Cerebral Palsy
Senior Associate Prof. Dr Rajan Duda
AIMST
Dr Mariam Mahmoud Hassan, Senior Lecturer, AIMST
Summary
 Brief introduction: History of Cerebral Palsy
 Neuroanatomy and Neurophysiology
 Causes of CP
 Types of CP
 Physical examination of CP
 Investigations of CP
 Early diagnosis
 Need for Early intervention
Summary
 Take home message
 Interesting cases regarding CP ( Past and Present)
 Post natal: Early pick up of cases as high index of suspicion No Difficulty
 Term: Birth Asphyxia Cooling therapy: Need high index of suspicion
 Preterm; Needs early tools to Pick up CP: HNNE and HINE Plus MRI Gross
Motor associative movements plus MRI Brain /Perinatal History of High Risk
 Emphasis here.
 HNNE Hammersmith Neonatal examination
 HINE Hammersmith infant Neonatal examination
 Generalized Motor Activity / High Risk Perinatal History
William John Little
History Of Cerebral Palsy
 Cerebral Palsy
 Little described this disorder based on observations of
 muscle stiffness and limb deformity in children who had
 difficult births including prematurity, prolonged labor,
 breech presentations, and even nuchal umbilical cords
 (118, 119). In his original manuscript, Little referred to
 the symptoms as a “cerebral-spinal disorder” (118, 119)
 because of postmortem evidence of brain and spinal
 cord involvement
History Of Cerebral Palsy
 In 1862, Dr. William John Little, an
 orthopedic surgeon with a particular
 interest in tenotomy procedures,
 described children who had “congenital
 distortions” of their limbs (118, 119).
Little John
 The “Beginnings” of Cerebral Palsy His work on Cerebral Palsy culminated in
1861 when Little attempted the first definition of Cerebral Palsy in a paper
presented to the Obstetrical Society of London. In it, he stated that
“abnormal forms of labor,” in which the “child has been partially suffocated,”
injures the nervous system and results in spastic rigidity and sometimes
paralytic contraction.
Orthopedicain/Physician/Neurologist
William Little John
Orthopedician
Sir William Osler Physician
Sigmund Freud Neurologist
Pioneers
thinking
Little : Birth Asphyxia as cause
William Osler Gave it a Name “Cerebral
Palsy”
Sigmund Freud
Can be caused by early fetal development
defect as well
Current thinking is in favor of Freud as only
10 percent is Hypoxic damage
Sir William Osler : More on Proper treatment
can greatly increase quality of life
 The Cerebral Palsies of Children,” explores many other forms of the
impairment. The book is a summation of Osler’s lectures, which present
numerous case studies and highlight possible causes of impairment. Much like
Little, Osler’s final conclusions indicate that proper treatment can greatly
increase quality of life.
Sir William Osler
 Sir William Osler (1849 – 1928)
 Wrote first book about Cerebral Palsy and coined the name for Cerebral Palsy
 Sir William Osler is regarded as one of the most notable contributors in the
history of medicine. He was also one of the most significant early researchers
of Cerebral Palsy and is often credited as first to use the term ‘Cerebral
Palsy.’
Sigmund Freud
 Sigmund Freud (1865-1939)
 First to group a wide range of motor impairments
 Dr. Sigmund Freud, a neurologist, was first to state that Cerebral Palsy might
be caused by abnormal development before birth. Prior to that, orthopedic
surgeon Dr. William Little had postulated that Cerebral Palsy was acquired at
birth due to difficult labor. Freud disagreed, stating that difficult birth is
“merely a symptom of deeper effects that influence the development of the
fetus.” At the time, this conclusion was virtually ignored. It wasn’t until
decades later that researchers began to support Freud’s theories.
Little John/Sigmund Freud view
compared
 Despite this observation, researchers and doctors continued to follow Little’s
conclusions.
 Freud wasn’t proven correct until almost a century later when research
indicated only a small percentage of Cerebral Palsy cases, approximately 10
percent, were caused by birth asphyxia.
 Freud used the term :
 Infantile motor impairment
Timeline
 1948 – The organization known today as United Cerebral Palsy Association is
formed.
 2002 – Centers for Disease Control and Prevention conduct first U.S.
multistate study on prevalence of Cerebral Palsy.
Celebrities with Cerebral Palsy
RJ Mitte, Actor,
Producer,
Model, and
Activist
Christy Brown
:Painter , poet
and author
Bonner Paddock, Athlete and Advocate
Neuroanatomy and neurophysiology of
Cerebral Palsy
GABA is integral to the functioning of the
central nervous system. It is the main
inhibitory neurotransmitter of the brain and
most central nervous system synapses are
GABAergic. GABA works in cooperation with
excitatory influences (glutamate,
epinephrine, norepinephrine), as a type of
braking system, to allow the brain to
maintain balance
Definition Of Cerebral Palsy
Cerebral
Palsy
Definition
Abnormality of movement and posture , causing activity
limitation attributed to non – progressive disturbances that
occurred in the developing fetal or infant brain, prenatal , natal
or post natal till age of three years.
The motor disorder is often accompanied by disturbance of
cognition, communication , perception, sensation and behavior
and seizure disorder and musculoskeletal problems.
Cerebral
Palsy
Though non progressive the clinical
manifestations emerge over time
The term is used till age of three years. After
that acquired brain injury is used in diagnosis.
Epidemiology
Most common cause of abnormal motor
impairment 2 per 1000 live births.
.
Causes Of Cerebral Palsy
CP
Antenatal
80 % of causes of Cerebral are antenatal in origin
Congenital brain malformation
Genetic susceptibility
In utero stroke
In vitro or use of assisted reproductive technologies
Maternal fetal infection
Multiple gestation
Pre pregnancy obesity
Natal causes10%
Birth asphyxia (Hypoxic Ischemic
Encephalopathy)
Perinatal stroke
Post natal
causes 10 %
Preterm
Intracranial bleed in preterm and PVL
Low birth weight
Kernicterus
Neonatal seizures
Neonatal convulsions
Post neonatal meningitis
Traumatic brain injury
Types of Cerebral
Palsy
Types of
Cerebral
Palsy
Motor Function
Topographical distribution
Gross motor classification
Topographical Types
Topographical Types
Clinical Types
This Photo by Unknown Author is licensed under CC BY-SA
Gross Motor
Classification
Types
Gross motor classification system
Gross motor classification
 It is best for follow up and to see the progress of the child and it is an
objective tool and the aim is to get the GMC to lower class or let it not
worsen. It directly correlates with quality of life.
 Now a days language score are also used to determine the progress as
language and motor skills are pre determinant to the quality of life as seen by
the child and parent.
History and Physical examination
Prenatal History
 Prenatal history
 The prenatal history should include information on the mother's pregnancy,
such as prenatal exposure to illicit drugs, toxins, or infections; maternal
diabetes; acute maternal illness; trauma; radiation exposure; prenatal care;
and fetal movements
 A history of early frequent spontaneous abortions, parental consanguinity, and
a family history of neurologic disease (eg, hereditary neurodegenerative
disease) is also important.
 .
Perinatal History
 Perinatal history
 The perinatal history should include the child's gestational age (ie, degree of
prematurity) at birth, presentation of the child and delivery type, birth
weight, Apgar score, and complications in the neonatal period (eg, intubation
time, presence of intracranial hemorrhage on neonatal ultrasonogram,
feeding difficulties, apnea, bradycardia, infection, and hyperbilirubinemia).
Developmental history
 Developmental history
 The child's developmental history should review his/her gross motor, fine
motor, language, and social milestones from birth until the time of
evaluation.
 The age at which gross motor milestones are achieved in typically developing
children include head control at age 2 months, rolling at age 4 months, sitting
at age 6 months, and walking at age 1 year. Infants with cerebral palsy may
have significantly delayed gross motor milestones or show an early hand
preference when younger than 1.5 years, suggesting the relative weakness of
one side (eg, reaching unilaterally).
Developmental history
 The presence of an unexplained regression would be more suggestive of a
hereditary neurodegenerative disease than cerebral palsy.
 Current social skills, academic performance, and participation in an early
intervention program (if < 3 y) or school support (if > 3 y) should be reviewed,
including resource room assistance; physical, occupational, and speech and
language therapy; and adaptive physical education.
Developmental history
Developmental history
 Standardized cognitive and educational testing and a current individualized
education plan can be used to determine whether speech therapy,
occupational therapy, and physical therapy referrals are needed, if not
already in place.
Physical examination of Cerebral Palsy
 Physical Examination
 Physical indicators of cerebral palsy include joint contractures secondary to
spastic muscles, hypotonic to spastic tone, growth delay, and persistent
primitive reflexes.
 The initial presentation of cerebral palsy includes early hypotonia, followed
by spasticity. Generally, spasticity does not manifest until at least 6 months to
1 year of life. The neurologic evaluation includes close observation and a
formal neurologic examination.
Physical examination of CP
 Before the formal physical examination, observation may reveal abnormal
neck or truncal tone (decreased or increased, depending on age and type of
cerebral palsy); asymmetric posture, strength, or gait; or abnormal
coordination
Physical examination of CP
 Patients with cerebral palsy may show increased reflexes, indicating the
presence of an upper motor neuron lesion. This condition may also present as
the persistence of primitive reflexes, such as the Moro (startle reflex) and
asymmetric tonic neck reflexes (ie, fencing posture with neck turned in same
direction when one arm is extended and the other is flexed).
