Done by : Dr. Luma Najada – 2nd yearresident.
Supervised by: Dr. Ahmad Tarawneh
Dr. Jumana Tbaishat
Dr. Bashar momani
Dr. Anwar Rahamneh
Name: Hala mohammad
Age: 14.5 yearsold
Occupation: student
Marital status: single
Residence: Al-salt
Nationality: Jordanian
Medical History: denied any medical problems.
Dental History: routine dental procedures.
Habits: none.
“my upper teeth are
malaligned”.
Pointing at her upper
canines.
85
80
5
7.1
3
25
55
67
Variable Pre-
Treatment
Normal value
SNA º 81 ± 3
SNB º 78 ± 3
ANB 3 ± 2
S-N/MX º 8 ± 3
ANB* -
MMPA 24.4 27 ± 3
FMA 28 ± 3
LFH % 55 ± 2
Jarabak ratio % 61± 2
U1/Mx 99.7º 109 ± 6
L1/Mn 88.3º 93 ± 6
IIA 139º 133 ± 10
Wits
Appraisal
2.5 mm 1 ±1.9 F
Anteroposterior:
convex profile
Vertical Assessment:
decreased LFH
Transverse:
Mild Asymmetrical
face.
nose is deviated
to the right
Lip tonicity and competence:
• Thin strained upper lip
• normal lower lip
• High lower lip line
• competent lips
Convex facial profile
 Frontonasal angle: 122⁰
(Normal 115⁰-135⁰)
 Nasolabial angle:84.5 ⁰
(Normal 90⁰-110⁰)
 Labiomental angle:114 ⁰
(Normal 114⁰-140 ⁰)
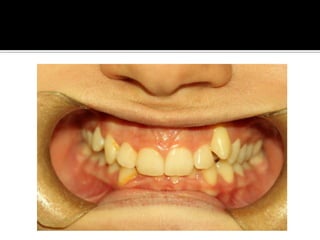
•100% incisal show when smiling
• no gingival show
•Smile extends from ur4 to to ul5
• Buccal corridors: average
• The smile arc: the contour
of the incisal edges of the
maxillary anterior teeth
does’nt match the curvature of
the lower lip.
• Fair oral hygiene
•Teeth Present in oral cavity (permenant dentition)
7 6 5 4 3 2 1 1 2 3 4 5 6 7
7 6 5 4 3 2 1 1 2 3 4 5 6 7
U-shaped lower arch
Anterior segment:
 moderate crowding in anterior
segment
 Rotated LR3, LL3.
 Retroclined lower incisors.
Buccal segment:
 Lingually inclined
u-shaped arch.
Anterior segment:
 retroclined upper
incisors
 Moderate crowding
 Buccally erupted UL3.
 Rotated UR3
Buccal segment :
Rotated UL6
Periodontal health:
fair oral hygiene.
Carious : none
fillings :
6
Impacted upper and lower 8’s.
Class II div. 2 incisor relationship
Midlines : lower midline is deviated to the
right by 2mm
Overjet = 2 mm
Overbite = Deep 90 % complete to tooth.
Molar relationship: L: ¾ Class II
Canine relationship: L: ½ class II
R: Class I
R: Class I
Anteroposterior
Canine: Class I
Molar: Class I
Canine : ½ Class II
Molar: ¾ Class II
Transverse
Midlines deviated
Vertical
O.B= deep bite complete to tooth
Right side: 2mm Left side: 2mm
Upper arch
u shaped arch form
Dental Asymmetry
Intermolar width: 45 mm
(normal : 44.3 mm)
Intercanine width: 38 mm
(normal: 31.3)
Lower arch
U shaped arch form
Dental Symmetry
Intermolar width : 41 mm
(normal: 41.1 mm )
Intercanine width : 26 mm
(normal: 24.4 mm)
Anterior Bolton ratio= 36/46*100%= 80%
(normal value: 77.2± 1.65%)
Overall Bolton ratio= 87/88.5*100%=
91.5%
U 10.3 6.7 6.6 7.8 6.5 8 8 6.5 7.8 6.6 6.
