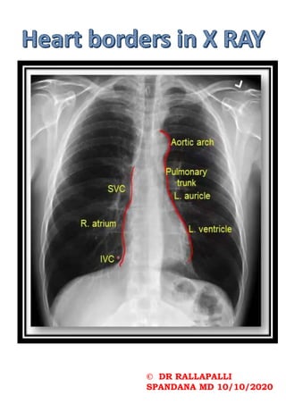
X RAY BASICS
The international radiation symbol ‘’the
trefoil’’
Discovery of X rays Father of
radiology: Wilhelm roentgen 8th
November 1895
© DR RALLAPALLI
SPANDANA MD 10/10/2020
1st ever x ray image: of mrs bertha roentgen
© DR RALLAPALLI
SPANDANA MD 10/10/2020
© DR RALLAPALLI
SPANDANA MD 10/10/2020
World
radiology day
8th
november
•Pediatric patients are more
radiosensitive than adults (i.e., the
cancer risk per unit dose of ionizing
radiation is higher);
•Use of equipment and exposure settings
designed for adults may result in
excessive radiation exposure if used on
smaller patients;
•Pediatric patients have a longer
expected lifetime, putting them at higher
risk of cancer from the effects of
radiation exposure.
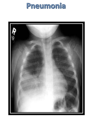
For a child we don’t talk about chest alone ,
we talk about chest and abdomen.
Baby is small - chest and abdomen fit in one
single film.
Examine from trachea to periphery .
Some prefer to read from periphery to the
center.
Look at heart and lungs last.
Look both domes of diaphragm.
Look at costophrenic and cardiophrenic
angles.
In abdomen look for –
stomach shadow
Transverse colon
Rectal gas shadow
Near lung fields:
All ribs
Vertebrae
Soft tissue shadows
Upper part of femur and humerus also
helps in diagnosis.
Chest x ray view
Postero-anterior Most common
view
X ray beam passes from posterior
to anterior
Tube to film distance distance
between tube and x ray film (6
feet/ 72 inches) Normal
chest x ray
Patient asked to embrace the
casket with his arms or Hands on
waist and drop his shoulders
Scapula drawn laterally/outwards
Scapula does not overlap over lung
fields
© DR RALLAPALLI
SPANDANA MD 10/10/2020
© DR RALLAPALLI
SPANDANA MD 10/10/2020
Difference between chest x ray PA and AP view
© DR RALLAPALLI
SPANDANA MD 10/10/2020
CXR PA VIEW CXR AP VIEW
TFD – 6 FEET TFD- Short
Parallel X ray beams Divergent x ray beam
Distance between heart and
film - small
Distance between heart and
film - large
Cardiac shadows not
magnified
Cardiac shadows –
magnified
False cardiomegaly
Done for anterior chest wall Done for posterior chest
wall
Posterior elements of
vertebrae
Disc spaces/vertebral bodies
Short exposure time More exposure time
Causes motion artifacts
Chest x ray lateral view
Commonly done in older days
Highest point of diaphragm
located anteriorly
Diaphragm dips down from
anterior to posterior
Most dependent part of pleural
cavity lies posteroinferiorly.
© DR RALLAPALLI
SPANDANA MD 10/10/2020
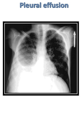
Posterior costophrenic recess.
