CLEAR ALIGNER TREATMENT
Dr. Arun Bosco J
2018 Batch
Good Morning…
Index
• Introduction
• History
• Indications
• Advantages
• Disadvantages
• Limitations
• Terminologies
• Impression techniques and digitization
• Virtual setup
• Scanning and digitization
• Diagnosis and treatment planning for clear aligner treatment
• Biomechanics of aligner treatment
• Clincheck
• Staging
• Interproximal reduction and aligner treatment
• Attachments, power ridges and auxiliaries
• Various tooth movements: torque control, root
parallelism,rotations,extrusions
• Cow-catch aligners
• Invisalign teen
• Conclusion
• References
INTRODUCTION
• Invisalign is an orthodontic
technique that uses a series of
computer-generated custom
plastic aligners to guide the teeth
gradually into proper alignment.
• Although the use of clear aligner
treatment is not new, it is a
growing part of the orthodontic
market, and, as a result, many
new products have become
available.
HISTORY
• 1925- ORRIN REMENSNYDER : Flex-O-tight gum massaging
appliance
• The concept on which treatment with clear aligners is
based has been around since the 1940s.
• In 1945, Dr. Harold Dean Kesling first proposed a clear,
vacuum-formed tooth-positioning appliance for minor
tooth movement – ‘POSITIONER’
• It was a labor-intensive process that required manually
repositioning teeth reset in wax, and a clear vacuum-
formed retainer was made for every tooth movement in a
series of stages until the teeth were aligned.
• Dr. Henry Nahoum (1964) described a method to change
tooth contours using thermoformed plastic sheets –
Vacuum formed dental contour appliance.
• In 1971, Robert J Pontiz introduced a thermoformed
plastic appliance called the “invisible retainer” made on a
master model that repositioned teeth with base-plate
wax. He claimed that this appliance could produce limited
tooth movement.
• James A McNamara Jr. et.al. in 1985 also described, using
invisible retainers to achieve minor tooth movement.
• John J Sheridan and colleagues (1993) developed a
technique involving interproximal tooth reduction and
progressive alignment using clear Essix appliances
• And those techniques were further developed by Hilliard
Jack K and John J Sheridan (2000) with a series of special
thermoforming pliers designed to enhance specific
movements.
• Although these techniques based on Kesling’s proposal of
using removable appliances have been used to some
degree in the past, the laboratory construction has always
been tedious and has previously limited the widespread
adoption of removable aligner techniques.
• Invisalign (Align Technology, Inc., Santa Clara,CA) is a
proprietary orthodontic technique that uses a series of
computer generated custom plastic aligners to gradually
guide the teeth into proper alignment.
• Invisalign is both a brand name and a technique and is
used synonymously.
• has been commercially available to orthodontists since
1998.
• The company and the technique was the brainchild of
two MBA students at Stanford University (1997),
Kelsey Wirth and Zia Chishti
• Wirth had traditional braces in high school . Chishti had
finished adult treatment with traditional braces and had
a clear plastic retainer. He noticed that if he didn't wear
his retainer for a few days, his teeth shifted slightly --
but the plastic retainer soon moved his teeth back in
position.
• In 1997, they applied 3D computer imaging graphics to
the field of orthodontics and created Align Technologies
and the Invisalign method.
• They were fortunate in attracting the interest of Robert
Boyd, chairman of the Department of Orthodontics,
University of Pacific.
• He assisted in this endeavour by being a consultant, and in
doing so he and his residents provided a means to test
this fledgling technology.
Clear aligners can be categorized into four basic categories:
1. Positioners or guides:
• This category includes the original Allesee Orthodontic
Appliances (AOA) - positioner described by Kesling.
2. Thermoformed appliances:
• Sometimes known as Essix Retainers (Raintree Essix,
DENTSPLY International, York, PA) and removable
appliances referred to as spring aligners.
• The Essix appliance can be fabricated in the orthodontist’s
office or sent to a commercial laboratory, and it uses the
techniques of Sheridan and Hilliard to move teeth.
1.
2.
3. Teeth manually set:
• Aligners that are fabricated from models that have had
teeth cut out and manually moved to the correct position.
• If done in a series of models, an aligner can be fabricated
from each model.
• These appliances can be used for minor movement of
upper and lower anterior teeth and usually consist of
three to five aligners.
3.
4. aligners fabricated from digitally manipulated models
• Is the largest growing area in aligner treatment.
• This growth is most likely attributable to the ability of
these aligners to be used to treat malocclusions ranging
from minor to complex, including both posterior and
anterior teeth.
4.
• Using digital technology to control tooth movement,
intricate and precise tooth movements can be staged for
each sequential aligner.
• However, tooth movement with aligners is as variable as it
is with fixed appliances and can be dependent on
individual variables (e.g., periodontal status, age,
medication), as well as aligner variables (e.g.,
attachments, plastic).
• In this seminar, we focus on Invisalign (Align Technology,
Inc., Santa Clara, CA).
INDICATIONS OF INVISALIGN
• Joffe L. [Invisalign: early experiences. J Orthod 2003; 30(4):348–52]
suggested that the Invisalign appliance is most successful
for treating:
• mildly malaligned malocclusions (1 to 5 mm of
crowding or spacing)
• deep overbite problems (e.g., Class II division 2
malocclusions) when the overbite can be reduced by
intrusion or advancement of incisors
• nonskeletally constricted arches that can be expanded
with limited tipping of the teeth and mild relapse after
fixed-appliance therapy.
CONTRA-INDICATIONS OF INVISALIGN
• Severe crowding
• skeletal anterior-posterior discrepancies of more than
2 mm (as measured by discrepancies in cuspid
relationships)
• centric-relation and centric-occlusion discrepancies
• severely rotated teeth (more than 20 degrees)
• open bites (anterior and posterior) that need to be
closed
• extrusion of teeth
• severely tipped teeth (more than 45 degrees)
• teeth with short clinical crowns
• arches with multiple missing teeth.
ADVANTAGES OF INVISALIGN
• Improved esthetics
• Invisalign patients showed no measurable root
resorption
• It gives the patient an esthetic choice in their
orthodontic treatment
• Easier to clean, thus good oral hygiene can be
maintained
DISADVANTAGES OF INVISALIGN
• Fabrication of the aligners is a very time consuming and
tedious process that probably would not be practical
day to day orthodontic practice
• Severe derotations, complex extrusions and translations
are less predictable with invisalign and may require
auxiliary treatment
LIMITATIONS OF INVISALIGN
• All permanent teeth should be fully erupted for
treatment using invisalign as it is difficult to achieve
retention of the appliance on short clinical crowns
• The treatment procedures do not allow for continued
eruption of teeth, or significant dental arch changes
during the mixed dentition period
• There is currently no capability to incorporate basal
orthopedic change with this appliance system, thus
restricting it to malocclusions requiring pure dental
movements
• Unlike conventional appliances, the treatment plan
cannot be changed once the appliance series has
begun.
• Invisalign is generally not recommended in treating
more complicated malocclusions such as severe deep
bite, anterior-posterior corrections greater than 2 mm,
uprighting severely tipped teeth etc
TERMINOLOGIES
• ‘Midcourse correction’ involves a temporary pause in
treatment while a new scan is taken or impressions are
made; treatment is then continued once new aligners are
fabricated.
• reasons: lack of patient compliance; mid-treatment
restorative that rendered the current set of aligners
unusable as a result of tooth morphologic structure; lack
of one or more teeth tracking with aligners as planned,
making the fit of the aligners unacceptable; or a change in
the treatment plan.
• ‘Refinement’ is similar to midcourse correction in that it
generally involves pausing treatment and taking new
impressions and ordering a new series of aligners.
• The only difference is that refinement takes place near
the end of treatment when one or more teeth are
apparently not positioned exactly as desired.
• Refinement can be considered similar to artistic detail
bends with fixed appliances.
• ‘Attachments’ are small composite additions to the
tooth surface that enhance areas of undercut either for
retention or to facilitate specific movements.
IMPRESSION TECHNIQUES AND DIGITIZATION
• Treatment success begins with a high-quality polyvinyl
siloxane (PVS) impression.
• Initially, Align Technology used a process called
destructive scanning to produce the three-dimensional
(3D) digital image of the patient’s teeth.
• It involved pouring the impressions with plaster to
produce a conventional 3D model.
• Those models were then “scanned” using a destructive
technique whereby the model was photographed from
the occlusal view, milled down slightly, photographed
again, milled down some more, photographed again,
etc.
• When this process was completed, the computer
software would then use the series of digital
photographs to reassemble the layers and recreate the
model virtually by stacking the images.
• The destructive scanning method had the advantage
that a lab technician could fix minor imperfections by
repairing the model prior to scanning.
• The disadvantage was that it was expensive and time
consuming and produced huge quantities of plaster
dust.
• Align Technology no longer uses the destructive
scanning technique but converts the impression directly
into a 3D virtual model by means of a high-resolution
industrial computed tomography (CT) scan.
• The special plastic impression trays must not interfere
with the x-ray scanning and there is no plaster model,
so the impressions must be perfect.
Three basic impression techniques:
• One-step impression
• Using a suitable “medium body” PVS material in the
proprietary Invisalign impression trays.
• Many orthodontists prefer this method because of the
potential for reduced chair time and expenses.
• But most likely to result in defective impressions
• Second method;
• Impressions of the second molars are first captured
using a PVS putty material to create a posterior dam.
• The medium body material is used over the putty to
gain a more detailed impression of the second molars,
as well as to capture the rest of dentition.
• Although this technique takes more chair time, the
advantage is that it reduces the probability of having an
unacceptable impression.
• The third impression technique involves a more
involved two-step process.
• When the patient elects to start treatment, an alginate
impression is taken of both arches.
• The impressions are poured
• Then the thermoformed plastic material is formed over
the models but not trimmed
• While the full sheet of
thermoformed plastic
material is still on the stone
model, a plastic impression
tray is sized and then filled
with the heavy body or putty
PVS material and the model
with untrimmed
thermoformed plastic
material is inverted and
pressed down into the
impression material.
• Once the custom tray is made, the thermoformed
plastic material is trimmed and will be used as the
patient’s “training aligner” - may be used for bleaching
the teeth.
• The final PVS impressions are made by placing a
minimal amount of a fast set light body wash inside the
custom tray
The Virtual Setup
• The impressions are scanned
using an industrial CT scan to
produce a 3D virtual model.
• The technician uses a best-fit
occlusion based on wear
facets and virtual contacts
along with the intraoral
photographs provided in the
submission kit to articulate
the models.
• It is important to understand that the occlusal registration
sent with the impressions is used to verify the occlusion
only if the photographs are of poor quality
• Once the virtual models are produced, they are
segmented using boundary recognition software to define
individual teeth.
• Once that is accomplished, virtual “roots” are placed
• The technicians recreate the virtual gingival margins
using morphing-type software to mimic the gingival
conditions seen on the clinical photographs
• The preparation work is finished at this point, and the
virtual model is forwarded electronically to the TREAT
(Align Technology, Inc.) operator to perform the virtual
setup and staging.
• TREAT is the proprietary software that Align Technology
uses to simulate treatment and set up the virtual model
to allow the manufacture of the aligners.
• It is a sophisticated 3D graphics program that gives the
operator great control of tooth position and rate of
tooth movement.
• Once the virtual setup is completed and approved by
the orthodontist, a series of plastic models is fabricated
using stereolithography on which the aligners are then
made by a thermoforming process.
Direct Digital Manufacturing
• Currently, there are two promising technologies: cone
beam CT (CBCT) and intraoral light scanners.
• The advantage of direct digital capture of the dentition
would be
(1) The elimination of the need for PVS impressions and
their inherent potential for clinical errors
(2) Reducing the time needed to produce appliances
because the image would be transmitted instantly to
Align Technology via the Internet.
