BONE CEMENTS
Dr Saiel Kumarjuvekar
JR3 Orthopaedics
BJGMC & SGH PUNE
HISTORY
• Themistocles Gluck in 1870 used plaster with colophony
• Otto Rohm in 1920 mass produced MMA(Methyl Methacrylate)
• Kulzer Company in 1936 used powdered Polymethyl-methacrylate
with liquid monomer and benzoyl peroxide.
• JUDET & JUDET 1956 first used in arthroplastic surgical techniques.
• Sir John Charnley first to succeed in anchoring femoral prosthesis
using bone cement
• 1970 US-FDA approved use of bone cements
Constituents
powder phase
• Polymer powder: PMMA/copolymers
• initiator: Benzoyl peroxide(BPO), tri-n-butylborane
• opacifier: zirconium dioxide/barium sulfate
• antibiotics: vancomycin
liquid phase
• Monomer: MMA/ butylmethacrylate
• activator: DMPT(dimethyl para toluidine)
• Stabilizer: hydroquinone
• coloring agent.
most bone cements have a mixing ratio of 2-3:1 ( powder : liquid)
Polymerization reaction is as follows:
BPO in powder + DMPT in liquid
react
benzoyl radical + benzoate anion
+
MMA in liquid
high molecular
weight PMMA
termination
of reaction
by
chain reaction
hydrogen ion transfer
exothermic reaction
the hardened acyrlic bone cement is a polymerized product primarily containing
linear, un-crosslinked variable length PMMA macromolecules
Polymerization Steps:
1. Mixing phase: wetting.
• powerful & vigorous mixing increases porosity reducing strength
• vacuum mixing increases strength by 15%
• centrifugation mixing increases strength by 9%
• precooling decreases amount and volume of pores
2. Waiting phase: sticky dough- increase in viscosity
3. Working phase: dough has reduced mobility and increase in viscosity
stage of chain propagation
4. Setting phase: dough has hardened.
chain propagation has stopped.
upto 1 minute
upto several minutes
2-4 minutes
Effect of various factors on polymerization
1. Temperature of prosthesis : ideal at body temperatures of 43-46 degree celsius.
precooling of prosthesis - rapid polymerization- shrinkage of cement- early prosthesis loosening.
prewarming of prosthesis-heat necrosis-early prosthesis loosening.
2. Viscosity of Cement :
High Viscosity: small sticky phase- long working phase- more time at implantation
Medium Viscosity: sticky phase-3mins f/b working phase. hardening in 90-140 secs
Low Viscosity: 3+ mins of sticky phase, hardening in 60-90 secs.
3. Precooling/ pre heating of cement:
precooling increases the working phase - more time at hand.
preheating reduces the operative time.
4. Cement flaws: Air entrapment/ air bubbles/ pmma microbeads.
Macropore (>1mm) elimination id necessary as per Griffith Criteria.
Mixing Techniques
1. Hand mixing /classical method:
mixing in a open bowl with spatula at 1-2 hz for 2mins. induces a porosity of 5-7 %
2. Centrifugation method:
Components are hand mixed and centrifuged at 2300-4000 rpm for 30-180 secs
reduces porosity to 1%
3. Vacuum method:
Hand mixing in Evacuated Mixing devices.
reduced porosity to <1%
Generations of Cementing techniques
First Generation :
prior to 1976
Charnleys original method
• hand mixing of cement in bowl
• minimal femoral canal preparation
• removing debris & blood by irrigation-suctioning
• cement applied with digits, no cement restrictor
Second Generation:
1976-1983
• Meticulous preparation of femoral canal with femoral brush and
peroxide soaked roller gauze
• cement restrictor used
• cement gun used- retrograde manner filling
• prosthesis postioned manually. prosthesis with collar.