Fluid collection (pleural effusion)
Normal finding in a lateral chest x
ray
1) Retrosternal lucency
2) Retrocardiac lucency
3) Lucency along vertebral
column must increase from top
to bottom
© DR RALLAPALLI
SPANDANA MD 10/10/2020
EXPIRED AIR FILM INSPIRED AIR FILM
X RAY TAKEN AT THE END OF
EXPIRATION
X RAY TAKEN AT SUSPENDED
END INSPIRATION
DIAPHRAGM – HIGH UP
ENLARGED CARDIAC
SHADOWS
FALSE CARDIOMEGALY
NORMAL CARDIAC SHADOWS
BASAL PORTION OF LUNGS –
LEAST FILLED WITH AIR
CROWDING OF BLOOD
VESSELS
BILATERAL BASAL OPACITIES
LUNGS FILLED WITH AIR
BLOOD VESSELS WALL
SEPARATED
NO BASAL OPACITIES
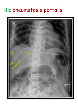
NECROTISING ENTEROCOLITIS
Stage 2 Definite NEC
Air enters intestinal wall
Divided into - iia: pneumatosis
intestinalis
AIR IN WALL
AIR IN LUMEN
iib: pneumatosis portalis
Stage iii Advanced NEC
iiia: peritonitis , ascites
PNEUMOPERITONEUM
STAGE IIIB NEC
AIR UNDER DIAPHRAGM
Adult
PNEUMOPERITONEUM
STAGE IIIB NEC
AIR UNDER DIAPHRAGM
The causes of neonatal
pneumoperitoneum are different from
adult pneumoperitoneum and include:
•perforated hollow viscus
• necrotising enterocolitis (NEC):
most common
• meconium ileus in cystic fibrosis
• Hirschsprung disease
• intestinal atresia or web
• peptic ulcer disease
•iatrogenic
• intubation/mechanical ventilation
• rectal thermometer
• enema
Radiographic features
Although these are essentially the
same as in adults, erect chest X-rays
are not obtained, and thus the
diagnosis should be made with supine
films. Additional horizontal cross
table shoot through films or left
decubitus shoot though films may be
performed.
Signs
•football sign
•Rigler's sign
© DR RALLAPALLI
SPANDANA MD 10/10/2020
TRANSIENT TACHYPNEA OF
NEWBORN
PROMINENT BRONCHOVASCULAR MARKINGS/
SUNBURST APPEARANCE
FLUID IN INTERLOBAR FISSURE
RESPIRATORY DISTRESS SYNDROME
WHITE OUT LUNG/GROUND GLASS APPEARANCE OF
LUNG/ reticulonodular appearance
(due to absence of air entry into the lung)
Air bronchogram
(due to air in the bronchus and bronchioles)
Bilateral involvement
Preterm
Alveoli are not
expanded, air is entering
all the airways  even
the smallest bronchioles
© DR RALLAPALLI
SPANDANA MD 10/10/2020
Ground glass
appearance can be
seen also in
1)RDS
2)PULMONARY
ALVEOLAR
PROTEINOSIS
3)OBSTRUCTIVE
TAPVC
© DR RALLAPALLI
SPANDANA MD 10/10/2020
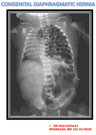
•indistinct diaphragm with
opacification of part of or all
the hemithorax (typically left
sided)
•scaphoid abdomen
•deviation of lines 3
• endotracheal tube
• nasogastric tube
• umbilical arterial and
venous catheters
Congenital diaphragmatic herniation
can be classified into two basic types
on location:
1.Bochdalek hernia
1. most common fetal congenital
diaphragmatic hernia
2.commoner on the left: 75-90%
3.posterolateral
4.large and associated with poorer
outcome
5.presents earlier
6.mnemonic: BBBBB
2.Morgagni hernia
1. less common
2.anterior
3.presents later
© DR RALLAPALLI
SPANDANA MD 10/10/2020
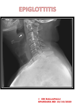
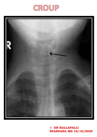
Steeple sign
Progressive narrowing of the upper airway
The thumb sign in epiglottitis is a
manifestation of an oedematous and
enlarged epiglottis which is seen on lateral
soft-tissue radiograph of the neck, and it
suggests a diagnosis of acute
infectious epiglottitis. This is the
radiographic corollary of the omega sign.
