Acute Appendicitis
Dr. Sarmendra Mishra
Resident
General surgery
KISTMCTH
CONTENTS
• Introduction
• Embryology and anatomy
• History
• Pathophysiology
• Clinical diagnosis
• Laboratory and imaging studies
• Management
• References
INTRODUCTION
• It is the most common urgent or emergent general surgical operation performed
in the United States and is responsible for as many as 3,00,000 hospitalizations
annually
• Incidence is 8.6% in men and 6.7% in women
• Rare in infants
• Peaks in the second decade of life
Embryology and Anatomy
• Midgut organ and is first identified at 8 weeks of gestation as a small outpouching
of the cecum
• A true diverticulum of the cecum as it contains all the histological layers of the
colon
Embryology and
Anatomy
• During childhood, continued growth of the
caecum commonly rotates the appendix
into a retrocaecal
• In approximately 25% of cases, rotation of
the appendix does not occur, resulting in a
pelvic, subcaecal or paracaecal position
Bailey and love textbook of surgery, 27th edition
Embryology and
Anatomy
• Average length is between 7.5 and 10 cm
• The blood supply of the appendix is
appendiceal artery, branch of ileocolic artery,
branch of the superior mesenteric artery
which courses through the mesoappendix
• Lymphatic drainage into ileocaecal lymph
nodes
Bailey and love textbook of surgery, 27th edition
History
• In 1735, The first appendectomy was reported by a French surgeon, Claudius
Amyand
• May 1880, The first surgeon to perform deliberate appendectomy for acute
appendicitis was Lawson Tait
• In 1886, First formal description of the disease process, was by Reginald Heber
Fitz of Harvard University.
• In 1887, Thomas Morton was the first to diagnose appendicitis,
• Charles McBurney described the clinical manifestations of acute appendicitis
including the point of maximum tenderness in the right iliac fossa
History
• In 1889 publication, Charles McBurney advocated for early appendectomy
• In 1894, classic muscle-splitting incision and technique for removal of the
appendix
• In 1982, First laparoscopic appendectomy by Kurt Semm
Pathophysiology
• Appendicitis is caused by luminal obstruction
• In pediatric populations, occurs as a result of lymphoid hyperplasia;
• In adults, it may be due to fecaliths, fibrosis, foreign bodies (food, parasites,
calculi), or neoplasia
• Intestinal parasites, particularly Oxyuris vermicularis (pinworm)
• Infections associated with appendicitis is polymicrobial
• Common isolates include Escherichia coli, Bacteroides fragilis, enterococci,
Pseudomonas aeruginosa, Klebsiella Pneumoniae
Pathophysiology
Risk factors for perforation of the appendix
• Extremes of age
• Immunosuppression
• Diabetes mellitus
• Faecolith obstruction
• Pelvic appendix
• Previous abdominal surgery
Clinical diagnosis (symptoms)
• Periumbilical colic
• Pain shifting to the right iliac fossa
• Anorexia
• Nausea
Symptoms
• The classic visceral–somatic sequence of pain is present in only about half of
those patients subsequently proven to have acute appendicitis.
• Atypical pain is more common in the elderly
• Pelvis appendix causes suprapubic discomfort and tenesmus, may be elicited only
on rectal examination
• During the first 6 hours, there is rarely any alteration in temperature or pulse
rate.
• After that time, slight pyrexia (37.2–37.7ºC) with a corresponding increase in the
pulse rate to 80 or 90 is usual.
• However, in 20% of patients there is no pyrexia or tachycardia in the early stages.
Signs of acute appendicitis
• Pyrexia
• Localised tenderness in the right iliac fossa
• Muscle guarding
• Rebound tenderness
Signs to elicit in appendicitis
• Rovsing sign: the presence of right lower quadrant pain on palpation of the left
lower quadrant (normal position)
• Obturator sign: right lower quadrant pain on internal rotation of the hip (pelvic
appendix)
• Psoas sign: pain with extension of the ipsilateral hip
• Dunphy’s sign: pain with coughing (retrocecal appendix)
Special features, according to age
• Infant: rare, perforation
• Children: rare to find without vomiting, complete aversion to food
• Elderly: gangrene and perforation common
• Obese: diminishes all local signs
• Pregnancy:
m/c extrauterine acute abdomen
Frequency 1: 1500-2000
Diagnosis complicated by delayed presentation
Fetal loss 3-5%, 20% if perforation at operation
Laboratory studies
• Routine Full blood count:
leukocytosis with left shift is present in 90% of the cases
higher leukocytosis associated with gangrenous and perforated appendicitis
( 17,000 cells/mm3)
∼
• Urinalysis- to rule out nephrolithiasis
• Pregnancy test- mandatory in child bearing age
• Urea and electrolytes
• C-reactive protein
Imaging studies
• Imaging studies in patients suspected to
have acute appendicitis can reduce the
negative appendectomy rate, which can be
as high as 15%
• Plain radiographs
• Ultrasound (US)
• Computed tomography (CT) scanning
• Magnetic resonance imaging (MRI)
USG
• Ultrasonography has a sensitivity of 0.85 (95% CI 0.79–0.90) and a specificity of
0.90 (95% CI 0.83–0.95)1
• An easily compressible appendix <6 mm in diameter generally rules out
appendicitis.
