With the era of digital imaging upon us, new radiographic image
enhancement tools and features are available that were not
previously available on film/screen imaging systems. Many
radiologic technologists working today may not have had an
opportunity to learn about digital imaging equipment, including
those new tools and features that they may currently be using.
Along with these new tools comes new image critique
requirements that must be met in addition to the traditional
critique guidelines that have existed for so long.
Digital Radiography Image Critique was written to serve as a
practical guide to familiarize the radiologic technologist and
radiography students with current aspects of image critique, as
well as to serve as a refresher for existing criteria for optimum
radiographs. This eBook is intended to be a free resource for
anyone performing radiography to evaluate his or her images
prior to submission to the radiologist. It was written to be easy
to understand in contrast to an official textbook description of
the concepts covered.
It is my hope that by reading this you will have obtained
additional knowledge of how to improve your radiographs while
utilizing the lowest dose possible (ALARA). This eBook may not
accomplish that goal for everyone, but in that event I can only
hope it may be used as a resource to forward onto someone
who may be in need of information shared here.
Digital Radiography Image Critique
Topics in Radiography
News and Tips in the World of X-Ray
Digital Radiography Image Critique
Text by Jeremy Enfinger © 2015
This work is licensed under Creative Commons Attribution-
NonCommercial-NoDerivatives 4.0 International License, also
known as “free advertising” license. Readers may share this
work freely with others under the following conditions: Provide
appropriate credit to the author by listing the author’s name
and website (Jeremy Enfinger at
http://topicsinradiography.com). Provide the appropriate link
to creative commons licensing
(http://creativecommons.org/licenses/by-nc-nd/4.0/). You may
not use this material for commercial purposes. If you remix,
transform, or build upon the material, you may not distribute
the modified material. By sharing this entire document
unaltered, you are meeting these conditions.
Visit our website at http://topicsinradiography.com
First eBook edition 2015
Digital Radiography Image Critique
Contents
Digital Radiography Image Critique .............................................4
Introduction .............................................................................6
Required Anatomy...................................................................8
Part Positioning......................................................................12
Exposure to the Image Receptor ...........................................18
Sensitivity Number (S#):.....................................................19
Exposure Index (EI).............................................................20
Log Median Exposure (LgM) ..............................................21
Evaluation of Overexposure...............................................22
Evaluation of Underexposure ............................................24
ROI......................................................................................27
REX .....................................................................................28
Image Brightness and Contrast..............................................31
Evidence of Motion................................................................38
Evidence of Artifacts ..............................................................41
Removable Artifacts...........................................................41
Non-removable Artifacts....................................................43
Mechanical Artifacts ..........................................................44
Identifying Markers................................................................48
Patient Demographics........................................................48
Radiopaque Anatomical Markers.......................................49
Exam-Specific and Dose-Related Markers .........................50
Evidence of Radiation Protection ..........................................52
Search for Pathology..............................................................55
Considerations with Digital Radiography...............................57
Processing Algorithm .........................................................57
QC your Images..................................................................59
Annotations........................................................................60
Patient History ...................................................................61
CR Image Plate Erasure......................................................62
Conclusion..............................................................................64
About the Author...................................................................66
Other Books ...........................................................................67
Introduction
We all learn the basics of radiographic image critique in school
to become radiologic technologists, but how much of what we
learned is carried over to every-day practice or our regular
habits from exam to exam? With the advancements being
made in software regarding image processing algorithms and
post-processing manipulation, it’s easy for any radiographer to
become complacent in these skills once learned on film/screen
systems or with previous, less effective versions of software.
For some, complacency may not be the problem. Perhaps
you’ve never been properly educated in image critique for
digital radiography. Or maybe you just want a refresher in
image critique skills to become a better technologist all around.
Regardless of your reason, I’m glad you found your way here to
be reading this right now. Self-improvement in any specific area
of performance requires three things: First, you need
recognition of that needed improvement. Second, a desire to
change from your current pattern to the one you seek to adopt.
And finally, and the most difficult of the three, regular
intentional effort to carry out the improved process. Many
learn the first two, which I will attempt to provide here, but
some accountability must lie on you to make these
improvements for every patient, every time.
My goal is not to provide you with some mindless checklist of
things to look at after each exposure is made, but with a living,
breathing call to action. With the right mindset, this can be an
incredibly useful tool for you and your entire diagnostic imaging
department. With each aspect of your images I am about to
discuss, you need to look at them objectively and with a sharp
eye. For every single criteria checkpoint you do not meet on
any image you are evaluating, you need to ask yourself some
questions:
1. What caused you to be unable to meet this particular
criteria? You need to identify the reason the criteria
could not be met. For some items on our critique
checklist like various types of artifacts, this may take
time to develop simply by continuing to work on each
item before you begin to recognize the artifacts and
what may have caused them. All artifacts have a unique
radiographic appearance and it will just take continuous
exposure to viewing these and/or some trouble-
shooting to be able to identify some things at first
glance. If you don’t know what caused it, you are going
to have a tough time trying to fix it.
2. Was the error avoidable? Sometimes further
investigation into the error is required to answer this. I
hope to provide you with some tools to help you
determine the answer quickly. If any error is avoidable,
think about what methods or tools are at your disposal
to fix it. If not, (and I can’t stress this enough),
document why you could not meet the specific criteria.
I’ll get into more about this later, but just remember to
document, document, document!
3. Is a repeat exposure necessary? In order to determine
if a repeat exposure is necessary, there are a few
questions you need to ask. If you do not meet certain
exam criteria, will it cause you to potentially miss a
positive finding? Is there any advantage to NOT
providing a repeat image? This is the part where good
communication with the radiologist may be necessary.
A general rule of thumb I learned in school is “if you’re
not sure you should repeat it, you probably should”.
But every situation is unique, and you may find yourself
in a position where a repeat is not possible or the risks
of a repeat may outweigh the benefits. Again,
document and consult the radiologist if needed.
Required Anatomy
First and foremost, a good radiologic technologist will be able to
get the required anatomy within the exposure field, while
preventing unnecessary anatomy from being included. We
spend the majority of our radiography program learning how to
identify anatomy required for each projection and to position
our patients and palpate bony landmarks as a reference point to
be able to include what’s needed.
A good technologist should be able to label all of the anatomy
seen on any radiograph. In addition, we develop the skills to
think three-dimensionally by examining the relationships
between one part of the patient anatomy and another. This
allows us to evaluate not only whether or not our exams are
demonstrating the specific anatomy any view is intended for,
but to also evaluate appropriate positioning of the patient. If
you’d like to brush up on your radiographic anatomy, follow me
on Pinterest, where I have a “Radiographic Anatomy” board full
of images that are labeled.
Keep in mind that the curriculum for any JRCERT-accredited
radiography program only requires the most common exam
types, and what you learned in school will not necessarily be an
all-inclusive education for every exam you may be required to
perform at your current place of employment. That being said,
you should have the ability to look up a particular exam in a
positioning textbook or department protocol manual to identify
the anatomy you are required to obtain in the particular view
you are performing.
Since we typically perform more chest x-rays than any other
exam and it is usually the very first part taught in a radiography
positioning course, I will make an example of the PA or AP view
that any reader should be able to relate to.
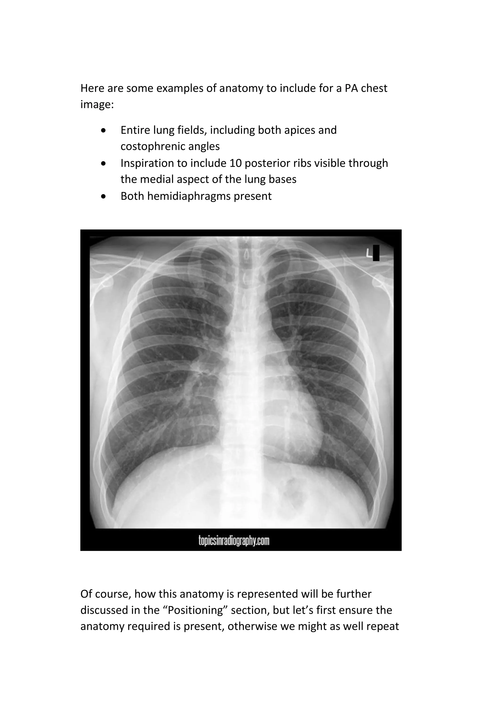
Here are some examples of anatomy to include for a PA chest
image:
 Entire lung fields, including both apices and
costophrenic angles
 Inspiration to include 10 posterior ribs visible through
the medial aspect of the lung bases
 Both hemidiaphragms present
Of course, how this anatomy is represented will be further
discussed in the “Positioning” section, but let’s first ensure the
anatomy required is present, otherwise we might as well repeat
the exposure now. Failure to include all of the anatomy makes
up a large portion of most repeat rates today. There is no
software compensation for this, and 100% of the outcome is
within the radiographer’s control.
I don’t plan on re-inventing the wheel here in this guide. If you
are a student or if you’re a seasoned technologist performing an
exam that is new to you or performed infrequently, I suggest
having a positioning book handy in the clinical environment for
you to reference when you need to. Also, make sure to check
your department protocol for variances to the requirements
specified in any textbook.
One thing I will mention, however, is additional tools made
available to us with digital radiography – these I will discuss in
detail a bit later. If you are having trouble distinguishing
whether or not the required anatomy has been captured on any
radiography, you may QC your images with tools like
magnification, window and level. If you make these
adjustments during the QC process and determine you have
indeed captured all of the pertinent anatomy, make sure to
reset your image properties back to the original captured
conditions prior to sending your radiograph to PACS for viewing
by the radiologist. The reason for this, too will be covered in
greater detail later in this book.
One example of a variance might be your hospital’s routine for
performing a limited orbit series for pre-MRI screening. Some
hospitals I have worked in require a Water’s view of the orbits
(coned down to the orbital rims) and a lateral view. Another
hospital I worked for required two Water’s views of the orbits.
One of them should be taken while instructing the patient to
look at the ceiling and the second image while instructing the
patient to look at the floor. Additional views were sometimes
required in the event that metal was found or a potential
artifact like dust on the CR image plate.
The point is, if you’re reading this, you should already know or
at least have accessible the expectations of your department
and/or physicians you’re working with daily.
Part Positioning
Once you have verified that the required anatomy is visible
within the exposure field, it must be demonstrated properly.
Providing a uniform method for presentation allows the
radiologists to compare previous images to the current one.
The more variation there is between exams, the more difficult it
can be to document and measure any changes that may have
occurred since the previous image was taken. This is incredibly
important when evaluating pathologies like pneumonia or
carcinoma, or any other condition which may display evidence
of rapid change.
This is exactly the reason why we spend several semesters in
school learning the positioning criteria to be followed for all of
the exams we’re responsible for performing in the clinical
environment. We keep our SID, tube angles, kVp ranges, focal
spot sizes and exposure to the image receptor uniform (or as
uniform as possible) so that any technologist can replicate the
exam conditions, and the radiologist knows they are comparing
apples to apples when visualizing a new x-ray vs. a prior exam.
I have a very simple way of thinking of this concept. If you were
to view the new image being superimposed over the old image
like tracing paper, it’s your job to attempt to observe and
identify subtle differences between the two images. This is of
extreme importance to the radiologist because they are viewing
one two-dimensional image of a three-dimensional object to
another two-dimensional image of a three-dimensional object.
Any noticeable differences will be included in their dictated
reports.
It’s a matter of perspective. To understand perspective,
imagine sitting at a desk and placing two identical wooden
blocks in front of you, side by side on a table with about 1 inch
separating them. Take a photo with your digital camera or your
smart phone from where you are sitting. Now slide your chair 1
foot to your right and take another picture with the same
camera. You’ll notice the outline shape of the blocks changing,
as well as the distance between the blocks appearing narrower.
The same is true of any radiograph, only there is more intricate
anatomy being shifted when the perspective changes. When
the conditions of performing a photograph or radiograph are
not kept uniform, the resulting image appearance changes. One
of the aspects of our jobs as radiologic technologists is to
provide similar perspective in our images to help the physicians
compare previous images to the most current, and having a
standardized routine of positioning guidelines (and following
them closely) is our best way to accomplish that.
Positioning criteria for all exams should include:
1. Anatomy free of superimposition of other structures
2. Presentation without rotation or tilt
3. Appearance of pertinent anatomy without distortion
(foreshortening or elongation)
4. Some positions will require presentation of specific
anatomy in a particular location or position in reference
to another anatomical structure (i.e. lordotic chest
should display clavicles superior to lung apices)
Here are some examples of positioning criteria for a PA chest:
 Shoulders rolled forward to remove as much of the
scapulae as possible from the lung fields
 Chin extended and away from trachea
 Arms abducted to prevent soft tissue superimposition
over the lungs
 Sterno-clavicular joints symmetrical and superimposing
lateral margins of the thoracic spine
 Clavicles superimposing apices
 Posterior ribs symmetrical
This image obviously falls short, but someone thought it was
good enough to submit to the radiologist for a reading without
a repeat exposure. I would hope to be able to use this as an
example of what not to do.