Thumb sign is a term also used in other
conditions:
•thumb sign (Marfan disease) (also known
as Steinberg sign) : a clinical test in which
the tip of the thumb is visible medial to
the little finger when it is clasped in the
clenched hand
•thumb sign (chordoma): a radiological sign
showing a clival tumour projection
indenting the pons
© DR RALLAPALLI
SPANDANA MD 10/10/2020
© DR RALLAPALLI
SPANDANA MD 10/10/2020
Radiological features of scurvy:
Generalized osteopenia
Cortical thinning: pencil thin cortex
Periosteal reaction due to subperiosteal
hemorrhage
Scorbutic rosary: expansion of the
costochondral junctions
Hemarthrosis
Wimberger ring: circular, opaque, radiological
shadow surrounding epiphyseal centers of
ossification, which may result from bleeding
Frankel line: dense zone of
provisional calcification
Trummerfeld zone: lucent
metaphyseal band underlying
frankel line.
Pelken spur: metaphyseal spurs
which result in cupping of the
metaphysis.
© DR RALLAPALLI
SPANDANA MD 10/10/2020
© DR RALLAPALLI
SPANDANA MD 10/10/2020
In the growing skeleton, the
deficiency of normal
mineralisation is most evident at
metaphyseal zones of provisional
calcification where there is an
excess of non-mineralised
osteoid resulting in growth plate
widening and abnormal
configuration of the metaphysis:
•fraying: indistinct margins of
the metaphysis
•splaying: widening of
metaphyseal ends
•cupping: concavity of
metaphysis 6
It is not surprising that these
features are most prominent at the
bones where growth is greatest:
•knee: distal femur, proximal tibia
•wrist: especially the ulna 1
•anterior rib ends: rachitic rosary
As osteomalacia co-occurs with
rickets, it is important to remember
that even bones that appear
mineralised are weak and result in
bowing, most commonly seen in the
lower limbs once the child is walking.
The legs bow outwards with variable
deformity of the hips (both coxa
vara and coxa valga are seen 1).
Other bone deformities are
also noted such as genu valga
and vara as well as protrusio
acetabuli .
The lower ribs may also be
drawn inwards inferiorly by
the attachment of the
diaphragm (Harrison's sulcus).
The differential for leg bowing
in children includes :
•developmental or congenital
bowing
•Blount disease
•osteogenesis imperfecta
•many others that are not
usually a consideration (see leg
bowing in children)
The differential for flaring of the
metaphysis includes:
•Anaemias
•fibrous dysplasia
•storage diseases
•chronic lead poisoning
•bone dysplasias
The differential for widening of
the growth plate includes:
•Schmid-type metaphyseal
chondrodysplasia
•hypovitaminosis C (scurvy)
•delayed maturation due to illness
•endocrine disturbances
• growth hormone excess
• hyperparathyroidism
• hypothyroidism
© DR RALLAPALLI
SPANDANA MD 10/10/2020
Renal osteodystrophy (ROD), also
known as uraemic osteopathy, is a
constellation of musculoskeletal
abnormalities that occur in patients
with chronic renal failure, due to
concurrent and superimposed:
•osteomalacia (adults)/rickets (childre
n)
•secondary hyperparathyroidism: abnor
mal calcium and phosphate metabolism
• bone resorption
• osteosclerosis
• soft tissue and vascular
calcifications
• brown tumours
•aluminium intoxication, e.g. if the
patient is on dialysis
© DR RALLAPALLI
SPANDANA MD 10/10/2020
Radiographic features
Imaging findings are many and varied:
•osteopenia: (often seen early) thinning of cortices
and trabeculae
•salt and pepper skull
•demineralisation: usually subperiosteal, however, it
may also involve joint margins, endosteal, subchondral,
subligamentous areas, cortical bone, or trabeculae
•subperiosteal resorption: characteristic subperiosteal
resorption may be seen on radial aspects of middle
phalanges of index and long fingers
•bone sclerosis
• diffuse bony sclerosis
• rugger jersey spine: sclerosis of the vertebral
body endplates
•soft tissue calcification
•amyloid deposition: erosion in and around joint
•insufficiency fractures
•Looser zone
•brown tumours
© DR RALLAPALLI
SPANDANA MD 10/10/2020
BULLET SHAPED METACARPALS
BEAKING OF VERTEBRA – bullet shaped
vertebra woth posterior scalloping
© DR RALLAPALLI
SPANDANA MD 10/10/2020
© DR RALLAPALLI
SPANDANA MD 10/10/2020
© DR RALLAPALLI
SPANDANA MD 10/10/2020
© DR RALLAPALLI
SPANDANA MD 10/10/2020
© DR RALLAPALLI
SPANDANA MD 10/10/2020
© DR RALLAPALLI
SPANDANA MD 10/10/2020
© DR RALLAPALLI
SPANDANA MD 10/10/2020
© DR RALLAPALLI
SPANDANA MD 10/10/2020
© DR RALLAPALLI
SPANDANA MD 10/10/2020
© DR RALLAPALLI
SPANDANA MD 10/10/2020
© DR RALLAPALLI
SPANDANA MD 10/10/2020
© DR RALLAPALLI
SPANDANA MD 10/10/2020
Adder head appearance
© DR RALLAPALLI
SPANDANA MD 10/10/2020
Coin in the esophagus is round in
appearance on the frontal view whereas
coin in the trachea is usually seen on
end and are linear in shape.