7
10.3
6 5 4 3 2 1 1 2 3 4 5 6
L 10.4 6.7 6.7 6.6 5.8 5.7 5.7 5.8 6.6 6.7
6.7
10.4
Lower Arch Upper Arch
Crowding/Spacing -7mm -5 mm
Angulation change - -
Leveling curve of
Spee
-2
Inclination change +1.5 +2
Arch width change
Incisors A/P change - -
total -7.5 -3
s
Grade 3 d
contact point
Displacement greater than 2 les
than 4
Grade 3
85
80
5
7.1
3
25
55
67
Variable Pre-
Treatment
Normal value
SNA º 81 ± 3
SNB º 78 ± 3
ANB 3 ± 2
S-N/MX º 8 ± 3
ANB* -
MMPA 24.4 27 ± 3
FMA 28 ± 3
LFH % 55 ± 2
Jarabak ratio % 61± 2
U1/Mx 99.7º 109 ± 6
L1/Mn 88.3º 93 ± 6
IIA 139º 133 ± 10
Wits
Appraisal
2.5 mm 1 ±1.9 F
All teeth are present
H.M is a 14.5 years old female, medicaly fit, with history of
routine dental check up, filling LR6. Presented complaining
of “ my upper teeth are malaligned “ . she has class II/II
incisor relationship based on class II skeletal pattern,slightly
decreased LFH, she has asymmetrical face with nose
deviated to the right side with compromised smile esthetics.
O.J of 2 mm, deep complete O.B to tooth. complicated lower
midline deviated to the right by 2 mm , moderate crowded
lower arch (localized anteriorly), moderate crowding in the
upper arch. Upper right 4 in scissor bite, molar on left side is
¾ class II , Canine on left side is ½ class II,.
Pathological problems :
1. poor oral hygiene
Developmental problems :
Patients’s concern : the malaligned
upper teeth.
Alignment and symmerty:
Asymmetric lower arch with 7mm crowding.
lingually inclined lower molars.
rotated LR3, LL3.
Retroclined lower incisor
Asymmetric upper arch with 5 mm crowding
retroclined upper incisors
UR4 scissor bite
rotated UL6,UR3 UL3
Skeletal and dental problems in transverse plane:
Asymmetric skeletal
upper midline deviated to the right by 2mm
lower midline deviated to the right by 2 mm
Skeletal and dental problems in A-Pplane:
Mild class 2 skeletal base (retrognatheic mandible)
insicor class 2 div 2
left Molar: Class II ¾
left Canine : Class II ½
Skeletal and dental problems in vertical plane:
slightly decreased LFH
increased complete OB
Soft tissue problems :
high lower lip line
obtuse nasolabial angle
Improve OH
Improve her smile by creating more normal gingival relationships , and smile
symmetry
Relief crowding in upper and lower arches , and level and align the arches
Correct rotated teeth
Corret retroclination of upper and lower teeth
Correct bolton discrepancy
Correct upper and lower midline shift
Correct scissor bite on upper right 4.
Accept class 2 skeletal base
Correct lower facial height.
Accept Asyymetrical face.
Achieve 2mm OJ
Achieve class I molar and class I canine relationship
Achieve class 1 incisor relationship
Achieve normal OB- correct edge-centroid relationship
Finishing and detailing of occlusion.
Retain corrected results
(Camouflage, non- extraction case)
1. OHI.
2. Modified Pendulum appliance with ABP -
unilateral distalization.
3. Anchorage- Nance.
4. Lower and Upper fixed appliance
5. Consider stripping in lower ant. Teeth to
provide space
6. Retention.
Short term:
Upper and lower hawley (full time wear
for 6 months, night time wear for another
6 months).
Long term :
Upper and lower permenant retainers from
3-3
 Camouflage:
 Skeletal is mild class 2 .
 Chief complain is mainly related to malaligned teeth.
 Nongrower patient.
