Disturbances iinn iinntteerrssttiittiiaall 
fflluuiidd aammoouunntt.. 
DDiissttuurrbbaanncceess ooff bblloooodd 
cciirrccuullaattiioonn:: vveennoouuss hhyyppeerreemmiiaa,, 
bblleeeeddiinngg,, hheemmoorrrrhhaaggee,, ssttaassiiss.. 
SShhoocckk..
DDIISSTTUURRBBAANNCCEESS IINN IINNTTEERRSSTTIITTIIAALL FFLLUUIIDD 
AAMMOOUUNNTT MMAAYY BBEE:: 
 iinnccrreeaasseedd ccoonnttaaiinnmmeenntt ooff iinntteerrssttiittiiaall fflluuiidd 
((eeddeemmaa)) 
 ddeeccrreeaasseedd ((rreedduuccttiioonn)) ccoonnttaaiinnmmeenntt ooff 
iinntteerrssttiittiiaall fflluuiidd ((ddeehhyyddrraattaattiioonn))
PATHOGENETIC CCLLAASSSSIIFFIICCAATTIIOONN OOFF 
EEDDEEMMAASS:: 
 hhyyddrroossttaattiicc 
 ооnnccoottiicc ((ccoollllooiidd--oossmmoottiicc)) 
 mmeemmbbrraannooggeenniicc 
 ffrroomm rreetteennttiioonn ooff wwaatteerr aanndd eelleeccttrroollyytteess 
 llyymmpphhooggeenniicc
CCllaassssiiffiiccaattiioonn ooff eeddeemmaass aaccccoorrddiinngg 
ooff ccaauusseess ((eettiioollooggyy)):: 
 ccoonnggeessttiivvee 
 ccaarrddiiaacc 
 rreennaall 
 ddeeggeenneerraattiivvee 
 dduuee ttoo ccaacchheexxiiaa 
 iinnffllaammmmaattoorryy 
 aalllleerrggiicc 
 ttooxxiicc 
 nneeuurroottiicc 
 ttrraauummaattiicc
RReedduuccttiioonn iinn iinntteerrssttiittiiaall fflluuiidd 
aammoouunntt mmaayy ooccccuurr iinn rraappiidd 
lloossss ooff ggrreeaatt aammoouunntt ooff fflluuiidd 
((cchhoolleerraa,, pprroolloonnggeedd ddiiaarrrrhheeaa))..
Groups of ddiissttuurrbbaanncceess ooff bblloooodd cciirrccuullaattiioonn:: 
II ggrroouupp –– ddiissttuurrbbaanncceess ooff bblloooodd ffiilllliinngg 
 hhyyppeerreemmiiaa ((aarrtteerriiaall aanndd vveennoouuss)) 
 aanneemmiiaa 
IIII ggrroouupp –– ddiissttuurrbbaanncceess ooff bblloooodd vveesssseell wwaallll 
ppeerrmmeeaabbiilliittyy 
 bblleeeeddiinngg ((hheemmoorrrrhhaaggee)) 
 ppllaassmmoorrrrhhaaggiiaa 
IIIIII ggrroouupp–– ddiissttuurrbbaanncceess ooff bblloooodd rreeoollooggyy 
 ssttaassiiss 
 sslluuddggee 
 tthhrroommbboossiiss 
 eemmbboolliissmm
AArrtteerriiaall hhyyppeerreemmiiaa –– iiss iinnccrreeaasseedd 
bblloooodd ffiilllliinngg ooff tthhee oorrggaann oorr ttiissssuuee dduuee ttoo 
iinnccrreeaasseedd ffllooww ooff tthhee aarrtteerriiaall bblloooodd ((mmaayy bbee 
pphhyyssiioollooggiiccaall)) 
 aannggiioonneeuurroottiicc ((nneeuurrooppaarraallyyttiicc)) 
 ccoollllaatteerraall 
 ppoossttaanneemmiicc 
 vvaaccaanntt 
 iinnffllaammmmaattoorryy 
 hhyyppeerreemmiiaa ccaauusseedd bbyy aannggiioovveennoouuss ffiissttuullaa
VVeennoouuss hhyyppeerreemmiiaa –– iiss iinnccrreeaasseedd ffiilllliinngg 
wwiitthh bblloooodd ooff tthhee oorrggaann oorr ttiissssuuee dduuee ttoo 
ddiiffffiiccuullttiieess wwiitthh bblloooodd oouuttffllooww wwhheenn bblloooodd 
ssuuppppllyy iiss nnoott cchhaannggeess oorr ddeeccrreeaasseedd 
aaccccoorrddiinngg ttoo sspprreeeeddiinngg 
 ggeenneerraall 
 llooccaall 
aaccccoorrddiinngg ttoo cclliinniiccaall ccoouurrssee 
 aaccuuttee 
 cchhrroonniicc
DDiisseeaasseess wwhhiicchh aaccccoommppaannyy ffoorrmmaattiioonn ooff 
ggeenneerraall vveennoouussee bblloooodd ccoonnggeessttiioonn:: 
AAccuuttee ggeenneerraall vveennoouuss ccoonnggeessttiioonn 
 iinnffaarrccttiioonn mmyyooccaarrddiiaall 
 aaccuuttee mmyyooccaarrddiittiiss 
 mmyyooccaarrddiiooddyysstthhrroopphhiieess 
CChhrroonniicc ggeenneerraall vveennoouuss ccoonnggeessttiioonn 