MAGNET
SMALL BOWEL OBSTRUCTION AND MEGACOLON
INTUSSUSCEPTION
CRAWFOOT APPEARANCE
CONTRAST STUDY
© DR RALLAPALLI
SPANDANA MD 10/10/2020
Double bubble sign
Triple bubble sign
COFFEE BEAN APPEARANCE
© DR RALLAPALLI
SPANDANA MD 10/10/2020
© DR RALLAPALLI
SPANDANA MD 10/10/2020
Frog eye appearance
BOX CAR APPEARANCE
© DR RALLAPALLI
SPANDANA MD 10/10/2020
© DR RALLAPALLI
SPANDANA MD 10/10/2020
© DR RALLAPALLI
SPANDANA MD 10/10/2020
Septic arthritis of hip in infancy.
Results in complete destruction
of cartilaginous femoral head.
Presentation is a child in his
preschool age with painless limp.
Affected limb is shorter.
X ray shows complete absence of
head and neck of femur.
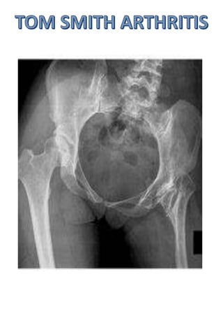
RICKETS > RHEUMATOID ARTHRITIS
© DR RALLAPALLI
SPANDANA MD 10/10/2020
Juxta articular osteopenia
Decreased joint space
Widening of intercondylar notch
Squaring of patella
© DR RALLAPALLI
SPANDANA MD 10/10/2020
While plain radiographs may show joint
effusions and a loss of soft tissue
planes, there may not be an immediate
indication of bone infection.7 It may
take 10 to 14 days to show 30 to 50
percent of bone mineral loss before
osteomyelitic changes are evident.
A differential diagnosis for
radiographic bony lesions should include
osteomyelitis, leukemia, round cell
carcinomas, Ewing’s sarcoma, metastatic
neuroblastomas, eosinophilic granulomas,
histiocytosis X and tuberculosis.
If radiographs are normal and one
suspects osteomyelitis, proceed to
obtain technetium-99m bone scans.
However, keep in mind that while this
imaging is sensitive for certain bony
conditions, it is not specific.
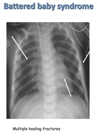
Multiple healing fractures
Female>male
50% cases bilateral
Defect- distal end of the radius growth
plate fuses early
Defect in growth (but ulna continues to
grow normally)
Deformity:
Ulna is more prominent than the radius.