Non –extraction:
- mild class 2 skeletal
- decreased lower facial height (deep bite)
- obtuse nasolabial angle
- Moderate crowding in the lower arch provided by IPS and
proclination of lower incisors and by uprightinng of the lingually tipped lower
buccal segment.
-Moderate crowding in upper arch. space can be gained by molar
distalization, proclination of upper incisors, and correction of rotated teeth.
 Fixed Appliance
 Alignment of teeth
 Bodily movement
 Upper and lower arch coordination
 Upper roth : normal torque values needed
Modified Pendulum appliance with ABP
-unilateral distalization.
-decreased LAFH -Deep overbite.
-Class II ½ unit molar relationship.
-moderate crowding in the upper arch.
-Retroclined upper incisors.
- To disocclude the teeth
Nance
-to preserve cl I molar relationship
Lower stripping :
-to gain space in lower arch
- correct Bolton dixcrepancy.
Retention ( Upper and Lower fixed retainer ),
Upper fixed retainer: presence of rotated teeth
Lower fixed retainer: prevent late anterior mandibular crowding
rotation
1. Full records.
2. Separators around 6’s , lower 7’s.
3. Bands selection on 6’s , lower 7’s.
4. Cementation of bands
5. Impression for pendulum.
6. Insertion and activation of pendulum with direct bonding on lower
arch .
7. Bracket positioning of lower anterior teeth more incisally, invert
bracket on LR3
8. Start with 0.016 NiTi, 0.016*0.022 . Asymmetric lacing form day one
on the lower left side to correct midline deviation.
9. Remove pendulum with impression for nance- at the same day.
10. direct bonding of upper arch, invert bracket UL3, asymmetric
lacing from day one on upper left side.
11. Aligning by 0.016 NiTi, 0.016*0.022 NiTi
12. Interdental stripping on lower anterior teeth with Working arch wire
0.019*0.025 SS on upper and lower arch.
12. Finishing and detailing
TMA wire .021* .025
Settling by posterior elastics using light wires
13 . Debonding :
Impression for retainers
Short term: modified Hawley
Long term upper , lower permanent
Luma sem-171022105354

Luma sem-171022105354

  • 1.
    Done by :Dr. Luma Najada – 2nd yearresident. Supervised by: Dr. Ahmad Tarawneh Dr. Jumana Tbaishat Dr. Bashar momani Dr. Anwar Rahamneh
  • 2.
    Name: Hala mohammad Age:14.5 yearsold Occupation: student Marital status: single Residence: Al-salt Nationality: Jordanian
  • 3.
    Medical History: deniedany medical problems. Dental History: routine dental procedures. Habits: none.
  • 4.
    “my upper teethare malaligned”. Pointing at her upper canines.
  • 11.
    85 80 5 7.1 3 25 55 67 Variable Pre- Treatment Normal value SNAº 81 ± 3 SNB º 78 ± 3 ANB 3 ± 2 S-N/MX º 8 ± 3 ANB* - MMPA 24.4 27 ± 3 FMA 28 ± 3 LFH % 55 ± 2 Jarabak ratio % 61± 2 U1/Mx 99.7º 109 ± 6 L1/Mn 88.3º 93 ± 6 IIA 139º 133 ± 10 Wits Appraisal 2.5 mm 1 ±1.9 F
  • 12.
  • 13.
  • 14.
  • 15.
    Lip tonicity andcompetence: • Thin strained upper lip • normal lower lip • High lower lip line • competent lips
  • 16.
  • 17.
     Frontonasal angle:122⁰ (Normal 115⁰-135⁰)  Nasolabial angle:84.5 ⁰ (Normal 90⁰-110⁰)  Labiomental angle:114 ⁰ (Normal 114⁰-140 ⁰)
  • 18.
    •100% incisal showwhen smiling • no gingival show •Smile extends from ur4 to to ul5
  • 19.
    • Buccal corridors:average • The smile arc: the contour of the incisal edges of the maxillary anterior teeth does’nt match the curvature of the lower lip.
