Approach to Headache
and Migraine
Dr Sandhya Manorenj ,DNB Neurology
Neurophysician, ESIC Superspeciality centre,
ESIC Medical College Hyderabad
Sandhya Manorenj 11/2/17
Introduction
 It is estimated that nearly half of the
world’s adult population has an active
headache disorder (Robbins and
Lipton, 2010).
 The lifetime prevalence for any type of
headache as estimated from
population-based studies is more than
90% for men and 95% for women
Sandhya Manorenj 11/2/17
 Affects virtually everyone at some time
in their life
Sandhya Manorenj 11/2/17
How headache arrises ?
 Activation of pain-
sensitive intracranial
structures.
 Extracranial pain-
sensitive structures
external to the skull
cavity.
 Trauma inflammation,
traction, compression,
malignant infiltration, and
other disturbances of
pain-sensitive structures
lead to headache. Sandhya Manorenj 11/2/17
Intracranial pain sensitive
structures
 Arteries of the
circle of Willis and
the first few
centimeters of their
medium-sized
branches,
 meningeal (dural)
arteries,
 large veins and
dural venous
sinuses, and
portions of the dura
near blood vessels Sandhya Manorenj 11/2/17
Extracranial pain sensitive
structures
 External carotid artery
and its branches,
scalp and neck
muscles,
 skin and cutaneous
nerves, cervical
nerves and nerve
roots,
 mucosa of sinuses,
and teeth.
 Cranial nerves (CN)
V, VII, IX,and X in
addition to cervical
spine nerve/nerve
roots carry pain. Sandhya Manorenj 11/2/17
Headache Classification-IHS
2013
• Migraine
• Tension type headache
• Trigeminal autonomic cephalgia,
• Other primary headache
Primary headaches
• trauma to the head or neck cranial or
cervical vascular disorder, nonvascular
intracranial disorder, a substance or its
withdrawal, to infection. disorder of
homeostasis
• Headache or facial pain attributed to disorder
of the cranium neck, eyes, ears, nose,
sinuses, teeth, mouth, or other facial or
cervical structure
• psychiatric disorder
Secondary headaches
• Painful cranial neuropathies and
other facial pains
• Other headache disorders
Painful cranial
neuropathy, facial pain
and other headaches
Sandhya Manorenj 11/2/17
Approach to Headache
History
ManagementExamination
Sandhya Manorenj 11/2/17
History - SOCRATES
1Site
2Onset
3 Character
4 Radiation
5Association
6Timing
7 Exacerbating
&relieving
factors
8 Severity
Sandhya Manorenj 11/2/17
Headache site
Sandhya Manorenj 11/2/17
Onset of Headache
Sandhya Manorenj 11/2/17
Character of headache
Sandhya Manorenj 11/2/17
Throbbing
thunderclap
Throbbing sinus headache
Association of headache
Photophobia
Nausea/vomiting
Sensory/motor
symp
Autonomic
symptoms
Abdominal pain
Phonophobia Aura
Vertigo/giddiness
Loc/seizure
Sandhya Manorenj 11/2/17
Timing and duration of
headache
Evening
Headache-
Migraine
Through out day
and more at
night-TTH
Short duration
headache- cluster
headache,
SUNCT
Long duration
headache- TTH,
Migraine
Night headache-
cluster headache,
hypnic headache
in elderly
Sandhya Manorenj 11/2/17
Aggravating factors of
headache
Upright
position
Inclined
position
Sandhya Manorenj 11/2/17
Torsion of neck
Cough
Relieving Factors of
headache
Rest Sleep
Avoidance of
light and noise
Local application
of pressure, cold
Massage
Recumbency
Sandhya Manorenj 11/2/17
Family history of headache
Migraine, FHM
Tension type headache
Cluster headache
Sandhya Manorenj 11/2/17
Medical and Drug history
Prior history of
treatment
Drug history
(Cardiac,
gastro
hormonal
drugs)
Medical
history
Sandhya Manorenj 11/2/17
Migraine
 The World Health Organization has
declared migraine to be among the
most disabling medical conditions
experienced worldwide.
 Migraine may be episodic or chronic
 Chronic migraine is defined as
headache occurring on ≥ 15 days per
month for 3 ≥ months which has the
features of migraine headache on ≥ 8
days per month.
Sandhya Manorenj 11/2/17
Clinical feature of migraine
Sandhya Manorenj 11/2/17
Sandhya Manorenj 11/2/17
Migraine Subtypes- IHS 2013
Sandhya Manorenj 11/2/17
Migraine without aura
Sandhya Manorenj 11/2/17
Sandhya Manorenj 11/2/17
Examination of case of
headache
BP/Vitals
Any feature of
raised ICT
Fundus
Meningeal
signs
Skull/neck/PNS
Sandhya Manorenj 11/2/17
Examination of case of
headache
Sandhya Manorenj 11/2/17
Scalp,neck examination
Blood pressure
Examination -EYE
Sandhya Manorenj 11/2/17
Examination
Sandhya Manorenj 11/2/17
Special examination
Sandhya Manorenj 11/2/17
Investigation- Neuroimaging
Sandhya Manorenj 11/2/17
CT angiography
MRI brain
CT brain
Investigation
Sandhya Manorenj 11/2/17
EEG
LP
CT scan Brain SAH
Sandhya Manorenj 11/2/17
CT scan brain - Stroke
 Ischemic stroke
Sandhya Manorenj 11/2/17
Hemorrhagic stroke
CT scan brain
Sandhya Manorenj 11/2/17
Sandhya Manorenj 11/2/17
CT scan brain
Sandhya Manorenj 11/2/17
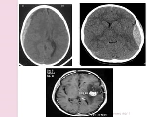
CT scan brain
Sandhya Manorenj 11/2/17
Sandhya Manorenj 11/2/17
Management of migraine
headache
Sandhya Manorenj 11/2/17
Tryptans
subcutaneus/intranasal
Sandhya Manorenj 11/2/17
Oral Serotonin(5HT) agonists
Sandhya Manorenj 11/2/17
Migraine prophylaxis ?
 3 or more attacks /month
 Chronic migraine ,migraine with
severe aura
 Headache occur less often but are
very prolonged and debilitating.(>48
hrs)
 Target dosage is maintained for at
least 3 months.
 The medication is continued for at
least 6 to 12 months. Sandhya Manorenj 11/2/17
Botox therapy in chronic
migraine
Sandhya Manorenj 11/2/17
Management of Tension type
headache
TTH
Simple
analgesic
Behavioural
approaches
Amitryptilline in
chronic TTH
Sandhya Manorenj 11/2/17
Management of Cluster
headache
Acute treatment
Oxygen inhalation
(100%,10-12 l for
20 minutes
Tryptans
Sumatriptan
(S/C and nasal)
Zolmitriptan (nasal)
Sandhya Manorenj 11/2/17
Prevention of cluster
headache
Short term prevention with steroids 1mg/kg tapered over 3
weeks
• For episodic cluster headache
Long term prevention with
verapamil,topiramate,gabapentine,methylsergide,lithium
• For episodic and chronic cluster headache
Sandhya Manorenj 11/2/17
Take home message
 History –gold standard (SOCRATES)
 Do not miss signs of raised ICT.
 CT scan brain is the IOC
 CSF study and OP in certain cases
 Treat the underlying cause in case of
secondary headache
Sandhya Manorenj 11/2/17
Sandhya Manorenj 11/2/17