SCANNING AND DIGITIZATION
• An instant virtual model from an intraoral scanner, in
combination with multiple software platforms, now
allows the orthodontist to manipulate teeth with or
without the assistance of a technician.
• That, along with a three-dimensional printer, allows the
orthodontist to make aligners easily in his or her office
once the cost of the three components (scanner,
software, and three- dimensional printer) becomes
more affordable.
• Every current scanner has a hand-held wand containing
a camera that is connected to a computer for data
collection and manipulation.
• The wand may project either laser or white light onto
the tooth surface where it is reflected back to the
camera, after which hundreds of thousands of
measurements per inch are performed to recreate the
three-dimensional representation of the teeth.
• All intraoral scanning technologies using a wand have
had to deal with cross-arch distortion as the
information is stitched together to form a full arch
image.
• The scanner manufacturers have managed to correct
such distortions.
• Four types of imaging technologies are currently used:
• Triangulation
• Parallel confocal imaging
• Accordion fringe interferometry, and
• Three-dimensional in-motion video.
• In addition, intraoral ultrasound scanning, although not
yet commercially available, is currently in development
and should soon be released.
TRIANGULATION
• CEREC (Chairside Economical Restoration of Esthetic
Ceramics or CEramic REConstruction) (Sirona USA,
Charlotte, NC) which works using triangulation was the
first in-office intraoral scanner introduced to dentistry
in the early 1980s.
• It was originally developed to scan a crown preparation
and then to send the data to a milling machine to create
single crowns in the office without the need for
impressions.
• This technique uses projected laser light.
• Requires a thin coating of opaque powder to be applied
to the target tissue.
• The CEREC system determines the angle of reflection
and the distance from the laser source to the object’s
surface as light reflects off the object.
PARALLEL CONFOCAL IMAGING (iTero, Align Technology,
Inc., Santa Clara, CA)
• Projects laser light through a pinhole to the target.
• The sensor is placed at the imaging plane where it is in
focus (confocal).
• A small opening in front of the sensor blocks any light
from above or below.
• Only the focused light reflecting off the target tissue will
reach the sensor for processing.
• This type of system creates thousands of tomographic
slices and stitches them together to form the three-
dimensional picture.
ACCORDION FRINGE INTERFEROMETRY (AFI)
• Two sources of light are used to project three patterns
of light, called “fringe patterns,” onto the teeth and
tissue (True Definition Scanner, 3M ESPE, St. Paul, MN).
• Based on the shape of the object, the fringe pattern
distorts and takes on a new pattern.
• Surface data points of the fringe curvature are recorded
by a high-definition video camera that is offset from the
projector by approximately 30 degrees.
• Because the differences among the three precision
optical measurements determine the distance
measurement, the differential measurement is
unaffected by changes in tooth colors and materials.
THREE-DIMENSIONAL, IN-MOTION VIDEO (Lythos Digital
Impression Systems, Ormco Corporation, Orange, CA)
• Uses three tiny high-definition video cameras at the
lens to capture three precise views of the target.
• A sensor behind the cameras converts the light energy
into electrical signals, which allows the distances
between two data points to be calculated
simultaneously from two perspectives to create the
three-dimensional data.
• The data points are captured in a video sequence and
modeled in real time.
• Although powdering may be required to capture surface
data points, only a light dusting is needed, compared
with the thicker coating needed for triangulation.
• The ClearView SCAN (S-Ray Incorporated, Reno, NV),
uses high-definition ultrasound imaging to capture both
the tooth and the bone and soft tissue in three
dimensions.
• Early prototypes suggest that these scans will use a
disposable mouthpiece to scan the entire arch at once
and will be significantly faster and more accurate than
light-based scans.
• The second part of the process is integrating the
software that provides the ability for the technician or
orthodontist to manipulate teeth in preparation for
manufacturing aligners.
• The software must accomplish two things.
• First, it must fill any voids in the scan itself to produce a
workable model;
• second, it must allow for tooth segregation and three-
dimensional manipulation to produce the intended final
setup.
• Furthermore, the amount of movement per aligner or
stage must be determined by either the orthodontist
with a three-dimensional digital orthodontic system
(Orchestrate Orthodontic Technologies, Rialto, CA) or be
programmed into the software in the form of a
proprietary algorithm (Invisalign).
• Then the models are printed using three-dimensional
printers
• All three-dimensional printers build the object (for
orthodontics a model of the teeth) in layers.
• The height of the model and the thickness of each layer
determine how long it takes to print.
• Objects may be printed out of a variety of substances,
depending on the printer and the intended use of the
object.
• In stereolithography, liquid resin is held in a build tray
and cured layer by layer with an ultraviolet laser light
that “draws” a cross-section or outline of each layer in a
bottom-up sequence until the model is submerged in
the resin bath by the thickness of the build layer for
each pass of the laser.
• Align Technology uses stereolithography (SLA) models
to manufacture Invisalign.
• Fused deposit modeling (FDM) lays down layers of
material heated just beyond its melting point, and the
material immediately hardens as each layer is applied.
• Digital light processing (DLP) is based on a chip
technology developed by Texas Instruments and is
commonly used in home theater projectors.
• With DLP printers, the process is similar to SLA
modeling; however, an entire layer is cured at once,
resulting in faster build times and a smoother surface
finish.
• PolyJet photopolymerization (PPP) printers are similar
to inkjet printers, but PPP printers work in three
dimensions rather than two.
• In PPP printers, the material is sprayed out of nozzles
and immediately cured with ultraviolet light.
• It would be remiss not to mention four-dimensional
printing, the brainchild of Dr. Skylar Tibbits at
Massachusetts Institute of Technology (MIT).
• Four-dimensional printing involves using three-
dimensional printing and special geometric properties
along with material characteristics to print objects that
can change their configuration based on outside
influences, such as motion or pressure.
CLINCHECK—AN OVERVIEW
• The virtual setup for Invisalign-branded clear aligner
treatment is viewed by the orthodontist in a software
program called ClinCheck.
• ClinCheck is not the treatment plan; rather, it is the
three-dimensional interpretation of the treatment plan
by the technician from the prescription form submitted
online.
• The goal of the virtual setup, when modified and
completed by the orthodontist, is to make the
individual tooth movements shown in the ClinCheck
depict the actual individual tooth movements required
to correct the malocclusion.
• Strict attention to each crown and to the root
movement in all three planes of space is required.
• The technician follows the instructions on the
prescription form and delivers tooth movements that
fall within the predetermined defaults of Invisalign’s
Treat software.
• The technician uses a very robust proprietary software
called Treat, and the orthodontist’s interface with that
program is a scaled-down version called ClinCheck.
• The single greatest benefit of ClinCheck is its usefulness
as a tool for therapeutic diagnosis.
• One can prescribe a given treatment plan, such as a
non-extraction approach with some expansion and
proclination if crowding is present.
• The outcome may be visualized and compared using
either extractions or interproximal reduction.
• Although the treatment outcomes cannot be
superimposed on each other, each of them can be
superimposed on the pre-treatment virtual model for
evaluation
• The first group of tools is the
virtual model manipulation
tools located in the upper left of
the screen
• Align Technology has provided
the orthodontist with several
ways to manipulate the virtual
model.
• The first is to simply left click on
the model and manipulate the
view with the mouse
• The next method is the
defined views .
• Allow one to click on a
predefined viewing angle of
the model or proceed
through a sequence of views
to allow thorough
examination of the final
occlusion and alignment.
• The next tool available is the gallery views, which allow
to view a single model, two arches simultaneously in
separate orientations, or a collage of six separate views
• Moving down the left side of the interface, there is a
group of four navigation buttons that allow the user to
move the model around the screen, zoom in or out
overall, rotate the model, or zoom into a specific
location by clicking the mouse on the desired spot
• Below the navigation buttons is a group of three wheels
that allow the user another method of rotating the
model in any plane of space.
• Immediately below the navigation wheels is another
zoom tool that allows the user to either gradually
increase or decrease the size of the model or simply
type in the amount of magnification desired
• Across the top to the right of the gallery views is a group
of illustration buttons .
• These allow the user to show or hide the upper or lower
model, tooth numbers, attachments, interproximal
reduction recommendations, superimposition, grid tool,
overcorrection stages, projected final position for partially
erupted teeth and tooth shade display on screen
Grid tool to check symmetry
IPR recommendations
• On the right side of the screen
is the comments section.
• Comments are displayed in two
colors: one designating the
comments entered by the
orthodontist and the other
designating comments entered
by the TREAT technician.
• The last section is in the
lower right of the screen.
• This is the tab to either
modify or accept the setup.
• When modifying the setup,
first comments are added and
then they are submitted.
• This allows the orthodontist
to add comments at different
sessions
• Once the orthodontist has completed the virtual setup,
the true power of the Treat program is exhibited by the
application of SmartForce enhancements.
• SmartForce features are patented engineered solutions
designed to create precise biomechanical forces on
selected teeth or groups of teeth.
• Research and development of the SmartForce features,
combined with the proprietary plastic, are unique to
Invisalign.
SmartForce features
• These enhancements generally consist of
✓customized computer-designed attachments added
to the tooth surface
or
✓pressure areas applied to the tooth surface created
by altering the digital model before fabricating the
aligner.
• The treating orthodontist uses ClinCheck software to
review the initial setup provided by the technician and
to make modifications to the virtual setup until the
desired tooth movements are displayed, at which time
the treatment is approved and the aligners are
manufactured.
• ClinCheck Pro (v4.1) is the most recent version of the
software.
• Allows the orthodontist to control individual tooth
movements in all three planes of space.
• ClinCheck Pro, with its ability to control tooth and arch
movement, is a paradigm shift in the way orthodontists
now achieve the desired virtual setup.
• Before the release of ClinCheck Pro (v3.1) in 2014,
written communication with the technician was
required to make modifications to the virtual treatment
plan and often presented a barrier to getting the exact
setup desired by the orthodontist.
• Another problem with previous versions was the
inability to see the values for each tooth movement.
• The orthodontist had limited tools to assess the amount
of tooth movement—a superimposition tool and a
millimeter grid.
• Although these tools were helpful, they were
inadequate to evaluate small changes in all three planes
of space.
• With the introduction of ClinCheck Pro (v3.1) and
subsequent updates in ClinCheck Pro (v4.1), the value of
tooth movement measured to within hundredths of a
millimeter are displayed on the bottom of the screen.
• Orthodontists can now couple the proposed tooth
movements in their treatment plans to the virtual setup
and verify that all tooth movements are accurate in all
three planes of space.
• The orthodontist’s control of tooth movement not only
increases the accuracy of the final positioning of the
teeth, but it also saves considerable time by requiring
fewer modifications.
BIOMECHANICS OF ALIGNER TREATMENT
• Control of root position and anchorage is often the
greatest challenge faced by any orthodontist.
• Patel and colleagues (2004) found significant
improvement in the peer assessment rating (PAR) index
in patients treated with Invisalign.
• Vincent (2005) found improvements in the ABO
objective grading system (OGS) with tooth alignment
but not in posterior occlusal contacts.
• Djeu G et.al (2005) compared Invisalign with fixed
appliances and found the ABO OGS scores were
improved more for the fixed appliance group than for
the aligner group
• Brown P et.al. (2007) reported that, overall, Invisalign
was found to be more effective than fixed appliances at
producing the outcome defined by the OGS.
• In a systematic review in 2005, Lagravere M O and
Flores-Mir C concluded that “Clinicians will have to rely
on their Invisalign clinical experience, the opinions of
experts and the limited published evidence when using
Invisalign appliances.”
Simple versus Difficult Movements
• With an aligner, the plastic encapsulates the tooth and,
in doing so, must provide both retention and activation
to move the teeth.