• Features on an ultrasound that suggest appendicitis include
Diameter of greater than 6 mm
Pain with compression,
Presence of an appendicolith
Increased echogenicity of the fat,
Periappendiceal fluid
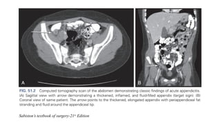
CT-scan
• A contrast-enhanced CT scan has a sensitivity of 0.96 (95% confidence interval
[CI] 0.95–0.97) and specificity of 0.96 (95% CI 0.93–0.97)
• Features on a CT scan that suggest appendicitis include
Enlarged lumen and double wall thickness
Wall thickening (greater than 2 mm)
Periappendiceal fat stranding
Appendiceal wall thickening and/or
An appendicolith
Sabiston’s textbook of surgery-21st
Edition
MRI
• MRI is typically reserved for use in the pregnant patient; the study is performed
without contrast agents.
• Criteria for MRI diagnosis include
Appendiceal enlargement (>7 mm),
Thickening (>2 mm), and
The presence of inflammation.
• Sensitivity of MRI to be 97% with a specificity of 95%
Migratory RIF pain 1
Anorexia 1
Nausea and vomiting 1
Tenderness (RIF) 2
Rebound tenderness 1
Elevated temperature 1
Leukocytosis 2
MODIFIED ALVARADO SCORE
score of 7 or more: strongly predictive of acute appendicitis.
(5–6): equivocal score
Modified Alvarado score
The sensitivity and specificity of the Alvarado Score and the modified Alvarado
Score have been reported to be 53–88% and 75–80% respectively
Baidya N, Rodrigues G, Rao A, et al. Evaluation of Alvarado score in acute appendicitis: a prospective study. Int J
Surg. 2007
Management of appendicitis
• Non-operative management
• Operative management
Non-operative management
• Patients with uncomplicated (absence of appendicolith, perforation or abscess)
appendicitis.
• Bowel rest and intravenous antibiotics, often metronidazole and 3rd generation
cephalosporin.
• The available data indicate initial successful outcomes in more than 90% of
patients with CT confirmed appendicitis
• However, approximately one-quarter of patients initially treated conservatively
will require surgery within 1 year for recurrent appendicitis
Operative management
• For open appendectomy, the patient is placed in the supine position.
• The choice of incision is a matter of the surgeon’s preference, whether it is an
Oblique muscle-splitting incision (McArthur-McBurney)
Transverse incision (Rockey-Davis) or
Conservative midline incision
Bailey and love textbook of surgery, 27th edition
Using the American College of Surgeons National Surgical Quality Improvement Program (ACS NSQIP) database
(2005-2008)
CONCLUSION
• The investigators observed that laparoscopic appendectomy was associated with
lower risk of wound complications and deep surgical site infection in
uncomplicated appendicitis.
• In complicated appendicitis, laparoscopic appendectomy was associated with
fewer wound complications but a slightly higher incidence of Intraabdominal
abscess.
Management of appendix mass
• Standard treatment is the conservative Ochsner–Sherren regimen
• Criteria for stopping conservative treatment of an appendix mass
A rising pulse rate
Increasing or spreading abdominal pain
Increasing size of the mass
• Failure of the mass to resolve should raise suspicion of a carcinoma or Crohn’s
disease.
• Using this regime, approximately 90% of cases resolves.
Post operative complications
• Wound infection is the most common postoperative complication, occurring in 5–
10% of all patients.
• Intra-abdominal abscess: Approximately 8% of patients
• Ileus:
A period of adynamic ileus is to be expected after appendicectomy, and this may
last a number of days following removal of a gangrenous appendix.
Ileus persisting for more than 4 or 5 days, particularly in the presence of a fever,
is indicative of continuing intra-abdominal sepsis and should prompt further
investigation
REFERENCES
1. Keyzer C, Zalcman M et al, Comparison of US and unenhanced multi-detector
row CT in patients suspected of having acute appendicitis. Radiology. 2005
Aug;236(2):527-34. doi: 10.1148/radiol.2362040984. PMID: 16040910.
2. Bailey and love textbook of surgery, 27th edition
3. Sabiston’s textbook of surgery-21st
Edition
4. Schwartz textbook of surgery, 11th edition.
THANK YOU

Acute Appendictis diagnosis and management

  • 1.