Approach to headache

Editor's Notes

  • #7 Structures external to skull cavity are extracranial pain sensitive structures.Pain insensitive regions are brain parenchyma, pial vessels,ventricles,choroid plexus
  • #16 Cough /sneezing worses headache of intracranial orgin,headahe in upright and inclined position indicates intracranial hypotension,headache worsen due to torsion of neck indicates musculoskeltal cause of headache
  • #17 Local application of pressure over affected eye and over temporal artery, local application of heat ,cold or rarely short exercise relieve pain of cluster headache.
  • #18 Migraine often is an inherited disorder, and a family history of migraine (sometimes referred to as “sick headaches”) is present in about two-thirds of patients. Tension-type headaches also can be familial. Cluster headache is inherited in about 5% of sufferers. Familial hemiplegic migraine is a rare autosomal dominant variant of migraine with aura, wherein the aura includes hemiparesis lasting minutes to 24 hours
  • #19 A history of past and current medical and neurological conditions, injuries, operations, and medication allergies should be obtained. A list of all current medications and dietary supplements should be recorded. A number of medications can cause headache, including hormonal, cardiovascular, and gastrointestinal agents
  • #28 Eye pressure is measured in millimeters of mercury (mm Hg). Normal eye pressure ranges from 12-22 mm Hg, and eye pressure of greater than 22 mm Hg is considered higher than normal. When the IOP is higher than normal but the person does not show signs of glaucoma, this is referred to as ocular hypertension
  • #30 Digital tonometer, probe measuring IOP, pulse oxymetry and Polysomnography study in case of sleep apnea and headache
  • #33 SAH
  • #35 Early features of left mca ischemic stroke
  • #36 SDH,EDH,Brain mets. subdural hematomas are classically crescent-shaped, with a concave surface away from the skull. However, they can have a convex appearance, especially in the early stage of bleeding.
  • #46 No role of oral sumatryptan in CH
  • #47 Verapamil dose 160-960 mg