Moro reflex
Moro reflex
ATNR
STNR
Physical examination of CP
 Symmetric tonic neck, palmar grasp, tonic labyrinthine, and foot placement
reflexes are also noted. The Moro and tonic labyrinthine reflexes should
extinguish by the time the infant is aged 4–6 months; the palmar grasp reflex,
by 5–6 months; the asymmetric and symmetric tonic neck reflexes, by 6–7
months; and the foot placement reflex, before 12 months.
Gait pattern in CP
 The overall gait pattern should be observed and each joint in the lower
extremity and upper extremity should be assessed, as follows:
 Hip – Excessive flexion, adduction, and femoral anteversion make up the
predominant motor pattern. Scissoring of the legs is common in spastic
cerebral palsy.
Gait pattern in CP
 Knee – Flexion and extension with valgus or varus stress occur.
 Foot – Equinus, or toe walking, and varus or valgus of the hindfoot is common
in cerebral palsy.
 Gait abnormalities may include the crouch position with tight hip flexors and
hamstrings, weak quadriceps, and/or excessive dorsiflexion.
Toe walking in CP
Equino varus deformity in CP
Crouch gait
Spastic Equino varus deformity
Scissoring gait
Spastic Cerebral Palsy
 Spastic (pyramidal) cerebral palsy
 Patients with spastic (pyramidal) cerebral palsy evidence spasticity (ie, a
velocity-dependent increase in tone) and constitute 75% of patients with
cerebral palsy. Patients have signs of upper motor neuron involvement,
including hyperreflexia, clonus, extensor Babinski response, persistent
primitive reflexes, and overflow reflexes (crossed adductor). This may be
observed by the child's tendency to keep the elbow in a flexed position or the
hips flexed and adducted with the knees flexed and in valgus, and the ankles
in equinus, resulting in toe walking.
Spastic Hemiplegia
 Spastic hemiplegic cerebral palsy
 Hemiplegia is characterized by weak hip flexion and
 ankle dorsiflexion, an overactive posterior tibialis
 muscle, hip hiking/circumduction, supinated foot in
 stance, upper extremity posturing (that is, often held
 with the shoulder adducted, elbow flexed, forearm
 pronated, wrist flexed, hand clenched in a fist with the
 thumb in the palm), impaired sensation, impaired 2-
 point discrimination, and/or impaired position sense.
 Some cognitive impairment is found in about 28% of
 these patients.
Dyskinetic Cerebral Palsy
 Dyskinetic (extrapyramidal) cerebral palsy is
 characterized by extrapyramidal movement patterns,
 abnormal regulation of tone, abnormal postural control,
 and coordination deficits. Abnormal movement patterns
 may increase with stress, excitement, or purposeful
 activity. Muscle tone is usually normal or can be
 decreased during sleep.
Athetoid
Dyskinetic CP
Dyskinetic
 Chorea
 Athetoid/Choreoathetoid
 Dystonic
Spastic diplegic cerebral palsy
 Spastic diplegic cerebral palsy
 Patients with spastic diplegia often have a period of hypotonia followed by
extensor spasticity in the lower extremities, with little or no functional
limitation of the upper extremities. Patients have a delay in developing gross
motor skills. Spastic muscle imbalance often causes persistence of infantile
coxa valga and femoral anteversion. Cognitive impairment is present in
approximately 30% of spastic diplegic patients. Spastic diplegic cerebral palsy
includes the following classic physical presentation
Spastic diplegia
Spastic diplegic cerebral palsy
 Upper motor neuron findings in the legs more than the arms
 Scissoring gait pattern with hips flexed and adducted, knees flexed with
valgus, and ankles in equinus, resulting in toe walking
 Learning disabilities and seizures less commonly than in spastic hemiplegia
Spastic
quadriplegia
Spastic Quadriplegic cerebral palsy
 Most patients with spastic quadriplegic cerebral palsy have some cognitive
impairment and demonstrate the following classic physical presentations:
 All limbs affected, either full-body hypertonia or truncal hypotonia with
extremity hypertonia
 Oromotor dysfunction
 Increased risk of cognitive difficulties
Spastic Quadriplegic Cerebral Palsy
 Multiple medical complications (see Complications under Prognosis)
 Seizures
 Legs generally affected equally or more than arms
 Categorized as double hemiplegic if arms more involved than legs
Differential Diagnosis
 Neurodegenerative disorders/Inborn error of metabolism/Genetic disease
 Clinically based on the case
Differential Diagnosis
 Potentially Helpful Laboratory Tests
 There are no definitive laboratory studies for diagnosing cerebral palsy, only studies to rule
out other symptom causes, such as metabolic or genetic abnormalities, as deemed necessary
based on clinical examination. Such studies may include the following:
 Thyroid function studies - Abnormal thyroid function may be related to abnormalities in
muscle tone or deep tendon reflexes or to movement disorders.
 Lactate and pyruvate levels - Abnormalities may indicate an abnormality of energy
metabolism (ie, mitochondrial cytopathy).
 Ammonia levels - Elevated ammonia levels may indicate liver dysfunction or urea cycle
defect.
Potentially helpful tests /Investigations
 Organic and amino acids - Serum quantitative amino acid and urine
quantitative organic acid values may reveal inherited metabolic disorders.
 Chromosomal analysis - Chromosomal analysis, including karyotype analysis,
chromosomal microarray, or specific DNA testing, may be indicated to rule out
a genetic syndrome, particularly if dysmorphic features or abnormalities of
various organ systems are present, or etiology of the cerebral palsy is
undetermined
 Cerebrospinal protein - Levels may assist in determining asphyxia in the
neonatal period. Protein levels can be elevated, as can the lactate-to-
pyruvate ratio.
Cranial Ultrasound
 Cranial ultrasonography performed in the early neonatal period can be helpful
in medically unstable infants until they are able to tolerate transport for
more detailed neuroimaging. Ultrasonography can delineate clear-cut
structural abnormalities and show evidence of hemorrhage or hypoxic-
ischemic injury. For example, neonatal cranial ultrasonography provides
information about the ventricular system, basal ganglia, and corpus callosum,
as well as diagnostic information on intraventricular hemorrhage and hypoxic-
ischemic injury to the periventricular white matter. Periventricular
leukomalacia initially appears as an echo-dense area that converts to an
echo-lucent area when the patient is approximately age 2 weeks.
Periventricular leukomalacia is strongly associated with cerebral palsy.
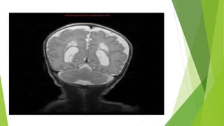
MRI Brain
 the literature suggests that MRI should be strongly considered in all cases; in
one study, 89% children with cerebral palsy were found to have abnormal
MRIs. [37] Additionally, MRI may have a role in predicting neurodevelopmental
outcomes in preterm infants. [38] See the following images.
Normal MRI Brain
 Normal results from neuroimaging studies do not exclude a clinical diagnosis
of this disorder. However, in these cases, other underlying metabolic and
genetic etiologies should be considered and excluded before diagnosing a
child with cerebral palsy.
When is best time to diagnose Cerebral
Palsy
 There have been calls in the literature for the earliest possible diagnosis of CP
to access early diagnosis specific intervention since William Little first
described CP in 1867, however currently only 21% of infants have a diagnosis
under six months in Australia. An international clinical practice guideline
giving clear pathways to evidence-based tools for accurate early diagnosis has
been published. With coordinated international efforts aimed at decreasing
the age of diagnosis, we are now in an era where this situation is likely to
change. Identifying barriers to clinicians feeling confident to make an early
diagnosis of CP will help to ensure we do not disadvantage children by a late
diagnosis denying them CP specific early intervention opportunities aimed at
optimizing future outcomes. Understanding which tools have the best
evidence for the early classification of CP will best guide CP specific early
interventions and help to give parents early and accurate predictive
information about their child.
Interesting cases and past and present
management .
 Term babies with hypoxic ischemic encephalopathy
 Past and present :
HIE
Cooling therapy
Care in HIE
 STANDARD OF CARE
 The aim is to cool infants with moderate or severe HIE within 6 h of birth to a
body temperature between 33.5°C and 34.5°C and maintain this degree of
cooling without interruption for 72 h.
 This would be followed by slow re-warming over at least 4 h at a rate of 0.5°C
per hour until their rectal temperature reaches the desired range (36.5-
37°C).
Physiological criteria
 Physiological criteria
 Evidence of intrapartum hypoxia, including at least two of the following:
 Apgar score 5 or less at 10 min
 Needing mechanical ventilation and/or ongoing resuscitation at 10 min
 Metabolic or mixed acidosis defined as arterial cord gas, or any blood gas
within the first hour of life showing pH of 7 or less, or base deficit of ≥12
mmol/l.
