Name: I.M
DOB: 10/October/2003
Age: 14 yrs 1 mth
Occupation: Student
Marital status: Single
Residence: Amman
Nationality: Jordanian
”‫اسناني‬ ‫كيف‬ ‫بكره‬ ‫انا‬
‫بعض‬ ‫على‬ ‫الفة‬ ‫العلوية‬.“
“I hate how my upper
teeth are rotated”
Medical and Dental History
Medical History: Fit and healthy
Dental History: Regular dental visits, multiple fillings
Habits: Mouth breather
 No signs of TMD (No clicking, crepitus, and
tenderness to palpation)
 Normal range of opening, lateral movement,
and no displacement.
Anteroposterior:
Class III Skeletal Pattern
Vertical Assessment:
Slightly increased lower facial
height
Transverse
R-L
 Straight facial profile.
 frontal facial proportions :
Equal medial and lateral fifths
 Interpupillary distance not equal
width of the mouth
 The nose & Chin not centered
within the central fifth
Transverse Assessment
 Frontal view
Upeer lip length : 21 mm
Lower lip length : 45 mm
Mouth is one-third of the way
between the base of the
nose and the chin
Lip tonicity and competence:
• thin upper lip.
• Normal lower lip.
• Potentially competent
unstrained lips.
1 mm
Norm. (0 +/- 2)
 Frontonasal angle: 137
(Normal 115⁰-135⁰)
 Nasolabial angle: 84
(Normal 90⁰-110⁰)
 Labiomental angle: 126
(Normal 114⁰-140)
Soft tissue pogonion to tip of
the nose
Norm. ( L lip 2mm behined the
line )
• 100% crown show when smiling.
• Slight gingival show upper right
lateral incisor.
• Smile extends to mesial of the
right first premolar to distal upper
left canine.
.
 dental midline : upper
shifted to lt 3 mm
• Buccal corridors: wide
• The smile arc: Incisal edges of upper anterior teeth are not
parallel to the upper border of the lower lip
 Golden proportion :
Visual width of lat. Inc 37 % and canine 75 %
Golden proprotion : 1 : 0.62 : 0.38 : 0.24
Hight width relationship :
Rt central width 93 %
Lt central width 94 %
Of its hight
Norm. ( width of the tooth 80% of it’s height )
 Gingival line :
Central incisor and canine
show
same gingival level
UR 2 gingival
line below central by
1mm
Dental apperance “ micro esthetic “
• Poor oral hygiene, external staining is evident on the
cervical regions of the teeth.
• Normal oral mucosa with racial pigmentation.
• Teeth Present in oral cavity;
7 6 5 4 3 2 1 1 2 3 4 5 6 7
7 6 5 4 X 2 1 1 2 3 4 5 6 7
 U-shaped lower arch
 Anterior segment:
› crowding in anterior
segment with impacted
lower right 3 and rotated
lower left 3.
› Lower midline shift to the
right 3mm.
 Buccal segment:
Rotated lower 4 and 5
bilaterally.
 U-shaped arch.
 Anterior segment:
 Instanding upper
left 2.
 Rotated upper
right 1,2, and 3.
And left 1 and 3.
 Midline is shifted
to the left 3 mm.
 Class II div 1 incisor relationship.
 Upper midline shifted to the left 3 mm.
 Lower midline shifted to right 3 mm
 Overjet = 5 mm
 Overbite = 20% incomplete.
 Molar relationship: L: Class I R: Class I
 Canine relationship: L: ¼ unit Class III
 Periodontal health:
poor oral hygiene, plaque and calculus
deposition on the canine to the molars, and
inflamed gingivae.
 Carious lower first molars.
 Anteroposterior
Canine:?
Molar: Class I
Canine : ¼ unit Class III
Molar: Class I
 Transverse
 Vertical
Reduced O.B
Upper arch
 U shaped arch form
 Dental Asymmetry
 Intermolar width: 48mm
 Intercanine width: 33 mm
Lower arch
 U shaped arch form
 Dental Asymmetry
 Intermolar width= 45 mm
 Intercanine width= ?? mm
 tanaka and jhonson
Estimated width of mandibular canine and
premolars = One half of the mesiodestal
width of the four lower inc + 10.5
C+ 8+7.5 = 25.7/2 +10.5
Width of canine = 7.85
1177.498.39.49.3897.5711U
654321123456
118.38.37.46.66.666.57.8587.511L
Anterior Bolton ratio= 77 %
(normal value: 77.2± 1.65%)
Overall Bolton ratio= 91.4 %
(normal value: 91.3± 1.91%)
Upper ArchLower Arch
-9.8 mm-14 mmCrowding
--Angulation change
-0Leveling curve of
Spee
--Inclination change
--Arch width change
--Incisors A/P change
 Grade 5.i
› Impeded eruption of teeth
due to crowding.
