CASE STUDY
Prajjwal Malla
MDGP Resident 1st yr
• 62 years male, Kham Bahadur Gurung
• From Syangja
• Dizziness and vomiting for 10 days
• Fever for 2 days along with headache and neck
stiffness
• He was in delirious state with behavioral
changes
• Bowel and bladder habits were normal
• He was treated outside but did not get better.
• Personal history: alcoholic but non smoker
• Past history : PTB 10 yrs back, treated
• Surgical history :
-Right hydrocele was operated 3 yrs ago
-Right eye was operated 1 month back
• O/E : General condition: fair, confused,
GCS:14/15, febrile
• Other vitals: stable
SYSTEMIC EXAMINATION
• Respiratory: normal vesicular breath sounds
in both lungs
decreased air entry in right upper lobe
• Cardiovascular : S1S2M0
• Per abdomen: soft, non tender, no
organomegaly
Central Nervous System:
• Higher mental function: delirious, not oriented to time,
place and person
• Neck rigidity : present
• Ophthalmoplegia : present
• Slight facial deviation on left side
• Power : intact in all the four limbs
• Tone : increased in upper limbs
• Deep tendon reflexes : exaggerated in all four limbs
• Plantar: B/L upgoing
LABS
• WBC: 10360/mm3
• Hb: 12.3 mg/dl
• Platelets: 458000 cu/mm
• PMN: 82%
• ESR: 14 mm
• Blood culture : no growth
after 72 hours
• Malaria parasite: not seen
• B24-negative
• S. creat: 1.4 mg/dl
• K+: 5.6 mmol/L
• Na+: 136 mmol/L
• ALP: 105 U/L
• AST: 28 U/L
• ALT: 10 U/L
• RBS: 183 mg/dl
CSF FLUID ANALYSIS
• WBC: 155 (↑↑)
• RBC: 15 (↑↑)
• POLYS: 42%
• LYMPHS: 58%
• GLUCOSE: 48mg/dl (↓)
• PROTEIN: 176.0mg/dl (↑↑)
• ADA: 17
CHEST XRAY
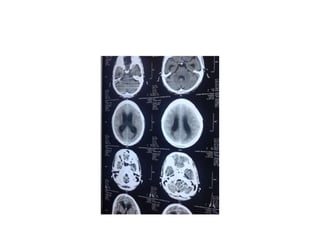
CT- HEAD
TUBERCULOUS MENINGITIS
ETIOLOGY
• Causative organism: Mycobacterium
tuberculosis
• First description of TBM credited to Robert
Whyte, on the basis of his 1768 monograph,
Observations of Dropsy in the Brain.
• Described as a distinct pathological entity in
1836
• Robert Koch demonstrated that TB was caused
by M. tuberculosis in 1882.
RISK FACTORS
• HIV coinfection is the strongest risk factor for
progression to TBM.
• Unimmunized with BCG
Other contributing factors
• Malnutrition
• Alcoholism
• Substance abuse
• Diabetes mellitus
EPIDEMIOLOGY
• In populations with a low prevalence of TB,
most cases of TBM occur in adults.
• However, TBM is more common in children
than in adults, especially in the first 5 years of
life.
PATHOPHYSIOLOGY
• Following primary infection or late reactivation TB
elsewhere in the body, scattered tubercles are
established in the brain, meninges, or adjacent bone.
• Subcortical or meningeal focus from which bacilli
gained access to the subarachnoid space is the critical
event for development of tuberculous meningitis .
• Due to chronic reactivation bacillemia occurs in older
adults due to immune deficiency caused by aging,
alcoholism, malnutrition, malignancy, or human
immunodeficiency virus (HIV) infection
• Head trauma may also lead to destabilization of an
established quiescent focus resulting in meningitis
• The spillage of tubercular protein into the subarachnoid space produces
an intense hypersensitivity reaction due to a dense gelatinous exudate,
giving rise to inflammatory changes.
• Proliferative arachnoiditis, most marked at the base of the brain,
produces a fibrous mass involving cranial nerves and penetrating vessels.
