRH and KMC, Chennai.
  • 61.
    Inverted Papilloma..... • Twomain subtypes: 1. Trabecular subtype ( classic type) - irregular, downward growth - consisting of cords & trabeculae as a sheets arising from the urothelial layer growing into the lamina propria 2. Glandular subtype - morphologically overlap with Cystitis cystica 61 Dept of Urology, GRH and KMC, Chennai.
  • 62.
    62 Dept of Urology,GRH and KMC, Chennai.
  • 63.
    1. Inverted growthpattern of papillary 2. Inverted growth pattern of lining cells fronds of typical inverted Papilloma with central streaming & peripheral composedof intact surface of bladder palisading without any atypia and urothelium. ( H&E ; X10 ) mitosis. ( H&E ; x40 ) 63 Dept of Urology, GRH and KMC, Chennai.
  • 64.
    Papilloma • Discrete Papillarygrowth with a central fibrovascular core lined by normal urothelium • Small, single, exophytic lesion • Younger pts ( mean age- 46yrs) 64 Dept of Urology, GRH and KMC, Chennai.
  • 65.
    Posterior or lateralwall (close to UO) R/F similar to urothelial cancer C/F- asymptomatic, Hematuria Benign behaviour, may recur but not progress or invade the bladder T/t – TUR of lesions 65 Dept of Urology, GRH and KMC, Chennai.
  • 66.
    Papilloma..... • Gross: - Soft,pink, small isolated growth with discrete papillary structure - Usually pedunculated, mean 3 mm • Microscopic(Histologic): - Discrete Papillary fronds, minimal branching & fusion, benign cells - Papillae appear to float above urothelial surface - Papillae usually small with scant stroma & slender fibrovascular cores - Lined by normal urothelium with prominent umbrella cells 66 Dept of Urology, GRH and KMC, Chennai.
  • 67.
    • Molecular/cytogenetic discription: -Negative stain – p53 & RB . Positive stain – CK-20 - Diploid , 75% cases are FGFR3 mutations 67 Dept of Urology, GRH and KMC, Chennai.
  • 68.
    DDX:PUNLMP: it hasa thicker cell layer, large nuclei with occasional mitotic figures, recurrence- 20-30% 68 Dept of Urology, GRH and KMC, Chennai.
  • 69.
    Nephrogenic Adenoma • Chronicirrigation of the urothelium - Trauma - Previous surgery - Renal transplantation - Intravesical chemotherapy - Stones, catheters & infection - Immunosuppression • Associated with inflammation 69 Dept of Urology, GRH and KMC, Chennai.
  • 70.
    Nephrogenic Adenoma...... • Usuallyadults, • more common at bladder neck, 15% prostatic urethra • In renal transplant recipients, derived from exfoliated & implanted renal tubular cells in the bladder • In other pts, appear to be metaplastic and not a neoplasm • Involve mucosa & submucosa 70 Dept of Urology, GRH and KMC, Chennai.
  • 71.
    Clinical features: • Grosshematuria, irritative voiding symptoms • Valvety app on cystoscopy, often mistaken for papillary urothelial car. • Benign, no malignant transformation 71 Dept of Urology, GRH and KMC, Chennai.
  • 72.
    Neohrogenic adenoma..... • Gross: -Polypoid, sessile or Papillary, 20% multiple • Microscopic (Histologic): - small hollow tubules, on EM – similar to PCT - usually lined by single layer of Cuboidal or Hobnail cells - clear or eosinophilic cytoplasm, small nuclei, no prominent nucleoli 72 Dept of Urology, GRH and KMC, Chennai.
  • 73.
    73 Dept of Urology,GRH and KMC, Chennai.
  • 74.
    IHC: Positive stains –PAX-2, PAX-8 Negativestains – p16 CK-7 & CK-20 S100 PAS+, A1+ CD10 74 Dept of Urology, GRH and KMC, Chennai.
  • 75.
    • DDx 1. Papillaryurothelial car. multilayered, atypia, p16+ 2. Prostatic carcinoma : prostatic urethra may resemble & similar express AMACR+, but NA is PSA & PSAP –ve more atypia in PC 3. Urothelial car. Nested variant - cystic degeneration of nests, - multilayered, marked atypia - 75 Dept of Urology, GRH and KMC, Chennai.