    Acute Appendicitis Dr. SarmendraMishra Resident General surgery KISTMCTH
  • 2.
    CONTENTS • Introduction • Embryologyand anatomy • History • Pathophysiology • Clinical diagnosis • Laboratory and imaging studies • Management • References
  • 3.
    INTRODUCTION • It isthe most common urgent or emergent general surgical operation performed in the United States and is responsible for as many as 3,00,000 hospitalizations annually • Incidence is 8.6% in men and 6.7% in women • Rare in infants • Peaks in the second decade of life
  • 4.
    Embryology and Anatomy •Midgut organ and is first identified at 8 weeks of gestation as a small outpouching of the cecum • A true diverticulum of the cecum as it contains all the histological layers of the colon
  • 5.
    Embryology and Anatomy • Duringchildhood, continued growth of the caecum commonly rotates the appendix into a retrocaecal • In approximately 25% of cases, rotation of the appendix does not occur, resulting in a pelvic, subcaecal or paracaecal position Bailey and love textbook of surgery, 27th edition
  • 6.
    Embryology and Anatomy • Averagelength is between 7.5 and 10 cm • The blood supply of the appendix is appendiceal artery, branch of ileocolic artery, branch of the superior mesenteric artery which courses through the mesoappendix • Lymphatic drainage into ileocaecal lymph nodes Bailey and love textbook of surgery, 27th edition
  • 7.
    History • In 1735,The first appendectomy was reported by a French surgeon, Claudius Amyand • May 1880, The first surgeon to perform deliberate appendectomy for acute appendicitis was Lawson Tait • In 1886, First formal description of the disease process, was by Reginald Heber Fitz of Harvard University. • In 1887, Thomas Morton was the first to diagnose appendicitis, • Charles McBurney described the clinical manifestations of acute appendicitis including the point of maximum tenderness in the right iliac fossa
  • 8.
    History • In 1889publication, Charles McBurney advocated for early appendectomy • In 1894, classic muscle-splitting incision and technique for removal of the appendix • In 1982, First laparoscopic appendectomy by Kurt Semm
  • 9.
    Pathophysiology • Appendicitis iscaused by luminal obstruction • In pediatric populations, occurs as a result of lymphoid hyperplasia; • In adults, it may be due to fecaliths, fibrosis, foreign bodies (food, parasites, calculi), or neoplasia • Intestinal parasites, particularly Oxyuris vermicularis (pinworm) • Infections associated with appendicitis is polymicrobial • Common isolates include Escherichia coli, Bacteroides fragilis, enterococci, Pseudomonas aeruginosa, Klebsiella Pneumoniae
  • 10.
    Pathophysiology Risk factors forperforation of the appendix • Extremes of age • Immunosuppression • Diabetes mellitus • Faecolith obstruction • Pelvic appendix • Previous abdominal surgery
  • 11.
    Clinical diagnosis (symptoms) •Periumbilical colic • Pain shifting to the right iliac fossa • Anorexia • Nausea
  • 12.
    Symptoms • The classicvisceral–somatic sequence of pain is present in only about half of those patients subsequently proven to have acute appendicitis. • Atypical pain is more common in the elderly • Pelvis appendix causes suprapubic discomfort and tenesmus, may be elicited only on rectal examination • During the first 6 hours, there is rarely any alteration in temperature or pulse rate. • After that time, slight pyrexia (37.2–37.7ºC) with a corresponding increase in the pulse rate to 80 or 90 is usual. • However, in 20% of patients there is no pyrexia or tachycardia in the early stages.
  • 13.
    Signs of acuteappendicitis • Pyrexia • Localised tenderness in the right iliac fossa • Muscle guarding • Rebound tenderness
  • 14.
    Signs to elicitin appendicitis • Rovsing sign: the presence of right lower quadrant pain on palpation of the left lower quadrant (normal position) • Obturator sign: right lower quadrant pain on internal rotation of the hip (pelvic appendix) • Psoas sign: pain with extension of the ipsilateral hip • Dunphy’s sign: pain with coughing (retrocecal appendix)
  • 15.
    Special features, accordingto age • Infant: rare, perforation • Children: rare to find without vomiting, complete aversion to food • Elderly: gangrene and perforation common • Obese: diminishes all local signs • Pregnancy: m/c extrauterine acute abdomen Frequency 1: 1500-2000 Diagnosis complicated by delayed presentation Fetal loss 3-5%, 20% if perforation at operation
  • 16.
    Laboratory studies • RoutineFull blood count: leukocytosis with left shift is present in 90% of the cases higher leukocytosis associated with gangrenous and perforated appendicitis ( 17,000 cells/mm3) ∼ • Urinalysis- to rule out nephrolithiasis • Pregnancy test- mandatory in child bearing age • Urea and electrolytes • C-reactive protein
  • 17.