Third Generation:
1983 onwards
• Vacuum /centrifuged method for cement mixing
• pulsatile lavage irrigation of femoral canal with
adrenaline soaked gauze
• insertion using guns
• prosthesis with centralizers
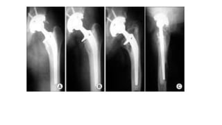
Barrack & Harris Cement Mantle Grading
Grade A: complete filling/ complete white out of cement-bone interface.
upto 10mm distal to prosthesis
no voids / defects/ bubbles
Grade B: Mild Radioluncency at bone-cement interface
Grade C: incomplete mantles/ Radiolucencies > 50% of bone-cement interface.
Grade D: failure of cement to surround the prosthesis/ gross radiolucencies.
Antibiotic Loaded Cement
• 1970 Bucholz mixed Gentamicin in PMMA
• 2003 US FDA approved three commercial antibiotic loaded cement for revision arthroplasty
• AAOS advised only prophylactic use
Desired Properties:
• Heat stable
• water soluble
• good release from cured cement
• does not affect polymerization
• broad spectrum of action
• non toxic to humans and bactericidal at low concentration
• low protein binding
LOW DOSE ABLC:
2g of antibiotic per 40g of cement
HIGH DOSE ABLC:
3.6g of antibiotic per 40g of cement
ADDITIVES to cement:
RADIO OPACITY: BARIUM SULFATE OR ZIRCONIUM DIOXIDE IS ADDED TO PMMA AS PMMA IS NOT RADIO OPAQUE
IODINE CONTAINING PMMA -IHQM
TRIPHENYL BISMUTH
FIBERS: BIOACTIVE GLASS FIBERS
KEVLAR
CARBON FIBERS
GRAPHITE
NANO SIZED TITANIUM FIBERS
Physical Properties of Cement
1. Compressive strength
2. Bending strength
3. Tensile Strength
4. Shear Strength
5. Fracture toughness
6. Impact Strength
7. Fatigue Behaviour
8. Water Uptake
9. Cement Creep
behaviours
1. Compressive Strength : standards ISO5833 and ASTM F451.
maximum stress a material can withstand before failure in compression
PMMA 70 MPa
2. Bending Strength: four point bending test of ISO5833
minimum of 50 MPa required
elastic strength above which if stress applied will lead to permanent deformation
affected by temperature, additives
3. Tensile Strength: measured according to ISO527-1 and ASTM D 638 standards
maximum stress material can withstand before failure in tension.
minimum 50-60 MPa required
4. Shear Strength : tested by ASTM D732 protocols
surface finish of implant- rough finish- more shear due to micromotion-increases wear
5.Fracture Toughness: by standards of ISO 13,586 and ASTM E399
ethylene oxide sterilization is preferred as it does not affect polymer molcular sizes
6. Impact Strength: Energy required to cause permanent damage by inducing fracture in material when struck
by sudden blow
7. Fatigue Behaviour: ability to withstand load
Sinusoidal cyclic loading of the material under stress control until failure/ run out
8. Water Uptake: more the water uptake less the stiffness of material (lowers the modulus of elasticity)
1-2% is normal water uptake. completely water saturated at 4-8 weeks
9. Cement creep behaviour: PMMA -combination of elastic and viscous= viscoelasticity
Primary creep- initial loads- deformation is recoverable
Secondary creep- permanent and non recoverable deformation
Adverse effects/ Complications
BONE CEMENT IMPLANTATION SYNDROME
Sudden onset of hypoxia, hypotension, or both with loss of consciousness
appear at the time of cementing/ implantation
on transesophageal sonography-’snow flurry’ appearance
others :
Pulmonary hypertension
Pulmonary edema
bronchoconstriction
cardiac dysarthymia
cardiac arrest
death
possible cause:-
toxic effect of monomer
anaphylactic reaction
embolization of pmma
complement activation by monomers
Removal of bone cement
• Piecemeal removal -prox femur ,ensure bone is not lost, cortex is not violated.