  • 22.
    • Fair oralhygiene •Teeth Present in oral cavity (permenant dentition) 7 6 5 4 3 2 1 1 2 3 4 5 6 7 7 6 5 4 3 2 1 1 2 3 4 5 6 7
  • 23.
    U-shaped lower arch Anteriorsegment:  moderate crowding in anterior segment  Rotated LR3, LL3.  Retroclined lower incisors. Buccal segment:  Lingually inclined
  • 24.
    u-shaped arch. Anterior segment: retroclined upper incisors  Moderate crowding  Buccally erupted UL3.  Rotated UR3 Buccal segment : Rotated UL6
  • 25.
    Periodontal health: fair oralhygiene. Carious : none fillings : 6
  • 26.
    Impacted upper andlower 8’s.
  • 27.
    Class II div.2 incisor relationship Midlines : lower midline is deviated to the right by 2mm Overjet = 2 mm Overbite = Deep 90 % complete to tooth.
  • 28.
    Molar relationship: L:¾ Class II Canine relationship: L: ½ class II R: Class I R: Class I
  • 30.
    Anteroposterior Canine: Class I Molar:Class I Canine : ½ Class II Molar: ¾ Class II
  • 31.
  • 32.
    Vertical O.B= deep bitecomplete to tooth
  • 33.
    Right side: 2mmLeft side: 2mm
  • 34.
    Upper arch u shapedarch form Dental Asymmetry Intermolar width: 45 mm (normal : 44.3 mm) Intercanine width: 38 mm (normal: 31.3)
  • 35.
    Lower arch U shapedarch form Dental Symmetry Intermolar width : 41 mm (normal: 41.1 mm ) Intercanine width : 26 mm (normal: 24.4 mm)
  • 36.
    Anterior Bolton ratio=36/46*100%= 80% (normal value: 77.2± 1.65%) Overall Bolton ratio= 87/88.5*100%= 91.5% U 10.3 6.7 6.6 7.8 6.5 8 8 6.5 7.8 6.6 6. 7 10.3 6 5 4 3 2 1 1 2 3 4 5 6 L 10.4 6.7 6.7 6.6 5.8 5.7 5.7 5.8 6.6 6.7 6.7 10.4
  • 37.
    Lower Arch UpperArch Crowding/Spacing -7mm -5 mm Angulation change - - Leveling curve of Spee -2 Inclination change +1.5 +2 Arch width change Incisors A/P change - - total -7.5 -3
  • 38.
    s Grade 3 d contactpoint Displacement greater than 2 les than 4
  • 39.
  • 41.
    85 80 5 7.1 3 25 55 67 Variable Pre- Treatment Normal value SNAº 81 ± 3 SNB º 78 ± 3 ANB 3 ± 2 S-N/MX º 8 ± 3 ANB* - MMPA 24.4 27 ± 3 FMA 28 ± 3 LFH % 55 ± 2 Jarabak ratio % 61± 2 U1/Mx 99.7º 109 ± 6 L1/Mn 88.3º 93 ± 6 IIA 139º 133 ± 10 Wits Appraisal 2.5 mm 1 ±1.9 F
  • 43.
  • 44.
    H.M is a14.5 years old female, medicaly fit, with history of routine dental check up, filling LR6. Presented complaining of “ my upper teeth are malaligned “ . she has class II/II incisor relationship based on class II skeletal pattern,slightly decreased LFH, she has asymmetrical face with nose deviated to the right side with compromised smile esthetics. O.J of 2 mm, deep complete O.B to tooth. complicated lower midline deviated to the right by 2 mm , moderate crowded lower arch (localized anteriorly), moderate crowding in the upper arch. Upper right 4 in scissor bite, molar on left side is ¾ class II , Canine on left side is ½ class II,.
  • 45.