Neurological criteria
 Neurological criteria
 One of the following:
 The presence of seizures is an automatic inclusion
 Evidence of encephalopathy suggested by amplitude-integrated EEG (a-EEG)
 Physical examination consistent with moderate to severe encephalopathy [Table 2]
 Table 2
Preterm
 Extreme prematurity 26 weeks
 Extreme prematurity with Intracranial hemorrhage
 Extreme prematurity with hemorrhage and periventricular leukomalacia
 Congenital malformation of CNS
 Early tools to detect; Present times
 Brain MRI Scan / Cranial imaging
 Hammersmith neonatal neurological examination
 Hammersmith infant neurological examination
 Gross motor associative movements
Hammersmith infant neurological
examination
 HAMMERSMITH INFANT NEUROLOGICAL EXAMINATION (v 07.07.17)
 Name Date of birth
 Gestational age Date of examination
 Chronological age / Corrected age Head circumference
 SUMMARY OF EXAMINATION
 Global score (max 78)
 Number of asymmetries
 Behavioral score (not part of the optimality score)
Hammersmith infant neurological
examination
 Cranial nerve function score (max 15)
 Posture score (max 18)
 Movement's score (max 6)
 Tone score (max 24)
 Reflexes and reactions score (max 15)
 COMMENTS
 (Throughout the exam, if a response is not optimal but not poor enough to score 1,
give a score of 2)
Hammersmith neonatal neurological
examination
 The Hammersmith Neonatal Neurological Examination (HNNE) is a quick,
practical and easy to perform exam encompassed in 34 items assessing tone,
motor patterns, observation of spontaneous movements, reflexes, visual and
auditory attention and behavior. It was initially developed by Dr Lilly
Dubowitz and Prof Victor Dubowitz in 1981, and updated with Dr Eugenio
Mercuri, in 1998. Many studies have been performed using it in different
clinical groups of full term and preterm infants at different ages within the
neonatal period.
Movement assessment in preterm
normal and cerebral palsy babies
Neonatal Brain pathology
Preterm and spastic Diplegia : Why of it!
Strokes in utero or neonatal period
Strokes in utero or neonatal
Middle
cerebral
artery infarct
Summing up and take-home message
 The most common cause of CP is antenatal 80 % and 10% are Hypoxic Ischemic
Encephalopathy and 10% are post natal .
 Extreme preterm and its better survival has increased the possibility of
obvious neurological damage which leads to CP or subtle neurological
dysfunction which leads to CP later.
 Picking up early CP in neonatal period say first few months with neonatal and
neurologist collaboration would help in early detection and early intervention
as the neonatal brain has neuroplasticity and it responds to early intervention
well.
Earlier intervention in NICU/
Neonatal and Neurologist /Occupational and
Physiotherapist intervention
 This is primarily done to prevent neurological damage as the neuroplasticity
exists till three years of age and early intervention helps in earlier acquisition
of motor milestones like sitting , standing and walking when compared to
later intervention.
 To pick up CP before 3-5 months for better neurological recovery.
 Presently with current standard neurological examinations it is picked around
9 months which is late.
How-to pick-up CP :EARLY
 History
 Exam
 Standard Hammersmith neonatal examination
 Hammersmith infant neurological examination
 Brain MRI Scan to look for white matter, grey matter, ventricle, infarcts, HYG
and PVL
 Gross movement associative assessment by people trained in assessing
movement in preterm normal and CP baby
 Early intervention : Neonatologist/Pediatric Neurologist collaboration
 Early sensory intervention : Better results in terms of sitting, standing and
walking and cognition .
How does this help Developing countries
 Developing countries must develop collaborative services which incorporates
neonatologist/ pediatric neurologist/ physical therapist, all trained in HINE
and HNNE , Gross motor associative movement assessment and specialized
therapist trained in early sensory intervention for both enhancing motor and
cognitive benefits.
 It will help the baby, child and the worrying parent and the society at large .
 We owe this to the child and parent and society .
Dedicated to Christopher Noah/All
children with Cerebral Palsy.
 Christopher Nolan is an Irish poet who wrote wonderful poems but never
delivered a single word because of their disability. Actually, he even couldn’t
write without using his special computer, but still, he attended school and
went to college where he developed a sense of literature with which he wrote
his poems. He was diagnosed with cerebral palsy at the time of his birth and
since then he suffered from the disease but didn’t let it hold him back until
his death in 2009.
References
 References:
 Illustrated Textbook Of Pediatrics
 Medscape
 Up to date
 Google image
 You tubes images
Thanks
Spastic Hemiplegic Cerebral Palsy
 One-sided upper motor neuron deficit
 Arm generally affected more than leg; possible early
 hand preference or relative weakness on one side; gait
 possibly characterized by circumduction of lower
 extremity on the affected side
 Specific learning disabilities
 Oromotor dysfunction
 Possible unilateral sensory deficits
 Visual-field deficits (eg, homonymous hemianopsia) and
 strabismus
 Seizure
Dyskinetic Cerebral Palsy
 Intelligence is normal in 78% of
 patients with athetoid cerebral palsy. A high incidence of
 sensorineural hearing loss is reported. Patients often
 have pseudobulbar involvement, with dysarthria,
 swallowing difficulties, drooling, oromotor difficulties,
 and abnormal speech patterns. Thus, the classic physical
 presentations of dyskinetic cerebral palsy include the
 following
Dyskinetic Cerebral Palsy
 Early hypotonia with movement disorder emerging at age
 1-3 years
 Arms more affected than legs
 Deep tendon reflexes usually normal to slightly increased
 Some spasticity
 Oromotor dysfunction
 Gait difficulties
 Truncal instability
 Risk of deafness in those affected by kernicteru
Dyskinetic Cerebral Palsy
 These patients with dyskinetic cerebral palsy may have decreased
 head and truncal tone and defects in postural control and motor
 dysfunction such as athetosis (ie, slow, writhing, involuntary
 movements, particularly in the distal extremities), chorea (ie,
 abrupt, irregular, jerky movements) or choreoathetosis (ie,
 combination of athetosis and choreiform movements), and
 dystonia (ie, slow, sometimes rhythmic movements with increased
 muscle tone and abnormal postures, eg, in the jaw and upper
 extremities
Important Risk factors for CP
 Prematurity and low birth weight are important risk factors for CP
 In most cases of CP , the initial injury to the brain occurs during early fetal
development , intracerebral hemorrhage and periventricular leukomalacia are
main pathologic findings found in preterm infant who develops CP
Topographical
types
Topographical Types of CP
Clinical
examination
Early signs of CP
In a baby of 3-6
months
Head falls back
when picked up
while lying on
back.
Feels stiff
Feels floppy
Seems to
overextend back
when cradled in
someone arms.
Legs get stiff
when picked up
Early signs of CP older than 6 months
Does not roll
over in either
direction
Cannot bring
hands together
Had difficulty
bringing hands
to mouth
Reaches out only
with one hand
while keeping
the other fisted
Early signs of
CP in a baby
more than 10
months
Moves swiftly around on
buttocks but does not crawl
on all fours
Crawls in a lop-sided manner
picking off with one hand and
dragging other opposite hand
and leg.
Persistence
of primitive
reflexes in
CP
Persistence of primitive reflex delay typical
progression of development and sequential
acquisition of higher level of neuromotor skills.
ATNR
Moro
Grasp
One common
example in
motor types :
Cause and effect
Spastic Diplegia
In Preterm Infants
 Brain damage form Periventricular leukomalacia secondary to
ischemia and or severe intraventricular hemorrhage
 Rise in survival of extremely preterm infants have been
accompanied by increase in survival with cerebral palsy
Early markers
for CP
 There are several neurological
examination methods available for
high-risk infants used for both clinical
care and research studies. The well-
known methods are the Hammersmith
Infant Neurological Examination (HINE)
[50], the Touwen [51], the Amiel-Tison
[52], the Bayley Scales of Infant and
Toddler Development [53], and
Dubowitz neonatal neurological
examination [54].
How to detect and pick up Spastic Diplegia
early and sent for early intervention
 In all preterm babies with or without stormy neonatal course use high index
of suspicion for early CP
 Clinical history
 Brain MRI/Cranial Ultrasound
 Hammersmith neonatal and infant neurological examination
 Gross motor associative movements
Gross motor associated movements Plus
HINE plus Brain MRI
Hammersmith neonatal neurological
examination
Hammersmith infant neurological
examination
MRI and PVL
Clinical
examination
 In most clinical settings CP is most
reliably recognized by 2 years of age.
 Early diagnosis.
 Clinical history
 Use of standardized neuromotor
assessment , MRI Brain and Gross
Movement assessment.(HINE E)
 Hammersmith neuromotor assessment
 MRI Brain
 Genetic tests and tests for IEM Based
on clinical findings to identify specific
disorders.
STROKE
DYSKINETIC
Ataxic Cerebral
Palsy
Causes
 10% are due to hypoxic – ischemic injury during delivery
 This proportion has remained constant over the last decade
 About 10 % are post natal in origin
Early markers
for CP
 These assessment methods have a high
predictive value with sensitivity and
specificity of 88 and 92%, respectively,
in predicting CP [14]. The use of the
above neuromotor and developmental
assessment is to predict impairments as
early as possible and to help physician
provide guidance for families about
their children development and help in
discriminating between normally
developing infants from those with
abnormal development. It also enables
prognostic information on the
neurological and motor outcome and
when to send those infants showing
early impairment for rehabilitation
programs
HINE For Early
diagnosis of CP
 The HINE is an easily performed and
relatively brief standardized and
scorable clinical neurological
examination for infants between 2 and
24 months of age, accessible to all
clinicians, with good interobserver
reliability. It has no associated costs
such as lengthy certifications or
proprietary forms.
