ARDS
MANAGEMENT
SAMIR EL ANSARY
ICU PROFESSOR
AIN SHAMS
CAIRO
Global Critical Care
https://www.facebook.com/groups/1451610115129555/#!/groups/145
1610115129555/
Wellcome in our new group ..... Dr.SAMIR EL ANSARY
Pulmonary
capillary leak
Inactivation of
surfactant
Interstitial
& alveolar edema
Severe & refractory hypoxemia
SHUNTING - Stiff lungs
Alveolar atalectasis
Damage to alveolar capillary
membrane
DIFFUSE lung injury
CAUSES
Early pathologic features of ARDS
• Diffuse alveolar damage (DAD)
• There is minimal alveolar septal thickening,
hyperplasia of pneumocytes
• Eosinophilic hyaline membranes present
Links Between VILI and MSOF
Biotrauma and Mediator Injuries
What does surfactant do?
Alveoli
without
surfactant
Alveoli
with
surfactant
Cyanosis
Pao2 / Fio2 < 200
REFRACTORY HYPOXEMIA
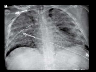
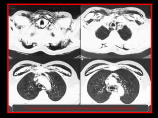
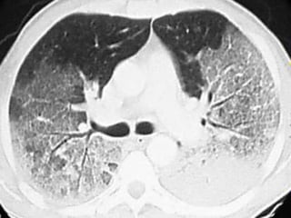
Gas Extravasation
Barotrauma
1 
A Portal for Gas
& Bacteria?
Microvascular
Fracture in ARDS
Excessive PEEP, particularly in combination with
hypovolemia, can decrease cardiac output and
oxygen delivery, and increase the risk of
barotrauma
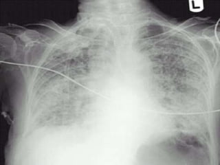
Subcutaneous emphysema
CT scan showed Severe surgical emphysema and pneumomediasteum
Diseased Lungs Do
Not Fully Collapse,
Despite Tension Pneumothorax
…and
They cannot always
be fully “opened”
Dimensions of a fully
Collapsed Normal Lung
Tension Cysts
Spectrum of Regional Opening Pressures
(Supine Position)
Superimposed
Pressure Inflated 0
Alveolar Collapse
(Reabsorption) 20-60 cmH2O
Small Airway
Collapse
10-20 cmH2O
Consolidation 
Lung Units at Risk for Tidal
Opening & Closure
=
Opening
Pressure
How Much Collapse Depends on the Plateau
R = 100%
20
60
100
Pressure [cmH2O]
20 40 60
TotalLungCapacity[%]
R = 22%
R = 81%
R = 93%
0
0
R = 0%
R = 59%
Some potentially
recruitable units
open only at high
pressure
More Extensive
Collapse But
Lower PPLAT
Less Extensive
Collapse But
Greater PPLAT
Mechanical Ventilator
PRESSURE VOLUME CURVE
Recruitment Maneuvers (RMs)
Proposed for improving
Arterial oxygenation
Enhancing alveolar recruitment
All consisting of short-lasting increases in
intrathoracic pressures
Recruitment Maneuvers (RMs)
–Vital capacity maneuver
(inflation of the lungs up to 40 cm H2O,
maintained for 15 - 26 seconds)
–Intermittent sighs
–Extended sighs
Recruitment Maneuvers (RMs)
–Intermittent increase of PEEP
–Continuous positive airway pressure
(CPAP)
–Increasing the ventilatory pressures to a
plateau pressure of 50 cm H2O for 1-2
minutes
Other manoeuvres
• Prone positioning ventilation
• Prolonged inspiration
• Inverse ratio ventilation
Limit of open lung strategy
• To minimise VILI
to the less damaged alveoli
Max insp pressure
(plateau pressure 30-32cm H20)
Limit of open lung strategy
Max pressure remains unchanged
TV will decrease
Alveolar ventilation will decrease
Alv V: dead space vent ratio
will decrease
Increasing PaCO2
• Management options
Increase resp rate
Minute
volume
Delivered TV TV ml/kg Resp rate
6.4 L 640 ml 8 10
6.4 L 480 ml 6 14
6.4 L 320 ml 4 20
6.4 L 160 ml 2 40
Anatomical dead space 150ml
Increasing PaCO2
• Permissive hypercapnia
• Tracheal gas
insuflation
•Reduce
•dead space
Increasing PaCO2
As alveolar ventilation decreases
will require increasing FIO2
Otherwise will result
in alveloar hypoxia and arterial
hypoxaemia
Liquid
Ventilation
More clinical trials are req. to demonst.
efficacy.
