Common Anemia
Kaipol Takpradit
Objective
Can make initial approach to patients with anemia
Know common causes of anemia in clinical practice
Can select proper treatment for common and uncomplicated anemia
Normal Hb at sea level
Adult
Hb ≥ 13 g/dL in male
Hb ≥ 12 g/dL in female
Hb ≥ 11 g/dL in pregnancy
(10.5 in second trimester)
Pediatric
Hb ≥ 11 g/dL in 6 - 59 months
Hb ≥ 11.5 g/dL in 5 - 11 year
Hb ≥ 12 g/dL in 12-14 year
In newborn Hb is up to 14 g/dL and
gradually declines
WHO. 2011 (http://www.who.int/vmnis/indicators/haemoglobin. pdf, accessed [07/19/2018]).
Category of anemia
Increase destruction vs decrease production
MCV size (small vs normal vs large)
Congenital vs acquired
Acute vs chronic
Clinical approach of anemia
Onset is gradual or acute?
If acute, is there any evidence of blood loss?
If no, could it be hemolysis?
Is there other hematologic abnormality?
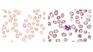
Distinct RBC morphology
Clinical approach to anemia
Gradual onset of anemia allows body to compensate with anemia
Increase stroke volume, heart rate
Shift in O2
dissociation curve
Patient can tolerate to very low Hb
Usually caused by decrease RBC production
Clinical approach to anemia
Acute onset of anemia allow little time for body compensation
Patient could notice the change when Hb decrease
Usually caused by loss or destruction of RBC
Significant blood loss may associate with sign of volume loss
Fall in Hb happen after at least 6 hr after blood loss
Reticulocyte count increase after 24-48 hr
Clinical approach to anemia
Hemolytic anemia may increase LDH, indirect bilirubin, AST
Decrease in haptoglobin
Extrinsic cause
Membrane defect (immune/non-immune)
Hemoglobinopathy
Enzyme defect
Anemia
Ineffective
erythropoiesis
Iron deficiency anemia
Megaloblastic anemia
Thalassemia
Myelodysplastic
syndrome Extrinsic cause of
hemolysis
DIC
PNH
AIHA
Infection
Mechanical heart valve
Drug and chemical
Thermal injury
Membrane
abnormality
Spherocytosis
Elliptocytosis
SEA ovalocytosis
Pyropoikilocytosis
Hemoglobinopathy
Hb H disease
Hb constant spring
RBC enzyme defect
G-6-PD deficiency
Pyruvate kinase deficiency
Decrease production
Pure red cell aplasia
Aplastic anemia
Anemia of CKD
Anemia of chronic
disease
Anemia of elderly
Chemotherapy induced
anemia
Ineffective erythropoiesis
Iron deficiency anemia
The common in female in reproductive age
Gradual onset of anemia
Also have abnormal epithelial change (nail, mucosa)
Caused by decreased intake or chronic blood loss
Cause of IDA should be sought
Iron deficiency anemia
Low MCV, high RDW
Hypochromic microcytic RBC
Ferritin < 15 ng/dL, Tsat < 15%, increase TIBC
Treat with iron replacement
Complete response expected in 1-2 months
Megaloblastic anemia
Caused by deficiency of folate or B12
Folate and B12 involve in thymidine synthesis
Impaired DNA and nucleus maturation
Cytoplasm continue to grow and cause megaloblastic change
Impaired nuclear maturation result in hypersegmentation
Megaloblastic anemia
B12 is store in large amount and have reserve for 3-5 years
B12 carried by intrinsic factor and absorbed from terminal ileum
Usually caused by malabsorption
Folate absorbed from upper part of small intestine and ileum
Folate have reserve for 1-2 months
Megaloblastic anemia
In addition to anemia B12 deficiency also cause neurological abnormality,
greying of hair, change in skin
Deficient in intrinsic factor impairs absorption of B12 called pernicious
anemia
Pernicious anemia associated with other autoimmune disease and CA
stomach
Megaloblastic anemia
Replacement therapy rapidly correct anemia
IM injection of cyanocobalamin for pernicious anemia
1000 mcg IM OD in the 1st week
1000 mcg IM week for 1 month
1000 mcg IM monthly as maintenance
1000-2000 mcg o OD may use as alternative maintenance
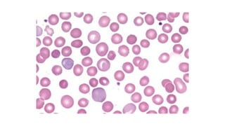
Thalassemia
• Alteration in goblin genes
• Alpha on chromosome 16
• Non-alpha on chromosome 11
• Cause imbalance of goblin tetramer
Severity of thalassemia
• Thalassemia trait
• Mild thalassemia (near normal)
• Thalassemia intermedia (NTDT)
• Thalassemia major
Mild thalassemia
• Homozygous Hb E
• Have Low MCV, MCH, MCHC, target cell 3+
• Almost normal Hb, RDW
• No treatment required