HINE
 It consists of 26 items that assess
different aspects of neurological
examinations such as cranial nerves,
posture, movements, tone, and
reflexes [53], with a questionnaire
instructions and diagrams included on
the scoring sheet, similar to Dubowitz
neonatal neurological examinations
[54]. Each item is scored individually
(0, 1, 2, or 3), with a sum score of all
individual items (range 0–78),
Optimality scores for infants 3 to 18
months are based on the frequency of
distribution of neurological findings in
a typical infant population: it is
considered optimal when an item is
found in at least 90% of infants [53].
HINE
 The sequential use of the HINE allows the identification of early signs of
cerebral palsy and other neuromotor disorders, while individual items are
predictive of motor outcomes. For example, in preterm infants assessed
between 6 and 15 months of corrected age, scores above 64 predict
independent walking with a walked sensitivity of 98% and specificity of 85%.
Conversely, scores below 52 were highly predictive of cerebral palsy and
severe motor impairments [55].
General movement
 General movement is a part of spontaneous movement activity that is
generated by the developing nervous system; it appears from the 7th week
postmenstrual until 3–5 months post-term. The beginning of early fetal
movement at the 7th week is correlated with the development of synapsis in
the spinal cord, the emergence of neuromuscular contacts, and before the
development of spinal reflex pathway at 10–11 weeks postmenstrual [22, 23
General Movements
 It is characterized by a movement that involves the whole body in a variable
sequence involving the arm, leg, neck, and trunk. They are complex in nature
that wax, and wane vary in intensity, speed, and range of motion and have a
gradual onset and end. It has been proposed that GMs consist of rhythmic
bursts of action potentials [16]. GMs are generated from a large neuronal
generator network that extends from the brain stem to the spinal cord [25].
Post natal causes
 Meningitis/encephalitis, encephalopathy
 Head trauma, accidental or non accidental injury
 Symptomatic hypoglycemia,
 Hydrocephalous
 Hyperbilirubinemia
Diagnosis
 MRI Scan may assist in diagnosis, but scan is not necessary all the
time to make a diagnosis.
Clinical presentation
 Identified in early neonatal period at being in risk to develop
cerebral palsy
 Abnormal limb and or trunk posture and tone in infancy with
delayed motor milestones , may be accompanied by slowing of
head growth.
Feeding difficulty
 Feeding difficulty with or motor incoordination , slow feeding,
 Gagging, and vomiting
 Abnormal gait once walking is achieved
 Asymmetric hand function before 12 months of age
Primitive reflexes
 In CP , the primitive reflexes , which facilitate the emergence of
normal patterns of movements, and which need to disappear for
motor development to progress, may persist and become
obligatory
Clinical diagnosis
 Clinical examination
 Assessment of posture and pattern of tone in limbs and trunk
 Hand function and gait
 Three Clinical subtypes
 Spastic 90 %
 Dyskinetic 6%
 Ataxic 4%
 Mixed pattern may occur
Spastic cerebral palsy
 Three main types
 Hemiplegic
 Quadriplegic
 Diplegic
Functional ability
Is described by using
Gross Motor Functional Classification System
Level 1 Walks without limitations
Level2 Walks with limitations
Level 3 Walks with handheld mobility device
Level 4 Self –mobility with limitations , may use powered mobility
Level 5 Transported in a manual wheelchair
Dyskinetic cerebral palsy
 Movements which are involuntary, uncontrolled, occasionally
stereotyped, and often more evident with active movements or
stress.
 Muscle tone is variable and primitive motor reflexes predominate
Types of Dyskinetic
 Chorea
 Athetosis
 Dystonia
This Photo by Unknown Author is licensed under CC BY-ND
Case scenario
 On Cerebral Palsy
Case Scenario
 HIE
 Hypoxic Ischemic Encephalopathy
 Spastic Quadriparesis
 Vacuum either to have been done by most senior Obstetrician or avoided.
Preterm with IVH and PVL
 Preterm with a stormy course
 Had intraventricular Hemorrhage and Periventricular leukomalacia
Post meningitis obstructive
hydrocephalous
 Follow up with Pediatric Neurosurgeon
 Developmental Pediatrician for growth and neurodevelopmental progression
 Milestones and progressive head circumference, head circumference, three
months, observe for blockage of shunt or infection of shunt.
 For raised Intracranial pressure
 Fundus examination six monthly
Motor Vehicular accident
 Right sided extradural or subdural hemorrhage
 CT scan and neuro surgical intervention .
UPDATE from “Up To Date”
Definition
 Cerebral palsy (CP) refers to a heterogeneous group of conditions involving
permanent, nonprogressive motor dysfunction that affects muscle tone,
posture, and/or movement. These conditions are due to abnormalities of the
developing fetal or infantile brain resulting from a variety of causes. Although
the disorder itself is not progressive, the clinical expression may change over
time as the central nervous system (CNS) matures. The motor impairment
generally results in limitations in functional abilities and activity, which can
range in severity. Multiple additional symptoms often accompany the primary
motor abnormalities, including altered sensation or perception, intellectual
disability, communication and behavioral difficulties, seizure disorders, and
musculoskeletal complications.
Risk facors  Risk factors — In addition to prematurity and BW,
which are important risk factors for developing CP,
numerous other prenatal and perinatal risk factors
have been reported (table 1), though for many of
these risk factors, a causal relationship has not been
established [2,7-12]. Potentially modifiable prenatal
factors that may contribute to CP risk include heavy
maternal alcohol consumption, maternal smoking,
maternal obesity, and infections during pregnancy
[13-17]. CP is most often multifactorial, and multiple
risk factors coexist. (
Trends over
time
 Trends over time — In the 1960s through 1980s, the
rate of CP and the extent of disability among
preterm infants increased as survival improved for
the most premature [18]. During the 1980s and
1990s, there was a reversal in this trend, most likely
because of improvements in perinatal care. In one
study, the prevalence of CP among very low birth
weight (VLBW; <1500 g) infants declined from 60.6
per 1000 live births in 1980 to 39.5 per 1000 live
births in 1996 [19]. [21].
 This improvement occurred despite overall increases in survival and multiple
births and decreases in mean BW among this group. In another study, the
prevalence of CP among preterm infants (GA 20 to 27 weeks) decreased from
155 per 1000 live births in the early 1990s (1992 to 1994) to 16 per 1000 live
births in the early 2000s (2001 to 2003) [20]. This was in the setting of stable
or decreasing mortality during the same time period.
 Among term and late preterm infants, the prevalence of CP remained stable
during the 1980s and 1990s
Multifactorial AETILOGY
 The multifactorial etiology of CP was illustrated in a series of 213 children
diagnosed with CP in Australia, of whom 98 percent had contributing causes
other than intrapartum hypoxia [24]. The relative frequencies of different
contributing causes was as follows (many children had more than one cause)
Summary  SUMMARY
 ●The prevalence of cerebral palsy (CP) is
approximately 2 cases per 1000 children. The risk
is markedly increased among preterm infants with
low birth weight (BW). (See 'Epidemiology' above.)
 ●The etiology of CP is multifactorial. Most cases
are thought to be due to prenatal factors. The
most commonly identified prenatal risk factors for
CP are prematurity and/or low BW. Other
commonly associated factors include congenital
abnormalities, multiple pregnancy, placental
pathology, and intrauterine infection
Summary  CP develops in approximately 5 to 15 percent of
surviving very low birth weight (VLBW) infants. In
this population, CP is often associated with the
periventricular leukomalacia (PVL), intraventricular
hemorrhage (IVH), and/or bronchopulmonary
dysplasia (BPD). (See 'Prematurity' above.)
 ●Perinatal hypoxia and/or ischemia likely accounts
for only a small minority of cases of CP. (See
'Perinatal hypoxic-ischemic injury' above.)
Etilogy  Stroke in the perinatal period may cause CP and is
typically manifested as spastic hemiparesis.
Thromboembolism and prothrombotic disorders
contribute to the etiology of this disorder. (See
'Stroke' above and "Stroke in the newborn:
Classification, manifestations, and diagnosis".)
Preventive
measures
 Preventive measures to reduce the likelihood of CP
include (see 'Prevention' above):
 •Provision of routine prenatal care, including
measures to reduce the likelihood of preterm birth
(see "Prenatal care: Initial assessment" and "Prenatal
care: Second and third trimesters" and "Preterm
birth: Risk factors, interventions for risk reduction,
and maternal prognosis"
Prevention  Antenatal administration of magnesium sulfate for
women at risk for preterm delivery (see
"Neuroprotective effects of in utero exposure to
magnesium sulfate")
 •Supportive neuroprotective measures for neonates
at risk of neurologic injury (ie, preterm VLBW infants
and infants with neonatal asphyxia and/or
encephalopathy) (see "Clinical features, diagnosis,
and treatment of neonatal encephalopathy", section
on 'Supportive management')
Therapeutic
Hypothermia
 Therapeutic hypothermia for term or late preterm
infants with neonatal asphyxia and/or
encephalopathy (see "Clinical features, diagnosis,
and treatment of neonatal encephalopathy", section
on 'Therapeutic hypothermia')
References
 Illustrated Textbook of PAEDIATRICS
 Fifth Edition
 International Edition
Tom Lissauer
Will Carroll
Up To Date
Thank You

Cerebral Palsy

  • 1.
