Dr. Halim Danusantoso, Sp.P
Definisi
  Bronkiektasis adalah
  penyakit paru dengan:

 Dilatasi patologis bronkus
 Disertai obliterasi
  percabangan selanjutnya
 Disertai banyak sekrit &
  radang kronis setempat
Jenis bronkiektasis

 Bronkiektasis Kongenital (jarang)


 Bronkiektasis Didapat (lebih sering)
Bronkiektasis kongenital
   Jarang terjadi, biasanya sbg akibat dari
    defisiensi sistim imunitas paru: immotile cilia
    syndrome, deficiency IgA/C3/C4, deficiency
    alpha-antitrypsine

   Sering merupakan penyakit peserta dari
    mukovisidosis (cystic fibrosis)

   Merupakan salah satu komponen dari sindroma
    Kartagener (dekstrokardia, sinusitis dan
    bronkiektasis kongenital)
Penyebab
   Bronkiektasis didapat (aquired)
 Akibat proses radang paru yang parah pada masa
  kanak-kanak yang tidak sembuh sempurna :
  – akut : pneumoni/bronkopneumoni (karena komplikasi morbili atau
    pertussis)  skrg sdh jarang (vaksinasi MMR/DPT!)
  – kronis : tuberkulosis!
 Karena aspirasi benda asing pada anak:
  – Benda asing menyangkut pada salah satu percabangan
    bronkus, lama2 timbul keluhan khas bronkiektasis yang
    akan bertambah parah sesuai bertambnya umur.
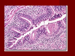
Patologi Anatomi
   Lumen Bronkus dilatasi (melebar) secara
    patologis, ireversibel
   Terjadi obliterasi dari percabangan bronkus di
    sebelah distal dari ujung yang sakit :
    – Tidak dapat ditemukan kelanjutan percabangannya.
      Bronkus seolah-olah terputus tepat sesudah atau tak
      jauh dari pelebarannya.
    – Ujungnya akan tertutup jaringan radang menahun
      dengan hipersekresi yang mukopurulen sampai
      dengan purulen betul
Tipe bronkiektasis

  Berdasarkan bentuk pelebarannya,
  bronkiektasis dapat dibedakan menjadi:

 Tipe silinder
 Tipe kantong (saccular)
 Tipe varikosa
Patogenesis (1)
   Kelainan dapat terjadi hanya pada satu bronkus
    saja, tetapi lebih sering kelainan terdapat pada
    lebih dari satu bronkus.
   Volume paru yang msh berfungsi berkurang
    sesuai dg banyaknya percabangan bronkus
    yang hilang (gangguan restriksi paru VC
    <80%)

                Napas menjadi pendek

        Penderita mengalami hipoksemia kronis
Patogenesis (2)
Karena ada sarang infeksi kronis dapat:
 menjadi sumber infeksi fokal -> mikro-
  abses di otak, ginjal, dll
 menjadi radang akut  (br)pnemoni
 terjadi perdarahan
 Timbul super-infeksi dengan kuman lain,
  mis. kuman anaerob!  caries dentis!
Gambaran Klinis (1)

   Batuk-batuk sudah bertahun-tahun, malahan
    biasanya berawal dari masa kanak-kanak.
   Dahak makin lama makin banyak, terutama pagi
    hari sewaktu bangun tidur
   Jumlah dahak bisa sampai sekitar 1 gelas atau
    lebih setiap pagi
   Dahak berkisar antara mukopurulen (saat
    remisi) sampai purulen (saat eksaserbasi akut)
Gambaran klinis (2)
 Dahak 24 jam (tidak diencerkan/dikocok/diaduk):
  -lapis bawah: nanah kental dg gumpalan2
         (=sisa2 jaringan bronkus yg nekrotis)
  -lapis tengah: agak keruh, keatas semakin jernih
  -lapis atas: berbusa
 Dahak berbau nanah atau berbau busuk
 Penderita sering mengeluh sesak  (tanpa
  suara ngiik/wheeze) kalau bekerja sdkt saja
Gambaran klinis (3)
 Hemoptoe (dari sedikit sampai banyak)
 pada separuh penderita

 Suhu badan agak hangat-hangat sedikit
 (tanda infeksi kronis). Suhu badan akan
 meninggi kalau sedang eksaserbasi akut
Gambaran Klinis (4)
   Keadaan Umum:
    –   jari tabuh (clubbing fingers)
    –   kuku kue ku (k4) =kuku gelas arloji (hour glass nails)
              menunjukkan adanya hipoksemia kronis

