z
CHRONIC
MENINGITIS
- Dhananjay Gupta
z
INTRODUCTION
• Definition : Chronic inflammation of meninges
: Lasting > 4 weeks
• Clinical course can be constant or vary – fluctuate, worsen!
z
CAUSES
1. Meningeal infections
2. Non-infectious, inflammatory disease
3. Malignancy
4. Chemical meningitis
5. Para-meningeal infections
z
1. Infections
1. Bacterial • TB
• Brucella, Fransciella,
• Actinomycetes, Nocardia
• Listeria monocytogenes
• Ehrlichia chaffeensis
• Partially treated Strptococcal, H. influenza , Neisseria
2. Spirochaetes  Treponema pallidum – syphilis
 Lyme meningitis
 Leptospirosis
3. Viral  Enterovirus
 HSV – Mollaret syndrome
 HIV
 CMV
 EBV
 VZV
 Mumps
 lymphocytic chorio-meningitis
z
1. Infections
4. Fungal • Cryptococcus
• Coccidioides
• Sporothrix
• Histoplasma
5. Parasitic Eosinophilic meningitis
 Toxoplasma
 Shistosoma
 Taenia solium
 Strongyloides
z
2. Non – Infectious causes
1. Inflammatory • SLE
• Sarcoidosis
• Bechet’s disease
• Wegner’s disease
• Vogt – Koyanagi – harada syndrome
• Other rheumatological diseases
• Fabry disease
2. Idiopathic
z
2. Non – Infectious causes
3. Malignancy • Leukaemia/ Lymphoma
• Meningeal gliomatosis
• Metastatic Ca of Breast
• Metastatic Ca of Lung
• Metastatic Ca of Prostate
• Epidermoid tumour
• Cranio-pharyngoma
4. Chemical  Sub-arachnoid injections
 NSAIDs
 TMP – SMX
z
CLINICAL FEATURES
z
COMPLICATIONS
1. Hydrocephalus
2. Cranial neuropathies
3. Radiculopathy ( Bannwarth’s syndrome)
4. Cognitive decline
5. Personality changes
6. Specific to the causative factor
z
Approach to a patient - History
1. Contact with TB
2. Weight loss/ night sweats/ loss of appetite
3. Sexual history – syphilis, HIV
4. Travel to endemic area – parasitic/ lymes/ fungal
IN INDIA – TUBERCULOSIS IS ALWAYS A DIFFERENTIAL !
z
Approach to a patient - History
5. H/o medication - NSAIDs
6. Unpasteurized milk – Brucella
7. Meat-packing industry/ cows/ sheep - Brucella
8. Recurrent oral/ genital ulcers – Bechet’s
9. Tick exposure, erythema marginans – Lyme’s
z
Approach to a patient - History
11. Contact with birds – cryptococcosis
12. Exposure to bats / avian habitats – histoplasmosis
13. H/o cancer – neoplastic meningitis
14. Immuno-compromised state – HIV, TB
- Cryptococcus
- Fungal infections
z
Approach to a patient - Examination
1. Cranial palsy  TB
 Lyme’s
 Syphilis
 Brucella
 Sarcoidosis
2. Oro-genital ulcers • Bechet’s
• Syphilis
• Sjogrens
• SLE
• Sarcoidosis
3. Uveitis/ iritis  Bechet’s
 Sarcoidosis
 Vogt – kayanagi – harade syndrome
z
Approach to a patient - Examination
4. Poliosis  Whitening of hair/ eyelashes
 Vogt – kayanagi - harade
5. Skin rashes/ lesions • Bechet’s
• Syphilis
• SLE
• Cryptococcus
• Blastomycosis
• Coccidioidomycosis
6. Subcutaneous nodules  Cysticercosis
 Metastatic deposists
 Endocarditis
z
Investigations - CSF
z
Investigations - CSF
NEUTROPHILIC
PLEOCYTOSIS, LOW SUGAR
LYMPHOCYTIC,
LOW SUGAR
LYMPHOCYTIC,
NORMAL SUGAR
1. Bacterial
2. Listeria, brucellosis
3. Actinomycosis
4. Bechet’s
5. Early viral
6. Mumps
7. Drugs – Nsaids
8. Sulfa – drugs
 TB
 Fungal
a) Early TB
b) Early fungal
c) Viral meningitis
d) CNS malignancy
e) Endocarditis
z
Further CSF tests
1. Gram stain/ culture
2. Cultures – aerobic/ anaerobic/ fungal/ mycobacterial
3. Antigen testing – HSV-PCR, VZV-PCR, EBV, CMV
4. TB-PCR
5. India ink, Cryptococcal – antigen
6. CSF – VDRL
7. NCC antibodies - IgG
z
Serum and Blood tests
1. HIV – elisa
2. VDRL/ RPR
3. Blood cultures
4. Serologies – leptospira/ lyme/ brucella/ ehlrichia
z
Supportive tests
1. Mantaux
2. Chest X-ray/ USG abdomen
3. X-ray thigh
4. Retinal examination
5. Echocardiogram
6. MRI Brain
z
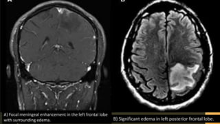
B) Significant edema in left posterior frontal lobe.