    Cerebral Palsy Senior AssociateProf. Dr Rajan Duda AIMST Dr Mariam Mahmoud Hassan, Senior Lecturer, AIMST
  • 2.
    Summary  Brief introduction:History of Cerebral Palsy  Neuroanatomy and Neurophysiology  Causes of CP  Types of CP  Physical examination of CP  Investigations of CP  Early diagnosis  Need for Early intervention
  • 3.
    Summary  Take homemessage  Interesting cases regarding CP ( Past and Present)  Post natal: Early pick up of cases as high index of suspicion No Difficulty  Term: Birth Asphyxia Cooling therapy: Need high index of suspicion  Preterm; Needs early tools to Pick up CP: HNNE and HINE Plus MRI Gross Motor associative movements plus MRI Brain /Perinatal History of High Risk  Emphasis here.  HNNE Hammersmith Neonatal examination  HINE Hammersmith infant Neonatal examination  Generalized Motor Activity / High Risk Perinatal History
  • 4.
  • 5.
    History Of CerebralPalsy  Cerebral Palsy  Little described this disorder based on observations of  muscle stiffness and limb deformity in children who had  difficult births including prematurity, prolonged labor,  breech presentations, and even nuchal umbilical cords  (118, 119). In his original manuscript, Little referred to  the symptoms as a “cerebral-spinal disorder” (118, 119)  because of postmortem evidence of brain and spinal  cord involvement
  • 6.
    History Of CerebralPalsy  In 1862, Dr. William John Little, an  orthopedic surgeon with a particular  interest in tenotomy procedures,  described children who had “congenital  distortions” of their limbs (118, 119).
  • 7.
    Little John  The“Beginnings” of Cerebral Palsy His work on Cerebral Palsy culminated in 1861 when Little attempted the first definition of Cerebral Palsy in a paper presented to the Obstetrical Society of London. In it, he stated that “abnormal forms of labor,” in which the “child has been partially suffocated,” injures the nervous system and results in spastic rigidity and sometimes paralytic contraction.
  • 8.
    Orthopedicain/Physician/Neurologist William Little John Orthopedician SirWilliam Osler Physician Sigmund Freud Neurologist
  • 9.
    Pioneers thinking Little : BirthAsphyxia as cause William Osler Gave it a Name “Cerebral Palsy” Sigmund Freud Can be caused by early fetal development defect as well Current thinking is in favor of Freud as only 10 percent is Hypoxic damage
  • 10.
    Sir William Osler: More on Proper treatment can greatly increase quality of life  The Cerebral Palsies of Children,” explores many other forms of the impairment. The book is a summation of Osler’s lectures, which present numerous case studies and highlight possible causes of impairment. Much like Little, Osler’s final conclusions indicate that proper treatment can greatly increase quality of life.
  • 11.
    Sir William Osler Sir William Osler (1849 – 1928)  Wrote first book about Cerebral Palsy and coined the name for Cerebral Palsy  Sir William Osler is regarded as one of the most notable contributors in the history of medicine. He was also one of the most significant early researchers of Cerebral Palsy and is often credited as first to use the term ‘Cerebral Palsy.’
  • 12.
    Sigmund Freud  SigmundFreud (1865-1939)  First to group a wide range of motor impairments  Dr. Sigmund Freud, a neurologist, was first to state that Cerebral Palsy might be caused by abnormal development before birth. Prior to that, orthopedic surgeon Dr. William Little had postulated that Cerebral Palsy was acquired at birth due to difficult labor. Freud disagreed, stating that difficult birth is “merely a symptom of deeper effects that influence the development of the fetus.” At the time, this conclusion was virtually ignored. It wasn’t until decades later that researchers began to support Freud’s theories.
  • 13.
    Little John/Sigmund Freudview compared  Despite this observation, researchers and doctors continued to follow Little’s conclusions.  Freud wasn’t proven correct until almost a century later when research indicated only a small percentage of Cerebral Palsy cases, approximately 10 percent, were caused by birth asphyxia.  Freud used the term :  Infantile motor impairment
  • 14.
    Timeline  1948 –The organization known today as United Cerebral Palsy Association is formed.  2002 – Centers for Disease Control and Prevention conduct first U.S. multistate study on prevalence of Cerebral Palsy.
  • 15.
  • 16.
  • 17.
    Christy Brown :Painter ,poet and author
  • 18.
  • 19.
  • 25.
    GABA is integralto the functioning of the central nervous system. It is the main inhibitory neurotransmitter of the brain and most central nervous system synapses are GABAergic. GABA works in cooperation with excitatory influences (glutamate, epinephrine, norepinephrine), as a type of braking system, to allow the brain to maintain balance
  • 26.
  • 27.
    Cerebral Palsy Definition Abnormality of movementand posture , causing activity limitation attributed to non – progressive disturbances that occurred in the developing fetal or infant brain, prenatal , natal or post natal till age of three years. The motor disorder is often accompanied by disturbance of cognition, communication , perception, sensation and behavior and seizure disorder and musculoskeletal problems.
  • 28.
    Cerebral Palsy Though non progressivethe clinical manifestations emerge over time The term is used till age of three years. After that acquired brain injury is used in diagnosis. Epidemiology Most common cause of abnormal motor impairment 2 per 1000 live births. .
  • 29.
  • 30.
    CP Antenatal 80 % ofcauses of Cerebral are antenatal in origin Congenital brain malformation Genetic susceptibility In utero stroke In vitro or use of assisted reproductive technologies Maternal fetal infection Multiple gestation Pre pregnancy obesity
  • 31.
    Natal causes10% Birth asphyxia(Hypoxic Ischemic Encephalopathy) Perinatal stroke
  • 32.
    Post natal causes 10% Preterm Intracranial bleed in preterm and PVL Low birth weight Kernicterus Neonatal seizures Neonatal convulsions Post neonatal meningitis Traumatic brain injury
  • 33.
  • 34.
    Types of Cerebral Palsy Motor Function Topographicaldistribution Gross motor classification
  • 37.
  • 39.
  • 40.
    Clinical Types This Photoby Unknown Author is licensed under CC BY-SA
  • 41.
  • 43.
  • 44.
    Gross motor classification It is best for follow up and to see the progress of the child and it is an objective tool and the aim is to get the GMC to lower class or let it not worsen. It directly correlates with quality of life.  Now a days language score are also used to determine the progress as language and motor skills are pre determinant to the quality of life as seen by the child and parent.
  • 45.
  • 46.
    Prenatal History  Prenatalhistory  The prenatal history should include information on the mother's pregnancy, such as prenatal exposure to illicit drugs, toxins, or infections; maternal diabetes; acute maternal illness; trauma; radiation exposure; prenatal care; and fetal movements  A history of early frequent spontaneous abortions, parental consanguinity, and a family history of neurologic disease (eg, hereditary neurodegenerative disease) is also important.  .
  • 47.
    Perinatal History  Perinatalhistory  The perinatal history should include the child's gestational age (ie, degree of prematurity) at birth, presentation of the child and delivery type, birth weight, Apgar score, and complications in the neonatal period (eg, intubation time, presence of intracranial hemorrhage on neonatal ultrasonogram, feeding difficulties, apnea, bradycardia, infection, and hyperbilirubinemia).
  • 48.
    Developmental history  Developmentalhistory  The child's developmental history should review his/her gross motor, fine motor, language, and social milestones from birth until the time of evaluation.  The age at which gross motor milestones are achieved in typically developing children include head control at age 2 months, rolling at age 4 months, sitting at age 6 months, and walking at age 1 year. Infants with cerebral palsy may have significantly delayed gross motor milestones or show an early hand preference when younger than 1.5 years, suggesting the relative weakness of one side (eg, reaching unilaterally).
  • 49.
    Developmental history  Thepresence of an unexplained regression would be more suggestive of a hereditary neurodegenerative disease than cerebral palsy.  Current social skills, academic performance, and participation in an early intervention program (if < 3 y) or school support (if > 3 y) should be reviewed, including resource room assistance; physical, occupational, and speech and language therapy; and adaptive physical education.
  • 50.
  • 51.
    Developmental history  Standardizedcognitive and educational testing and a current individualized education plan can be used to determine whether speech therapy, occupational therapy, and physical therapy referrals are needed, if not already in place.
  • 52.
    Physical examination ofCerebral Palsy  Physical Examination  Physical indicators of cerebral palsy include joint contractures secondary to spastic muscles, hypotonic to spastic tone, growth delay, and persistent primitive reflexes.  The initial presentation of cerebral palsy includes early hypotonia, followed by spasticity. Generally, spasticity does not manifest until at least 6 months to 1 year of life. The neurologic evaluation includes close observation and a formal neurologic examination.
  • 53.
    Physical examination ofCP  Before the formal physical examination, observation may reveal abnormal neck or truncal tone (decreased or increased, depending on age and type of cerebral palsy); asymmetric posture, strength, or gait; or abnormal coordination
  • 54.
