Presented by
  Dr. Sandeep Garg (Resident)
Department of Radiodiagnosis
                         CMS
               3rd Nov, 2011
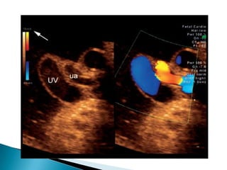
   25 yrs female with 30 wks of POG and
    uncontrolled hypertension was referred from
    gynae/obsc dept for doppler.
   USG and doppler findings include
    ◦   >HC/AC ratio 1.32
    ◦   Severe oligohydraminos (AFI 3 cm)
    ◦   MCA PI 1.27
    ◦   UA PI 1.39
    ◦   MCA/UA PI ratio – 0.91

   Impression: fetal hypoxia/ IUGR
   IUGR: fetus with birth weight <10th
    percentile for gestational age due to
    pathologic process.

   SGA: fetus with birth weight <10th
    percentile for gestational age in the
    absence of pathologic process
Aetiology

 Maternal                Fetal          Placental
Constitutional         Cong anomalies   Abn Trophoblast
Nutritional            Chromosomal      Velamentous cord
Genetic                Infections        Circumvallate p
Collagen vascular ds    Multiple preg     Pl Praevia
Autoimmune disease                         Pl infarction
HTN, Diabetes                              Tumors
Renal disease
Environmental
   Symmetrical : Uniformly small,
                 HC:AC,FL:AC-Normal
                seen in chromosomal anomalies

   Asymmetrical : fetal abdomen is
                 disproportionately small
                 (Head sparing effect)
                HC>AC
                  HC:AC, FL:AC-Elevated

   elevated HC/AC ratio (positive predictive
    value 62%)
   elevated ratio of femur length to abdominal
    circumference (FL/AC)
   presence of oligohydramnios without
    ruptured membranes
   presence of advanced placental grade
    (Grannum grade 3)
   Typically, scores of 6 or below are considered
    frankly abnormal, and scores of 7 and 8 are
    considered suspicious.
   Reduced biophysical profile scores are found
    in growth restricted pregnancies that already
    demonstrate abnormal umbilical and fetal
    Doppler findings.
   Most of these fetuses are constitutionally
    small, and are not suffering from
    uteroplacental insufficiency.
   An inter-twin growth discrepancy of 20–25%
    is considered to be significant.
   Twin-to-twin transfusion syndrome (TTTS)-
    Color Doppler findings in the donor are
    usually typical of uteroplacental insufficiency
Quantitative analysis
    ◦ Pulsatility index (PI)
    ◦ Resistance index (RI)
    ◦ Systolic/diastolic ratio

   Qualitative analysis
    ◦ Uterine artery: presence or
      absence of early diastolic
      notch
    ◦ UA : normal, with reduced
      diastolic flow, absent EDF,
      reversed EDF
   Uterine arteries branch into arcuate arteries, leading
    to spiral arteries within myometrium.
   With advancing pregnancy, due to trophoblastic
    invasion of uterine spiral arteries, it dilates and result
    in fall in resistance to blood flow.
   Uterine blood flow in non pregnant women is 50
    ml/min and increase to over 700 ml/min in 3rd
    trimester.
   Hence, in normal pregnancy diastolic component is
    transformed from one of low peak flow velocity and
    early diastolic notch , to one of high flow and no
    diastolic notch by 18 to 22 wks, PI value <1.2
   PI >1.45 with bilateral notches (abnormal) is s/o
    clinically significant uteroplacental vascular
    ischaemia.
   Characteristic umbilical artery waveforms
    have also been correlated to various degrees
    of fetal hypoxemia and acidemia.
   Absent end-diastolic frequencies
    ◦ 75% of the placental vascular bed has been
      obliterated
    ◦ 85% chance that the fetus will be hypoxemic and
      a 50% chance that it will also be acidemic.
   Reversed end-diastolic frequencies
    ◦ ten-fold increase in perinatal mortality
   Fetal arterial waveforms are acquired from the
    thoracic aorta and middle cerebral arteries.
   With fetal hypoxemia, there is conservation (or
    increase) of blood flow to the fetal brain, heart
    and adrenal glands with concomitant decrease in
    flow to the splanchnic bed and extremities. This
    phenomenon is termed ‘arterial redistribution of
    blood flow’, and serves to deliver oxygen and
    nutrients to vital organs in the face of impaired
    placental function.
   Hence, fetal arterial Dopplers can be used to
    monitor fetal compensatory responses to
    progressively deteriorating placental function.
   MCA can be easily demonstrated by color
    doppler in transverese fetal head position.
   At 28-32 wks, MCA is characterized by high
    systolic velocities and minimal diastolic
    velocities, resulting in high PI values (>1.45).
   In fetal hypoxia, vascular tone is increased in
    MCA resulting in increased diastolic velocity
    and reduced PI values.
Normal




