Dr. B.A JAMAL
 Infective endocarditis is defined as an infection of the endocardial surface of the heart, which
may include 1 or more heart valves, the mural endocardium, or a septal defect
 Produces a wide variety of systemic signs and symptoms including high grade fever, chest
pain, cardiac murmur etc.
 Could potentially involve both diseased and healthy cardiac valves, but most often involves
already diseased valves, precipitated owing to bacteremia from potentially a number of
sources including skin abcesses, UTIs, surgical dental procedures etc
 Most common causative agents include bacteria for the most part and fungi. Common
bacterial bugs include Staph aureus, Strep viridans, coagulase negative staphylococci and
enterococci
 Gives rise to potentially lethal complications including valvular pathologies, CHF, cardiac
conduction anomalies , myocardial abcesses and septic emboli leading to multisystem
involvement.
 Needs anti microbial therapy for at least 6-8 weeks, which is the mainstay of treatment.
 Inevitably fatal if left untreated. Substantial health challenge at large scale
 Infective endocarditis (IE) is a relatively rare disorder with an estimated
incidence of 3–10 cases per 100 000 per year.
 Despite diagnostic and therapeutic advances, prognosis remains poor, as
reflected by hospital mortality of about 22%, rising to 40% at 5 years.
 Morbidity rates are also high; 50% of patients require operative
management in the acute phase of the disease, often with ongoing
consequences for quality of life.
 A study from Pakistan shows male to female ratio to be 2:1; overall
median age to be 24 years (35.5 years for men and 13.5 years for women).
median duration of symptoms before presentation as 20.5 days. Major
predisposing cardiac abnormalities include congenital (50%) and
rheumatic (23%) lesions, and a history of heart surgery (17%).
 The substantial risk associated with IE has driven recommendations for
antibiotic prophylaxis in high-risk subgroups, particularly those with
valvular heart disease and other structural cardiac disorders.
 Infective endocarditis develops most commonly on the mitral valve, closely
followed in descending order of frequency by the aortic valve, the combined mitral
and aortic valve, the tricuspid valve, and, rarely, the pulmonic valve. Mechanical
prosthetic and bioprosthetic valves exhibit equal rates of infection.
 All cases of IE share a common initiation process ie bacteremia, adherence of the
organism to valve followed by invasion of the valvular leaflets.
 The common precursor to adherence and invasion is nonbacterial thrombotic
endocarditis, a sterile fibrin-platelet vegetation. The development of subacute IE
depends on a bacterial inoculum sufficient to allow invasion of the preexistent
thrombus. This critical mass is the result of bacterial clumping produced by
agglutinating antibodies.
 Staph aureus however if inoculated, could directly invade the valvular endothelium
and trigger inflammatory response, or alternatively already damaged valves having
preformed platelet plug.
 Organism specific virulence factors including enhanced adhesion to valvular
endocardium (FimA) as manifested by S.aureus, S.viridans, might explain the
selectivity of some pathogens over the other
 S. aureus (31%)
 Strep. viridans (17%)
 Coagulase negative staph (11%)
 Enterococci (11%)
 Strep. Bovis (7%)
 Other streptococci (5%)
 Fungi (2%)
 Gram negative HACEK bacilli (2%)*
 Gram negative non-HACEK (2%)
* HACEK- Haemophilus species, Aggregatibacter actinomycetemcomitans,
Cardiobacterium hominis, Eikenella corrodens, and Kingella kingae.
 Rheumatic valvular disease (30% of NVE) - Primarily involves the mitral valve
followed by the aortic valve
 Congenital heart disease (15% of NVE) - Underlying etiologies include a patent
ductus arteriosus, ventricular septal defect, tetralogy of Fallot, or any native or
surgical high-flow lesion.
 Mitral valve prolapse with an associated murmur (20% of NVE)
 Degenerative heart disease - Including calcific aortic stenosis resulting from a
bicuspid valve, Marfan syndrome, or syphilitic disease
 Prosthetic valve placement, PPM
 IV drug abuse
 Presentation is highly variable. Cases that present to clinical attention usually get
admitted for persistent fever that often is low grade but could also be high grade.
Cardiac murmur may or may not be audible.
 Fever usually presents with no identifiable other cause and might initially nbe
labeled as PUO before according workup is carried out.
 Classic presentation includes low grade fever with new onset cardiac mrmur.