• In general, the natural undercuts of the teeth provide
the retention and the active component to move teeth
by the elastic deformation of the aligner, which is
important for two reasons:
1. the aligner elastic deformation cannot be as great as
to overcome the retention forces
2. certain directions allow the aligner a greater inherent
ability to undergo elastic deformation.
• For instance, a faciolingual movement is fairly
predictable because the entire body of the aligner can
be elastically distorted; it then returns to its original
shape, carrying the tooth with it.
• The total desired movement is then subdivided in such
a way that the aligners remain within this range of
elastic deformation, and a sequence of aligners is made
to accomplish the entire desired movement.
• The number of aligners or stages, then, is based on the
distance the tooth must be moved.
• In contrast, a vertical movement would require the
aligner to stretch essentially within the matrix of the
plastic and, at the same time, maintain retention of the
tooth it is attempting to move.
• Because the ability for such elasticity within the plastic
itself is very limited, these movements must be divided
into very small increments and are considered difficult.
• Given this understanding of the basic nature of how
aligners move teeth, it is not surprising that multiple
movements are considered unpredictable with aligners.
• The material composition of the aligner is important in
delivering the desired properties to the aligner.
• Aligners are comprised of polyurethane, polyester, or
some combination or modification of such.
• Ideally, aligner plastic should be the appropriate
stiffness to deliver a constant force.
• To accomplish this, the stress relaxation of the material
needs to be low to ensure that the delivered force is
constant.
• The material should be of high enough formability to
enable it to conform precisely to teeth and to any
attachments that may exist.
• Aligner plastic should be highly elastic; when it is
stretched, it will return to the shape similar to an
archwire should when activated.
• Last, the material should be highly aesthetic and
comfortable for the patient to wear.
• Previous studies have shown that aligners have less
impact on the quality of life and less pain than
orthodontic treatment with traditional braces.
• Research is currently being conducted in the area of
aligner thermoplastics to examine the impact of aligner
thickness and the other force delivery properties of
aligners.
• The proprietary plastic used to make Invisalign is known
as SmartTrack (Align Technology, Inc.), a biocompatible
multilayer thermoplastic polymer comprised of
polyurethane and a copolyester, which was released in
early 2013.
• A recent study (Patel ND) showed that the SmartTrack
material achieved a significantly higher amount of
prescribed tooth movement than the previous Align
Technology’s ‘Exceed-30’ aligner material that was used
before 2013.
• Over the course of the past 20 years, the levels of force
thought to be required to perform different movements
has steadily decreased.
• Continuing with that trend, recent studies have
suggested that given time, even forces as low as 18g are
sufficient to produce bodily movement.
• Because the force delivered with an aligner made from
Exceed 30 is initially 200g and decays to essentially a
constant level of 40g within approximately 48 hours,
delivering adequate forces to the teeth to create
desired movements should pose no problem.
• Controlling those forces then becomes the issue. How
the force is delivered and the reaction of the tooth to
that force are functions of multiple factors.
• These include the center of rotation, the center of
resistance, and the point at which the force is applied.
• The goal is to control root position during movement to
achieve the desired end results with the minimum
amount of complexity.
• Controlling the moment-to-force ratio can do this.
• In traditional orthodontic biomechanics, the discussions
are typically centered on fixed attachments in the form
of brackets with forces applied by wires, with a small
moment arm and relatively high forces required to
meet moment-to-force ratios.
• To better understand the dynamics of root control with
aligners, the biomechanics of tooth movement with
aligners are examined, and a comparison that, with an
understanding of movement with fixed appliances, is
made.
• Specifically, the design and placement of attachments
and auxiliaries to accomplish controlled two-point force
application are examined.
• For effective tooth movement to take place, even in
simple situations, aligners must be worn 22 hours a day,
essentially the same as for fixed appliances.
• One of the problems that is seen when attempting
incisor root movements with aligners is that the
intended movement and the actual movement are
sometimes different.
• The reason for this difference is exactly what Proffit
described as happening with removable appliances in
general—not enough retention is present to offset the
force needed to generate the movement.
STAGING
• An important aspect of
controlling tooth
movement with aligners
is staging.
• Staging is the sequence
in which and speed at
which teeth are moved
with aligners.
102
Invisalign
• The numbers across the top represent different teeth and
the vertical axis represents aligner number.
• The vertical black bars in the diagram indicate the timing
and rate of tooth movement.
• Each aligner number then represents one stage.
• The orthodontist must then interpolate the rate of
movement by estimating the total distance and dividing
by the number of aligners, assuming equal rates of
movement occur throughout the entire distance moved.
• In addition, the orthodontist has no way of knowing
whether the movement represents linear movement or
rotational movement.
• The original default staging plans involved segmented
tooth movements .
• An alternative to segmented staging that mimics fixed
appliance treatment more closely is simultaneous
staging.
• First suggested by Foy in 2004(Michael Foy, personal
communication, Invisalign Alpha Group meeting, 2004, Salt
Lake City, UT, 2004) and then refined by Paquette(Staging
Strategies, Effectiveness and Efficiency with Invisalign
Treatment, 2005 Invisalign Summit, Las Vegas, NV) and then
after several years the simultaneous movement concept was
adopted by Align Technology in 2007.
• The basis for simultaneous movement is that all the teeth
within each arch are moved together from the initial stage
through the final stage.
• The tooth that moves the most dictates the overall
number of stages based on the maximum allowable
tooth velocity.
• Moving the other teeth simultaneously from the first to
the last stage reduces the velocity for all the other
movements and increases their predictability without
increasing the overall number of aligners.
• Alternative staging patterns also exist that are
associated with certain types of treatments
• Distalization of the maxillary dentition, starting with the
molars, followed by the bicuspids, and ending with the
retraction of the anterior teeth, is a type of staging
known as V staging pattern and typically applies only to
the upper arch.
• Although this pattern makes a great three-dimensional
visualization of correcting a Class II Angle molar
relationship to a Class I molar Angle relationship, the
reality is that teeth that appear to be anchoring the
arch are still subject to the forces applied by the aligner
material.
• The opposite of V staging pattern, in which the anterior
teeth move anteriorly, followed by posterior teeth
moving anteriorly, is known as A staging pattern.
• This pattern could be used in either arch to open
previously closed extraction spaces or to attempt to
mesialize an entire arch in a segmental fashion.
• This pattern will significantly lengthen the treatment
time, as compared with X staging pattern staging, and
has limited clinical applications.
• M staging pattern is solely used for bicuspid extraction
treatment.
• In this staging pattern, movement starts by first closing
the extraction spaces, followed by the alignment of
anterior teeth, and finishing with molar movement.
• This three-dimensional simulation attempts to mimic
maximum anchorage of the molars by showing no
movement as the remainder of the arch changes.
• This simulation does not clinically and exactly translate
as shown in the three-dimensional simulation because
forces are being applied to the molars as the arch
perimeter changes with each successive aligner.
• In response to the need to create a solution for the
extraction treatment, which specifically addresses
molar anchorage and root parallelism, G6, the latest
SmartForce feature has been introduced.
• G6 combines SmartForce optimized attachments along
with a specific staging pattern that is similar to the M
staging pattern. To date, clinical results have not been
evaluated to determine the clinical efficacy of G6
SmartForce enhancements.
• Ultimately, the orthodontist controls all aspects of the
Invisalign treatment, including how much movement
per aligner is desired.
• Although not recommended by Align Technology, some
orthodontists greatly reduce the amount of linear
movement per stage by increasing the number of active
stage aligners using simultaneous tooth movement or X
pattern staging for complex movements.
• Increasing the number of active stages with
simultaneous tooth movement effectively reduces the
amount of tooth movement per stage for all teeth in
the arch.
• If the number of active stages were doubled, then the
movement of the rate-determining tooth would
decrease to nearly 0.12 mm per stage, and all of the
other teeth in the arch would be significantly less than
0.12 mm linear movement per aligner.
• Reducing tooth movement per aligner then allows an
accelerated changing schedule because of less elastic
deformation of the aligner material.
• Although twice as many aligners are the result, the total
treatment time remains the same.
Interproximal reduction and Aligner treatment
• Early in the development of the Invisalign technique,
there was a perception that most patients treated with
aligners required IPR.
• That was because most Clin-Checks that were returned
to the orthodontist had significant amounts of IPR
recommended by Align Technology setup technicians.
• There were two basic reasons for such
recommendations:
• The first reason was that many patients treated with
Invisalign were patients who had undergone
orthodontic relapse and thus had minor lower anterior
crowding.
• The technicians were taught that in doing a setup they
should never expand lower canines and never flare
lower incisors anteriorly.
• That only left them one alternative, and that was to
reduce tooth mass, either by IPR or extraction of a
single lower incisor.
• The second reason was to
avoid the side effect of virtual
collisions.
• Virtual collisions occur
whenever the setup technician
attempts to move teeth in such
a manner that one
interproximal surface virtually
passes through the adjacent
tooth’s interproximal surface,
which is impossible in the
physical world
• To allow the intended tooth movement to take place,
the setup technician would request that the
orthodontist remove the amount of tooth structure that
was involved in the virtual collision.
• The collision table, that the TREAT technician has access
to in the software staging editor.
• The numbers across the top represent different teeth and
the vertical axis represents aligner number.
• One can see that the virtual collisions can increase and
decrease over the course of treatment.
• Furthermore, the collisions are measured in hundredths
of a millimeter and then rounded off to tenths of a
millimeter, and the interproximal surface of the tooth is
mathematically interpolated by boundary recognition
software.
• Additionally, any collision less than 0.05
mm is considered insignificant in that
the aligner can theoretically stretch that
much and not cause any problems with
treatment.
• The result is that if there are many so-
called insignificant collisions, the result
may not be insignificant clinically
because the tooth mass will be greater
than the space allowed for in the aligner.
• Some teeth will be forced to intrude to
reduce arch length; this is often the
terminal molar but it could be any tooth
in either arch
• The orthodontist is given three IPR options on the treatment
prescription form: PRIMARILY, IF NEEDED, and NONE.
• The IF NEEDED option does not necessarily mean in the best
interests of the patient but rather subjugates the responsibility
for any decision regarding IPR to the technician and therefore
should only be selected if the orthodontist is prepared to give
specific instructions about under what conditions IPR can be
used.
• If the orthodontist is unsure about whether to use IPR, he or she
may request no IPR on the prescription form.
Attachments
• One solution to aligner displacement is the proper design
and placement of attachments.
• Attachments can be used for retention of the aligner as
well as to enhance or facilitate specific tooth movements.
• The key is to provide a ledge for the aligner to grip that is
perpendicular to the direction of displacement and of
sufficient size to provide enough surface area to offset the
force delivered.
• Another simple rule of thumb is to place the attachment
far enough away from the gingival margin that the aligner
will not spread or stretch and slip off the attachment.
• This is an important concept because over time the
aligners tend to relax over time; that is, exert less force, so
the clinically observed side effect is that the gingival third
tends to become less retentive.
• Recognizing the limitation of aligners and attachments to
accomplish certain tooth movements, engineers at Align
Technology initiated efforts to design a better
aligner/attachment system and to do so have developed
the Virtual Invisalign Laboratory, which is a sophisticated
series of software tools that enable them to evaluate the
expected clinical response to various attachment designs
and placements.
• The approach, based on the principles of biomechanics,is
composed of three parts: virtual modeling, in vitro testing,
and clinical evaluation of the resulting designs.
• Virtual modeling is first
used to test a myriad of
possible solutions and
identify those that
produce the desired
force system.
• These models may
include changes in
attachment shape as
well as variations in the
geometry of the aligner
itself
• After considering possible designs, they are then
fabricated and the force systems are measured using
laboratory equipment specifically designed to measure
force systems from aligner/attachment combinations.
• Successful designs are then moved into clinical testing.
