BONE AND JOINT INFECTION
DR. AMIT RAUNIYAR
RADIODIAGNOSIS, NAMS
Outline
• Osteomyelitis-pyogenic
• Septic arthritis
• Pyogenic spondylitis
• Tubercular-Potts spine, osteomyelitis, arthritis
• Others-syphilis, brucellosis
• The term osteomyelitis implies an infection of bone
and marrow. (osteo-myelo-itis)
• Osteomyelitis most commonly results from bacterial
infections, although fungi, parasites, and viruses can
infect the bone and the marrow
3
Introduction
Classification
• Acute- diagnosed within 2 weeks of onset of
symptoms
• Subacute-Symptoms exceed 2 weeks duration
• Chronic- diagnosed months after the onset of
symptoms
• All cases of osteomyelitis don’t progress
through each of these phases as well.
4
Classification
• Pyogenic osteomyelitis
• Non-pyogenic osteomyelitis:
– tuberculous osteomyelitis
– skeletal syphilis
– fungal osteomyelitis
Pathological Basis: Route of infection
• Hematological
– Staphylococcus; Streptococcus,H. influenzae,
gram –ve rods
• Foreign bodies- implants prosthesis
– Most common contamination at time of
placement; skin commensals (staphylococcus)
• Contiguous Spread:
– Trauma, surgery
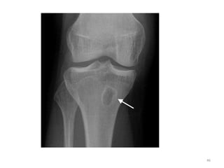
– Open fracture
6
Aetiology
Age group common uncommon rare
Neonates Grp.B streptococus
Staph.aureus
Enteric bacilli
Hemophilus influenza candida
1mo-3yrs Staph.aureus
streptococci
H.Influenza
pseudomonas
candida
>3yrs Staph.aureus (80-90 %)
Streptococci
• Salmonella ( in sickle cell
anemia)
• Pseudomonas, E coli,
Klebsiella (urinary tract
infection)
candida
7
• Metaphyseal arteries arise
from neighboring systemic
vessels,
• Epiphyseal arteries arise
from periarticular vascular
arcades.
• Cortical supply:
– Periosteal vessels: outer
1/3rd of the cortex and
– Nutrient or Medullary
vessels: inner 2/3rd.
Site of involvement
• Common in children
• Metaphysis around the knee joint is
commonly involved in children.
12
Pathogenesis
Pathogenesis
• A sequestrum:
– represents a segment of necrotic bone that is
separated from living bone by granulation tissue.
– Sequestra- nidus for infection.
– As sequestra are devitalized, they remain denser than
surrounding vital bone which become demineralized
due to hyperemia and immobilization.
• An involucrum:
– denotes a layer of living bone that has formed about
the dead bone.
• Cloaca-an opening in an involucrum which allows
drainage of purulent and necrotic material out of the
dead bone.
16
CLINICAL PRESENTATION
• Common in childhood
• High fever, a toxic state, and local signs of inflammation,
although this presentation is certainly not uniform.
• The adult form of hematogenous osteomyelitis may have a
more insidious onset with a relatively longer period between
the appearance of symptoms and signs and accurate
diagnosis.
17
Imaging modalities in osteomyelitis
• Plain radiography
• CT scan
• MRI
• Bone scan
• Ultrasonography
• Sinography
• Guided Biopsy
18
Plain radiography
• In the early stage of
osteomyelitis, the findings on
conventional radiography may
be normal 5 to 7 days in
children and 10 to 14 days in
adults after the onset of
infection
• A 30% to 50% loss of bone
density must occur before a
radiograph becomes abnormal.
• Soft-tissue changes are the
earliest manifestations
– non specific
– Swelling, with edema and
blurring of fat planes is
seen
19
• Localized osteoporosis and bone resorption caused by
infection in the medullary space with hyperemia, edema
or abscess formation, and trabecular destruction occur.
• Later, there is increased lysis and cortical lucency as
infection spreads into the haversian and Volkmann's
canals of the cortex.
• Next are periostitis and involucrum formation, which are
caused by subperiosteal abscess formation with lifting of
the periosteum and bone formation .
20
Bone Changes:
• Bony changes –
- 10-14 days required
– Local osteopenia (at the site of infection,
usually metaphysis) is the earliest bony
change.
– Periosteal reaction follows
– An involucrum is usually visualized after 3
weeks
– Sequestrum is seen as dense, irregular bone
surrounded by lucency (representing
granulation tissue).
– Cloacae (fistula tract) are seen as lucent
areas which are created by external
migration of dead pieces of bone with
breakdown of skin and subcutaneous tissue.
21
22
Radionuclide scanning:
• Should precede plain film examination in suspected
bone infection.
• Diagnosis can be confirmed as early as 48 hours after
the onset of the disease, even if clinical signs are
equivocal.
• This may help to initiate early aggressive treatment
to prevent gross bone destruction.
23
Radionuclides used:
• Tc 99m labelled phosphonates: most
commonly used
• Ga - 67 labelled citrate scan
• Indium-111 labelled WBC scan
24
a) Plain film shows no abnormality;
b )blood flow phase and c)
late phase shows increased
bone tracer activity
25
Tc - 99m scan
• 3 phase scan:
– Vascular flow phase (2-5 sec)
– Blood pool phase (5 min)
– Delayed phase (at 3-4 hours)
• In osteomyelitis, there is increased uptake noted in all the
three phases in the affected area.
• In cellulitis, increased uptake is seen in first two phases.
26
• Limitations:
– Non specific (tumors, fractures etc give similar
appearance)
– False negative if blood vessels are occluded in the infective
process by tamponade or thrombus (in neonates, up to
30% of scans may be negative because of this).
CT scanning:
• Less value in the diagnosis in the acute infection
• Useful in subacute and chronic Osteomyelitis.
• Better evaluation of cortical bone, periosteum.
• CT – guided biopsy can be used to obtain material for
culture.
• Demonstrate abnormalities earlier than conventional
radiographs.
• It is superior to MRI for visualizing bony destruction,
and a bony sequestration.
29
Chronic osteomyelitis of tibia in a 57-year-old man.
A and B, Axial CTs of tibia-fibula show hypertrophic expanded new bone (involucrum)
around the central dead bones (sequestra).
- cortical break anteriorly at fistulous tract (cloaca).
30
CT
• Early findings of osteomyelitis may include intramedullary
gas or increased marrow density (>+20 HU difference to
healthy side).
• Chronic osteomyelitis shows sclerosis, demineralization,
periosteal reaction and sequestra.
• Sequestra are seen as dense or high attenuation spicules
of bone lying in areas of osteolysis.