This, of course is assuming there were not special
circumstances. Many factors must be considered in attempting
to determine why this image was submitted without a repeat
exposure to obtain better positioning and the remainder of the
required anatomy. For instance, if this image was produced for
central line placement during a Code Blue, the relevant criteria
gives the technologist some leeway. The pertinent information,
in that case, would be to localize the tip of the central catheter,
which has been accomplished. A repeat may or may not have
been possible at the time of this exam. Questions to consider
include how often the patient receives a chest x-ray. If the
patient is in ICU receiving at least one chest x-ray per day, the
radiologist (not the technologist) may have deemed it
unnecessary to retrieve an additional image right away. Other
questions to consider are “was there underlying pathology that
was missed, and was that part of the reason for the ordering of
this exam”?
Considering a different perspective while looking at this
radiograph, if there had been a chest tube inserted to re-inflate
the lung inferior to the exposure field, it could represent a
critical element of the exam that is not being properly
evaluated. What if the chest-tube had been displaced, and was
contributing to the reason that the patient coded? Again, these
are decisions for the radiologist to make. The radiologist may
even decide to consult the ordering physician over the phone
before determining whether you need a repeat exam or not.
Regardless of whether that happens or not, documentation of
any reason your images do not possess the minimum
positioning criteria is crucial.
When performing a repeat exposure on an image that is missing
required anatomy, it would be more beneficial to position the
image receptor to include the missing anatomy – in this case,
the lung bases. The disadvantage to attempting a repeat to
include the apices is the potential to clip the bases and
costophrenic angles a second time, thus requiring not only a
second exposure to radiation, but now a third in order to fully
evaluate the patient’s exam.
It should also go without saying, but the repeat (or additional)
exposure should be taken as soon as possible after the original
exposure was taken. The lungs can have pathological changes
rather quickly, so make it a priority to perform the additional
exposure without delay.
The image above is clearly rotated. There is asymmetry of the
posterior ribs and clavicles, and the sterno-clavicular joints are
located to the patient’s left side in comparison to the thoracic
spine. If a radiologist is attempting to compare this image to a
previous one that was appropriately positioned, they may
notice a variance between the distance measured from the left
(lateral) aspect of the heart and the lung wall on the patient’s
left side. Also, depending on whether it lies anteriorly or
posteriorly, the density seen in the right lung base may have
shifted one direction or another to the right or left. It could also
take on the appearance of a different shape. Remember, they
can use measuring tools, but are limited to measurements
between two points. Comparing that density from different
perspectives caused by patient rotation is not very useful.
Positioning, again is something we should all be familiar with,
but without regular practice at evaluating this aspect of your
radiographs, you will find it tough to improve in the subtle
details and efficiency.
Exposure to the Image Receptor
With film/screen imaging systems, this was easy to evaluate by
simply looking at the area of interest and determining whether
or not there was enough radiographic density (darkness) to
provide anatomical information there. With Computed
Radiography (CR) and Digital Radiography (DR), the software
utilized to process these images is programmed to compensate
for differences in exposure. In other words, if a radiograph is
underexposed or overexposed, the software adjusts the
appearance to be presented on the monitor as optimum. You
could compare a radiograph with optimum exposure beside a
radiograph that was exposed with four times the necessary
exposure to produce an optimum image, and on the monitor,
they would look almost identical.
In digital imaging, the technologist loses the visual relationship
between amount of exposure and darkness (Optical Density) of
the radiograph that was once there on plain film. I was trained
on film/screen imaging, and it’s difficult to break out of the
mindset that twice the mAs equals twice the density. It may
help to think of digital imaging in the sense that Optical Density
is no longer a unit of measurement. How dark (or how bright) a
digital image appears is now termed “Image Brightness”. When
a technologist decides to double the mAs value, there is no
longer a recognizable relationship with Image Brightness of
equal proportions, if at all due to the image processing software
that is being applied.
This is possibly one of the most difficult aspects to get used to
for any technologist that was initially trained on film/screen
imaging. If you cannot rely on visual appearance to determine
whether or not the radiograph had the proper exposure of
radiation, you must rely on something else. This is why vendors
have included some form of Exposure Indicator. I will discuss
the three most popular Exposure Indicators here and two
additional features some vendors offer, though they are not all-
inclusive, there are outliers that are similar and a basic
explanation of these three will provide you a basic
understanding of how to interpret the one you currently use.
The main items to look for within each system are:
 Know the normal range of exposure (per department
and/or vendor guidelines)
 How to correct your exposure factors on a repeat image
to ensure appropriate exposure is used
 How to tell if an image is overexposed vs. underexposed
o Overexposure may not always require a repeat
if pertinent anatomy is visible
o Look for quantum mottle (noise) as an indicator
for underexposure
Sensitivity Number (S#):
The S# has an inverse relationship to radiographic exposure. As
exposure increases, S# decreases. It also has a proportional
relationship to exposure. If exposure doubles, the S# is halved.
The typical range of exposure my fall somewhere between 200
and 300, depending on the body part.
If you perform a PA chest x-ray using 110 kVp and 6.4 mAs and
have an S# of 100, you have used approximately twice the
exposure required. To compensate, you could lower your mAs
to 3.2 to ideally produce an S# of 200. Note: with most
overexposures, a repeat is not required if you can visibly
identify all required anatomy. It is only with gross
overexposure that you need to consider a repeat. I will provide
some examples of this soon. This principle applies to all digital
imaging, including CR and DR technology.
If you perform another PA chest using 110 kVp and 2 mAs,
producing an S# of 1200, you have underexposed your image.
When setting a repeat technique, think in terms of what the S#
will change to by doubling your mAs. If you double once to 4
mAs, your S# should drop to 600. Double again to 8 mAs and it
should drop to 300 (at the high end of the optimal range). I
would probably add 5 kVp or go to 10 mAs (either option, not
both) to get my estimated S# right in the middle of that
optimum range.
*Note: I have seen several vendors utilize this system with an
identical numerical relationship, but that do not necessarily call
it “S#”.
Exposure Index (EI)
The EI has a direct relationship to radiographic exposure. As
exposure increases, EI increases. It does not, however, have a
proportional relationship. For every double in exposure (2x the
mAs for example), the EI should increase by a factor of 300. For
every half in exposure, the EI should decrease by 300. The
optimal range for most exams using EI is between 1700 and
2100.
If a PA chest radiograph is performed using 110 kVp and 2 mAs
with an EI of 1100, it will produce an underexposed image.
Doubling mAs once to 4 mAs should produce an EI of 1400, and
doubling again to 8 mAs should get you into the 1700 range.
An overexposed PA chest radiograph using 12 mAs may produce
an EI of 2500. Halving your mAs to 6.4 will reduce the EI to
2200, and halving again to 3.2 mAs would get it in the
appropriate range of 1900. Again, be mindful of overexposure
and check other criteria before determining whether or not to
repeat.
Log Median Exposure (LgM)
The LgM exposure indicator has a direct relationship to
radiographic exposure. As exposure increases, LgM increases.
It does not have a proportional relationship. For every double
in exposure, LgM increases by a factor of 0.3. For every half in
exposure, it will decrease by 0.3. The optimal range for LgM
should be around 1.9 – 2.1.
If you recall from film/screen imaging, these numerical values
are representative of the sensitometric curve’s x-axis, which
was a logarithm of exposure. As in the curve, every increment
on the x-axis of 0.3 indicated a double in exposure. The LgM
exposure indicator is relative to the imaging system’s speed
class, and represents the median values of interest of the
image’s dynamic range (similar to the straight-line portion of
the S-curve).
If an overexposed PA chest radiograph used 10 mAs, producing
an LgM of 2.4, the mAs could be cut in half to 5 mAs to produce
an ideal 2.1 LgM. If an underexposed image using 4 mAs
produced an LgM of 1.2, you could use 4 x the mAs (16 mAs – or
double the 4 twice) to produce a new radiograph with 1.9 LgM.
Evaluation of Overexposure
As I previously stated earlier, overexposure may not necessarily
require a repeat to be taken. If you produce a radiography that
is 4 x overexposed, but you can see everything needed without
a repeat, then there’s no need to give an additional dose for the
sake of getting your Exposure Indicator in the optimum range.
This has been an arguing point for me with some other
technologists and even instructors I’ve worked with. I agree you
should take note of these overexposures and track your
progress in effort to improve and prevent your first image from
being overexposed with any exam. It doesn’t make any sense at
all to be so strict in your regimen of having the ideal Exposure
Indicator that you are encouraging additional and unnecessary
exposure to a patient by repeating an image that was
overexposed if you meet all other diagnostic criteria (key word
being unnecessary).
Some imaging professionals think this is a black and white issue,
while I tend to believe there’s a longer scale of contrast (pun
intended). If unsure whether an image should be repeated
when it is overexposed, consult the radiologist.
There is a point where overexposure will degrade image quality
on a radiograph. Once you get above 4x overexposure on most
systems, look for signs of image burnout when you QC an image
at your control panel. Try window/leveling images to look for
regions of anatomy (at the thinnest regions) that are too dark
and are unrecoverable. These areas represent no differential
absorption happening in the patient. The x-ray beam physics
remain the same as with film/screen. You will notice that with
extreme overexposure, thinner areas of anatomy are not
recoverable with window/leveling.
In the example radiograph below, the technologist performed a
chest x-ray on the patient prior to performing a tib-fib. The
chest technique was not changed prior to the exposure of the
image. Utilization of high kVp allowed all of the x-ray photons
to penetrate the soft tissue to the extent that it is no longer
visible. You will also notice that thinner regions of bony
anatomy were non-recoverable as well. In this situation, a
repeat exposure is required.
What stands out to me in this example is the similarity in
appearance this image has to an overexposed film/screen
image. You only needed to use about twice the exposure
needed on film/screen to produce this effect, while in digital
imaging, it’s quite a bit more – usually a minimum of 5-6 times
overexposed. Now that’s dynamic range!
Evaluation of Underexposure
Most of the images that are underexposed will require a repeat
exposure. As a rule of thumb, I would recommend any
exposure made with less than 50% of the required exposure to
provide an optimum Exposure Indicator be thoroughly
evaluated. Though software will make this image appear
adequate, a magnified evaluation of the image is required.
Image noise, or quantum mottle, is almost always present with
underexposure within this range, and you may not see it on
your small QC image presented at the technologists’ control
panel. Even if you can magnify your images at the control
panel, I would still recommend transferring the image to a PACS
terminal and review the image in greater detail there.
Once the exposure indicator drops to around 25% of the
exposure required to provide an image in the optimum range,
image noise (otherwise known on film/screen imaging as
quantum mottle) will always be present, and a repeat will be
required. You can certainly perform the thorough investigation
utilizing a PACS terminal, but I haven’t found a system in my
experience that would not display noise within this exposure
range.
*Note: If you are unsure whether or not there is image noise
present in your image, the magnification tool in the QC stage of
your exam. The monitor you are using at the technologist’s
control panel is not nearly as high-resolution as the monitor the
radiologist will be viewing from. As you can see, the signal is
incredibly poor when magnified, which increases the chance of
a hairline fracture or buckle may not be visualized with an
underexposed image compared to one that is optimally
exposed.
Any image noise you see present on the low resolution monitor
during image QC will only be amplified for the radiologist, so as
a rule of thumb, consider a repeat of noise is obvious as in the
image above.
ROI
ROI stands for “Region of Interest”. Some systems have this
feature that can be utilized after the initial exposure as a post-
processing option. When the overall image quality is less than
optimum, this tool allows the technologist to plot a region on
the radiograph that the technologist would prefer to have a
different appearance. Based on the data in the region selected,
there is a post-processing feature that will manipulate the
brightness and contrast of an image to better represent the
area plotted.
The adjustment makes the change to the entire image which is
updated in real time, and can be re-plotted several times until
the technologist is pleased with the appearance prior to sending
the image to PACS. Make sure to check with the vendor when
utilizing this feature. You want to ensure the original captured
data set is not manipulated when using this feature as it will
limit the amount of adjustment the radiologist can perform in
the reading room.
I should point out that this tool has limitations. Take note of the
exposure indicator for your image prior to utilizing the ROI tool.
Having an indicator outside the acceptable range will
proportionally inhibit the functionality of this feature. The
further outside the range, the less this will work.
REX
REX stands for “Relative Exposure” and is very similar to the ROI
feature I just explained. The one difference that separates the
two is that REX provides a numerical value that will change
when different regions of the radiograph are plotted.
Do not use the REX value as an indicator of appropriate
exposure to the image plate. This is a great tool if used
properly, but I have seen more technologists and vendors
misunderstand its proper use than any other digital imaging
feature in my professional experience.
You must use the Exposure Indicator value to determine
appropriate exposure to the plate. You will notice that systems
that possess a REX value also possess an Exposure Indicator of
some kind. I’m going to use Canon DR as an example because
it’s what I most recently used in a clinical setting and it’s what
I’m familiar with. If I expose a knee x-ray, the system produces
two numbers. For example, an EI of 250 may have been
produced and a REX value of 800 is seen. The EI is within range
according to my department guidelines, but the REX is not (and
usually when the REX is not in range, the image brightness is not
optimum).
If I thought the image appeared too light, I might choose to
utilize the REX tool and plot a square region to encompass the
bony anatomy at the knee joint, being careful to exclude too
much soft tissue. When I do this, the REX number changes to
600 (which was recommended by the vendor), but my EI
remains the same. What’s happening is the image appearance
is changing as if the exposure to the plate had been different,
hence “Relative” Exposure. The actual exposure to the plate
stayed the same, represented by the EI.
If your original Exposure Indicator is outside acceptable
parameters, the REX feature will be limited to the extent it can
“fix” your image. You will still see the effects of over or under-
exposure as described above, even if you can plot a region on
the image that changes the REX to the recommended value.