 ddeeccoommppeennssaattiioonn ooff mmuuooccaarrddiiaall hhyyppeerrttrroopphhyy iinn 
ccaasseess ooff pprriimmaarryy eesssseennttiiaall hhyyppeerrtteennssiioonn,, mmiittrraall 
sstteennoossiiss aatt ootthheerr,, 
 ccaarrddiioosscclleerroossiiss ooff ddiiffffeerreenntt ggeenneessiiss ((cchhrroonniicc 
iisscchheemmiicc ddiisseeaassee,, cchhrroonniicc mmyyooccaarrddiittiiss)) 
 cchhrroonniicc ddiisseeaasseess ooff lluunngg wwiitthh ppnneeuummoosscclleerroossiiss
MMiiccrroossccooppiiccaall cchhaannggeess 
ooff oorrggaannss aanndd ttiissssuueess iinn aaccuuttee 
vveennoouuss ccoonnggeessttiioonn:: 
 ssttrreettcchheedd aanndd pplleetthhoorriicc vveeiinnss aanndd vveennuulleess 
 ssttaassiiss aanndd sslluuddggee iinn ccaappiillllaarriieess dduuee ttoo 
ddiissttuurrbbaanncceess ooff ffllooww ooff bblloooodd,, 
 eexxiitt ooff fflluuiidd ppaarrtt ooff ppllaassmmaa wwiitthh pprrootteeiinnss ffrroomm 
vveesssseellss wwaallllss ((ppllaassmmoorrrrhhaaggiiaa)) 
 wwiitthh ddeevveellooppmmeenntt ooff ooeeddeemmaa aass ccoonnsseeqquueennccee,, 
 eexxiitt ooff eerriitthhrrooccyytteess tthhrroouugghh vveesssseellss wwaallll wwiitthh 
ddeevveellooppmmeenntt ooff mmuullttiippllee ddiiaappeeddeessiiss 
hheemmoorrrrhhaaggeess ,, 
 ddeevveellooppmmeenntt ooff ddeeggeenneerraattiioonn oorr nneeccrroossiiss ooff 
ppaarreenncchhyymmaattoouuss cceellllss..
MMiiccrroossccooppiiccaall cchhaannggeess iinn cchhrroonniicc 
vveennoouuss ccoonnggeessttiioonn :: 
 tthhee ssaammee aass iinn aaccuuttee ggeenneerraall vveennoouuss 
hhyyppeerreemmiiaa 
pplluuss 
 aattrroopphhyy ooff ppaarreenncchhyymmaattoouuss cceellllss,, 
 sscclleerroossiiss,, bbeeccaauussee iitt''ss kknnoowwnn tthhaatt 
ccoollllaaggeenn ffiibbrroobbllaasstt pprroodduuccttiioonn iinnccrreeaasseess 
dduuee ttoo cchhrroonniicc hhyyppooxxiiaa
MMoorrpphhoollooggiiccaall cchhaannggeess iinn oorrggaannss aanndd ttiissssuueess 
wwhhiicchh aarree ooccccuurrrreedd iinn ccoorrppsseess aatt aauuttooppssyy iinn 
ccaasseess ooff cchhrroonniicc ccaarrddiioovvaassccuullaarr iinnssuuffffiicciieennccyy:: 
 ccyyaannoossiiss ooff sskkiinn.. 
 OOeeddeemmaa ooff ssuubbccuuttaanneeoouuss ffaattttyy ttiissssuuee 
 aasscciittiiss ((hhyyddrrooppeerriittoonneeuumm)),, hhyyddrrootthhoorraaxx,, 
hhyyddrrooppeerriiccaarrddiiuumm 
 ""nnuuttmmeegg"" lliivveerr 
 ""bbrroowwnn iinndduurraattiioonn"" ooff tthhee lluunnggss 
 ccyyaannoottiicc iinndduurraattiioonn ooff kkiiddnneeyyss aanndd sspplleeeenn
IIII ggrroouupp –– ddiissttuurrbbaanncceess ooff bblloooodd 
vveesssseell wwaallll ppeerrmmeeaabbiilliittyy 
 bblleeeeddiinngg 
((hheemmoorrrrhhaaggee)) 
 ppllaassmmoorrrrhhaaggiiaa
BBlleeeeddiinngg ((hheemmoorrrrhhaaggee)) iiss eexxiitt ooff tthhee bblloooodd ffrroomm 
tthhee lluummeenn ooff tthhee vveesssseell oorr ffrroomm tthhee hheeaarrtt ccaavviittyy 
wwhhiicchh mmaayy aaccccoommppaannyy aaccccuummuullaattiioonn ooff tthhee bblloooodd 
iinn ttiissssuueess ((hheemmoorrrrhhaaggee)) 
 epistaxis - bleeding ffrroomm tthhee nnoossee,, 
 hheemmootteemmeessiiss -- vvoommiittiinngg ooff bblloooodd,, 
 mmeelleennaa –– ffaaeecceess lliikkee ttaarr iinn ccaassee ooff bblleeeeddiinngg ffrroomm tthhee 
iinntteessttiinnee,, 
 hheemmooppeerriittoonneeuumm,, 
 hheemmootthhoorraaxx,, 
 hheemmooppeerriiccaarrddiiuumm 