• At the time of this printing, a significant number of
optimized attachments have been developed and
introduced to provide specific force systems for
challenging tooth movements.
• These optimized attachments allow the proprietary
aligner material (SmartTrack) to produce the required
force, which creates the moment required to move the
tooth as shown in the ClinCheck.
• The term SmartForce has been patented by Align
Technology to describe the computer-generated
attachment designs that are generated by Align
Technology’s Treat software.
• Each optimized attachment is now custom designed for
a specific movement on a specific tooth for an
individual patient.
• The tooth movements prescribed by the orthodontist
are measured in all three planes of space; when a
default in any one direction is exceeded, the Treat
software will place the SmartForce attachment on the
tooth at the correct location to create the required
force system to cause the tooth to move as depicted in
the ClinCheck.
• One internal design feature from Align Technology
allows computer-designed attachments to provide
specific directions of force application upon inserting
the first aligner.
• The initial force application applied to optimized
attachments is generated by preactivating the aligner-
attachment interface.
• Preactivation is achieved by using an attachment
template for attachment placement, which will alter
only the optimized attachments that are slightly offset
from the position of the attachment in the subsequent
aligner that will be placed.
• This offset positions the active surface of the
attachment to engage fully the aligner material, thus
eliminating a lag period of one to two aligners before
achieving the full force system required to move the
tooth as shown in the ClinCheck.
• In addition to pre-activation, one additional feature has
been designed to allow tooth movement using
optimized attachments.
• Some optimized attachments will have excess space
opposite the active surface to allow the tooth to move
unimpeded in the correct direction.
• Although, clinically, this may give the appearance that
the attachment is not fully seated in the aligner, this
excess space is intentional by design.
• As the number of optimized attachments has increased,
it has become apparent that the ability to move teeth
effectively with clear aligners is a function of the
material, the velocity of tooth movement, and the
ability to produce the correct force system by using
computer-designed attachments and patient
compliance.
• Another group of attachments are available to be
placed by the orthodontist when modifying a virtual
treatment plan - referred to as manually placed or
physician-prescribed attachments.
• The first of the manually placed attachments was the
ellipsoid attachment. This attachment is widely
considered the least effective attachment because of its
small size and lack of a defined active surface.
• All other attachments are variations of the initial
rectangular attachment design.
• This rectangular attachment design was the primary
attachment for any tooth movement that was
considered moderate or difficult, without deference to
the actual forces and moments generated by its
placement.
• The patient has difficulty inserting and removing the
aligners, which is an inherent problem with rectangular
attachments.
• If the attachment and the aligner are not completely
coupled, then the result is an unwanted force system
and unpredictable tooth movements.
• In order to facilitate greater ease of
insertion and removal, as well as
eliminate the all-or-none situation,
the beveled attachment was
developed by rotating a portion of
the rectangular attachment
virtually into the tooth surface
Power ridges and pressure areas
• A net force of 40 g (base
level force of an aligner after
48 hours) intended to move
the tooth lingually would
require a moment of 320 to
400 g-mm (M/F ratio 8-10)
for bodily movement or
greater than 400 gmm (F/M
ratio less than 10) for lingual
root movement
• Improper attachment design or placement allows the
delivery of only 280 g-mm moment in conjunction with
40 g force, resulting in controlled lingual crown tipping
• It must be kept in mind that the aligner provides the
same level of force on both sides of the teeth, even
though the forces may be in opposite directions.
• This means that in the absence of spaces to close, just
as with fixed appliances, there must be some outside
force system such as interarch elastics to provide a net
distalizing force on the maxillary anterior teeth to
produce lingual root movement.
• An alternative to attachments that help facilitate torque
control is the power ridge.
• Power ridges are engineered corrugations placed at
specific locations to enhance the undercut near the
gingival margin of teeth undergoing torquing
movements.
• The ridges function in two ways
• The first is to stiffen the gingival third of the aligner to
make it more resilient.
• The other is to provide additional force as close to the
gingival margin as possible to increase the effective
moment arm of the aligner.
• The obvious advantage to power ridges is that
attachments need not be placed or removed, and they
are more aesthetically acceptable to the patient
• Power ridges also have two disadvantages.
• First, they cannot be combined with any other
attachment or SmartForce feature.
• For the force system to work as designed, the two
points where the aligner places pressure on the tooth
should be separated by as large a distance as possible,
without interference from any other force system.
• In effect, the gingival protrusion in the aligner has a
dual purpose. Not only does it create a force near the
gingival margin, but it also lifts the aligner away from
the facial surface of the tooth until the aligner re-
engages the tooth on the lingual surface of the incisal
edge of the tooth.
• The second problem with power ridges is that they can
create irritation of the buccal tissues attributable to the
protrusion of the margin of the aligner.
• Although generally acceptable to most patients, some
will find this irritation very uncomfortable, more often
on the lower arch than on the upper.
• Power ridges were the first of a group of SmartForce
features that are currently used to create force systems
that clear aligners alone cannot achieve.
• These pressure areas may take the form of a power
ridge, pressure point, or pressure area, and each may
be a stand-alone feature or may work in conjunction
with optimized attachments.
• The multiplane attachment for the upper lateral incisors
is an example of a pressure point on the lingual surface
combined with an optimized attachment on the facial
surface.
• Root control attachments on the upper and lower
bicuspids will also use this combination of pressure
points and optimized attachments to produce the
required moment to correct root alignment on these
teeth.
• The latest additions to this family of SmartForce features
are pressure areas on the lingual surface of maxillary and
mandibular incisors and the lower cuspids to direct
intrusive forces more closely down the long axis of the
tooth when any of these teeth are intruding more than
0.5 mm.
• Similar to optimized attachments, these pressure areas
are all added by the Treat software when the amount and
direction of movement extend beyond and surpass the
default that triggers their placement.
• The orthodontist can control whether these features
appear or disappear by moving the teeth above or below
the threshold required by the software.
Root Parallelism
• Another aspect of biomechanics, especially pertinent to
extraction treatment, is to control tipping in order to
achieve root parallelism.
• When a force is applied in an attempt to move a canine
distally, the tooth will rotate about the centre of
resistance.
• It would require a sufficient moment to oppose the
tipping movement.
• This is a more problematic area because in a typical
mesiodistal movement as in an extraction scenario, the
aligner contacts the tooth on a surface that is parallel to
the direction of force.
• The result is that there is little, if any, moment arm
created without the use of substantial attachments
• An idea dating back to the late 1800s was to place an
attachment on the gingival aspect of a bracket extending
toward the center of resistance in an attempt to decrease
the amount of tipping when teeth are moved
mesiodistally.
• These gingival extensions are often described as power
arms.
• Power arms have been added to the force system with
Invisalign in an attempt to alter the force–moment
system
• In theory, the addition of a power arm auxiliary
accomplishes two things.
• First, it moves the application of force closer to the
center of resistance.
• Second, it creates a secondary moment due to pressure
against the distal of the aligner.
• Unfortunately, the clinical application is not as
beneficial as with fixed appliances because molar root
control is more difficult than canine root control.
• Align Technology has introduced engineered solutions
in an attempt to mitigate the dumping in extraction
cases and to help align the mesiodistal position of the
roots of bicuspids, cuspids, and lateral and central
incisors.
• These root control enhancements are SmartForce
features, consisting of pairs of optimized attachments or
one optimized attachment and a corresponding
pressure area.
• Short clinical crowns on the maxillary and mandibular
bicuspids will dictate the use of the attachment and
pressure area design.
• Maxillary central incisors, maxillary cuspids, and
mandibular cuspids use only the paired attachments
where two facial attachments will create the couple
designed to tip the roots.
• The upper lateral incisor multiplane feature uses an
optimized attachment on the facial surface and a
pressure area on the lingual surface.
• The root positions of lower incisors have been
successfully maintained during single incisor extraction
treatment without the use of engineered root control
features and cases of successful premolar extraction
treatment using Invisalign have been reported.
• Unfortunately, canines often remain upright during
retraction into premolar spaces, whereas the clinical
crowns of molars, especially maxillary molars, tend to
tip mesially, which is frequently referred to as
“dumping”
• Dumping occurs when the molars are being used as
anchorage for anterior retraction.
• As the arch perimeter is reduced, closing extraction
spaces, pressure is applied to the molar crowns in a
mesial direction.
• This pressure is probably caused by the undesirable
crown-root ratio combined with the large root surface
area over which forces are distributed.
• G6, the latest release of SmartForce features, has
antitipping attachments and pressure areas built into
the molars to limit dumping of the clinical crowns in
extraction cases.
Rotations
• Correcting rotations with aligners can be problematic.
• There are two primary reasons for this.
• The first is that aligners produce tooth movement by
the plastic being slightly distorted and then elastically
rebounding back to the predetermined shape and
carrying the tooth with it.
• In the case of rotations, the aligner is incapable of being
distorted in a manner that can produce significant
rotational movement.
• Some have suggested that beveled attachments with
the bevel turned 90 degrees (i.e., mesiodistally)would
provide a surface to allow the aligner to rotate teeth.
• Even with a properly designed attachment, another
problem with rotations is that the tooth root is not a
cylinder, and because of dilacerations and root surface
variations, there is no way the computer software can
adequately estimate the true rotational long axis.
• In many cases what is thought of as a rotation of the
tooth crown turns out to be bodily movement of the
root surface; thus, estimating the proper rate of tooth
movement becomes impossible.
• When this happens in fixed appliances, it simply takes
longer for the tooth to rotate; when it happens with
aligners, the aligner no longer fits the tooth.
• This results in lack of desired movement, but also, the
aligner is now contacting different tooth surfaces than
was intended.
• The result is either no movement or undesirable tooth
movements.
• With many rotated teeth, there has typically been a
need to use auxiliaries either before, during, or after
aligner treatment in order to accomplish the rotational
correction
• With the advent of the newer optimized attachments,
the predictability of rotational movements has
significantly improved.
• Optimized attachments are now available for all
bicuspids and cuspids.
• The default for the bicuspids and cuspids is rotation
correction greater than 5 degrees in either direction.
• Molars and incisors do not have engineered rotation
attachments to date.
Extrusions
• One method previously used was to use the gingival
beveled attachment to provide a longer surface area
that can be elastically deformed and provide an
extrusive force on the tooth.
• This model obviously had merit because Align
Technology subsequently released an engineered
solution to assist extrusion of maxillary and mandibular
incisors and cuspids.
• The optimized attachments that assist extrusion are
very similar to horizontal beveled attachments, beveled
toward the gingival margin.
• The default that causes the attachment to be added to
the virtual plan is extrusion of more than 0.50 mm
down the long axis of the tooth.
• Relative extrusion, in which the crown of each incisor
lingually reclines, may not trigger the placement of
optimized extrusion attachments, even though the
extrusion may be quite obvious.
• An additional SmartForce feature improves the tracking
of anterior teeth extrusion when all four upper incisors
are individually extruding more than 0.50 mm.
• This additional feature alters the digital model to create
a pressure area at the bases of the optimized
attachment on the upper lateral incisors.
• This pressure area produces a higher force on the
optimized attachment to keep the teeth fully engaged in
the aligner.
• The addition of optimized attachments for extrusion
and pressure areas on the upper lateral incisors has
made Invisalign the preferred appliance for treatment
of mild to moderate anterior open bite treatment.
• In particularly challenging situations, a button bonded
to the tooth, together with an elastic, will assist with
the extrusion.
• This method is infrequently used after the introduction
of optimized attachments and can also be a very useful
technique to finish treatment when only minor
extrusion of a single tooth is required.
Auxiliaries
• Other auxiliaries can be used
to facilitate specific
movements.
• Class II and Class III elastics are
frequently needed just as they
are with fixed appliances.