• Vasculitis with resultant thrombosis and infarction involves vessels that
traverse the basilar or spinal exudate or are located within the brain
substance itself.
• Variety of stroke syndromes may result, involving the basal ganglia,
cerebral cortex, pons, and cerebellum.
• Communicating hydrocephalus results from extension of the inflammatory
process to the basilar cisterns and impedance of CSF circulation and
resorption.
• Basal exudates
• Tuberculomas are coglomerate caseous foci
within the substance of the brain.
PATHOPHYSIOLOGY
1. FORMATION OF RICH FOCUS
2. RUPTURE OF RICH FOCUS INTO SUBARACHNOID SPACE
CLINICAL PRESENTATION
• TBM is difficult to diagnose and a high index of
suspicion is needed to make an early diagnosis
HISTORY:
• Recent contact with patients of TB
• Past history of TB
• History of immunosuppresion from a known
disease or from drug therapy
• Negative history of BCG vaccination-see for scar
Principle presentation is subacute febrile illness that
progresses through three phases:
• Choroid tubercles on opthalmoscopy -
multiple, ill-defined, raised yellow-white
nodules (granulomas) of varying size near
the optic disc
Atypical features:
• Meningitic syndrome rapidly progressing-
suggesting acute infection
• Dementia over months or years- personality
change, social withdrawal, loss of libido, and
memory deficits
• Encephalitic course with stupor, coma, and
convulsions without overt signs of meningitis
PHYSICAL EXAMINATION
• Look for BCG vaccination scar
• Visual findings: papilledema or a small grayish white
choroidal nodule
• cranial neuropathies:
VI most affected, then III, IV, VII and
less commonly II, VIII, X, XI, XII.
• Kernig’s sign and Brudzinki’s sign
• Tremor is the most common movement disorder seen in
the course of TBM.
• In a smaller percentage of patients, abnormal movements,
including choreoathetosis and hemiballismus, have been
observed, suggesting of deep vascular lesions.
• Stage I - apathy, irritability, headache, malaise, fever,
anorexia, nausea, and vomiting, without any alteration in
the level of consciousness.
• Stage II - altered consciousness without coma or delirium
but with minor focal neurological signs; symptoms and
signs of meningism and meningitis are present, in addition
to focal neurological deficits, isolated CN palsies, and
abnormal involuntary movements.
• Stage III - advanced state with stupor or coma, dense
neurological deficits, seizures, posturing, and/or abnormal
movements
CLINICAL STAGING
DIFFERENTIAL DIAGNOSES
Based on CSF findings of ↓Glucose, ↑Protein &
lymphocytic pleocytosis
• Subacute or chronic meningitis syndrome caused by
Cryptococcosis, Granulomatous fungal infections,
Brucellosis, and Neurosyphilis.
• Parameningeal suppurative infection, eg.brain
abscess, or spinal epidural space infection.
• Herpes encephalitis
WORK UP
• Electrolyte concentrations:
- mild-to-moderate hyponatremia present in
roughly 45% of patients
- in some cases constituting a true syndrome of
inappropriate diuretic hormone secretion
(SIADH).
• Blood urea nitrogen (BUN) and creatinine level
• Urinalysis
• Tuberculin skin testing
• CSF Analysis
-Cell counts, differential count, cytology
-Glucose level, with a simultaneous blood glucose level
-Protein level
-Acid-fast stain, Gram stain, India ink stain
-Cryptococcal antigen and herpes antigen testing
CSF FINDINGS IN CNS INFECTIONS
• Culture: (87% diagnostic)
- CSF specimens for M. tuberculosis.
- The demonstration of acid-fast bacilli (AFB) in the CSF is
the effective means for an early diagnosis.
- Minimum of 3 lumbar punctures be performed at daily
intervals.
• Polymerase chain reaction:
- 60% sensitive in rapid detection of M. tuberculosis in
CSF.
- Recommended whenever clinical suspicion is sufficiently
high for empirical therapy or AFB is negative.
• Neuroimaging:
- CT & MRI are helpful in detection.
- CT can present the extent of basilar arachnoiditis,
cerebral edema and infarction, and the presence and
course of hydrocephalus.