Symptoms that are generally reported include fever, chills, anorexia, weight loss,
malaise, myalgias, shortness of breath, pleuritic chest pain. Complaints may also
be only constitutional giving minimal evidence about causative aetiology.
 May also present with signs and symptoms of congestive heart failure secondary to
valvular dysfunction, or less commonly with other complications eg pulmonary
infarction.
 Pyrexia, tachycardia, Roth spots, Osler nodes, New onset Murmur, Janeway
lesions, pallor, sub-ungal hemorrhages are frequently reported signs.
 The classic clinical presentation and clinical course of IE has been characterized as
either acute or subacute
ACUTE IE
o Acute NVE frequently involves normal valves and usually has an aggressive
course.
o It is a rapidly progressive illness in healthy and debilitated persons alike.
o Virulent organisms, such as S aureus and group B streptococci, are typically the
causative agents of this type of endocarditis. Underlying structural valve disease
may be absent.
SUBACUTE IE
o Subacute NVE typically affects only abnormal valves.
o Its course, even in untreated patients, is usually more indolent than that of the
acute form and may extend over many months.
o Alpha-hemolytic streptococci or enterococci, usually in the setting of underlying
structural valve disease, typically are the causative agents for this type of
endocarditis
 The diagnosis of IE is straightforward in the minority of patients who present with
a consistent history and classic manifestations ie sustained bacteremia or fungemia,
evidence of active valvulitis, peripheral emboli, and immunological vascular
phenomena
 Dukes Criteria developed in 1994, is widely accepted as the standard for
diagnosing infective endocarditis these days.
 The key to diagnosis is the demonstration of presence of respective bugs in the
blood stream, septic endocardial vegetations by echocardiography together
with pertinent clinical picture
 It should n noted that Acute IE may evolve too quickly for the development of
immunological vascular phenomena, which are more characteristic of the later
stages of the more insidious subacute form of untreated IE. So absence of pertinent
signs (ie subungal hemorrhages etc) does not put a question on IE dx.
 In 1994, Durack and colleagues from the Duke University Medical Center
proposed a diagnostic schema that stratified patients with suspected IE into 3
categories: DEFINITE, POSSIBLE, AND REJECTED cases
DEFINITE IE
 Pathological criteria (demonstration of the bug by culture / histpathology)
 Clinical Criteria - 2 Major criteria OR 1 major criterion and 3 minor criteria OR 5
minor criteria
POSSIBLE IE
 1 Major criterion and 1 minor criterion OR
 3 minor criteria
REJECTED IE
 Firm alternative Dx / resolution of IE in less than 5 days / doesn’t fulfill
possible IE criteria / no pathological evidence of IE at surgery or autopsy
with antibiotic therapy for ≤4 d
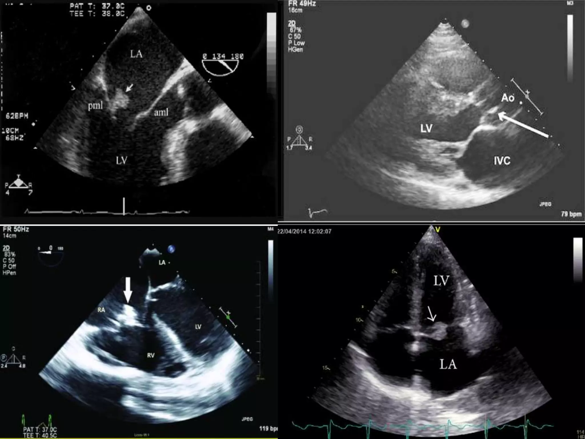
 As discussed, central to the diagnosis of IE being a part of major criteria,
echocardiography
 Hanging oscillating intra cardiac mass attached to valves, supporting structures,
implanted devices or in the path of regurgitant gets (ECHO)
 TTE vs TEE
 Cardiac CT – Strictly speaking, not indicated as per guidelines. Yet useful
 MRI brain
MANAGEMENT
 The major goals of therapy for IE are to eradicate the infectious agent from the
thrombus and to address the complications of valvular infection. The latter includes
both the intracardiac and extracardiac consequences of IE.