Volar subluxation of hand – dinner fork
deformity
Unsegmentation /defective segmentation of
cervical spine
No neck movement
Holt oram syndrome
Fanconi syndrome
Congenital absence of clavicle
Both shoulder can be
approximated to each other
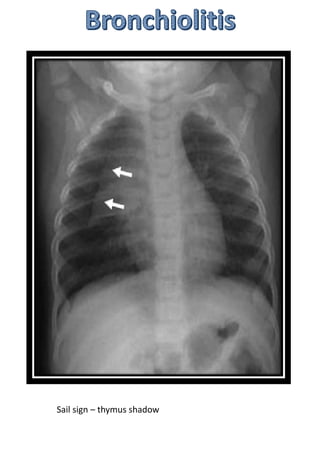
Sail sign – thymus shadow
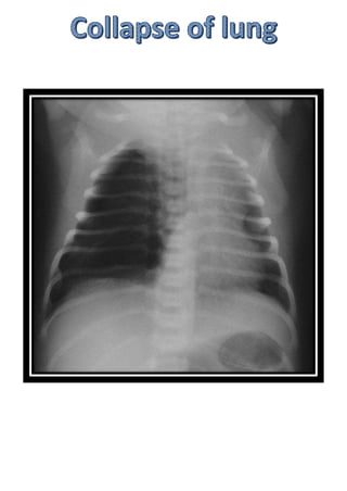
Hyperinflated lungs: increased radiolucency of
lungs
Flattening of domes of diaphragm
Pulmonary infiltrates
Segmental collapse
Head , neck and spine
Basilar invagination
Wormian bones
Kyphoscoliosis
Verebral compression fractures
Codfish vertebrae
Platyspondyly
Chest
Pectus excavatumor carinatum
Pelvis
Protrusio acetabuli
Coxa vara
General
Severe osteoporosis
Deformed bones
Cortical thining
Popcorn calcification: the
metaphysis and epiphysis exhibit
numerous scalloped radiolucent
areas with sclerotic margins
Zebra stripe sign : cyclic
bisphosphonate treatment produces
sclerotic growth recovery lines in
the long bones.
Formation of pseudoarthrosis at
sites of healing fractures.
Outdated term
S-Spinal
C-Cord
I-Injury
W-Without
O-Obvious
R-Radiographic
A-Abnormality
Seen in children
Clinical presentation:
h/o high grade fever
Difficulty in swallowing
No h/o trauma
Thickened prevertebral soft tissue
Air density ++
X-RAY-BASICS.pediatrics.medical collegeppt

X-RAY-BASICS.pediatrics.medical collegeppt

  • 1.
    X RAY BASICS Theinternational radiation symbol ‘’the trefoil’’ Discovery of X rays Father of radiology: Wilhelm roentgen 8th November 1895 © DR RALLAPALLI SPANDANA MD 10/10/2020
  • 2.
    1st ever xray image: of mrs bertha roentgen © DR RALLAPALLI SPANDANA MD 10/10/2020
  • 3.
    © DR RALLAPALLI SPANDANAMD 10/10/2020 World radiology day 8th november
  • 4.
    •Pediatric patients aremore radiosensitive than adults (i.e., the cancer risk per unit dose of ionizing radiation is higher); •Use of equipment and exposure settings designed for adults may result in excessive radiation exposure if used on smaller patients; •Pediatric patients have a longer expected lifetime, putting them at higher risk of cancer from the effects of radiation exposure.
  • 5.
    For a childwe don’t talk about chest alone , we talk about chest and abdomen. Baby is small - chest and abdomen fit in one single film. Examine from trachea to periphery . Some prefer to read from periphery to the center. Look at heart and lungs last. Look both domes of diaphragm. Look at costophrenic and cardiophrenic angles.
  • 6.
    In abdomen lookfor – stomach shadow Transverse colon Rectal gas shadow Near lung fields: All ribs Vertebrae Soft tissue shadows Upper part of femur and humerus also helps in diagnosis.
  • 7.
    Chest x rayview Postero-anterior Most common view X ray beam passes from posterior to anterior Tube to film distance distance between tube and x ray film (6 feet/ 72 inches) Normal chest x ray Patient asked to embrace the casket with his arms or Hands on waist and drop his shoulders Scapula drawn laterally/outwards Scapula does not overlap over lung fields © DR RALLAPALLI SPANDANA MD 10/10/2020
  • 8.
  • 9.