With hypoxia there is cerebral
vasodilatation, so initially the
diastolic flow may be in the
normal range ,when the
vasodilatation ability is
exhausted as with fetal
acidosis the resistance starts
increasing again.
   A longitudinal view of
    the fetal thoracic aorta
    is obtained with color
    flow imaging.
   The pulsed Doppler
    sample gate should be
    placed on the linear
    portion of the
    descending thoracic
    aorta, above the level
    of the diaphragm
   The ductus venosus is the main vessel through
    which oxygenated blood returning from the
    placenta is directed to the fetal heart and
    circulation.
   With worsening fetal hypoxemia, abnormal
    umbilical artery waveforms and severe fetal
    arterial redistribution develop.
   In addition, there is also increased redistribution
    of highly oxygenated umbilical vein blood
    through the ductus venosus to the fetal heart.
   When the fetal condition becomes critical,
    abnormal ductus venosus flow waveforms are
    seen.
Normal   Abnormal
   Biometry
    ◦ EFW 640 g (<10th centile)
    ◦ HC/AC ratio 1.35 (normal <1.2)
    ◦ AFI 7 cm (normal 10-20 cm)
   Doppler
    ◦   Uterine arteries- B/L early diastolic notch
    ◦   Lt uterine artery PI 1.97, Rt PI 1.65
    ◦   UA- absent EDF in both
    ◦   Smooth umbilical venous cord flow, peak vel 16cm/sec
    ◦   MCA- PI 1.12 (redistribution)
    ◦   Ductus venosus – positive A wave 32 cm/sec (normal)
   Biophysical profile score- 8/8 normal
   Anatomic evaluation- short femurs, mildly
    echogenic bowel
   Gramellini et al (1992) studied that in 30-41
    wks POG, MCA/UA PI ratio (cerebro-umbilical
    flow) <1.08 is better predictor of fetal
    insufficiency than MCA PI or UA PI alone.
    Diagnostic accuracy for the cerebral-
    umbilical ratio was 90%, compared with 78.8%
    for the middle cerebral artery and 83.3% for
    the umbilical artery.
   1990 G.Mari proposed the use of MCA
    dopplers for the diagnosis of anemia

   The sensitivity of the peak systolic velocity for the
    prediction of moderate anemia and severe anemia
    in the fetuses without hydrops was 100 percent
    , with a false positive rate of 12 percent. The
    positive and negative predictive values were 65
    percent and 100 percent, respectively.
   The risk of anemia was high in fetuses with a
    peak systolic velocity of 1.50 times the
    median or higher. Fetuses with values below
    1.50 either did not have anemia or had only
    mild anemia.
   the MCA PSV is effective for accurate
    diagnosis of fetal anemia and can avoid about
    70% of invasive procedures.
Doppler in IUGR