 hheemmaarrttrroossiiss 
 hheemmaattoommeettrraa
TTyyppeess ooff hheemmoorrrrhhaaggeess 
 hheemmaattoommaa -- aaccccuummuullaattiioonn ooff bblloooodd iinn 
ttiissssuueess wwiitthh tthheeiirr ddeessttrruuccttiioonn ((wwhhiicchh iiss 
aassssoocciiaatteedd wwiitthh ttiissssuuee nneeccrroossiiss)) 
 hheemmoorrrrhhaaggiicc ssaattuurraattiioonn –– 
aaccccuummuullaattiioonn ooff bblloooodd iinn ttiissssuueess wwiitthhoouutt 
tthheeiirr ddeessttrruuccttiioonn 
 eecccchhyymmoosseess –– mmuullttiippllee ssmmaallll ppeetteecchhiiaass 
((ppooiinntt--lliikkee hheemmoorrrrhhaaggee)) ppeerr ddiiaappeeddeessiiss 
 bbrruuiissee –– llaarrggee eexxttrraavvaassaattiioonnss ooff bblloooodd 
iinnttoo tthhee sskkiinn aanndd mmuuccoouuss mmeemmbbrraanneess
OOuuttccoommeess ooff hheemmoorrrrhhaaggeess:: 
 bblloooodd rreessoorrppttiioonn 
 llooccaall hheemmoossiiddeerroossiiss 
 oorrggaanniizzaattiioonn 
 eennccaappssuullaattiioonn 
 ppeettrriiffaaccttiioonn ((ccaallcciiffiiccaattiioonn)) 
 ccyysstt ffoorrmmaattiioonn ((bbrraaiinn)) 
 ssuuppppuurraattiioonn
MMeecchhaanniissmmss ooff bblleeeeddiinngg:: 
 rruuppttuurree ooff tthhee vveesssseell ((ppeerr rrhheexxiinn)) 
((hhaaeemmoorrrrhhaaggiiaa ppeerr rrhheexxiinn)) 
 ccoorrrroossiioonn ooff tthhee vveesssseell ((ppeerr ddiiaabbrroossiinn)) 
((hhaaeemmoorrrrhhaaggiiaa ppeerr ddiiaabbrroossiinn)) 
 ddiiaappeeddeessiiss ((ppeerr ddiiaappeeddeessiinn)) 
((hhaaeemmoorrrrhhaaggiiaa ppeerr ddiiaappeeddeessiiss))
According to tthhee oorriiggiinn bblleeeeddiinnggss 
iinncclluuddee 
 aarrtteerriiaall 
 vveennoouuss 
 ccaappiillllaarriiss 
 ppaarreenncchhyymmaattoouuss 
 ffrroomm hheeaarrtt,,ss ccaavviittiieess
PPllaassmmoorrrrhhaaggiiaa 
eexxiitt ooff ppllaassmmaa ffrroomm tthhee cciirrccuullaattoorryy 
ssyysstteemm wwiitthh ffoolllloowwiinngg ffoorrmmaattiioonn ooff 
ppllaassmmaattiicc ssaattuurraattiioonn ooff vveesssseellss 
wwaallllss 
OOuuttccoommee ooff ppllaassmmoorrrrhhaaggiiaa –– ffiibbrriinnooiidd 
nneeccrroossiiss aanndd hhyyaalliinnoossiiss ooff vveesssseellss
SSttaassiiss 
iiss aarrrreesstt ooff bblloooodd ffllooww iinn tthhee vveesssseellss ooff 
mmiiccrroocciirrccuullaattoorryy ssyysstteemm ((ccaappiillllaarriieess)).. 
CCaauusseess ooff ssttaassiiss:: 
- pphhyyssiiccaall ffaaccttoorrss ((tteemmppeerraattuurree eelleevvaattiioonn,, 
ccoolldd));; 
- cchheemmiiccaall ffaaccttoorrss;; 
- iinnffeeccttiioonn;; 
- iinnffeeccttiioouuss--aalllleerrggiicc ffaaccttoorrss;; 
- aauuttooiimmmmuunnee ffaaccttoorrss..
SSlluuddggee ssyynnddrroommee 
((pphheennoommeennoonn)) iiss rreeggaarrddeedd aass aa 
ttyyppee ooff ssttaassiiss 
ssttiicckkiinngg ooff eerryytthhrrooccyytteess,, lleeuukkooccyytteess 
aanndd tthhrroommbbooccyytteess ttoo eeaacchh ootthheerr,, 
wwhhiicchh iiss aaccccoommppaanniieedd bbyy bblloooodd 
vviissccoossiittyy iinnccrreeaassee
SShhoocckk 
iiss aaccuuttee ppaatthhoollooggiicc pprroocceessss 
dduuee ttoo ddeevveellooppmmeenntt ooff 
eexxttrraappoowweerrffuull ssttiimmuullii aanndd 
cchhaarraacctteerriizzeedd bbyy ddiissttuurrbbaanncceess 
iinn CCNNSS ffuunnccttiioonn mmeettaabboolliissmm 
aanndd mmiiccrroocciirrccuullaattoorryy ssyysstteemm 
aauuttoorreegguullaalliioonn rreessuullttiinngg iinn 
ddeessttrruuccttiivvee cchhaannggeess iinn tthhee 
oorrggaannss aanndd ttiissssuueess..