• Hydrocephalus combined with marked basilar
enhancement is indicative of advanced meningitic disease
and carries a poor prognosis.
• Marked basilar enhancement correlates well with vasculitis
and, therefore, with a risk for basal ganglia infarction.
MRI showing basilar enhancement
• Interferon-gamma release assay (IGRA) using
specific tuberculous antigens is a rapid,
specific and sensitive method for the
detection of tuberculous infection.
OTHERS
• Angiography- for narrowing of the arteries
especially the small vessels at the base of the
brain
• Electroencephalopathy-abnormal if
meninigitis has progressed to advanced stage
• Brainstem Auditory Evoked Response Testing-
abnormal in advanced stage of meningitis
TREATMENT
• The mainstay of treatment for TB is clinical
suspicion & starting of empirical therapy.
• First line drugs — Isoniazid (INH), rifampin
(RIF), and pyrazinamide (PZA) are bactericidal,
can be administered orally all having good
meningeal penetration.
RECOMMENDED REGIMEN
• Intensive phase
(Initial 2 months)
• A four drug regimen-
INH, RIF, PZA, and either
EMB or STM
• Continuation phase
(9-12 months)
• INH and RIF alone if the
patient makes good
progress.
DURATION OF THERAPY
• 9 to 12 months in drug-sensitive infections.
• If PZA is omitted or cannot be tolerated,
treatment should be extended to 18 months
with isoniazid and thiacetazone.
VALUE OF CORTICOSTEROIDS
• has now been established by a controlled trial.
• Particularly for young children and severely ill.
• Begin with Prednisolone 30 mg twice daily
(1mg/kg twice daily for chidren) for 4-6 weeks
then decrease over several weeks as the patient
improves.
• For the patients on rifampicin the dose should be
increased by half, i.e. 45 mg for adults and 1.5
mg/kg for children. The reason being Rifampicin
antagonises the action of Prednisolone.
• Dexamethasone —
-A total dose of 8 mg/day for children weighing
<25 kg;
-12 mg/day for adults and children >25 kg,
-for 3 weeks, then tapered off gradually over the
following 3 to 4 weeks.
SECOND LINE DRUGS
• Aminoglycosides: e.g., amikacin , kanamycin
• Polypeptides: e.g., capreomycin, viomycin, enviomycin;
• Fluoroquinolones:
e.g., ciprofloxacin , levofloxacin, moxifloxacin ;
• Thioamides: e.g. ethionamide, prothionamide
• Cycloserine (the only antibiotic in its class);
• p-aminosalicylic acid (PAS or P).
OTHERS
• Macrolides: e.g., clarithromycin
• Linezolid (LZD)
• Thioacetazone (T)
• Immunomodulators- cytokine-based therapy which
enhance both the mycobacterial killing activity of
effector cells and the restriction of bacterial
intracellular multiplication
• BCG vaccination offers a protective effect
(approximately 64%) against TBM.
SURGICAL INTERVENTION
• In patients with evidence of obstructive
hydrocephalus and neurological deterioration
who are undergoing treatment for TBM,
placement of a ventricular drain or
ventriculoperitoneal or ventriculoatrial shunt
should not be delayed.
COMPLICATIONS
• Hydrocephalus
• Infarctions
• Coma/stupor
• Motor deficits- CN palsies, hemiparesis
• Seizures
• Mental impairment
• Abnormal behavior
• Brain damage
• High morbidity and mortality
PROGNOSIS
• Very critical disease in terms of fatal outcome and
permanent sequelae, requiring rapid diagnosis and
treatment.
• Prognosis is directly related to the clinical stage at
diagnosis.
• Kumar et al reported that children with TBM who have
been vaccinated with BCG appear to maintain better
mentation and have superior outcomes.
• Coexisting HIV encephalopathy and diminished
immune competence contribute to the more severe
clinical and neuroradiological features.