Variable Pre-
Treatment
Normal value
SNA 83º 81 ± 3
SNB 82º 78 ± 3
ANB 1º 3 ± 2
S-N/MX 3.5º 8 ± 3
ANB* - -
MMPA 28.8º 27 ± 3
FMPA 20˚ 28 ± 3
LFH 59% 55 ± 2
Jarabak ratio 66% 61± 2
U1/Mx 116º 109 ± 6
L1/Mn 89º 93 ± 6
IIA 132.5º 133 ± 10
Wits
Appraisal
0 mm 1 ±1.9
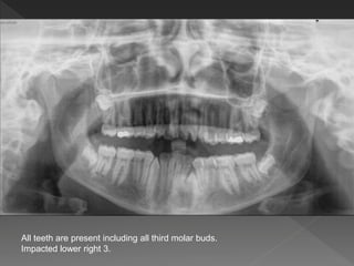
All teeth are present including all third molar buds.
Impacted lower right 3.
Clinically :
Palpation  no labial or lingual bulge
X ray : parallex techinique
SLOB  within the line of the arch
 I.M is a 14 yrs 1mo old Female, medically fit and healthy
patient, complains of “I hate how my upper teeth are rotated”
. she has a class II div 1 incisor relationship based on class
III skeletal pattern, slightly increased lower facial height,
potentially competent lips, and a straight facial profile.has
compromised smile esthetic ,complicated by impacted LR3 ,
O.J of 5 mm, reduced O.B, Molar relationship is class I on
both sides, canine relationships is ¼ unit class III on LEFT
side, upper midline shifted to LT 3mm and lower midline
shifted to RT 3mm , rotated UR 1,2 UL 1 3, palatally
instanding UL2 , Rotated LL3 LR 4 5 , severely crowded
upper and lower arch
PATHOLOGICAL PROBLEM
 Carious LL6 .
 Poor oral hygiene
 Gingivitis with plaque accumulation.
 Yellow discoloration on upper anterior teeth
SOFT TISSUE : Potentially competent lip
DEVELOPMENTAL PROBLEM :
 Patient’s chief complaint; “I hate how my upper teeth are rotated”
 smile esthetic : compromised smile
 Aligment and symmetry :
¼ class III canine relation on lt side
Severe Lower arch crowding.
Severe upper arch crowding.
Rotated lower right 4 5 and left 3 .
Rotated upper right 1 2 and left 1 3
Palatally instanding ul 2
Impacted LR3
 Skeletal and dental problems in transverse plane :
Lower midline shifted to rt 3mm and upper midline shifted to left by 3 mm
 Skeletal and dental problem in A-P plane
Straight profile
o.J 5 mm
Skeletal and dental problem in vertical plane
Slightly increased LFH
Reduced O.B
 Treat carious LL6.
 achieve optimal oral health through appropriate calculus removal and plaque control
as well as motivation.
 Accept Mild Asymmetry
 Improve smile esthetics
 Correct crowded lower and upper arches
 Correct rotated teeth
 Preserve CL I molar relationships
 Achieve CL I incisor relationship
 Correct canine relationships
 Correct midline shift
 open space of impacted LR3
 Achieve 2 mm O.J
 Achieve normal O.B
 Finishing and detailing the occlusion
 Retain correct result
( Extraction case)
1. OHI.
2. Treatment of carious teeth.
3. Refer to conservative department for LL6 .
4. Refer to ENT clinic to manage mouth breathing
5. Upper & lower fixed appliance (Roth.0 22)
6. Anchorage : upper  nance + lower  LLA
7. Extraction of upper and lower first premolars
8. CSF
9. Retention.
 short term :
Modified Upper and lower hawley retainer
 long term :
Upper and lower permenant retainer from 3-3 (
braided steel wire )
• OHI & referal to perio & cons clinic:
Obvious plaque deposition and carious tooth
 Fixed Appliance
 Alignment of teeth
 Bodily movement
 Upper and lower arch coordination
 Anchorage
 anchorage required for the retraction of upper and lower canines and
achieving cl 1 canine relationships and preserving class 1 relationship
 Retention (Lower fixed retainer )
 Lower fixed retainer: prevent late anterior mandibular crowding
 Upper fixed and CSF to reduce postretention relapse of derotated teeth.