CCllaassssiiffiiccaattiioonn ooff sshhoocckk 
aaccccoorrddiinngg ttoo eettiioollooggyy aanndd 
ppaatthhooggeenneessiiss 
 HHyyppoovvoolluummiicc ((bblloooodd lloossss,, ttrraauummaa,, ppeerriittoonniittiiss,, 
cchhoolleerraa)).. 
 CCaarrddiiooggeenniicc ((ccaauusseedd bbyy tthhee rreedduuccttiioonn iinn 
ccaarrddiiaacc oouuttppuutt iinn mmyyooccaarrddiiaall iinnffaarrccttiioonn,, 
vvaassccuullaarr iinnssuuffffiicciieennccyy)).. 
 BBaacctteerriiaall ((ccaauusseedd bbyy eennddoottooxxiinnss)).. 
 NNeeuurrooggeenniicc ((iinn iinnttooxxiiccaattiioonn wwiitthh hhyyppnnoottiicc 
pprreeppaarraattiioonnss,, ggaanngglliioobblloocckkeerrss,, nnaarrccoottiiccss)).. 
 AAnnaapphhyyllaaccttiicc ((iimmmmeeddiiaattee rreeaaccttiioonn ooff 
hhyyppeerrsseennssiittiivviittyy))..
SSttaaggeess aanndd mmoorrpphhoollooggyy ooff 
sshhoocckk 
 11sstt ssttaaggee –– tthhee ssttaaggee ooff hheemmooddyynnaammiicc cchhaannggeess 
-- ddeeccrreeaassee ooff bblloooodd cciirrccuullaattiioonn vvoolluummee 
-- bblloooodd ddeeppoott iinn sskkiinn,, iinntteessttiinnee,, lliivveerr,, sspplleeeenn 
-- bblloooodd sshhuunntt iinn kkiiddnneeyyss,, lliivveerr,, lluunnggss 
 22sstt ssttaaggee –– tthhee ssttaaggee ooff rreeoollooggiicc cchhaannggeess 
-- ssttaassiisseess,, sslluuddggeess aanndd mmiiccrrootthhrroommbboossiiss iinn 
mmiiccrroocciirrccuullaattoorryy ssyysstteemm 
-- vvaassccuullaarr ppeerrmmeeaabbiilliittyy iinnccrreeaassee ((ppllaassmmoorrrrhhaaggiiaa,, eeddeemmaa)) 
-- hheemmoorrrrhhaaggee ssyynnddrroommee 
 33dd ssttaaggee –– tthhee ssttaaggee ooff DDIICC ((ddiisssseemmiinnaatteedd 
iinnttrraavvaassccuullaarr ccooaagguullaattiioonn)) ssyynnddrroommee 
-- hheemmoorrrrhhaaggee ssyynnddrroommee,, eeddeemmaa aanndd ppllaassmmoorrrrhhaaggiiaa 
-- mmuullttiippllee tthhrroommbboossiiss iinn mmiiccrroocciirrccuullaattoorryy ssyysstteemm 
-- ddeeggeenneerraattiioonn aanndd nneeccrroossiiss iinn oorrggaannss aanndd ttiissssuuee ffrroomm 
iisshheemmiiaa 
 44sstt ssttaaggee –– oouuttccoommeess
TThhee mmoosstt pprroommiinneenntt cchhaannggeess ddeevveelloopp 
iinn ppaarreenncchhyymmaattoouuss oorrggaannss.. 
-- sshhoocckk kkiiddnneeyy,, ddeeggeenneerraattiioonn aanndd nneeccrroossiiss iinn pprrooxxiimmaall 
ccaannaallss wwiitthh ddeevveellooppmmeenntt ooff nneeccrroottiicc nneepphhrroossiiss ((oorr 
ssyymmmmeettrriiccaall ccoorrttiiccaall nneeccrroosseess)) wwhhiicchh rreessuullttss iinn aaccuuttee 
rreennaall iinnssuuffffiicciieennccyy;; 
-- sshhoocckk lliivveerr,, ggllyyccooggeenn aammoouunntt iinn tthhee hheeppaattooccyytteess 
ddeeccrreeaasseess,, hhyyddrrooppiicc ddeeggeenneerraattiioonn aanndd cceennttrroolloobbuullaarr 
nneeccrroosseess rreessuullttiinngg iinn aaccuuttee hheeppaattiicc iinnssuuffffiicciieennccyy.. 
CCoommbbiinnaattiioonn ooff rreennaall aanndd hheeppaattiicc iinnssuuffffiicciieennccyy iiss ccaalllleedd 
hheeppaattoorreennaall ssyynnddrroommee.. 
-- sshhoocckk lluunngg,, aatteelleeccttaassiiss ffooccii,, hheemmoorrrrhhaaggeess ,,eeddeemmaa,, 
hhyyppeerreemmiiaa aanndd tthhrroommbboosseess iinn tthhee mmiiccrroocciirrccuullaattoorryy 
rreessuullttiinngg iinn aaccuuttee rreessppiirraattoorryy iinnssuuffffiicciieennccyy.. 
