Hematologic disorder
 Hematopoiesis
 Anemia
 Polycytemia
 Hematologic malignancy
by Dr. Damena M.
Presentation outline
• Pathophysiology of hematopoiesis
• Definition of anemia
• Classification
• General approach to anemic patient
• Discussion of commonest types of anemia with respective treatment
Pathophysiology of hematopoiesis
Hematopoiesis- the process by which circulating blood cells are formed
in bone marrow.
it is estimated that 1010 erythrocytes and 108 to 109 leukocytes are
produced per hour in the steady state.
they can be greatly amplified on demand.
These huge cell numbers are immediate descendants of maturing
precursors that arise from a smaller pool of progenitors.
The progenitors in turn arise from an even smaller pool of
hematopoietic stem cells (HSC)
hematopoietic stem cells (HSC)- are thought to be mostly in a resting or
nondividing state and have the capacity to self-renew (and thus maintain
their numbers).
Hematopoietic stem cells are multipotent and have the capacity to
differentiate into the cells of all 10 blood lineages — erythrocytes, platelets,
neutrophils, eosinophils, basophils, monocytes, T and B lymphocytes, natural
killer cells, and dendritic cells
Normal values
RBC Profile
• RBC=
• Hgb=
• Hct=
• MCH=
• MCHC=
WBC Profile
• WBC=
• NEUTROPHIL=
• EOSINOPHIL=
Anemia
Pathophysiological definition:
Reduction in red cell mass from circulation
Laboratory definition:
Reduction in haemoglobin concentration below normal
 WHO criteria: Males Hgb<13 gm/dl,
Females Hgb<12gm/dl
classification
• Pathophysiologic
• Hypoproliferetive
• Hemolytic anemia
• Anemia of blood lose
• RBC Morphology
• Normocytic normochromic- acute blood lose, anemia of chronic illness(70%)
• Microcytic hypochromic:- e.g iron deficiency, lead poisoning
• Macrocytic anemia:- folat and cobalamin deficiency, drug like zidovudine
1. Hypoproliferative anemia
Impaired red cell production due to luck of substrate or impaired bon marrow
function by infiltration
Iron deficiency anaemia
.Anaemia of chronic disease
Bone marrow failure syndromes: BM infiltration withleukemia, lymphoma,
metastatic malignancy and
Metabolic and endocrine failure syndromes: hypothyroidism,
hypopituitarism; malnutrition
 Vitamin b12 0r B9 deficiency
 Drugs ;- zidovudine’ ,mthotrixate
2 Anemia of hemolysis/Blood loss
a. Hereditary hemolytic disorders
Hemoglobinopathies: Sickle cell disease,Thalassemia,
Membronopathies: Hereditary spherocytosis, elliptocytosis,
Enzymopathies: G6PD deficiency, Pyruvate Kinase deficiency
b. Acquired hemolytic disorders
Immune haemolytic anemia: Autoimmune, drug-induced
Intravascular hemolysis:Aortic stenosis,Microangiopathic hemolytic
anemia (TTP-HUS), Dic
Hypersplenism
Direct toxic effects: Malaria, burn, sepsis, Snake and Spider
envenomation
3. Animia of blood lose
• Any obvious bleeding or occult bleeding
• Normocytic normochromic anemia
– Anemia of chronic illness (70% of the cases)
– CKD
– Early iron deficiency anemia
– Acute blood loss
• Microcytic hypochromic anemia
– Iron deficiency
– Lead poisoning
– Sideroblastic anemia
– Thalassemia
– Anemia of chronic illness (30% of the cases)
•Macrocytic normochromic
anemia
– Folate deficiency
– Cobalamin deficiency
– Any condition causing marked reticulocytosis
– Alcohol abuse, hypothyroidism
– Drugs- zidovudine, methotrexate, and
Approch to the pt
• History
• physical examination
• Diagnostic invstigation
Iron deficiency anemia
 The most common nutritional disorder world wide
 Globally, 50% of anemia is attributable to iron deficiency
 Prevalence higher in developing countries
 Africa and Asia bear 71% of the global mortality burden due to iron deficiency
anemia
 Common also in US-toddlers, adolescent girls
Iron metabolism
 The normal diet of western diet contains-10-20mg per day
 The total body iron content is normally about 2gm in women & 6 gm in men
 It is divided into functional & storage comportment
 About 80% of functional found in Hb, myoglobin and enzymes
 The storage pool is represented by ferritin & hemosiderin-15-20% of total
body
• So total iron binding capacity of serum is 300-350µg/dL
• Most Fe is absorbed in duodenum through two distinct
pathways
• Since body loss of Fe is limited, Fe balance is maintained by