 So addressing the primary disease (by antibiotics mainly) and secondary
complications (ie CHF / valvular dysfunction / septic embolism /
glomerulonephritis) is the mainstay of treatment
 General measures include the following:
o Treatment of congestive heart failure (if there)
o Supplemental oxygenation if required
o Hemodialysis may be necessary in the setting of severe renal failure
 Some of the effects of IE require surgical intervention. Emergent care should focus
on making the correct diagnosis and stabilizing the patient with acute disease and
cardiovascular instability.
 Empiric antibiotic therapy should be started once the Dx of IE is suspected on
clinical grounds, after 3 sets of blood culture samples(12 hours apart) have been
sent.
 Empiric regime should provide a broad coverage over Staphylocci, Streptococci
and Enterococci.
 Recommended empirical regime includes
 CEFTRIAXONE 2 GRAM 24 HOURLY
 VANCOMYCIN 1 GRAM 12 HOURLY
 After blood culture sensitivity report is available, antibiotic should be targeted to
specific agent.
STAPHYLLOCOCCI
 MSSA
 Nafcillin OR Oxacillin 12 gram IV daily either continuous or in four to six
divided doses
OR
 Cefazolin 6 gram IV daily cont, or in three divided doses for 6 weeks
 If brain abcess has developed, use nafcillin instead of cefazolin
 Desensitization protocol for h/o immediate type hypersensitivity to beta lactams.
 MRSA
 MRSA infected individuals or patients who cannot tolerate beta lactams should
receive Vancomycin 30mg/kg/day divided in two to three doses.
OR
 Daptomycin > 8mg/kg/day.
 Aminoglycoside combinations are not recommended. Neither is the routine use of
rifampin
 COAGULASE NEGATIVE STAPHYLOCOCCI
 Include staph saprophyticus, epidermidis etc
 Commonly cause prosthetic valve endocarditis as opposed to NVE
 Resistant to beta lactams, so methicillin, beta lactams shouldn’t be used unless
susceptibility is demonstrated by c/s
 Vancomycin 30mg/kg/day IV divided in two/three doses for 6 weeks, rifampin
300 mg every 8 hours for 6 weeks and Gentamycin 3mg/kg IV every 8 hours
for first 2 weeks are used in combination for PVE
STREPTOCOCCUSVIRIDANS (VGS)
 For penicillin sensitive VGS, Penicillin G 18 Million units IV either continuous
infusion or divided in four to six equal doses
OR
 Ceftriaxone 2 gram IV qDay for 4 weeks is recommended
 Duration of t/m could be shortened to 2 weeks instead IF Gentamycin 3mg/kg IV
every 24 hours is used concomitantly with Pencillin or Ceftriaxone
 For patients who cannot tolerate Penicillin or Ceftriaxone, Vancomycin 15mg/kg
IV q12 hours for 4 weeks may be used.
 PVE (by VGS) should be treated with 6 weeks course of Penicillin or Ceftriaxone
and Gentamycin may also be considered for first 2 weeks by infectious diseases
consultant
 Penicillin resistant (relative resistance MIC b/w 0.12 -0.5 mcg/ml) VGS should be
treated for 4 weeks with Penicillin G 24 Million units IV qDay cont. or in four
to six divided doses COMBINED with gentamycin 3mg/kg qDay for first 2
weeks.
ENTEROCOCCI
 Ampicillin 2 grams every 4 hours OR Penicillin G 18-30 Million units IV per
day along with Gentamycin 1mg/kg IV q8hours
OR
 Ampicillin along with Ceftriaxone 2gram IV q12hours.
 Recommended duration of therapy is 4-6 weeks
 Ampicillin Ceftriaxone regime is suited for pts with CrCl less than 50ml/ min or if
enterococci on C/S are resistant to gentamycin
 IE by strains resistant to Penicillin and Vancomycin are difficult to treat and should
always be managed in consultation with infectious diseases specialist
OTHER STREPTOCOCCI
 S Pneumoniae, S Pyogenes, Group B,C,G. Unusual though
 S pneumoniae sensitive to penicillin – penicillin G 18 million units IV qDay. OR
cefazolin 6grams qDay .
 Penicillin resistant strains need 3rd gen cephalosporin Ceftriaxone. T/M duration 4-
6 weeks
 Group B,C,G need vancomycin in addition, for first 2 weeks
HACEK GROUP
 Haemophilus species, Aggregatibacter actinomycetemcomitans, Cardiobacterium
hominis, Eikenella corrodens, and Kingella kingae.