This concept confused a lot of technologists who received mixed
messages from the applications training from the vendor who
installed the equipment where I was working at the time, vs
what the x-ray equipment company was telling us during
installation and shortly thereafter. We were mistakenly told by
one of them (the vendor or the installer) that as long as they
were able to get a REX value to be “around 600”, the image
would be acceptable when it was sent to the radiologist
(regardless of the EI). It wasn’t until after the applications team
left our facility that the radiologists started complaining about
the image quality. It was at that point that I pulled out the four-
inch thick user’s manual for the DR image plate and decided to
dig in.
Through regular quality control efforts and communication with
the radiologists, my department was able to produce our own
technique charts with recommended primary EI values for each
body part needed, plus suggested REX values to achieve once
the EI was in range. This produced the best, most consistent
outcome of the DR system in place. It’s still in use today,
though I no longer perform radiography at that facility.
If you don’t take away anything else from this section, make
sure you understand that the exposure indicator shows data
from the original captured image, and does not change. The
REX value should be thought of as a tool for post-processing,
and can change.
Image Brightness and Contrast
Though the processing algorithm is designed to create an
optimum brightness and scale of contrast for digital images, the
most important thing we need to remember is that the beam
physics remain the same. The auto-corrections and post-
processing alternatives are amazing, and should be utilized to
maximize image quality prior to delivery to the radiologist, but
even these tools have limitations to what they can do. The
higher the quality of the remnant beam reaching the image
receptor, the better these tools will be at making improvements
to the final image. Conversely, if you supply a sub-par remnant
beam to the image receptor that does not utilize optimum
beam mechanics, you may end up with a useless radiograph in
need of a repeat exposure.
How do we supply a high-quality beam to the IR with the
maximum potential to allow the software to do its job? By
supplying the appropriate exposure to the IR, and by doing as
much as possible to eliminate scatter radiation. Scatter has
even more of a negative effect on image quality with digital
equipment than it did with film/screen imaging. Because digital
systems interpret any radiation exposure including scatter
radiation as simple data, it does not distinguish it as
“unnecessary” and cannot account for it like some technologist
believe it can. In fact, when the processing algorithm is
manipulating the raw data, it can interpret an increase in
scattered photons to be an “overexposed” image. It will then
do what it was programmed to do with any overexposure… it
manipulates the final image to appear lighter.
Remember when I said if you expose a digital image with 4
times the exposure required, it will make it appear optimal?
The computer doesn’t know the difference between
overexposure and scatter. The problem is simple overexposure
will contain photons in areas that are radiolucent in higher
quantity. Scatter radiation places photons all over the image,
which reduces the difference in exposure reaching the image
receptor, therefore minimalizing the effects of differential
absorption. With an increased amount of scatter radiation
reaching the image plate in various locations, the entire image
will be adjusted according to the instructions in the processing
algorithm, and it will produce a low-contrast image.
In the image above, the image plate was exposed with the
appropriate quantity of radiation and the Exposure Indicator
was within range. It is because of excess scatter radiation that
the image looks washed out and possesses low-contrast.
You probably already know the methods for reducing scatter,
but here’s a review of some primary ways that will keep your
digital images looking amazing:
 Beam limitation – collimation. More tissue irradiated
means more scatter radiation produced at the image
receptor
 Use of grids – definitely for parts over 10cm of
thickness, and I would argue utilization of grids for all
chest x-rays
 Appropriate kVp range per body part/thickness
 Minimize OID whenever possible
 Utilize the appropriate processing algorithm
You may believe that the computer software should fix any
negative visual appearance on the radiograph caused by failure
to follow these guidelines. But after following the image
critique steps discussed in this book and with regular practice of
these recommendations, you will soon notice a pattern of
improving the quality of your images.
In school, I learned to utilize a lead strip behind the patient
when positioning for a lateral lumbar spine. This was to
eliminate scatter radiation from appearing posterior to the
spine on the radiograph. This is exponentially more important
to do when using digital equipment. If that scatter were to
reach the image receptor, the computer may interpret that
additional exposure as part of the useful image. It can’t
distinguish the region of the radiograph that was produced from
scatter vs. the region of the radiograph that is of interest.
Advances in software during processing help, but will never
completely compensate for exposure to regions of the image
receptor that are not important. It simply sees and interprets
the data it captures.
The larger the region of scatter recorded, the greater the
perceived average signal to the IR. And if the software sees a
higher average signal/exposure, it will assign the image an
Exposure Indicator representative of an over-exposure. The
software will then adjust the image to be brighter than it needs
to be. It will actually appear similar to an under-exposed
film/screen image (too light) due to the software’s attempt to
compensate.
It is also imperative to draw a distinction between beam
restriction (aka collimation) and image cropping (also referred
to as masking or shuttering). Beam restriction should always be
used, and contributes largely to the cleanup of scatter radiation.
As evident in the two images above, the images that are not
collimated tightly display reduced image contrast.
There’s absolutely no reason to expose a 14 x 17 field for a L5-
S1 lumbar spine spot image. Cropping or masking does nothing
to improve the visibility, resolution, or image contrast of the
area of interest.
It is for good reason that I advise against cropping for images
that should possess tight beam restriction. There is no need to
irradiate tissue outside of the area of interest for any view. This
is not ethical practice and should be discouraged by radiologists,
administrators and fellow radiologic technologists. There is an
element of legal liability to be considered.
It’s also unethical to expose anatomy and exclude it from view
of the radiologist. If the tissue was irradiated, regardless of
whether it should have even been exposed, it should be
displayed for interpretation.
Most digital systems will automatically mask regions of the
exposure that it detects as being outside the original exposure
field. You may notice a small white border within that masked
area. This should be your go-to evidence for proper collimation.
If you do not see a small this think white region, talk to your
vendor about adjusting the masking parameters to be able to
visibly see ¼ inch or so of the unexposed area of the image
within the masked region. This will allow you to quickly
determine whether the image was truly collimated well, or if a
technologist is simply trying to crop exposed regions within the
image receptor that are outside the pertinent anatomy.
Click here to listen to my podcast about Collimation vs.
Cropping
Evidence of Motion
There are two types of motion affecting our radiographs;
voluntary and involuntary. The best tools we have to minimize
motion are good communication with our patients and low
exposure times. Both are essential. Motion can sometimes be
subtle, so I recommend magnifying the images upon the quality
control stage of your exams.
I’m a big fan of performing QC twice. You can quickly glance at
your images as they populate your work screen. This should be
a quick once-over to ensure the very basic requirements like
anatomy and positioning are adequate. You should be checking
your images a second time before your patient leaves the room
and prior to sending your images to the PACS station. It is at
the second QC opportunity I would take a further look into any
aspects of image critique involving magnification.
Motion should be distinguished from a double exposure. With
motion, you should see either a slight blurring effect, or
complete disappearance of landmarks. In a double exposure,
you will see areas of the radiograph with sharp, distinct lines
twice.
We all learn how to prevent motion by reducing exposure
times. But what about using Automatic Exposure Control
(AEC)? Students often object when I ask them to reduce
exposure times on large patients when utilizing AEC stating “I
can’t control exposure time because it’s photo-timed”. While
you’re not setting the specific duration of the exposure, you do
have control over the mA value. In general, you can increase
the mA setting for large patients to help. The Law of Reciprocity
enables us to use higher mA to produce the same overall mAs
value that would be required for a large patient, while reducing
the amount of time it took to achieve that overall mAs value.
You can also utilize higher kVp to reduce the mAs needed,
therefore the overall exposure time while utilizing AEC, but
make sure to keep it within the optimum range for the part
being imaged.
This image displays breathing motion. You can identify this by
lack of visualization of the ribs. It’s easy to visualize the thoracic
spine because of this, and the spine is not blurred most likely
because the motion was caused by continued breathing during
the exposure.
In this image, it’s more difficult to distinguish motion from a
double exposure when looking around the heart shadow, but if
you take a moment to observe the two distinct clavicles and
sets of upper ribs, it is clear that a double exposure occurred
rather than a smooth blurring of bone or complete lack of
visualization.
Evidence of Artifacts
The presence of some artifacts are indicative of the need for a
repeat exposure, but not all artifacts necessarily require this. I
like to separate artifacts into three separate categories;
removable artifacts, non-removable artifacts, and mechanical
artifacts – some of these may overlap at times.
Removable Artifacts
These artifacts include articles of clothing, jewelry, fabric folds,
hair, and anything else that with adequate exam preparation,
can easily be prevented from showing up in the radiographic
image. These items should be sought out prior to the
examination and questions should be asked about removal of
these items before positioning occurs.
Always have a container of some kind for the patient to place
belongings into. I sometimes have patients place items like
jewelry, hair pins, or dentures into an emesis basin, and keep it
visible on a countertop in the exam room. Or if the patient
prefers, you could provide something for them to place items
into in the dressing room.
Regarding clothing, be wary of any clothing with logos,
embroidery, or pressed collars. Though some patients may
wear workout pants, some may have zippers or metal snaps.
Some piercings may be removable and some may not. You
should always ask whether or not there is any metal or
“removable objects” prior to the examination.
It’s hard to imagine turning in a radiograph with this many
removable artifacts on it, but it happened. The technologist
who sent me this image stated that the patient refused to
change into a patient gown, which was documented. The
technologist also called the radiologist to ask if the image
should still be performed. The radiologist even came into the
exam room to discuss the benefits of removing anything that
could obstruct the image, and the patient still refused. The
technologist noted this as well, and I was told that the dictated
report indicated everything the technologist documented in the
exam record.
Non-removable Artifacts
Some artifacts like surgical prosthetics, lines and tubes are
visible on the radiograph, but should not be tampered with. If
you have ever completed portable exams in ICU, you will
understand what I mean. You can, however, place some lines,
wires and tubes that are external to the patient aside to prevent
superimposition with internal structures. Line placement can
be difficult for a radiologist to determine if there are other wires
and other artifacts lying over the region where the tip of a
catheter should be placed.
Mechanical Artifacts
These types of artifacts are caused by errors in radiographic
equipment function and indicate either a problem with the
equipment or technologist error. Examples include grid lines,
aliasing artifacts, scratches or dirt on the image plate, or normal
wear and tear of the plate edges. Some of these items may be
preventable on a repeat image, and some may require repair or
replacement of a part.
Here’s a couple of images from a previous article I wrote on the
Topics in Radiography blog:
It can be difficult to distinguish scratches on the image plate
from hair. Anything that will prevent a signal from reaching the
image phosphors will appear as a radiopaque artifact. For this
reason, it is recommended to clean CR image plates once per
month or as needed.
The following radiograph additionally shows two other
mechanical artifacts. When dust sediment collects on the light
guide during the CR image plate processing cycle, the effect is
failure of the signal to be transmitted in a linear pattern across
the entire image plate (displayed below as a solid horizontal
white line).
The following image, clipped from the same radiograph with the
dust artifact above, displays chipping of the image plate
phosphor layer as a result of normal wear and tear. This
prevents a signal from being recorded in the region missing the
photostimulable phosphors, and typically occurs at the
periphery of the image plates where the greatest point of
friction occurs during plate travel through the processor. This
artifact occurs more commonly on CR image plates that are
flexible and travel through a roller assembly.
Scuff marks on the image plates can be common when rigid
backing layers are used and the image plate is removed from
the cassette housing. Although I could not find an image to
reference for this artifact, they typically appear as symmetrical
opacities that are either linear or rectangular in shape.
Identifying Markers
This category can also be broken down into multiple
subcategories. Any radiograph is considered a legal document,
and must contain several identifying markers to be submitted in
a court of law. These identifying markers include patient
demographics, properly positioned radiopaque anatomical
markers and exam-specific / dose-related markers.
Patient Demographics
The number one national patient safety goal is proper
identification of patients. This currently includes using at least
two (three preferred) patient identifiers prior to treatment.
This doesn’t let technologists off the hook after the radiographic
examination is complete. Proper care should be taken to
ensure that the patient name, exam type and physician
signature are on the prescription for the exam. This information
should also be matched to the patient’s exam requisition. And
finally, both of these should match the demographics visible on
the technologist’s control panel.
I have witnessed many technologists and students properly
identify the patient and match up the physician order with the
exam requisition, only to touch the wrong patient on the work
list touch screen. Thankfully when this is noticed prior to the
exam being performed or images sent to the PACS system, it’s
an easy fix. Problems become more complicated the further
along in the dictation process the exam goes without anyone
noticing. Once sent to PACS, an administrator may be needed
to fix this kind of error if technologists don’t have the
appropriate access to fix. Hopefully, it can be fixed prior to the
radiologist reading. If it’s noticed after the radiologist reads it,
not only the PACS administrator but the radiologist will have to
do extra work to correct the error. And depending on how soon
this error is caught, billing may or may not need to be involved.
The worse-case scenario is the error goes unnoticed completely.
The results of this could be catastrophic. Basically the patient
who needed the exam will not have it recorded in their record.
An entirely different patient will have those results added to
theirs, which can lead to further medical errors. Someone could
receive a false diagnosis, or ever worse, receive a procedure or
surgery that is unneeded. This is a nightmare situation for all
involved, but most importantly for the patient.
All of this is much easier to prevent by simply following protocol
before and during the exam. The severity of some of the errors
mentioned here could land you unemployed or you may find
yourself in the middle of a lawsuit. It may seem like you’re busy
in the moment, but taking the time to do things properly the
first time is always the best practice.
