Kelainan pada Pertumbuhan dan
Perkembangan Gigi Geligi
Cut Putri Zakirah
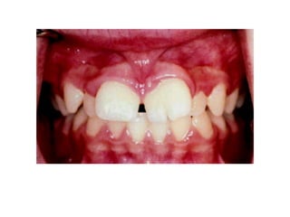
1. Supernumerary Teeth
Merupakan gigi yang jumlahnya melebihi
jumlah normal.
• Mesiodens
• Peridens
• Distodens
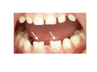
2. Missing Teeth
• Hypodontia
• Oligodontia
• Anodontia
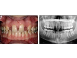
3. Macrodontia
Merupakan gigi yang ukurannya lebih besar
daripada ukuran normal.
4. Microdontia
Merupakan gigi yang ukurannya lebih kecil
daripada ukuran normal.
5. Transposition
Merupakan kondisi dimana dua gigi yang
bersebelahan berubah posisi pada dental arch.
6. Fusion
Merupakan hasil dari penggabungan dua
benih gigi bersebelahan yang sedang
berkembang.
7. Concrescence
Terjadi ketika akar dari dua atau lebih
gigi, baik gigi sulung maupun gigi
permanen, berfusi pada sementum.
8. Gemination
Merupakan anomali yang terjadi ketika satu
tooth bud berusaha untuk membelah.
9. Taurodontism
Body dari gigi yang taurodont tampak
memanjang dan akarnya pendek.
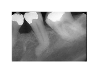
10. Dilaceration
Dilaceration adalah gangguan pada
pembentukan gigi yang menghasilkan bend or
curve dari gigi, baik pada akar maupun pada
mahkota.
11. Dens Invaginatus, Dens In Dente
Merupakan hasil dari invaginasi permukaan
enamel ke bagian dalam dari gigi.
12. Dens Evaginatus
Merupakan hasil dari pembentukan enamel
organ ke bagian luar gigi.
13. Amelogenesis Imperfecta
Merupakan anomali genetik yang terjadi
karena mutasi yang mungkin terjadi pada salah
satu gen yang berperan pada pembentukan
enamel.
Anomali Gigi

Anomali Gigi