Diseases of salivary glands
Done by : Weam Mahmoud Faroun
Student Number : 21410298
submitted to DR.Ghassan Habash
• The three major salivary glands are the
parotid gland, submandibular gland (also
called the submaxillary gland) and sublingual
glands.
• The minor salivary glands found in almost
every part of the oral cavity ,except the
gingiva and anterior region of the hard palate
Functions of saliava
Salivary gland disease
1. Sialadenitis
2. Obstuctive and traumatic leasins
3. Sjogren syndrome
1. Sialdenitis
Bacterial Viral
Post-
irratioation
sarcoidosis
Sialdenitis
• Inflammatory disorders of the major salivary
glands are usually the result of bacterial or
viral infection but occasionally sialadenitis is
due to other causes, such as trauma,
irradiation, and allergic reactions.
Bacterial sialadenitis
Acute
Chronic
Acute bacterial sialadenitis
• This uncommon disorder principally involves
the parotid gland.
• Acute paroritis is an ascending infection, char
is, the bacteria reach the gland from rhe
mouth by ascending the ductal system, the
main organisms involved being Streptococus
pyogenes and Staphyfococus aureus. Less
commonly, Haemophifm species or members of
the 'black-pigmented bacteroides' group may be
isolated.
• It was once a common postoperative complication in
debilitated and dehydrated patients, particularly
following abdominal surgery, but is a rare
complication nowadays.
• Reduced salivary flow is the major predisposing
factor, and acute parotitis may occur in patients with
Sjogren syndrome or following the use of drugs
with xerostomic side-effects.
• Acute infection may also arise in
immunocompromised patients or as a result of acute
exacerbation in a previously chronic sialadenitis. The
latter is usually the cause when acute sialadenitis
involves the submandibular gland.
Diagnosis
• The onset of acute sialadenitis is rapid.
Clinically, it presents as swelling of the
involved gland accompanied by pain, fever,
malaise, and redness of the overlying skin.
Pus may be expressed from the affected
duct and pain is radiated to the ear and the
temporal area
• Lymphoadenopathy of cervical lymph nodes
• An aspirated sample of pus should be obtained
by placing a fine catheter in the duct, a
microbiological swab of the discharge is likely to
be contaminated by a mixed saliva.
• Antibiotic sensitivity should be routinely
requested along with identity of microorganisms.
• However, because the results of culture and
sensitivity tests may not be available for 2-3 days,
the initial choice of therapy may have to be based
on information obtained from a gram stain of the
pus sample.
Treatment
• Antibiotic therapy should be started early,
with amoxicillin as the agent of first choice.
• A loading dose of 3 g amoxicillin may be
prescribed prior to therapy of (250-500mg) 3
times daily for 5 days.
• Flucloxacillin is a good choice.
• Alternatively, erythromycin may be prescribed
for patients with a hypersensitivity to the
penicillin group.
Chronic bacterial sialadenitis
• Chronic sialadenitis of the major salivary
glands is usually a non-specific
inflammatory disease associated with duct
obstruction, most often due to salivary
calculi and low-grade ascending infection.
• The submandibular gland is much more
commonly involved than the parotid gland.
• In cases where no cause of obstruction can
be identified, the predisposing factor may be a
disorder of secretion resulting in decreased
salivary flow.
• The sialadenitis is usually unilateral, and the
symptoms of recurrent tender swelling of the
affected gland are mainly related to the
associated obstruction.
• The duct orifice may appear inflamed and in
acute exacerbations there may be a purulent or
salty-tasting discharge.
Histological examination
• shows varying degrees of
• 1. dilatation of the ductal system
• 2. hyperplasia of duct epithelium
• 3. periductal fibrosis
• 4. acinar atrophy with replacement fibrosis
• 5. chronic inflammatory cell
• The duct obstruction, destruction of glandular
tissue, and duct dilatation (sialectasia) may be
demonstrated by sialography.