-- sshhoocckk hheeaarrtt,, ddeeggeenneerraattiioonn aanndd nneeccrroossiiss iinn 
ccaarrddiioommyyooccyytteess,, rreedduuccttiioonn iinn ggllyyccooggeenn aammoouunntt,, ffaatt 
ddeeggeenneerraattiioonn,, nneeccrroossiiss ffooccii..
Blood cicrulation disturbanses 1

Blood cicrulation disturbanses 1

  • 1.
    Disturbances iinn iinntteerrssttiittiiaall fflluuiidd aammoouunntt.. DDiissttuurrbbaanncceess ooff bblloooodd cciirrccuullaattiioonn:: vveennoouuss hhyyppeerreemmiiaa,, bblleeeeddiinngg,, hheemmoorrrrhhaaggee,, ssttaassiiss.. SShhoocckk..
  • 2.
    DDIISSTTUURRBBAANNCCEESS IINN IINNTTEERRSSTTIITTIIAALLFFLLUUIIDD AAMMOOUUNNTT MMAAYY BBEE::  iinnccrreeaasseedd ccoonnttaaiinnmmeenntt ooff iinntteerrssttiittiiaall fflluuiidd ((eeddeemmaa))  ddeeccrreeaasseedd ((rreedduuccttiioonn)) ccoonnttaaiinnmmeenntt ooff iinntteerrssttiittiiaall fflluuiidd ((ddeehhyyddrraattaattiioonn))
  • 3.
    PATHOGENETIC CCLLAASSSSIIFFIICCAATTIIOONN OOFF EEDDEEMMAASS::  hhyyddrroossttaattiicc  ооnnccoottiicc ((ccoollllooiidd--oossmmoottiicc))  mmeemmbbrraannooggeenniicc  ffrroomm rreetteennttiioonn ooff wwaatteerr aanndd eelleeccttrroollyytteess  llyymmpphhooggeenniicc
  • 7.
    CCllaassssiiffiiccaattiioonn ooff eeddeemmaassaaccccoorrddiinngg ooff ccaauusseess ((eettiioollooggyy))::  ccoonnggeessttiivvee  ccaarrddiiaacc  rreennaall  ddeeggeenneerraattiivvee  dduuee ttoo ccaacchheexxiiaa  iinnffllaammmmaattoorryy  aalllleerrggiicc  ttooxxiicc  nneeuurroottiicc  ttrraauummaattiicc
  • 8.
    RReedduuccttiioonn iinn iinntteerrssttiittiiaallfflluuiidd aammoouunntt mmaayy ooccccuurr iinn rraappiidd lloossss ooff ggrreeaatt aammoouunntt ooff fflluuiidd ((cchhoolleerraa,, pprroolloonnggeedd ddiiaarrrrhheeaa))..
  • 9.
    Groups of ddiissttuurrbbaanncceessooff bblloooodd cciirrccuullaattiioonn:: II ggrroouupp –– ddiissttuurrbbaanncceess ooff bblloooodd ffiilllliinngg  hhyyppeerreemmiiaa ((aarrtteerriiaall aanndd vveennoouuss))  aanneemmiiaa IIII ggrroouupp –– ddiissttuurrbbaanncceess ooff bblloooodd vveesssseell wwaallll ppeerrmmeeaabbiilliittyy  bblleeeeddiinngg ((hheemmoorrrrhhaaggee))  ppllaassmmoorrrrhhaaggiiaa IIIIII ggrroouupp–– ddiissttuurrbbaanncceess ooff bblloooodd rreeoollooggyy  ssttaassiiss  sslluuddggee  tthhrroommbboossiiss  eemmbboolliissmm
  • 10.
    AArrtteerriiaall hhyyppeerreemmiiaa ––iiss iinnccrreeaasseedd bblloooodd ffiilllliinngg ooff tthhee oorrggaann oorr ttiissssuuee dduuee ttoo iinnccrreeaasseedd ffllooww ooff tthhee aarrtteerriiaall bblloooodd ((mmaayy bbee pphhyyssiioollooggiiccaall))  aannggiioonneeuurroottiicc ((nneeuurrooppaarraallyyttiicc))  ccoollllaatteerraall  ppoossttaanneemmiicc  vvaaccaanntt  iinnffllaammmmaattoorryy  hhyyppeerreemmiiaa ccaauusseedd bbyy aannggiioovveennoouuss ffiissttuullaa
  • 11.
    VVeennoouuss hhyyppeerreemmiiaa ––iiss iinnccrreeaasseedd ffiilllliinngg wwiitthh bblloooodd ooff tthhee oorrggaann oorr ttiissssuuee dduuee ttoo ddiiffffiiccuullttiieess wwiitthh bblloooodd oouuttffllooww wwhheenn bblloooodd ssuuppppllyy iiss nnoott cchhaannggeess oorr ddeeccrreeaasseedd aaccccoorrddiinngg ttoo sspprreeeeddiinngg  ggeenneerraall  llooccaall aaccccoorrddiinngg ttoo cclliinniiccaall ccoouurrssee  aaccuuttee  cchhrroonniicc
  • 12.