Radiopaque Anatomical Markers
These markers should be visible within the exposure field on
every image, and need to include “R” for right or “L” for left. It
also needs to contain an identifier specific to the technologist
performing the procedure, and usually consists of tech initials or
a numerical identifier.
It has become a bad habit among many technologists to simply
annotate a digital marker after an exposure is performed. This
is not acceptable. With film/screen systems, it was possible to
ascertain if an image was take AP or PA due to the blocker
location, and sometimes the technologist could identify left or
right by simply hanging the film how it was exposed and in
accordance with the blocker location. Though it was easy
enough to determine right and left by the technologist who
exposed the image, radiopaque markers were still required.
This is also true today, and even more important because of the
lack of a blocker to orient the projection with, as well as the fact
that depending on processing algorithm selected, the software
may or may not flip the image horizontally in order to attempt
to hang the film in the anatomical position. This combined with
the occurrence of pathologies like situs inversus (organs are on
located on opposite side of the normal anatomic location) and
dextracardia (only the heart is on the opposite side of the
normal anatomic location) could influence the ultimate
outcome of patient care.
Exam-Specific and Dose-Related Markers
New regulations may require radiation exposure information to
be recorded on the submitted image. There is inherent
software that displays estimations of radiation dose like DAP
(dose area product) within the DICOM header of the images. It
is also great practice, especially with portable images, to record
technical factors to maintain consistency between images. If I
know that a technologist performed a portable chest x-ray on a
patient yesterday, and I’m about to perform one again today, it
would be wise to look up yesterday’s image to check the
technical factors and the Exposure Indicator they produced.
This way, you can adjust if needed or maintain an optimal
technique.
Evidence of Radiation Protection
Along with utilizing the appropriate technical factors to provide
adequate exposure to the image receptor, there are a few
things that need to be evaluated in every image critique that
should be documented as evidence of radiation protection. If a
patient is female of child-bearing age, asking about status of
pregnancy is required, but it is of extreme importance to
document in tech notes to be saved as part of the medical
record.
Lead shielding is also required for most exams – I also like to
document that the patient was shielded as part of the tech
notes. Sometimes evidence of shielding will appear in the
primary exposure field on some exams, but use caution. Just
because lead overlies anatomy, it does not guarantee that
section of anatomy will not be exposed to radiation. Also, too
much lead within an exposure field may cause the computer to
interpret the exposure as underexposed. When this happens,
the processing algorithm may attempt to compensate for the
underexposure by making the entire image lighter, and making
your image repeat-worthy, even if you exposed it with technical
factors that were optimum.
Finally, appropriate collimation must be used. Not only will
collimation provide radiation protection, it will reduce the
possibility of processing errors with the software. As explained
before, if the image receptor has a lot of exposure outside the
pertinent anatomy, it will analyze all of the captured data and
will try to adjust it accordingly. It is possible for the computer
to process the image to an unrecoverable state when the image
receptor is exposed this much. Try to keep collimation to the
soft tissue to prevent this from occurring.
If you had to assign an “average grayscale value” to this hand x-
ray, would you think it would be light, dark, or in the middle?
Just looking at the region of the image receptor that was
exposed outside of the anatomy, the computer interpreted it as
an overexposed image. So what did the processing software
do? It adjusted the entire image to be lighter to compensate for
an overexposure. It didn’t matter that the technical factors
were appropriate. What mattered was how the data received
by the computer was interpreted, and that the software did
exactly what it was programmed to do.
While less of a percentage of the sunrise view above was
outside the pertinent anatomy, the turned out fine through the
area of interest. How can this be? The average grayscale value
was most likely balanced out by the lack of photons through the
bottom area of the image (notice image noise/mottle at the
thickest part of the anatomy visualized). With all of those light-
colored pixels, combined with all of the darker pixels outside
the anatomy, the average grayscale value was (by chance) close
to what the required image should be. In this instance, the
technologist got lucky. It’s also very sloppy. Would you be
proud to submit this image?
Search for Pathology
Obviously, you are not a physician, so you cannot diagnose but
you are well-versed in what the anatomy should look like on a
radiograph, and thus you may be able to recognize when
something does not appear the way it normally should. This is a
skill that requires continuous effort to make progress toward
and can make you stand out from other technologists in your
field. You may not know the name of a particular abnormality
you notice on a radiograph, but take this opportunity to inform
the radiologist you see something peculiar (before you let the
patient go) and learn about it.
There’s something to be said about listening to a radiologist
dictate exams. Back in the days with film/screen, we would
wait patiently behind the radiologist until they were finished
dictating the exam they were currently working on. The waiting
time alone exposed us to useful information, whether it was
intentional or not.
What was great about that practice was the fact that you were
also hanging your images for them to review right in front of
you. They pulled no punches if they were unsatisfied with your
exams. Face-to-face, they either approved your images or
informed you of what the images were lacking. This was
valuable, regular feedback that just doesn’t happen anymore
with PACS systems. I didn’t want to be the guy who went back
and forth several times to the reading room, potentially
frustrating the radiologist (I used to call it ‘the walk of shame’
when I needed to repeat an image). I wanted to be the guy who
got it right the first time. Every once in a while, you would get a
pat on the back after submitting a number of films that were
high-quality.
As a student, I was required to sit with a radiologist and observe
dictation as part of my clinical rotation. Nowadays, you must
take it upon yourself to ask questions in the reading room and
take initiative to improve those skills.
If you have ever been able to identify something important like
a pneumothorax or a fat pad (evidence of a fracture), notifying
the radiologist immediately will affect the outcome of the
patient’s treatment in a positive way. If you allow someone to
leave your department prior to notifying the radiologist of some
findings, it could delay treatment of what could be a life-
threatening condition. If you’re unsure, simply have the patient
wait in the lobby or in your exam room (under observation)
until you have a chance to speak with the radiologist. Even if it
does not turn out to be a life-threatening finding, there may be
additional views or studies required to further investigate a
diagnosis.
Considerations with Digital Radiography
Processing Algorithm
An optimum radiograph begins with appropriate algorithm
selection. When you are selecting the body part and projection
at the control panel (prior to the exposure being made), you are
basically telling the computer how to process your image. Each
algorithm is created with an expected appearance in mind as a
final outcome of the image. For instance, selecting a PA Chest
algorithm instructs the software to take the data sample from
the exposure and manipulate the image to have a low contrast
image in general. The scale of contrast is manipulated during
processing to take on the “optimum” features of a diagnostic
chest x-ray.
If you process a chest radiograph using the PA Hand algorithm,
you will end up with an image with higher contrast, even though
you would utilize the appropriate kVp and mAs values for a
chest x-ray. This is because the PA Hand algorithm contains
instructions to process the exposure with a higher scale of
contrast that would allow for greater visualization of bony
anatomy. Your chest x-ray processed as a hand would look
more similar to the processing algorithm of a rib series.
*Note – changing the processing algorithm after the exposure is
possible, but not recommended. Doing so (depending on the
imaging system you are using) changes the amount of data
sampled in the original exposure, limiting post-processing image
manipulation at the reading station. Even if you believe making
this change would make a more presentable image for the
radiologist, this practice should be avoided.
There are also legal ramifications of processing one anatomical
part under a different anatomical algorithm. Since our
radiographs are legal documents, the part must match the
description in the processing algorithm.
I knew a technologist who would process every cross-table hip
x-ray as a “c-spine swimmer’s view”. She did this because the
default algorithm for the hip never produced an image that
could be submitted to the radiologist. This is an easy fix. The
vendor can be contacted to mirror the algorithm for the
swimmer’s view and replace the current hip algorithm with a
copy.
QC your Images
It is always a good idea to utilize the toolset available at the
control panel after you’ve exposed your images. Two tools I
recommend utilizing religiously are magnifying the image and
window/level. When you magnify, you can see things you
normally wouldn’t in the small image at the QC station. Look
for evidence of image noise indicating underexposure. There
may be noise in some parts of the image, but specifically check
in the area of interest. I recommend utilizing window/level
when you are looking for line placement and need to be sure
the tip of a catheter can be seen with a small amount of image
manipulation.
*Note – always revert the image to the original settings after
window/leveling. This is another function that will remove
data from the image set. Remember, the more data sent to the
radiologist’s reading station, the more the radiologist will be
able to manipulate the image to see what’s needed. The
functionality of your QC station is simply to provide you with a
quick glance, and the reading room will have much more
powerful image manipulation tools. It is easy to assume that an
adjustment to brightness and contrast prior to sending your
images to PACS would be doing the radiologist a favor, but in
fact, you may prevent them from seeing anatomical information
that was there in the original exposure.
Annotations
Proper annotation of images can help the radiologist and/or ER
physician out quite a bit. As stated earlier, you should always
attempt to use your radiopaque markers to identify “right” vs.
“left”, but if there’s ever any situation that prevents you from
utilizing these such as trauma or during a code response, make
sure to double and triple check that you are digitally annotating
the appropriate side if you have to.
If you cannot be 100% positive which side is right or left, you
need to repeat. Check with your department’s protocol on this.
Some departments may have a more or less strict policy on
utilization of markers. I hate to even leave room for not utilizing
them, but we also must consider limiting radiation dose if an
optimum image was produced.
Make sure in addition to annotate important information such
as “decubitus”, “upright” or “supine”. Ensure that anyone
viewing your radiographs knows whether or not an exam was
performed portably. And if done portable, you should
absolutely annotate the technical factors used.
Most systems will have an arrow to select in the annotation list.
Not enough technologists use this feature. Place this at the
area of interest, whether you see a laceration on the skin or you
are attempting to identify one digit that is affected and several
are in view. You can even point the arrow to the medial or
lateral aspect of a specific joint space. Any additional pertinent
information annotated on the image to bring the physician’s
interest to upon viewing the radiograph will be of great use, and
they will appreciate you for it!
Patient History
Though you should be discussing the reason for the exam with
the patient prior to your first radiograph being exposed, you
should be recording the patient history electronically. Even
though you may have taken notes on the requisition,
handwriting can easily become illegible or go unseen as it is
recorded in a different location than the images. Provide the
radiologist an easy method for obtaining the history. If it’s
typed into your exam notes in the tracking or PACS notations,
there is much better archivability and it will be easier to spot by
any physician evaluating the images.
Be specific when you record your patient history. Simply saying
“hand slammed in door” is not doing the radiologist any favors.
Include specific details like “lacerations over posterior aspect of
proximal phalanges 3-5” or “3rd
PIP joint pain and swelling with
contusion.” Use localizing terms like “medial”, “lateral”,
“superior”, and “inferior” to any given bony landmark or joint
space. Describe skin discoloration, abrasions, abnormal sounds,
or anything that might be useful in the diagnosis of pathology.
These tiny details are sometimes very valuable, especially when
the radiologist doesn’t always examine your patient.
CR Image Plate Erasure
Specifically when utilizing CR image plates, you may notice
additional exposure to the plate or image degradation if a
cassette is not used in your department regularly. This is
because of natural background radiation. CR image plates are
highly responsive to low-level radiation and should be erased at
least every 48 hours. Ideally these would be erased once per
day, or immediately prior to use. You don’t want to take a
portable machine down to the NICU and expose an infant
newborn only to find out that there was so much background
radiation that the image is insubmissible.
Conclusion
Thorough radiographic image critique is like an art form. It is a
practice which we must continuously work on to fine-tune our
radiographic image production and technical skills, along with
improving our efficiency and ability to identify subtleties in our
images that may require a repeat exposure. It all starts with
proper identification of a problem. If we are not regularly and
proactively searching for areas where improvements can be
made, we are missing opportunities for growth. Once the
problem is identified, we can then work on identifying methods
to resolve it.
These are the attributes which distinguish the average tech
from professional radiologic technologists. After all, we learn
just the basics in radiography school with the expectation that
over time in this career, additional skills and expertise will be
gathered for the sake of maximizing the information recorded
within our radiographs, while using the lowest dose
(reasonably) achievable.
I closing, I’d like to leave you with one basic, yet powerful
concept that has helped me in my career. I remember during
my sophomore year of high school asking my grandfather for
advice on picking a career. He had been an industrial plumber
for over 40 years and had worked his way up the ladder to make
a more than comfortable living for himself and my
grandmother. At the time, I was interested in a few career
paths. I asked him “how do you know which direction to take
when it comes to your career.” His reply was simple and
effective. He said, “Jeremy, it doesn’t matter. Just pick one
thing and do it well. Be the very best at that one thing and you
will succeed.”
For some of you reading this, radiography may not be your end
destination on your path toward the career you ultimately want
to plant roots in. However, this advice can still serve you well in
your current role as well as in your future ones. Right now, you
have an opportunity to make the most of the situation you are
in. Developing an intuitive eye for detail and a proactive
approach for self-improvement will not only help you in your
own life, but will have a profound effect on those you serve and
work alongside. This is profoundly more important while
working in a health care environment.
In order to be taken seriously as a professional, we must take
our profession seriously. I hope you find this resource valuable
in your role as a student or registered radiologic technologist,
and I encourage you to share it with anyone, any department,
or any radiography school that you believe may benefit from it.
I’ve also created a one-page PDF document you can utilize as a
checklist for reviewing your radiographic images. Click here for
the PDF Image Critique Checklist.
I’m more than willing to answer questions or engage in
discussion about any aspect in radiography. Please feel free to
drop by my website (http://topicsinradiography.com), connect
with me on social media, and let me know what you thought
about this book, and how you plan to implement anything you
walked away with after reading it.