Treatment
• The principles of treatment are exactly the
same as those of acute sialadenitis.
Recurrent parotitis
• Recurrent parotitis is a rare disorder which
can affect children or adults.
• Rarely the adult form may follow on from
the childhood type, but in most cases it is
probably due to persistence of factors, such
as calculi or duct strictures, leading to
recurrent attacks of low-grade ascending
infection.
Treatment
• The condition may require long-term
antibiotic therapy, but symptoms generally
resolve around the time of puberty.
Viral sialadenitis
• Mumps (epidemic parotitis)
• It is the commonest cause of parotid
enlargement and the commonest of all the
salivary gland diseases.
• Although infection can occur at any age, it is
most common in childhood. The virus is
transmitted by direct contact with infected
saliva and by droplet spread, and bas an
incubation period of 2-3 weeks.
• Non-specific prodromal symptoms of fever and
malaise are followed by painful swelling of
sudden onset involving one or more salivary
glands.
• In addition to salivary gland swelling, pain and
tenderness, patients may complain of headeche.
• The parotid glands are almost always involved,
bilaterally in about 70 per cent of cases, and
occasionally the submandibular and sublingual
glands may be affected, but rarely without
parotid involvement
• The salivary gland enlargement gradually
subsides over a period of about 7 days. The
virus is present in the saliva 2-3 days before the
onset of sialadenitis and for about 6 days
afterwards.
• Occasionally in adults other internal organs are
involved, such as testes, ovaries, central nervous
system, and pancreas.
• Orchitis is the most common complication,
occurring in about 20 per cent of cases of mumps
in adult males.
• The diagnosis of mumps is usually made on
clinical grounds,but in atypical cases can be
confirmed by the detection of IgM class
antibodies and by the rise in serum antibody
titre co mumps virus antigens which occurs
within the first week.
• After an attack immunity is long-lasting and
so recurrent infection is rare.
Diagnosis
Treatment
• Symptomatic treatment with the use of
antipyretics, simple analgesics, fluid intake
and rest.
• Isolation is important
Postirradiation sialadenitis
• Radiation sialadenitis is a common complication
of radiotherapy and there is a direct
correlation between the dose of irradiation
and the severity of the damage.
• The latter is often irreversible leading to
fibrous replacement of the damaged acini and
squamous meraplasia of ducts, but with less
severe damage some degree of function may
return after several months.
• Serous acini are more sensitive to radiation
damage than mucous acini.
Sarcoidosis
• Sarcoidosis may affect the parorid and
minor salivary glands.
• Parorid involvement presents as persistent,
often painless, enlargement and may be
associated with involvement of the lacrimal
glands in Heerfordt syndrome.
Obstructive and traumatic lesions
• important factors in the aetiology of a number of
salivary gland diseases, such as chronic sialadeniris
in major glands and mucoceles in minor glands
• Duct obstruction may be due to a blockage within the
lumen or result from disease in or around the duct
wall, such as fibrosis or neoplasia. It can involve any
part of the ductal tree.
• Obstruction to the duct orifice is usually due to
chronic trauma, for example from sharp cusps or
overextended dentures, resulting in fibrosis and
stenosis
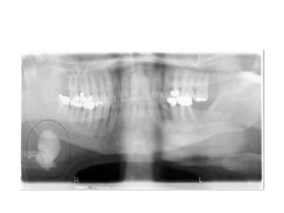
Salivary calculi (sialoliths)
• Salivary calculi cause obstruction within the duct lumen
and can occur at any age, but are most common in
middle-aged adults.
• Calculi may form in ducts within the gland or in the
main excretory duct.
• submandibular gland is most frequently involved,
accounting for about 70-90 per cent of cases
• The parotid gland is the next most commonly involved,
whereas sialolirhiasis in sublingual and minor glands is
uncommon and generally accounts for only about 2 per
cent of cases
• Calculi are usually unilateral, although multiple stones in
the same gland are not uncommon .