TAKE HOME MESSAGE
• Start ATT empirically when suspicion of TB
• See for the BCG scar in suspected case
• Counsel the patient for medication/side
effects
• Complete the course
• Follow up
REFERENCES
• Harrison’s Principle of Internal Medicine
• Clinical Tuberculosis: John Crofton, Norman
Horne, Fred Miller
• Medscape
• Uptodate

Case presentation tb meningitis

  • 1.
  • 2.
    • 62 yearsmale, Kham Bahadur Gurung • From Syangja • Dizziness and vomiting for 10 days • Fever for 2 days along with headache and neck stiffness • He was in delirious state with behavioral changes • Bowel and bladder habits were normal • He was treated outside but did not get better.
  • 3.
    • Personal history:alcoholic but non smoker • Past history : PTB 10 yrs back, treated • Surgical history : -Right hydrocele was operated 3 yrs ago -Right eye was operated 1 month back • O/E : General condition: fair, confused, GCS:14/15, febrile • Other vitals: stable
  • 4.
    SYSTEMIC EXAMINATION • Respiratory:normal vesicular breath sounds in both lungs decreased air entry in right upper lobe • Cardiovascular : S1S2M0 • Per abdomen: soft, non tender, no organomegaly
  • 5.
    Central Nervous System: •Higher mental function: delirious, not oriented to time, place and person • Neck rigidity : present • Ophthalmoplegia : present • Slight facial deviation on left side • Power : intact in all the four limbs • Tone : increased in upper limbs • Deep tendon reflexes : exaggerated in all four limbs • Plantar: B/L upgoing
  • 6.
    LABS • WBC: 10360/mm3 •Hb: 12.3 mg/dl • Platelets: 458000 cu/mm • PMN: 82% • ESR: 14 mm • Blood culture : no growth after 72 hours • Malaria parasite: not seen • B24-negative • S. creat: 1.4 mg/dl • K+: 5.6 mmol/L • Na+: 136 mmol/L • ALP: 105 U/L • AST: 28 U/L • ALT: 10 U/L • RBS: 183 mg/dl
  • 7.
    CSF FLUID ANALYSIS •WBC: 155 (↑↑) • RBC: 15 (↑↑) • POLYS: 42% • LYMPHS: 58% • GLUCOSE: 48mg/dl (↓) • PROTEIN: 176.0mg/dl (↑↑) • ADA: 17
  • 8.
  • 9.
  • 11.
  • 12.
    ETIOLOGY • Causative organism:Mycobacterium tuberculosis • First description of TBM credited to Robert Whyte, on the basis of his 1768 monograph, Observations of Dropsy in the Brain. • Described as a distinct pathological entity in 1836 • Robert Koch demonstrated that TB was caused by M. tuberculosis in 1882.
  • 13.
    RISK FACTORS • HIVcoinfection is the strongest risk factor for progression to TBM. • Unimmunized with BCG Other contributing factors • Malnutrition • Alcoholism • Substance abuse • Diabetes mellitus
  • 14.
    EPIDEMIOLOGY • In populationswith a low prevalence of TB, most cases of TBM occur in adults. • However, TBM is more common in children than in adults, especially in the first 5 years of life.
  • 15.
    PATHOPHYSIOLOGY • Following primaryinfection or late reactivation TB elsewhere in the body, scattered tubercles are established in the brain, meninges, or adjacent bone. • Subcortical or meningeal focus from which bacilli gained access to the subarachnoid space is the critical event for development of tuberculous meningitis . • Due to chronic reactivation bacillemia occurs in older adults due to immune deficiency caused by aging, alcoholism, malnutrition, malignancy, or human immunodeficiency virus (HIV) infection • Head trauma may also lead to destabilization of an established quiescent focus resulting in meningitis
  • 16.
    • The spillageof tubercular protein into the subarachnoid space produces an intense hypersensitivity reaction due to a dense gelatinous exudate, giving rise to inflammatory changes. • Proliferative arachnoiditis, most marked at the base of the brain, produces a fibrous mass involving cranial nerves and penetrating vessels. • Vasculitis with resultant thrombosis and infarction involves vessels that traverse the basilar or spinal exudate or are located within the brain substance itself. • Variety of stroke syndromes may result, involving the basal ganglia, cerebral cortex, pons, and cerebellum. • Communicating hydrocephalus results from extension of the inflammatory process to the basilar cisterns and impedance of CSF circulation and resorption.