Non-transfusion dependent thalassemia
• Have clinical of thalassemia
• Pallor, jaundice, splenomegaly
• Can maintain adequate Hb level for normal daily living
• Increase iron absorption
• Risk of liver hemochromatosis
Non-transfusion dependent thalassemia
• Hemoglobin E/beta thalassemia
• Beta+
thalassemia
• Hb H disease
• AE Bart’s disease
• EF Bart’s disease
Transfusion dependent thalassemia
• Require regular transfusion
• Iron overload from repeated transfusion
• Cardiac and liver hemochromatosis, endocrinopathy
• Should have transplantation in childhood period
Hb typing
• α2
β2
: Hb A
• α2
δ2
: Hb A2
• α2
ɤ2
: Hb F
• β4
: Hb H
• δ4
: Hb Bart’s
• α2
βE
: Hb E
Hb typing
• Hb, Hct, MCV, RDW
• A2
> 3.5% : beta trait
• E 25-35% : E trait
• E 50% F50% : E/beta0
• E > 85% : Homo E
• H or Bart’s : Hb H disease
Treatment of thalassemia
• Transfusion
• Use leukocyte reduced blood product
• Iron chelation
• Ferritin > 1,000 ng/dL in transfusion dependent
• Ferritin > 800 ng/L in NTDT
• Folate supplement
Treatment of thalassemia
• Other supplement
• Calcium, Vit D to prevent osteopenia
• ASA for splenectomised Pt.
• Penicillin/pneumococcal vaccination for splenectomized Pt.
Vaccination of splenectomised
• 13 valent pneumococcal vaccine 2 wk
prior
• 23 valent conjugate pneumococcal
vaccine 8 weeks after
• Then every 5 years
Splenectomy
Decrease production
Anemia in CKD
Decrease in erythropoietin production from kidney
Significant in CKD stage III or more
Uremic toxic cause hemolysis
RBC morphology appear normal
Adequate hemodialysis and epoetin effectively correct anemia
Anemia of chronic disease
• Found in chronic inflammatory disease
• Chronic infection, autoimmune
• Hct usually not below 25%
• Normal MCV and RDW
Anemia of chronic disease
• RBC morphology may have mild hypochromia
• Low serum iron but also low TIBC
• Ferritin < 30 ng/mL is indicate concurrent IDA
• Treatment is directed to underlying disease
Extrinsic cause of hemolysis
Autoimmune hemolytic anemia
• Cold type/warm type
• Present with gradual onset of anemia and jaundice
• Associated with SLE, lymphoma
• Direct Coombs test positive, presence of microspherocyte
• Accompanied by reticulocytosis and NRC
Autoimmune hemolytic anemia
Primary treatment is high dose steroid
Prednisolone 1 mkd until Hb reach 10 g/dL
Response is expected in 1-3 weeks
Gradually tapering off is important to decrease risk of relapse
Second line treatment include splenectomy, rituximab and immune
suppressive drugs
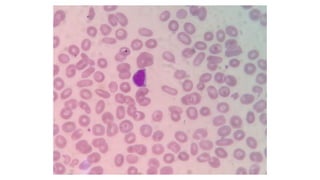
Microangiopathic hemolytic anemia
Caused by mechanical injury to RBC
Fibrin, small vessel thrombus
DIC, TTP, HUS, renal glomerular disease
RBC membrane defect
Hereditary spherocytosis
Predominantly autosomal dominant
Deficiency in ankyrin
Normal MCV but can be high in MCHC
Mild to moderate anemia
Splenectomy required in severe case (rare)
Deficiency in spectrin cause hereditary elliptocytosis
RBC enzyme defect
G-6-PD deficiency
Glucose-6-phosphate dehydrogenase is an enzyme in pentose phosphate
pathway; maintaining NADPH and glutathione
Defend against oxidative injury to cell
In Thai the most common is WHO type 3, having brisk hemolysis only in
assault of offending agent
X-linked recessive
Lyonization can cause low level in female
G-6-PD deficiency
Treatment is mainly supportive
Transfusion often require in symptomatic patient
Hydration to prevent renal complication
Folate supplement
Hemolytic episode usually resolve after 1 week
Hemolysis from hemoglobinopathy
Hemolysis from hemoglobinopathy
HbH disease, Hb constant spring are stable enough to release in
circulation
Upon stress these Hb precipitate and cause hemolysis
Sickle cell become sickling upon desaturation
Hemolysis from hemoglobinopathy
Treatment is mainly supportive
Transfusion often require in symptomatic patient
Hydration to prevent renal complication
Folate supplement
Predominantly extravascular hemolysis but intravascular hemolysis could
occur in severe case
Conclusion
Many conditions can cause anemia
Clinical clues and blood smear are very important tools
Decrease production/ineffective erythropoiesis
Blood loss
Hemolysis - Extrinsic/membrane/enzyme/hemoglobinopathy
Question...?