About the Author
Jeremy Enfinger is a leader and educator in radiologic
technology. He helps radiography students and practicing
radiologic technologists better understand principles of imaging
so quality standards and patient care practices are constantly
being improved in the imaging community.
Jeremy’s desire to help students learn in radiography gave rise
to the creation of his website for information and radiography
tutorials to be distributed and shared for the purpose of deeper
understanding of topics and as a method for collaborating with
other professionals in the field.
While Jeremy’s primary job is now in management, he
continues to teach as an adjunct instructor in a radiography
program in San Diego, CA. He still contributes to his blog as
often as possible, and has recently started the Topics in
Radiography Podcast to further address questions and promote
excellence in imaging.
You can also find Jeremy and other radiography resources by
connecting with him on:
 Facebook
 Twitter @TopicsinRad
 Google+
 LinkedIn
 YouTube
 Pinterest
 Email: TopicsinRadiography@gmail.com
Other Books
Becoming a Radiologic Technologist was originally written in
response to numerous questions received through the Topics in
Radiography blog about what to expect when choosing
radiography as a career path and how to succeed in radiography
school. Some JRCERT-accredited schools have elected to make
this book a prerequisite for application to their school’s
radiography program, as it addresses many aspects of working
in radiology, and answers questions previously not considered
or that students may be afraid to ask. It is available as a hard
copy and Kindle eBook edition. Click here for more information.

Digital Radiography Image Critique

  • 2.
    With the eraof digital imaging upon us, new radiographic image enhancement tools and features are available that were not previously available on film/screen imaging systems. Many radiologic technologists working today may not have had an opportunity to learn about digital imaging equipment, including those new tools and features that they may currently be using. Along with these new tools comes new image critique requirements that must be met in addition to the traditional critique guidelines that have existed for so long. Digital Radiography Image Critique was written to serve as a practical guide to familiarize the radiologic technologist and radiography students with current aspects of image critique, as well as to serve as a refresher for existing criteria for optimum radiographs. This eBook is intended to be a free resource for anyone performing radiography to evaluate his or her images prior to submission to the radiologist. It was written to be easy to understand in contrast to an official textbook description of the concepts covered. It is my hope that by reading this you will have obtained additional knowledge of how to improve your radiographs while utilizing the lowest dose possible (ALARA). This eBook may not accomplish that goal for everyone, but in that event I can only hope it may be used as a resource to forward onto someone who may be in need of information shared here.
  • 3.
    Digital Radiography ImageCritique Topics in Radiography News and Tips in the World of X-Ray Digital Radiography Image Critique Text by Jeremy Enfinger © 2015 This work is licensed under Creative Commons Attribution- NonCommercial-NoDerivatives 4.0 International License, also known as “free advertising” license. Readers may share this work freely with others under the following conditions: Provide appropriate credit to the author by listing the author’s name and website (Jeremy Enfinger at http://topicsinradiography.com). Provide the appropriate link to creative commons licensing (http://creativecommons.org/licenses/by-nc-nd/4.0/). You may not use this material for commercial purposes. If you remix, transform, or build upon the material, you may not distribute the modified material. By sharing this entire document unaltered, you are meeting these conditions. Visit our website at http://topicsinradiography.com First eBook edition 2015
  • 4.
    Digital Radiography ImageCritique Contents Digital Radiography Image Critique .............................................4 Introduction .............................................................................6 Required Anatomy...................................................................8 Part Positioning......................................................................12 Exposure to the Image Receptor ...........................................18 Sensitivity Number (S#):.....................................................19 Exposure Index (EI).............................................................20 Log Median Exposure (LgM) ..............................................21 Evaluation of Overexposure...............................................22 Evaluation of Underexposure ............................................24 ROI......................................................................................27 REX .....................................................................................28 Image Brightness and Contrast..............................................31 Evidence of Motion................................................................38 Evidence of Artifacts ..............................................................41 Removable Artifacts...........................................................41 Non-removable Artifacts....................................................43 Mechanical Artifacts ..........................................................44 Identifying Markers................................................................48 Patient Demographics........................................................48 Radiopaque Anatomical Markers.......................................49 Exam-Specific and Dose-Related Markers .........................50
  • 5.
    Evidence of RadiationProtection ..........................................52 Search for Pathology..............................................................55 Considerations with Digital Radiography...............................57 Processing Algorithm .........................................................57 QC your Images..................................................................59 Annotations........................................................................60 Patient History ...................................................................61 CR Image Plate Erasure......................................................62 Conclusion..............................................................................64 About the Author...................................................................66 Other Books ...........................................................................67
  • 6.
    Introduction We all learnthe basics of radiographic image critique in school to become radiologic technologists, but how much of what we learned is carried over to every-day practice or our regular habits from exam to exam? With the advancements being made in software regarding image processing algorithms and post-processing manipulation, it’s easy for any radiographer to become complacent in these skills once learned on film/screen systems or with previous, less effective versions of software. For some, complacency may not be the problem. Perhaps you’ve never been properly educated in image critique for digital radiography. Or maybe you just want a refresher in image critique skills to become a better technologist all around. Regardless of your reason, I’m glad you found your way here to be reading this right now. Self-improvement in any specific area of performance requires three things: First, you need recognition of that needed improvement. Second, a desire to change from your current pattern to the one you seek to adopt. And finally, and the most difficult of the three, regular intentional effort to carry out the improved process. Many learn the first two, which I will attempt to provide here, but some accountability must lie on you to make these improvements for every patient, every time. My goal is not to provide you with some mindless checklist of things to look at after each exposure is made, but with a living, breathing call to action. With the right mindset, this can be an incredibly useful tool for you and your entire diagnostic imaging department. With each aspect of your images I am about to discuss, you need to look at them objectively and with a sharp eye. For every single criteria checkpoint you do not meet on any image you are evaluating, you need to ask yourself some questions:
  • 7.
    1. What causedyou to be unable to meet this particular criteria? You need to identify the reason the criteria could not be met. For some items on our critique checklist like various types of artifacts, this may take time to develop simply by continuing to work on each item before you begin to recognize the artifacts and what may have caused them. All artifacts have a unique radiographic appearance and it will just take continuous exposure to viewing these and/or some trouble- shooting to be able to identify some things at first glance. If you don’t know what caused it, you are going to have a tough time trying to fix it. 2. Was the error avoidable? Sometimes further investigation into the error is required to answer this. I hope to provide you with some tools to help you determine the answer quickly. If any error is avoidable, think about what methods or tools are at your disposal to fix it. If not, (and I can’t stress this enough), document why you could not meet the specific criteria. I’ll get into more about this later, but just remember to document, document, document! 3. Is a repeat exposure necessary? In order to determine if a repeat exposure is necessary, there are a few questions you need to ask. If you do not meet certain exam criteria, will it cause you to potentially miss a positive finding? Is there any advantage to NOT providing a repeat image? This is the part where good communication with the radiologist may be necessary. A general rule of thumb I learned in school is “if you’re not sure you should repeat it, you probably should”. But every situation is unique, and you may find yourself in a position where a repeat is not possible or the risks of a repeat may outweigh the benefits. Again, document and consult the radiologist if needed.
  • 8.
    Required Anatomy First andforemost, a good radiologic technologist will be able to get the required anatomy within the exposure field, while preventing unnecessary anatomy from being included. We spend the majority of our radiography program learning how to identify anatomy required for each projection and to position our patients and palpate bony landmarks as a reference point to be able to include what’s needed. A good technologist should be able to label all of the anatomy seen on any radiograph. In addition, we develop the skills to think three-dimensionally by examining the relationships between one part of the patient anatomy and another. This allows us to evaluate not only whether or not our exams are demonstrating the specific anatomy any view is intended for, but to also evaluate appropriate positioning of the patient. If you’d like to brush up on your radiographic anatomy, follow me on Pinterest, where I have a “Radiographic Anatomy” board full of images that are labeled. Keep in mind that the curriculum for any JRCERT-accredited radiography program only requires the most common exam types, and what you learned in school will not necessarily be an all-inclusive education for every exam you may be required to perform at your current place of employment. That being said, you should have the ability to look up a particular exam in a positioning textbook or department protocol manual to identify the anatomy you are required to obtain in the particular view you are performing. Since we typically perform more chest x-rays than any other exam and it is usually the very first part taught in a radiography positioning course, I will make an example of the PA or AP view that any reader should be able to relate to.
  • 9.
    Here are someexamples of anatomy to include for a PA chest image:  Entire lung fields, including both apices and costophrenic angles  Inspiration to include 10 posterior ribs visible through the medial aspect of the lung bases  Both hemidiaphragms present Of course, how this anatomy is represented will be further discussed in the “Positioning” section, but let’s first ensure the anatomy required is present, otherwise we might as well repeat
  • 10.
    the exposure now.Failure to include all of the anatomy makes up a large portion of most repeat rates today. There is no software compensation for this, and 100% of the outcome is within the radiographer’s control. I don’t plan on re-inventing the wheel here in this guide. If you are a student or if you’re a seasoned technologist performing an exam that is new to you or performed infrequently, I suggest having a positioning book handy in the clinical environment for you to reference when you need to. Also, make sure to check your department protocol for variances to the requirements specified in any textbook. One thing I will mention, however, is additional tools made available to us with digital radiography – these I will discuss in detail a bit later. If you are having trouble distinguishing whether or not the required anatomy has been captured on any radiography, you may QC your images with tools like magnification, window and level. If you make these adjustments during the QC process and determine you have indeed captured all of the pertinent anatomy, make sure to reset your image properties back to the original captured conditions prior to sending your radiograph to PACS for viewing by the radiologist. The reason for this, too will be covered in greater detail later in this book. One example of a variance might be your hospital’s routine for performing a limited orbit series for pre-MRI screening. Some hospitals I have worked in require a Water’s view of the orbits (coned down to the orbital rims) and a lateral view. Another hospital I worked for required two Water’s views of the orbits. One of them should be taken while instructing the patient to look at the ceiling and the second image while instructing the patient to look at the floor. Additional views were sometimes required in the event that metal was found or a potential artifact like dust on the CR image plate.
  • 11.
    The point is,if you’re reading this, you should already know or at least have accessible the expectations of your department and/or physicians you’re working with daily.
  • 12.
    Part Positioning Once youhave verified that the required anatomy is visible within the exposure field, it must be demonstrated properly. Providing a uniform method for presentation allows the radiologists to compare previous images to the current one. The more variation there is between exams, the more difficult it can be to document and measure any changes that may have occurred since the previous image was taken. This is incredibly important when evaluating pathologies like pneumonia or carcinoma, or any other condition which may display evidence of rapid change. This is exactly the reason why we spend several semesters in school learning the positioning criteria to be followed for all of the exams we’re responsible for performing in the clinical environment. We keep our SID, tube angles, kVp ranges, focal spot sizes and exposure to the image receptor uniform (or as uniform as possible) so that any technologist can replicate the exam conditions, and the radiologist knows they are comparing apples to apples when visualizing a new x-ray vs. a prior exam. I have a very simple way of thinking of this concept. If you were to view the new image being superimposed over the old image like tracing paper, it’s your job to attempt to observe and identify subtle differences between the two images. This is of extreme importance to the radiologist because they are viewing one two-dimensional image of a three-dimensional object to another two-dimensional image of a three-dimensional object. Any noticeable differences will be included in their dictated reports. It’s a matter of perspective. To understand perspective, imagine sitting at a desk and placing two identical wooden blocks in front of you, side by side on a table with about 1 inch
  • 13.
    separating them. Takea photo with your digital camera or your smart phone from where you are sitting. Now slide your chair 1 foot to your right and take another picture with the same camera. You’ll notice the outline shape of the blocks changing, as well as the distance between the blocks appearing narrower. The same is true of any radiograph, only there is more intricate anatomy being shifted when the perspective changes. When the conditions of performing a photograph or radiograph are not kept uniform, the resulting image appearance changes. One of the aspects of our jobs as radiologic technologists is to provide similar perspective in our images to help the physicians compare previous images to the most current, and having a standardized routine of positioning guidelines (and following them closely) is our best way to accomplish that. Positioning criteria for all exams should include: 1. Anatomy free of superimposition of other structures 2. Presentation without rotation or tilt 3. Appearance of pertinent anatomy without distortion (foreshortening or elongation) 4. Some positions will require presentation of specific anatomy in a particular location or position in reference to another anatomical structure (i.e. lordotic chest should display clavicles superior to lung apices) Here are some examples of positioning criteria for a PA chest:  Shoulders rolled forward to remove as much of the scapulae as possible from the lung fields  Chin extended and away from trachea  Arms abducted to prevent soft tissue superimposition over the lungs  Sterno-clavicular joints symmetrical and superimposing lateral margins of the thoracic spine
  • 14.