• allows ready identification of these bony fragments, their
position within the medullary cavity, and their relationship
to the overlying cortex.
• Cloacae, periostitis & local soft tissue masses are shown.
These may enhance in CECT.
31
Chronic osteomyelitis: CT. {A} On this transaxial scan,
osteomyelitis has resulted in erosion of the anterior cortex of the
tibia (arrow) and a sinus tract (arrowheads).
--{B} In a second patient, transverse CT reveals bone destruction
and a sequestrum in the calcaneus that have resulted from a pin
tract infection.
32
MRI
• Modality of choice in the diagnosis of
musculoskeletal infection:
– Marrow abnormality is more sensitive indicator of
disease than lytic changes seen in radiography, and
appears much earlier in the course of the disease.
– Demonstrates osteomyelitis as early as isotope
scanning
– Ischemia and destruction of cortex and marrow edema
may be identified
– Subsequent soft tissue extension of pus through
cloacae and para-osseous abscesses may be seen.
33
Signal changes with different weightings
T1WI T2WI STIR
Normal Cortex Low signal Low signal Low signal
Normal
Medulla
Very bright Less bright Low signal
Edematous
cortex
Low signal Bright Very Bright
Edematous
medulla
Low signal;
Enhancement
with Gd
Bright Very Bright
34
MR imaging features of osteomyelitis
generally include the following
1. Marrow edema with or without associated
contrast enhancement at early stages
2. Focal cortical destruction and associated periosteal
elevation
3. Associated intraosseous or juxtacortical soft
tissue abscesses or edema
4. Cloaca (marrow to periosteum) or sinus tract
formation
5. Sequestrum or involucrum formation
36
Ultrasonography
• In acute osteomyelitis, US changes are demonstrable 1 or
2 days after the onset of symptoms.
• Ultrasound excels as a fast and cheap examination of the
soft tissues.
• USG guided aspiration of subperiosteal collection for
bacterial culture.
• It has little direct role in the assessment of osteomyelitis,
as it is unable to visualise within bone
• It does, however, have a role to play in the assessment
of soft tissues and joints adjacent to infected bone, able
to visualise soft tissue abscesses, cellulitis,
subperiosteal collections and joint effusion
38
 Ultrasound study in a patient with acute osteomyelitis of the right tibia 3 weeks
after the onset of symptoms.
 Transverse and sagittal high-resolution real-time ultrasound scans showing
periosteal elevation as a thick echogenic line (arrow) and anechoic subperiosteal
pus accumulation in the antero-medial aspect of the tibial shaft.
39
40
Bone Biopsy
• Aim:
– To confirm the presence of infection and exclude tumor or other
causes of radioloical lesion
– To distinguish organism
– To allow correct antibiotic treatment after appropriate sensitivities
have been established
• Blood cultures are positive in approximately 50 per cent of
patients with acute hematogenous osteomyelitis.
• Spine is the area more frequently biopsied.
41
• Brodie abscess is an intraosseous abscess related to a
focus of subacute pyogenic osteomyelitis.
• They are found characteristically in subacute pyogenic
osteomyelitis, usually of staphylococcal origin, but
cultures are often negative.
• common in children, more typically boys.
• Appear mainly in the metaphysis, particularly that of the
distal or proximal portions of the tibia.
42
Brodie's Abscess
Plain radiograph
• lytic lesion often in an oval configuration that is
oriented along the long axis of the bone
• surrounded by a thick dense rim of reactive
sclerosis
• lucent tortuous channel extending toward growth
plate prior to physeal closure-tunneling
(pathognomonic)
• periosteal new-bone formation +/- adjacent soft-
tissue swelling
• may persist for many months
• CT
• central intramedullary hypodense cystic lesion
with thick rim ossification
• extensive thick well-circumscribed periosteal
reaction and bone sclerosis around the lesion
could be seen
• MRI
• The “penumbra sign” - a rim lining of an abscess
cavity with higher signal intensity than that of the
main abscess on T1-weighted images
46
• A sclerotic nonpurulent form of osteomyelitis,
also known as STERILE OSTEOMYELITIS.
• There is intense proliferation of the periosteum
leading to bony deposition - focal bulge of
thickened cortex (sclerosing periosteal reaction).
• no necrosis or purulent exudate and little
granulation tissue are present.
• It is rare, typically results from Staphylococcus
aureus infection
• Seen most commonly in the mandible
47
Garre's sclerosing osteomyelitis
 Chronic sclerosing osteomyelitis of Garre in a 39-year-old
 AP (A) and lateral (B) radiographs of the tibia show osseous expansion
and sclerosis of the midshaft.
 C- CT scan (bone window) shows osseous expansion and sclerosis,
cortical thickening, and serpinginous cortical lucency. 48
Complications
• Severe Osteolysis
• Soft tissue abscess
• Septic arthritis- extension into joint
• Severe deformity
• Epiphyseal Growth Disturbance
• Neoplasms: Epithelioma of tract, Osteosarcoma
• Secondary amyloidosis
• Pathological fractures
49
Pyogenic spondylitis/Infective discitis
• infection involving the intervertebral disc and
adjacent vertebra
• paediatric age group- infection often starts in
the intervertebral disc itself
• Adults infection-infection starts at the
vertebral body endplate, extending into the
intervertebral disc space and then into the
adjacent vertebral body endplate.
Spinal infection: Sequential stages. {A} An anterior subchondral focus in the vertebral body
is typical. {B} Infection then may perforate the vertebral surface, reaching the intervertebral
disc space. {C} With further spread of infection, contamination of the adjacent vertebral
body and narrowing of the intervertebral disc space are recognizable. {D} With continued
dissemination, infection may spread in a subligamentous fashion, eroding the anterior
surface of the vertebral body (arrowhead), or perforating the anterior ligamentous
structures (arrow).
53
Spinal infection: MR imaging. Pyogenic spondylitis. { A} In this 61 year old man, a
sagittal T1-weighted spin echo MR image shows abnormally low signal intensity
in the marrow of the fourth and fifth cervical vertebral bodies with narrowing of
the intervening disc. {B} A gadolinium-enhanced sagittal T1-weighted image
reveals hyperintensity in the infected vertebral bodies and intervertebral disc.
Similar hyperintensity is seen in the prevertebral soft tissues.
54
Aetiology
• Staphylococcus aureus (most common; 60%)
• Streptococcus viridans
(IVDU, immunocompromised)
• gram-negative organisms, e.g. Enterobacter spp,
E. coli
• Location-
• most commonly lumbar region
• In most patients only two bodies are involved.
and only rarely is the infection confined to one
vertebral body.