regulating absorptive intake
• Mechanisms are still incompletely understood
Etiology
 Decreased intake
 Rare in industrialized countries(Can occur in infants, children, elderly)
 Increased demand
 Growing infants, children and adolescents
 during pregnancy
 Impaired absorption
 Celiac disease,Tropical sprue
 Gasterectomy
 Chronic blood loss
 Commonest cause in western
Stages in the development of IDA
1. Depletion of iron stores
 Decreased level of serum ferritin (<20µg/L) and BM iron stain 0 to1+
NB: serum ferritin of 50-200µg/L and marrow iron store of 1-3 + is
expected in normal state
 Normal level of SI, TIBC,% saturation, RBC protoporphyrin level
 Pt not symptomatic /not anemic
2. Iron deficient erythropoiesis
 Serum ferritin <15µg/L and BM iron stain 0
 Reduced SI (<50 µg/dl) and % saturation (<20%)
 Increased TIBC (>360 µg/dl ) and RBC protoporphyrin level (>100
µg/dl)
3. Iron deficiency anemia
SI<30 µg/dl,
% saturation <10%,
 Microcytic, hypochromic RBCs,
Aniso-poikilocytosis, (SMALL SIZE)
Cigar and pencil-shaped RBCs
Clinical prentation
• Non specific Sx and Sn of anemia
• In addition to the anemia other changes can occur with severe
deficiency – koilonychia, alopecia, atrophic changes in tongue &
gastric mucosa and intestinal malabsorption
• The dominating Sn and Sx relate to the underlying cause
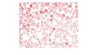
Morphology
In peripheral smear RBCs are
 Small (microcytic) &
 Pale (hypochromic)
 Poikilocytosis in the form of small elongated red cells (pencil cells) are characteristic
In bone marrow,
 Erythroid hyperplasia
 The disappearance of stainable iron from mononuclear phagocytic cells is a
diagnostic finding-Prussian blue st
Normal smear
Prussian Blue Stain
of Bone Marrow
treatment
• Red cell transfusion- indications
– Cardiovascular instability
– HCT <15%
– Continued and excessive blood loss
– Patients requiring immediate intervention
• Oral iron therapy
– 300mg of elemental iron per day
– Ideally, should be taken on empty stomach
– Should continue for a period of 6-12 months after correction of the anemia
– Response- the reticulocyte count begin to increase after 4-7days of therapy and peak at 10
days
– S/E include abdominal pain, nausea, vomiting, and constipation
• Parental iron therapy- indicated for patients
– Who are unable to tolerate oral iron
– Whose needs are relatively acute
– Who need iron on an ongoing basis, usually due to persistent GI blood loss
– Taking EPO
• Preparations include
– Iron dextran
– Ferric gluconate
• Feared complication- anaphylaxis, especially with iron dextran infusion
– Anaphylaxis is much rarer with the newer preparations
Megaloblastic anemia
• Two principal types
1. Cobalamin deficiency anemia
2. Folate deficiency anemia
• It results in defect in DNA synthesis which lead to
 Enlargement of erythroid precursors (megaloblast)
 Large cells in peripheral blood (macrocytes)
Hypersegmented neutrophils
• The precise basis for the changes is not fully understood
• Vitamin B12 and Folate are coenzymes required for synthesis of thymidine
• Deficiency or impairment in their metabolism results in defective nuclear
maturation
• Delay or block cell division
• The synthesis of RNA and protein is relatively unaffected
• Cytoplasmic maturation proceeds in advance of nuclear maturation-
Nuclear/Cytoplasmic asynchrony
morphology
Certain morphologic features are common to all
 Pancytopenia
 Marked variation in size and shape of red cells(Anisopoikliocytosis)
 RBC-macrocytic & oval(Macro-ovalocytes)
 MCV > 100fl
 Reticulocyte count is low
 Nucleated red cells occasionally
• Neutrophils
Larger –Macropolymorphonuclear
Hypersegmented-Five or six nuclear lobules
• Marrow is hypercellular
• Megaloblastic change is detected in all stages of red cell development
• The nucleus fails to undergo the chromatin clumping
• Granulocytes precursors also display nuclear/cytoplasm
asynchrony
• Megakaryocytes-Abnormally large and have bizarre, multilobed
nuclei
• The anemia is further exacerbated by increased hemolytic
destruction
• Mild to moderate Fe overload
Anemia due to vitamin B12 deficiency
Vit B12 metabolism
• Human are totally dependent on diet
• Daily requirement-1-3µg.
