Endometriosis
By…
Lena Gowharji
Endometriosis
• Definition: Benign condition in which
(hormone dependant) endometrial glands
and stroma are present outside the
uterine cavity and wall.
• Its’ importance is due to its
1- Distressing symptomatology
2- Association with infertility
3- Invasive potential (adjacent organs)
4- Difficulty in being diagnosed
• Incidence:
*Its estimated that 5-15% of women have
some degree of the disease.
*1/3 of women with chronic pelvic pain have
visualized endometriosis.
*Its been noted in 5-15% of women
undergoing gynaecological laparotomies (an
unexpected finding in 50% of these cases).
• Age: It classically presents in nulliparous
infertile women in their 30s.
• However, it may occur at earlier ages
(childhood and adolescents) and in such
cases its associated with obstructive genital
anomalies.
• Following menopause, it regresses unless
estrogen is prescribed. 5% of new cases
develop in that age group.
• Pathogenesis: is not fully understood
However
1- genetic predisposition
2- immunological changes
have been reported to clearly play a role.
• Several hypotheses have been used to
explain the various manifestations of the
disease and its various locations
1- The Retrograde menstruation theory
2- The Mullarian metaplasia theory
3- The lymphatic spread theory
4- The hematogenous spread theory
1- The retrograde menstruation
theory of Sampson: proposes that
endometrial fragments that are shed
during menstruation are transported
through the fallopian tubes, then
becoming implanted and growing in
various intra-abdominal sites. (These
endometrial fragments are viable and
capable of growing in vivo and in
vitro)
2- The mullarian metaplasia theory of Meyer:
proposes that endometriosis results from the
metaplastic transformation of peritoneal mesothelium
to endometrium under the influence of certain
unidentified stimuli.
3- The lymphatic spread theory of Halban: suggests
that the lymphatics draining the uterus transport
endometrial tissue to various pelvic site where it
grows ectopically.
*Endometrial tissue has been found in up to 20% of
patients with the disease
4- The haematogenous spread theory: explains the
presence of endometrial tissue in distant sites (lung,
axilla and forehead)
• Why don’t all menstruating women
develop endometriosis?
*It has be found that the amount of exposure to
retrograde menstruation and the woman’s
immunological response are most critical.
*Researchers have found differences in the
chemical composition and biological pathways
of the endometrial cells in women who have
endometriosis in comparison to those who
don’t.
They have also found a difference in the
inflammatory mediators and growth factors in
the peritoneal fluid of those with endometriosis
in comparison to those without.
• Sites of occurrence:
* Most commonly found in the dependant portions of
the pelvis
1- Ovaries (2 out of 3 women with endometriosis)
2- Broad ligament
3- Peritoneal surfaces of the cul-de-sac
(uterosacral ligaments and post. Cervix)
4- Rectovaginal septum
* Quite frequently is the recto-sigmoid colon, appendix,
and vesicouterine fold of the peritoneum involved.
* Laparotomy scars esp. after c section or
myomectomy or after the uterine cavity has been
entered.
• Pathology:
* The islands of endometriosis are sensitive to
ovarian hormones.
*Estrogen proliferation
*Regression of corpus luteum and removal of
estrogen and progesterone causes them to
slough.
*These sloughed debris induce a profound
inflammatory response that causes significant
pain and long term fibrosis.
• Macroscopical appearance:
Depends on: site, size, time since
implantation and day of the menstrual cycle.
Colour is a good indicator and is determined
by the vascularity of the lesion, the presence
of fibrosis, the size of the lesion and the
presence of residual sloughed material.
It varies from red, brown, black, white-yellow.
*Newer implants: red, blood filled active
lesions
*Older lesions: scarred with a puckered
appearance.