    Difference between chestx ray PA and AP view © DR RALLAPALLI SPANDANA MD 10/10/2020 CXR PA VIEW CXR AP VIEW TFD – 6 FEET TFD- Short Parallel X ray beams Divergent x ray beam Distance between heart and film - small Distance between heart and film - large Cardiac shadows not magnified Cardiac shadows – magnified False cardiomegaly Done for anterior chest wall Done for posterior chest wall Posterior elements of vertebrae Disc spaces/vertebral bodies Short exposure time More exposure time Causes motion artifacts
  • 10.
    Chest x raylateral view Commonly done in older days Highest point of diaphragm located anteriorly Diaphragm dips down from anterior to posterior Most dependent part of pleural cavity lies posteroinferiorly. © DR RALLAPALLI SPANDANA MD 10/10/2020
  • 11.
    Posterior costophrenic recess. Fluidcollection (pleural effusion) Normal finding in a lateral chest x ray 1) Retrosternal lucency 2) Retrocardiac lucency 3) Lucency along vertebral column must increase from top to bottom
  • 12.
    © DR RALLAPALLI SPANDANAMD 10/10/2020 EXPIRED AIR FILM INSPIRED AIR FILM X RAY TAKEN AT THE END OF EXPIRATION X RAY TAKEN AT SUSPENDED END INSPIRATION DIAPHRAGM – HIGH UP ENLARGED CARDIAC SHADOWS FALSE CARDIOMEGALY NORMAL CARDIAC SHADOWS BASAL PORTION OF LUNGS – LEAST FILLED WITH AIR CROWDING OF BLOOD VESSELS BILATERAL BASAL OPACITIES LUNGS FILLED WITH AIR BLOOD VESSELS WALL SEPARATED NO BASAL OPACITIES
  • 15.
    NECROTISING ENTEROCOLITIS Stage 2Definite NEC Air enters intestinal wall Divided into - iia: pneumatosis intestinalis AIR IN WALL AIR IN LUMEN
  • 16.
  • 17.
    Stage iii AdvancedNEC iiia: peritonitis , ascites
  • 18.
  • 19.
  • 20.
    The causes ofneonatal pneumoperitoneum are different from adult pneumoperitoneum and include: •perforated hollow viscus • necrotising enterocolitis (NEC): most common • meconium ileus in cystic fibrosis • Hirschsprung disease • intestinal atresia or web • peptic ulcer disease •iatrogenic • intubation/mechanical ventilation • rectal thermometer • enema
  • 21.
    Radiographic features Although theseare essentially the same as in adults, erect chest X-rays are not obtained, and thus the diagnosis should be made with supine films. Additional horizontal cross table shoot through films or left decubitus shoot though films may be performed. Signs •football sign •Rigler's sign
  • 22.
    © DR RALLAPALLI SPANDANAMD 10/10/2020 TRANSIENT TACHYPNEA OF NEWBORN PROMINENT BRONCHOVASCULAR MARKINGS/ SUNBURST APPEARANCE FLUID IN INTERLOBAR FISSURE
  • 23.
    RESPIRATORY DISTRESS SYNDROME WHITEOUT LUNG/GROUND GLASS APPEARANCE OF LUNG/ reticulonodular appearance (due to absence of air entry into the lung) Air bronchogram (due to air in the bronchus and bronchioles)
  • 24.
    Bilateral involvement Preterm Alveoli arenot expanded, air is entering all the airways  even the smallest bronchioles
  • 25.
    © DR RALLAPALLI SPANDANAMD 10/10/2020 Ground glass appearance can be seen also in 1)RDS 2)PULMONARY ALVEOLAR PROTEINOSIS 3)OBSTRUCTIVE TAPVC
  • 26.
  • 27.
    •indistinct diaphragm with opacificationof part of or all the hemithorax (typically left sided) •scaphoid abdomen •deviation of lines 3 • endotracheal tube • nasogastric tube • umbilical arterial and venous catheters
  • 28.