 Account for less than 5% cases of IE
 Ceftriaxone 2 gram IV qDay for 4 weeks is the standard regimen
 PVE by HACEK should be treated for 6 weeks
CULTURE-NEGATIVE IE
 Usually involve Bartonella, Chlamydia, Brucella species that couldn’t be picked by
routinely used culturing techniques
 Treatment is empirical, targeted to most likely agent.
 Must be consulted with infectious diseases specialist
 Fungal endocarditis is rare and primarily occurs after prosthetic valve surgery and
in individuals who abuse intravenous drugs.
 Candida species and Aspergillus species are the organisms most frequently
encountered.
 Available antifungal agents have been unsuccessful in eliminating fungal IE.

 The only cures for proven fungal IE have resulted when surgical excision of the
infected valves was combined with amphotericin B therapy.
 Anticoagulation is contraindicated in NVE due to increased risk of bleeding, intra-
cerebral hemorrhge by mycotic aneurysms.
 Concept is much controversial in PVE. Reversal of anticoagulation may result in
thrombosis of prosthesis. Conversely active anticoagulation in S.aureus PVE is
associated with fatal intracerebral hemorrhage
 One approach is to discontinue anticoagulation in septic phase of S Aureus PVE.
 In S aureus PVE complicated by CNS embolic event, anticoagulation should be
discontinued for 2 weeks during therapy
 Acute heart failure unresponsive to medical treatment is an indication for valve
replacement, even if active infecion is there
 Relative indication of surgical valve replacement if infection is unresponsive to
medical management for 7=10 days
 Surgery nearly always required for fungal endocarditis
 Indicated if infection involves sinus of valsalva or gives rise to septal abscess
 Depending upon suitability of candidature, surgical vegetectomy and valve repair
is a good option in all resistant cases
 Infection by coagulase negative streptococci, VGS, enterococci generslly responds
in 3-4 days
 S aureus, pseudomonal infection takes longer
 Blood cultures better be taken every 1-2 days to document sterilization
 Most relapses occur within 1-2 months after completion of treatment. Better to
repeat blood cultures during this time period
ANTIBIOTIC PROPHYLAXIS FOR IE
 Q- WHY DENTAL SURGICAL PROCEDURESARE CONSIDERED
DREADED ONESTO BE FOLLOWED BY BACTERIAL ENDOCARDITIS?
Ans: Infective endocarditis is a serious infection occurring on the endothelial
surfaces of the heart, especially at the valves. Oral commensal bacteria are the
important etiologic agents in this disease. Common dental procedures, even
non-surgical dental procedures, can often cause bacteremia of oral commensals.
Periodontally diseased patients are at risk from bacteremia even after brushing the
teeth. Bacteremia itself rarely affect healthy people but they can result in mortal
infective endocarditis in those who have a predisposed risk for this disease, such
as those with heart valve diseases, pacemaker implantation, etc. Infective
endocarditis is thus established when all the 3 conditions are present
simultaneously, i. e., 1) a predisposing impairments in the heart, 2) the
introduction of bacteria into the bloodstream, and 3) the virulence of bacteria.
Henceforth, antibiotics are often routinely prescribed before dental surgical
procedures, that too, well supported by to-date literature.
THANKYOU
THANKYOU
 QUERIES / COMMENTS?
 CURRENT MEDICAL DIAGNOSES & TREATMENT Ed 2021
 MANUAL OF CARDIOVASCULAR MEDICINE 4th Ed.
 John L Brusch MD. Infective endocarditis Treatment & Management: Approach
CONSIDERATIONS, Antibiotic Therapy, management of S aureus Bacteremia [Internet].
Infective Endocarditis Treatment & Management: Approach Considerations, Antibiotic
Therapy, Management of S aureus Bacteremia. Medscape; 2021 [cited 2021Aug22].
Available from: https://emedicine.medscape.com/article/216650-treatment#d8
 Baddour LM, Larry M. Baddour , Wilson WR, Walter R. Wilson, Bayer AS, Arnold S. Bayer, et
al. Infective endocarditis In Adults: Diagnosis, ANTIMICROBIAL therapy, and management
of complications [Internet]. Circulation. 2015 [cited 2021Aug22]. Available from:
https://www.ahajournals.org/doi/full/10.1161/CIR.0000000000000296
 Pierce D, Calkins BC, Thornton K. Infectious endocarditis: Diagnosis and treatment
[Internet]. American Family Physician. 2012 [cited 2021Aug22]. Available from:
https://www.aafp.org/afp/2012/0515/p981.html
 Bhattacharyya S, Hickman M, Lythall D. Mitral valve kissing vegetation [Internet]. Heart.