  • 76.
    Cystitis Cystica &Glandularis UreteritisCystica • Common incidental finding in bladder specimens • Reactive urothelial changes 76 Dept of Urology, GRH and KMC, Chennai.
  • 77.
    • chronic Cystitis, •Bladder extrophy, • ureteral implantation, • neurogenic bladder or • any cause of mucosal irritation 77 Dept of Urology, GRH and KMC, Chennai.
  • 78.
    Term using.... 1. Brunnnests : invagination from the overlying urothelium into lamina propria. 2. Cystitis Cystica: when Brunn nests become cystically dilated ( with or without eosinophilic secretions in the lumen) . 3. Cystitis Glandularis: when the urothelial cell nests show central cyst or lumen lined by columnar/ Cuboidal epithelium. 78 Dept of Urology, GRH and KMC, Chennai.
  • 79.
    Cystitis Cystica& Glandularis HPimage:all threepattern 79 Dept of Urology, GRH and KMC, Chennai.
  • 80.
    HPspecimen: (a)CystitisCystica. (b)cystitisGlandularis 80 Dept of Urology, GRH and KMC, Chennai.
  • 81.
    Cystitis Cystica& Glandularis.... •C/F – incidental finding in biopsies , - on cystoscopy – may present as papillary or polypoid mass - usually asymptomatic, recurrent UTI 81 Dept of Urology, GRH and KMC, Chennai.
  • 82.
    Histological two types; 1. Usual type – more common, express membranous beta-catenin 2. intestinal type – also called intestinal metaplasia - presence of goblet & mucin cells - express nuclear beta-catenin - risk of adenocarcinoma more Both type involved only lamina propria 82 Dept of Urology, GRH and KMC, Chennai.
  • 83.
    • usual type– CK7+ , CDX2 & CK-20 –ve Intestinal type – CDX2 & CK-20 + ve • D/D-ADENOCARCINOMA • ENDOCERVICOSIS 83 Dept of Urology, GRH and KMC, Chennai.
  • 84.
    • Treatment: removalof source of infection/injury long term antibiotics therapy Surgical options reserved when conservative Mx not respond. 84 Dept of Urology, GRH and KMC, Chennai.
  • 85.
    HP specimens: CystitisGlandularis(usualtype) 85 Dept of Urology, GRH and KMC, Chennai.
  • 86.
    86 Dept of Urology,GRH and KMC, Chennai.
  • 87.
    LEIOMYOMA • Rare benignMesenchymal tumor • Till now, only 250 cases are reported • Similar incidence in male and female 87 Dept of Urology, GRH and KMC, Chennai.
  • 88.
    Leiomyoma • Etiology isstill unknown, but may be related to - chromosomal alteration - hormonal disturbance - Repeated bladder wall & detrusor infection - perivascular inflammation 88 Dept of Urology, GRH and KMC, Chennai.
  • 89.
    • Based onlocation – 3 type 1. Endovesical - (65-85% ) 2. Intramural - ( 3-7% ) 3. Extravesical - ( 10-30% ) 89 Dept of Urology, GRH and KMC, Chennai.
  • 90.
    Histopathologicalspecimens: (A) Proliferation ofspindle shaped cells, Eosinophilic cytoplasm on H & E stain, No evidence of mitotic changes or atypia (B) Stain negatively for Ki-67 (C) Positive SMs staining for Actin 90 Dept of Urology, GRH and KMC, Chennai.
  • 91.
    Clinical presentation (30%) •Obst. voiding symptoms (49%)- • Irrit. Voiding symptoms (38%) • Flank pain (13%) • Hematuria (11% ) 91 Dept of Urology, GRH and KMC, Chennai.
  • 92.
    • Best imagingfor diagnosis – MRI & cystoscopic biopsy • Treatment : Endovesical – TURBT Intramural & Extravesical – wide excision/partial cystectomy open/laparoscopic 92 Dept of Urology, GRH and KMC, Chennai.
  • 93.