  • 17.
  • 18.
    • Tuberculomas arecoglomerate caseous foci within the substance of the brain.
  • 19.
    PATHOPHYSIOLOGY 1. FORMATION OFRICH FOCUS 2. RUPTURE OF RICH FOCUS INTO SUBARACHNOID SPACE
  • 20.
    CLINICAL PRESENTATION • TBMis difficult to diagnose and a high index of suspicion is needed to make an early diagnosis HISTORY: • Recent contact with patients of TB • Past history of TB • History of immunosuppresion from a known disease or from drug therapy • Negative history of BCG vaccination-see for scar
  • 21.
    Principle presentation issubacute febrile illness that progresses through three phases:
  • 22.
    • Choroid tubercleson opthalmoscopy - multiple, ill-defined, raised yellow-white nodules (granulomas) of varying size near the optic disc
  • 23.
    Atypical features: • Meningiticsyndrome rapidly progressing- suggesting acute infection • Dementia over months or years- personality change, social withdrawal, loss of libido, and memory deficits • Encephalitic course with stupor, coma, and convulsions without overt signs of meningitis
  • 24.
    PHYSICAL EXAMINATION • Lookfor BCG vaccination scar • Visual findings: papilledema or a small grayish white choroidal nodule • cranial neuropathies: VI most affected, then III, IV, VII and less commonly II, VIII, X, XI, XII. • Kernig’s sign and Brudzinki’s sign • Tremor is the most common movement disorder seen in the course of TBM. • In a smaller percentage of patients, abnormal movements, including choreoathetosis and hemiballismus, have been observed, suggesting of deep vascular lesions.
  • 25.
    • Stage I- apathy, irritability, headache, malaise, fever, anorexia, nausea, and vomiting, without any alteration in the level of consciousness. • Stage II - altered consciousness without coma or delirium but with minor focal neurological signs; symptoms and signs of meningism and meningitis are present, in addition to focal neurological deficits, isolated CN palsies, and abnormal involuntary movements. • Stage III - advanced state with stupor or coma, dense neurological deficits, seizures, posturing, and/or abnormal movements CLINICAL STAGING
  • 26.
    DIFFERENTIAL DIAGNOSES Based onCSF findings of ↓Glucose, ↑Protein & lymphocytic pleocytosis • Subacute or chronic meningitis syndrome caused by Cryptococcosis, Granulomatous fungal infections, Brucellosis, and Neurosyphilis. • Parameningeal suppurative infection, eg.brain abscess, or spinal epidural space infection. • Herpes encephalitis
  • 27.
    WORK UP • Electrolyteconcentrations: - mild-to-moderate hyponatremia present in roughly 45% of patients - in some cases constituting a true syndrome of inappropriate diuretic hormone secretion (SIADH). • Blood urea nitrogen (BUN) and creatinine level • Urinalysis • Tuberculin skin testing
  • 28.
    • CSF Analysis -Cellcounts, differential count, cytology -Glucose level, with a simultaneous blood glucose level -Protein level -Acid-fast stain, Gram stain, India ink stain -Cryptococcal antigen and herpes antigen testing
  • 29.
    CSF FINDINGS INCNS INFECTIONS
  • 30.
    • Culture: (87%diagnostic) - CSF specimens for M. tuberculosis. - The demonstration of acid-fast bacilli (AFB) in the CSF is the effective means for an early diagnosis. - Minimum of 3 lumbar punctures be performed at daily intervals. • Polymerase chain reaction: - 60% sensitive in rapid detection of M. tuberculosis in CSF. - Recommended whenever clinical suspicion is sufficiently high for empirical therapy or AFB is negative.
  • 31.
    • Neuroimaging: - CT& MRI are helpful in detection. - CT can present the extent of basilar arachnoiditis, cerebral edema and infarction, and the presence and course of hydrocephalus. • Hydrocephalus combined with marked basilar enhancement is indicative of advanced meningitic disease and carries a poor prognosis. • Marked basilar enhancement correlates well with vasculitis and, therefore, with a risk for basal ganglia infarction.