   Palpasi toraks (daerah bronkus yang terserang):
     - vibrasi di dekat hilus, saat gumpalan dahak melintasi
             cincin tulang rawan dinding bronkus

   Auskultasi (daerah bronkus yang terserang):
    – ronki basah sedang sampai kasar para-hiler dan/atau
      parakardial (tergantung letak bronkus yg terserang)
Pemeriksaan Penunjang (1)
   Foto paru :
         Gambaran cincin-cincin kecil di daerah para-hiler/para-kardial di atas
          dasar yang agak suram (infiltrat) cincin ini adalah bayangan dinding
          bronkus yg menebal dan mengalami dilatasi
         Bila gambaran cincin terlalu banyak akan terbentuk gambaran sarang
          tawon (honeycomb appearance ) di darah parakardial ki atau ka atau
          ke-dua2nya

   Bronkografi (dengan memasukkan lipiodol kedalam broncheal tree) :
         Jelas terlihat pelebaran bronkus serta obliterasi percabangan distalnya
          (gambaran bronkus yang mendadak melebar dan hilang bagian
          distalnya)
         Pada umumnya juga tampak bentuk bronkiektasis yang dihadapi

   CT scan juga dapat menunjukkan kelainan2 dasar ini.
    (karena tanpa bahaya komplikasi dan lebih mudah 
    bronkografi sudah ditinggalkan!)
Pemeriksaan Penunjang (2)


 Pemeriksaan Faal Paru (spirometri)


     Pengurangan kapasitas vital paru lebih dari 20%
      dari yang diantisipasi.
     Kecepatan Arus Puncak Ekspirasi Maksimal
      (KAEM) atau Peak Flow Rate (PFR) menurun
Pemeriksaan Laboratorium (1)
   Darah (hanya dapat memperkuat dugaan saja) :
    – Rutin:
        Lekositosis ringan (tidak selalu) dg shift to the right
         (pergeseran ke kanan)  tanda infeksi kronis
        Lekositosis berat dg shift to the left bila ada eksaserasi akut

    – Kultur darah: bakteriemi (ttp sering -, bila +  kmgk
      metastasis pernanahan, terutama di otak?)

    – Analisis gas darah : hipoksemia ringan (semakin
      parah penderita  hipoksemia semakin nyata)
Pemeriksaan Laboratorium (2)
 Sputum   (!) :
 – Makroskopis  indikasi bgmn keadaan
   penderita
    Makin purulen  makin bahaya, karena
     sedang/hampir terjadi eksaserbasi akut/super-
     infeksi
    Bau busuk  indikasi infeksi bakteri anaerob.
    Kumpulan sputum selama 24 jam (tidak
     diencerkan, tidak dikocok, tidak diaduk): volume?
     warna? bau? konsistensi?
    Adakah korelasi dengan kondisi klinik?
Pemeriksaan Laboratorium (3)
- Mikroskopis dengan Preparat Gram:
           Multi-bakteri (Gram +/-, basil/kokus)


- Kultur aerob/anaerob dengan tes resistensi

- Perhatikan bakteri yang jumlahnya paling
  banyak dan pada pemeriksaan ulangan selalu
  ditemukan  peranan penting sbg pencetus
  eksaserbasi
Diagnosis
Diagnosis Klinis dibuat berdasarkan pemeriksaan:
 Anamnesis (60%)
 Jasmani (+15%)
 Sputum secara makroskopis (+15%)


Diagnosis Pasti (bila memungkinkan) dengan:
  – CT scan paru
  – foto Ro paru (minimal)
Terapi (1)
 Perlu evaluasi yang cermat untuk
  menentukan terapi tepat.
 Pengobatan konservatif hanya bersifat
  simptomatis dan paliatif.
 Hanya reseksi radikal bagian paru yang
  dilayani bronkus yang rusak (lobektomi),
  yang dapat membebaskan penderita dari
  keluhan2nya (ttp INGAT PRASYARAT!)
Terapi (2)
 Indikasi absolut     untuk reseksi segera:
  life saving tok (y.i. hemoptoe profus yg tak
  dapat diatasi dg obat saja)
 Prasyarat untuk reseksi elektif:

  - kontraindikasi umum operasi
  - gangguan sistim imunitas paru
  - adanya penyakit paru lainnya, mis. COPD,
    Carcinoma.
Terapi (3)
 Terapi konservatif :
  – Meningkatkan higiene paru

      Membatukkan keluar dahak setuntas mgk, a.l. dg
      Ekspektoran
      Ambroxol HCl  surfaktan >>  dahak longgar
      Inhalasi uap air  dahak longgar
      Memilih posisi tubuh yang tepat untuk evakuasi
       sputum (postural drainage)
      NO SMOKING/hindari polutan udara (debu/kimia/dll)
Terapi (4)
   Udara yang dihirup harus semurni mungkin
    dg mencegah secara absolut polutan2
    (obat nyamuk, pewangi, asap rokok aktif/pasif,
    asap2 lain, uap bahan kimia, debu, abu, dll.
   Memperbaiki Oksigenisasi darah dg setiap tidur
    menggunakan Oksigen dosis rendah (2L/menit)
    dengan kanula hidung
   Temperatur udara jangan terlalu dingin
   Udara jangan terlalu kering
Terapi (5)
   Optimalisasi kesehatan umum (NO bergadang)
   Gizi tinggi kalori tinggi protein
   Antioksidan (vitamin C/E/SOD/Ubiquinone)
    untuk melindungi jaringan paru yang msh sehat
    maupun yang sudah mulai sakit.
   Antibiotika dibatasi hanya bila terjadi
    eksaserbasi akut atau bila ada super- infeksi,
    untuk mencegah resistensi kuman thd antibiotika
    yang sering dipakai.
Komplikasi
 Hemoptoe (paling ditakuti dalam era
  antibiotika)
 Timbulnya radang akut berupa ISPB,
  abses paru, atau empiema
 Emboli pus yang akan dapat mencapai
  otak dan ginjal  abses!
 Sumber infeksi fokal
 Cor pulmonale dan seterusnya
Prognosis
 Bila proses patologis terbatas dan tidak ada
  kontra-indikasireseksi paru/lobektomi 
  penyembuhan untuk selamanya.
 Bila operasi tidak dapat dilakukan  kelainan
  dasar akan selalu tetap ada  tetapi terapi
  konservatif dapat meminimalkan keluhan
  penderita dan mencegah timbulnya
  komplikasi yang tidak diinginkan.