A) Focal meningeal enhancement in the left frontal lobe
with surrounding edema.
z
Clues to diagnosis - TBM
1. Bacilli seed to meninges – make tubercles : “Rich focus”
2. Tubercles rupture into SA-space – causing meningitis
3. H/o contact
4. Pulmonary/ abdominal symptoms
5. PPD/ Montaux – can be negative in 50-65%
6. O/E : cranial nerve palsy – 6th nerve
7. Vasculitic infarcts
z
Clues to diagnosis - TBM
1. CSF AFB smear : positive in 10-20%
2. CSF culture : 40-90%
3. Concurrent sputum AFB culture positive in : 14-50%
4. Decreasing CSF glucose levels on serial LP’s , without
treatment, may also suggest TBM
z
Clues to diagnosis - Cryptococcal
1. Immuno-compromised host/ HIV
2. h/o high dose corticosteroid therapy
3. Usually sub-acute onset, progressive
4. However, maybe rapid progression in HIV+
5. CSF lymphocytosis 40-400
6. CSF india ink + in 50%
7. Cryptococcal antigen + 85%
z
Clues to diagnosis - Syphilis
1. Treponema pallidum
2. Sexual exposure
3. Genital ulcers
4. CNS invasion occurs early in non-treated cases
z
Treatment
1. According to aetiological agent
2. Empirical therapy:
• 1/3rd patients do not have a definite causative agent
• Serology test results take time
• Monitor response to therapy
• Continue diagnostic efforts
3. ATT :
• Should always be considered
• Endemic in India
z
Treatment
4. ATT with steroids :
• Unless severe symptoms, avoid steroids
• Discontinue ATT if no response even after 4-6 weeks
5. Empirical Anti-fungal :
 Azoles
 Only if clinical features strongly suggestive
6. Steroids alone :
o Only if infectious cause has been ruled out
o May be auto-immune
o Upto 50% response rates reported
z

Chronic meningitis

  • 1.
  • 2.
    z INTRODUCTION • Definition :Chronic inflammation of meninges : Lasting > 4 weeks • Clinical course can be constant or vary – fluctuate, worsen!
  • 3.
    z CAUSES 1. Meningeal infections 2.Non-infectious, inflammatory disease 3. Malignancy 4. Chemical meningitis 5. Para-meningeal infections
  • 4.
    z 1. Infections 1. Bacterial• TB • Brucella, Fransciella, • Actinomycetes, Nocardia • Listeria monocytogenes • Ehrlichia chaffeensis • Partially treated Strptococcal, H. influenza , Neisseria 2. Spirochaetes  Treponema pallidum – syphilis  Lyme meningitis  Leptospirosis 3. Viral  Enterovirus  HSV – Mollaret syndrome  HIV  CMV  EBV  VZV  Mumps  lymphocytic chorio-meningitis
  • 5.
    z 1. Infections 4. Fungal• Cryptococcus • Coccidioides • Sporothrix • Histoplasma 5. Parasitic Eosinophilic meningitis  Toxoplasma  Shistosoma  Taenia solium  Strongyloides
  • 6.
    z 2. Non –Infectious causes 1. Inflammatory • SLE • Sarcoidosis • Bechet’s disease • Wegner’s disease • Vogt – Koyanagi – harada syndrome • Other rheumatological diseases • Fabry disease 2. Idiopathic
  • 7.
    z 2. Non –Infectious causes 3. Malignancy • Leukaemia/ Lymphoma • Meningeal gliomatosis • Metastatic Ca of Breast • Metastatic Ca of Lung • Metastatic Ca of Prostate • Epidermoid tumour • Cranio-pharyngoma 4. Chemical  Sub-arachnoid injections  NSAIDs  TMP – SMX
  • 8.
  • 10.
    z COMPLICATIONS 1. Hydrocephalus 2. Cranialneuropathies 3. Radiculopathy ( Bannwarth’s syndrome) 4. Cognitive decline 5. Personality changes 6. Specific to the causative factor
  • 11.
    z Approach to apatient - History 1. Contact with TB 2. Weight loss/ night sweats/ loss of appetite 3. Sexual history – syphilis, HIV 4. Travel to endemic area – parasitic/ lymes/ fungal IN INDIA – TUBERCULOSIS IS ALWAYS A DIFFERENTIAL !