    Imaging studies • Imagingstudies in patients suspected to have acute appendicitis can reduce the negative appendectomy rate, which can be as high as 15% • Plain radiographs • Ultrasound (US) • Computed tomography (CT) scanning • Magnetic resonance imaging (MRI)
  • 18.
    USG • Ultrasonography hasa sensitivity of 0.85 (95% CI 0.79–0.90) and a specificity of 0.90 (95% CI 0.83–0.95)1 • An easily compressible appendix <6 mm in diameter generally rules out appendicitis. • Features on an ultrasound that suggest appendicitis include Diameter of greater than 6 mm Pain with compression, Presence of an appendicolith Increased echogenicity of the fat, Periappendiceal fluid
  • 19.
    CT-scan • A contrast-enhancedCT scan has a sensitivity of 0.96 (95% confidence interval [CI] 0.95–0.97) and specificity of 0.96 (95% CI 0.93–0.97) • Features on a CT scan that suggest appendicitis include Enlarged lumen and double wall thickness Wall thickening (greater than 2 mm) Periappendiceal fat stranding Appendiceal wall thickening and/or An appendicolith
  • 20.
    Sabiston’s textbook ofsurgery-21st Edition
  • 21.
    MRI • MRI istypically reserved for use in the pregnant patient; the study is performed without contrast agents. • Criteria for MRI diagnosis include Appendiceal enlargement (>7 mm), Thickening (>2 mm), and The presence of inflammation. • Sensitivity of MRI to be 97% with a specificity of 95%
  • 22.
    Migratory RIF pain1 Anorexia 1 Nausea and vomiting 1 Tenderness (RIF) 2 Rebound tenderness 1 Elevated temperature 1 Leukocytosis 2 MODIFIED ALVARADO SCORE score of 7 or more: strongly predictive of acute appendicitis. (5–6): equivocal score
  • 23.
    Modified Alvarado score Thesensitivity and specificity of the Alvarado Score and the modified Alvarado Score have been reported to be 53–88% and 75–80% respectively Baidya N, Rodrigues G, Rao A, et al. Evaluation of Alvarado score in acute appendicitis: a prospective study. Int J Surg. 2007
  • 24.
    Management of appendicitis •Non-operative management • Operative management
  • 25.
    Non-operative management • Patientswith uncomplicated (absence of appendicolith, perforation or abscess) appendicitis. • Bowel rest and intravenous antibiotics, often metronidazole and 3rd generation cephalosporin. • The available data indicate initial successful outcomes in more than 90% of patients with CT confirmed appendicitis • However, approximately one-quarter of patients initially treated conservatively will require surgery within 1 year for recurrent appendicitis
  • 26.
    Operative management • Foropen appendectomy, the patient is placed in the supine position. • The choice of incision is a matter of the surgeon’s preference, whether it is an Oblique muscle-splitting incision (McArthur-McBurney) Transverse incision (Rockey-Davis) or Conservative midline incision
  • 27.
    Bailey and lovetextbook of surgery, 27th edition
  • 28.
    Using the AmericanCollege of Surgeons National Surgical Quality Improvement Program (ACS NSQIP) database (2005-2008)
  • 29.
    CONCLUSION • The investigatorsobserved that laparoscopic appendectomy was associated with lower risk of wound complications and deep surgical site infection in uncomplicated appendicitis. • In complicated appendicitis, laparoscopic appendectomy was associated with fewer wound complications but a slightly higher incidence of Intraabdominal abscess.
  • 30.
    Management of appendixmass • Standard treatment is the conservative Ochsner–Sherren regimen • Criteria for stopping conservative treatment of an appendix mass A rising pulse rate Increasing or spreading abdominal pain Increasing size of the mass • Failure of the mass to resolve should raise suspicion of a carcinoma or Crohn’s disease. • Using this regime, approximately 90% of cases resolves.
  • 31.
    Post operative complications •Wound infection is the most common postoperative complication, occurring in 5– 10% of all patients. • Intra-abdominal abscess: Approximately 8% of patients • Ileus: A period of adynamic ileus is to be expected after appendicectomy, and this may last a number of days following removal of a gangrenous appendix. Ileus persisting for more than 4 or 5 days, particularly in the presence of a fever, is indicative of continuing intra-abdominal sepsis and should prompt further investigation
  • 32.
    REFERENCES 1. Keyzer C,Zalcman M et al, Comparison of US and unenhanced multi-detector row CT in patients suspected of having acute appendicitis. Radiology. 2005 Aug;236(2):527-34. doi: 10.1148/radiol.2362040984. PMID: 16040910. 2. Bailey and love textbook of surgery, 27th edition 3. Sabiston’s textbook of surgery-21st Edition 4. Schwartz textbook of surgery, 11th edition.
  • 33.