Bronkiektasis dr.halim sp.p

  • 1.
  • 2.
    Definisi Bronkiektasisadalah penyakit paru dengan:  Dilatasi patologis bronkus  Disertai obliterasi percabangan selanjutnya  Disertai banyak sekrit & radang kronis setempat
  • 4.
    Jenis bronkiektasis  BronkiektasisKongenital (jarang)  Bronkiektasis Didapat (lebih sering)
  • 5.
    Bronkiektasis kongenital  Jarang terjadi, biasanya sbg akibat dari defisiensi sistim imunitas paru: immotile cilia syndrome, deficiency IgA/C3/C4, deficiency alpha-antitrypsine  Sering merupakan penyakit peserta dari mukovisidosis (cystic fibrosis)  Merupakan salah satu komponen dari sindroma Kartagener (dekstrokardia, sinusitis dan bronkiektasis kongenital)
  • 6.
    Penyebab Bronkiektasis didapat (aquired)  Akibat proses radang paru yang parah pada masa kanak-kanak yang tidak sembuh sempurna : – akut : pneumoni/bronkopneumoni (karena komplikasi morbili atau pertussis)  skrg sdh jarang (vaksinasi MMR/DPT!) – kronis : tuberkulosis!  Karena aspirasi benda asing pada anak: – Benda asing menyangkut pada salah satu percabangan bronkus, lama2 timbul keluhan khas bronkiektasis yang akan bertambah parah sesuai bertambnya umur.
  • 7.
    Patologi Anatomi  Lumen Bronkus dilatasi (melebar) secara patologis, ireversibel  Terjadi obliterasi dari percabangan bronkus di sebelah distal dari ujung yang sakit : – Tidak dapat ditemukan kelanjutan percabangannya. Bronkus seolah-olah terputus tepat sesudah atau tak jauh dari pelebarannya. – Ujungnya akan tertutup jaringan radang menahun dengan hipersekresi yang mukopurulen sampai dengan purulen betul
  • 9.
    Tipe bronkiektasis Berdasarkan bentuk pelebarannya, bronkiektasis dapat dibedakan menjadi:  Tipe silinder  Tipe kantong (saccular)  Tipe varikosa
  • 11.
    Patogenesis (1)  Kelainan dapat terjadi hanya pada satu bronkus saja, tetapi lebih sering kelainan terdapat pada lebih dari satu bronkus.  Volume paru yang msh berfungsi berkurang sesuai dg banyaknya percabangan bronkus yang hilang (gangguan restriksi paru VC <80%) Napas menjadi pendek Penderita mengalami hipoksemia kronis
  • 12.
    Patogenesis (2) Karena adasarang infeksi kronis dapat:  menjadi sumber infeksi fokal -> mikro- abses di otak, ginjal, dll  menjadi radang akut  (br)pnemoni  terjadi perdarahan  Timbul super-infeksi dengan kuman lain, mis. kuman anaerob!  caries dentis!
  • 13.
    Gambaran Klinis (1)  Batuk-batuk sudah bertahun-tahun, malahan biasanya berawal dari masa kanak-kanak.  Dahak makin lama makin banyak, terutama pagi hari sewaktu bangun tidur  Jumlah dahak bisa sampai sekitar 1 gelas atau lebih setiap pagi  Dahak berkisar antara mukopurulen (saat remisi) sampai purulen (saat eksaserbasi akut)
  • 14.
    Gambaran klinis (2) Dahak 24 jam (tidak diencerkan/dikocok/diaduk): -lapis bawah: nanah kental dg gumpalan2 (=sisa2 jaringan bronkus yg nekrotis) -lapis tengah: agak keruh, keatas semakin jernih -lapis atas: berbusa  Dahak berbau nanah atau berbau busuk  Penderita sering mengeluh sesak (tanpa suara ngiik/wheeze) kalau bekerja sdkt saja
  • 15.
    Gambaran klinis (3) Hemoptoe (dari sedikit sampai banyak) pada separuh penderita  Suhu badan agak hangat-hangat sedikit (tanda infeksi kronis). Suhu badan akan meninggi kalau sedang eksaserbasi akut
  • 16.
    Gambaran Klinis (4)  Keadaan Umum: – jari tabuh (clubbing fingers) – kuku kue ku (k4) =kuku gelas arloji (hour glass nails) menunjukkan adanya hipoksemia kronis  Palpasi toraks (daerah bronkus yang terserang): - vibrasi di dekat hilus, saat gumpalan dahak melintasi cincin tulang rawan dinding bronkus  Auskultasi (daerah bronkus yang terserang): – ronki basah sedang sampai kasar para-hiler dan/atau parakardial (tergantung letak bronkus yg terserang)
  • 17.
    Pemeriksaan Penunjang (1)  Foto paru :  Gambaran cincin-cincin kecil di daerah para-hiler/para-kardial di atas dasar yang agak suram (infiltrat) cincin ini adalah bayangan dinding bronkus yg menebal dan mengalami dilatasi  Bila gambaran cincin terlalu banyak akan terbentuk gambaran sarang tawon (honeycomb appearance ) di darah parakardial ki atau ka atau ke-dua2nya  Bronkografi (dengan memasukkan lipiodol kedalam broncheal tree) :  Jelas terlihat pelebaran bronkus serta obliterasi percabangan distalnya (gambaran bronkus yang mendadak melebar dan hilang bagian distalnya)  Pada umumnya juga tampak bentuk bronkiektasis yang dihadapi  CT scan juga dapat menunjukkan kelainan2 dasar ini. (karena tanpa bahaya komplikasi dan lebih mudah  bronkografi sudah ditinggalkan!)