Investigations
• Plain radiograph
• Usually normal appearances up to 2-4 weeks.
Thereafter disc space narrowing and
irregularity or ill definition of the vertebral
endplates can be seen.
• CT
• CT findings are similar to plain film but are
more sensitive to earlier changes.
• MRI
– MRI is the imaging modality of choice
– Fluid, bone marrow edema, vertebral endplate
and soft tissues involvement
– Bone scan
Increased uptake
Septic arthritis
• Can occur at any age, common in children
• Organisms:
– Staphylococcus - most common
– Streptococcus
– Pseudomonas
• Usually monoarticular
• Polyarticular in immunocompromised/ Steroid
therapy
58
• Joint may be contaminated by:
– Direct intervention – following Surgery, aspiration
or perforating injury
– Spread from adjacent bone
– Hematogenous Spread – direct infection of
Synovium by Septic emboli
59
Radiologic features:
• Initially, Synovial thickening and effusion distend the joint
• Fat planes are displaced but may be blurred by edema
• Demineralization occurs due to hyperemia and
immobilization.
• Following cartilage destruction, joint Space Is narrowed.
• Articular Surface Is blurred initially and Is then eroded, both
peripherally and centrally.
• Severe cases may cause massive destruction, Separation of
bone ends, Subluxation and dislocation
• Bony ankylosis can occur
61
• Ultrasonography is a useful technique to detect joint
effusion and in aspiration.
• Isotope scan will be positive at an early stage
• CT can be used for biopsy
• MRI is the investigation of choice in the early
diagnosis of septic arthritis, where effusion and bone
edema are clearly seen.
64
Arthritis of hip in infants
• Also called Tom Smith arthritis
• Infection of hip joint is common in infants
• Streptococcus is common in neonates
• In infants, because of lax muscles around the hip and the
cartilaginous nature of acetabulum, an effusion may dislocate
the hip.
• Gross metaphyseal destruction is soon apparent with cortical
and medullary erosions.
• Gross sequestration rapidly occurs and involucrum may
involve the entire femur.
• Femoral neck and head may be totally destroyed, though
shaft usually heals.
• Deformity and shortening result
66
TUBERCULAR INFECTIONS OF
BONES AND JOINTS
Skeletal Tuberculosis
• Spine- 50%
• Arthritis- 30%
• Osteomyelitis- 19%
• Tenosynovitis/ Bursitis- 1%
Mode of spread:
• Usually hematogenous
 Arterial
 Batson’s plexus( from pelvis)
 Organism: Mycobacterium tuberculosis
• Abnormal CXR in < 50% patients.
• Skeletal involvement coexist with urogenital
involvement in 20-45%
Pott’s spine
Tuberculosis of Spine (Pott’s spine)
• Comprises 50% of skeletal TB
• 3 or more vertebra typically affected
• Vertebral body (anterior predilection) more commonly
involved than posterior elements,
Paradiscal type
• Most common site
• Infective focus is in anterior
aspect of vertebral body adjacent
to subchondral bone plate.
• Disk space narrowing is caused
either by destruction of
subchondral bone with
subsequent herniation of the disc
into the vertebral body or by
direct involvement of the disc.
Central type
• Centred on vertebral body.
• Disc not involved.
• Vertebral collapse can occur, producing a
vertebra plana appearance.
• MR: signal abnormality of vertebral body
with preservation of disc.
Anterior type
• Subperiosteal lesion under ALL.
• Pus spreads over multiple vertebral
segments, stripping periosteum & ALL from
ant surface of vertebral bodies.
• Periosteal stripping renders vertebrae
avascular & susceptible to infection.
• Both pressure and ischemia combine to
produce anterior scalloping.
• Collapse of the vertebral body & diminution
of disc space usually minimal & occurs late.
• Relatively more common in thoracic spine
and in children.
Appendicial type
• Uncommon lesion (< 5%).
• Isolated infection of pedicles & laminae (neural arch),
transverse processes & spinous process.
• May occur in conjunction with typical paradiscal variant
• Radiographically, they appear as erosive lesions,
paravertebral shadows with intact disc space.
• Rarely, present as synovitis of facet joints.
Paraspinal abscess
• With collapse of vertebral body, tubercular
granulation tissue, caseous matter, and necrotic
bone accumulate beneath ALL; rarely
posteriorly to epidural space (significant
morbidity)
• Gravitate along fascial planes & present
externally at some distance from site of original
lesion aka Burrowing abscesses
 In lumbar region, appear as paraspinal soft
tissue opacity and gravitate along psoas fascial
sheath & points into groin just below inguinal
ligament.
 In thoracic region, longitudinal
ligaments limit abscess, which is
seen as a fusiform radiopaque
shadow at or just below level of
involved vertebra (as posterior
mediastinal masses.) or may reach
ant chest wall in parasternal area by
tracking via intercostal vessels.
 Paravertebral abscesses can
penetrate lung, then esophagus,
bronchus, mediastinum, liver,
intestine
• A healed psoas abscess may calcify bilateral tuberculous psoas
abscesses with peripheral
calcification
Imaging modalities
• X Ray
• CT scan
• MRI
• Myelography
• Nuclear medicine scintigraphy
PLAIN RADIOGRAPH
• >50% of bone to be destroyed before a
lesion can be seen on X-ray. This
process takes approximately six
months.
• A reduction in vertebral height is often
seen with the irregularity of the
anterosuperior end plate being
relatively early and subtle sign.
• Due to the subligamentous extension
there may be some irregularity of the
anterior vertebral margin. This is a
classical appearance with TB
spondylitis.
obliteration of disk space with
destruction of adjacent end
plates and anterior wedging.
Roentgen triad:
primary vertebral lesion,
disc space narrowing and
paravertebral abscess
• Typical tubercular spondylitic features
in long standing paraspinal
abscesses
a} produce concave erosions
around ant margins of vertebral
bodies producing scalloped
appearance called Aneurysmal
phenomenon.
b} bilateral fusiform paraspinal soft
tissue shadow (out of proportion to
degree of osseous/discal
destruction) with calcifications.
• Skip lesions as involvement of non
contiguous vertebrae (7 – 10 %
cases).
DEFORMITIES:
• Knuckle/Gibbus/Kyphosis: degree of
angulation varies with site & extent of
disease
– More acute in Dorsal spine
– More severe in 1-2 vertebral involvement
– Despite striking deformity, spinal canal diameter
not sign altered
• Scoliosis: asymmetric or Unilateral
destruction of body or disc
• Anterior wedging
• Vertebra plana - single collapsed vertebr
• Ivory vertebra: healing phase
CT scan
• Early detection of bone/ soft tissue lesions (disc space
narrowing, kyphosis)
• Patterns of bony destruction.