BMJ Publishing Group Ltd; 2005 [cited 2021Aug22]. Available from:
https://heart.bmj.com/content/91/5/e43

INFECTIVE ENDOCARDITIS.pptx

  • 1.
  • 2.
     Infective endocarditisis defined as an infection of the endocardial surface of the heart, which may include 1 or more heart valves, the mural endocardium, or a septal defect  Produces a wide variety of systemic signs and symptoms including high grade fever, chest pain, cardiac murmur etc.  Could potentially involve both diseased and healthy cardiac valves, but most often involves already diseased valves, precipitated owing to bacteremia from potentially a number of sources including skin abcesses, UTIs, surgical dental procedures etc  Most common causative agents include bacteria for the most part and fungi. Common bacterial bugs include Staph aureus, Strep viridans, coagulase negative staphylococci and enterococci  Gives rise to potentially lethal complications including valvular pathologies, CHF, cardiac conduction anomalies , myocardial abcesses and septic emboli leading to multisystem involvement.  Needs anti microbial therapy for at least 6-8 weeks, which is the mainstay of treatment.  Inevitably fatal if left untreated. Substantial health challenge at large scale
  • 3.
     Infective endocarditis(IE) is a relatively rare disorder with an estimated incidence of 3–10 cases per 100 000 per year.  Despite diagnostic and therapeutic advances, prognosis remains poor, as reflected by hospital mortality of about 22%, rising to 40% at 5 years.  Morbidity rates are also high; 50% of patients require operative management in the acute phase of the disease, often with ongoing consequences for quality of life.  A study from Pakistan shows male to female ratio to be 2:1; overall median age to be 24 years (35.5 years for men and 13.5 years for women). median duration of symptoms before presentation as 20.5 days. Major predisposing cardiac abnormalities include congenital (50%) and rheumatic (23%) lesions, and a history of heart surgery (17%).  The substantial risk associated with IE has driven recommendations for antibiotic prophylaxis in high-risk subgroups, particularly those with valvular heart disease and other structural cardiac disorders.
  • 4.
     Infective endocarditisdevelops most commonly on the mitral valve, closely followed in descending order of frequency by the aortic valve, the combined mitral and aortic valve, the tricuspid valve, and, rarely, the pulmonic valve. Mechanical prosthetic and bioprosthetic valves exhibit equal rates of infection.  All cases of IE share a common initiation process ie bacteremia, adherence of the organism to valve followed by invasion of the valvular leaflets.  The common precursor to adherence and invasion is nonbacterial thrombotic endocarditis, a sterile fibrin-platelet vegetation. The development of subacute IE depends on a bacterial inoculum sufficient to allow invasion of the preexistent thrombus. This critical mass is the result of bacterial clumping produced by agglutinating antibodies.  Staph aureus however if inoculated, could directly invade the valvular endothelium and trigger inflammatory response, or alternatively already damaged valves having preformed platelet plug.  Organism specific virulence factors including enhanced adhesion to valvular endocardium (FimA) as manifested by S.aureus, S.viridans, might explain the selectivity of some pathogens over the other
  • 6.
     S. aureus(31%)  Strep. viridans (17%)  Coagulase negative staph (11%)  Enterococci (11%)  Strep. Bovis (7%)  Other streptococci (5%)  Fungi (2%)  Gram negative HACEK bacilli (2%)*  Gram negative non-HACEK (2%) * HACEK- Haemophilus species, Aggregatibacter actinomycetemcomitans, Cardiobacterium hominis, Eikenella corrodens, and Kingella kingae.
  • 7.
     Rheumatic valvulardisease (30% of NVE) - Primarily involves the mitral valve followed by the aortic valve  Congenital heart disease (15% of NVE) - Underlying etiologies include a patent ductus arteriosus, ventricular septal defect, tetralogy of Fallot, or any native or surgical high-flow lesion.  Mitral valve prolapse with an associated murmur (20% of NVE)  Degenerative heart disease - Including calcific aortic stenosis resulting from a bicuspid valve, Marfan syndrome, or syphilitic disease  Prosthetic valve placement, PPM  IV drug abuse
  • 8.