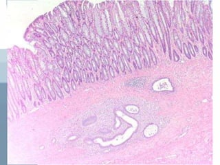
• Microscopically: 2 out of 4 must be
present in the biopsied specimen to
confirm Dx
1- endometrial epithelium
2- endometrial glands
3- endometrial stroma
4- hemosiderin laden macrophages
• Endometriosis of the Ovary:
These are cysts filled with thick chocolate
coloured fluid; which may have a black tarry
consistency sometimes.
* This characteristic fluid represents aged,
haemolysed blood and desquamated
epithelium.
* The glands and stroma lining the cyst’s wall
may be destroyed due to an increase in
pressure. This leaves behind a fibrotic wall
with infiltrating haemosiderin layden
macrophages.
Risk factors for
endometriosis:
1. Nulliparity.
2. Infertility.
3. Reproductive age (usually, late
teens to 40s).
4. A first-degree relative with
endometriosis.
5. Regular menstrual cycle <27 days.
6. Prolonged menses of 8 or more
days.
• Many patients are asymptomatic.
• Others usually have no positive
signs at examination.
The characteristic triad
of symptoms:
1- dysmenorrhea.
2- dyspareunia.
3- dyschezia.
Other symptoms:
• Female reproductive tract:
1- pre and postmenstrual spotting.
2- cyclic pelvic pain.
3- low sacral backpain (especially
premenstually).
4- infertility.
5- diminished amount of menstrual
flow.
6- ovulatory pain and mid-cycle vaginal
bleeding.
• If the Bladder is involved:
1- cyclic hematuria/ dysuria.
2- ureteric obstruction.
• If the rectosigmoid colon is involved;
1- premenstrual tensmus or diarrhea.
2- obstruction.
Signs:
• Tenderness on bimanual
examination.
• Tenderness or nodularity on the
posterior vaginal fornix.
• Uterosacral ligament tenderness or
nodularity.
• Cystic ovarian enlargement.
• Fixation of adnexal structures.
• Retroflexed uterus.
• Episiotomy or cesarean section
scars.
Differential diagnosis
1. Chronic pelvic inflammatory
disease or recurrent acute
salpingitis.
2. Hemorrhagic corpus luteum.
3. Benign or malignant ovarian
neoplasm.
4. Ectopic pregnancy.
Diagnosis
• History and examination
• Pelvic U/S
• Direct visualization of endometriotic
lesions
• Pathological examination of biopsy
specimen
Endometriosis in not a clinical diagnosis!
Diagnosis
Suspected in afebrile patient with
the characteristic triad:
1. Pelvic pain
2. Firm, fixed tender adnexal
mass
3. Tender nodularity in cul-de-sac
and uterosacral ligament
Diagnosis
(CA 125)
Frequently elevated in women
with endometriosis
Sensitivity only 20% to 30%
Not used to diagnose
endometriosis
Diagnosis
Definitive diagnosis is generally
made by:
• Characteristic gross
• Histological findings
Obtained by:
Laproscopy or laprotomy
Endometriosis in not a clinical
diagnosis!
Diagnosis
What do endometriosis lesions look like?