• Calcifications in abscess (pathognomonic for TB)
• Evaluation of skip areas
• To guide biopsy
DISADVANTAGE
• Early destructive lesions of end plates may be missed
• Inadequate for marrow & cord assessment.
MRI
• Diagnostic modality of choice
Bone marrow involvement/ edema
Spinal canal/ cord
Higher sensitivity for detecting early infiltrative changes
(end plate + marrow)
Skip lesions demonstration
Tuberculous Spondylitis Pyogenic Spondylitis
Onset Insidious/ chronic Acute
Progress Slow Rapid
Site Thoracic spine Lumbar spine
X ray changes At presentation 2-3 wks aft presentation
Bone sclerosis Lack sclerosis Present
Periosteal reaction Little or absent Present
Multifocal involvement Multiple vertebrae(3 or
more)
Two or one
Disc involvement Late Early
Skip lesions Common Uncommon
Posterior element involve More frequent Less
Subligamentous spread common Less
Paraspinal mass Large Small
Abscess wall Thin and smooth Thick and irregular
Calcification Hallmark Rare
Spinal deformity Common (kyphosis) Not so
Tubercular Osteomyelitis
• Isolated TB osteomyelitis in absence of
associated TB arthritis relatively rare
• 2-3 % isolated long bone involvement
• Virtually any bone can be affected
• Most commonly bones of extremities, including
femur, tibia, small bones of hand & foot
• Onset – insidious
• Radiological changes are evident at the time of
clinical presentation.
Pathogenesis
• Hematogenous spread
• Primary focus- metaphysis
• Tubercle -> granulation tissue: intense
reactive hyperemia
• Enlarges -> breach of cortex &
periosteum, formation of soft tissue
exudates (abscess/ sinus)
• Growth plate is no barrier to spread,
In children, metaphyseal foci can
involve the growth plate. This feature
differentiates tuberculosis from
pyogenic infection.
• Metaphysis-epiphysis-joint involved
X-ray appearances
• Earliest lesion: eccentric osteolytic
focus in metaphysis.
• Sharply defined/ imperceptibly
faded into surrounding bone
• No surrounding sclerosis
• Little periosteal reaction
• Growth plate is no barrier to the
spread, thus transphyseal lesion
are more common and usually
epiphysis also involved along with
metaphysis at presentation.
• Uncommonly– arises in epiphysis
Well
circumscribed
epi and
metaphyseal
lesion.
Tubercular Arthritis
• Two theories of origin
– Invasion from adjacent
bony lesion
– hematogenous (Synovium)
• Usually monoarticular
• A monoarticular process must
be regarded as infective until
proved otherwise
• Lower limb > upper limb
• Any joints, but mainly large
weight bearing joints as hip &
knee
• By radiological features, tubercular arthropathy can be divided into
early and late stages:
• early stages (stage of synovitis and arthritis)
– periarticular demineralisation
– joint space widening (due to joint effusion)
– mild subchondral marginal erosion
• late stages (stage of erosion and destruction)
– gradual narrowing of joint space (there is involvement of articular
cartilage)
– severe subchondral erosion and destruction, Occasionally, wedge-
shaped areas of necrosis (kissing sequestra)
– pathological subluxation and dislocation
– fibrous ankylosis -
– atrophic changes in bones may occur and lead to atrophic arthropathy
(seen in shoulder joint as carries sicca)
Phemister triad
– Juxta-articular osteoporosis
– Peripherally located osseous erosions
– Gradual loss of joint space
• USG-
Detect effusion & guide aspiration
Soft tissue abscess
evaluate tendon sheaths & bursal spaces.
• CT scan-
Confirm equivocal study on X Ray
Evaluate complex anatomical structures (pelvis/ tarsus/
carpus/ SIJ)
Osseus destruction, soft tissue abscess
Calcification
Enhancement pattern
Guide biopsy
MRI
• Exact extent of intraosseus involvement
• Articular cartilage destruction
• Soft tissue involvement- abscess,
tenosynovitis, osteomyelitis, cellulitis, abscess
Tuberculosis of joints
• Hip- Bird’s beak appearance
of femoral head,Broken
Shenton’s line,Wandering
acetabulum,Mortar &
pestle appearance
• Knee, ankle
• Shoulder, wrist
• Sacroiliac joint
Differences between tubercular and
pyogenic arthritis
Tuberculous arthritis Pyogenic arthritis
Progression Slow Rapid
Bone erosion Peripheral Central
Joint space loss Gradual Early
Bony proliferation
(sclerosis, periostitis)
more Less
Ankylosis fibrous bony
Brucellosis
• Transmission is from unpasteurised milk or by
direct contact with affected animals.
• Organisms-Brucellus melitensis , Br abortus
• Bones affected in 10 percent and mostly spine-
lumbar is affected.
• Spinal lesions-disc and adjacent vertebra
rapidly destroyed
Syphilis
• Congenital
– Periostitis(Sabre tibia)
– Metaphysitis
– Osteomyelitis
– Dactylitis
• Acquired
– Periostitis
– Gumma
References
• Textbook of radiology and imaging David
Sutton 7th edition
• Grainger and Allison’s Diagnostic Radiology 6th
edition
• Fundamentals of Diagnostic Radiology Bryant
& Helms 4th edition
• Radiopedia
• Various internet sources
THANK YOU

Bone and joint infection presentation

  • 1.
    BONE AND JOINTINFECTION DR. AMIT RAUNIYAR RADIODIAGNOSIS, NAMS
  • 2.
    Outline • Osteomyelitis-pyogenic • Septicarthritis • Pyogenic spondylitis • Tubercular-Potts spine, osteomyelitis, arthritis • Others-syphilis, brucellosis
  • 3.
    • The termosteomyelitis implies an infection of bone and marrow. (osteo-myelo-itis) • Osteomyelitis most commonly results from bacterial infections, although fungi, parasites, and viruses can infect the bone and the marrow 3 Introduction
  • 4.
    Classification • Acute- diagnosedwithin 2 weeks of onset of symptoms • Subacute-Symptoms exceed 2 weeks duration • Chronic- diagnosed months after the onset of symptoms • All cases of osteomyelitis don’t progress through each of these phases as well. 4
  • 5.
    Classification • Pyogenic osteomyelitis •Non-pyogenic osteomyelitis: – tuberculous osteomyelitis – skeletal syphilis – fungal osteomyelitis
  • 6.