  • 12.
    z Approach to apatient - History 5. H/o medication - NSAIDs 6. Unpasteurized milk – Brucella 7. Meat-packing industry/ cows/ sheep - Brucella 8. Recurrent oral/ genital ulcers – Bechet’s 9. Tick exposure, erythema marginans – Lyme’s
  • 13.
    z Approach to apatient - History 11. Contact with birds – cryptococcosis 12. Exposure to bats / avian habitats – histoplasmosis 13. H/o cancer – neoplastic meningitis 14. Immuno-compromised state – HIV, TB - Cryptococcus - Fungal infections
  • 14.
    z Approach to apatient - Examination 1. Cranial palsy  TB  Lyme’s  Syphilis  Brucella  Sarcoidosis 2. Oro-genital ulcers • Bechet’s • Syphilis • Sjogrens • SLE • Sarcoidosis 3. Uveitis/ iritis  Bechet’s  Sarcoidosis  Vogt – kayanagi – harade syndrome
  • 15.
    z Approach to apatient - Examination 4. Poliosis  Whitening of hair/ eyelashes  Vogt – kayanagi - harade 5. Skin rashes/ lesions • Bechet’s • Syphilis • SLE • Cryptococcus • Blastomycosis • Coccidioidomycosis 6. Subcutaneous nodules  Cysticercosis  Metastatic deposists  Endocarditis
  • 16.
  • 17.
    z Investigations - CSF NEUTROPHILIC PLEOCYTOSIS,LOW SUGAR LYMPHOCYTIC, LOW SUGAR LYMPHOCYTIC, NORMAL SUGAR 1. Bacterial 2. Listeria, brucellosis 3. Actinomycosis 4. Bechet’s 5. Early viral 6. Mumps 7. Drugs – Nsaids 8. Sulfa – drugs  TB  Fungal a) Early TB b) Early fungal c) Viral meningitis d) CNS malignancy e) Endocarditis
  • 18.
    z Further CSF tests 1.Gram stain/ culture 2. Cultures – aerobic/ anaerobic/ fungal/ mycobacterial 3. Antigen testing – HSV-PCR, VZV-PCR, EBV, CMV 4. TB-PCR 5. India ink, Cryptococcal – antigen 6. CSF – VDRL 7. NCC antibodies - IgG
  • 19.
    z Serum and Bloodtests 1. HIV – elisa 2. VDRL/ RPR 3. Blood cultures 4. Serologies – leptospira/ lyme/ brucella/ ehlrichia
  • 20.
    z Supportive tests 1. Mantaux 2.Chest X-ray/ USG abdomen 3. X-ray thigh 4. Retinal examination 5. Echocardiogram 6. MRI Brain
  • 21.
    z B) Significant edemain left posterior frontal lobe. A) Focal meningeal enhancement in the left frontal lobe with surrounding edema.
  • 23.
    z Clues to diagnosis- TBM 1. Bacilli seed to meninges – make tubercles : “Rich focus” 2. Tubercles rupture into SA-space – causing meningitis 3. H/o contact 4. Pulmonary/ abdominal symptoms 5. PPD/ Montaux – can be negative in 50-65% 6. O/E : cranial nerve palsy – 6th nerve 7. Vasculitic infarcts
  • 24.
    z Clues to diagnosis- TBM 1. CSF AFB smear : positive in 10-20% 2. CSF culture : 40-90% 3. Concurrent sputum AFB culture positive in : 14-50% 4. Decreasing CSF glucose levels on serial LP’s , without treatment, may also suggest TBM
  • 25.
    z Clues to diagnosis- Cryptococcal 1. Immuno-compromised host/ HIV 2. h/o high dose corticosteroid therapy 3. Usually sub-acute onset, progressive 4. However, maybe rapid progression in HIV+ 5. CSF lymphocytosis 40-400 6. CSF india ink + in 50% 7. Cryptococcal antigen + 85%
  • 26.
    z Clues to diagnosis- Syphilis 1. Treponema pallidum 2. Sexual exposure 3. Genital ulcers 4. CNS invasion occurs early in non-treated cases
  • 27.
    z Treatment 1. According toaetiological agent 2. Empirical therapy: • 1/3rd patients do not have a definite causative agent • Serology test results take time • Monitor response to therapy • Continue diagnostic efforts 3. ATT : • Should always be considered • Endemic in India
  • 28.
    z Treatment 4. ATT withsteroids : • Unless severe symptoms, avoid steroids • Discontinue ATT if no response even after 4-6 weeks 5. Empirical Anti-fungal :  Azoles  Only if clinical features strongly suggestive 6. Steroids alone : o Only if infectious cause has been ruled out o May be auto-immune o Upto 50% response rates reported
  • 29.