Symptoms
• The typical signs and symptoms of calculi associated
with major glands are pain and sudden enlargement
of the gland, especially at meal times when salivary
secretion is stimulated.
• The reduction in salivary flow predisposes to
ascending infection and chronic sialadenitis.
• The calculi may be detected by palpation and on
radiographs, and may be round or ovoid, rough or
smooth, and vary considerably in size.
• They are usually yellowish in colour and comprise
mainly calcium phosphates with smaller amounts of
carbonates
Diagnosis
• Clinically, there may be no abnormality at the time of
examination, although stimulation of salivary flow may
produce obvious extra-oral swelling of the affected
gland.
• Intraorally a calcified deposit may be seen at the
orifice or may be palpable within the duct.
• Radiography is helpful in confirming the diagnosis and
may reveal the presence of multiple lesions.
• However, not all calculi are radiopaque and therefore
sialography, which will also detect the presence of
mucous plugs, may be required.
Treatment
• At the present time, surgical removal of salivary caculi
is the treatment of choice.
• If the deposits are present at the anterior part of the
duct or its orifice, then a temporary suture should be
placed distal to the calculus to prevent any posterior
displacement during removal.
• A scalpel or dissecting scissors may be used to open
the orifice of the duct to gain access to the calculus.
• It is often preferable to either leave the wound open
or suture the edges to adjacent mucosa because
attempts at complete closure are likely to result in
occlusion of the duct lumen.
• Consideration has to be given to removal of the
gland when the calculus is either positioned
distally in the duct or within the gland itself.
• Intraglandular calculi, particularly those
occurring in the submandibular gland, can reach
a surprisingly large size without producing clinical
symptoms and these first detected as an
incidental findings on radiographs.
• Sialography should be performed 2-3 weeks after
the removal of any calculus to determine the
presence of structural gland damage
• There is evidence from salivary glands studies
using radioisotopic scanning that a previous
history of calculi within the submandibular
duct does not result in permanent reduction
of gland function.
• The same is probably not true of the parotid
gland, is composed mainly of serious acinar
cells which are likely to undergo atrophy
under back-pressure
Necrotizing sialometaplasia
• Necrotizing sialometaplasia is a relatively
uncommon disorder which clinically and on
histological examination may be mistaken for
malignant disease.
• It occurs most frequently on the hard plate in middle-
aged patients and is about twice as common in men
as women.
• It presents most commoaly as a deep crater-like
ulcer which may mimic a malignant ulcer and which
may take up to 10-12 weeks to heal (self limiting ).
• In some cases the ulcer may be preceded by an
indurated swelling.
Sjogren syndrome
• Sjogren syndrome is a chronic autoimmune
disease characterized by lymphocytic infiltration
and acinar destruction of lacrimal and salivary
glands, leading to dry eyes and dry mourh.
• In about half of the cases the syndrome occurs
in association with another autoimmune
disease, most frequently rheumaroid arrhriris or
systemic lupus eryrhemarosis.
•On this basis the syndrome is
divided into:
•primary Sjogren syndrome
•secondary Sjogren syndrome
• (1) primary Sjogren syndrome - the
combination of dry mouth (xerosromia), and
dry eyes (xerophrhalmia or keraroconjuncrivitis
sicca)
• (2) secondary Sjogren syndrome - the triad of
xerosromia, xerophthalmia, and an autoimmune
connective tissue disease (usually rheumatoid
arthritis)
• Primary Sjogren syndrome is also known as
the sicca syndrome. Unless otherwise
specified, the general term 'Sjogren
syndrome' is used to encompass both types.
• Sjogren syndrome predominantly affects
middle-aged females the female:male ratio
is about 9:1)
• symptoms related to dryness and soreness of
the mouth and eyes are common
presentations.
