Embed presentation
Downloaded 34 times


































































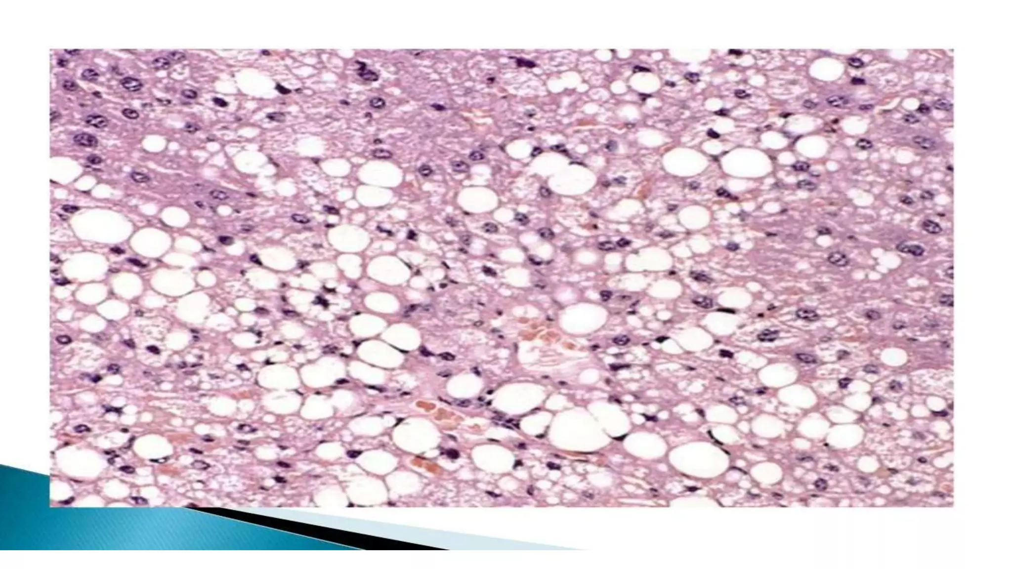
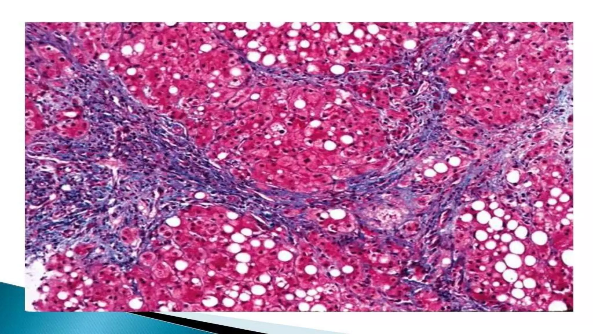
Excessive alcohol consumption can damage the liver and lead to alcoholic liver disease, starting with alcoholic fatty liver where fat builds up in the liver cells. This can progress to alcoholic hepatitis where the liver becomes inflamed. The final stage is alcoholic cirrhosis where the liver tissue is scarred and replaced by fibrous tissue, which can lead to liver failure if drinking continues.
































