    Physical examination ofCP  Patients with cerebral palsy may show increased reflexes, indicating the presence of an upper motor neuron lesion. This condition may also present as the persistence of primitive reflexes, such as the Moro (startle reflex) and asymmetric tonic neck reflexes (ie, fencing posture with neck turned in same direction when one arm is extended and the other is flexed).
  • 55.
  • 56.
  • 57.
  • 58.
  • 59.
    Physical examination ofCP  Symmetric tonic neck, palmar grasp, tonic labyrinthine, and foot placement reflexes are also noted. The Moro and tonic labyrinthine reflexes should extinguish by the time the infant is aged 4–6 months; the palmar grasp reflex, by 5–6 months; the asymmetric and symmetric tonic neck reflexes, by 6–7 months; and the foot placement reflex, before 12 months.
  • 60.
    Gait pattern inCP  The overall gait pattern should be observed and each joint in the lower extremity and upper extremity should be assessed, as follows:  Hip – Excessive flexion, adduction, and femoral anteversion make up the predominant motor pattern. Scissoring of the legs is common in spastic cerebral palsy.
  • 61.
    Gait pattern inCP  Knee – Flexion and extension with valgus or varus stress occur.  Foot – Equinus, or toe walking, and varus or valgus of the hindfoot is common in cerebral palsy.  Gait abnormalities may include the crouch position with tight hip flexors and hamstrings, weak quadriceps, and/or excessive dorsiflexion.
  • 62.
  • 63.
  • 64.
  • 65.
  • 66.
  • 67.
    Spastic Cerebral Palsy Spastic (pyramidal) cerebral palsy  Patients with spastic (pyramidal) cerebral palsy evidence spasticity (ie, a velocity-dependent increase in tone) and constitute 75% of patients with cerebral palsy. Patients have signs of upper motor neuron involvement, including hyperreflexia, clonus, extensor Babinski response, persistent primitive reflexes, and overflow reflexes (crossed adductor). This may be observed by the child's tendency to keep the elbow in a flexed position or the hips flexed and adducted with the knees flexed and in valgus, and the ankles in equinus, resulting in toe walking.
  • 68.
    Spastic Hemiplegia  Spastichemiplegic cerebral palsy  Hemiplegia is characterized by weak hip flexion and  ankle dorsiflexion, an overactive posterior tibialis  muscle, hip hiking/circumduction, supinated foot in  stance, upper extremity posturing (that is, often held  with the shoulder adducted, elbow flexed, forearm  pronated, wrist flexed, hand clenched in a fist with the  thumb in the palm), impaired sensation, impaired 2-  point discrimination, and/or impaired position sense.  Some cognitive impairment is found in about 28% of  these patients.
  • 69.
    Dyskinetic Cerebral Palsy Dyskinetic (extrapyramidal) cerebral palsy is  characterized by extrapyramidal movement patterns,  abnormal regulation of tone, abnormal postural control,  and coordination deficits. Abnormal movement patterns  may increase with stress, excitement, or purposeful  activity. Muscle tone is usually normal or can be  decreased during sleep.
  • 70.
  • 71.
  • 72.
  • 73.
    Spastic diplegic cerebralpalsy  Spastic diplegic cerebral palsy  Patients with spastic diplegia often have a period of hypotonia followed by extensor spasticity in the lower extremities, with little or no functional limitation of the upper extremities. Patients have a delay in developing gross motor skills. Spastic muscle imbalance often causes persistence of infantile coxa valga and femoral anteversion. Cognitive impairment is present in approximately 30% of spastic diplegic patients. Spastic diplegic cerebral palsy includes the following classic physical presentation
  • 74.
  • 75.
    Spastic diplegic cerebralpalsy  Upper motor neuron findings in the legs more than the arms  Scissoring gait pattern with hips flexed and adducted, knees flexed with valgus, and ankles in equinus, resulting in toe walking  Learning disabilities and seizures less commonly than in spastic hemiplegia
  • 76.
  • 77.
    Spastic Quadriplegic cerebralpalsy  Most patients with spastic quadriplegic cerebral palsy have some cognitive impairment and demonstrate the following classic physical presentations:  All limbs affected, either full-body hypertonia or truncal hypotonia with extremity hypertonia  Oromotor dysfunction  Increased risk of cognitive difficulties
  • 78.
    Spastic Quadriplegic CerebralPalsy  Multiple medical complications (see Complications under Prognosis)  Seizures  Legs generally affected equally or more than arms  Categorized as double hemiplegic if arms more involved than legs
  • 80.
    Differential Diagnosis  Neurodegenerativedisorders/Inborn error of metabolism/Genetic disease  Clinically based on the case
  • 81.
    Differential Diagnosis  PotentiallyHelpful Laboratory Tests  There are no definitive laboratory studies for diagnosing cerebral palsy, only studies to rule out other symptom causes, such as metabolic or genetic abnormalities, as deemed necessary based on clinical examination. Such studies may include the following:  Thyroid function studies - Abnormal thyroid function may be related to abnormalities in muscle tone or deep tendon reflexes or to movement disorders.  Lactate and pyruvate levels - Abnormalities may indicate an abnormality of energy metabolism (ie, mitochondrial cytopathy).  Ammonia levels - Elevated ammonia levels may indicate liver dysfunction or urea cycle defect.
  • 82.
    Potentially helpful tests/Investigations  Organic and amino acids - Serum quantitative amino acid and urine quantitative organic acid values may reveal inherited metabolic disorders.  Chromosomal analysis - Chromosomal analysis, including karyotype analysis, chromosomal microarray, or specific DNA testing, may be indicated to rule out a genetic syndrome, particularly if dysmorphic features or abnormalities of various organ systems are present, or etiology of the cerebral palsy is undetermined  Cerebrospinal protein - Levels may assist in determining asphyxia in the neonatal period. Protein levels can be elevated, as can the lactate-to- pyruvate ratio.
  • 83.
    Cranial Ultrasound  Cranialultrasonography performed in the early neonatal period can be helpful in medically unstable infants until they are able to tolerate transport for more detailed neuroimaging. Ultrasonography can delineate clear-cut structural abnormalities and show evidence of hemorrhage or hypoxic- ischemic injury. For example, neonatal cranial ultrasonography provides information about the ventricular system, basal ganglia, and corpus callosum, as well as diagnostic information on intraventricular hemorrhage and hypoxic- ischemic injury to the periventricular white matter. Periventricular leukomalacia initially appears as an echo-dense area that converts to an echo-lucent area when the patient is approximately age 2 weeks. Periventricular leukomalacia is strongly associated with cerebral palsy.
  • 84.
    MRI Brain  theliterature suggests that MRI should be strongly considered in all cases; in one study, 89% children with cerebral palsy were found to have abnormal MRIs. [37] Additionally, MRI may have a role in predicting neurodevelopmental outcomes in preterm infants. [38] See the following images.
  • 85.
    Normal MRI Brain Normal results from neuroimaging studies do not exclude a clinical diagnosis of this disorder. However, in these cases, other underlying metabolic and genetic etiologies should be considered and excluded before diagnosing a child with cerebral palsy.
  • 86.
    When is besttime to diagnose Cerebral Palsy  There have been calls in the literature for the earliest possible diagnosis of CP to access early diagnosis specific intervention since William Little first described CP in 1867, however currently only 21% of infants have a diagnosis under six months in Australia. An international clinical practice guideline giving clear pathways to evidence-based tools for accurate early diagnosis has been published. With coordinated international efforts aimed at decreasing the age of diagnosis, we are now in an era where this situation is likely to change. Identifying barriers to clinicians feeling confident to make an early diagnosis of CP will help to ensure we do not disadvantage children by a late diagnosis denying them CP specific early intervention opportunities aimed at optimizing future outcomes. Understanding which tools have the best evidence for the early classification of CP will best guide CP specific early interventions and help to give parents early and accurate predictive information about their child.
  • 87.
    Interesting cases andpast and present management .  Term babies with hypoxic ischemic encephalopathy  Past and present :
  • 88.
  • 89.
  • 90.
    Care in HIE STANDARD OF CARE  The aim is to cool infants with moderate or severe HIE within 6 h of birth to a body temperature between 33.5°C and 34.5°C and maintain this degree of cooling without interruption for 72 h.  This would be followed by slow re-warming over at least 4 h at a rate of 0.5°C per hour until their rectal temperature reaches the desired range (36.5- 37°C).
  • 91.
    Physiological criteria  Physiologicalcriteria  Evidence of intrapartum hypoxia, including at least two of the following:  Apgar score 5 or less at 10 min  Needing mechanical ventilation and/or ongoing resuscitation at 10 min  Metabolic or mixed acidosis defined as arterial cord gas, or any blood gas within the first hour of life showing pH of 7 or less, or base deficit of ≥12 mmol/l.
  • 92.
    Neurological criteria  Neurologicalcriteria  One of the following:  The presence of seizures is an automatic inclusion  Evidence of encephalopathy suggested by amplitude-integrated EEG (a-EEG)  Physical examination consistent with moderate to severe encephalopathy [Table 2]  Table 2
  • 93.
    Preterm  Extreme prematurity26 weeks  Extreme prematurity with Intracranial hemorrhage  Extreme prematurity with hemorrhage and periventricular leukomalacia  Congenital malformation of CNS  Early tools to detect; Present times  Brain MRI Scan / Cranial imaging  Hammersmith neonatal neurological examination  Hammersmith infant neurological examination  Gross motor associative movements
  • 94.