    Congenital diaphragmatic herniation canbe classified into two basic types on location: 1.Bochdalek hernia 1. most common fetal congenital diaphragmatic hernia 2.commoner on the left: 75-90% 3.posterolateral 4.large and associated with poorer outcome 5.presents earlier 6.mnemonic: BBBBB 2.Morgagni hernia 1. less common 2.anterior 3.presents later
  • 29.
  • 30.
  • 32.
    The thumb signin epiglottitis is a manifestation of an oedematous and enlarged epiglottis which is seen on lateral soft-tissue radiograph of the neck, and it suggests a diagnosis of acute infectious epiglottitis. This is the radiographic corollary of the omega sign. Thumb sign is a term also used in other conditions: •thumb sign (Marfan disease) (also known as Steinberg sign) : a clinical test in which the tip of the thumb is visible medial to the little finger when it is clasped in the clenched hand •thumb sign (chordoma): a radiological sign showing a clival tumour projection indenting the pons
  • 33.
  • 34.
    © DR RALLAPALLI SPANDANAMD 10/10/2020 Radiological features of scurvy: Generalized osteopenia Cortical thinning: pencil thin cortex Periosteal reaction due to subperiosteal hemorrhage Scorbutic rosary: expansion of the costochondral junctions Hemarthrosis Wimberger ring: circular, opaque, radiological shadow surrounding epiphyseal centers of ossification, which may result from bleeding
  • 35.
    Frankel line: densezone of provisional calcification Trummerfeld zone: lucent metaphyseal band underlying frankel line. Pelken spur: metaphyseal spurs which result in cupping of the metaphysis.
  • 36.
  • 39.
    © DR RALLAPALLI SPANDANAMD 10/10/2020 In the growing skeleton, the deficiency of normal mineralisation is most evident at metaphyseal zones of provisional calcification where there is an excess of non-mineralised osteoid resulting in growth plate widening and abnormal configuration of the metaphysis: •fraying: indistinct margins of the metaphysis •splaying: widening of metaphyseal ends •cupping: concavity of metaphysis 6
  • 40.
    It is notsurprising that these features are most prominent at the bones where growth is greatest: •knee: distal femur, proximal tibia •wrist: especially the ulna 1 •anterior rib ends: rachitic rosary As osteomalacia co-occurs with rickets, it is important to remember that even bones that appear mineralised are weak and result in bowing, most commonly seen in the lower limbs once the child is walking. The legs bow outwards with variable deformity of the hips (both coxa vara and coxa valga are seen 1).
  • 41.
    Other bone deformitiesare also noted such as genu valga and vara as well as protrusio acetabuli . The lower ribs may also be drawn inwards inferiorly by the attachment of the diaphragm (Harrison's sulcus).
  • 42.
    The differential forleg bowing in children includes : •developmental or congenital bowing •Blount disease •osteogenesis imperfecta •many others that are not usually a consideration (see leg bowing in children)
  • 43.
    The differential forflaring of the metaphysis includes: •Anaemias •fibrous dysplasia •storage diseases •chronic lead poisoning •bone dysplasias
  • 44.
    The differential forwidening of the growth plate includes: •Schmid-type metaphyseal chondrodysplasia •hypovitaminosis C (scurvy) •delayed maturation due to illness •endocrine disturbances • growth hormone excess • hyperparathyroidism • hypothyroidism
  • 45.
    © DR RALLAPALLI SPANDANAMD 10/10/2020 Renal osteodystrophy (ROD), also known as uraemic osteopathy, is a constellation of musculoskeletal abnormalities that occur in patients with chronic renal failure, due to concurrent and superimposed: •osteomalacia (adults)/rickets (childre n) •secondary hyperparathyroidism: abnor mal calcium and phosphate metabolism • bone resorption • osteosclerosis • soft tissue and vascular calcifications • brown tumours •aluminium intoxication, e.g. if the patient is on dialysis
  • 46.