Common anemia

  • 1.
  • 2.
    Objective Can make initialapproach to patients with anemia Know common causes of anemia in clinical practice Can select proper treatment for common and uncomplicated anemia
  • 3.
    Normal Hb atsea level Adult Hb ≥ 13 g/dL in male Hb ≥ 12 g/dL in female Hb ≥ 11 g/dL in pregnancy (10.5 in second trimester) Pediatric Hb ≥ 11 g/dL in 6 - 59 months Hb ≥ 11.5 g/dL in 5 - 11 year Hb ≥ 12 g/dL in 12-14 year In newborn Hb is up to 14 g/dL and gradually declines WHO. 2011 (http://www.who.int/vmnis/indicators/haemoglobin. pdf, accessed [07/19/2018]).
  • 4.
    Category of anemia Increasedestruction vs decrease production MCV size (small vs normal vs large) Congenital vs acquired Acute vs chronic
  • 5.
    Clinical approach ofanemia Onset is gradual or acute? If acute, is there any evidence of blood loss? If no, could it be hemolysis? Is there other hematologic abnormality? Distinct RBC morphology
  • 6.
    Clinical approach toanemia Gradual onset of anemia allows body to compensate with anemia Increase stroke volume, heart rate Shift in O2 dissociation curve Patient can tolerate to very low Hb Usually caused by decrease RBC production
  • 7.
    Clinical approach toanemia Acute onset of anemia allow little time for body compensation Patient could notice the change when Hb decrease Usually caused by loss or destruction of RBC Significant blood loss may associate with sign of volume loss Fall in Hb happen after at least 6 hr after blood loss Reticulocyte count increase after 24-48 hr
  • 8.
    Clinical approach toanemia Hemolytic anemia may increase LDH, indirect bilirubin, AST Decrease in haptoglobin Extrinsic cause Membrane defect (immune/non-immune) Hemoglobinopathy Enzyme defect
  • 9.
    Anemia Ineffective erythropoiesis Iron deficiency anemia Megaloblasticanemia Thalassemia Myelodysplastic syndrome Extrinsic cause of hemolysis DIC PNH AIHA Infection Mechanical heart valve Drug and chemical Thermal injury Membrane abnormality Spherocytosis Elliptocytosis SEA ovalocytosis Pyropoikilocytosis Hemoglobinopathy Hb H disease Hb constant spring RBC enzyme defect G-6-PD deficiency Pyruvate kinase deficiency Decrease production Pure red cell aplasia Aplastic anemia Anemia of CKD Anemia of chronic disease Anemia of elderly Chemotherapy induced anemia
  • 10.
  • 11.
    Iron deficiency anemia Thecommon in female in reproductive age Gradual onset of anemia Also have abnormal epithelial change (nail, mucosa) Caused by decreased intake or chronic blood loss Cause of IDA should be sought
  • 12.
    Iron deficiency anemia LowMCV, high RDW Hypochromic microcytic RBC Ferritin < 15 ng/dL, Tsat < 15%, increase TIBC Treat with iron replacement Complete response expected in 1-2 months
  • 13.
    Megaloblastic anemia Caused bydeficiency of folate or B12 Folate and B12 involve in thymidine synthesis Impaired DNA and nucleus maturation Cytoplasm continue to grow and cause megaloblastic change Impaired nuclear maturation result in hypersegmentation
  • 14.
    Megaloblastic anemia B12 isstore in large amount and have reserve for 3-5 years B12 carried by intrinsic factor and absorbed from terminal ileum Usually caused by malabsorption Folate absorbed from upper part of small intestine and ileum Folate have reserve for 1-2 months
  • 15.
    Megaloblastic anemia In additionto anemia B12 deficiency also cause neurological abnormality, greying of hair, change in skin Deficient in intrinsic factor impairs absorption of B12 called pernicious anemia Pernicious anemia associated with other autoimmune disease and CA stomach
  • 17.
    Megaloblastic anemia Replacement therapyrapidly correct anemia IM injection of cyanocobalamin for pernicious anemia 1000 mcg IM OD in the 1st week 1000 mcg IM week for 1 month 1000 mcg IM monthly as maintenance 1000-2000 mcg o OD may use as alternative maintenance
  • 18.
    Thalassemia • Alteration ingoblin genes • Alpha on chromosome 16 • Non-alpha on chromosome 11 • Cause imbalance of goblin tetramer
  • 19.
    Severity of thalassemia •Thalassemia trait • Mild thalassemia (near normal) • Thalassemia intermedia (NTDT) • Thalassemia major
  • 20.