• ‘’Classic’’ are red, dark brown, dark blue or black
peritoneal implants
• ‘’chocolate cysts’’ of the ovary
• Clear vesicles
• White or yellow spots or nodules
• Normal appearing peritoneum (microscopic
disease)
• Later lesions appears as ‘’ powder burn’’ implants
from thickened or scarred perilesional peritoneum
Diagnosis
Unfortunately, even the most experienced
surgoen may fail to identify endometriosis
implants because:
• The older implants may have a very subtle
apperance
• The deeper infiltration lesions may not be
visible at the surface
Biopsy of suspecious lesions improves
diagnosis accuracy
Staging
American Society of Reproductive
Medicine (ASRM)
Employs a staging protocol in an
attempt to correlate
Fertility potential with a quantified stage
of endometriosis
Staging
Initially started to be based on:
1- Site of involvement
2- extent of visualized disease
And was modified to include:
• Description of the color of the lesions
• Percentage of surface involved in each
lesion type
• More detailed description of any
endometriosis
If the fimbriated end of fallopian tube is completely
enclosed, change the point assignment to 16
Denote appearance of superficial implant type as
RED [(R), red, red-pink, flamelike, vesicular
blobs, clear vesicles]
WHITE [(W), opicifications, peritoneal defect,
yellow-brown]
BLACK [(B), black, hemosiderin deposits, blue]
Denote % of total described as R__%, W__%,
B__%
Treatment
1. No treatment
2. Non-hormonal treatment
3. Hormonal treatment
4. Surgical treatment
5. Radiological treatment
I. No treatment
• If small symptom less lesions
• Patient observed & examined
every 6 months
II. Non-hormonal
treatment
• If small lesions with mild symptoms
• Analgesics are given for pain
• Prostaglandin inhibitors (naproxen,
ibuprofen) are given for pain and
menorrhagia
III. Hormonal
treatment
Indications:
1. Severe symptoms with small pelvis
lesions
2. Recurrence of symptoms after
conservative surgery
3. May be given for a short time (6-12
weeks) before surgery to make
dissection easier
4. After conservative surgery to allow
any residual lesion to regress
5. When operation is contraindicated
or refused by the patient
1. Pseudo pregnancy
• Ovulation and menstruation are inhibited
for 9 months (6-18 months) using a
combined OCP or a progestogen alone
to avoid the oestrogenic side effects
• A combined contraceptive tablet is given
daily
• Oral medroxyprogesterone acetate
(provera tablets) is givin in a dose of 10-
30 mg daily
• Side effects of progestogens: headache,
weight gain, fluid retention, breakthrough
bleeding and depression
2. Pseudo menopause
Danazol:
• given orally 400-800 mg/day for 6-9 months
• Weak synthetic androgen
• Side effects:
1. Androgenic effects: acne, male alopecia, hirsutism,
hoarseness of voice & hypertrophy of clitoris
2. Hypo-oestrogenic effects: hot flushes, sweating,
atrophy of breasts, atrophic vaginitis, dry vagina,
dyspareunia & decreased libido
3. Anabolic effects: weight gain & edema
4. Metabolic effects: impaired glucose tolerance,
increased insulin requirements in diabetic cases,
hepatic dysfunction. Blood pressure may be elevated
5. CNS: headache, sleep disorders, anxiety, depression &
visual disturbance
6. GIT: nausea, vomiting & constipation
7. Muscloskeletal: muscle cramps & swelling of joints
8. Genitourinary: hematuria
2. Pseudo menopause
GnRH (agonist):
• Nafarelin (synarel): intranasally using a
nasal spray, 200 micrograms twice daily
• Goserelin (zoladex): 3.6 mg injected SC
every 4 weeks
• Triptorelin ( decapeptyl): 3.75 mg injected
IM every 4 weeks
• Side effects: hot flushes, dryness of the
vagina, dyspareunia & reduced libido
3. Mifepristone
50 mg/day for 6 months
IV. Surgical treatment
Indications:
1. Large lesions
2. When hormonal therapy fails
• Surgery is conservative or radical
1. Conservative
surgery
• If young patients below 40 years
• Pre-sacral neurectomy has been
used to treat severe dysmenorrhea
• Minimal to mild disease – can be
removed by laser or electrocautery
2. Radical surgery
• Patient above 40 years
• Treatment is total hysterectomy &
bilateral salpingo-oophorectomy
Endometriosis
Removal of
Endometriosis
Dissection of an Endometrioma
Tube
Ovary
Incision
Removal Result
V. Radiological
treatment
• Induction of artificial menopause by
external pelvic radiation cures the
condition by causing atrophy of
endometrial tissue
• It is applied only in patients above 40
in whom operation can’t be done as
in case of wide spread pelvic
endometriosis (frozen pelvis) or
endometriosis of the rectovaginal
septum which is difficult to excise
surgically
Thank you


bayer endometriosis.ppt

  • 1.