• Xerostomia may be associated with difficulty
in swallowing and speaking, increased fluid
intake, and disturbances of taste.
• In addition, it predisposes to oral
candidosis, bacterial sialadenitis, and
dental caries . The oral mucosa appears
dry, smooth, and glazed; lingual changes
may be prominent, the dorsum of the
tongue often appearing red and atrophic
and showing varying degrees of fissuring
and lobulation
• Kerato-conjuctivitis sicca manifests as dryness of
the eyes with conjunctivitis, and causes a gritty,
burning sensation
• Salivary gland enlargement is very variable.
Although approximately 30 per cent of patients
may give a history of such enlargement it is only
clinically apparent in about half that number.
• The enlargement is usually bilateral,
predominantly affects the parotid glands , and is
seldom painful.
• Lacrimal gland enlargement is uncommon.
• Clinical involvement of the minor salivary
glands is uncommon but they are involved at a
microscopic level. The glands show focal
collections of lymphoid cells, initially around
the intralobular ducts , and the number of such
foci reflects the overall severity of the disease.
• The semi-quantitative assessment of this focal
lymphocytic sialadenitis in biopsies of labial
minor salivary glands is an important
investigation in establishing a diagnosis of
Sjogren syndrome and forms one of the
internationally agreed diagnostic criteria.
• Other investigations useful in assessing the
degree of salivary gland involvement include
estimation of parotid salivary flow rates, which
are usually reduced, and sialography, which
shows varying degrees of sialectasis often
producing a 'snowstorm' or 'cherry tree in
blossom'-like appearance.
• Salivary scintiscanning using [99Tcm]
pertechnetate is also of value. The radioisotope
is concentrated in salivary glands and its
uptake is reduced in patients with Sjogren
syndrome.
• A variety of circulating autoantibodies can also be
detected of which antibodies to the nuclear antigens
known as Ro and La (also referred ro as SS-A and SS-
B, respectively) are the most important diagnostically.
• Anti-Ro antibodies are found in about 75 per cent of
patients with primary Sjogren syndrome and are also
found in patients with secondary Sjogren syndrome.
• Anti-la can also be detected in 40 per cent (or
more with sensitive assays) of patients with Sjogren
syndrome.
• The detection of anti-Ro and anti-La antibodies is
another important invesrigarion in establisbing a
diagnosis of Sjogren syndrome.
• In both primary and secondary Sjogren syndrome there
is a risk of B cell malignant lymphoma arising within
an affected gland
• Malignant change usually occurs late in the course of
the disease and may be associated with increased
swelling of the affected gland
• The development of lymphoma is associated with
proliferation of atypical lymphoid cells around the
epithelial islands . As the malignant population
expands there is destruction of the islands,
replacement of the inflammatory lymphoid infiltrate,
and obliteration of interlobular sepra leading to
diffuse infiltration of the gland by neoplastic cells.
Diagnosis
• Based on results of a number of tests, including stimulated
parotid salivary flow rates, lacrimal flow rates Schirmer
test), labial gland biopsy, sialography and immunological
studies.
• Sialometry – low salivary stimulated flow rate (less than 7
ml/min).
• Labial gland biopsy- lymphocytic infiltration, duct dilatation
and acinar loss.
• Autoantibodies screen- positive autoantibodies, in
particular rheumatoid factor, antinuclear.
• Sialography will show sialectasis
• Persistance swelling of the glands can be investigated by a
more modern technique particularly MRI, give much better
picture of soft tissue lesions and are essential if a tumor
suspected.
Treatment
• Treatment of the oral component of Sjogren’s
syndrome essentially consists of alleviating the
symptoms of xerostomia (salivary substitutes),
treating candidal infection and preventing dental
caries and periodontal disease.
• If there is any clinical suspicious of tumor
developing in any gland, then imaging and biopsy
is mandatory.
• Persistent parotid swelling in SS needs parotid
biopsies because this lesion may progress to B-
cell lymphomas.