    DDiisseeaasseess wwhhiicchh aaccccoommppaannyyffoorrmmaattiioonn ooff ggeenneerraall vveennoouussee bblloooodd ccoonnggeessttiioonn:: AAccuuttee ggeenneerraall vveennoouuss ccoonnggeessttiioonn  iinnffaarrccttiioonn mmyyooccaarrddiiaall  aaccuuttee mmyyooccaarrddiittiiss  mmyyooccaarrddiiooddyysstthhrroopphhiieess CChhrroonniicc ggeenneerraall vveennoouuss ccoonnggeessttiioonn  ddeeccoommppeennssaattiioonn ooff mmuuooccaarrddiiaall hhyyppeerrttrroopphhyy iinn ccaasseess ooff pprriimmaarryy eesssseennttiiaall hhyyppeerrtteennssiioonn,, mmiittrraall sstteennoossiiss aatt ootthheerr,,  ccaarrddiioosscclleerroossiiss ooff ddiiffffeerreenntt ggeenneessiiss ((cchhrroonniicc iisscchheemmiicc ddiisseeaassee,, cchhrroonniicc mmyyooccaarrddiittiiss))  cchhrroonniicc ddiisseeaasseess ooff lluunngg wwiitthh ppnneeuummoosscclleerroossiiss
  • 13.
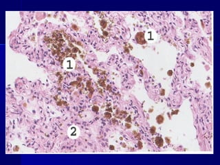
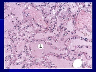
    MMiiccrroossccooppiiccaall cchhaannggeess ooffoorrggaannss aanndd ttiissssuueess iinn aaccuuttee vveennoouuss ccoonnggeessttiioonn::  ssttrreettcchheedd aanndd pplleetthhoorriicc vveeiinnss aanndd vveennuulleess  ssttaassiiss aanndd sslluuddggee iinn ccaappiillllaarriieess dduuee ttoo ddiissttuurrbbaanncceess ooff ffllooww ooff bblloooodd,,  eexxiitt ooff fflluuiidd ppaarrtt ooff ppllaassmmaa wwiitthh pprrootteeiinnss ffrroomm vveesssseellss wwaallllss ((ppllaassmmoorrrrhhaaggiiaa))  wwiitthh ddeevveellooppmmeenntt ooff ooeeddeemmaa aass ccoonnsseeqquueennccee,,  eexxiitt ooff eerriitthhrrooccyytteess tthhrroouugghh vveesssseellss wwaallll wwiitthh ddeevveellooppmmeenntt ooff mmuullttiippllee ddiiaappeeddeessiiss hheemmoorrrrhhaaggeess ,,  ddeevveellooppmmeenntt ooff ddeeggeenneerraattiioonn oorr nneeccrroossiiss ooff ppaarreenncchhyymmaattoouuss cceellllss..
  • 18.
    MMiiccrroossccooppiiccaall cchhaannggeess iinncchhrroonniicc vveennoouuss ccoonnggeessttiioonn ::  tthhee ssaammee aass iinn aaccuuttee ggeenneerraall vveennoouuss hhyyppeerreemmiiaa pplluuss  aattrroopphhyy ooff ppaarreenncchhyymmaattoouuss cceellllss,,  sscclleerroossiiss,, bbeeccaauussee iitt''ss kknnoowwnn tthhaatt ccoollllaaggeenn ffiibbrroobbllaasstt pprroodduuccttiioonn iinnccrreeaasseess dduuee ttoo cchhrroonniicc hhyyppooxxiiaa
  • 19.
    MMoorrpphhoollooggiiccaall cchhaannggeess iinnoorrggaannss aanndd ttiissssuueess wwhhiicchh aarree ooccccuurrrreedd iinn ccoorrppsseess aatt aauuttooppssyy iinn ccaasseess ooff cchhrroonniicc ccaarrddiioovvaassccuullaarr iinnssuuffffiicciieennccyy::  ccyyaannoossiiss ooff sskkiinn..  OOeeddeemmaa ooff ssuubbccuuttaanneeoouuss ffaattttyy ttiissssuuee  aasscciittiiss ((hhyyddrrooppeerriittoonneeuumm)),, hhyyddrrootthhoorraaxx,, hhyyddrrooppeerriiccaarrddiiuumm  ""nnuuttmmeegg"" lliivveerr  ""bbrroowwnn iinndduurraattiioonn"" ooff tthhee lluunnggss  ccyyaannoottiicc iinndduurraattiioonn ooff kkiiddnneeyyss aanndd sspplleeeenn
  • 28.
    IIII ggrroouupp ––ddiissttuurrbbaanncceess ooff bblloooodd vveesssseell wwaallll ppeerrmmeeaabbiilliittyy  bblleeeeddiinngg ((hheemmoorrrrhhaaggee))  ppllaassmmoorrrrhhaaggiiaa
  • 29.
    BBlleeeeddiinngg ((hheemmoorrrrhhaaggee)) iisseexxiitt ooff tthhee bblloooodd ffrroomm tthhee lluummeenn ooff tthhee vveesssseell oorr ffrroomm tthhee hheeaarrtt ccaavviittyy wwhhiicchh mmaayy aaccccoommppaannyy aaccccuummuullaattiioonn ooff tthhee bblloooodd iinn ttiissssuueess ((hheemmoorrrrhhaaggee))  epistaxis - bleeding ffrroomm tthhee nnoossee,,  hheemmootteemmeessiiss -- vvoommiittiinngg ooff bblloooodd,,  mmeelleennaa –– ffaaeecceess lliikkee ttaarr iinn ccaassee ooff bblleeeeddiinngg ffrroomm tthhee iinntteessttiinnee,,  hheemmooppeerriittoonneeuumm,,  hheemmootthhoorraaxx,,  hheemmooppeerriiccaarrddiiuumm  hheemmaarrttrroossiiss  hheemmaattoommeettrraa
  • 30.