     Presentation ishighly variable. Cases that present to clinical attention usually get admitted for persistent fever that often is low grade but could also be high grade. Cardiac murmur may or may not be audible.  Fever usually presents with no identifiable other cause and might initially nbe labeled as PUO before according workup is carried out.  Classic presentation includes low grade fever with new onset cardiac mrmur. Symptoms that are generally reported include fever, chills, anorexia, weight loss, malaise, myalgias, shortness of breath, pleuritic chest pain. Complaints may also be only constitutional giving minimal evidence about causative aetiology.  May also present with signs and symptoms of congestive heart failure secondary to valvular dysfunction, or less commonly with other complications eg pulmonary infarction.  Pyrexia, tachycardia, Roth spots, Osler nodes, New onset Murmur, Janeway lesions, pallor, sub-ungal hemorrhages are frequently reported signs.
  • 10.
     The classicclinical presentation and clinical course of IE has been characterized as either acute or subacute ACUTE IE o Acute NVE frequently involves normal valves and usually has an aggressive course. o It is a rapidly progressive illness in healthy and debilitated persons alike. o Virulent organisms, such as S aureus and group B streptococci, are typically the causative agents of this type of endocarditis. Underlying structural valve disease may be absent. SUBACUTE IE o Subacute NVE typically affects only abnormal valves. o Its course, even in untreated patients, is usually more indolent than that of the acute form and may extend over many months. o Alpha-hemolytic streptococci or enterococci, usually in the setting of underlying structural valve disease, typically are the causative agents for this type of endocarditis
  • 11.
     The diagnosisof IE is straightforward in the minority of patients who present with a consistent history and classic manifestations ie sustained bacteremia or fungemia, evidence of active valvulitis, peripheral emboli, and immunological vascular phenomena  Dukes Criteria developed in 1994, is widely accepted as the standard for diagnosing infective endocarditis these days.  The key to diagnosis is the demonstration of presence of respective bugs in the blood stream, septic endocardial vegetations by echocardiography together with pertinent clinical picture  It should n noted that Acute IE may evolve too quickly for the development of immunological vascular phenomena, which are more characteristic of the later stages of the more insidious subacute form of untreated IE. So absence of pertinent signs (ie subungal hemorrhages etc) does not put a question on IE dx.
  • 12.
     In 1994,Durack and colleagues from the Duke University Medical Center proposed a diagnostic schema that stratified patients with suspected IE into 3 categories: DEFINITE, POSSIBLE, AND REJECTED cases DEFINITE IE  Pathological criteria (demonstration of the bug by culture / histpathology)  Clinical Criteria - 2 Major criteria OR 1 major criterion and 3 minor criteria OR 5 minor criteria POSSIBLE IE  1 Major criterion and 1 minor criterion OR  3 minor criteria REJECTED IE  Firm alternative Dx / resolution of IE in less than 5 days / doesn’t fulfill possible IE criteria / no pathological evidence of IE at surgery or autopsy with antibiotic therapy for ≤4 d
  • 15.
     As discussed,central to the diagnosis of IE being a part of major criteria, echocardiography  Hanging oscillating intra cardiac mass attached to valves, supporting structures, implanted devices or in the path of regurgitant gets (ECHO)  TTE vs TEE  Cardiac CT – Strictly speaking, not indicated as per guidelines. Yet useful  MRI brain
  • 19.
  • 20.
     The majorgoals of therapy for IE are to eradicate the infectious agent from the thrombus and to address the complications of valvular infection. The latter includes both the intracardiac and extracardiac consequences of IE.  So addressing the primary disease (by antibiotics mainly) and secondary complications (ie CHF / valvular dysfunction / septic embolism / glomerulonephritis) is the mainstay of treatment  General measures include the following: o Treatment of congestive heart failure (if there) o Supplemental oxygenation if required o Hemodialysis may be necessary in the setting of severe renal failure  Some of the effects of IE require surgical intervention. Emergent care should focus on making the correct diagnosis and stabilizing the patient with acute disease and cardiovascular instability.
  • 21.