• One can either attach the
elastics directly to the aligner
or attach elastics to buttons
bonded to the teeth.
• If the elastics are directly attached to the aligner, then
attachments are generally required to prevent
displacement of the aligner.
• Engineers at Align Technology have developed an elastic
hook with the proprietary name “precision hooks and
button cutouts” that are manufactured into the aligner.
The orthodontist can place either of these options
when modifying the ClinCheck using the ATTACH &
CUTS interface.
• Mini-screws can also be used effectively with aligners in
the same manner as they can with fixed appliances, either
planned initially as part of the treatment or to help with
movements that are not progressing as desired.
• They can be used with aligners alone or in combination
with other auxiliaries to simplify the movements the
aligners are required to accomplish.
• The two most common uses of mini-screws with aligners
are for vertical and anteroposterior movements.
• One such example is the extrusion of an upper canine.
• Placing a miniscrew in the lower arch and then running
a rubber band from a clear button near the gingival on
the upper canine to the miniscrew guides the tooth into
the correct position.
• Another vertical movement : intrusion of molars that
have supererupted into an edentulous space.
• Place the miniscrews on the buccal and lingual aspects
of an upper molar. The patient is asked to then wear an
elastic from one mini screw over the top of the aligner
to the other miniscrew.
• Miniscrews can expedite Class II correction.
• The first example involves placing a Carriere Distalizer
appliance (Henry Schein Orthodontics, Carlsbad, CA) in
the upper arch along with a miniscrew in the lower arch
in the molar or retromolar area.
• A Class II elastic is then worn 24 hours a day; generally,
a Class I molar and canine correction can be expected in
approximately 12 to 16 weeks.
• Once the sagittal molar and cuspid correction has been
accomplished, then arch alignment and finishing can be
accomplished with Invisalign
• Another application of miniscrews with aligners is
correcting an arch asymmetry by enhancing the
distalization of one side.
• This correction can be accomplished by placing a
miniscrew in the retromolar area, bonding buttons on
the facial and lingual aspects of the upper first or
second molar, and then connecting an elastic chain
from the buttons to the miniscrew.
• If the intended movement is planned into the aligner
treatment, then the mini screw provides the anchorage
and allows simultaneous movement in the ClinCheck to
reduce treatment time.
• A Study done by Kravitz el al (2009)showed that:
1. The mean accuracy of tooth movement with Invisalign was
41%. The most accurate tooth movement was lingual
constriction (47.1%). The least accurate tooth movement
was extrusion (29.6%). The mandibular canine was the most
difficult tooth to control.
2. Maxillary and mandibular canines achieved approximately
one third of the predicted rotation. The accuracy of canine
rotation was significantly lower than the rotation of all
other teeth, with the exception of the maxillary lateral
incisors. At rotational movements greater than 15°, the
accuracy for the maxillary canines was significantly reduced.
3. With the exception of canine rotation, no tooth was
significantly less accurate in movement.
4. Lingual crown tip was significantly more accurate than
labial crown tip, particularly for the maxilary incisors.
5. The severity of pretreatment overjet might influence
the accuracy of anterior tooth movement with
Invisalign.
Numbering of invisalign trays
• Normally invisalign is
numbered low to high
• The Higher the Number the
Closer to Finishing
• Numbers are laser inscribed on
each aligner
Invisalign Teen
• Originally, Invisalign was anticipated for use with adults
and approved by the U.S. Food and Drug Administration
(FDA) for those individuals with a fully erupted
permanent dentition.
• It soon became apparent, however, that being able to
treat the late mixed dentition with aligners provided
certain benefits as well.
• The shortcomings to overcome were anticipating tooth
eruption of one or more permanent teeth, being able to
monitor patient compliance to discuss the progress (or lack
thereof) with parents, proper control of torque without the
need for attachments when crowns were not yet fully
exposed, and, finally, avoiding practice management issues
over lost aligners.
• Eruption tabs are used to prevent supereruption of
unerupted second molars
• Tooth forms of approximate anticipated crown size are
used to both create and hold room and to guide
eruption of actively erupting second premolars and
canines, planning for refinement aligners with proper fit
once the teeth are adequately erupted to capture
properly the crowns in the impression.
• Wear indicators (Compliance indicators) are placed on
the facial surfaces of the first molars.
• Two different types of chemical indicators are available
that turn from dark blue to clear as the aligners are
worn.
• These indicators are designed so that creative teenagers
cannot realistically figure out a method to have both
indicators change without actually wearing the aligners.
• All SmartForce enhancements, including optimized
attachments, pressure points, and pressure areas were
developed for the Invisalign Teen product and are a
routine part of the feature set.
• The practice management part is actually quite easy.
• Align Technology charges a premium and provides free
replacements for lost aligners.
• In reality, the patient prepays for the privilege of having
them replaced if lost.
• Understanding when and where to anticipate the use of
aligners in combination with other techniques or
auxiliaries is critical to both getting satisfactory results
and satisfying patients.
• Several variables combine to produce either acceptable
desired results or unacceptable undesired tooth
movements.
• The first and most important variable is duration of
wear.
• Aligners are not retainers and must be consistently
worn for approximately 22 hours of a 24-hour period,
essentially acting similar to fixed appliances
• The next most important variables are clinical crown
length and shape.
• The longer the clinical crown and the greater the natural
undercuts to facilitate aligner retention, the more likely
that the desired movement will take place, because there
is a greater amount of surface area for the aligner to
contact.
• Patients with very short clinical crowns are not good
candidates to attempt some movements with Invisalign
such as root alignment with premolar extraction
treatment.
• Single lower central incisor extraction tends to be
successful because of the length of the clinical crowns of
the lower incisors relative to the forces applied.
• Closing anterior spaces, especially with protrusive
incisors that require some intrusion, is extremely
predictable and requires no attachments.
• Closing minor anterior open bites is predictable because
one secondary effect of aligner wear is the vertical
control of dentoalveolar eruption of the posterior teeth.
• In growing patients this is particularly poignant.
Because aligners tend to limit posterior tooth eruption,
when opening a deep bite, special consideration should
be given to the virtual setup.
• If the curve of Spee is deep, then intruding lower
second molars and lower incisors (using the aligner as if
it were a reverse curve of Spee archwire) leaves only a
small amount of extrusion of the premolars and first
molars.
• Along with the reverse curve of Spee effect, heavy
posterior occlusal contacts can be virtually created to
compensate for the side effect of molars and bicuspids
not being able to extrude easily.
• Leveling the curve of Spee has now been made
significantly easier with the addition of the virtual bite
plane being added to the lingual aspect of the upper
incisors. This addition was part of the G5 release in
2014 to address deep bite treatment.
• Opening the bite is accomplished by creating virtual
collisions between the upper and lower molars when
modifying the ClinCheck.
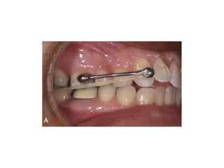
COW-CATCH ALIGNERS
• Clear aligners with intermaxillary elastics
• To fabricate a clear aligner for correcting an open bite,
an impression is taken and a working cast produced.
The teeth on this cast are ideally set-up (extruded)
before a 1-mm plastic sheet (Duran, Scheu-Dental,
Iserlohn, Germany) is formed with either a pressure-
molding machine (Biostar, Scheu-Dental, Iserlohn,
Germany) or a vacuum machine (Raintree Essix,
Sarasota, Florida,USA).
• The teeth to be extruded are supplied with buttons and
connected to the opposite arch with elastics where
buttons were attached to the aligner.
• When the expected extrusion is achieved, the respective
teeth will contact the inner surface of the aligner so that
no additional extrusion occurs. Thus, it is a fail-safe
appliance.
Periodontal Considerations
• There is a body of evidence growing that orthodontic
treatment with aligners has less detrimental
periodontal impact than that of fixed appliances.
• Miethke and Vogt and Miethke and Brauner compared
the periodontal health of patients who underwent
treatment with aligners to that of patients who
underwent treatment with both labial fixed appliances
and with lingual fixed appliances and found that the
periodontal risk was no greater than with labial
appliances and was lower than that of lingual fixed
appliances.
• Boyd found that periodontal health could actually
improve during the course of treatment with Invisalign.
• He attributed this to the patient’s ability to remove the
appliances and spend more time brushing and flossing
their teeth and the aligner’s ability to maintain an
invisible appearance to the appliances.
CONCLUSION
• Not all malocclusions are amenable to treatment solely
with the Invisalign system.
• Treatment of many malocclusions with proper tip,
torque, arch form, and aesthetic crown inclination is
possible to achieve with aligners.
• Besides the obvious aesthetic improvement over fixed
appliances, there may also be periodontal health
benefits associated with Invisalign treatment.
• Understanding both the process of aligner
manufacturing along with the biomechanics of tooth
movement with aligners and applying that knowledge
to treatment planning and clinical execution should
enable the clinician to design a treatment plan with
aligners alone or in combination with fixed appliances
to make both simple and complex treatment
predictable and routine.
REFERENCES
• Graber.Vanarsdall.Vig. Orthodontics current principles and
technique. Mosby,6th ed; 2017
• Graber.Vanarsdall.Vig. Orthodontics current principles and
technique. Mosby,5th ed; 2012
• Orthodontic Clear Aligner Treatment Timothy T. Wheeler,
Seminars in Orthodontics 2017
• Sheridan JJ, LeDoux W, McMinn R. Essix retainers: fabrication and
supervision for permanent retention. J Clin Orthod.1993;27(1):37–
45.
• Vincent S. Evaluation of Invisalign treatment utilizing the American
Board of Orthodontics objective grading system for dental casts.
Am J Orthod Dentofac Orthop. 2005;127(2):268–269.
• Djeu G, Shelton C, Maganzini A. Outcome assessment of Invisalign
and traditional orthodontic treatment compared with the
American Board of Orthodontics objective grading system. Am J
Orthod Dentofac Orthop. 2005;128(3):292–298
• Lagravere MO, Flores-Mir C. The treatment effects of Invisalign
orthodontic aligners: a systematic review. JADA.
2005;136(12):1724–1729.
• Jones ML, Mah J, O’Toole BJ. Retention of thermoformed aligners
with attachments of various shapes and positions.J Clin Orthod.
2009;43(2):113–117.
• Kuo E, Miller RJ. Automated custom-manufacturing technology in
orthodontics. Am J Orthod Dentofacial Orthop 2003;123:578-81.
• Wong B. Invisalign A to Z. Am J Orthod Dentofacial Orthop
2002;121:540-1.
• Joffe L. Invisalign: early experiences.J Orthod 2003; 30(4):348–52
• Kravitz N.D.et al. How well does Invisalign work? A prospective
clinical study evaluating the efficacy of tooth movement with
Invisalign. Am J Orthod Dentofacial Orthop 2009;135:27-35
• Jae Hyun Park and Tae Weon Kim, Open-bite treatment utilizing
clear removable appliances with intermaxillary and intramaxillary
elastics, World J Orthod 2009;10:130–134.

Clear Aligner Treatment

  • 1.
    CLEAR ALIGNER TREATMENT Dr.Arun Bosco J 2018 Batch
  • 2.
  • 3.
    Index • Introduction • History •Indications • Advantages • Disadvantages • Limitations • Terminologies • Impression techniques and digitization • Virtual setup • Scanning and digitization
  • 4.
    • Diagnosis andtreatment planning for clear aligner treatment • Biomechanics of aligner treatment • Clincheck • Staging • Interproximal reduction and aligner treatment • Attachments, power ridges and auxiliaries • Various tooth movements: torque control, root parallelism,rotations,extrusions • Cow-catch aligners • Invisalign teen • Conclusion • References
  • 5.
    INTRODUCTION • Invisalign isan orthodontic technique that uses a series of computer-generated custom plastic aligners to guide the teeth gradually into proper alignment. • Although the use of clear aligner treatment is not new, it is a growing part of the orthodontic market, and, as a result, many new products have become available.