    Pathological Basis: Routeof infection • Hematological – Staphylococcus; Streptococcus,H. influenzae, gram –ve rods • Foreign bodies- implants prosthesis – Most common contamination at time of placement; skin commensals (staphylococcus) • Contiguous Spread: – Trauma, surgery – Open fracture 6
  • 7.
    Aetiology Age group commonuncommon rare Neonates Grp.B streptococus Staph.aureus Enteric bacilli Hemophilus influenza candida 1mo-3yrs Staph.aureus streptococci H.Influenza pseudomonas candida >3yrs Staph.aureus (80-90 %) Streptococci • Salmonella ( in sickle cell anemia) • Pseudomonas, E coli, Klebsiella (urinary tract infection) candida 7
  • 8.
    • Metaphyseal arteriesarise from neighboring systemic vessels, • Epiphyseal arteries arise from periarticular vascular arcades. • Cortical supply: – Periosteal vessels: outer 1/3rd of the cortex and – Nutrient or Medullary vessels: inner 2/3rd.
  • 11.
    Site of involvement •Common in children • Metaphysis around the knee joint is commonly involved in children. 12
  • 13.
  • 14.
  • 15.
    • A sequestrum: –represents a segment of necrotic bone that is separated from living bone by granulation tissue. – Sequestra- nidus for infection. – As sequestra are devitalized, they remain denser than surrounding vital bone which become demineralized due to hyperemia and immobilization. • An involucrum: – denotes a layer of living bone that has formed about the dead bone. • Cloaca-an opening in an involucrum which allows drainage of purulent and necrotic material out of the dead bone. 16
  • 16.
    CLINICAL PRESENTATION • Commonin childhood • High fever, a toxic state, and local signs of inflammation, although this presentation is certainly not uniform. • The adult form of hematogenous osteomyelitis may have a more insidious onset with a relatively longer period between the appearance of symptoms and signs and accurate diagnosis. 17
  • 17.
    Imaging modalities inosteomyelitis • Plain radiography • CT scan • MRI • Bone scan • Ultrasonography • Sinography • Guided Biopsy 18
  • 18.
    Plain radiography • Inthe early stage of osteomyelitis, the findings on conventional radiography may be normal 5 to 7 days in children and 10 to 14 days in adults after the onset of infection • A 30% to 50% loss of bone density must occur before a radiograph becomes abnormal. • Soft-tissue changes are the earliest manifestations – non specific – Swelling, with edema and blurring of fat planes is seen 19
  • 19.
    • Localized osteoporosisand bone resorption caused by infection in the medullary space with hyperemia, edema or abscess formation, and trabecular destruction occur. • Later, there is increased lysis and cortical lucency as infection spreads into the haversian and Volkmann's canals of the cortex. • Next are periostitis and involucrum formation, which are caused by subperiosteal abscess formation with lifting of the periosteum and bone formation . 20 Bone Changes:
  • 20.
    • Bony changes– - 10-14 days required – Local osteopenia (at the site of infection, usually metaphysis) is the earliest bony change. – Periosteal reaction follows – An involucrum is usually visualized after 3 weeks – Sequestrum is seen as dense, irregular bone surrounded by lucency (representing granulation tissue). – Cloacae (fistula tract) are seen as lucent areas which are created by external migration of dead pieces of bone with breakdown of skin and subcutaneous tissue. 21
  • 21.
  • 22.
    Radionuclide scanning: • Shouldprecede plain film examination in suspected bone infection. • Diagnosis can be confirmed as early as 48 hours after the onset of the disease, even if clinical signs are equivocal. • This may help to initiate early aggressive treatment to prevent gross bone destruction. 23
  • 23.
    Radionuclides used: • Tc99m labelled phosphonates: most commonly used • Ga - 67 labelled citrate scan • Indium-111 labelled WBC scan 24
  • 24.
    a) Plain filmshows no abnormality; b )blood flow phase and c) late phase shows increased bone tracer activity 25
  • 25.
    Tc - 99mscan • 3 phase scan: – Vascular flow phase (2-5 sec) – Blood pool phase (5 min) – Delayed phase (at 3-4 hours) • In osteomyelitis, there is increased uptake noted in all the three phases in the affected area. • In cellulitis, increased uptake is seen in first two phases. 26
  • 26.
    • Limitations: – Nonspecific (tumors, fractures etc give similar appearance) – False negative if blood vessels are occluded in the infective process by tamponade or thrombus (in neonates, up to 30% of scans may be negative because of this).
  • 28.
    CT scanning: • Lessvalue in the diagnosis in the acute infection • Useful in subacute and chronic Osteomyelitis. • Better evaluation of cortical bone, periosteum. • CT – guided biopsy can be used to obtain material for culture. • Demonstrate abnormalities earlier than conventional radiographs. • It is superior to MRI for visualizing bony destruction, and a bony sequestration. 29
  • 29.
    Chronic osteomyelitis oftibia in a 57-year-old man. A and B, Axial CTs of tibia-fibula show hypertrophic expanded new bone (involucrum) around the central dead bones (sequestra). - cortical break anteriorly at fistulous tract (cloaca). 30
  • 30.
    CT • Early findingsof osteomyelitis may include intramedullary gas or increased marrow density (>+20 HU difference to healthy side). • Chronic osteomyelitis shows sclerosis, demineralization, periosteal reaction and sequestra. • Sequestra are seen as dense or high attenuation spicules of bone lying in areas of osteolysis. • allows ready identification of these bony fragments, their position within the medullary cavity, and their relationship to the overlying cortex. • Cloacae, periostitis & local soft tissue masses are shown. These may enhance in CECT. 31
  • 31.
    Chronic osteomyelitis: CT.{A} On this transaxial scan, osteomyelitis has resulted in erosion of the anterior cortex of the tibia (arrow) and a sinus tract (arrowheads). --{B} In a second patient, transverse CT reveals bone destruction and a sequestrum in the calcaneus that have resulted from a pin tract infection. 32
  • 32.
    MRI • Modality ofchoice in the diagnosis of musculoskeletal infection: – Marrow abnormality is more sensitive indicator of disease than lytic changes seen in radiography, and appears much earlier in the course of the disease. – Demonstrates osteomyelitis as early as isotope scanning – Ischemia and destruction of cortex and marrow edema may be identified – Subsequent soft tissue extension of pus through cloacae and para-osseous abscesses may be seen. 33
  • 33.
    Signal changes withdifferent weightings T1WI T2WI STIR Normal Cortex Low signal Low signal Low signal Normal Medulla Very bright Less bright Low signal Edematous cortex Low signal Bright Very Bright Edematous medulla Low signal; Enhancement with Gd Bright Very Bright 34
  • 35.