  • 2.
    Endometriosis • Definition: Benigncondition in which (hormone dependant) endometrial glands and stroma are present outside the uterine cavity and wall. • Its’ importance is due to its 1- Distressing symptomatology 2- Association with infertility 3- Invasive potential (adjacent organs) 4- Difficulty in being diagnosed
  • 3.
    • Incidence: *Its estimatedthat 5-15% of women have some degree of the disease. *1/3 of women with chronic pelvic pain have visualized endometriosis. *Its been noted in 5-15% of women undergoing gynaecological laparotomies (an unexpected finding in 50% of these cases).
  • 4.
    • Age: Itclassically presents in nulliparous infertile women in their 30s. • However, it may occur at earlier ages (childhood and adolescents) and in such cases its associated with obstructive genital anomalies. • Following menopause, it regresses unless estrogen is prescribed. 5% of new cases develop in that age group.
  • 5.
    • Pathogenesis: isnot fully understood However 1- genetic predisposition 2- immunological changes have been reported to clearly play a role. • Several hypotheses have been used to explain the various manifestations of the disease and its various locations 1- The Retrograde menstruation theory 2- The Mullarian metaplasia theory 3- The lymphatic spread theory 4- The hematogenous spread theory
  • 6.
    1- The retrogrademenstruation theory of Sampson: proposes that endometrial fragments that are shed during menstruation are transported through the fallopian tubes, then becoming implanted and growing in various intra-abdominal sites. (These endometrial fragments are viable and capable of growing in vivo and in vitro)
  • 7.
    2- The mullarianmetaplasia theory of Meyer: proposes that endometriosis results from the metaplastic transformation of peritoneal mesothelium to endometrium under the influence of certain unidentified stimuli. 3- The lymphatic spread theory of Halban: suggests that the lymphatics draining the uterus transport endometrial tissue to various pelvic site where it grows ectopically. *Endometrial tissue has been found in up to 20% of patients with the disease 4- The haematogenous spread theory: explains the presence of endometrial tissue in distant sites (lung, axilla and forehead)
  • 8.
    • Why don’tall menstruating women develop endometriosis? *It has be found that the amount of exposure to retrograde menstruation and the woman’s immunological response are most critical. *Researchers have found differences in the chemical composition and biological pathways of the endometrial cells in women who have endometriosis in comparison to those who don’t. They have also found a difference in the inflammatory mediators and growth factors in the peritoneal fluid of those with endometriosis in comparison to those without.
  • 9.
    • Sites ofoccurrence: * Most commonly found in the dependant portions of the pelvis 1- Ovaries (2 out of 3 women with endometriosis) 2- Broad ligament 3- Peritoneal surfaces of the cul-de-sac (uterosacral ligaments and post. Cervix) 4- Rectovaginal septum * Quite frequently is the recto-sigmoid colon, appendix, and vesicouterine fold of the peritoneum involved. * Laparotomy scars esp. after c section or myomectomy or after the uterine cavity has been entered.
  • 11.
    • Pathology: * Theislands of endometriosis are sensitive to ovarian hormones. *Estrogen proliferation *Regression of corpus luteum and removal of estrogen and progesterone causes them to slough. *These sloughed debris induce a profound inflammatory response that causes significant pain and long term fibrosis.
  • 12.
    • Macroscopical appearance: Dependson: site, size, time since implantation and day of the menstrual cycle. Colour is a good indicator and is determined by the vascularity of the lesion, the presence of fibrosis, the size of the lesion and the presence of residual sloughed material. It varies from red, brown, black, white-yellow. *Newer implants: red, blood filled active lesions *Older lesions: scarred with a puckered appearance.
  • 13.
    • Microscopically: 2out of 4 must be present in the biopsied specimen to confirm Dx 1- endometrial epithelium 2- endometrial glands 3- endometrial stroma 4- hemosiderin laden macrophages
  • 14.