References
• Tyldesley's Oral Medicine Anne Field & Lesley
Longman _5th Ed
• Oral Pathology J. V. Soames & J. C. Southam
_4th Ed

Diseases of-salivary-glands

  • 1.
    Diseases of salivaryglands Done by : Weam Mahmoud Faroun Student Number : 21410298 submitted to DR.Ghassan Habash
  • 2.
    • The threemajor salivary glands are the parotid gland, submandibular gland (also called the submaxillary gland) and sublingual glands. • The minor salivary glands found in almost every part of the oral cavity ,except the gingiva and anterior region of the hard palate
  • 4.
  • 5.
    Salivary gland disease 1.Sialadenitis 2. Obstuctive and traumatic leasins 3. Sjogren syndrome
  • 6.
  • 7.
    Sialdenitis • Inflammatory disordersof the major salivary glands are usually the result of bacterial or viral infection but occasionally sialadenitis is due to other causes, such as trauma, irradiation, and allergic reactions.
  • 8.
  • 9.
    Acute bacterial sialadenitis •This uncommon disorder principally involves the parotid gland. • Acute paroritis is an ascending infection, char is, the bacteria reach the gland from rhe mouth by ascending the ductal system, the main organisms involved being Streptococus pyogenes and Staphyfococus aureus. Less commonly, Haemophifm species or members of the 'black-pigmented bacteroides' group may be isolated.
  • 10.
    • It wasonce a common postoperative complication in debilitated and dehydrated patients, particularly following abdominal surgery, but is a rare complication nowadays. • Reduced salivary flow is the major predisposing factor, and acute parotitis may occur in patients with Sjogren syndrome or following the use of drugs with xerostomic side-effects. • Acute infection may also arise in immunocompromised patients or as a result of acute exacerbation in a previously chronic sialadenitis. The latter is usually the cause when acute sialadenitis involves the submandibular gland.
  • 11.
    Diagnosis • The onsetof acute sialadenitis is rapid. Clinically, it presents as swelling of the involved gland accompanied by pain, fever, malaise, and redness of the overlying skin. Pus may be expressed from the affected duct and pain is radiated to the ear and the temporal area • Lymphoadenopathy of cervical lymph nodes
  • 12.
    • An aspiratedsample of pus should be obtained by placing a fine catheter in the duct, a microbiological swab of the discharge is likely to be contaminated by a mixed saliva. • Antibiotic sensitivity should be routinely requested along with identity of microorganisms. • However, because the results of culture and sensitivity tests may not be available for 2-3 days, the initial choice of therapy may have to be based on information obtained from a gram stain of the pus sample.
  • 15.
    Treatment • Antibiotic therapyshould be started early, with amoxicillin as the agent of first choice. • A loading dose of 3 g amoxicillin may be prescribed prior to therapy of (250-500mg) 3 times daily for 5 days. • Flucloxacillin is a good choice. • Alternatively, erythromycin may be prescribed for patients with a hypersensitivity to the penicillin group.
  • 16.
    Chronic bacterial sialadenitis •Chronic sialadenitis of the major salivary glands is usually a non-specific inflammatory disease associated with duct obstruction, most often due to salivary calculi and low-grade ascending infection. • The submandibular gland is much more commonly involved than the parotid gland.
  • 17.
    • In caseswhere no cause of obstruction can be identified, the predisposing factor may be a disorder of secretion resulting in decreased salivary flow. • The sialadenitis is usually unilateral, and the symptoms of recurrent tender swelling of the affected gland are mainly related to the associated obstruction. • The duct orifice may appear inflamed and in acute exacerbations there may be a purulent or salty-tasting discharge.
  • 18.
    Histological examination • showsvarying degrees of • 1. dilatation of the ductal system • 2. hyperplasia of duct epithelium • 3. periductal fibrosis • 4. acinar atrophy with replacement fibrosis • 5. chronic inflammatory cell • The duct obstruction, destruction of glandular tissue, and duct dilatation (sialectasia) may be demonstrated by sialography.