  • 6.
    HISTORY • 1925- ORRINREMENSNYDER : Flex-O-tight gum massaging appliance • The concept on which treatment with clear aligners is based has been around since the 1940s. • In 1945, Dr. Harold Dean Kesling first proposed a clear, vacuum-formed tooth-positioning appliance for minor tooth movement – ‘POSITIONER’ • It was a labor-intensive process that required manually repositioning teeth reset in wax, and a clear vacuum- formed retainer was made for every tooth movement in a series of stages until the teeth were aligned.
  • 7.
    • Dr. HenryNahoum (1964) described a method to change tooth contours using thermoformed plastic sheets – Vacuum formed dental contour appliance. • In 1971, Robert J Pontiz introduced a thermoformed plastic appliance called the “invisible retainer” made on a master model that repositioned teeth with base-plate wax. He claimed that this appliance could produce limited tooth movement. • James A McNamara Jr. et.al. in 1985 also described, using invisible retainers to achieve minor tooth movement.
  • 8.
    • John JSheridan and colleagues (1993) developed a technique involving interproximal tooth reduction and progressive alignment using clear Essix appliances • And those techniques were further developed by Hilliard Jack K and John J Sheridan (2000) with a series of special thermoforming pliers designed to enhance specific movements. • Although these techniques based on Kesling’s proposal of using removable appliances have been used to some degree in the past, the laboratory construction has always been tedious and has previously limited the widespread adoption of removable aligner techniques.
  • 9.
    • Invisalign (AlignTechnology, Inc., Santa Clara,CA) is a proprietary orthodontic technique that uses a series of computer generated custom plastic aligners to gradually guide the teeth into proper alignment. • Invisalign is both a brand name and a technique and is used synonymously. • has been commercially available to orthodontists since 1998. • The company and the technique was the brainchild of two MBA students at Stanford University (1997), Kelsey Wirth and Zia Chishti
  • 10.
    • Wirth hadtraditional braces in high school . Chishti had finished adult treatment with traditional braces and had a clear plastic retainer. He noticed that if he didn't wear his retainer for a few days, his teeth shifted slightly -- but the plastic retainer soon moved his teeth back in position. • In 1997, they applied 3D computer imaging graphics to the field of orthodontics and created Align Technologies and the Invisalign method.
  • 11.
    • They werefortunate in attracting the interest of Robert Boyd, chairman of the Department of Orthodontics, University of Pacific. • He assisted in this endeavour by being a consultant, and in doing so he and his residents provided a means to test this fledgling technology.
  • 12.
    Clear aligners canbe categorized into four basic categories: 1. Positioners or guides: • This category includes the original Allesee Orthodontic Appliances (AOA) - positioner described by Kesling. 2. Thermoformed appliances: • Sometimes known as Essix Retainers (Raintree Essix, DENTSPLY International, York, PA) and removable appliances referred to as spring aligners. • The Essix appliance can be fabricated in the orthodontist’s office or sent to a commercial laboratory, and it uses the techniques of Sheridan and Hilliard to move teeth.
  • 13.
  • 14.
  • 15.
    3. Teeth manuallyset: • Aligners that are fabricated from models that have had teeth cut out and manually moved to the correct position. • If done in a series of models, an aligner can be fabricated from each model. • These appliances can be used for minor movement of upper and lower anterior teeth and usually consist of three to five aligners.
  • 16.
  • 17.
    4. aligners fabricatedfrom digitally manipulated models • Is the largest growing area in aligner treatment. • This growth is most likely attributable to the ability of these aligners to be used to treat malocclusions ranging from minor to complex, including both posterior and anterior teeth.
  • 18.
  • 20.
    • Using digitaltechnology to control tooth movement, intricate and precise tooth movements can be staged for each sequential aligner. • However, tooth movement with aligners is as variable as it is with fixed appliances and can be dependent on individual variables (e.g., periodontal status, age, medication), as well as aligner variables (e.g., attachments, plastic). • In this seminar, we focus on Invisalign (Align Technology, Inc., Santa Clara, CA).
  • 21.
    INDICATIONS OF INVISALIGN •Joffe L. [Invisalign: early experiences. J Orthod 2003; 30(4):348–52] suggested that the Invisalign appliance is most successful for treating: • mildly malaligned malocclusions (1 to 5 mm of crowding or spacing) • deep overbite problems (e.g., Class II division 2 malocclusions) when the overbite can be reduced by intrusion or advancement of incisors • nonskeletally constricted arches that can be expanded with limited tipping of the teeth and mild relapse after fixed-appliance therapy.
  • 22.
    CONTRA-INDICATIONS OF INVISALIGN •Severe crowding • skeletal anterior-posterior discrepancies of more than 2 mm (as measured by discrepancies in cuspid relationships) • centric-relation and centric-occlusion discrepancies • severely rotated teeth (more than 20 degrees) • open bites (anterior and posterior) that need to be closed • extrusion of teeth • severely tipped teeth (more than 45 degrees) • teeth with short clinical crowns • arches with multiple missing teeth.
  • 23.
    ADVANTAGES OF INVISALIGN •Improved esthetics • Invisalign patients showed no measurable root resorption • It gives the patient an esthetic choice in their orthodontic treatment • Easier to clean, thus good oral hygiene can be maintained
  • 24.
    DISADVANTAGES OF INVISALIGN •Fabrication of the aligners is a very time consuming and tedious process that probably would not be practical day to day orthodontic practice • Severe derotations, complex extrusions and translations are less predictable with invisalign and may require auxiliary treatment
  • 25.
    LIMITATIONS OF INVISALIGN •All permanent teeth should be fully erupted for treatment using invisalign as it is difficult to achieve retention of the appliance on short clinical crowns • The treatment procedures do not allow for continued eruption of teeth, or significant dental arch changes during the mixed dentition period • There is currently no capability to incorporate basal orthopedic change with this appliance system, thus restricting it to malocclusions requiring pure dental movements
  • 26.
    • Unlike conventionalappliances, the treatment plan cannot be changed once the appliance series has begun. • Invisalign is generally not recommended in treating more complicated malocclusions such as severe deep bite, anterior-posterior corrections greater than 2 mm, uprighting severely tipped teeth etc
  • 27.
    TERMINOLOGIES • ‘Midcourse correction’involves a temporary pause in treatment while a new scan is taken or impressions are made; treatment is then continued once new aligners are fabricated. • reasons: lack of patient compliance; mid-treatment restorative that rendered the current set of aligners unusable as a result of tooth morphologic structure; lack of one or more teeth tracking with aligners as planned, making the fit of the aligners unacceptable; or a change in the treatment plan.
  • 28.
    • ‘Refinement’ issimilar to midcourse correction in that it generally involves pausing treatment and taking new impressions and ordering a new series of aligners. • The only difference is that refinement takes place near the end of treatment when one or more teeth are apparently not positioned exactly as desired. • Refinement can be considered similar to artistic detail bends with fixed appliances.
  • 29.
    • ‘Attachments’ aresmall composite additions to the tooth surface that enhance areas of undercut either for retention or to facilitate specific movements.
  • 30.
    IMPRESSION TECHNIQUES ANDDIGITIZATION • Treatment success begins with a high-quality polyvinyl siloxane (PVS) impression. • Initially, Align Technology used a process called destructive scanning to produce the three-dimensional (3D) digital image of the patient’s teeth. • It involved pouring the impressions with plaster to produce a conventional 3D model.
  • 31.
    • Those modelswere then “scanned” using a destructive technique whereby the model was photographed from the occlusal view, milled down slightly, photographed again, milled down some more, photographed again, etc. • When this process was completed, the computer software would then use the series of digital photographs to reassemble the layers and recreate the model virtually by stacking the images.
  • 32.
    • The destructivescanning method had the advantage that a lab technician could fix minor imperfections by repairing the model prior to scanning. • The disadvantage was that it was expensive and time consuming and produced huge quantities of plaster dust.
  • 33.
    • Align Technologyno longer uses the destructive scanning technique but converts the impression directly into a 3D virtual model by means of a high-resolution industrial computed tomography (CT) scan. • The special plastic impression trays must not interfere with the x-ray scanning and there is no plaster model, so the impressions must be perfect.
  • 34.
    Three basic impressiontechniques: • One-step impression • Using a suitable “medium body” PVS material in the proprietary Invisalign impression trays. • Many orthodontists prefer this method because of the potential for reduced chair time and expenses. • But most likely to result in defective impressions
  • 35.
    • Second method; •Impressions of the second molars are first captured using a PVS putty material to create a posterior dam. • The medium body material is used over the putty to gain a more detailed impression of the second molars, as well as to capture the rest of dentition.
  • 36.
    • Although thistechnique takes more chair time, the advantage is that it reduces the probability of having an unacceptable impression.
  • 37.
    • The thirdimpression technique involves a more involved two-step process. • When the patient elects to start treatment, an alginate impression is taken of both arches. • The impressions are poured • Then the thermoformed plastic material is formed over the models but not trimmed
  • 38.
    • While thefull sheet of thermoformed plastic material is still on the stone model, a plastic impression tray is sized and then filled with the heavy body or putty PVS material and the model with untrimmed thermoformed plastic material is inverted and pressed down into the impression material.
  • 39.
    • Once thecustom tray is made, the thermoformed plastic material is trimmed and will be used as the patient’s “training aligner” - may be used for bleaching the teeth. • The final PVS impressions are made by placing a minimal amount of a fast set light body wash inside the custom tray
  • 41.
    The Virtual Setup •The impressions are scanned using an industrial CT scan to produce a 3D virtual model. • The technician uses a best-fit occlusion based on wear facets and virtual contacts along with the intraoral photographs provided in the submission kit to articulate the models.
  • 42.
    • It isimportant to understand that the occlusal registration sent with the impressions is used to verify the occlusion only if the photographs are of poor quality • Once the virtual models are produced, they are segmented using boundary recognition software to define individual teeth. • Once that is accomplished, virtual “roots” are placed
  • 43.
    • The techniciansrecreate the virtual gingival margins using morphing-type software to mimic the gingival conditions seen on the clinical photographs
  • 44.
    • The preparationwork is finished at this point, and the virtual model is forwarded electronically to the TREAT (Align Technology, Inc.) operator to perform the virtual setup and staging. • TREAT is the proprietary software that Align Technology uses to simulate treatment and set up the virtual model to allow the manufacture of the aligners. • It is a sophisticated 3D graphics program that gives the operator great control of tooth position and rate of tooth movement.
  • 45.
    • Once thevirtual setup is completed and approved by the orthodontist, a series of plastic models is fabricated using stereolithography on which the aligners are then made by a thermoforming process.
  • 46.
    Direct Digital Manufacturing •Currently, there are two promising technologies: cone beam CT (CBCT) and intraoral light scanners. • The advantage of direct digital capture of the dentition would be (1) The elimination of the need for PVS impressions and their inherent potential for clinical errors (2) Reducing the time needed to produce appliances because the image would be transmitted instantly to Align Technology via the Internet.
  • 47.
    SCANNING AND DIGITIZATION •An instant virtual model from an intraoral scanner, in combination with multiple software platforms, now allows the orthodontist to manipulate teeth with or without the assistance of a technician. • That, along with a three-dimensional printer, allows the orthodontist to make aligners easily in his or her office once the cost of the three components (scanner, software, and three- dimensional printer) becomes more affordable.
  • 48.
    • Every currentscanner has a hand-held wand containing a camera that is connected to a computer for data collection and manipulation. • The wand may project either laser or white light onto the tooth surface where it is reflected back to the camera, after which hundreds of thousands of measurements per inch are performed to recreate the three-dimensional representation of the teeth.
  • 49.