• Ultrasonic Cement Removing
• Ballistic chiselling system
• Water jet
• High Energy shock waves
• ROBODOC system
THANK YOU

BONE CEMENTS

  • 1.
    BONE CEMENTS Dr SaielKumarjuvekar JR3 Orthopaedics BJGMC & SGH PUNE
  • 2.
    HISTORY • Themistocles Gluckin 1870 used plaster with colophony • Otto Rohm in 1920 mass produced MMA(Methyl Methacrylate) • Kulzer Company in 1936 used powdered Polymethyl-methacrylate with liquid monomer and benzoyl peroxide. • JUDET & JUDET 1956 first used in arthroplastic surgical techniques. • Sir John Charnley first to succeed in anchoring femoral prosthesis using bone cement • 1970 US-FDA approved use of bone cements
  • 4.
    Constituents powder phase • Polymerpowder: PMMA/copolymers • initiator: Benzoyl peroxide(BPO), tri-n-butylborane • opacifier: zirconium dioxide/barium sulfate • antibiotics: vancomycin liquid phase • Monomer: MMA/ butylmethacrylate • activator: DMPT(dimethyl para toluidine) • Stabilizer: hydroquinone • coloring agent. most bone cements have a mixing ratio of 2-3:1 ( powder : liquid) Polymerization reaction is as follows: BPO in powder + DMPT in liquid react benzoyl radical + benzoate anion + MMA in liquid high molecular weight PMMA termination of reaction by chain reaction hydrogen ion transfer exothermic reaction
  • 5.
    the hardened acyrlicbone cement is a polymerized product primarily containing linear, un-crosslinked variable length PMMA macromolecules Polymerization Steps: 1. Mixing phase: wetting. • powerful & vigorous mixing increases porosity reducing strength • vacuum mixing increases strength by 15% • centrifugation mixing increases strength by 9% • precooling decreases amount and volume of pores 2. Waiting phase: sticky dough- increase in viscosity 3. Working phase: dough has reduced mobility and increase in viscosity stage of chain propagation 4. Setting phase: dough has hardened. chain propagation has stopped. upto 1 minute upto several minutes 2-4 minutes
  • 6.
    Effect of variousfactors on polymerization 1. Temperature of prosthesis : ideal at body temperatures of 43-46 degree celsius. precooling of prosthesis - rapid polymerization- shrinkage of cement- early prosthesis loosening. prewarming of prosthesis-heat necrosis-early prosthesis loosening. 2. Viscosity of Cement : High Viscosity: small sticky phase- long working phase- more time at implantation Medium Viscosity: sticky phase-3mins f/b working phase. hardening in 90-140 secs Low Viscosity: 3+ mins of sticky phase, hardening in 60-90 secs. 3. Precooling/ pre heating of cement: precooling increases the working phase - more time at hand. preheating reduces the operative time. 4. Cement flaws: Air entrapment/ air bubbles/ pmma microbeads. Macropore (>1mm) elimination id necessary as per Griffith Criteria.
  • 7.
    Mixing Techniques 1. Handmixing /classical method: mixing in a open bowl with spatula at 1-2 hz for 2mins. induces a porosity of 5-7 % 2. Centrifugation method: Components are hand mixed and centrifuged at 2300-4000 rpm for 30-180 secs reduces porosity to 1% 3. Vacuum method: Hand mixing in Evacuated Mixing devices. reduced porosity to <1%
  • 9.
    Generations of Cementingtechniques First Generation : prior to 1976 Charnleys original method • hand mixing of cement in bowl • minimal femoral canal preparation • removing debris & blood by irrigation-suctioning • cement applied with digits, no cement restrictor Second Generation: 1976-1983 • Meticulous preparation of femoral canal with femoral brush and peroxide soaked roller gauze • cement restrictor used • cement gun used- retrograde manner filling • prosthesis postioned manually. prosthesis with collar. Third Generation: 1983 onwards • Vacuum /centrifuged method for cement mixing • pulsatile lavage irrigation of femoral canal with adrenaline soaked gauze • insertion using guns • prosthesis with centralizers
  • 11.