  • 21.
    Treatment • The principlesof treatment are exactly the same as those of acute sialadenitis.
  • 22.
    Recurrent parotitis • Recurrentparotitis is a rare disorder which can affect children or adults. • Rarely the adult form may follow on from the childhood type, but in most cases it is probably due to persistence of factors, such as calculi or duct strictures, leading to recurrent attacks of low-grade ascending infection.
  • 23.
    Treatment • The conditionmay require long-term antibiotic therapy, but symptoms generally resolve around the time of puberty.
  • 24.
    Viral sialadenitis • Mumps(epidemic parotitis) • It is the commonest cause of parotid enlargement and the commonest of all the salivary gland diseases. • Although infection can occur at any age, it is most common in childhood. The virus is transmitted by direct contact with infected saliva and by droplet spread, and bas an incubation period of 2-3 weeks.
  • 25.
    • Non-specific prodromalsymptoms of fever and malaise are followed by painful swelling of sudden onset involving one or more salivary glands. • In addition to salivary gland swelling, pain and tenderness, patients may complain of headeche. • The parotid glands are almost always involved, bilaterally in about 70 per cent of cases, and occasionally the submandibular and sublingual glands may be affected, but rarely without parotid involvement
  • 26.
    • The salivarygland enlargement gradually subsides over a period of about 7 days. The virus is present in the saliva 2-3 days before the onset of sialadenitis and for about 6 days afterwards. • Occasionally in adults other internal organs are involved, such as testes, ovaries, central nervous system, and pancreas. • Orchitis is the most common complication, occurring in about 20 per cent of cases of mumps in adult males.
  • 28.
    • The diagnosisof mumps is usually made on clinical grounds,but in atypical cases can be confirmed by the detection of IgM class antibodies and by the rise in serum antibody titre co mumps virus antigens which occurs within the first week. • After an attack immunity is long-lasting and so recurrent infection is rare. Diagnosis
  • 29.
    Treatment • Symptomatic treatmentwith the use of antipyretics, simple analgesics, fluid intake and rest. • Isolation is important
  • 31.
    Postirradiation sialadenitis • Radiationsialadenitis is a common complication of radiotherapy and there is a direct correlation between the dose of irradiation and the severity of the damage. • The latter is often irreversible leading to fibrous replacement of the damaged acini and squamous meraplasia of ducts, but with less severe damage some degree of function may return after several months. • Serous acini are more sensitive to radiation damage than mucous acini.
  • 32.
    Sarcoidosis • Sarcoidosis mayaffect the parorid and minor salivary glands. • Parorid involvement presents as persistent, often painless, enlargement and may be associated with involvement of the lacrimal glands in Heerfordt syndrome.
  • 35.
    Obstructive and traumaticlesions • important factors in the aetiology of a number of salivary gland diseases, such as chronic sialadeniris in major glands and mucoceles in minor glands • Duct obstruction may be due to a blockage within the lumen or result from disease in or around the duct wall, such as fibrosis or neoplasia. It can involve any part of the ductal tree. • Obstruction to the duct orifice is usually due to chronic trauma, for example from sharp cusps or overextended dentures, resulting in fibrosis and stenosis
  • 36.
    Salivary calculi (sialoliths) •Salivary calculi cause obstruction within the duct lumen and can occur at any age, but are most common in middle-aged adults. • Calculi may form in ducts within the gland or in the main excretory duct. • submandibular gland is most frequently involved, accounting for about 70-90 per cent of cases • The parotid gland is the next most commonly involved, whereas sialolirhiasis in sublingual and minor glands is uncommon and generally accounts for only about 2 per cent of cases • Calculi are usually unilateral, although multiple stones in the same gland are not uncommon .
  • 37.