    On USG: Smoothwall,Homogeneous, hypoechoic, solid mass with echogenic surface On CT(P):Hypodense mass, CT(c): Moderately enhancingmass 93 Dept of Urology, GRH and KMC, Chennai.
  • 94.
    Carcinomain situ(CIS)  Flat,high grade , non- invasive urothelial cancer  surface epithelium contains cancer cells • Spread – Distal ureters and prostatic urethra on the surface or in a pagetoid manner 94 Dept of Urology, GRH and KMC, Chennai.
  • 95.
    • Urine cytology- 80- 90 % positive • 40 - 83% progress to muscle-invasive cancer • Endoscopically, - reddish with heaped-up mucosa can be mistaken for inflammatory changes or radiation cystitis. 95 Dept of Urology, GRH and KMC, Chennai.
  • 96.
    96 Dept of Urology,GRH and KMC, Chennai.
  • 97.
    Classificationof CIS intoclinicaltypes: •Primary : isolated CIS with no previous or concurrent Papillary tumors or previous CIS • Secondary : CIS detected during follow-up of pts with a previous tumor that was not a CIS • Concurrent : CIS in the presence of any other urothelial tumors in the bladder 97 Dept of Urology, GRH and KMC, Chennai.
  • 98.
    • Muscle invasive •Histology: • Invading urothelium shows irregular nests, single cell infiltration or tentacular finger-like projections • Stromal response -desmoplasia, -retraction or -inflammation. 98 Dept of Urology, GRH and KMC, Chennai.
  • 99.
    99 Dept of Urology,GRH and KMC, Chennai.
  • 100.
    • Assess levelof invasion for staging . • Presence and status of involvement of muscularis propria should be reported in TURBT specimen for adequate staging. 100 Dept of Urology, GRH and KMC, Chennai.
  • 101.
    HISTOLOGICVARIANTS OF UROTHELIALCARCINOMA • Nested pattern • Small tubular pattern • Microcytic pattern • Inverted pattern • With squamous differentiation • With glandular differentiation • Micro papillary • Sarcomatoid • Clear cell • With syncitiotrophoblasts • With unusual stromal reaction 101 Dept of Urology, GRH and KMC, Chennai.
  • 102.
    NESTEDVARIANTOFUROTHELIALCARCINOMA • Rarebut aggressivecancer • male-to-female ratio of 6 : 1 • confused with benign lesions - von Brunn nests that are in the lamina propria, - cystitis cystica, -inverted papillomas. littlenuclear atypia in the nested variant of urothelial carcinoma 102 Dept of Urology, GRH and KMC, Chennai.
  • 103.
    Nested variant • Tumorcells will often contain areas with large nuclei and mitotic figures 103 Dept of Urology, GRH and KMC, Chennai.
  • 104.
    CLEAR CELLVARIANTOFUROTHELIAL CARCINOMA •70% -will have foci of clear cells within the tumor. • glycogen-rich vacuoles and may be confused with metastatic clear cell carcinoma of the kidney. Clear cell variant does not a significantly worse prognosis for urothelial cancers 104 Dept of Urology, GRH and KMC, Chennai.
  • 105.
    105 Dept of Urology,GRH and KMC, Chennai.
  • 106.
    GLANDULAROR ADENOCARCINOMA DIFFERENTIATION •Mixed tumor differentiation is m/c with squamous cell cancer, • only 6% of urothelial cancer cases. Diffi- two glandular spaces within the tumor • Mucin production can occur, and tumor cells seem to be floating in the mucin. 106 Dept of Urology, GRH and KMC, Chennai.
  • 107.
    PLASMACYTOIDTUMOR Recognized by theWHO classification system since 2004 • Urothelial tumor cells look like plasma cells due to abundant eosinophilic cytoplasmhe ecentric nuclei & indistinct nucleoli. • Invade the bladder wall and perivesical adipose tissue & abdominal cavity at the time of diagnosis. 107 Dept of Urology, GRH and KMC, Chennai.
  • 108.
    • diagnosed atan advanced stage, 64% T3 & 23% T4, 60% metastasis. • Positive stains: CK, CD138 • Negative stains: plasma cells & lymphocytes marker • Delation of 9p21, p53 mutation in 30% • Onset of hematuria is delayed – • sessile and non-papillary tumor growth pattern. 108 Dept of Urology, GRH and KMC, Chennai.
