Cleft Lip and Palate
Dr. Faisal Ameer MS, MCh, MRCSEd
International Scholar for 2015, Plastic Surgery Foundation of ASPS/ASMS
International Member of American Society of Plastic Surgeons
Member of Royal College of Surgeons Edinburgh
Associate Professor Plastic Surgery
LLRM Medical College
Meerut, U.P. India
+91 9557721163
www.plasticsurgicraft.com
Objectives
• Recap of embryology
• Relevant Anatomy and
Pathophysiology
• Classification
• Counseling of parents
• Basic repair techniques
Introduction
 Facial clefting is the second most
common congenital deformity (after
clubfoot).
 Affects 1in 1000 births
 Problems are cosmetic, dental,
speech, swallowing, hearing, facial
growth, emotional
Pathophysiology
 Complex mechanism of swallowing,
hearing, speech and breathing are
impaired
 Feeding difficulty in neonate. (Cleft
makes creation of negative pressure
difficult)
 Eustachian tube dysfunction
 Secondary defect of tooth
development.
 Psychological problem.
Genetics
 Non-syndromic inheritance is
multifactorial
◦ Cleft Lip, With or Without Cleft Palate:
 One Parent-2%
 One Sibling- 4% Two Siblings- 9%
 One Parent + One Sibling- 15%
◦ Cleft Palate:
 One Parent- 7%
 One Sibling- 2% Two Siblings- 1%
 One Parent + One Sibling- 17%
Antenatal diagnosis
Epidemiology
 Cleft Lip +/- Palate- M:F 2:1
 Cleft Palate - F:M 2:1
 Cleft Lip +/- Palate- Native Americans
> Oriental and Caucasians > Blacks
 Cleft Palate- Same among ethnic
groups
 Environmental: Ethanol, Rubella virus,
Thalidomide, Aminopterin B
Embryology
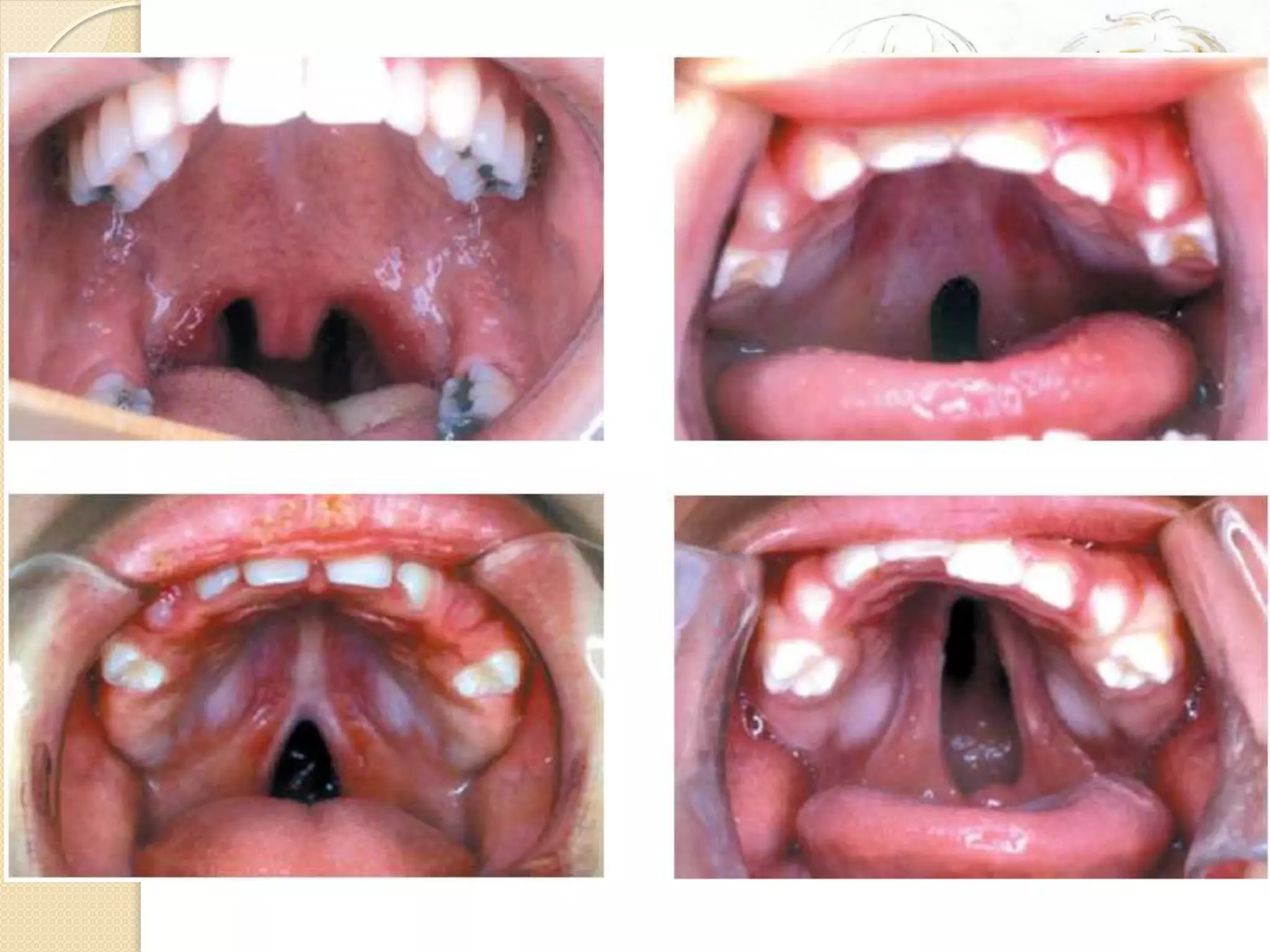
Classification
 Nagpur classification
◦ Group I – cleft lip only
◦ Group Ia – cleft lip + cleft alveolus
◦ Group II – cleft palate only