     Clavicles superimposingapices  Posterior ribs symmetrical This image obviously falls short, but someone thought it was good enough to submit to the radiologist for a reading without a repeat exposure. I would hope to be able to use this as an example of what not to do. This, of course is assuming there were not special circumstances. Many factors must be considered in attempting to determine why this image was submitted without a repeat exposure to obtain better positioning and the remainder of the
  • 15.
    required anatomy. Forinstance, if this image was produced for central line placement during a Code Blue, the relevant criteria gives the technologist some leeway. The pertinent information, in that case, would be to localize the tip of the central catheter, which has been accomplished. A repeat may or may not have been possible at the time of this exam. Questions to consider include how often the patient receives a chest x-ray. If the patient is in ICU receiving at least one chest x-ray per day, the radiologist (not the technologist) may have deemed it unnecessary to retrieve an additional image right away. Other questions to consider are “was there underlying pathology that was missed, and was that part of the reason for the ordering of this exam”? Considering a different perspective while looking at this radiograph, if there had been a chest tube inserted to re-inflate the lung inferior to the exposure field, it could represent a critical element of the exam that is not being properly evaluated. What if the chest-tube had been displaced, and was contributing to the reason that the patient coded? Again, these are decisions for the radiologist to make. The radiologist may even decide to consult the ordering physician over the phone before determining whether you need a repeat exam or not. Regardless of whether that happens or not, documentation of any reason your images do not possess the minimum positioning criteria is crucial. When performing a repeat exposure on an image that is missing required anatomy, it would be more beneficial to position the image receptor to include the missing anatomy – in this case, the lung bases. The disadvantage to attempting a repeat to include the apices is the potential to clip the bases and costophrenic angles a second time, thus requiring not only a second exposure to radiation, but now a third in order to fully evaluate the patient’s exam.
  • 16.
    It should alsogo without saying, but the repeat (or additional) exposure should be taken as soon as possible after the original exposure was taken. The lungs can have pathological changes rather quickly, so make it a priority to perform the additional exposure without delay. The image above is clearly rotated. There is asymmetry of the posterior ribs and clavicles, and the sterno-clavicular joints are located to the patient’s left side in comparison to the thoracic spine. If a radiologist is attempting to compare this image to a previous one that was appropriately positioned, they may
  • 17.
    notice a variancebetween the distance measured from the left (lateral) aspect of the heart and the lung wall on the patient’s left side. Also, depending on whether it lies anteriorly or posteriorly, the density seen in the right lung base may have shifted one direction or another to the right or left. It could also take on the appearance of a different shape. Remember, they can use measuring tools, but are limited to measurements between two points. Comparing that density from different perspectives caused by patient rotation is not very useful. Positioning, again is something we should all be familiar with, but without regular practice at evaluating this aspect of your radiographs, you will find it tough to improve in the subtle details and efficiency.
  • 18.
    Exposure to theImage Receptor With film/screen imaging systems, this was easy to evaluate by simply looking at the area of interest and determining whether or not there was enough radiographic density (darkness) to provide anatomical information there. With Computed Radiography (CR) and Digital Radiography (DR), the software utilized to process these images is programmed to compensate for differences in exposure. In other words, if a radiograph is underexposed or overexposed, the software adjusts the appearance to be presented on the monitor as optimum. You could compare a radiograph with optimum exposure beside a radiograph that was exposed with four times the necessary exposure to produce an optimum image, and on the monitor, they would look almost identical. In digital imaging, the technologist loses the visual relationship between amount of exposure and darkness (Optical Density) of the radiograph that was once there on plain film. I was trained on film/screen imaging, and it’s difficult to break out of the mindset that twice the mAs equals twice the density. It may help to think of digital imaging in the sense that Optical Density is no longer a unit of measurement. How dark (or how bright) a digital image appears is now termed “Image Brightness”. When a technologist decides to double the mAs value, there is no longer a recognizable relationship with Image Brightness of equal proportions, if at all due to the image processing software that is being applied. This is possibly one of the most difficult aspects to get used to for any technologist that was initially trained on film/screen imaging. If you cannot rely on visual appearance to determine whether or not the radiograph had the proper exposure of radiation, you must rely on something else. This is why vendors have included some form of Exposure Indicator. I will discuss
  • 19.
    the three mostpopular Exposure Indicators here and two additional features some vendors offer, though they are not all- inclusive, there are outliers that are similar and a basic explanation of these three will provide you a basic understanding of how to interpret the one you currently use. The main items to look for within each system are:  Know the normal range of exposure (per department and/or vendor guidelines)  How to correct your exposure factors on a repeat image to ensure appropriate exposure is used  How to tell if an image is overexposed vs. underexposed o Overexposure may not always require a repeat if pertinent anatomy is visible o Look for quantum mottle (noise) as an indicator for underexposure Sensitivity Number (S#): The S# has an inverse relationship to radiographic exposure. As exposure increases, S# decreases. It also has a proportional relationship to exposure. If exposure doubles, the S# is halved. The typical range of exposure my fall somewhere between 200 and 300, depending on the body part. If you perform a PA chest x-ray using 110 kVp and 6.4 mAs and have an S# of 100, you have used approximately twice the exposure required. To compensate, you could lower your mAs to 3.2 to ideally produce an S# of 200. Note: with most overexposures, a repeat is not required if you can visibly identify all required anatomy. It is only with gross overexposure that you need to consider a repeat. I will provide some examples of this soon. This principle applies to all digital imaging, including CR and DR technology.
  • 20.
    If you performanother PA chest using 110 kVp and 2 mAs, producing an S# of 1200, you have underexposed your image. When setting a repeat technique, think in terms of what the S# will change to by doubling your mAs. If you double once to 4 mAs, your S# should drop to 600. Double again to 8 mAs and it should drop to 300 (at the high end of the optimal range). I would probably add 5 kVp or go to 10 mAs (either option, not both) to get my estimated S# right in the middle of that optimum range. *Note: I have seen several vendors utilize this system with an identical numerical relationship, but that do not necessarily call it “S#”. Exposure Index (EI) The EI has a direct relationship to radiographic exposure. As exposure increases, EI increases. It does not, however, have a proportional relationship. For every double in exposure (2x the mAs for example), the EI should increase by a factor of 300. For every half in exposure, the EI should decrease by 300. The optimal range for most exams using EI is between 1700 and 2100. If a PA chest radiograph is performed using 110 kVp and 2 mAs with an EI of 1100, it will produce an underexposed image. Doubling mAs once to 4 mAs should produce an EI of 1400, and doubling again to 8 mAs should get you into the 1700 range. An overexposed PA chest radiograph using 12 mAs may produce an EI of 2500. Halving your mAs to 6.4 will reduce the EI to 2200, and halving again to 3.2 mAs would get it in the appropriate range of 1900. Again, be mindful of overexposure
  • 21.
    and check othercriteria before determining whether or not to repeat. Log Median Exposure (LgM) The LgM exposure indicator has a direct relationship to radiographic exposure. As exposure increases, LgM increases. It does not have a proportional relationship. For every double in exposure, LgM increases by a factor of 0.3. For every half in exposure, it will decrease by 0.3. The optimal range for LgM should be around 1.9 – 2.1. If you recall from film/screen imaging, these numerical values are representative of the sensitometric curve’s x-axis, which was a logarithm of exposure. As in the curve, every increment on the x-axis of 0.3 indicated a double in exposure. The LgM exposure indicator is relative to the imaging system’s speed class, and represents the median values of interest of the image’s dynamic range (similar to the straight-line portion of the S-curve). If an overexposed PA chest radiograph used 10 mAs, producing an LgM of 2.4, the mAs could be cut in half to 5 mAs to produce an ideal 2.1 LgM. If an underexposed image using 4 mAs produced an LgM of 1.2, you could use 4 x the mAs (16 mAs – or double the 4 twice) to produce a new radiograph with 1.9 LgM.
  • 22.
    Evaluation of Overexposure AsI previously stated earlier, overexposure may not necessarily require a repeat to be taken. If you produce a radiography that is 4 x overexposed, but you can see everything needed without a repeat, then there’s no need to give an additional dose for the sake of getting your Exposure Indicator in the optimum range. This has been an arguing point for me with some other technologists and even instructors I’ve worked with. I agree you should take note of these overexposures and track your progress in effort to improve and prevent your first image from being overexposed with any exam. It doesn’t make any sense at all to be so strict in your regimen of having the ideal Exposure Indicator that you are encouraging additional and unnecessary exposure to a patient by repeating an image that was overexposed if you meet all other diagnostic criteria (key word being unnecessary).
  • 23.
    Some imaging professionalsthink this is a black and white issue, while I tend to believe there’s a longer scale of contrast (pun intended). If unsure whether an image should be repeated when it is overexposed, consult the radiologist. There is a point where overexposure will degrade image quality on a radiograph. Once you get above 4x overexposure on most systems, look for signs of image burnout when you QC an image at your control panel. Try window/leveling images to look for regions of anatomy (at the thinnest regions) that are too dark and are unrecoverable. These areas represent no differential absorption happening in the patient. The x-ray beam physics remain the same as with film/screen. You will notice that with extreme overexposure, thinner areas of anatomy are not recoverable with window/leveling. In the example radiograph below, the technologist performed a chest x-ray on the patient prior to performing a tib-fib. The chest technique was not changed prior to the exposure of the image. Utilization of high kVp allowed all of the x-ray photons to penetrate the soft tissue to the extent that it is no longer visible. You will also notice that thinner regions of bony anatomy were non-recoverable as well. In this situation, a repeat exposure is required. What stands out to me in this example is the similarity in appearance this image has to an overexposed film/screen image. You only needed to use about twice the exposure needed on film/screen to produce this effect, while in digital imaging, it’s quite a bit more – usually a minimum of 5-6 times overexposed. Now that’s dynamic range!
  • 24.
    Evaluation of Underexposure Mostof the images that are underexposed will require a repeat exposure. As a rule of thumb, I would recommend any exposure made with less than 50% of the required exposure to provide an optimum Exposure Indicator be thoroughly evaluated. Though software will make this image appear adequate, a magnified evaluation of the image is required. Image noise, or quantum mottle, is almost always present with underexposure within this range, and you may not see it on
  • 25.
    your small QCimage presented at the technologists’ control panel. Even if you can magnify your images at the control panel, I would still recommend transferring the image to a PACS terminal and review the image in greater detail there. Once the exposure indicator drops to around 25% of the exposure required to provide an image in the optimum range, image noise (otherwise known on film/screen imaging as quantum mottle) will always be present, and a repeat will be required. You can certainly perform the thorough investigation utilizing a PACS terminal, but I haven’t found a system in my experience that would not display noise within this exposure range.
  • 26.
    *Note: If youare unsure whether or not there is image noise present in your image, the magnification tool in the QC stage of your exam. The monitor you are using at the technologist’s control panel is not nearly as high-resolution as the monitor the radiologist will be viewing from. As you can see, the signal is incredibly poor when magnified, which increases the chance of a hairline fracture or buckle may not be visualized with an underexposed image compared to one that is optimally exposed. Any image noise you see present on the low resolution monitor during image QC will only be amplified for the radiologist, so as
  • 27.
    a rule ofthumb, consider a repeat of noise is obvious as in the image above. ROI ROI stands for “Region of Interest”. Some systems have this feature that can be utilized after the initial exposure as a post- processing option. When the overall image quality is less than optimum, this tool allows the technologist to plot a region on the radiograph that the technologist would prefer to have a different appearance. Based on the data in the region selected, there is a post-processing feature that will manipulate the brightness and contrast of an image to better represent the area plotted. The adjustment makes the change to the entire image which is updated in real time, and can be re-plotted several times until the technologist is pleased with the appearance prior to sending the image to PACS. Make sure to check with the vendor when utilizing this feature. You want to ensure the original captured data set is not manipulated when using this feature as it will limit the amount of adjustment the radiologist can perform in the reading room. I should point out that this tool has limitations. Take note of the exposure indicator for your image prior to utilizing the ROI tool. Having an indicator outside the acceptable range will proportionally inhibit the functionality of this feature. The further outside the range, the less this will work.
  • 28.
    REX REX stands for“Relative Exposure” and is very similar to the ROI feature I just explained. The one difference that separates the two is that REX provides a numerical value that will change when different regions of the radiograph are plotted. Do not use the REX value as an indicator of appropriate exposure to the image plate. This is a great tool if used properly, but I have seen more technologists and vendors misunderstand its proper use than any other digital imaging feature in my professional experience.
  • 29.
    You must usethe Exposure Indicator value to determine appropriate exposure to the plate. You will notice that systems that possess a REX value also possess an Exposure Indicator of some kind. I’m going to use Canon DR as an example because it’s what I most recently used in a clinical setting and it’s what I’m familiar with. If I expose a knee x-ray, the system produces two numbers. For example, an EI of 250 may have been produced and a REX value of 800 is seen. The EI is within range according to my department guidelines, but the REX is not (and usually when the REX is not in range, the image brightness is not optimum). If I thought the image appeared too light, I might choose to utilize the REX tool and plot a square region to encompass the bony anatomy at the knee joint, being careful to exclude too much soft tissue. When I do this, the REX number changes to 600 (which was recommended by the vendor), but my EI remains the same. What’s happening is the image appearance is changing as if the exposure to the plate had been different, hence “Relative” Exposure. The actual exposure to the plate stayed the same, represented by the EI. If your original Exposure Indicator is outside acceptable parameters, the REX feature will be limited to the extent it can “fix” your image. You will still see the effects of over or under- exposure as described above, even if you can plot a region on the image that changes the REX to the recommended value. This concept confused a lot of technologists who received mixed messages from the applications training from the vendor who installed the equipment where I was working at the time, vs what the x-ray equipment company was telling us during installation and shortly thereafter. We were mistakenly told by one of them (the vendor or the installer) that as long as they were able to get a REX value to be “around 600”, the image would be acceptable when it was sent to the radiologist
  • 30.