    TTyyppeess ooff hheemmoorrrrhhaaggeess  hheemmaattoommaa -- aaccccuummuullaattiioonn ooff bblloooodd iinn ttiissssuueess wwiitthh tthheeiirr ddeessttrruuccttiioonn ((wwhhiicchh iiss aassssoocciiaatteedd wwiitthh ttiissssuuee nneeccrroossiiss))  hheemmoorrrrhhaaggiicc ssaattuurraattiioonn –– aaccccuummuullaattiioonn ooff bblloooodd iinn ttiissssuueess wwiitthhoouutt tthheeiirr ddeessttrruuccttiioonn  eecccchhyymmoosseess –– mmuullttiippllee ssmmaallll ppeetteecchhiiaass ((ppooiinntt--lliikkee hheemmoorrrrhhaaggee)) ppeerr ddiiaappeeddeessiiss  bbrruuiissee –– llaarrggee eexxttrraavvaassaattiioonnss ooff bblloooodd iinnttoo tthhee sskkiinn aanndd mmuuccoouuss mmeemmbbrraanneess
  • 39.
    OOuuttccoommeess ooff hheemmoorrrrhhaaggeess::  bblloooodd rreessoorrppttiioonn  llooccaall hheemmoossiiddeerroossiiss  oorrggaanniizzaattiioonn  eennccaappssuullaattiioonn  ppeettrriiffaaccttiioonn ((ccaallcciiffiiccaattiioonn))  ccyysstt ffoorrmmaattiioonn ((bbrraaiinn))  ssuuppppuurraattiioonn
  • 40.
    MMeecchhaanniissmmss ooff bblleeeeddiinngg::  rruuppttuurree ooff tthhee vveesssseell ((ppeerr rrhheexxiinn)) ((hhaaeemmoorrrrhhaaggiiaa ppeerr rrhheexxiinn))  ccoorrrroossiioonn ooff tthhee vveesssseell ((ppeerr ddiiaabbrroossiinn)) ((hhaaeemmoorrrrhhaaggiiaa ppeerr ddiiaabbrroossiinn))  ddiiaappeeddeessiiss ((ppeerr ddiiaappeeddeessiinn)) ((hhaaeemmoorrrrhhaaggiiaa ppeerr ddiiaappeeddeessiiss))
  • 43.
    According to tthheeoorriiggiinn bblleeeeddiinnggss iinncclluuddee  aarrtteerriiaall  vveennoouuss  ccaappiillllaarriiss  ppaarreenncchhyymmaattoouuss  ffrroomm hheeaarrtt,,ss ccaavviittiieess
  • 44.
    PPllaassmmoorrrrhhaaggiiaa eexxiitt ooffppllaassmmaa ffrroomm tthhee cciirrccuullaattoorryy ssyysstteemm wwiitthh ffoolllloowwiinngg ffoorrmmaattiioonn ooff ppllaassmmaattiicc ssaattuurraattiioonn ooff vveesssseellss wwaallllss OOuuttccoommee ooff ppllaassmmoorrrrhhaaggiiaa –– ffiibbrriinnooiidd nneeccrroossiiss aanndd hhyyaalliinnoossiiss ooff vveesssseellss
  • 45.
    SSttaassiiss iiss aarrrreessttooff bblloooodd ffllooww iinn tthhee vveesssseellss ooff mmiiccrroocciirrccuullaattoorryy ssyysstteemm ((ccaappiillllaarriieess)).. CCaauusseess ooff ssttaassiiss:: - pphhyyssiiccaall ffaaccttoorrss ((tteemmppeerraattuurree eelleevvaattiioonn,, ccoolldd));; - cchheemmiiccaall ffaaccttoorrss;; - iinnffeeccttiioonn;; - iinnffeeccttiioouuss--aalllleerrggiicc ffaaccttoorrss;; - aauuttooiimmmmuunnee ffaaccttoorrss..
  • 46.
    SSlluuddggee ssyynnddrroommee ((pphheennoommeennoonn))iiss rreeggaarrddeedd aass aa ttyyppee ooff ssttaassiiss ssttiicckkiinngg ooff eerryytthhrrooccyytteess,, lleeuukkooccyytteess aanndd tthhrroommbbooccyytteess ttoo eeaacchh ootthheerr,, wwhhiicchh iiss aaccccoommppaanniieedd bbyy bblloooodd vviissccoossiittyy iinnccrreeaassee
  • 47.
    SShhoocckk iiss aaccuutteeppaatthhoollooggiicc pprroocceessss dduuee ttoo ddeevveellooppmmeenntt ooff eexxttrraappoowweerrffuull ssttiimmuullii aanndd cchhaarraacctteerriizzeedd bbyy ddiissttuurrbbaanncceess iinn CCNNSS ffuunnccttiioonn mmeettaabboolliissmm aanndd mmiiccrroocciirrccuullaattoorryy ssyysstteemm aauuttoorreegguullaalliioonn rreessuullttiinngg iinn ddeessttrruuccttiivvee cchhaannggeess iinn tthhee oorrggaannss aanndd ttiissssuueess..