  • 32.
  • 33.
    • Interferon-gamma releaseassay (IGRA) using specific tuberculous antigens is a rapid, specific and sensitive method for the detection of tuberculous infection.
  • 34.
    OTHERS • Angiography- fornarrowing of the arteries especially the small vessels at the base of the brain • Electroencephalopathy-abnormal if meninigitis has progressed to advanced stage • Brainstem Auditory Evoked Response Testing- abnormal in advanced stage of meningitis
  • 35.
    TREATMENT • The mainstayof treatment for TB is clinical suspicion & starting of empirical therapy. • First line drugs — Isoniazid (INH), rifampin (RIF), and pyrazinamide (PZA) are bactericidal, can be administered orally all having good meningeal penetration.
  • 37.
    RECOMMENDED REGIMEN • Intensivephase (Initial 2 months) • A four drug regimen- INH, RIF, PZA, and either EMB or STM • Continuation phase (9-12 months) • INH and RIF alone if the patient makes good progress.
  • 38.
    DURATION OF THERAPY •9 to 12 months in drug-sensitive infections. • If PZA is omitted or cannot be tolerated, treatment should be extended to 18 months with isoniazid and thiacetazone.
  • 39.
    VALUE OF CORTICOSTEROIDS •has now been established by a controlled trial. • Particularly for young children and severely ill. • Begin with Prednisolone 30 mg twice daily (1mg/kg twice daily for chidren) for 4-6 weeks then decrease over several weeks as the patient improves. • For the patients on rifampicin the dose should be increased by half, i.e. 45 mg for adults and 1.5 mg/kg for children. The reason being Rifampicin antagonises the action of Prednisolone.
  • 40.
    • Dexamethasone — -Atotal dose of 8 mg/day for children weighing <25 kg; -12 mg/day for adults and children >25 kg, -for 3 weeks, then tapered off gradually over the following 3 to 4 weeks.
  • 41.
    SECOND LINE DRUGS •Aminoglycosides: e.g., amikacin , kanamycin • Polypeptides: e.g., capreomycin, viomycin, enviomycin; • Fluoroquinolones: e.g., ciprofloxacin , levofloxacin, moxifloxacin ; • Thioamides: e.g. ethionamide, prothionamide • Cycloserine (the only antibiotic in its class); • p-aminosalicylic acid (PAS or P).
  • 42.
    OTHERS • Macrolides: e.g.,clarithromycin • Linezolid (LZD) • Thioacetazone (T) • Immunomodulators- cytokine-based therapy which enhance both the mycobacterial killing activity of effector cells and the restriction of bacterial intracellular multiplication • BCG vaccination offers a protective effect (approximately 64%) against TBM.
  • 43.
    SURGICAL INTERVENTION • Inpatients with evidence of obstructive hydrocephalus and neurological deterioration who are undergoing treatment for TBM, placement of a ventricular drain or ventriculoperitoneal or ventriculoatrial shunt should not be delayed.
  • 44.
    COMPLICATIONS • Hydrocephalus • Infarctions •Coma/stupor • Motor deficits- CN palsies, hemiparesis • Seizures • Mental impairment • Abnormal behavior • Brain damage • High morbidity and mortality
  • 45.
    PROGNOSIS • Very criticaldisease in terms of fatal outcome and permanent sequelae, requiring rapid diagnosis and treatment. • Prognosis is directly related to the clinical stage at diagnosis. • Kumar et al reported that children with TBM who have been vaccinated with BCG appear to maintain better mentation and have superior outcomes. • Coexisting HIV encephalopathy and diminished immune competence contribute to the more severe clinical and neuroradiological features.
  • 46.
    TAKE HOME MESSAGE •Start ATT empirically when suspicion of TB • See for the BCG scar in suspected case • Counsel the patient for medication/side effects • Complete the course • Follow up
  • 47.
    REFERENCES • Harrison’s Principleof Internal Medicine • Clinical Tuberculosis: John Crofton, Norman Horne, Fred Miller • Medscape • Uptodate