    • All intraoralscanning technologies using a wand have had to deal with cross-arch distortion as the information is stitched together to form a full arch image. • The scanner manufacturers have managed to correct such distortions.
  • 50.
    • Four typesof imaging technologies are currently used: • Triangulation • Parallel confocal imaging • Accordion fringe interferometry, and • Three-dimensional in-motion video. • In addition, intraoral ultrasound scanning, although not yet commercially available, is currently in development and should soon be released.
  • 51.
    TRIANGULATION • CEREC (ChairsideEconomical Restoration of Esthetic Ceramics or CEramic REConstruction) (Sirona USA, Charlotte, NC) which works using triangulation was the first in-office intraoral scanner introduced to dentistry in the early 1980s. • It was originally developed to scan a crown preparation and then to send the data to a milling machine to create single crowns in the office without the need for impressions.
  • 52.
    • This techniqueuses projected laser light. • Requires a thin coating of opaque powder to be applied to the target tissue. • The CEREC system determines the angle of reflection and the distance from the laser source to the object’s surface as light reflects off the object.
  • 53.
    PARALLEL CONFOCAL IMAGING(iTero, Align Technology, Inc., Santa Clara, CA) • Projects laser light through a pinhole to the target. • The sensor is placed at the imaging plane where it is in focus (confocal). • A small opening in front of the sensor blocks any light from above or below. • Only the focused light reflecting off the target tissue will reach the sensor for processing. • This type of system creates thousands of tomographic slices and stitches them together to form the three- dimensional picture.
  • 54.
    ACCORDION FRINGE INTERFEROMETRY(AFI) • Two sources of light are used to project three patterns of light, called “fringe patterns,” onto the teeth and tissue (True Definition Scanner, 3M ESPE, St. Paul, MN). • Based on the shape of the object, the fringe pattern distorts and takes on a new pattern.
  • 55.
    • Surface datapoints of the fringe curvature are recorded by a high-definition video camera that is offset from the projector by approximately 30 degrees. • Because the differences among the three precision optical measurements determine the distance measurement, the differential measurement is unaffected by changes in tooth colors and materials.
  • 56.
    THREE-DIMENSIONAL, IN-MOTION VIDEO(Lythos Digital Impression Systems, Ormco Corporation, Orange, CA) • Uses three tiny high-definition video cameras at the lens to capture three precise views of the target. • A sensor behind the cameras converts the light energy into electrical signals, which allows the distances between two data points to be calculated simultaneously from two perspectives to create the three-dimensional data. • The data points are captured in a video sequence and modeled in real time.
  • 57.
    • Although powderingmay be required to capture surface data points, only a light dusting is needed, compared with the thicker coating needed for triangulation. • The ClearView SCAN (S-Ray Incorporated, Reno, NV), uses high-definition ultrasound imaging to capture both the tooth and the bone and soft tissue in three dimensions. • Early prototypes suggest that these scans will use a disposable mouthpiece to scan the entire arch at once and will be significantly faster and more accurate than light-based scans.
  • 58.
    • The secondpart of the process is integrating the software that provides the ability for the technician or orthodontist to manipulate teeth in preparation for manufacturing aligners. • The software must accomplish two things. • First, it must fill any voids in the scan itself to produce a workable model; • second, it must allow for tooth segregation and three- dimensional manipulation to produce the intended final setup.
  • 59.
    • Furthermore, theamount of movement per aligner or stage must be determined by either the orthodontist with a three-dimensional digital orthodontic system (Orchestrate Orthodontic Technologies, Rialto, CA) or be programmed into the software in the form of a proprietary algorithm (Invisalign). • Then the models are printed using three-dimensional printers
  • 60.
    • All three-dimensionalprinters build the object (for orthodontics a model of the teeth) in layers. • The height of the model and the thickness of each layer determine how long it takes to print. • Objects may be printed out of a variety of substances, depending on the printer and the intended use of the object.
  • 61.
    • In stereolithography,liquid resin is held in a build tray and cured layer by layer with an ultraviolet laser light that “draws” a cross-section or outline of each layer in a bottom-up sequence until the model is submerged in the resin bath by the thickness of the build layer for each pass of the laser. • Align Technology uses stereolithography (SLA) models to manufacture Invisalign. • Fused deposit modeling (FDM) lays down layers of material heated just beyond its melting point, and the material immediately hardens as each layer is applied.
  • 62.
    • Digital lightprocessing (DLP) is based on a chip technology developed by Texas Instruments and is commonly used in home theater projectors. • With DLP printers, the process is similar to SLA modeling; however, an entire layer is cured at once, resulting in faster build times and a smoother surface finish.
  • 63.
    • PolyJet photopolymerization(PPP) printers are similar to inkjet printers, but PPP printers work in three dimensions rather than two. • In PPP printers, the material is sprayed out of nozzles and immediately cured with ultraviolet light.
  • 64.
    • It wouldbe remiss not to mention four-dimensional printing, the brainchild of Dr. Skylar Tibbits at Massachusetts Institute of Technology (MIT). • Four-dimensional printing involves using three- dimensional printing and special geometric properties along with material characteristics to print objects that can change their configuration based on outside influences, such as motion or pressure.
  • 65.
    CLINCHECK—AN OVERVIEW • Thevirtual setup for Invisalign-branded clear aligner treatment is viewed by the orthodontist in a software program called ClinCheck.
  • 66.
    • ClinCheck isnot the treatment plan; rather, it is the three-dimensional interpretation of the treatment plan by the technician from the prescription form submitted online. • The goal of the virtual setup, when modified and completed by the orthodontist, is to make the individual tooth movements shown in the ClinCheck depict the actual individual tooth movements required to correct the malocclusion. • Strict attention to each crown and to the root movement in all three planes of space is required.
  • 67.
    • The technicianfollows the instructions on the prescription form and delivers tooth movements that fall within the predetermined defaults of Invisalign’s Treat software. • The technician uses a very robust proprietary software called Treat, and the orthodontist’s interface with that program is a scaled-down version called ClinCheck. • The single greatest benefit of ClinCheck is its usefulness as a tool for therapeutic diagnosis.
  • 68.
    • One canprescribe a given treatment plan, such as a non-extraction approach with some expansion and proclination if crowding is present. • The outcome may be visualized and compared using either extractions or interproximal reduction. • Although the treatment outcomes cannot be superimposed on each other, each of them can be superimposed on the pre-treatment virtual model for evaluation
  • 69.
    • The firstgroup of tools is the virtual model manipulation tools located in the upper left of the screen • Align Technology has provided the orthodontist with several ways to manipulate the virtual model. • The first is to simply left click on the model and manipulate the view with the mouse
  • 70.
    • The nextmethod is the defined views . • Allow one to click on a predefined viewing angle of the model or proceed through a sequence of views to allow thorough examination of the final occlusion and alignment.
  • 71.
    • The nexttool available is the gallery views, which allow to view a single model, two arches simultaneously in separate orientations, or a collage of six separate views
  • 72.
    • Moving downthe left side of the interface, there is a group of four navigation buttons that allow the user to move the model around the screen, zoom in or out overall, rotate the model, or zoom into a specific location by clicking the mouse on the desired spot
  • 73.
    • Below thenavigation buttons is a group of three wheels that allow the user another method of rotating the model in any plane of space. • Immediately below the navigation wheels is another zoom tool that allows the user to either gradually increase or decrease the size of the model or simply type in the amount of magnification desired
  • 74.
    • Across thetop to the right of the gallery views is a group of illustration buttons . • These allow the user to show or hide the upper or lower model, tooth numbers, attachments, interproximal reduction recommendations, superimposition, grid tool, overcorrection stages, projected final position for partially erupted teeth and tooth shade display on screen
  • 75.
    Grid tool tocheck symmetry IPR recommendations
  • 76.
    • On theright side of the screen is the comments section. • Comments are displayed in two colors: one designating the comments entered by the orthodontist and the other designating comments entered by the TREAT technician.
  • 77.
    • The lastsection is in the lower right of the screen. • This is the tab to either modify or accept the setup. • When modifying the setup, first comments are added and then they are submitted. • This allows the orthodontist to add comments at different sessions
  • 78.
    • Once theorthodontist has completed the virtual setup, the true power of the Treat program is exhibited by the application of SmartForce enhancements. • SmartForce features are patented engineered solutions designed to create precise biomechanical forces on selected teeth or groups of teeth. • Research and development of the SmartForce features, combined with the proprietary plastic, are unique to Invisalign.
  • 79.
  • 81.
    • These enhancementsgenerally consist of ✓customized computer-designed attachments added to the tooth surface or ✓pressure areas applied to the tooth surface created by altering the digital model before fabricating the aligner.
  • 82.
    • The treatingorthodontist uses ClinCheck software to review the initial setup provided by the technician and to make modifications to the virtual setup until the desired tooth movements are displayed, at which time the treatment is approved and the aligners are manufactured. • ClinCheck Pro (v4.1) is the most recent version of the software. • Allows the orthodontist to control individual tooth movements in all three planes of space.
  • 83.
    • ClinCheck Pro,with its ability to control tooth and arch movement, is a paradigm shift in the way orthodontists now achieve the desired virtual setup. • Before the release of ClinCheck Pro (v3.1) in 2014, written communication with the technician was required to make modifications to the virtual treatment plan and often presented a barrier to getting the exact setup desired by the orthodontist. • Another problem with previous versions was the inability to see the values for each tooth movement.
  • 84.
    • The orthodontisthad limited tools to assess the amount of tooth movement—a superimposition tool and a millimeter grid. • Although these tools were helpful, they were inadequate to evaluate small changes in all three planes of space. • With the introduction of ClinCheck Pro (v3.1) and subsequent updates in ClinCheck Pro (v4.1), the value of tooth movement measured to within hundredths of a millimeter are displayed on the bottom of the screen.
  • 86.
    • Orthodontists cannow couple the proposed tooth movements in their treatment plans to the virtual setup and verify that all tooth movements are accurate in all three planes of space. • The orthodontist’s control of tooth movement not only increases the accuracy of the final positioning of the teeth, but it also saves considerable time by requiring fewer modifications.
  • 87.
    BIOMECHANICS OF ALIGNERTREATMENT • Control of root position and anchorage is often the greatest challenge faced by any orthodontist. • Patel and colleagues (2004) found significant improvement in the peer assessment rating (PAR) index in patients treated with Invisalign. • Vincent (2005) found improvements in the ABO objective grading system (OGS) with tooth alignment but not in posterior occlusal contacts. • Djeu G et.al (2005) compared Invisalign with fixed appliances and found the ABO OGS scores were improved more for the fixed appliance group than for the aligner group
  • 88.
    • Brown Pet.al. (2007) reported that, overall, Invisalign was found to be more effective than fixed appliances at producing the outcome defined by the OGS. • In a systematic review in 2005, Lagravere M O and Flores-Mir C concluded that “Clinicians will have to rely on their Invisalign clinical experience, the opinions of experts and the limited published evidence when using Invisalign appliances.”
  • 89.
    Simple versus DifficultMovements • With an aligner, the plastic encapsulates the tooth and, in doing so, must provide both retention and activation to move the teeth. • In general, the natural undercuts of the teeth provide the retention and the active component to move teeth by the elastic deformation of the aligner, which is important for two reasons: 1. the aligner elastic deformation cannot be as great as to overcome the retention forces 2. certain directions allow the aligner a greater inherent ability to undergo elastic deformation.
  • 90.
    • For instance,a faciolingual movement is fairly predictable because the entire body of the aligner can be elastically distorted; it then returns to its original shape, carrying the tooth with it. • The total desired movement is then subdivided in such a way that the aligners remain within this range of elastic deformation, and a sequence of aligners is made to accomplish the entire desired movement. • The number of aligners or stages, then, is based on the distance the tooth must be moved.