  • 48.
    CCllaassssiiffiiccaattiioonn ooff sshhoocckk aaccccoorrddiinngg ttoo eettiioollooggyy aanndd ppaatthhooggeenneessiiss  HHyyppoovvoolluummiicc ((bblloooodd lloossss,, ttrraauummaa,, ppeerriittoonniittiiss,, cchhoolleerraa))..  CCaarrddiiooggeenniicc ((ccaauusseedd bbyy tthhee rreedduuccttiioonn iinn ccaarrddiiaacc oouuttppuutt iinn mmyyooccaarrddiiaall iinnffaarrccttiioonn,, vvaassccuullaarr iinnssuuffffiicciieennccyy))..  BBaacctteerriiaall ((ccaauusseedd bbyy eennddoottooxxiinnss))..  NNeeuurrooggeenniicc ((iinn iinnttooxxiiccaattiioonn wwiitthh hhyyppnnoottiicc pprreeppaarraattiioonnss,, ggaanngglliioobblloocckkeerrss,, nnaarrccoottiiccss))..  AAnnaapphhyyllaaccttiicc ((iimmmmeeddiiaattee rreeaaccttiioonn ooff hhyyppeerrsseennssiittiivviittyy))..
  • 49.
    SSttaaggeess aanndd mmoorrpphhoollooggyyooff sshhoocckk  11sstt ssttaaggee –– tthhee ssttaaggee ooff hheemmooddyynnaammiicc cchhaannggeess -- ddeeccrreeaassee ooff bblloooodd cciirrccuullaattiioonn vvoolluummee -- bblloooodd ddeeppoott iinn sskkiinn,, iinntteessttiinnee,, lliivveerr,, sspplleeeenn -- bblloooodd sshhuunntt iinn kkiiddnneeyyss,, lliivveerr,, lluunnggss  22sstt ssttaaggee –– tthhee ssttaaggee ooff rreeoollooggiicc cchhaannggeess -- ssttaassiisseess,, sslluuddggeess aanndd mmiiccrrootthhrroommbboossiiss iinn mmiiccrroocciirrccuullaattoorryy ssyysstteemm -- vvaassccuullaarr ppeerrmmeeaabbiilliittyy iinnccrreeaassee ((ppllaassmmoorrrrhhaaggiiaa,, eeddeemmaa)) -- hheemmoorrrrhhaaggee ssyynnddrroommee  33dd ssttaaggee –– tthhee ssttaaggee ooff DDIICC ((ddiisssseemmiinnaatteedd iinnttrraavvaassccuullaarr ccooaagguullaattiioonn)) ssyynnddrroommee -- hheemmoorrrrhhaaggee ssyynnddrroommee,, eeddeemmaa aanndd ppllaassmmoorrrrhhaaggiiaa -- mmuullttiippllee tthhrroommbboossiiss iinn mmiiccrroocciirrccuullaattoorryy ssyysstteemm -- ddeeggeenneerraattiioonn aanndd nneeccrroossiiss iinn oorrggaannss aanndd ttiissssuuee ffrroomm iisshheemmiiaa  44sstt ssttaaggee –– oouuttccoommeess
  • 50.
    TThhee mmoosstt pprroommiinneennttcchhaannggeess ddeevveelloopp iinn ppaarreenncchhyymmaattoouuss oorrggaannss.. -- sshhoocckk kkiiddnneeyy,, ddeeggeenneerraattiioonn aanndd nneeccrroossiiss iinn pprrooxxiimmaall ccaannaallss wwiitthh ddeevveellooppmmeenntt ooff nneeccrroottiicc nneepphhrroossiiss ((oorr ssyymmmmeettrriiccaall ccoorrttiiccaall nneeccrroosseess)) wwhhiicchh rreessuullttss iinn aaccuuttee rreennaall iinnssuuffffiicciieennccyy;; -- sshhoocckk lliivveerr,, ggllyyccooggeenn aammoouunntt iinn tthhee hheeppaattooccyytteess ddeeccrreeaasseess,, hhyyddrrooppiicc ddeeggeenneerraattiioonn aanndd cceennttrroolloobbuullaarr nneeccrroosseess rreessuullttiinngg iinn aaccuuttee hheeppaattiicc iinnssuuffffiicciieennccyy.. CCoommbbiinnaattiioonn ooff rreennaall aanndd hheeppaattiicc iinnssuuffffiicciieennccyy iiss ccaalllleedd hheeppaattoorreennaall ssyynnddrroommee.. -- sshhoocckk lluunngg,, aatteelleeccttaassiiss ffooccii,, hheemmoorrrrhhaaggeess ,,eeddeemmaa,, hhyyppeerreemmiiaa aanndd tthhrroommbboosseess iinn tthhee mmiiccrroocciirrccuullaattoorryy rreessuullttiinngg iinn aaccuuttee rreessppiirraattoorryy iinnssuuffffiicciieennccyy.. -- sshhoocckk hheeaarrtt,, ddeeggeenneerraattiioonn aanndd nneeccrroossiiss iinn ccaarrddiioommyyooccyytteess,, rreedduuccttiioonn iinn ggllyyccooggeenn aammoouunntt,, ffaatt ddeeggeenneerraattiioonn,, nneeccrroossiiss ffooccii..