    Hammersmith infant neurological examination HAMMERSMITH INFANT NEUROLOGICAL EXAMINATION (v 07.07.17)  Name Date of birth  Gestational age Date of examination  Chronological age / Corrected age Head circumference  SUMMARY OF EXAMINATION  Global score (max 78)  Number of asymmetries  Behavioral score (not part of the optimality score)
  • 95.
    Hammersmith infant neurological examination Cranial nerve function score (max 15)  Posture score (max 18)  Movement's score (max 6)  Tone score (max 24)  Reflexes and reactions score (max 15)  COMMENTS  (Throughout the exam, if a response is not optimal but not poor enough to score 1, give a score of 2)
  • 96.
    Hammersmith neonatal neurological examination The Hammersmith Neonatal Neurological Examination (HNNE) is a quick, practical and easy to perform exam encompassed in 34 items assessing tone, motor patterns, observation of spontaneous movements, reflexes, visual and auditory attention and behavior. It was initially developed by Dr Lilly Dubowitz and Prof Victor Dubowitz in 1981, and updated with Dr Eugenio Mercuri, in 1998. Many studies have been performed using it in different clinical groups of full term and preterm infants at different ages within the neonatal period.
  • 97.
    Movement assessment inpreterm normal and cerebral palsy babies
  • 98.
  • 100.
    Preterm and spasticDiplegia : Why of it!
  • 104.
    Strokes in uteroor neonatal period
  • 105.
    Strokes in uteroor neonatal
  • 106.
  • 108.
    Summing up andtake-home message  The most common cause of CP is antenatal 80 % and 10% are Hypoxic Ischemic Encephalopathy and 10% are post natal .  Extreme preterm and its better survival has increased the possibility of obvious neurological damage which leads to CP or subtle neurological dysfunction which leads to CP later.  Picking up early CP in neonatal period say first few months with neonatal and neurologist collaboration would help in early detection and early intervention as the neonatal brain has neuroplasticity and it responds to early intervention well.
  • 109.
    Earlier intervention inNICU/ Neonatal and Neurologist /Occupational and Physiotherapist intervention  This is primarily done to prevent neurological damage as the neuroplasticity exists till three years of age and early intervention helps in earlier acquisition of motor milestones like sitting , standing and walking when compared to later intervention.  To pick up CP before 3-5 months for better neurological recovery.  Presently with current standard neurological examinations it is picked around 9 months which is late.
  • 110.
    How-to pick-up CP:EARLY  History  Exam  Standard Hammersmith neonatal examination  Hammersmith infant neurological examination  Brain MRI Scan to look for white matter, grey matter, ventricle, infarcts, HYG and PVL  Gross movement associative assessment by people trained in assessing movement in preterm normal and CP baby  Early intervention : Neonatologist/Pediatric Neurologist collaboration  Early sensory intervention : Better results in terms of sitting, standing and walking and cognition .
  • 111.
    How does thishelp Developing countries  Developing countries must develop collaborative services which incorporates neonatologist/ pediatric neurologist/ physical therapist, all trained in HINE and HNNE , Gross motor associative movement assessment and specialized therapist trained in early sensory intervention for both enhancing motor and cognitive benefits.  It will help the baby, child and the worrying parent and the society at large .  We owe this to the child and parent and society .
  • 112.
    Dedicated to ChristopherNoah/All children with Cerebral Palsy.  Christopher Nolan is an Irish poet who wrote wonderful poems but never delivered a single word because of their disability. Actually, he even couldn’t write without using his special computer, but still, he attended school and went to college where he developed a sense of literature with which he wrote his poems. He was diagnosed with cerebral palsy at the time of his birth and since then he suffered from the disease but didn’t let it hold him back until his death in 2009.
  • 114.
    References  References:  IllustratedTextbook Of Pediatrics  Medscape  Up to date  Google image  You tubes images
  • 115.
  • 127.
    Spastic Hemiplegic CerebralPalsy  One-sided upper motor neuron deficit  Arm generally affected more than leg; possible early  hand preference or relative weakness on one side; gait  possibly characterized by circumduction of lower  extremity on the affected side  Specific learning disabilities  Oromotor dysfunction  Possible unilateral sensory deficits  Visual-field deficits (eg, homonymous hemianopsia) and  strabismus  Seizure
  • 128.
    Dyskinetic Cerebral Palsy Intelligence is normal in 78% of  patients with athetoid cerebral palsy. A high incidence of  sensorineural hearing loss is reported. Patients often  have pseudobulbar involvement, with dysarthria,  swallowing difficulties, drooling, oromotor difficulties,  and abnormal speech patterns. Thus, the classic physical  presentations of dyskinetic cerebral palsy include the  following
  • 129.
    Dyskinetic Cerebral Palsy Early hypotonia with movement disorder emerging at age  1-3 years  Arms more affected than legs  Deep tendon reflexes usually normal to slightly increased  Some spasticity  Oromotor dysfunction  Gait difficulties  Truncal instability  Risk of deafness in those affected by kernicteru
  • 130.
    Dyskinetic Cerebral Palsy These patients with dyskinetic cerebral palsy may have decreased  head and truncal tone and defects in postural control and motor  dysfunction such as athetosis (ie, slow, writhing, involuntary  movements, particularly in the distal extremities), chorea (ie,  abrupt, irregular, jerky movements) or choreoathetosis (ie,  combination of athetosis and choreiform movements), and  dystonia (ie, slow, sometimes rhythmic movements with increased  muscle tone and abnormal postures, eg, in the jaw and upper  extremities
  • 131.
    Important Risk factorsfor CP  Prematurity and low birth weight are important risk factors for CP  In most cases of CP , the initial injury to the brain occurs during early fetal development , intracerebral hemorrhage and periventricular leukomalacia are main pathologic findings found in preterm infant who develops CP
  • 132.
  • 133.
  • 134.
  • 135.
    Early signs ofCP In a baby of 3-6 months Head falls back when picked up while lying on back. Feels stiff Feels floppy Seems to overextend back when cradled in someone arms. Legs get stiff when picked up
  • 136.
    Early signs ofCP older than 6 months Does not roll over in either direction Cannot bring hands together Had difficulty bringing hands to mouth Reaches out only with one hand while keeping the other fisted
  • 137.
    Early signs of CPin a baby more than 10 months Moves swiftly around on buttocks but does not crawl on all fours Crawls in a lop-sided manner picking off with one hand and dragging other opposite hand and leg.
  • 138.
    Persistence of primitive reflexes in CP Persistenceof primitive reflex delay typical progression of development and sequential acquisition of higher level of neuromotor skills. ATNR Moro Grasp
  • 139.
    One common example in motortypes : Cause and effect
  • 140.
  • 141.
    In Preterm Infants Brain damage form Periventricular leukomalacia secondary to ischemia and or severe intraventricular hemorrhage  Rise in survival of extremely preterm infants have been accompanied by increase in survival with cerebral palsy
  • 142.
    Early markers for CP There are several neurological examination methods available for high-risk infants used for both clinical care and research studies. The well- known methods are the Hammersmith Infant Neurological Examination (HINE) [50], the Touwen [51], the Amiel-Tison [52], the Bayley Scales of Infant and Toddler Development [53], and Dubowitz neonatal neurological examination [54].
  • 143.
    How to detectand pick up Spastic Diplegia early and sent for early intervention  In all preterm babies with or without stormy neonatal course use high index of suspicion for early CP  Clinical history  Brain MRI/Cranial Ultrasound  Hammersmith neonatal and infant neurological examination  Gross motor associative movements
  • 148.
    Gross motor associatedmovements Plus HINE plus Brain MRI
  • 149.
  • 150.
  • 152.
  • 157.
    Clinical examination  In mostclinical settings CP is most reliably recognized by 2 years of age.  Early diagnosis.  Clinical history  Use of standardized neuromotor assessment , MRI Brain and Gross Movement assessment.(HINE E)  Hammersmith neuromotor assessment  MRI Brain  Genetic tests and tests for IEM Based on clinical findings to identify specific disorders.
  • 160.
  • 161.
  • 162.
  • 164.
    Causes  10% aredue to hypoxic – ischemic injury during delivery  This proportion has remained constant over the last decade  About 10 % are post natal in origin
  • 166.
    Early markers for CP These assessment methods have a high predictive value with sensitivity and specificity of 88 and 92%, respectively, in predicting CP [14]. The use of the above neuromotor and developmental assessment is to predict impairments as early as possible and to help physician provide guidance for families about their children development and help in discriminating between normally developing infants from those with abnormal development. It also enables prognostic information on the neurological and motor outcome and when to send those infants showing early impairment for rehabilitation programs
  • 167.
    HINE For Early diagnosisof CP  The HINE is an easily performed and relatively brief standardized and scorable clinical neurological examination for infants between 2 and 24 months of age, accessible to all clinicians, with good interobserver reliability. It has no associated costs such as lengthy certifications or proprietary forms.
  • 168.