• Absorption require intrinsic factor
• Vit B12 freed from binding protein by pepsin
• Free Vit B12 binds to cobalophilins(R-binder)
• This complexes are broken down by pancreatic protease
• Vit B12 then associates with intrinsic factor
• Endocytosis
• Binding with transcobalamin II
Etiology
• Inadequate diet- stricts vegans
• Impaired absorption
 Intrinsic factor deficiency
 Gasterectomy
 Ileal resection
 Tape worm infestation
 Diffuse intestinal disease
 Chronic pancreatitis
• Increased requirement
 Pregnancy, cancer, chronic infection, hyperthyroidism
Clinical feature
The same as other type of anemia
CNS manifestations
• Found in 3/4th patients
• The spinal cord
 Degeneration of myelin in the dorsal and lateral tract
 Sometimes followed by loss of axon
• Degenerative change in the ganglia of posterior roots and peripheral nerves
• Psychiatric features are also seen in some patients with cobalamin or folate
deficiencies
Folate deficency
• A deficiency of folic acid result in megaloblastic anemia
• Have the same characteristic as vit B12 but no neurologic change
• Depressed synthesis of DNA is the immediate cause
• Diagnosis can be made only by demonstration of decreased
folate levels in the serum or red cells
• Elevated homocystein with normal MMA level
• Hematologic symptoms of vit B12 deficiency anemia respond to
Folate therapy
• But doesn’t prevent the progression of neurologic deficits ( May
even exacerbate
Treatment of megaloblastic anemia
• Cobalamin deficiency
– Lifelong regular cobalamin injections
– Hydroxycobalamin or cyanocobalamin can be used
– Hydroxycobalamin 1000µg IM weekly for 6 wks followed by 1000µg IM every 3 months lifelong
• Folate deficiency
– Folic acid 5-15 mg po/day
– Rule out cobalamin deficiency before initiating folic acid
– Duration of treatment depends on the underlying cause
• Prophylactic folic acid is indicated during
– Pregnancy
– Premature infants
– Chronic dialysis patients
– Patients on total parentral nutrition
PROGNOSIS
• Unpredictable

1damen power point ans anemia

  • 1.
    Hematologic disorder  Hematopoiesis Anemia  Polycytemia  Hematologic malignancy by Dr. Damena M.
  • 2.
    Presentation outline • Pathophysiologyof hematopoiesis • Definition of anemia • Classification • General approach to anemic patient • Discussion of commonest types of anemia with respective treatment
  • 3.
    Pathophysiology of hematopoiesis Hematopoiesis-the process by which circulating blood cells are formed in bone marrow. it is estimated that 1010 erythrocytes and 108 to 109 leukocytes are produced per hour in the steady state. they can be greatly amplified on demand. These huge cell numbers are immediate descendants of maturing precursors that arise from a smaller pool of progenitors. The progenitors in turn arise from an even smaller pool of hematopoietic stem cells (HSC)
  • 4.
    hematopoietic stem cells(HSC)- are thought to be mostly in a resting or nondividing state and have the capacity to self-renew (and thus maintain their numbers). Hematopoietic stem cells are multipotent and have the capacity to differentiate into the cells of all 10 blood lineages — erythrocytes, platelets, neutrophils, eosinophils, basophils, monocytes, T and B lymphocytes, natural killer cells, and dendritic cells
  • 7.
    Normal values RBC Profile •RBC= • Hgb= • Hct= • MCH= • MCHC= WBC Profile • WBC= • NEUTROPHIL= • EOSINOPHIL=
  • 8.
    Anemia Pathophysiological definition: Reduction inred cell mass from circulation Laboratory definition: Reduction in haemoglobin concentration below normal  WHO criteria: Males Hgb<13 gm/dl, Females Hgb<12gm/dl
  • 9.
    classification • Pathophysiologic • Hypoproliferetive •Hemolytic anemia • Anemia of blood lose • RBC Morphology • Normocytic normochromic- acute blood lose, anemia of chronic illness(70%) • Microcytic hypochromic:- e.g iron deficiency, lead poisoning • Macrocytic anemia:- folat and cobalamin deficiency, drug like zidovudine
  • 10.