    Symptoms • The typicalsigns and symptoms of calculi associated with major glands are pain and sudden enlargement of the gland, especially at meal times when salivary secretion is stimulated. • The reduction in salivary flow predisposes to ascending infection and chronic sialadenitis. • The calculi may be detected by palpation and on radiographs, and may be round or ovoid, rough or smooth, and vary considerably in size. • They are usually yellowish in colour and comprise mainly calcium phosphates with smaller amounts of carbonates
  • 38.
    Diagnosis • Clinically, theremay be no abnormality at the time of examination, although stimulation of salivary flow may produce obvious extra-oral swelling of the affected gland. • Intraorally a calcified deposit may be seen at the orifice or may be palpable within the duct. • Radiography is helpful in confirming the diagnosis and may reveal the presence of multiple lesions. • However, not all calculi are radiopaque and therefore sialography, which will also detect the presence of mucous plugs, may be required.
  • 43.
    Treatment • At thepresent time, surgical removal of salivary caculi is the treatment of choice. • If the deposits are present at the anterior part of the duct or its orifice, then a temporary suture should be placed distal to the calculus to prevent any posterior displacement during removal. • A scalpel or dissecting scissors may be used to open the orifice of the duct to gain access to the calculus. • It is often preferable to either leave the wound open or suture the edges to adjacent mucosa because attempts at complete closure are likely to result in occlusion of the duct lumen.
  • 44.
    • Consideration hasto be given to removal of the gland when the calculus is either positioned distally in the duct or within the gland itself. • Intraglandular calculi, particularly those occurring in the submandibular gland, can reach a surprisingly large size without producing clinical symptoms and these first detected as an incidental findings on radiographs. • Sialography should be performed 2-3 weeks after the removal of any calculus to determine the presence of structural gland damage
  • 45.
    • There isevidence from salivary glands studies using radioisotopic scanning that a previous history of calculi within the submandibular duct does not result in permanent reduction of gland function. • The same is probably not true of the parotid gland, is composed mainly of serious acinar cells which are likely to undergo atrophy under back-pressure
  • 46.
    Necrotizing sialometaplasia • Necrotizingsialometaplasia is a relatively uncommon disorder which clinically and on histological examination may be mistaken for malignant disease. • It occurs most frequently on the hard plate in middle- aged patients and is about twice as common in men as women. • It presents most commoaly as a deep crater-like ulcer which may mimic a malignant ulcer and which may take up to 10-12 weeks to heal (self limiting ). • In some cases the ulcer may be preceded by an indurated swelling.
  • 48.
    Sjogren syndrome • Sjogrensyndrome is a chronic autoimmune disease characterized by lymphocytic infiltration and acinar destruction of lacrimal and salivary glands, leading to dry eyes and dry mourh. • In about half of the cases the syndrome occurs in association with another autoimmune disease, most frequently rheumaroid arrhriris or systemic lupus eryrhemarosis.
  • 49.
    •On this basisthe syndrome is divided into: •primary Sjogren syndrome •secondary Sjogren syndrome
  • 50.
    • (1) primarySjogren syndrome - the combination of dry mouth (xerosromia), and dry eyes (xerophrhalmia or keraroconjuncrivitis sicca) • (2) secondary Sjogren syndrome - the triad of xerosromia, xerophthalmia, and an autoimmune connective tissue disease (usually rheumatoid arthritis)
  • 52.
    • Primary Sjogrensyndrome is also known as the sicca syndrome. Unless otherwise specified, the general term 'Sjogren syndrome' is used to encompass both types. • Sjogren syndrome predominantly affects middle-aged females the female:male ratio is about 9:1) • symptoms related to dryness and soreness of the mouth and eyes are common presentations.
  • 53.