DENTAL:
CRITERIA VALUE NORMAL VALUE PRO/CON
EXTRACTOION
Tooth size- arch length Upper :9.8 mm
Lower: 14
8-11 mm crowding PRO
Curve of Spee L:0 mm, R:0 mm More than 6 severe CON
Bolton discrepancy 90.4% Normal 91.3 % CON
Peck & Peck L1:100%
L2: 83%
L1:88-92 (if less
extract)
L2: 90-95 (if less
extract)
CON
PRO
Irregularity index 2 mm X>6.5 mm extract CON
Incisor-Man. Plane angle 89˚ 85˚-95˚ CON
Frankfurt-Man. Incisal
angle
73 60˚-75˚ CON
Upper incisor to NA 30˚ 4mm anterior, (22-25) PRO
Lower incisor to NB 28˚ 4 mm anterior ( 22-25) PRO
Lower incisor to A-pog 1.5 1-3 mm anterior to it CON
OTHER FACTORS
CRITERIA VALUE PRO/CON EXTRACTION
GROWTH Non-Growing patient PRO
MIDLINE Uncoincident PRO
PATIENT PEREFERENCE Indifferent -
 Full records
 Separators on upper and lower 6’s
 Band selection on upper and lower 6’s
 Impression of nance And LLA
 Cementation of the nance and lower lingual
arch
 direct bonding of the brackets
 Invert upper left 2 bracket
 Referral for extraction upper and lower first
premolars. (first extract upper RT 1st
premolar to correct upper midline and LL4
to correct lower midline then extract UL 4
AND LR4 )
 start alignment and leveling of the whole
arch using 0.012 NiTi through 0.017*0.025
NiTi archwires.
 Space closure at working AW 19*25 ss
 Upper and lower TMA archwires for finishing
and settling.
 Debonding
 Impression for retainer
 Upper and lower bonded retainers from 3-3
case Presentation - Dr Sara maaitah

case Presentation - Dr Sara maaitah

  • 2.
    Name: I.M DOB: 10/October/2003 Age:14 yrs 1 mth Occupation: Student Marital status: Single Residence: Amman Nationality: Jordanian
  • 3.
    ”‫اسناني‬ ‫كيف‬ ‫بكره‬‫انا‬ ‫بعض‬ ‫على‬ ‫الفة‬ ‫العلوية‬.“ “I hate how my upper teeth are rotated”
  • 4.
    Medical and DentalHistory Medical History: Fit and healthy Dental History: Regular dental visits, multiple fillings Habits: Mouth breather
  • 5.
     No signsof TMD (No clicking, crepitus, and tenderness to palpation)  Normal range of opening, lateral movement, and no displacement.
  • 7.
  • 8.
  • 9.
  • 10.
  • 11.
     frontal facialproportions : Equal medial and lateral fifths  Interpupillary distance not equal width of the mouth  The nose & Chin not centered within the central fifth Transverse Assessment
  • 12.
     Frontal view Upeerlip length : 21 mm Lower lip length : 45 mm Mouth is one-third of the way between the base of the nose and the chin
  • 13.
    Lip tonicity andcompetence: • thin upper lip. • Normal lower lip. • Potentially competent unstrained lips.
  • 14.
  • 15.
     Frontonasal angle:137 (Normal 115⁰-135⁰)  Nasolabial angle: 84 (Normal 90⁰-110⁰)  Labiomental angle: 126 (Normal 114⁰-140)
  • 16.
    Soft tissue pogonionto tip of the nose Norm. ( L lip 2mm behined the line )
  • 17.
    • 100% crownshow when smiling. • Slight gingival show upper right lateral incisor. • Smile extends to mesial of the right first premolar to distal upper left canine. .
  • 18.
     dental midline: upper shifted to lt 3 mm
  • 19.
    • Buccal corridors:wide • The smile arc: Incisal edges of upper anterior teeth are not parallel to the upper border of the lower lip
  • 20.
     Golden proportion: Visual width of lat. Inc 37 % and canine 75 % Golden proprotion : 1 : 0.62 : 0.38 : 0.24
  • 21.