    © DR RALLAPALLI SPANDANAMD 10/10/2020 Radiographic features Imaging findings are many and varied: •osteopenia: (often seen early) thinning of cortices and trabeculae •salt and pepper skull •demineralisation: usually subperiosteal, however, it may also involve joint margins, endosteal, subchondral, subligamentous areas, cortical bone, or trabeculae •subperiosteal resorption: characteristic subperiosteal resorption may be seen on radial aspects of middle phalanges of index and long fingers •bone sclerosis • diffuse bony sclerosis • rugger jersey spine: sclerosis of the vertebral body endplates •soft tissue calcification •amyloid deposition: erosion in and around joint •insufficiency fractures •Looser zone •brown tumours
  • 47.
  • 49.
    BULLET SHAPED METACARPALS BEAKINGOF VERTEBRA – bullet shaped vertebra woth posterior scalloping
  • 53.
  • 54.
  • 56.
  • 57.
  • 58.
  • 59.
  • 60.
  • 61.
  • 62.
  • 64.
  • 65.
  • 66.
    © DR RALLAPALLI SPANDANAMD 10/10/2020 Adder head appearance
  • 67.
  • 69.
    Coin in theesophagus is round in appearance on the frontal view whereas coin in the trachea is usually seen on end and are linear in shape.
  • 71.
  • 73.
  • 76.
  • 77.
    © DR RALLAPALLI SPANDANAMD 10/10/2020 Double bubble sign
  • 78.
  • 79.
  • 81.
  • 83.
  • 85.
  • 89.
  • 93.
  • 95.
  • 96.
  • 98.
    Septic arthritis ofhip in infancy. Results in complete destruction of cartilaginous femoral head. Presentation is a child in his preschool age with painless limp. Affected limb is shorter. X ray shows complete absence of head and neck of femur.
  • 99.
  • 100.
    © DR RALLAPALLI SPANDANAMD 10/10/2020 Juxta articular osteopenia Decreased joint space Widening of intercondylar notch Squaring of patella
  • 101.
  • 102.
    While plain radiographsmay show joint effusions and a loss of soft tissue planes, there may not be an immediate indication of bone infection.7 It may take 10 to 14 days to show 30 to 50 percent of bone mineral loss before osteomyelitic changes are evident. A differential diagnosis for radiographic bony lesions should include osteomyelitis, leukemia, round cell carcinomas, Ewing’s sarcoma, metastatic neuroblastomas, eosinophilic granulomas, histiocytosis X and tuberculosis. If radiographs are normal and one suspects osteomyelitis, proceed to obtain technetium-99m bone scans. However, keep in mind that while this imaging is sensitive for certain bony conditions, it is not specific.
  • 114.
  • 116.
    Female>male 50% cases bilateral Defect-distal end of the radius growth plate fuses early Defect in growth (but ulna continues to grow normally) Deformity: Ulna is more prominent than the radius. Volar subluxation of hand – dinner fork deformity
  • 118.
    Unsegmentation /defective segmentationof cervical spine No neck movement
  • 119.
  • 120.
    Congenital absence ofclavicle Both shoulder can be approximated to each other
  • 121.
    Sail sign –thymus shadow
  • 123.
    Hyperinflated lungs: increasedradiolucency of lungs Flattening of domes of diaphragm Pulmonary infiltrates Segmental collapse
  • 125.
    Head , neckand spine Basilar invagination Wormian bones Kyphoscoliosis Verebral compression fractures Codfish vertebrae Platyspondyly Chest Pectus excavatumor carinatum Pelvis Protrusio acetabuli Coxa vara
  • 126.
    General Severe osteoporosis Deformed bones Corticalthining Popcorn calcification: the metaphysis and epiphysis exhibit numerous scalloped radiolucent areas with sclerotic margins Zebra stripe sign : cyclic bisphosphonate treatment produces sclerotic growth recovery lines in the long bones. Formation of pseudoarthrosis at sites of healing fractures.
  • 127.
  • 128.
    Clinical presentation: h/o highgrade fever Difficulty in swallowing No h/o trauma Thickened prevertebral soft tissue Air density ++