    1. Hypoproliferative anemia Impairedred cell production due to luck of substrate or impaired bon marrow function by infiltration Iron deficiency anaemia .Anaemia of chronic disease Bone marrow failure syndromes: BM infiltration withleukemia, lymphoma, metastatic malignancy and Metabolic and endocrine failure syndromes: hypothyroidism, hypopituitarism; malnutrition  Vitamin b12 0r B9 deficiency  Drugs ;- zidovudine’ ,mthotrixate
  • 11.
    2 Anemia ofhemolysis/Blood loss a. Hereditary hemolytic disorders Hemoglobinopathies: Sickle cell disease,Thalassemia, Membronopathies: Hereditary spherocytosis, elliptocytosis, Enzymopathies: G6PD deficiency, Pyruvate Kinase deficiency b. Acquired hemolytic disorders Immune haemolytic anemia: Autoimmune, drug-induced Intravascular hemolysis:Aortic stenosis,Microangiopathic hemolytic anemia (TTP-HUS), Dic Hypersplenism Direct toxic effects: Malaria, burn, sepsis, Snake and Spider envenomation
  • 12.
    3. Animia ofblood lose • Any obvious bleeding or occult bleeding
  • 13.
    • Normocytic normochromicanemia – Anemia of chronic illness (70% of the cases) – CKD – Early iron deficiency anemia – Acute blood loss • Microcytic hypochromic anemia – Iron deficiency – Lead poisoning – Sideroblastic anemia – Thalassemia – Anemia of chronic illness (30% of the cases)
  • 14.
    •Macrocytic normochromic anemia – Folatedeficiency – Cobalamin deficiency – Any condition causing marked reticulocytosis – Alcohol abuse, hypothyroidism – Drugs- zidovudine, methotrexate, and
  • 15.
    Approch to thept • History • physical examination • Diagnostic invstigation
  • 16.
    Iron deficiency anemia The most common nutritional disorder world wide  Globally, 50% of anemia is attributable to iron deficiency  Prevalence higher in developing countries  Africa and Asia bear 71% of the global mortality burden due to iron deficiency anemia  Common also in US-toddlers, adolescent girls
  • 17.
    Iron metabolism  Thenormal diet of western diet contains-10-20mg per day  The total body iron content is normally about 2gm in women & 6 gm in men  It is divided into functional & storage comportment  About 80% of functional found in Hb, myoglobin and enzymes  The storage pool is represented by ferritin & hemosiderin-15-20% of total body
  • 18.
    • So totaliron binding capacity of serum is 300-350µg/dL • Most Fe is absorbed in duodenum through two distinct pathways • Since body loss of Fe is limited, Fe balance is maintained by regulating absorptive intake • Mechanisms are still incompletely understood
  • 19.
    Etiology  Decreased intake Rare in industrialized countries(Can occur in infants, children, elderly)  Increased demand  Growing infants, children and adolescents  during pregnancy  Impaired absorption  Celiac disease,Tropical sprue  Gasterectomy  Chronic blood loss  Commonest cause in western
  • 20.
    Stages in thedevelopment of IDA 1. Depletion of iron stores  Decreased level of serum ferritin (<20µg/L) and BM iron stain 0 to1+ NB: serum ferritin of 50-200µg/L and marrow iron store of 1-3 + is expected in normal state  Normal level of SI, TIBC,% saturation, RBC protoporphyrin level  Pt not symptomatic /not anemic
  • 21.
    2. Iron deficienterythropoiesis  Serum ferritin <15µg/L and BM iron stain 0  Reduced SI (<50 µg/dl) and % saturation (<20%)  Increased TIBC (>360 µg/dl ) and RBC protoporphyrin level (>100 µg/dl)
  • 22.
    3. Iron deficiencyanemia SI<30 µg/dl, % saturation <10%,  Microcytic, hypochromic RBCs, Aniso-poikilocytosis, (SMALL SIZE) Cigar and pencil-shaped RBCs
  • 24.
    Clinical prentation • Nonspecific Sx and Sn of anemia • In addition to the anemia other changes can occur with severe deficiency – koilonychia, alopecia, atrophic changes in tongue & gastric mucosa and intestinal malabsorption • The dominating Sn and Sx relate to the underlying cause
  • 25.
    Morphology In peripheral smearRBCs are  Small (microcytic) &  Pale (hypochromic)  Poikilocytosis in the form of small elongated red cells (pencil cells) are characteristic In bone marrow,  Erythroid hyperplasia  The disappearance of stainable iron from mononuclear phagocytic cells is a diagnostic finding-Prussian blue st
  • 26.
  • 28.