    MR imaging featuresof osteomyelitis generally include the following 1. Marrow edema with or without associated contrast enhancement at early stages 2. Focal cortical destruction and associated periosteal elevation 3. Associated intraosseous or juxtacortical soft tissue abscesses or edema 4. Cloaca (marrow to periosteum) or sinus tract formation 5. Sequestrum or involucrum formation 36
  • 36.
    Ultrasonography • In acuteosteomyelitis, US changes are demonstrable 1 or 2 days after the onset of symptoms. • Ultrasound excels as a fast and cheap examination of the soft tissues. • USG guided aspiration of subperiosteal collection for bacterial culture. • It has little direct role in the assessment of osteomyelitis, as it is unable to visualise within bone • It does, however, have a role to play in the assessment of soft tissues and joints adjacent to infected bone, able to visualise soft tissue abscesses, cellulitis, subperiosteal collections and joint effusion 38
  • 37.
     Ultrasound studyin a patient with acute osteomyelitis of the right tibia 3 weeks after the onset of symptoms.  Transverse and sagittal high-resolution real-time ultrasound scans showing periosteal elevation as a thick echogenic line (arrow) and anechoic subperiosteal pus accumulation in the antero-medial aspect of the tibial shaft. 39
  • 38.
  • 39.
    Bone Biopsy • Aim: –To confirm the presence of infection and exclude tumor or other causes of radioloical lesion – To distinguish organism – To allow correct antibiotic treatment after appropriate sensitivities have been established • Blood cultures are positive in approximately 50 per cent of patients with acute hematogenous osteomyelitis. • Spine is the area more frequently biopsied. 41
  • 40.
    • Brodie abscessis an intraosseous abscess related to a focus of subacute pyogenic osteomyelitis. • They are found characteristically in subacute pyogenic osteomyelitis, usually of staphylococcal origin, but cultures are often negative. • common in children, more typically boys. • Appear mainly in the metaphysis, particularly that of the distal or proximal portions of the tibia. 42 Brodie's Abscess
  • 41.
    Plain radiograph • lyticlesion often in an oval configuration that is oriented along the long axis of the bone • surrounded by a thick dense rim of reactive sclerosis • lucent tortuous channel extending toward growth plate prior to physeal closure-tunneling (pathognomonic) • periosteal new-bone formation +/- adjacent soft- tissue swelling • may persist for many months
  • 43.
    • CT • centralintramedullary hypodense cystic lesion with thick rim ossification • extensive thick well-circumscribed periosteal reaction and bone sclerosis around the lesion could be seen • MRI • The “penumbra sign” - a rim lining of an abscess cavity with higher signal intensity than that of the main abscess on T1-weighted images
  • 44.
  • 45.
    • A scleroticnonpurulent form of osteomyelitis, also known as STERILE OSTEOMYELITIS. • There is intense proliferation of the periosteum leading to bony deposition - focal bulge of thickened cortex (sclerosing periosteal reaction). • no necrosis or purulent exudate and little granulation tissue are present. • It is rare, typically results from Staphylococcus aureus infection • Seen most commonly in the mandible 47 Garre's sclerosing osteomyelitis
  • 46.
     Chronic sclerosingosteomyelitis of Garre in a 39-year-old  AP (A) and lateral (B) radiographs of the tibia show osseous expansion and sclerosis of the midshaft.  C- CT scan (bone window) shows osseous expansion and sclerosis, cortical thickening, and serpinginous cortical lucency. 48
  • 47.
    Complications • Severe Osteolysis •Soft tissue abscess • Septic arthritis- extension into joint • Severe deformity • Epiphyseal Growth Disturbance • Neoplasms: Epithelioma of tract, Osteosarcoma • Secondary amyloidosis • Pathological fractures 49
  • 48.
    Pyogenic spondylitis/Infective discitis •infection involving the intervertebral disc and adjacent vertebra • paediatric age group- infection often starts in the intervertebral disc itself • Adults infection-infection starts at the vertebral body endplate, extending into the intervertebral disc space and then into the adjacent vertebral body endplate.
  • 49.
    Spinal infection: Sequentialstages. {A} An anterior subchondral focus in the vertebral body is typical. {B} Infection then may perforate the vertebral surface, reaching the intervertebral disc space. {C} With further spread of infection, contamination of the adjacent vertebral body and narrowing of the intervertebral disc space are recognizable. {D} With continued dissemination, infection may spread in a subligamentous fashion, eroding the anterior surface of the vertebral body (arrowhead), or perforating the anterior ligamentous structures (arrow). 53
  • 50.
    Spinal infection: MRimaging. Pyogenic spondylitis. { A} In this 61 year old man, a sagittal T1-weighted spin echo MR image shows abnormally low signal intensity in the marrow of the fourth and fifth cervical vertebral bodies with narrowing of the intervening disc. {B} A gadolinium-enhanced sagittal T1-weighted image reveals hyperintensity in the infected vertebral bodies and intervertebral disc. Similar hyperintensity is seen in the prevertebral soft tissues. 54
  • 51.
    Aetiology • Staphylococcus aureus(most common; 60%) • Streptococcus viridans (IVDU, immunocompromised) • gram-negative organisms, e.g. Enterobacter spp, E. coli • Location- • most commonly lumbar region • In most patients only two bodies are involved. and only rarely is the infection confined to one vertebral body.
  • 52.
    Investigations • Plain radiograph •Usually normal appearances up to 2-4 weeks. Thereafter disc space narrowing and irregularity or ill definition of the vertebral endplates can be seen. • CT • CT findings are similar to plain film but are more sensitive to earlier changes.
  • 53.
    • MRI – MRIis the imaging modality of choice – Fluid, bone marrow edema, vertebral endplate and soft tissues involvement – Bone scan Increased uptake
  • 54.
    Septic arthritis • Canoccur at any age, common in children • Organisms: – Staphylococcus - most common – Streptococcus – Pseudomonas • Usually monoarticular • Polyarticular in immunocompromised/ Steroid therapy 58
  • 55.
    • Joint maybe contaminated by: – Direct intervention – following Surgery, aspiration or perforating injury – Spread from adjacent bone – Hematogenous Spread – direct infection of Synovium by Septic emboli 59
  • 56.
    Radiologic features: • Initially,Synovial thickening and effusion distend the joint • Fat planes are displaced but may be blurred by edema • Demineralization occurs due to hyperemia and immobilization. • Following cartilage destruction, joint Space Is narrowed. • Articular Surface Is blurred initially and Is then eroded, both peripherally and centrally. • Severe cases may cause massive destruction, Separation of bone ends, Subluxation and dislocation • Bony ankylosis can occur 61
  • 58.