  • 109.
    109 Dept of Urology,GRH and KMC, Chennai.
  • 110.
    MICROPAPILLARY • Incidence- 0.7-2.2% •M:F - 10:1 • occurs at older age – 65 yrs • Present at advanced stage, • Edematous stroma with chronic inflammatory infiltrate • Associated with conventional urothelial ca in 80% 110 Dept of Urology, GRH and KMC, Chennai.
  • 111.
    • Histology- Smallnests & papillae with surrounding retraction spaces, similar to papillary serous ca of ovary ( no psammoma bodies) • Angiolymphatic invasion is common • High progression from Non-muscle invasive -Muscle invasive - Metastatic 111 Dept of Urology, GRH and KMC, Chennai.
  • 112.
    HP image:Micropapillary(U)& UsualUC(L) •Positive stains: CK7, CK20, variable HER2 & CA-125 DDx: papillary car. Of ovary papillary nephrogenic adenoma invasive UC with stromal retraction 112 Dept of Urology, GRH and KMC, Chennai.
  • 113.
    NONUROTHELIAL MALIGNANCY •Sarcoma •Signet ringcell ca •Small cell ca •Sq cell ca •Prostatic urethral ca •adenocarcinoma 113 Dept of Urology, GRH and KMC, Chennai.
  • 114.
    Squamouscell carcinoma • Riskfactor for bladder SCC - Smoking - Stones/FBs - Schistosomiasis haematobium - Chronic UTIs - Chronic indwelling catheter 114 Dept of Urology, GRH and KMC, Chennai.
  • 115.
    - BCG - Diverticula(bladder) - Trauma - prolonged cyclophosphamide- 115 Dept of Urology, GRH and KMC, Chennai.
  • 116.
    116 Dept of Urology,GRH and KMC, Chennai.
  • 117.
    SquamousCell Carcinoma • Histologicaltypes: Usual type, • Verrucous, • Variant, • Basaloid with sarcomatoid features 117 Dept of Urology, GRH and KMC, Chennai.
  • 118.
    Mechanism may bedue to 1.Increased proliferation rate 2.Chronic inflammation and exposure to environmental agent – Generate: N-butyle N-Nitrosomaine  Chronic infection converts nitrates – nitrites - nitrosamines 118 Dept of Urology, GRH and KMC, Chennai.
  • 119.
    119 Dept of Urology,GRH and KMC, Chennai.
  • 120.
    • Large ulcerated,necrotic • 80% involved muscular wall at diagnosis • Squ. Metaplasia up to 60% 120 Dept of Urology, GRH and KMC, Chennai.
  • 121.
    • LN metastasis-10-27% • Metastasis to bone & lung • Positive stains: CK5/6( 77%) CK5/14 (96%) • Negative stains: CK-20 & Uroplakin III • Grading is not reproducible 121 Dept of Urology, GRH and KMC, Chennai.
  • 122.
    Adenocarcinoma • Risk factorsfor adenocarcinoma of the bladder - Urachal cyst/remnant, - Cystitis glandularis, - CIS, - Chronic inflammation, - Ureterosigmoidostomy, - Bladder augmentation - Exstrophy of bladder. 122 Dept of Urology, GRH and KMC, Chennai.
  • 123.
    ADENOCARCINOMA • <2% ofprimary bladder cancers • Majority represent Mets from GI tract, breast, lung , colon primary • Usually arise in trigoneor in dome (urachal) 123 Dept of Urology, GRH and KMC, Chennai.
  • 124.
    • M/C –Exstrophy & associated with pelvic lipomatosis Develop in response - • chronic inflammation • irritation 124 Dept of Urology, GRH and KMC, Chennai.
  • 125.
    125 Dept of Urology,GRH and KMC, Chennai.
  • 126.
    • Classifications ofadenocarcinomas of the GU tract • 1) primary vesical • 2) urachal • 3) metastatic 126 Dept of Urology, GRH and KMC, Chennai.
  • 127.