◦ Group III – cleft lip + cleft alveolus + cleft
palate
Anatomy
• Philtrum
• Philtral Ridges
• Cupid’s Bow
• Philtral Dimple
• Commisure
• White roll
• Tubercle
History & Examination
 Cosmetic disfigurement (cleft lip)
 Feeding problems in cleft palate
◦ Suckling difficulties
◦ Nasal regurgitation
 Ear disease
 Respiratory infections
 Malnutrition and failure to thrive (wt. for
age)
 Other congenital anomalies – digits,
cardiac, craniofacial syndromes etc.
Pre operative evaluation
 History
 Physical examination
 Laboratory data
 Hb%
 Syndromes – X–ray mandible, Cardiac
workup
Investigations
 Blood
 OPG (for canine tooth eruption)
 Occlusal view
 Speech evaluation
◦ Nasendoscopy
◦ Lateral/Frontal videofluroscopy
◦ Flowmetery
 Cephalometry – lateral / AP
Management
Care of the newborn
Lip Repair
Timing of Cleft Lip Repair
 At three months of age
◦ Larger anatomical parts
◦ Safer anesthesia
Rule of 10
 10 weeks
 10 grams
 10 pounds
 10k WBC
Millard Lip Reapir
Randall-Tenisson Lip Reapir
Veau Lip Reapir
Palate Repair
Timing of Cleft Palate repair
 Early repair (< 24 mts) – speech and
hearing improved
 Delayed closure (>4y) – less
retardation of mid facial growth
 Optimal time
 Soft palate 3 – 6 mts
 Hard palate 15-18 mts
VWK Palate Reapir
Intervelar Veloplasty
Furlow’s Palate Reapir
Surgical Complications
 Early
Airway compromise
Bleeding
 Late
Fistula
Reduced movement of the soft palate
Persistent VPI
Under developed facial skeleton
Conclusions
 Embryology and Anatomy extremely
important.
 Counseling and communication
 Meticulous technique and tissue
respect
 Easy to learn
 Cleft team
Thank you
 Teamwork is the key !

Cleft lip and palate basics

  • 1.
