Case presentation
Diaphragmatic Rupture
By:
(MD-General Surgery Resident)Dr.Majid Kalbasi
Presentation
A young 16 year-old male presented to the trauma and
surgical emergency department at the Beheshti Hospital
with 3-day history of abdominal pain, vomiting, absolute
obstipation . The abdominal pain initially started as a dull
generalized discomfort, but later become colicky in
nature. There was no other abdominal or genitourinary
symptoms.
On arrival, the patient was alert but dyspenic, with
respiratory rate of 22 breaths/min and oxygen saturation
of 95%. He was hemodynamically stable and not febrile.
On physical examination , the abdomen was mild
distended and there was diffuse abdominal tenderness
that was remarkable in epigaster and periumblical, no
guarding and rebound tenderness. On rectal
examination, the rectum was empty.
Auscultation revealed decreased air entry in the base
of left hemithorax.
The patient had an unremarkable past medical and
surgical history.
Initial Managment
Initial management of the patient involved
intravenous fluid resuscitation, nasogastric tube
insertion, Lab data , AP chest x-ray and Upright and
Supine abdominal x-ray , abdominopelvic CT-Scan
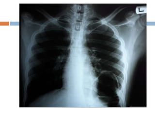
 The initial chest radiograph performed in
the ED was interpreted as showing a
loculated air trapping on base of left
hemithorax.
To identify the definite cause of the matter,
CT-Imaging of the abdomen with oral and Iv
contrast was performed which demonstrated
left diaphragmatic rupture with herniation of
viscus into the left hemithorax
Diaphragmatic Rupture
Why?
What Is the matter?
Previous Scenario
About 2 months before this admission, the patient was
brought to ED after stab injuries. there was in the left
posterolateral fifth intercostal space.
On examination, he was conscious, the airway was patent and
secured, breathing was spontaneous and chest was moving
equally on both sides, but there was diminished breath sounds
on auscultation in left side of the chest.
His vital signs were: pulse rate 84/min, blood pressure
120/80mmHg.
FAST was negative. Chest x-ray showed pneumothorax in
left hemithorax.
An intercostal chest tube was put immediately and a gush of
air came out, followed by approximately 100 cc of blood.
Operation report
Chest was accessed by a left posterolateral
thoracotomy incision through the 7th intercostal space.
An approximately 4-5 cm traumatic defect was detected
in anteromedial portion of the diaphragmatic dome. A
portion of the spleenic flexure and omentum had
herniated into thorax through this defect.
On exploration, it was observed that the colon and
omentum were adherent to lung paranchyma. The
adhesions were freed with blunt dissection.
The defect had extended and abdominal organs
replaced below the diaphragm.
The defect was repaired primarily with loop
nylon no: 1 in separately bites.
Finally a chest tube had been inserted in 7th
intercostals space.
After operation the patient was transferred to ICU
and remained there for 1days.
Over the post operative period, the patient’s vital sign
remained stable and his condition did not deteriorate
further.
Day 1
- Npo
Day 2
- NG-Tube D/C
- Surgical diet
Day 3
- Liquid diet
Day 4
-Regular diet
- Chest Tube D/C
Day 5
-Discharge

Diaphragmatic Rupture

  • 1.
  • 2.
    Presentation A young 16year-old male presented to the trauma and surgical emergency department at the Beheshti Hospital with 3-day history of abdominal pain, vomiting, absolute obstipation . The abdominal pain initially started as a dull generalized discomfort, but later become colicky in nature. There was no other abdominal or genitourinary symptoms. On arrival, the patient was alert but dyspenic, with respiratory rate of 22 breaths/min and oxygen saturation of 95%. He was hemodynamically stable and not febrile.
  • 3.
    On physical examination, the abdomen was mild distended and there was diffuse abdominal tenderness that was remarkable in epigaster and periumblical, no guarding and rebound tenderness. On rectal examination, the rectum was empty. Auscultation revealed decreased air entry in the base of left hemithorax. The patient had an unremarkable past medical and surgical history.
  • 4.
    Initial Managment Initial managementof the patient involved intravenous fluid resuscitation, nasogastric tube insertion, Lab data , AP chest x-ray and Upright and Supine abdominal x-ray , abdominopelvic CT-Scan
  • 5.
     The initialchest radiograph performed in the ED was interpreted as showing a loculated air trapping on base of left hemithorax.
  • 10.
    To identify thedefinite cause of the matter, CT-Imaging of the abdomen with oral and Iv contrast was performed which demonstrated left diaphragmatic rupture with herniation of viscus into the left hemithorax
  • 11.
  • 12.
    Previous Scenario About 2months before this admission, the patient was brought to ED after stab injuries. there was in the left posterolateral fifth intercostal space. On examination, he was conscious, the airway was patent and secured, breathing was spontaneous and chest was moving equally on both sides, but there was diminished breath sounds on auscultation in left side of the chest. His vital signs were: pulse rate 84/min, blood pressure 120/80mmHg. FAST was negative. Chest x-ray showed pneumothorax in left hemithorax. An intercostal chest tube was put immediately and a gush of air came out, followed by approximately 100 cc of blood.
  • 13.
    Operation report Chest wasaccessed by a left posterolateral thoracotomy incision through the 7th intercostal space. An approximately 4-5 cm traumatic defect was detected in anteromedial portion of the diaphragmatic dome. A portion of the spleenic flexure and omentum had herniated into thorax through this defect. On exploration, it was observed that the colon and omentum were adherent to lung paranchyma. The adhesions were freed with blunt dissection.
  • 14.
    The defect hadextended and abdominal organs replaced below the diaphragm. The defect was repaired primarily with loop nylon no: 1 in separately bites. Finally a chest tube had been inserted in 7th intercostals space.
  • 15.
    After operation thepatient was transferred to ICU and remained there for 1days. Over the post operative period, the patient’s vital sign remained stable and his condition did not deteriorate further.
  • 16.
    Day 1 - Npo Day2 - NG-Tube D/C - Surgical diet Day 3 - Liquid diet Day 4 -Regular diet - Chest Tube D/C Day 5 -Discharge