• Inert
• No odor
• No color
• Low surface tension
• Carry large amount of O2 & CO2
Perfluorocarbon
(PFC)
Medication:
Morphine sulfate
(0.1mg/kg/dose), pavulon
(0.1 mg/kg/dose)
Rimar (30 ml/kg)
Ventilation settings:
Ti 5 sec, hold 10 sec, Te 5
sec (3-6 cycles/min)
CO2 eleminated by
increase tidal volume
O2 managed by change O2
content and FRC
ON START OF GAS
VENTILATION
ONE HOUR AFTER
PLV
48 HOUR AFTER PLV 3 WEEKS AFTER PLV
Partial liquid ventilation with perflubron in premature infants with severe
respiratory distress syndrome
High-frequency Oscillatory Ventilation
• Active expiration Pressurised circuit
High-frequency Ventilation
35cm
H20
90 cm
3-9 hz
0.1-3ml/kg
43
Pressure transmission HFOV
P
T
proximal
trachea
alveoli
Due to the attenuation of the
pressure wave
by the time it reaches the alveolar
region
it is reduced down to .1 - 5 cmH2O
BRONCHOTRON
VENTILATOR
CONVENTIONAL
( = LOW FREQUENCY )
VENTILATION UNIT
PULSATION
( = HIGH FREQUENCY )
VENTILATION UNIT
However …
Risks of barotrauma and hemodynamic compromise with high frequency
ventilation can approximate those of conventional ventilation
KINETIC THERAPY
MEDISCUS AIR CUSHION
BED PULMONAIR
MEDISCUS TRAUMA BED
ROTOREST
APPLICATION OF SURFACTANT
CUROSURF - SURVANTA
ALVEOLFACT
50 – 200 mg/kgBW
BY ENDOTRACHEAL OR ENDOBRONCHIAL ROUTE
APPLICATION OF SURFACTANT
• PREVENT END-EXPIRATORY COLLAPSE OF
ALVEOLI
• RECRUITMENT OF ATELECTATIC LUNG
AREAS
• IMPROVED COMPLIANCE
• IMPROVED OXYGENATION
• IMPROVED VENTILATION /PERFUSION
RATIO
SECRETION ELEMINATION
VIA IPPB
• BETTER DISTRIBUTION OF
MEDICATED AEROSOLS
• BRONCHOSPASMOLYTIC
• IMPROVED OXYGENATION
• SECRETOLYSIS
JET THERAPY
• SECRETOLYSIS ( SECRETION MOBILISATION )
• DISSOLUTION OF RESORPTIVE ATELECTASES
• IMPROVED OXYGENATION
• INTRACRANIAL PRESSURE REDUCTION
CLINI – JET
HIGH FREQUENCY JET VENTILATION
HFJV
 HANDY INSTRUMENT
 PRODUCES SHORT
GAS PULSES
 FOR SECRETOLYSIS
 DISSOLVE SECRETIONS
( KETCHUP EFFECT )
INCENTIVE SPIROMETRY
SUSTAINED MAXIMAL INSPIRATION
• ALVEOLAR RECRUITMENT
• PREVENTION OF ATELECTASES
• MUSCLE TRAINING
• COUGH PROVOCATION
• IMPROVED OXYGENATION AND VENTILATION
Dilates pulmonary
blood vessels and
helps reduce
shunting
REDUCTION IN INTRAPULMONARY R-L SHUNT
Nitric Oxide
GOOD LUCK
SAMIR EL ANSARY
ICU PROFESSOR
AIN SHAMS
CAIRO
elansarysamir@yahoo.com
Global Critical Care
https://www.facebook.com/groups/1451610115129555/#!/groups/145
1610115129555/
Wellcome in our new group ..... Dr.SAMIR EL ANSARY

Ards management