    Pathological problems : 1.poor oral hygiene Developmental problems : Patients’s concern : the malaligned upper teeth. Alignment and symmerty: Asymmetric lower arch with 7mm crowding. lingually inclined lower molars. rotated LR3, LL3. Retroclined lower incisor Asymmetric upper arch with 5 mm crowding retroclined upper incisors UR4 scissor bite rotated UL6,UR3 UL3 Skeletal and dental problems in transverse plane: Asymmetric skeletal upper midline deviated to the right by 2mm lower midline deviated to the right by 2 mm
  • 46.
    Skeletal and dentalproblems in A-Pplane: Mild class 2 skeletal base (retrognatheic mandible) insicor class 2 div 2 left Molar: Class II ¾ left Canine : Class II ½ Skeletal and dental problems in vertical plane: slightly decreased LFH increased complete OB Soft tissue problems : high lower lip line obtuse nasolabial angle
  • 47.
    Improve OH Improve hersmile by creating more normal gingival relationships , and smile symmetry Relief crowding in upper and lower arches , and level and align the arches Correct rotated teeth Corret retroclination of upper and lower teeth Correct bolton discrepancy Correct upper and lower midline shift Correct scissor bite on upper right 4. Accept class 2 skeletal base Correct lower facial height. Accept Asyymetrical face. Achieve 2mm OJ Achieve class I molar and class I canine relationship Achieve class 1 incisor relationship Achieve normal OB- correct edge-centroid relationship Finishing and detailing of occlusion. Retain corrected results
  • 48.
    (Camouflage, non- extractioncase) 1. OHI. 2. Modified Pendulum appliance with ABP - unilateral distalization. 3. Anchorage- Nance. 4. Lower and Upper fixed appliance 5. Consider stripping in lower ant. Teeth to provide space 6. Retention.
  • 49.
    Short term: Upper andlower hawley (full time wear for 6 months, night time wear for another 6 months). Long term : Upper and lower permenant retainers from 3-3
  • 50.
     Camouflage:  Skeletalis mild class 2 .  Chief complain is mainly related to malaligned teeth.  Nongrower patient. Non –extraction: - mild class 2 skeletal - decreased lower facial height (deep bite) - obtuse nasolabial angle - Moderate crowding in the lower arch provided by IPS and proclination of lower incisors and by uprightinng of the lingually tipped lower buccal segment. -Moderate crowding in upper arch. space can be gained by molar distalization, proclination of upper incisors, and correction of rotated teeth.  Fixed Appliance  Alignment of teeth  Bodily movement  Upper and lower arch coordination  Upper roth : normal torque values needed
  • 51.
    Modified Pendulum appliancewith ABP -unilateral distalization. -decreased LAFH -Deep overbite. -Class II ½ unit molar relationship. -moderate crowding in the upper arch. -Retroclined upper incisors. - To disocclude the teeth Nance -to preserve cl I molar relationship Lower stripping : -to gain space in lower arch - correct Bolton dixcrepancy. Retention ( Upper and Lower fixed retainer ), Upper fixed retainer: presence of rotated teeth Lower fixed retainer: prevent late anterior mandibular crowding rotation
  • 52.
    1. Full records. 2.Separators around 6’s , lower 7’s. 3. Bands selection on 6’s , lower 7’s. 4. Cementation of bands 5. Impression for pendulum. 6. Insertion and activation of pendulum with direct bonding on lower arch . 7. Bracket positioning of lower anterior teeth more incisally, invert bracket on LR3 8. Start with 0.016 NiTi, 0.016*0.022 . Asymmetric lacing form day one on the lower left side to correct midline deviation. 9. Remove pendulum with impression for nance- at the same day. 10. direct bonding of upper arch, invert bracket UL3, asymmetric lacing from day one on upper left side. 11. Aligning by 0.016 NiTi, 0.016*0.022 NiTi 12. Interdental stripping on lower anterior teeth with Working arch wire 0.019*0.025 SS on upper and lower arch.
  • 53.
    12. Finishing anddetailing TMA wire .021* .025 Settling by posterior elastics using light wires 13 . Debonding : Impression for retainers Short term: modified Hawley Long term upper , lower permanent