    • Endometriosis ofthe Ovary: These are cysts filled with thick chocolate coloured fluid; which may have a black tarry consistency sometimes. * This characteristic fluid represents aged, haemolysed blood and desquamated epithelium. * The glands and stroma lining the cyst’s wall may be destroyed due to an increase in pressure. This leaves behind a fibrotic wall with infiltrating haemosiderin layden macrophages.
  • 15.
    Risk factors for endometriosis: 1.Nulliparity. 2. Infertility. 3. Reproductive age (usually, late teens to 40s). 4. A first-degree relative with endometriosis. 5. Regular menstrual cycle <27 days. 6. Prolonged menses of 8 or more days.
  • 16.
    • Many patientsare asymptomatic. • Others usually have no positive signs at examination.
  • 17.
    The characteristic triad ofsymptoms: 1- dysmenorrhea. 2- dyspareunia. 3- dyschezia.
  • 19.
    Other symptoms: • Femalereproductive tract: 1- pre and postmenstrual spotting. 2- cyclic pelvic pain. 3- low sacral backpain (especially premenstually). 4- infertility. 5- diminished amount of menstrual flow. 6- ovulatory pain and mid-cycle vaginal bleeding.
  • 20.
    • If theBladder is involved: 1- cyclic hematuria/ dysuria. 2- ureteric obstruction. • If the rectosigmoid colon is involved; 1- premenstrual tensmus or diarrhea. 2- obstruction.
  • 21.
    Signs: • Tenderness onbimanual examination. • Tenderness or nodularity on the posterior vaginal fornix. • Uterosacral ligament tenderness or nodularity. • Cystic ovarian enlargement. • Fixation of adnexal structures. • Retroflexed uterus. • Episiotomy or cesarean section scars.
  • 22.
    Differential diagnosis 1. Chronicpelvic inflammatory disease or recurrent acute salpingitis. 2. Hemorrhagic corpus luteum. 3. Benign or malignant ovarian neoplasm. 4. Ectopic pregnancy.
  • 23.
    Diagnosis • History andexamination • Pelvic U/S • Direct visualization of endometriotic lesions • Pathological examination of biopsy specimen Endometriosis in not a clinical diagnosis!
  • 24.
    Diagnosis Suspected in afebrilepatient with the characteristic triad: 1. Pelvic pain 2. Firm, fixed tender adnexal mass 3. Tender nodularity in cul-de-sac and uterosacral ligament
  • 25.
    Diagnosis (CA 125) Frequently elevatedin women with endometriosis Sensitivity only 20% to 30% Not used to diagnose endometriosis
  • 26.
    Diagnosis Definitive diagnosis isgenerally made by: • Characteristic gross • Histological findings Obtained by: Laproscopy or laprotomy Endometriosis in not a clinical diagnosis!
  • 31.
    Diagnosis What do endometriosislesions look like? • ‘’Classic’’ are red, dark brown, dark blue or black peritoneal implants • ‘’chocolate cysts’’ of the ovary • Clear vesicles • White or yellow spots or nodules • Normal appearing peritoneum (microscopic disease) • Later lesions appears as ‘’ powder burn’’ implants from thickened or scarred perilesional peritoneum
  • 35.
    Diagnosis Unfortunately, even themost experienced surgoen may fail to identify endometriosis implants because: • The older implants may have a very subtle apperance • The deeper infiltration lesions may not be visible at the surface Biopsy of suspecious lesions improves diagnosis accuracy
  • 36.
    Staging American Society ofReproductive Medicine (ASRM) Employs a staging protocol in an attempt to correlate Fertility potential with a quantified stage of endometriosis
  • 37.
    Staging Initially started tobe based on: 1- Site of involvement 2- extent of visualized disease And was modified to include: • Description of the color of the lesions • Percentage of surface involved in each lesion type • More detailed description of any endometriosis
  • 41.