    Hight width relationship: Rt central width 93 % Lt central width 94 % Of its hight Norm. ( width of the tooth 80% of it’s height )
  • 22.
     Gingival line: Central incisor and canine show same gingival level UR 2 gingival line below central by 1mm Dental apperance “ micro esthetic “
  • 25.
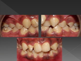
    • Poor oralhygiene, external staining is evident on the cervical regions of the teeth. • Normal oral mucosa with racial pigmentation. • Teeth Present in oral cavity; 7 6 5 4 3 2 1 1 2 3 4 5 6 7 7 6 5 4 X 2 1 1 2 3 4 5 6 7
  • 26.
     U-shaped lowerarch  Anterior segment: › crowding in anterior segment with impacted lower right 3 and rotated lower left 3. › Lower midline shift to the right 3mm.  Buccal segment: Rotated lower 4 and 5 bilaterally.
  • 27.
     U-shaped arch. Anterior segment:  Instanding upper left 2.  Rotated upper right 1,2, and 3. And left 1 and 3.  Midline is shifted to the left 3 mm.
  • 28.
     Class IIdiv 1 incisor relationship.  Upper midline shifted to the left 3 mm.  Lower midline shifted to right 3 mm  Overjet = 5 mm  Overbite = 20% incomplete.
  • 29.
     Molar relationship:L: Class I R: Class I  Canine relationship: L: ¼ unit Class III
  • 30.
     Periodontal health: poororal hygiene, plaque and calculus deposition on the canine to the molars, and inflamed gingivae.  Carious lower first molars.
  • 32.
     Anteroposterior Canine:? Molar: ClassI Canine : ¼ unit Class III Molar: Class I
  • 33.
  • 34.
  • 35.
    Upper arch  Ushaped arch form  Dental Asymmetry  Intermolar width: 48mm  Intercanine width: 33 mm
  • 36.
    Lower arch  Ushaped arch form  Dental Asymmetry  Intermolar width= 45 mm  Intercanine width= ?? mm
  • 38.
     tanaka andjhonson Estimated width of mandibular canine and premolars = One half of the mesiodestal width of the four lower inc + 10.5 C+ 8+7.5 = 25.7/2 +10.5 Width of canine = 7.85
  • 39.
    1177.498.39.49.3897.5711U 654321123456 118.38.37.46.66.666.57.8587.511L Anterior Bolton ratio=77 % (normal value: 77.2± 1.65%) Overall Bolton ratio= 91.4 % (normal value: 91.3± 1.91%)
  • 42.
    Upper ArchLower Arch -9.8mm-14 mmCrowding --Angulation change -0Leveling curve of Spee --Inclination change --Arch width change --Incisors A/P change
  • 43.
     Grade 5.i ›Impeded eruption of teeth due to crowding.
  • 46.
    Variable Pre- Treatment Normal value SNA83º 81 ± 3 SNB 82º 78 ± 3 ANB 1º 3 ± 2 S-N/MX 3.5º 8 ± 3 ANB* - - MMPA 28.8º 27 ± 3 FMPA 20˚ 28 ± 3 LFH 59% 55 ± 2 Jarabak ratio 66% 61± 2 U1/Mx 116º 109 ± 6 L1/Mn 89º 93 ± 6 IIA 132.5º 133 ± 10 Wits Appraisal 0 mm 1 ±1.9
  • 48.
    All teeth arepresent including all third molar buds. Impacted lower right 3.
  • 49.
    Clinically : Palpation no labial or lingual bulge X ray : parallex techinique SLOB  within the line of the arch
  • 50.
     I.M isa 14 yrs 1mo old Female, medically fit and healthy patient, complains of “I hate how my upper teeth are rotated” . she has a class II div 1 incisor relationship based on class III skeletal pattern, slightly increased lower facial height, potentially competent lips, and a straight facial profile.has compromised smile esthetic ,complicated by impacted LR3 , O.J of 5 mm, reduced O.B, Molar relationship is class I on both sides, canine relationships is ¼ unit class III on LEFT side, upper midline shifted to LT 3mm and lower midline shifted to RT 3mm , rotated UR 1,2 UL 1 3, palatally instanding UL2 , Rotated LL3 LR 4 5 , severely crowded upper and lower arch
  • 51.