     Empiric antibiotictherapy should be started once the Dx of IE is suspected on clinical grounds, after 3 sets of blood culture samples(12 hours apart) have been sent.  Empiric regime should provide a broad coverage over Staphylocci, Streptococci and Enterococci.  Recommended empirical regime includes  CEFTRIAXONE 2 GRAM 24 HOURLY  VANCOMYCIN 1 GRAM 12 HOURLY  After blood culture sensitivity report is available, antibiotic should be targeted to specific agent.
  • 22.
    STAPHYLLOCOCCI  MSSA  NafcillinOR Oxacillin 12 gram IV daily either continuous or in four to six divided doses OR  Cefazolin 6 gram IV daily cont, or in three divided doses for 6 weeks  If brain abcess has developed, use nafcillin instead of cefazolin  Desensitization protocol for h/o immediate type hypersensitivity to beta lactams.  MRSA  MRSA infected individuals or patients who cannot tolerate beta lactams should receive Vancomycin 30mg/kg/day divided in two to three doses. OR  Daptomycin > 8mg/kg/day.  Aminoglycoside combinations are not recommended. Neither is the routine use of rifampin
  • 23.
     COAGULASE NEGATIVESTAPHYLOCOCCI  Include staph saprophyticus, epidermidis etc  Commonly cause prosthetic valve endocarditis as opposed to NVE  Resistant to beta lactams, so methicillin, beta lactams shouldn’t be used unless susceptibility is demonstrated by c/s  Vancomycin 30mg/kg/day IV divided in two/three doses for 6 weeks, rifampin 300 mg every 8 hours for 6 weeks and Gentamycin 3mg/kg IV every 8 hours for first 2 weeks are used in combination for PVE
  • 24.
    STREPTOCOCCUSVIRIDANS (VGS)  Forpenicillin sensitive VGS, Penicillin G 18 Million units IV either continuous infusion or divided in four to six equal doses OR  Ceftriaxone 2 gram IV qDay for 4 weeks is recommended  Duration of t/m could be shortened to 2 weeks instead IF Gentamycin 3mg/kg IV every 24 hours is used concomitantly with Pencillin or Ceftriaxone  For patients who cannot tolerate Penicillin or Ceftriaxone, Vancomycin 15mg/kg IV q12 hours for 4 weeks may be used.  PVE (by VGS) should be treated with 6 weeks course of Penicillin or Ceftriaxone and Gentamycin may also be considered for first 2 weeks by infectious diseases consultant  Penicillin resistant (relative resistance MIC b/w 0.12 -0.5 mcg/ml) VGS should be treated for 4 weeks with Penicillin G 24 Million units IV qDay cont. or in four to six divided doses COMBINED with gentamycin 3mg/kg qDay for first 2 weeks.
  • 25.
    ENTEROCOCCI  Ampicillin 2grams every 4 hours OR Penicillin G 18-30 Million units IV per day along with Gentamycin 1mg/kg IV q8hours OR  Ampicillin along with Ceftriaxone 2gram IV q12hours.  Recommended duration of therapy is 4-6 weeks  Ampicillin Ceftriaxone regime is suited for pts with CrCl less than 50ml/ min or if enterococci on C/S are resistant to gentamycin  IE by strains resistant to Penicillin and Vancomycin are difficult to treat and should always be managed in consultation with infectious diseases specialist
  • 26.
    OTHER STREPTOCOCCI  SPneumoniae, S Pyogenes, Group B,C,G. Unusual though  S pneumoniae sensitive to penicillin – penicillin G 18 million units IV qDay. OR cefazolin 6grams qDay .  Penicillin resistant strains need 3rd gen cephalosporin Ceftriaxone. T/M duration 4- 6 weeks  Group B,C,G need vancomycin in addition, for first 2 weeks
  • 27.
    HACEK GROUP  Haemophilusspecies, Aggregatibacter actinomycetemcomitans, Cardiobacterium hominis, Eikenella corrodens, and Kingella kingae.  Account for less than 5% cases of IE  Ceftriaxone 2 gram IV qDay for 4 weeks is the standard regimen  PVE by HACEK should be treated for 6 weeks
  • 28.
    CULTURE-NEGATIVE IE  Usuallyinvolve Bartonella, Chlamydia, Brucella species that couldn’t be picked by routinely used culturing techniques  Treatment is empirical, targeted to most likely agent.  Must be consulted with infectious diseases specialist
  • 29.