    Barrack & HarrisCement Mantle Grading Grade A: complete filling/ complete white out of cement-bone interface. upto 10mm distal to prosthesis no voids / defects/ bubbles Grade B: Mild Radioluncency at bone-cement interface Grade C: incomplete mantles/ Radiolucencies > 50% of bone-cement interface. Grade D: failure of cement to surround the prosthesis/ gross radiolucencies.
  • 13.
    Antibiotic Loaded Cement •1970 Bucholz mixed Gentamicin in PMMA • 2003 US FDA approved three commercial antibiotic loaded cement for revision arthroplasty • AAOS advised only prophylactic use Desired Properties: • Heat stable • water soluble • good release from cured cement • does not affect polymerization • broad spectrum of action • non toxic to humans and bactericidal at low concentration • low protein binding LOW DOSE ABLC: 2g of antibiotic per 40g of cement HIGH DOSE ABLC: 3.6g of antibiotic per 40g of cement
  • 14.
    ADDITIVES to cement: RADIOOPACITY: BARIUM SULFATE OR ZIRCONIUM DIOXIDE IS ADDED TO PMMA AS PMMA IS NOT RADIO OPAQUE IODINE CONTAINING PMMA -IHQM TRIPHENYL BISMUTH FIBERS: BIOACTIVE GLASS FIBERS KEVLAR CARBON FIBERS GRAPHITE NANO SIZED TITANIUM FIBERS
  • 15.
    Physical Properties ofCement 1. Compressive strength 2. Bending strength 3. Tensile Strength 4. Shear Strength 5. Fracture toughness 6. Impact Strength 7. Fatigue Behaviour 8. Water Uptake 9. Cement Creep behaviours
  • 16.
    1. Compressive Strength: standards ISO5833 and ASTM F451. maximum stress a material can withstand before failure in compression PMMA 70 MPa 2. Bending Strength: four point bending test of ISO5833 minimum of 50 MPa required elastic strength above which if stress applied will lead to permanent deformation affected by temperature, additives 3. Tensile Strength: measured according to ISO527-1 and ASTM D 638 standards maximum stress material can withstand before failure in tension. minimum 50-60 MPa required 4. Shear Strength : tested by ASTM D732 protocols surface finish of implant- rough finish- more shear due to micromotion-increases wear
  • 17.
    5.Fracture Toughness: bystandards of ISO 13,586 and ASTM E399 ethylene oxide sterilization is preferred as it does not affect polymer molcular sizes 6. Impact Strength: Energy required to cause permanent damage by inducing fracture in material when struck by sudden blow 7. Fatigue Behaviour: ability to withstand load Sinusoidal cyclic loading of the material under stress control until failure/ run out 8. Water Uptake: more the water uptake less the stiffness of material (lowers the modulus of elasticity) 1-2% is normal water uptake. completely water saturated at 4-8 weeks 9. Cement creep behaviour: PMMA -combination of elastic and viscous= viscoelasticity Primary creep- initial loads- deformation is recoverable Secondary creep- permanent and non recoverable deformation
  • 18.
    Adverse effects/ Complications BONECEMENT IMPLANTATION SYNDROME Sudden onset of hypoxia, hypotension, or both with loss of consciousness appear at the time of cementing/ implantation on transesophageal sonography-’snow flurry’ appearance others : Pulmonary hypertension Pulmonary edema bronchoconstriction cardiac dysarthymia cardiac arrest death possible cause:- toxic effect of monomer anaphylactic reaction embolization of pmma complement activation by monomers
  • 19.
    Removal of bonecement • Piecemeal removal -prox femur ,ensure bone is not lost, cortex is not violated. • Ultrasonic Cement Removing • Ballistic chiselling system • Water jet • High Energy shock waves • ROBODOC system
  • 20.