    (regardless of theEI). It wasn’t until after the applications team left our facility that the radiologists started complaining about the image quality. It was at that point that I pulled out the four- inch thick user’s manual for the DR image plate and decided to dig in. Through regular quality control efforts and communication with the radiologists, my department was able to produce our own technique charts with recommended primary EI values for each body part needed, plus suggested REX values to achieve once the EI was in range. This produced the best, most consistent outcome of the DR system in place. It’s still in use today, though I no longer perform radiography at that facility. If you don’t take away anything else from this section, make sure you understand that the exposure indicator shows data from the original captured image, and does not change. The REX value should be thought of as a tool for post-processing, and can change.
  • 31.
    Image Brightness andContrast Though the processing algorithm is designed to create an optimum brightness and scale of contrast for digital images, the most important thing we need to remember is that the beam physics remain the same. The auto-corrections and post- processing alternatives are amazing, and should be utilized to maximize image quality prior to delivery to the radiologist, but even these tools have limitations to what they can do. The higher the quality of the remnant beam reaching the image receptor, the better these tools will be at making improvements to the final image. Conversely, if you supply a sub-par remnant beam to the image receptor that does not utilize optimum beam mechanics, you may end up with a useless radiograph in need of a repeat exposure. How do we supply a high-quality beam to the IR with the maximum potential to allow the software to do its job? By supplying the appropriate exposure to the IR, and by doing as much as possible to eliminate scatter radiation. Scatter has even more of a negative effect on image quality with digital equipment than it did with film/screen imaging. Because digital systems interpret any radiation exposure including scatter radiation as simple data, it does not distinguish it as “unnecessary” and cannot account for it like some technologist believe it can. In fact, when the processing algorithm is manipulating the raw data, it can interpret an increase in scattered photons to be an “overexposed” image. It will then do what it was programmed to do with any overexposure… it manipulates the final image to appear lighter. Remember when I said if you expose a digital image with 4 times the exposure required, it will make it appear optimal? The computer doesn’t know the difference between overexposure and scatter. The problem is simple overexposure
  • 32.
    will contain photonsin areas that are radiolucent in higher quantity. Scatter radiation places photons all over the image, which reduces the difference in exposure reaching the image receptor, therefore minimalizing the effects of differential absorption. With an increased amount of scatter radiation reaching the image plate in various locations, the entire image will be adjusted according to the instructions in the processing algorithm, and it will produce a low-contrast image. In the image above, the image plate was exposed with the appropriate quantity of radiation and the Exposure Indicator
  • 33.
    was within range.It is because of excess scatter radiation that the image looks washed out and possesses low-contrast. You probably already know the methods for reducing scatter, but here’s a review of some primary ways that will keep your digital images looking amazing:  Beam limitation – collimation. More tissue irradiated means more scatter radiation produced at the image receptor  Use of grids – definitely for parts over 10cm of thickness, and I would argue utilization of grids for all chest x-rays  Appropriate kVp range per body part/thickness  Minimize OID whenever possible  Utilize the appropriate processing algorithm You may believe that the computer software should fix any negative visual appearance on the radiograph caused by failure to follow these guidelines. But after following the image critique steps discussed in this book and with regular practice of these recommendations, you will soon notice a pattern of improving the quality of your images.
  • 34.
    In school, Ilearned to utilize a lead strip behind the patient when positioning for a lateral lumbar spine. This was to eliminate scatter radiation from appearing posterior to the spine on the radiograph. This is exponentially more important to do when using digital equipment. If that scatter were to reach the image receptor, the computer may interpret that additional exposure as part of the useful image. It can’t distinguish the region of the radiograph that was produced from scatter vs. the region of the radiograph that is of interest. Advances in software during processing help, but will never completely compensate for exposure to regions of the image
  • 35.
    receptor that arenot important. It simply sees and interprets the data it captures. The larger the region of scatter recorded, the greater the perceived average signal to the IR. And if the software sees a higher average signal/exposure, it will assign the image an Exposure Indicator representative of an over-exposure. The software will then adjust the image to be brighter than it needs to be. It will actually appear similar to an under-exposed film/screen image (too light) due to the software’s attempt to compensate.
  • 36.
    It is alsoimperative to draw a distinction between beam restriction (aka collimation) and image cropping (also referred to as masking or shuttering). Beam restriction should always be used, and contributes largely to the cleanup of scatter radiation. As evident in the two images above, the images that are not collimated tightly display reduced image contrast. There’s absolutely no reason to expose a 14 x 17 field for a L5- S1 lumbar spine spot image. Cropping or masking does nothing to improve the visibility, resolution, or image contrast of the area of interest. It is for good reason that I advise against cropping for images that should possess tight beam restriction. There is no need to irradiate tissue outside of the area of interest for any view. This is not ethical practice and should be discouraged by radiologists, administrators and fellow radiologic technologists. There is an element of legal liability to be considered. It’s also unethical to expose anatomy and exclude it from view of the radiologist. If the tissue was irradiated, regardless of whether it should have even been exposed, it should be displayed for interpretation. Most digital systems will automatically mask regions of the exposure that it detects as being outside the original exposure field. You may notice a small white border within that masked area. This should be your go-to evidence for proper collimation. If you do not see a small this think white region, talk to your vendor about adjusting the masking parameters to be able to visibly see ¼ inch or so of the unexposed area of the image within the masked region. This will allow you to quickly determine whether the image was truly collimated well, or if a technologist is simply trying to crop exposed regions within the image receptor that are outside the pertinent anatomy.
  • 37.
    Click here tolisten to my podcast about Collimation vs. Cropping
  • 38.
    Evidence of Motion Thereare two types of motion affecting our radiographs; voluntary and involuntary. The best tools we have to minimize motion are good communication with our patients and low exposure times. Both are essential. Motion can sometimes be subtle, so I recommend magnifying the images upon the quality control stage of your exams. I’m a big fan of performing QC twice. You can quickly glance at your images as they populate your work screen. This should be a quick once-over to ensure the very basic requirements like anatomy and positioning are adequate. You should be checking your images a second time before your patient leaves the room and prior to sending your images to the PACS station. It is at the second QC opportunity I would take a further look into any aspects of image critique involving magnification. Motion should be distinguished from a double exposure. With motion, you should see either a slight blurring effect, or complete disappearance of landmarks. In a double exposure, you will see areas of the radiograph with sharp, distinct lines twice. We all learn how to prevent motion by reducing exposure times. But what about using Automatic Exposure Control (AEC)? Students often object when I ask them to reduce exposure times on large patients when utilizing AEC stating “I can’t control exposure time because it’s photo-timed”. While you’re not setting the specific duration of the exposure, you do have control over the mA value. In general, you can increase the mA setting for large patients to help. The Law of Reciprocity enables us to use higher mA to produce the same overall mAs value that would be required for a large patient, while reducing the amount of time it took to achieve that overall mAs value.
  • 39.
    You can alsoutilize higher kVp to reduce the mAs needed, therefore the overall exposure time while utilizing AEC, but make sure to keep it within the optimum range for the part being imaged. This image displays breathing motion. You can identify this by lack of visualization of the ribs. It’s easy to visualize the thoracic spine because of this, and the spine is not blurred most likely because the motion was caused by continued breathing during the exposure.
  • 40.
    In this image,it’s more difficult to distinguish motion from a double exposure when looking around the heart shadow, but if you take a moment to observe the two distinct clavicles and sets of upper ribs, it is clear that a double exposure occurred rather than a smooth blurring of bone or complete lack of visualization.
  • 41.
    Evidence of Artifacts Thepresence of some artifacts are indicative of the need for a repeat exposure, but not all artifacts necessarily require this. I like to separate artifacts into three separate categories; removable artifacts, non-removable artifacts, and mechanical artifacts – some of these may overlap at times. Removable Artifacts These artifacts include articles of clothing, jewelry, fabric folds, hair, and anything else that with adequate exam preparation, can easily be prevented from showing up in the radiographic image. These items should be sought out prior to the examination and questions should be asked about removal of these items before positioning occurs. Always have a container of some kind for the patient to place belongings into. I sometimes have patients place items like jewelry, hair pins, or dentures into an emesis basin, and keep it visible on a countertop in the exam room. Or if the patient prefers, you could provide something for them to place items into in the dressing room. Regarding clothing, be wary of any clothing with logos, embroidery, or pressed collars. Though some patients may wear workout pants, some may have zippers or metal snaps. Some piercings may be removable and some may not. You should always ask whether or not there is any metal or “removable objects” prior to the examination.
  • 42.
    It’s hard toimagine turning in a radiograph with this many removable artifacts on it, but it happened. The technologist who sent me this image stated that the patient refused to change into a patient gown, which was documented. The technologist also called the radiologist to ask if the image should still be performed. The radiologist even came into the exam room to discuss the benefits of removing anything that could obstruct the image, and the patient still refused. The technologist noted this as well, and I was told that the dictated report indicated everything the technologist documented in the exam record.
  • 43.
    Non-removable Artifacts Some artifactslike surgical prosthetics, lines and tubes are visible on the radiograph, but should not be tampered with. If you have ever completed portable exams in ICU, you will understand what I mean. You can, however, place some lines, wires and tubes that are external to the patient aside to prevent superimposition with internal structures. Line placement can be difficult for a radiologist to determine if there are other wires and other artifacts lying over the region where the tip of a catheter should be placed.
  • 44.
    Mechanical Artifacts These typesof artifacts are caused by errors in radiographic equipment function and indicate either a problem with the equipment or technologist error. Examples include grid lines, aliasing artifacts, scratches or dirt on the image plate, or normal wear and tear of the plate edges. Some of these items may be preventable on a repeat image, and some may require repair or replacement of a part. Here’s a couple of images from a previous article I wrote on the Topics in Radiography blog:
  • 45.
    It can bedifficult to distinguish scratches on the image plate from hair. Anything that will prevent a signal from reaching the image phosphors will appear as a radiopaque artifact. For this reason, it is recommended to clean CR image plates once per month or as needed. The following radiograph additionally shows two other mechanical artifacts. When dust sediment collects on the light guide during the CR image plate processing cycle, the effect is failure of the signal to be transmitted in a linear pattern across
  • 46.
    the entire imageplate (displayed below as a solid horizontal white line). The following image, clipped from the same radiograph with the dust artifact above, displays chipping of the image plate phosphor layer as a result of normal wear and tear. This prevents a signal from being recorded in the region missing the photostimulable phosphors, and typically occurs at the periphery of the image plates where the greatest point of friction occurs during plate travel through the processor. This artifact occurs more commonly on CR image plates that are flexible and travel through a roller assembly.
  • 47.
    Scuff marks onthe image plates can be common when rigid backing layers are used and the image plate is removed from the cassette housing. Although I could not find an image to reference for this artifact, they typically appear as symmetrical opacities that are either linear or rectangular in shape.
  • 48.
    Identifying Markers This categorycan also be broken down into multiple subcategories. Any radiograph is considered a legal document, and must contain several identifying markers to be submitted in a court of law. These identifying markers include patient demographics, properly positioned radiopaque anatomical markers and exam-specific / dose-related markers. Patient Demographics The number one national patient safety goal is proper identification of patients. This currently includes using at least two (three preferred) patient identifiers prior to treatment. This doesn’t let technologists off the hook after the radiographic examination is complete. Proper care should be taken to ensure that the patient name, exam type and physician signature are on the prescription for the exam. This information should also be matched to the patient’s exam requisition. And finally, both of these should match the demographics visible on the technologist’s control panel. I have witnessed many technologists and students properly identify the patient and match up the physician order with the exam requisition, only to touch the wrong patient on the work list touch screen. Thankfully when this is noticed prior to the exam being performed or images sent to the PACS system, it’s an easy fix. Problems become more complicated the further along in the dictation process the exam goes without anyone noticing. Once sent to PACS, an administrator may be needed to fix this kind of error if technologists don’t have the appropriate access to fix. Hopefully, it can be fixed prior to the
  • 49.
    radiologist reading. Ifit’s noticed after the radiologist reads it, not only the PACS administrator but the radiologist will have to do extra work to correct the error. And depending on how soon this error is caught, billing may or may not need to be involved. The worse-case scenario is the error goes unnoticed completely. The results of this could be catastrophic. Basically the patient who needed the exam will not have it recorded in their record. An entirely different patient will have those results added to theirs, which can lead to further medical errors. Someone could receive a false diagnosis, or ever worse, receive a procedure or surgery that is unneeded. This is a nightmare situation for all involved, but most importantly for the patient. All of this is much easier to prevent by simply following protocol before and during the exam. The severity of some of the errors mentioned here could land you unemployed or you may find yourself in the middle of a lawsuit. It may seem like you’re busy in the moment, but taking the time to do things properly the first time is always the best practice. Radiopaque Anatomical Markers These markers should be visible within the exposure field on every image, and need to include “R” for right or “L” for left. It also needs to contain an identifier specific to the technologist performing the procedure, and usually consists of tech initials or a numerical identifier. It has become a bad habit among many technologists to simply annotate a digital marker after an exposure is performed. This is not acceptable. With film/screen systems, it was possible to ascertain if an image was take AP or PA due to the blocker location, and sometimes the technologist could identify left or
  • 50.
    right by simplyhanging the film how it was exposed and in accordance with the blocker location. Though it was easy enough to determine right and left by the technologist who exposed the image, radiopaque markers were still required. This is also true today, and even more important because of the lack of a blocker to orient the projection with, as well as the fact that depending on processing algorithm selected, the software may or may not flip the image horizontally in order to attempt to hang the film in the anatomical position. This combined with the occurrence of pathologies like situs inversus (organs are on located on opposite side of the normal anatomic location) and dextracardia (only the heart is on the opposite side of the normal anatomic location) could influence the ultimate outcome of patient care. Exam-Specific and Dose-Related Markers New regulations may require radiation exposure information to be recorded on the submitted image. There is inherent software that displays estimations of radiation dose like DAP (dose area product) within the DICOM header of the images. It is also great practice, especially with portable images, to record technical factors to maintain consistency between images. If I know that a technologist performed a portable chest x-ray on a patient yesterday, and I’m about to perform one again today, it would be wise to look up yesterday’s image to check the technical factors and the Exposure Indicator they produced. This way, you can adjust if needed or maintain an optimal technique.