    • Ultrasonography isa useful technique to detect joint effusion and in aspiration. • Isotope scan will be positive at an early stage • CT can be used for biopsy • MRI is the investigation of choice in the early diagnosis of septic arthritis, where effusion and bone edema are clearly seen. 64
  • 59.
    Arthritis of hipin infants • Also called Tom Smith arthritis • Infection of hip joint is common in infants • Streptococcus is common in neonates • In infants, because of lax muscles around the hip and the cartilaginous nature of acetabulum, an effusion may dislocate the hip. • Gross metaphyseal destruction is soon apparent with cortical and medullary erosions. • Gross sequestration rapidly occurs and involucrum may involve the entire femur. • Femoral neck and head may be totally destroyed, though shaft usually heals. • Deformity and shortening result 66
  • 60.
  • 61.
    Skeletal Tuberculosis • Spine-50% • Arthritis- 30% • Osteomyelitis- 19% • Tenosynovitis/ Bursitis- 1%
  • 62.
    Mode of spread: •Usually hematogenous  Arterial  Batson’s plexus( from pelvis)  Organism: Mycobacterium tuberculosis • Abnormal CXR in < 50% patients. • Skeletal involvement coexist with urogenital involvement in 20-45%
  • 63.
  • 64.
    Tuberculosis of Spine(Pott’s spine) • Comprises 50% of skeletal TB • 3 or more vertebra typically affected • Vertebral body (anterior predilection) more commonly involved than posterior elements,
  • 66.
    Paradiscal type • Mostcommon site • Infective focus is in anterior aspect of vertebral body adjacent to subchondral bone plate. • Disk space narrowing is caused either by destruction of subchondral bone with subsequent herniation of the disc into the vertebral body or by direct involvement of the disc.
  • 67.
    Central type • Centredon vertebral body. • Disc not involved. • Vertebral collapse can occur, producing a vertebra plana appearance. • MR: signal abnormality of vertebral body with preservation of disc.
  • 68.
    Anterior type • Subperiosteallesion under ALL. • Pus spreads over multiple vertebral segments, stripping periosteum & ALL from ant surface of vertebral bodies. • Periosteal stripping renders vertebrae avascular & susceptible to infection. • Both pressure and ischemia combine to produce anterior scalloping. • Collapse of the vertebral body & diminution of disc space usually minimal & occurs late. • Relatively more common in thoracic spine and in children.
  • 69.
    Appendicial type • Uncommonlesion (< 5%). • Isolated infection of pedicles & laminae (neural arch), transverse processes & spinous process. • May occur in conjunction with typical paradiscal variant • Radiographically, they appear as erosive lesions, paravertebral shadows with intact disc space. • Rarely, present as synovitis of facet joints.
  • 70.
    Paraspinal abscess • Withcollapse of vertebral body, tubercular granulation tissue, caseous matter, and necrotic bone accumulate beneath ALL; rarely posteriorly to epidural space (significant morbidity) • Gravitate along fascial planes & present externally at some distance from site of original lesion aka Burrowing abscesses  In lumbar region, appear as paraspinal soft tissue opacity and gravitate along psoas fascial sheath & points into groin just below inguinal ligament.
  • 71.
     In thoracicregion, longitudinal ligaments limit abscess, which is seen as a fusiform radiopaque shadow at or just below level of involved vertebra (as posterior mediastinal masses.) or may reach ant chest wall in parasternal area by tracking via intercostal vessels.  Paravertebral abscesses can penetrate lung, then esophagus, bronchus, mediastinum, liver, intestine • A healed psoas abscess may calcify bilateral tuberculous psoas abscesses with peripheral calcification
  • 72.
    Imaging modalities • XRay • CT scan • MRI • Myelography • Nuclear medicine scintigraphy
  • 73.
    PLAIN RADIOGRAPH • >50%of bone to be destroyed before a lesion can be seen on X-ray. This process takes approximately six months. • A reduction in vertebral height is often seen with the irregularity of the anterosuperior end plate being relatively early and subtle sign. • Due to the subligamentous extension there may be some irregularity of the anterior vertebral margin. This is a classical appearance with TB spondylitis. obliteration of disk space with destruction of adjacent end plates and anterior wedging.
  • 74.
    Roentgen triad: primary vertebrallesion, disc space narrowing and paravertebral abscess
  • 75.
    • Typical tubercularspondylitic features in long standing paraspinal abscesses a} produce concave erosions around ant margins of vertebral bodies producing scalloped appearance called Aneurysmal phenomenon. b} bilateral fusiform paraspinal soft tissue shadow (out of proportion to degree of osseous/discal destruction) with calcifications. • Skip lesions as involvement of non contiguous vertebrae (7 – 10 % cases).
  • 76.
    DEFORMITIES: • Knuckle/Gibbus/Kyphosis: degreeof angulation varies with site & extent of disease – More acute in Dorsal spine – More severe in 1-2 vertebral involvement – Despite striking deformity, spinal canal diameter not sign altered • Scoliosis: asymmetric or Unilateral destruction of body or disc • Anterior wedging • Vertebra plana - single collapsed vertebr • Ivory vertebra: healing phase
  • 77.
    CT scan • Earlydetection of bone/ soft tissue lesions (disc space narrowing, kyphosis) • Patterns of bony destruction. • Calcifications in abscess (pathognomonic for TB) • Evaluation of skip areas • To guide biopsy DISADVANTAGE • Early destructive lesions of end plates may be missed • Inadequate for marrow & cord assessment.
  • 78.
    MRI • Diagnostic modalityof choice Bone marrow involvement/ edema Spinal canal/ cord Higher sensitivity for detecting early infiltrative changes (end plate + marrow) Skip lesions demonstration
  • 79.
    Tuberculous Spondylitis PyogenicSpondylitis Onset Insidious/ chronic Acute Progress Slow Rapid Site Thoracic spine Lumbar spine X ray changes At presentation 2-3 wks aft presentation Bone sclerosis Lack sclerosis Present Periosteal reaction Little or absent Present Multifocal involvement Multiple vertebrae(3 or more) Two or one Disc involvement Late Early Skip lesions Common Uncommon Posterior element involve More frequent Less Subligamentous spread common Less Paraspinal mass Large Small Abscess wall Thin and smooth Thick and irregular Calcification Hallmark Rare Spinal deformity Common (kyphosis) Not so
  • 80.