  • 18.
    Pemeriksaan Penunjang (2) Pemeriksaan Faal Paru (spirometri)  Pengurangan kapasitas vital paru lebih dari 20% dari yang diantisipasi.  Kecepatan Arus Puncak Ekspirasi Maksimal (KAEM) atau Peak Flow Rate (PFR) menurun
  • 19.
    Pemeriksaan Laboratorium (1)  Darah (hanya dapat memperkuat dugaan saja) : – Rutin:  Lekositosis ringan (tidak selalu) dg shift to the right (pergeseran ke kanan)  tanda infeksi kronis  Lekositosis berat dg shift to the left bila ada eksaserasi akut – Kultur darah: bakteriemi (ttp sering -, bila +  kmgk metastasis pernanahan, terutama di otak?) – Analisis gas darah : hipoksemia ringan (semakin parah penderita  hipoksemia semakin nyata)
  • 20.
    Pemeriksaan Laboratorium (2) Sputum (!) : – Makroskopis  indikasi bgmn keadaan penderita  Makin purulen  makin bahaya, karena sedang/hampir terjadi eksaserbasi akut/super- infeksi  Bau busuk  indikasi infeksi bakteri anaerob.  Kumpulan sputum selama 24 jam (tidak diencerkan, tidak dikocok, tidak diaduk): volume? warna? bau? konsistensi?  Adakah korelasi dengan kondisi klinik?
  • 21.
    Pemeriksaan Laboratorium (3) -Mikroskopis dengan Preparat Gram: Multi-bakteri (Gram +/-, basil/kokus) - Kultur aerob/anaerob dengan tes resistensi - Perhatikan bakteri yang jumlahnya paling banyak dan pada pemeriksaan ulangan selalu ditemukan  peranan penting sbg pencetus eksaserbasi
  • 22.
    Diagnosis Diagnosis Klinis dibuatberdasarkan pemeriksaan:  Anamnesis (60%)  Jasmani (+15%)  Sputum secara makroskopis (+15%) Diagnosis Pasti (bila memungkinkan) dengan: – CT scan paru – foto Ro paru (minimal)
  • 23.
    Terapi (1)  Perluevaluasi yang cermat untuk menentukan terapi tepat.  Pengobatan konservatif hanya bersifat simptomatis dan paliatif.  Hanya reseksi radikal bagian paru yang dilayani bronkus yang rusak (lobektomi), yang dapat membebaskan penderita dari keluhan2nya (ttp INGAT PRASYARAT!)
  • 24.
    Terapi (2)  Indikasiabsolut untuk reseksi segera: life saving tok (y.i. hemoptoe profus yg tak dapat diatasi dg obat saja)  Prasyarat untuk reseksi elektif: - kontraindikasi umum operasi - gangguan sistim imunitas paru - adanya penyakit paru lainnya, mis. COPD, Carcinoma.
  • 25.
    Terapi (3)  Terapikonservatif : – Meningkatkan higiene paru  Membatukkan keluar dahak setuntas mgk, a.l. dg  Ekspektoran  Ambroxol HCl  surfaktan >>  dahak longgar  Inhalasi uap air  dahak longgar  Memilih posisi tubuh yang tepat untuk evakuasi sputum (postural drainage)  NO SMOKING/hindari polutan udara (debu/kimia/dll)
  • 26.
    Terapi (4)  Udara yang dihirup harus semurni mungkin dg mencegah secara absolut polutan2 (obat nyamuk, pewangi, asap rokok aktif/pasif, asap2 lain, uap bahan kimia, debu, abu, dll.  Memperbaiki Oksigenisasi darah dg setiap tidur menggunakan Oksigen dosis rendah (2L/menit) dengan kanula hidung  Temperatur udara jangan terlalu dingin  Udara jangan terlalu kering
  • 27.
    Terapi (5)  Optimalisasi kesehatan umum (NO bergadang)  Gizi tinggi kalori tinggi protein  Antioksidan (vitamin C/E/SOD/Ubiquinone) untuk melindungi jaringan paru yang msh sehat maupun yang sudah mulai sakit.  Antibiotika dibatasi hanya bila terjadi eksaserbasi akut atau bila ada super- infeksi, untuk mencegah resistensi kuman thd antibiotika yang sering dipakai.
  • 28.
    Komplikasi  Hemoptoe (palingditakuti dalam era antibiotika)  Timbulnya radang akut berupa ISPB, abses paru, atau empiema  Emboli pus yang akan dapat mencapai otak dan ginjal  abses!  Sumber infeksi fokal  Cor pulmonale dan seterusnya
  • 29.
    Prognosis  Bila prosespatologis terbatas dan tidak ada kontra-indikasireseksi paru/lobektomi  penyembuhan untuk selamanya.  Bila operasi tidak dapat dilakukan  kelainan dasar akan selalu tetap ada  tetapi terapi konservatif dapat meminimalkan keluhan penderita dan mencegah timbulnya komplikasi yang tidak diinginkan.