    • Xerostomia maybe associated with difficulty in swallowing and speaking, increased fluid intake, and disturbances of taste. • In addition, it predisposes to oral candidosis, bacterial sialadenitis, and dental caries . The oral mucosa appears dry, smooth, and glazed; lingual changes may be prominent, the dorsum of the tongue often appearing red and atrophic and showing varying degrees of fissuring and lobulation
  • 55.
    • Kerato-conjuctivitis siccamanifests as dryness of the eyes with conjunctivitis, and causes a gritty, burning sensation • Salivary gland enlargement is very variable. Although approximately 30 per cent of patients may give a history of such enlargement it is only clinically apparent in about half that number. • The enlargement is usually bilateral, predominantly affects the parotid glands , and is seldom painful. • Lacrimal gland enlargement is uncommon.
  • 58.
    • Clinical involvementof the minor salivary glands is uncommon but they are involved at a microscopic level. The glands show focal collections of lymphoid cells, initially around the intralobular ducts , and the number of such foci reflects the overall severity of the disease. • The semi-quantitative assessment of this focal lymphocytic sialadenitis in biopsies of labial minor salivary glands is an important investigation in establishing a diagnosis of Sjogren syndrome and forms one of the internationally agreed diagnostic criteria.
  • 59.
    • Other investigationsuseful in assessing the degree of salivary gland involvement include estimation of parotid salivary flow rates, which are usually reduced, and sialography, which shows varying degrees of sialectasis often producing a 'snowstorm' or 'cherry tree in blossom'-like appearance. • Salivary scintiscanning using [99Tcm] pertechnetate is also of value. The radioisotope is concentrated in salivary glands and its uptake is reduced in patients with Sjogren syndrome.
  • 61.
    • A varietyof circulating autoantibodies can also be detected of which antibodies to the nuclear antigens known as Ro and La (also referred ro as SS-A and SS- B, respectively) are the most important diagnostically. • Anti-Ro antibodies are found in about 75 per cent of patients with primary Sjogren syndrome and are also found in patients with secondary Sjogren syndrome. • Anti-la can also be detected in 40 per cent (or more with sensitive assays) of patients with Sjogren syndrome. • The detection of anti-Ro and anti-La antibodies is another important invesrigarion in establisbing a diagnosis of Sjogren syndrome.
  • 62.
    • In bothprimary and secondary Sjogren syndrome there is a risk of B cell malignant lymphoma arising within an affected gland • Malignant change usually occurs late in the course of the disease and may be associated with increased swelling of the affected gland • The development of lymphoma is associated with proliferation of atypical lymphoid cells around the epithelial islands . As the malignant population expands there is destruction of the islands, replacement of the inflammatory lymphoid infiltrate, and obliteration of interlobular sepra leading to diffuse infiltration of the gland by neoplastic cells.
  • 63.
    Diagnosis • Based onresults of a number of tests, including stimulated parotid salivary flow rates, lacrimal flow rates Schirmer test), labial gland biopsy, sialography and immunological studies. • Sialometry – low salivary stimulated flow rate (less than 7 ml/min). • Labial gland biopsy- lymphocytic infiltration, duct dilatation and acinar loss. • Autoantibodies screen- positive autoantibodies, in particular rheumatoid factor, antinuclear. • Sialography will show sialectasis • Persistance swelling of the glands can be investigated by a more modern technique particularly MRI, give much better picture of soft tissue lesions and are essential if a tumor suspected.
  • 66.
    Treatment • Treatment ofthe oral component of Sjogren’s syndrome essentially consists of alleviating the symptoms of xerostomia (salivary substitutes), treating candidal infection and preventing dental caries and periodontal disease. • If there is any clinical suspicious of tumor developing in any gland, then imaging and biopsy is mandatory. • Persistent parotid swelling in SS needs parotid biopsies because this lesion may progress to B- cell lymphomas.
  • 67.
    References • Tyldesley's OralMedicine Anne Field & Lesley Longman _5th Ed • Oral Pathology J. V. Soames & J. C. Southam _4th Ed