  • 29.
    treatment • Red celltransfusion- indications – Cardiovascular instability – HCT <15% – Continued and excessive blood loss – Patients requiring immediate intervention • Oral iron therapy – 300mg of elemental iron per day – Ideally, should be taken on empty stomach – Should continue for a period of 6-12 months after correction of the anemia – Response- the reticulocyte count begin to increase after 4-7days of therapy and peak at 10 days – S/E include abdominal pain, nausea, vomiting, and constipation
  • 30.
    • Parental irontherapy- indicated for patients – Who are unable to tolerate oral iron – Whose needs are relatively acute – Who need iron on an ongoing basis, usually due to persistent GI blood loss – Taking EPO • Preparations include – Iron dextran – Ferric gluconate • Feared complication- anaphylaxis, especially with iron dextran infusion – Anaphylaxis is much rarer with the newer preparations
  • 31.
    Megaloblastic anemia • Twoprincipal types 1. Cobalamin deficiency anemia 2. Folate deficiency anemia • It results in defect in DNA synthesis which lead to  Enlargement of erythroid precursors (megaloblast)  Large cells in peripheral blood (macrocytes) Hypersegmented neutrophils • The precise basis for the changes is not fully understood
  • 32.
    • Vitamin B12and Folate are coenzymes required for synthesis of thymidine • Deficiency or impairment in their metabolism results in defective nuclear maturation • Delay or block cell division • The synthesis of RNA and protein is relatively unaffected • Cytoplasmic maturation proceeds in advance of nuclear maturation- Nuclear/Cytoplasmic asynchrony
  • 33.
    morphology Certain morphologic featuresare common to all  Pancytopenia  Marked variation in size and shape of red cells(Anisopoikliocytosis)  RBC-macrocytic & oval(Macro-ovalocytes)  MCV > 100fl  Reticulocyte count is low  Nucleated red cells occasionally
  • 34.
    • Neutrophils Larger –Macropolymorphonuclear Hypersegmented-Fiveor six nuclear lobules • Marrow is hypercellular • Megaloblastic change is detected in all stages of red cell development • The nucleus fails to undergo the chromatin clumping
  • 35.
    • Granulocytes precursorsalso display nuclear/cytoplasm asynchrony • Megakaryocytes-Abnormally large and have bizarre, multilobed nuclei • The anemia is further exacerbated by increased hemolytic destruction • Mild to moderate Fe overload
  • 36.
    Anemia due tovitamin B12 deficiency
  • 37.
    Vit B12 metabolism •Human are totally dependent on diet • Daily requirement-1-3µg. • Absorption require intrinsic factor • Vit B12 freed from binding protein by pepsin • Free Vit B12 binds to cobalophilins(R-binder) • This complexes are broken down by pancreatic protease • Vit B12 then associates with intrinsic factor • Endocytosis • Binding with transcobalamin II
  • 38.
    Etiology • Inadequate diet-stricts vegans • Impaired absorption  Intrinsic factor deficiency  Gasterectomy  Ileal resection  Tape worm infestation  Diffuse intestinal disease  Chronic pancreatitis • Increased requirement  Pregnancy, cancer, chronic infection, hyperthyroidism
  • 39.
    Clinical feature The sameas other type of anemia CNS manifestations • Found in 3/4th patients • The spinal cord  Degeneration of myelin in the dorsal and lateral tract  Sometimes followed by loss of axon • Degenerative change in the ganglia of posterior roots and peripheral nerves • Psychiatric features are also seen in some patients with cobalamin or folate deficiencies
  • 40.
    Folate deficency • Adeficiency of folic acid result in megaloblastic anemia • Have the same characteristic as vit B12 but no neurologic change • Depressed synthesis of DNA is the immediate cause
  • 41.
    • Diagnosis canbe made only by demonstration of decreased folate levels in the serum or red cells • Elevated homocystein with normal MMA level • Hematologic symptoms of vit B12 deficiency anemia respond to Folate therapy • But doesn’t prevent the progression of neurologic deficits ( May even exacerbate
  • 42.
    Treatment of megaloblasticanemia • Cobalamin deficiency – Lifelong regular cobalamin injections – Hydroxycobalamin or cyanocobalamin can be used – Hydroxycobalamin 1000µg IM weekly for 6 wks followed by 1000µg IM every 3 months lifelong • Folate deficiency – Folic acid 5-15 mg po/day – Rule out cobalamin deficiency before initiating folic acid – Duration of treatment depends on the underlying cause • Prophylactic folic acid is indicated during – Pregnancy – Premature infants – Chronic dialysis patients – Patients on total parentral nutrition
  • 43.