    • Most arepoorly differentiated and invasive • More often associated with cystitis glandularis than CIS • Glandular components predominant, resemble colonic CA • Poor prognosis due to advanced stage at presentation. • Positive stains: CK7, CK20, CEA, EMA, Villin, membranous beta-catenin • Negative stains: vimetin, Uroplakin III, nuclear beta-catenin 127 Dept of Urology, GRH and KMC, Chennai.
  • 128.
    URACHAL ADENOCARCINOMA • Locatedat the dome of the bladder • 90% of masses occur close to the bladder 128 Dept of Urology, GRH and KMC, Chennai.
  • 129.
    • Midline, • infraumbilical, •soft-tissuemass with calcification ( Stippled ) consideredto be urachal adenocarcinoma until proved otherwise. 129 Dept of Urology, GRH and KMC, Chennai.
  • 130.
    • Usually adenocarcinomasbut can also be TCC, SCC, or even sarcomas • C/F- bloody or mucoid discharge from umbilicus • palpable mass after forming mucocele. 130 Dept of Urology, GRH and KMC, Chennai.
  • 131.
    Urachaladenocarcinoma... • Staging isdifferent than other UC • Sheldon staging system • Positive stains: CK7, CK20, CDX2 beta-catenin –ve • Mets to LN, lungs, Peritoneal cavity, liver & bone 131 Dept of Urology, GRH and KMC, Chennai.
  • 132.
    • DDx: 1.local extension of colonic or other adenocarcinoma 2. Metastatic AC 3. Villous adenoma 4. Non urachal AC of bladder with mucinous or colloidal histology 132 Dept of Urology, GRH and KMC, Chennai.
  • 133.
    133 Dept of Urology,GRH and KMC, Chennai.
  • 134.
    134 Dept of Urology,GRH and KMC, Chennai.
  • 135.
    Urachal adenocarcinoma.... 135 Dept ofUrology, GRH and KMC, Chennai.
  • 136.
    • Cystoscopy: Exophytic, •sessile mass • Grape like, • Papillary lesions • fulgrated area 136 Dept of Urology, GRH and KMC, Chennai.
  • 137.
    T/t: clinically localised/feasiblcase: • Partial cystectomy with en block resection of MUL & Umbilicus • RT, CT( 5-FU, Cisplatin) • Targeted therapies: sunitinib, Gafitinib Bevacizumab & cetuximab Advance cases: radical cystectomy • Poor prognosis, 5 yrs SR – 25-50% 137 Dept of Urology, GRH and KMC, Chennai.
  • 138.
    138 Dept of Urology,GRH and KMC, Chennai.
  • 139.
    SIGNET CELL CARCINOMA: •1/3 urachal origin and 2/3 directly extend into the bladder • Rare variant of adenocarcinoma • High-grade, high-stage tumors at presentation • Poor prognosis 139 Dept of Urology, GRH and KMC, Chennai.
  • 140.
    • Carcinoembryonic antigen(CEA)- Elevated • The prognostic significance – unclear • Treatment is radical cystectomy • Survival < 20 months 140 Dept of Urology, GRH and KMC, Chennai.
  • 141.
    141 Dept of Urology,GRH and KMC, Chennai.
  • 142.
    SMALLCELLCARCINOMA • < 1%all primary bladder tumors • Derived from neuroendocrinestem cells or dendritic cells • Stain +ve for Enolase • May be mixed with elements of TCC • Very aggressive with earlyvascular and muscle invasion 142 Dept of Urology, GRH and KMC, Chennai.
  • 143.
    • Small cellcarcinoma of lung or prostate- Metastasized to the bladder Small cell carcinoma of the bladder should be considered and treated as metastatic disease, even if there is no radiologic evidence of disease outside the bladder. Chemo-radiation 143 Dept of Urology, GRH and KMC, Chennai.
  • 144.
    144 Dept of Urology,GRH and KMC, Chennai.
  • 145.
    SARCOMA • Leiomyosarcoma > rhabdomyosarcoma •M:F = 2:1, 6th decades of life , non- smoker • Rhabdomyosarcoma- MC in young children. • Produce polyploidy lesions at the base of the bladder, described as botryoides tumors 145 Dept of Urology, GRH and KMC, Chennai.