Doppler in IUGR

  • 1.
    Presented by Dr. Sandeep Garg (Resident) Department of Radiodiagnosis CMS 3rd Nov, 2011
  • 2.
    25 yrs female with 30 wks of POG and uncontrolled hypertension was referred from gynae/obsc dept for doppler.  USG and doppler findings include ◦ >HC/AC ratio 1.32 ◦ Severe oligohydraminos (AFI 3 cm) ◦ MCA PI 1.27 ◦ UA PI 1.39 ◦ MCA/UA PI ratio – 0.91  Impression: fetal hypoxia/ IUGR
  • 3.
    IUGR: fetus with birth weight <10th percentile for gestational age due to pathologic process.  SGA: fetus with birth weight <10th percentile for gestational age in the absence of pathologic process
  • 4.
    Aetiology Maternal Fetal Placental Constitutional Cong anomalies Abn Trophoblast Nutritional Chromosomal Velamentous cord Genetic Infections Circumvallate p Collagen vascular ds Multiple preg Pl Praevia Autoimmune disease Pl infarction HTN, Diabetes Tumors Renal disease Environmental
  • 5.
    Symmetrical : Uniformly small,  HC:AC,FL:AC-Normal  seen in chromosomal anomalies  Asymmetrical : fetal abdomen is disproportionately small (Head sparing effect)  HC>AC  HC:AC, FL:AC-Elevated 
  • 6.
    elevated HC/AC ratio (positive predictive value 62%)  elevated ratio of femur length to abdominal circumference (FL/AC)  presence of oligohydramnios without ruptured membranes  presence of advanced placental grade (Grannum grade 3)
  • 8.
    Typically, scores of 6 or below are considered frankly abnormal, and scores of 7 and 8 are considered suspicious.  Reduced biophysical profile scores are found in growth restricted pregnancies that already demonstrate abnormal umbilical and fetal Doppler findings.
  • 9.
    Most of these fetuses are constitutionally small, and are not suffering from uteroplacental insufficiency.  An inter-twin growth discrepancy of 20–25% is considered to be significant.  Twin-to-twin transfusion syndrome (TTTS)- Color Doppler findings in the donor are usually typical of uteroplacental insufficiency
  • 10.
    Quantitative analysis ◦ Pulsatility index (PI) ◦ Resistance index (RI) ◦ Systolic/diastolic ratio  Qualitative analysis ◦ Uterine artery: presence or absence of early diastolic notch ◦ UA : normal, with reduced diastolic flow, absent EDF, reversed EDF
  • 11.
    Uterine arteries branch into arcuate arteries, leading to spiral arteries within myometrium.  With advancing pregnancy, due to trophoblastic invasion of uterine spiral arteries, it dilates and result in fall in resistance to blood flow.  Uterine blood flow in non pregnant women is 50 ml/min and increase to over 700 ml/min in 3rd trimester.  Hence, in normal pregnancy diastolic component is transformed from one of low peak flow velocity and early diastolic notch , to one of high flow and no diastolic notch by 18 to 22 wks, PI value <1.2  PI >1.45 with bilateral notches (abnormal) is s/o clinically significant uteroplacental vascular ischaemia.
  • 17.
    Characteristic umbilical artery waveforms have also been correlated to various degrees of fetal hypoxemia and acidemia.  Absent end-diastolic frequencies ◦ 75% of the placental vascular bed has been obliterated ◦ 85% chance that the fetus will be hypoxemic and a 50% chance that it will also be acidemic.  Reversed end-diastolic frequencies ◦ ten-fold increase in perinatal mortality
  • 21.
    Fetal arterial waveforms are acquired from the thoracic aorta and middle cerebral arteries.  With fetal hypoxemia, there is conservation (or increase) of blood flow to the fetal brain, heart and adrenal glands with concomitant decrease in flow to the splanchnic bed and extremities. This phenomenon is termed ‘arterial redistribution of blood flow’, and serves to deliver oxygen and nutrients to vital organs in the face of impaired placental function.  Hence, fetal arterial Dopplers can be used to monitor fetal compensatory responses to progressively deteriorating placental function.
  • 22.
    MCA can be easily demonstrated by color doppler in transverese fetal head position.  At 28-32 wks, MCA is characterized by high systolic velocities and minimal diastolic velocities, resulting in high PI values (>1.45).  In fetal hypoxia, vascular tone is increased in MCA resulting in increased diastolic velocity and reduced PI values.
  • 24.
    Normal With hypoxia thereis cerebral vasodilatation, so initially the diastolic flow may be in the normal range ,when the vasodilatation ability is exhausted as with fetal acidosis the resistance starts increasing again.
  • 27.
    A longitudinal view of the fetal thoracic aorta is obtained with color flow imaging.  The pulsed Doppler sample gate should be placed on the linear portion of the descending thoracic aorta, above the level of the diaphragm
  • 28.
    The ductus venosus is the main vessel through which oxygenated blood returning from the placenta is directed to the fetal heart and circulation.  With worsening fetal hypoxemia, abnormal umbilical artery waveforms and severe fetal arterial redistribution develop.  In addition, there is also increased redistribution of highly oxygenated umbilical vein blood through the ductus venosus to the fetal heart.  When the fetal condition becomes critical, abnormal ductus venosus flow waveforms are seen.
  • 30.
    Normal Abnormal
  • 31.
    Biometry ◦ EFW 640 g (<10th centile) ◦ HC/AC ratio 1.35 (normal <1.2) ◦ AFI 7 cm (normal 10-20 cm)  Doppler ◦ Uterine arteries- B/L early diastolic notch ◦ Lt uterine artery PI 1.97, Rt PI 1.65 ◦ UA- absent EDF in both ◦ Smooth umbilical venous cord flow, peak vel 16cm/sec ◦ MCA- PI 1.12 (redistribution) ◦ Ductus venosus – positive A wave 32 cm/sec (normal)  Biophysical profile score- 8/8 normal  Anatomic evaluation- short femurs, mildly echogenic bowel
  • 32.
    Gramellini et al (1992) studied that in 30-41 wks POG, MCA/UA PI ratio (cerebro-umbilical flow) <1.08 is better predictor of fetal insufficiency than MCA PI or UA PI alone. Diagnostic accuracy for the cerebral- umbilical ratio was 90%, compared with 78.8% for the middle cerebral artery and 83.3% for the umbilical artery.
  • 34.
    1990 G.Mari proposed the use of MCA dopplers for the diagnosis of anemia  The sensitivity of the peak systolic velocity for the prediction of moderate anemia and severe anemia in the fetuses without hydrops was 100 percent , with a false positive rate of 12 percent. The positive and negative predictive values were 65 percent and 100 percent, respectively.
  • 35.
    The risk of anemia was high in fetuses with a peak systolic velocity of 1.50 times the median or higher. Fetuses with values below 1.50 either did not have anemia or had only mild anemia.
  • 37.
    the MCA PSV is effective for accurate diagnosis of fetal anemia and can avoid about 70% of invasive procedures.