    Mild thalassemia • HomozygousHb E • Have Low MCV, MCH, MCHC, target cell 3+ • Almost normal Hb, RDW • No treatment required
  • 21.
    Non-transfusion dependent thalassemia •Have clinical of thalassemia • Pallor, jaundice, splenomegaly • Can maintain adequate Hb level for normal daily living • Increase iron absorption • Risk of liver hemochromatosis
  • 22.
    Non-transfusion dependent thalassemia •Hemoglobin E/beta thalassemia • Beta+ thalassemia • Hb H disease • AE Bart’s disease • EF Bart’s disease
  • 23.
    Transfusion dependent thalassemia •Require regular transfusion • Iron overload from repeated transfusion • Cardiac and liver hemochromatosis, endocrinopathy • Should have transplantation in childhood period
  • 24.
    Hb typing • α2 β2 :Hb A • α2 δ2 : Hb A2 • α2 ɤ2 : Hb F • β4 : Hb H • δ4 : Hb Bart’s • α2 βE : Hb E
  • 25.
    Hb typing • Hb,Hct, MCV, RDW • A2 > 3.5% : beta trait • E 25-35% : E trait • E 50% F50% : E/beta0 • E > 85% : Homo E • H or Bart’s : Hb H disease
  • 26.
    Treatment of thalassemia •Transfusion • Use leukocyte reduced blood product • Iron chelation • Ferritin > 1,000 ng/dL in transfusion dependent • Ferritin > 800 ng/L in NTDT • Folate supplement
  • 27.
    Treatment of thalassemia •Other supplement • Calcium, Vit D to prevent osteopenia • ASA for splenectomised Pt. • Penicillin/pneumococcal vaccination for splenectomized Pt.
  • 28.
    Vaccination of splenectomised •13 valent pneumococcal vaccine 2 wk prior • 23 valent conjugate pneumococcal vaccine 8 weeks after • Then every 5 years Splenectomy
  • 29.
  • 30.
    Anemia in CKD Decreasein erythropoietin production from kidney Significant in CKD stage III or more Uremic toxic cause hemolysis RBC morphology appear normal Adequate hemodialysis and epoetin effectively correct anemia
  • 31.
    Anemia of chronicdisease • Found in chronic inflammatory disease • Chronic infection, autoimmune • Hct usually not below 25% • Normal MCV and RDW
  • 32.
    Anemia of chronicdisease • RBC morphology may have mild hypochromia • Low serum iron but also low TIBC • Ferritin < 30 ng/mL is indicate concurrent IDA • Treatment is directed to underlying disease
  • 33.
  • 34.
    Autoimmune hemolytic anemia •Cold type/warm type • Present with gradual onset of anemia and jaundice • Associated with SLE, lymphoma • Direct Coombs test positive, presence of microspherocyte • Accompanied by reticulocytosis and NRC
  • 37.
    Autoimmune hemolytic anemia Primarytreatment is high dose steroid Prednisolone 1 mkd until Hb reach 10 g/dL Response is expected in 1-3 weeks Gradually tapering off is important to decrease risk of relapse Second line treatment include splenectomy, rituximab and immune suppressive drugs
  • 38.
    Microangiopathic hemolytic anemia Causedby mechanical injury to RBC Fibrin, small vessel thrombus DIC, TTP, HUS, renal glomerular disease
  • 40.
  • 41.
    Hereditary spherocytosis Predominantly autosomaldominant Deficiency in ankyrin Normal MCV but can be high in MCHC Mild to moderate anemia Splenectomy required in severe case (rare) Deficiency in spectrin cause hereditary elliptocytosis
  • 44.
  • 45.
    G-6-PD deficiency Glucose-6-phosphate dehydrogenaseis an enzyme in pentose phosphate pathway; maintaining NADPH and glutathione Defend against oxidative injury to cell In Thai the most common is WHO type 3, having brisk hemolysis only in assault of offending agent X-linked recessive Lyonization can cause low level in female
  • 47.
    G-6-PD deficiency Treatment ismainly supportive Transfusion often require in symptomatic patient Hydration to prevent renal complication Folate supplement Hemolytic episode usually resolve after 1 week
  • 48.
  • 49.
    Hemolysis from hemoglobinopathy HbHdisease, Hb constant spring are stable enough to release in circulation Upon stress these Hb precipitate and cause hemolysis Sickle cell become sickling upon desaturation
  • 52.
    Hemolysis from hemoglobinopathy Treatmentis mainly supportive Transfusion often require in symptomatic patient Hydration to prevent renal complication Folate supplement Predominantly extravascular hemolysis but intravascular hemolysis could occur in severe case
  • 53.
    Conclusion Many conditions cancause anemia Clinical clues and blood smear are very important tools Decrease production/ineffective erythropoiesis Blood loss Hemolysis - Extrinsic/membrane/enzyme/hemoglobinopathy
  • 54.