     Fungal endocarditisis rare and primarily occurs after prosthetic valve surgery and in individuals who abuse intravenous drugs.  Candida species and Aspergillus species are the organisms most frequently encountered.  Available antifungal agents have been unsuccessful in eliminating fungal IE.   The only cures for proven fungal IE have resulted when surgical excision of the infected valves was combined with amphotericin B therapy.
  • 30.
     Anticoagulation iscontraindicated in NVE due to increased risk of bleeding, intra- cerebral hemorrhge by mycotic aneurysms.  Concept is much controversial in PVE. Reversal of anticoagulation may result in thrombosis of prosthesis. Conversely active anticoagulation in S.aureus PVE is associated with fatal intracerebral hemorrhage  One approach is to discontinue anticoagulation in septic phase of S Aureus PVE.  In S aureus PVE complicated by CNS embolic event, anticoagulation should be discontinued for 2 weeks during therapy
  • 31.
     Acute heartfailure unresponsive to medical treatment is an indication for valve replacement, even if active infecion is there  Relative indication of surgical valve replacement if infection is unresponsive to medical management for 7=10 days  Surgery nearly always required for fungal endocarditis  Indicated if infection involves sinus of valsalva or gives rise to septal abscess  Depending upon suitability of candidature, surgical vegetectomy and valve repair is a good option in all resistant cases
  • 32.
     Infection bycoagulase negative streptococci, VGS, enterococci generslly responds in 3-4 days  S aureus, pseudomonal infection takes longer  Blood cultures better be taken every 1-2 days to document sterilization  Most relapses occur within 1-2 months after completion of treatment. Better to repeat blood cultures during this time period
  • 33.
  • 34.
     Q- WHYDENTAL SURGICAL PROCEDURESARE CONSIDERED DREADED ONESTO BE FOLLOWED BY BACTERIAL ENDOCARDITIS? Ans: Infective endocarditis is a serious infection occurring on the endothelial surfaces of the heart, especially at the valves. Oral commensal bacteria are the important etiologic agents in this disease. Common dental procedures, even non-surgical dental procedures, can often cause bacteremia of oral commensals. Periodontally diseased patients are at risk from bacteremia even after brushing the teeth. Bacteremia itself rarely affect healthy people but they can result in mortal infective endocarditis in those who have a predisposed risk for this disease, such as those with heart valve diseases, pacemaker implantation, etc. Infective endocarditis is thus established when all the 3 conditions are present simultaneously, i. e., 1) a predisposing impairments in the heart, 2) the introduction of bacteria into the bloodstream, and 3) the virulence of bacteria. Henceforth, antibiotics are often routinely prescribed before dental surgical procedures, that too, well supported by to-date literature.
  • 37.
  • 38.
     QUERIES /COMMENTS?
  • 39.
     CURRENT MEDICALDIAGNOSES & TREATMENT Ed 2021  MANUAL OF CARDIOVASCULAR MEDICINE 4th Ed.  John L Brusch MD. Infective endocarditis Treatment & Management: Approach CONSIDERATIONS, Antibiotic Therapy, management of S aureus Bacteremia [Internet]. Infective Endocarditis Treatment & Management: Approach Considerations, Antibiotic Therapy, Management of S aureus Bacteremia. Medscape; 2021 [cited 2021Aug22]. Available from: https://emedicine.medscape.com/article/216650-treatment#d8  Baddour LM, Larry M. Baddour , Wilson WR, Walter R. Wilson, Bayer AS, Arnold S. Bayer, et al. Infective endocarditis In Adults: Diagnosis, ANTIMICROBIAL therapy, and management of complications [Internet]. Circulation. 2015 [cited 2021Aug22]. Available from: https://www.ahajournals.org/doi/full/10.1161/CIR.0000000000000296  Pierce D, Calkins BC, Thornton K. Infectious endocarditis: Diagnosis and treatment [Internet]. American Family Physician. 2012 [cited 2021Aug22]. Available from: https://www.aafp.org/afp/2012/0515/p981.html  Bhattacharyya S, Hickman M, Lythall D. Mitral valve kissing vegetation [Internet]. Heart. BMJ Publishing Group Ltd; 2005 [cited 2021Aug22]. Available from: https://heart.bmj.com/content/91/5/e43