  • 146.
    • Pelvic RT& CT (Cyclophosphamide) • Most of sarcomas are high grade • > 75% are confined to bladder muscle • Gross painless hematuria • local irritative symptoms 146 Dept of Urology, GRH and KMC, Chennai.
  • 147.
    147 Dept of Urology,GRH and KMC, Chennai.
  • 148.
    CECT abdo:(a) heterogeneousenhancingtumorinthebladder (b) Delayed imaging showing siteof attachmentof tumorto the domeof bladder 148 Dept of Urology, GRH and KMC, Chennai.
  • 149.
    Cystoscopicimages:(a) Tumor(T) seeninsidethe bladder (UB) (b) Narrowareaof attachmentof tumor to bladder 149 Dept of Urology, GRH and KMC, Chennai.
  • 150.
    • Mean size-7cm, • Invasive with ulcerative surface • necrosis in high grade • Myxoid subtype: like inflammatory myofibroblastic tumor 150 Dept of Urology, GRH and KMC, Chennai.
  • 151.
    • IHC: positivestains- • Actin, • h-caldesmin, • desmin, • vemetin Negative stains – EMA, S100, CK5/6 151 Dept of Urology, GRH and KMC, Chennai.
  • 152.
    • DDx: • 1.Sarcomatoid car. 2. Inflammatory myofibroblastic tumor • T/t: Radical cystectomy with wide margin • CT for Mets or CT+RT before SX • Poor prognosis 152 Dept of Urology, GRH and KMC, Chennai.
  • 153.
    153 Dept of Urology,GRH and KMC, Chennai.
  • 154.
    Prostatic Urethral Carcinoma •Associatedwith urothelial Ca in 90% of cases • Isolatedcases only 3% • Risk factors : CIS of the bladder neck, h/o intravesicalCT • Pts undergoing radical cystectomy for UC – 40% • 154 Dept of Urology, GRH and KMC, Chennai.
  • 155.
    • Route ofspread- Direct or pagetoid • Diagnosis : Transurethral resection of prostatic urethra is primary method • Treatment : Non invasive- • Transurethral resection of prostatic urethra + BCG • Prostatic ductal ca- complete transurethral prostatectomy + BCG 155 Dept of Urology, GRH and KMC, Chennai.
  • 156.
    156 Dept of Urology,GRH and KMC, Chennai.
  • 157.
    Pagetoid spread • Cancercells grow undermining the normal surface urothelium • Primary seen in urothelial CIS • Can occur into the prostatic urethra & distal ureters 157 Dept of Urology, GRH and KMC, Chennai.
  • 158.
    • M/C afterrepeated doses of intravesical therapies • Detection is very difficult, only 15% CIS & 11% NMIBC shows this type of growth • Biopsy should be considered 158 Dept of Urology, GRH and KMC, Chennai.
  • 159.
    DIRECT EXTENSION • Directextension of tumors into deeper structure & angiolymphatic system • caused by genetic & epigenetic changes • produce substance in ECM that invade these tissue -collagenases, motility & growth factors, cell adhesion molecules • Proepithelin – critical role as autocrine growth factor 159 Dept of Urology, GRH and KMC, Chennai.
  • 160.
    Directextension • Others growthfactors associated with UC invasion • EGFs , TGFa , HBGF, ILGF, • Cell adhesion molecules: maintain cell-cell junction & inhibition of cell growth - E-cadherin integrins , CD-44, NCD-44 160 Dept of Urology, GRH and KMC, Chennai.
  • 161.
    161 Dept of Urology,GRH and KMC, Chennai.
  • 162.
    Prognosticfactors • Tumor size •Multiplicity • Papillary vs Sessile configuration • Absence/presence of Lymphovascular invasion 162 Dept of Urology, GRH and KMC, Chennai.
  • 163.
    • Status ofremaining urothelium • Cytogenetic profile • Stage & grade of tumor Tumor Grade: growth potential of primary tumor/progression Tumor stage: extent of the cancer & ability to invade/survival 163 Dept of Urology, GRH and KMC, Chennai.
  • 164.
    • THANK YOU 164 Dept ofUrology, GRH and KMC, Chennai.