    Tubercular Osteomyelitis • IsolatedTB osteomyelitis in absence of associated TB arthritis relatively rare • 2-3 % isolated long bone involvement • Virtually any bone can be affected • Most commonly bones of extremities, including femur, tibia, small bones of hand & foot • Onset – insidious • Radiological changes are evident at the time of clinical presentation.
  • 81.
    Pathogenesis • Hematogenous spread •Primary focus- metaphysis • Tubercle -> granulation tissue: intense reactive hyperemia • Enlarges -> breach of cortex & periosteum, formation of soft tissue exudates (abscess/ sinus) • Growth plate is no barrier to spread, In children, metaphyseal foci can involve the growth plate. This feature differentiates tuberculosis from pyogenic infection. • Metaphysis-epiphysis-joint involved
  • 82.
    X-ray appearances • Earliestlesion: eccentric osteolytic focus in metaphysis. • Sharply defined/ imperceptibly faded into surrounding bone • No surrounding sclerosis • Little periosteal reaction • Growth plate is no barrier to the spread, thus transphyseal lesion are more common and usually epiphysis also involved along with metaphysis at presentation. • Uncommonly– arises in epiphysis Well circumscribed epi and metaphyseal lesion.
  • 84.
    Tubercular Arthritis • Twotheories of origin – Invasion from adjacent bony lesion – hematogenous (Synovium) • Usually monoarticular • A monoarticular process must be regarded as infective until proved otherwise • Lower limb > upper limb • Any joints, but mainly large weight bearing joints as hip & knee
  • 85.
    • By radiologicalfeatures, tubercular arthropathy can be divided into early and late stages: • early stages (stage of synovitis and arthritis) – periarticular demineralisation – joint space widening (due to joint effusion) – mild subchondral marginal erosion • late stages (stage of erosion and destruction) – gradual narrowing of joint space (there is involvement of articular cartilage) – severe subchondral erosion and destruction, Occasionally, wedge- shaped areas of necrosis (kissing sequestra) – pathological subluxation and dislocation – fibrous ankylosis - – atrophic changes in bones may occur and lead to atrophic arthropathy (seen in shoulder joint as carries sicca)
  • 86.
    Phemister triad – Juxta-articularosteoporosis – Peripherally located osseous erosions – Gradual loss of joint space
  • 87.
    • USG- Detect effusion& guide aspiration Soft tissue abscess evaluate tendon sheaths & bursal spaces. • CT scan- Confirm equivocal study on X Ray Evaluate complex anatomical structures (pelvis/ tarsus/ carpus/ SIJ) Osseus destruction, soft tissue abscess Calcification Enhancement pattern Guide biopsy
  • 88.
    MRI • Exact extentof intraosseus involvement • Articular cartilage destruction • Soft tissue involvement- abscess, tenosynovitis, osteomyelitis, cellulitis, abscess
  • 89.
    Tuberculosis of joints •Hip- Bird’s beak appearance of femoral head,Broken Shenton’s line,Wandering acetabulum,Mortar & pestle appearance • Knee, ankle • Shoulder, wrist • Sacroiliac joint
  • 90.
    Differences between tubercularand pyogenic arthritis Tuberculous arthritis Pyogenic arthritis Progression Slow Rapid Bone erosion Peripheral Central Joint space loss Gradual Early Bony proliferation (sclerosis, periostitis) more Less Ankylosis fibrous bony
  • 91.
    Brucellosis • Transmission isfrom unpasteurised milk or by direct contact with affected animals. • Organisms-Brucellus melitensis , Br abortus • Bones affected in 10 percent and mostly spine- lumbar is affected. • Spinal lesions-disc and adjacent vertebra rapidly destroyed
  • 92.
    Syphilis • Congenital – Periostitis(Sabretibia) – Metaphysitis – Osteomyelitis – Dactylitis • Acquired – Periostitis – Gumma
  • 93.
    References • Textbook ofradiology and imaging David Sutton 7th edition • Grainger and Allison’s Diagnostic Radiology 6th edition • Fundamentals of Diagnostic Radiology Bryant & Helms 4th edition • Radiopedia • Various internet sources
  • 94.

Editor's Notes

  • #4 Joints and bone poor blood supply compared to soft tissues more likely to become chronic and recurrent if they are not adequately treated in the early stages. Difficult to treat infection characterized by the progressive inflammatory destruction and new apposition of bone.
  • #7 Coagulase negative staphs
  • #13 Single or multiple bones can be infected; In the younger age group, the long tubular bones of the extremities (femur, humerus, tibia) are especially vulnerable; In adults, hematogenous osteomyelitis is encountered more frequently in the axial skeleton. In infants, group B streptococcus typically involves a single bone, particularly the humerus.
  • #20 Destruction of >60% of trabecular bone is necessary before osteomyelitis can be detected reliably.
  • #23 Transepiphyseal growth in TB osteomyelitis
  • #26 Plain film and Tc-99m-MDP in a 16-year-old patient with acute osteomyelitis of the left distal tibial metaphysis 10 days after the onset of symptoms.
  • #51 Ewing’s sarcoma: Peak age 15 yrs, severe localised pain, soft tissue mass, fever, leukocytosis Location: most commonly in femur (metadiaphyseal), can also be in flat bones. Mostly lytic lesion with mottle moth-eaten destructive permeative lesion Penetration into soft tissue with preservation of tissue plane (DDx: osteomyelitis with diffuse soft tissue swelling) Fusiform lamellated onion-skin periosteal reaction. DDx: osteomyelitis – duration of pain <2 wks Osteosarcoma: Young adults Aggressive periosteal reaction Eosinophilic granuloma: Usually flat bones (skull and axial skeleton) Mostly diaphyseal location in tubular bones Expansile lytic lesion with ill-defined/sclerotic edges Lesion respect joint space and growth plate
  • #76 Infection starts from center of vertebral body; reaches there through Batson’s venous plexus or through posterior vertebral artery.
  • #79 Tuberculous spondylitis. Axial CT scan demonstrates lytic destruction of the vertebral body (black arrow) with an adjoining soft-tissue abscess (white arrow). (25) Iliopsoas abscess. Axial CT scan demonstrates large, multiloculated iliopsoas abscesses bilaterally (arrowheads). Note also the presacral abscess (solid arrow) accompanied by erosion of the anterior sacrum (open arrow)
  • #95 Tuberculous arthritis of the knee joint. Ra polyarticular early and significant loss of joint space Frontal radiograph demonstrates periarticular osteopenia (black arrow), peripheral osseous erosions (white arrow), and relative preservation of the joint space.
  • #98 (Grossly destroyed, collapsed head & neck of femur in an enlarged acetabulum)