    HINE  It consistsof 26 items that assess different aspects of neurological examinations such as cranial nerves, posture, movements, tone, and reflexes [53], with a questionnaire instructions and diagrams included on the scoring sheet, similar to Dubowitz neonatal neurological examinations [54]. Each item is scored individually (0, 1, 2, or 3), with a sum score of all individual items (range 0–78), Optimality scores for infants 3 to 18 months are based on the frequency of distribution of neurological findings in a typical infant population: it is considered optimal when an item is found in at least 90% of infants [53].
  • 169.
    HINE  The sequentialuse of the HINE allows the identification of early signs of cerebral palsy and other neuromotor disorders, while individual items are predictive of motor outcomes. For example, in preterm infants assessed between 6 and 15 months of corrected age, scores above 64 predict independent walking with a walked sensitivity of 98% and specificity of 85%. Conversely, scores below 52 were highly predictive of cerebral palsy and severe motor impairments [55].
  • 170.
    General movement  Generalmovement is a part of spontaneous movement activity that is generated by the developing nervous system; it appears from the 7th week postmenstrual until 3–5 months post-term. The beginning of early fetal movement at the 7th week is correlated with the development of synapsis in the spinal cord, the emergence of neuromuscular contacts, and before the development of spinal reflex pathway at 10–11 weeks postmenstrual [22, 23
  • 171.
    General Movements  Itis characterized by a movement that involves the whole body in a variable sequence involving the arm, leg, neck, and trunk. They are complex in nature that wax, and wane vary in intensity, speed, and range of motion and have a gradual onset and end. It has been proposed that GMs consist of rhythmic bursts of action potentials [16]. GMs are generated from a large neuronal generator network that extends from the brain stem to the spinal cord [25].
  • 172.
    Post natal causes Meningitis/encephalitis, encephalopathy  Head trauma, accidental or non accidental injury  Symptomatic hypoglycemia,  Hydrocephalous  Hyperbilirubinemia
  • 173.
    Diagnosis  MRI Scanmay assist in diagnosis, but scan is not necessary all the time to make a diagnosis.
  • 174.
    Clinical presentation  Identifiedin early neonatal period at being in risk to develop cerebral palsy  Abnormal limb and or trunk posture and tone in infancy with delayed motor milestones , may be accompanied by slowing of head growth.
  • 175.
    Feeding difficulty  Feedingdifficulty with or motor incoordination , slow feeding,  Gagging, and vomiting  Abnormal gait once walking is achieved  Asymmetric hand function before 12 months of age
  • 176.
    Primitive reflexes  InCP , the primitive reflexes , which facilitate the emergence of normal patterns of movements, and which need to disappear for motor development to progress, may persist and become obligatory
  • 177.
    Clinical diagnosis  Clinicalexamination  Assessment of posture and pattern of tone in limbs and trunk  Hand function and gait  Three Clinical subtypes  Spastic 90 %  Dyskinetic 6%  Ataxic 4%  Mixed pattern may occur
  • 178.
    Spastic cerebral palsy Three main types  Hemiplegic  Quadriplegic  Diplegic
  • 179.
    Functional ability Is describedby using Gross Motor Functional Classification System Level 1 Walks without limitations Level2 Walks with limitations Level 3 Walks with handheld mobility device Level 4 Self –mobility with limitations , may use powered mobility Level 5 Transported in a manual wheelchair
  • 180.
    Dyskinetic cerebral palsy Movements which are involuntary, uncontrolled, occasionally stereotyped, and often more evident with active movements or stress.  Muscle tone is variable and primitive motor reflexes predominate
  • 181.
    Types of Dyskinetic Chorea  Athetosis  Dystonia
  • 182.
    This Photo byUnknown Author is licensed under CC BY-ND
  • 183.
    Case scenario  OnCerebral Palsy
  • 185.
    Case Scenario  HIE Hypoxic Ischemic Encephalopathy  Spastic Quadriparesis  Vacuum either to have been done by most senior Obstetrician or avoided.
  • 187.
    Preterm with IVHand PVL  Preterm with a stormy course  Had intraventricular Hemorrhage and Periventricular leukomalacia
  • 189.
    Post meningitis obstructive hydrocephalous Follow up with Pediatric Neurosurgeon  Developmental Pediatrician for growth and neurodevelopmental progression  Milestones and progressive head circumference, head circumference, three months, observe for blockage of shunt or infection of shunt.  For raised Intracranial pressure  Fundus examination six monthly
  • 191.
    Motor Vehicular accident Right sided extradural or subdural hemorrhage  CT scan and neuro surgical intervention .
  • 192.
  • 193.
    Definition  Cerebral palsy(CP) refers to a heterogeneous group of conditions involving permanent, nonprogressive motor dysfunction that affects muscle tone, posture, and/or movement. These conditions are due to abnormalities of the developing fetal or infantile brain resulting from a variety of causes. Although the disorder itself is not progressive, the clinical expression may change over time as the central nervous system (CNS) matures. The motor impairment generally results in limitations in functional abilities and activity, which can range in severity. Multiple additional symptoms often accompany the primary motor abnormalities, including altered sensation or perception, intellectual disability, communication and behavioral difficulties, seizure disorders, and musculoskeletal complications.
  • 194.
    Risk facors Risk factors — In addition to prematurity and BW, which are important risk factors for developing CP, numerous other prenatal and perinatal risk factors have been reported (table 1), though for many of these risk factors, a causal relationship has not been established [2,7-12]. Potentially modifiable prenatal factors that may contribute to CP risk include heavy maternal alcohol consumption, maternal smoking, maternal obesity, and infections during pregnancy [13-17]. CP is most often multifactorial, and multiple risk factors coexist. (
  • 195.
    Trends over time  Trendsover time — In the 1960s through 1980s, the rate of CP and the extent of disability among preterm infants increased as survival improved for the most premature [18]. During the 1980s and 1990s, there was a reversal in this trend, most likely because of improvements in perinatal care. In one study, the prevalence of CP among very low birth weight (VLBW; <1500 g) infants declined from 60.6 per 1000 live births in 1980 to 39.5 per 1000 live births in 1996 [19]. [21].
  • 196.
     This improvementoccurred despite overall increases in survival and multiple births and decreases in mean BW among this group. In another study, the prevalence of CP among preterm infants (GA 20 to 27 weeks) decreased from 155 per 1000 live births in the early 1990s (1992 to 1994) to 16 per 1000 live births in the early 2000s (2001 to 2003) [20]. This was in the setting of stable or decreasing mortality during the same time period.  Among term and late preterm infants, the prevalence of CP remained stable during the 1980s and 1990s
  • 197.
    Multifactorial AETILOGY  Themultifactorial etiology of CP was illustrated in a series of 213 children diagnosed with CP in Australia, of whom 98 percent had contributing causes other than intrapartum hypoxia [24]. The relative frequencies of different contributing causes was as follows (many children had more than one cause)
  • 198.
    Summary  SUMMARY ●The prevalence of cerebral palsy (CP) is approximately 2 cases per 1000 children. The risk is markedly increased among preterm infants with low birth weight (BW). (See 'Epidemiology' above.)  ●The etiology of CP is multifactorial. Most cases are thought to be due to prenatal factors. The most commonly identified prenatal risk factors for CP are prematurity and/or low BW. Other commonly associated factors include congenital abnormalities, multiple pregnancy, placental pathology, and intrauterine infection
  • 199.
    Summary  CPdevelops in approximately 5 to 15 percent of surviving very low birth weight (VLBW) infants. In this population, CP is often associated with the periventricular leukomalacia (PVL), intraventricular hemorrhage (IVH), and/or bronchopulmonary dysplasia (BPD). (See 'Prematurity' above.)  ●Perinatal hypoxia and/or ischemia likely accounts for only a small minority of cases of CP. (See 'Perinatal hypoxic-ischemic injury' above.)
  • 200.
    Etilogy  Strokein the perinatal period may cause CP and is typically manifested as spastic hemiparesis. Thromboembolism and prothrombotic disorders contribute to the etiology of this disorder. (See 'Stroke' above and "Stroke in the newborn: Classification, manifestations, and diagnosis".)
  • 201.
    Preventive measures  Preventive measuresto reduce the likelihood of CP include (see 'Prevention' above):  •Provision of routine prenatal care, including measures to reduce the likelihood of preterm birth (see "Prenatal care: Initial assessment" and "Prenatal care: Second and third trimesters" and "Preterm birth: Risk factors, interventions for risk reduction, and maternal prognosis"
  • 202.
    Prevention  Antenataladministration of magnesium sulfate for women at risk for preterm delivery (see "Neuroprotective effects of in utero exposure to magnesium sulfate")  •Supportive neuroprotective measures for neonates at risk of neurologic injury (ie, preterm VLBW infants and infants with neonatal asphyxia and/or encephalopathy) (see "Clinical features, diagnosis, and treatment of neonatal encephalopathy", section on 'Supportive management')
  • 203.
    Therapeutic Hypothermia  Therapeutic hypothermiafor term or late preterm infants with neonatal asphyxia and/or encephalopathy (see "Clinical features, diagnosis, and treatment of neonatal encephalopathy", section on 'Therapeutic hypothermia')
  • 204.
    References  Illustrated Textbookof PAEDIATRICS  Fifth Edition  International Edition Tom Lissauer Will Carroll Up To Date
  • 205.