    Cleft Lip andPalate Dr. Faisal Ameer MS, MCh, MRCSEd International Scholar for 2015, Plastic Surgery Foundation of ASPS/ASMS International Member of American Society of Plastic Surgeons Member of Royal College of Surgeons Edinburgh Associate Professor Plastic Surgery LLRM Medical College Meerut, U.P. India +91 9557721163 www.plasticsurgicraft.com
  • 2.
    Objectives • Recap ofembryology • Relevant Anatomy and Pathophysiology • Classification • Counseling of parents • Basic repair techniques
  • 3.
    Introduction  Facial cleftingis the second most common congenital deformity (after clubfoot).  Affects 1in 1000 births  Problems are cosmetic, dental, speech, swallowing, hearing, facial growth, emotional
  • 4.
    Pathophysiology  Complex mechanismof swallowing, hearing, speech and breathing are impaired  Feeding difficulty in neonate. (Cleft makes creation of negative pressure difficult)  Eustachian tube dysfunction  Secondary defect of tooth development.  Psychological problem.
  • 5.
    Genetics  Non-syndromic inheritanceis multifactorial ◦ Cleft Lip, With or Without Cleft Palate:  One Parent-2%  One Sibling- 4% Two Siblings- 9%  One Parent + One Sibling- 15% ◦ Cleft Palate:  One Parent- 7%  One Sibling- 2% Two Siblings- 1%  One Parent + One Sibling- 17%
  • 6.
  • 7.
    Epidemiology  Cleft Lip+/- Palate- M:F 2:1  Cleft Palate - F:M 2:1  Cleft Lip +/- Palate- Native Americans > Oriental and Caucasians > Blacks  Cleft Palate- Same among ethnic groups  Environmental: Ethanol, Rubella virus, Thalidomide, Aminopterin B
  • 10.
  • 11.
    Classification  Nagpur classification ◦Group I – cleft lip only ◦ Group Ia – cleft lip + cleft alveolus ◦ Group II – cleft palate only ◦ Group III – cleft lip + cleft alveolus + cleft palate
  • 18.
  • 19.
    • Philtrum • PhiltralRidges • Cupid’s Bow • Philtral Dimple • Commisure • White roll • Tubercle
  • 24.
    History & Examination Cosmetic disfigurement (cleft lip)  Feeding problems in cleft palate ◦ Suckling difficulties ◦ Nasal regurgitation  Ear disease  Respiratory infections  Malnutrition and failure to thrive (wt. for age)  Other congenital anomalies – digits, cardiac, craniofacial syndromes etc.
  • 25.
    Pre operative evaluation History  Physical examination  Laboratory data  Hb%  Syndromes – X–ray mandible, Cardiac workup
  • 26.
    Investigations  Blood  OPG(for canine tooth eruption)  Occlusal view  Speech evaluation ◦ Nasendoscopy ◦ Lateral/Frontal videofluroscopy ◦ Flowmetery  Cephalometry – lateral / AP
  • 27.
  • 28.
    Care of thenewborn
  • 42.
  • 43.
    Timing of CleftLip Repair  At three months of age ◦ Larger anatomical parts ◦ Safer anesthesia Rule of 10  10 weeks  10 grams  10 pounds  10k WBC
  • 45.
  • 47.
  • 49.
  • 51.
  • 52.
    Timing of CleftPalate repair  Early repair (< 24 mts) – speech and hearing improved  Delayed closure (>4y) – less retardation of mid facial growth  Optimal time  Soft palate 3 – 6 mts  Hard palate 15-18 mts
  • 53.
  • 55.
  • 56.
  • 58.
    Surgical Complications  Early Airwaycompromise Bleeding  Late Fistula Reduced movement of the soft palate Persistent VPI Under developed facial skeleton
  • 59.
    Conclusions  Embryology andAnatomy extremely important.  Counseling and communication  Meticulous technique and tissue respect  Easy to learn  Cleft team
  • 60.

Editor's Notes

  • #14 Joaquin Rafael Phoenix