    PATHOLOGICAL PROBLEM  CariousLL6 .  Poor oral hygiene  Gingivitis with plaque accumulation.  Yellow discoloration on upper anterior teeth SOFT TISSUE : Potentially competent lip DEVELOPMENTAL PROBLEM :  Patient’s chief complaint; “I hate how my upper teeth are rotated”  smile esthetic : compromised smile  Aligment and symmetry : ¼ class III canine relation on lt side Severe Lower arch crowding. Severe upper arch crowding. Rotated lower right 4 5 and left 3 . Rotated upper right 1 2 and left 1 3 Palatally instanding ul 2 Impacted LR3
  • 52.
     Skeletal anddental problems in transverse plane : Lower midline shifted to rt 3mm and upper midline shifted to left by 3 mm  Skeletal and dental problem in A-P plane Straight profile o.J 5 mm Skeletal and dental problem in vertical plane Slightly increased LFH Reduced O.B
  • 53.
     Treat cariousLL6.  achieve optimal oral health through appropriate calculus removal and plaque control as well as motivation.  Accept Mild Asymmetry  Improve smile esthetics  Correct crowded lower and upper arches  Correct rotated teeth  Preserve CL I molar relationships  Achieve CL I incisor relationship  Correct canine relationships  Correct midline shift  open space of impacted LR3  Achieve 2 mm O.J  Achieve normal O.B  Finishing and detailing the occlusion  Retain correct result
  • 54.
    ( Extraction case) 1.OHI. 2. Treatment of carious teeth. 3. Refer to conservative department for LL6 . 4. Refer to ENT clinic to manage mouth breathing 5. Upper & lower fixed appliance (Roth.0 22) 6. Anchorage : upper  nance + lower  LLA 7. Extraction of upper and lower first premolars 8. CSF 9. Retention.
  • 55.
     short term: Modified Upper and lower hawley retainer  long term : Upper and lower permenant retainer from 3-3 ( braided steel wire )
  • 56.
    • OHI &referal to perio & cons clinic: Obvious plaque deposition and carious tooth  Fixed Appliance  Alignment of teeth  Bodily movement  Upper and lower arch coordination  Anchorage  anchorage required for the retraction of upper and lower canines and achieving cl 1 canine relationships and preserving class 1 relationship  Retention (Lower fixed retainer )  Lower fixed retainer: prevent late anterior mandibular crowding  Upper fixed and CSF to reduce postretention relapse of derotated teeth.
  • 57.
    DENTAL: CRITERIA VALUE NORMALVALUE PRO/CON EXTRACTOION Tooth size- arch length Upper :9.8 mm Lower: 14 8-11 mm crowding PRO Curve of Spee L:0 mm, R:0 mm More than 6 severe CON Bolton discrepancy 90.4% Normal 91.3 % CON Peck & Peck L1:100% L2: 83% L1:88-92 (if less extract) L2: 90-95 (if less extract) CON PRO Irregularity index 2 mm X>6.5 mm extract CON Incisor-Man. Plane angle 89˚ 85˚-95˚ CON Frankfurt-Man. Incisal angle 73 60˚-75˚ CON Upper incisor to NA 30˚ 4mm anterior, (22-25) PRO Lower incisor to NB 28˚ 4 mm anterior ( 22-25) PRO Lower incisor to A-pog 1.5 1-3 mm anterior to it CON
  • 58.
    OTHER FACTORS CRITERIA VALUEPRO/CON EXTRACTION GROWTH Non-Growing patient PRO MIDLINE Uncoincident PRO PATIENT PEREFERENCE Indifferent -
  • 59.
     Full records Separators on upper and lower 6’s  Band selection on upper and lower 6’s  Impression of nance And LLA  Cementation of the nance and lower lingual arch  direct bonding of the brackets  Invert upper left 2 bracket
  • 60.
     Referral forextraction upper and lower first premolars. (first extract upper RT 1st premolar to correct upper midline and LL4 to correct lower midline then extract UL 4 AND LR4 )  start alignment and leveling of the whole arch using 0.012 NiTi through 0.017*0.025 NiTi archwires.  Space closure at working AW 19*25 ss
  • 61.
     Upper andlower TMA archwires for finishing and settling.  Debonding  Impression for retainer  Upper and lower bonded retainers from 3-3

Editor's Notes

  • #40 Maxillary incisors are smaller than normal Total upper 90.4 Total lower 89 Anterior upper : 41.3 Anterior lower 37 Means lower > upper Or upper < lower Ya3ni mandible bigger than maxilla or maxilla smaller than mandible