  • 52.
    Evidence of RadiationProtection Along with utilizing the appropriate technical factors to provide adequate exposure to the image receptor, there are a few things that need to be evaluated in every image critique that should be documented as evidence of radiation protection. If a patient is female of child-bearing age, asking about status of pregnancy is required, but it is of extreme importance to document in tech notes to be saved as part of the medical record. Lead shielding is also required for most exams – I also like to document that the patient was shielded as part of the tech notes. Sometimes evidence of shielding will appear in the primary exposure field on some exams, but use caution. Just because lead overlies anatomy, it does not guarantee that section of anatomy will not be exposed to radiation. Also, too much lead within an exposure field may cause the computer to interpret the exposure as underexposed. When this happens, the processing algorithm may attempt to compensate for the underexposure by making the entire image lighter, and making your image repeat-worthy, even if you exposed it with technical factors that were optimum. Finally, appropriate collimation must be used. Not only will collimation provide radiation protection, it will reduce the possibility of processing errors with the software. As explained before, if the image receptor has a lot of exposure outside the pertinent anatomy, it will analyze all of the captured data and will try to adjust it accordingly. It is possible for the computer to process the image to an unrecoverable state when the image receptor is exposed this much. Try to keep collimation to the soft tissue to prevent this from occurring.
  • 53.
    If you hadto assign an “average grayscale value” to this hand x- ray, would you think it would be light, dark, or in the middle? Just looking at the region of the image receptor that was exposed outside of the anatomy, the computer interpreted it as an overexposed image. So what did the processing software do? It adjusted the entire image to be lighter to compensate for an overexposure. It didn’t matter that the technical factors were appropriate. What mattered was how the data received by the computer was interpreted, and that the software did exactly what it was programmed to do.
  • 54.
    While less ofa percentage of the sunrise view above was outside the pertinent anatomy, the turned out fine through the area of interest. How can this be? The average grayscale value was most likely balanced out by the lack of photons through the bottom area of the image (notice image noise/mottle at the thickest part of the anatomy visualized). With all of those light- colored pixels, combined with all of the darker pixels outside the anatomy, the average grayscale value was (by chance) close to what the required image should be. In this instance, the technologist got lucky. It’s also very sloppy. Would you be proud to submit this image?
  • 55.
    Search for Pathology Obviously,you are not a physician, so you cannot diagnose but you are well-versed in what the anatomy should look like on a radiograph, and thus you may be able to recognize when something does not appear the way it normally should. This is a skill that requires continuous effort to make progress toward and can make you stand out from other technologists in your field. You may not know the name of a particular abnormality you notice on a radiograph, but take this opportunity to inform the radiologist you see something peculiar (before you let the patient go) and learn about it. There’s something to be said about listening to a radiologist dictate exams. Back in the days with film/screen, we would wait patiently behind the radiologist until they were finished dictating the exam they were currently working on. The waiting time alone exposed us to useful information, whether it was intentional or not. What was great about that practice was the fact that you were also hanging your images for them to review right in front of you. They pulled no punches if they were unsatisfied with your exams. Face-to-face, they either approved your images or informed you of what the images were lacking. This was valuable, regular feedback that just doesn’t happen anymore with PACS systems. I didn’t want to be the guy who went back and forth several times to the reading room, potentially frustrating the radiologist (I used to call it ‘the walk of shame’ when I needed to repeat an image). I wanted to be the guy who got it right the first time. Every once in a while, you would get a pat on the back after submitting a number of films that were high-quality.
  • 56.
    As a student,I was required to sit with a radiologist and observe dictation as part of my clinical rotation. Nowadays, you must take it upon yourself to ask questions in the reading room and take initiative to improve those skills. If you have ever been able to identify something important like a pneumothorax or a fat pad (evidence of a fracture), notifying the radiologist immediately will affect the outcome of the patient’s treatment in a positive way. If you allow someone to leave your department prior to notifying the radiologist of some findings, it could delay treatment of what could be a life- threatening condition. If you’re unsure, simply have the patient wait in the lobby or in your exam room (under observation) until you have a chance to speak with the radiologist. Even if it does not turn out to be a life-threatening finding, there may be additional views or studies required to further investigate a diagnosis.
  • 57.
    Considerations with DigitalRadiography Processing Algorithm An optimum radiograph begins with appropriate algorithm selection. When you are selecting the body part and projection at the control panel (prior to the exposure being made), you are basically telling the computer how to process your image. Each algorithm is created with an expected appearance in mind as a final outcome of the image. For instance, selecting a PA Chest algorithm instructs the software to take the data sample from the exposure and manipulate the image to have a low contrast image in general. The scale of contrast is manipulated during processing to take on the “optimum” features of a diagnostic chest x-ray. If you process a chest radiograph using the PA Hand algorithm, you will end up with an image with higher contrast, even though you would utilize the appropriate kVp and mAs values for a chest x-ray. This is because the PA Hand algorithm contains instructions to process the exposure with a higher scale of contrast that would allow for greater visualization of bony anatomy. Your chest x-ray processed as a hand would look more similar to the processing algorithm of a rib series.
  • 58.
    *Note – changingthe processing algorithm after the exposure is possible, but not recommended. Doing so (depending on the imaging system you are using) changes the amount of data sampled in the original exposure, limiting post-processing image manipulation at the reading station. Even if you believe making this change would make a more presentable image for the radiologist, this practice should be avoided. There are also legal ramifications of processing one anatomical part under a different anatomical algorithm. Since our radiographs are legal documents, the part must match the description in the processing algorithm.
  • 59.
    I knew atechnologist who would process every cross-table hip x-ray as a “c-spine swimmer’s view”. She did this because the default algorithm for the hip never produced an image that could be submitted to the radiologist. This is an easy fix. The vendor can be contacted to mirror the algorithm for the swimmer’s view and replace the current hip algorithm with a copy. QC your Images It is always a good idea to utilize the toolset available at the control panel after you’ve exposed your images. Two tools I recommend utilizing religiously are magnifying the image and window/level. When you magnify, you can see things you normally wouldn’t in the small image at the QC station. Look for evidence of image noise indicating underexposure. There may be noise in some parts of the image, but specifically check in the area of interest. I recommend utilizing window/level when you are looking for line placement and need to be sure the tip of a catheter can be seen with a small amount of image manipulation. *Note – always revert the image to the original settings after window/leveling. This is another function that will remove data from the image set. Remember, the more data sent to the radiologist’s reading station, the more the radiologist will be able to manipulate the image to see what’s needed. The functionality of your QC station is simply to provide you with a quick glance, and the reading room will have much more powerful image manipulation tools. It is easy to assume that an adjustment to brightness and contrast prior to sending your images to PACS would be doing the radiologist a favor, but in
  • 60.
    fact, you mayprevent them from seeing anatomical information that was there in the original exposure. Annotations Proper annotation of images can help the radiologist and/or ER physician out quite a bit. As stated earlier, you should always attempt to use your radiopaque markers to identify “right” vs. “left”, but if there’s ever any situation that prevents you from utilizing these such as trauma or during a code response, make sure to double and triple check that you are digitally annotating the appropriate side if you have to. If you cannot be 100% positive which side is right or left, you need to repeat. Check with your department’s protocol on this. Some departments may have a more or less strict policy on utilization of markers. I hate to even leave room for not utilizing them, but we also must consider limiting radiation dose if an optimum image was produced. Make sure in addition to annotate important information such as “decubitus”, “upright” or “supine”. Ensure that anyone viewing your radiographs knows whether or not an exam was performed portably. And if done portable, you should absolutely annotate the technical factors used. Most systems will have an arrow to select in the annotation list. Not enough technologists use this feature. Place this at the area of interest, whether you see a laceration on the skin or you are attempting to identify one digit that is affected and several are in view. You can even point the arrow to the medial or lateral aspect of a specific joint space. Any additional pertinent information annotated on the image to bring the physician’s
  • 61.
    interest to uponviewing the radiograph will be of great use, and they will appreciate you for it! Patient History Though you should be discussing the reason for the exam with the patient prior to your first radiograph being exposed, you should be recording the patient history electronically. Even though you may have taken notes on the requisition, handwriting can easily become illegible or go unseen as it is recorded in a different location than the images. Provide the
  • 62.
    radiologist an easymethod for obtaining the history. If it’s typed into your exam notes in the tracking or PACS notations, there is much better archivability and it will be easier to spot by any physician evaluating the images. Be specific when you record your patient history. Simply saying “hand slammed in door” is not doing the radiologist any favors. Include specific details like “lacerations over posterior aspect of proximal phalanges 3-5” or “3rd PIP joint pain and swelling with contusion.” Use localizing terms like “medial”, “lateral”, “superior”, and “inferior” to any given bony landmark or joint space. Describe skin discoloration, abrasions, abnormal sounds, or anything that might be useful in the diagnosis of pathology. These tiny details are sometimes very valuable, especially when the radiologist doesn’t always examine your patient. CR Image Plate Erasure Specifically when utilizing CR image plates, you may notice additional exposure to the plate or image degradation if a cassette is not used in your department regularly. This is because of natural background radiation. CR image plates are highly responsive to low-level radiation and should be erased at least every 48 hours. Ideally these would be erased once per day, or immediately prior to use. You don’t want to take a portable machine down to the NICU and expose an infant newborn only to find out that there was so much background radiation that the image is insubmissible.
  • 64.
    Conclusion Thorough radiographic imagecritique is like an art form. It is a practice which we must continuously work on to fine-tune our radiographic image production and technical skills, along with improving our efficiency and ability to identify subtleties in our images that may require a repeat exposure. It all starts with proper identification of a problem. If we are not regularly and proactively searching for areas where improvements can be made, we are missing opportunities for growth. Once the problem is identified, we can then work on identifying methods to resolve it. These are the attributes which distinguish the average tech from professional radiologic technologists. After all, we learn just the basics in radiography school with the expectation that over time in this career, additional skills and expertise will be gathered for the sake of maximizing the information recorded within our radiographs, while using the lowest dose (reasonably) achievable. I closing, I’d like to leave you with one basic, yet powerful concept that has helped me in my career. I remember during my sophomore year of high school asking my grandfather for advice on picking a career. He had been an industrial plumber for over 40 years and had worked his way up the ladder to make a more than comfortable living for himself and my grandmother. At the time, I was interested in a few career paths. I asked him “how do you know which direction to take when it comes to your career.” His reply was simple and effective. He said, “Jeremy, it doesn’t matter. Just pick one thing and do it well. Be the very best at that one thing and you will succeed.”
  • 65.
    For some ofyou reading this, radiography may not be your end destination on your path toward the career you ultimately want to plant roots in. However, this advice can still serve you well in your current role as well as in your future ones. Right now, you have an opportunity to make the most of the situation you are in. Developing an intuitive eye for detail and a proactive approach for self-improvement will not only help you in your own life, but will have a profound effect on those you serve and work alongside. This is profoundly more important while working in a health care environment. In order to be taken seriously as a professional, we must take our profession seriously. I hope you find this resource valuable in your role as a student or registered radiologic technologist, and I encourage you to share it with anyone, any department, or any radiography school that you believe may benefit from it. I’ve also created a one-page PDF document you can utilize as a checklist for reviewing your radiographic images. Click here for the PDF Image Critique Checklist. I’m more than willing to answer questions or engage in discussion about any aspect in radiography. Please feel free to drop by my website (http://topicsinradiography.com), connect with me on social media, and let me know what you thought about this book, and how you plan to implement anything you walked away with after reading it.
  • 66.
    About the Author JeremyEnfinger is a leader and educator in radiologic technology. He helps radiography students and practicing radiologic technologists better understand principles of imaging so quality standards and patient care practices are constantly being improved in the imaging community. Jeremy’s desire to help students learn in radiography gave rise to the creation of his website for information and radiography tutorials to be distributed and shared for the purpose of deeper understanding of topics and as a method for collaborating with other professionals in the field. While Jeremy’s primary job is now in management, he continues to teach as an adjunct instructor in a radiography program in San Diego, CA. He still contributes to his blog as often as possible, and has recently started the Topics in Radiography Podcast to further address questions and promote excellence in imaging. You can also find Jeremy and other radiography resources by connecting with him on:  Facebook  Twitter @TopicsinRad  Google+  LinkedIn  YouTube  Pinterest  Email: TopicsinRadiography@gmail.com
  • 67.
    Other Books Becoming aRadiologic Technologist was originally written in response to numerous questions received through the Topics in Radiography blog about what to expect when choosing radiography as a career path and how to succeed in radiography school. Some JRCERT-accredited schools have elected to make this book a prerequisite for application to their school’s radiography program, as it addresses many aspects of working in radiology, and answers questions previously not considered
  • 68.
    or that studentsmay be afraid to ask. It is available as a hard copy and Kindle eBook edition. Click here for more information.