    If the fimbriatedend of fallopian tube is completely enclosed, change the point assignment to 16 Denote appearance of superficial implant type as RED [(R), red, red-pink, flamelike, vesicular blobs, clear vesicles] WHITE [(W), opicifications, peritoneal defect, yellow-brown] BLACK [(B), black, hemosiderin deposits, blue] Denote % of total described as R__%, W__%, B__%
  • 42.
    Treatment 1. No treatment 2.Non-hormonal treatment 3. Hormonal treatment 4. Surgical treatment 5. Radiological treatment
  • 43.
    I. No treatment •If small symptom less lesions • Patient observed & examined every 6 months
  • 44.
    II. Non-hormonal treatment • Ifsmall lesions with mild symptoms • Analgesics are given for pain • Prostaglandin inhibitors (naproxen, ibuprofen) are given for pain and menorrhagia
  • 45.
    III. Hormonal treatment Indications: 1. Severesymptoms with small pelvis lesions 2. Recurrence of symptoms after conservative surgery 3. May be given for a short time (6-12 weeks) before surgery to make dissection easier 4. After conservative surgery to allow any residual lesion to regress 5. When operation is contraindicated or refused by the patient
  • 46.
    1. Pseudo pregnancy •Ovulation and menstruation are inhibited for 9 months (6-18 months) using a combined OCP or a progestogen alone to avoid the oestrogenic side effects • A combined contraceptive tablet is given daily • Oral medroxyprogesterone acetate (provera tablets) is givin in a dose of 10- 30 mg daily • Side effects of progestogens: headache, weight gain, fluid retention, breakthrough bleeding and depression
  • 47.
    2. Pseudo menopause Danazol: •given orally 400-800 mg/day for 6-9 months • Weak synthetic androgen • Side effects: 1. Androgenic effects: acne, male alopecia, hirsutism, hoarseness of voice & hypertrophy of clitoris 2. Hypo-oestrogenic effects: hot flushes, sweating, atrophy of breasts, atrophic vaginitis, dry vagina, dyspareunia & decreased libido 3. Anabolic effects: weight gain & edema 4. Metabolic effects: impaired glucose tolerance, increased insulin requirements in diabetic cases, hepatic dysfunction. Blood pressure may be elevated 5. CNS: headache, sleep disorders, anxiety, depression & visual disturbance 6. GIT: nausea, vomiting & constipation 7. Muscloskeletal: muscle cramps & swelling of joints 8. Genitourinary: hematuria
  • 48.
    2. Pseudo menopause GnRH(agonist): • Nafarelin (synarel): intranasally using a nasal spray, 200 micrograms twice daily • Goserelin (zoladex): 3.6 mg injected SC every 4 weeks • Triptorelin ( decapeptyl): 3.75 mg injected IM every 4 weeks • Side effects: hot flushes, dryness of the vagina, dyspareunia & reduced libido
  • 49.
  • 50.
    IV. Surgical treatment Indications: 1.Large lesions 2. When hormonal therapy fails • Surgery is conservative or radical
  • 51.
    1. Conservative surgery • Ifyoung patients below 40 years • Pre-sacral neurectomy has been used to treat severe dysmenorrhea • Minimal to mild disease – can be removed by laser or electrocautery
  • 52.
    2. Radical surgery •Patient above 40 years • Treatment is total hysterectomy & bilateral salpingo-oophorectomy
  • 53.
  • 54.
  • 55.
    Dissection of anEndometrioma Tube Ovary Incision Removal Result
  • 56.
    V. Radiological treatment • Inductionof artificial menopause by external pelvic radiation cures the condition by causing atrophy of endometrial tissue • It is applied only in patients above 40 in whom operation can’t be done as in case of wide spread pelvic endometriosis (frozen pelvis) or endometriosis of the rectovaginal septum which is difficult to excise surgically
  • 57.