  • 91.
    • In contrast,a vertical movement would require the aligner to stretch essentially within the matrix of the plastic and, at the same time, maintain retention of the tooth it is attempting to move. • Because the ability for such elasticity within the plastic itself is very limited, these movements must be divided into very small increments and are considered difficult. • Given this understanding of the basic nature of how aligners move teeth, it is not surprising that multiple movements are considered unpredictable with aligners.
  • 92.
    • The materialcomposition of the aligner is important in delivering the desired properties to the aligner. • Aligners are comprised of polyurethane, polyester, or some combination or modification of such. • Ideally, aligner plastic should be the appropriate stiffness to deliver a constant force. • To accomplish this, the stress relaxation of the material needs to be low to ensure that the delivered force is constant.
  • 93.
    • The materialshould be of high enough formability to enable it to conform precisely to teeth and to any attachments that may exist. • Aligner plastic should be highly elastic; when it is stretched, it will return to the shape similar to an archwire should when activated. • Last, the material should be highly aesthetic and comfortable for the patient to wear.
  • 94.
    • Previous studieshave shown that aligners have less impact on the quality of life and less pain than orthodontic treatment with traditional braces. • Research is currently being conducted in the area of aligner thermoplastics to examine the impact of aligner thickness and the other force delivery properties of aligners. • The proprietary plastic used to make Invisalign is known as SmartTrack (Align Technology, Inc.), a biocompatible multilayer thermoplastic polymer comprised of polyurethane and a copolyester, which was released in early 2013.
  • 95.
    • A recentstudy (Patel ND) showed that the SmartTrack material achieved a significantly higher amount of prescribed tooth movement than the previous Align Technology’s ‘Exceed-30’ aligner material that was used before 2013. • Over the course of the past 20 years, the levels of force thought to be required to perform different movements has steadily decreased.
  • 96.
    • Continuing withthat trend, recent studies have suggested that given time, even forces as low as 18g are sufficient to produce bodily movement. • Because the force delivered with an aligner made from Exceed 30 is initially 200g and decays to essentially a constant level of 40g within approximately 48 hours, delivering adequate forces to the teeth to create desired movements should pose no problem. • Controlling those forces then becomes the issue. How the force is delivered and the reaction of the tooth to that force are functions of multiple factors.
  • 97.
    • These includethe center of rotation, the center of resistance, and the point at which the force is applied. • The goal is to control root position during movement to achieve the desired end results with the minimum amount of complexity. • Controlling the moment-to-force ratio can do this.
  • 98.
    • In traditionalorthodontic biomechanics, the discussions are typically centered on fixed attachments in the form of brackets with forces applied by wires, with a small moment arm and relatively high forces required to meet moment-to-force ratios. • To better understand the dynamics of root control with aligners, the biomechanics of tooth movement with aligners are examined, and a comparison that, with an understanding of movement with fixed appliances, is made.
  • 99.
    • Specifically, thedesign and placement of attachments and auxiliaries to accomplish controlled two-point force application are examined. • For effective tooth movement to take place, even in simple situations, aligners must be worn 22 hours a day, essentially the same as for fixed appliances.
  • 100.
    • One ofthe problems that is seen when attempting incisor root movements with aligners is that the intended movement and the actual movement are sometimes different. • The reason for this difference is exactly what Proffit described as happening with removable appliances in general—not enough retention is present to offset the force needed to generate the movement.
  • 101.
    STAGING • An importantaspect of controlling tooth movement with aligners is staging. • Staging is the sequence in which and speed at which teeth are moved with aligners. 102 Invisalign
  • 102.
    • The numbersacross the top represent different teeth and the vertical axis represents aligner number. • The vertical black bars in the diagram indicate the timing and rate of tooth movement. • Each aligner number then represents one stage. • The orthodontist must then interpolate the rate of movement by estimating the total distance and dividing by the number of aligners, assuming equal rates of movement occur throughout the entire distance moved.
  • 103.
    • In addition,the orthodontist has no way of knowing whether the movement represents linear movement or rotational movement. • The original default staging plans involved segmented tooth movements . • An alternative to segmented staging that mimics fixed appliance treatment more closely is simultaneous staging.
  • 104.
    • First suggestedby Foy in 2004(Michael Foy, personal communication, Invisalign Alpha Group meeting, 2004, Salt Lake City, UT, 2004) and then refined by Paquette(Staging Strategies, Effectiveness and Efficiency with Invisalign Treatment, 2005 Invisalign Summit, Las Vegas, NV) and then after several years the simultaneous movement concept was adopted by Align Technology in 2007. • The basis for simultaneous movement is that all the teeth within each arch are moved together from the initial stage through the final stage.
  • 106.
    • The tooththat moves the most dictates the overall number of stages based on the maximum allowable tooth velocity. • Moving the other teeth simultaneously from the first to the last stage reduces the velocity for all the other movements and increases their predictability without increasing the overall number of aligners.
  • 107.
    • Alternative stagingpatterns also exist that are associated with certain types of treatments • Distalization of the maxillary dentition, starting with the molars, followed by the bicuspids, and ending with the retraction of the anterior teeth, is a type of staging known as V staging pattern and typically applies only to the upper arch. • Although this pattern makes a great three-dimensional visualization of correcting a Class II Angle molar relationship to a Class I molar Angle relationship, the reality is that teeth that appear to be anchoring the arch are still subject to the forces applied by the aligner material.
  • 108.
    • The oppositeof V staging pattern, in which the anterior teeth move anteriorly, followed by posterior teeth moving anteriorly, is known as A staging pattern. • This pattern could be used in either arch to open previously closed extraction spaces or to attempt to mesialize an entire arch in a segmental fashion. • This pattern will significantly lengthen the treatment time, as compared with X staging pattern staging, and has limited clinical applications.
  • 109.
    • M stagingpattern is solely used for bicuspid extraction treatment. • In this staging pattern, movement starts by first closing the extraction spaces, followed by the alignment of anterior teeth, and finishing with molar movement. • This three-dimensional simulation attempts to mimic maximum anchorage of the molars by showing no movement as the remainder of the arch changes. • This simulation does not clinically and exactly translate as shown in the three-dimensional simulation because forces are being applied to the molars as the arch perimeter changes with each successive aligner.
  • 110.
    • In responseto the need to create a solution for the extraction treatment, which specifically addresses molar anchorage and root parallelism, G6, the latest SmartForce feature has been introduced. • G6 combines SmartForce optimized attachments along with a specific staging pattern that is similar to the M staging pattern. To date, clinical results have not been evaluated to determine the clinical efficacy of G6 SmartForce enhancements.
  • 111.
    • Ultimately, theorthodontist controls all aspects of the Invisalign treatment, including how much movement per aligner is desired. • Although not recommended by Align Technology, some orthodontists greatly reduce the amount of linear movement per stage by increasing the number of active stage aligners using simultaneous tooth movement or X pattern staging for complex movements. • Increasing the number of active stages with simultaneous tooth movement effectively reduces the amount of tooth movement per stage for all teeth in the arch.
  • 112.
    • If thenumber of active stages were doubled, then the movement of the rate-determining tooth would decrease to nearly 0.12 mm per stage, and all of the other teeth in the arch would be significantly less than 0.12 mm linear movement per aligner. • Reducing tooth movement per aligner then allows an accelerated changing schedule because of less elastic deformation of the aligner material. • Although twice as many aligners are the result, the total treatment time remains the same.
  • 113.
    Interproximal reduction andAligner treatment • Early in the development of the Invisalign technique, there was a perception that most patients treated with aligners required IPR. • That was because most Clin-Checks that were returned to the orthodontist had significant amounts of IPR recommended by Align Technology setup technicians. • There were two basic reasons for such recommendations:
  • 114.
    • The firstreason was that many patients treated with Invisalign were patients who had undergone orthodontic relapse and thus had minor lower anterior crowding. • The technicians were taught that in doing a setup they should never expand lower canines and never flare lower incisors anteriorly. • That only left them one alternative, and that was to reduce tooth mass, either by IPR or extraction of a single lower incisor.
  • 115.
    • The secondreason was to avoid the side effect of virtual collisions. • Virtual collisions occur whenever the setup technician attempts to move teeth in such a manner that one interproximal surface virtually passes through the adjacent tooth’s interproximal surface, which is impossible in the physical world
  • 116.
    • To allowthe intended tooth movement to take place, the setup technician would request that the orthodontist remove the amount of tooth structure that was involved in the virtual collision. • The collision table, that the TREAT technician has access to in the software staging editor.
  • 117.
    • The numbersacross the top represent different teeth and the vertical axis represents aligner number. • One can see that the virtual collisions can increase and decrease over the course of treatment. • Furthermore, the collisions are measured in hundredths of a millimeter and then rounded off to tenths of a millimeter, and the interproximal surface of the tooth is mathematically interpolated by boundary recognition software.
  • 118.
    • Additionally, anycollision less than 0.05 mm is considered insignificant in that the aligner can theoretically stretch that much and not cause any problems with treatment. • The result is that if there are many so- called insignificant collisions, the result may not be insignificant clinically because the tooth mass will be greater than the space allowed for in the aligner. • Some teeth will be forced to intrude to reduce arch length; this is often the terminal molar but it could be any tooth in either arch
  • 119.
    • The orthodontistis given three IPR options on the treatment prescription form: PRIMARILY, IF NEEDED, and NONE. • The IF NEEDED option does not necessarily mean in the best interests of the patient but rather subjugates the responsibility for any decision regarding IPR to the technician and therefore should only be selected if the orthodontist is prepared to give specific instructions about under what conditions IPR can be used. • If the orthodontist is unsure about whether to use IPR, he or she may request no IPR on the prescription form.
  • 120.
    Attachments • One solutionto aligner displacement is the proper design and placement of attachments. • Attachments can be used for retention of the aligner as well as to enhance or facilitate specific tooth movements.
  • 121.
    • The keyis to provide a ledge for the aligner to grip that is perpendicular to the direction of displacement and of sufficient size to provide enough surface area to offset the force delivered. • Another simple rule of thumb is to place the attachment far enough away from the gingival margin that the aligner will not spread or stretch and slip off the attachment. • This is an important concept because over time the aligners tend to relax over time; that is, exert less force, so the clinically observed side effect is that the gingival third tends to become less retentive.
  • 122.
    • Recognizing thelimitation of aligners and attachments to accomplish certain tooth movements, engineers at Align Technology initiated efforts to design a better aligner/attachment system and to do so have developed the Virtual Invisalign Laboratory, which is a sophisticated series of software tools that enable them to evaluate the expected clinical response to various attachment designs and placements. • The approach, based on the principles of biomechanics,is composed of three parts: virtual modeling, in vitro testing, and clinical evaluation of the resulting designs.
  • 123.
    • Virtual modelingis first used to test a myriad of possible solutions and identify those that produce the desired force system. • These models may include changes in attachment shape as well as variations in the geometry of the aligner itself
  • 124.
    • After consideringpossible designs, they are then fabricated and the force systems are measured using laboratory equipment specifically designed to measure force systems from aligner/attachment combinations. • Successful designs are then moved into clinical testing.
  • 125.
    • At thetime of this printing, a significant number of optimized attachments have been developed and introduced to provide specific force systems for challenging tooth movements. • These optimized attachments allow the proprietary aligner material (SmartTrack) to produce the required force, which creates the moment required to move the tooth as shown in the ClinCheck. • The term SmartForce has been patented by Align Technology to describe the computer-generated attachment designs that are generated by Align Technology’s Treat software.
  • 126.
    • Each optimizedattachment is now custom designed for a specific movement on a specific tooth for an individual patient. • The tooth movements prescribed by the orthodontist are measured in all three planes of space; when a default in any one direction is exceeded, the Treat software will place the SmartForce attachment on the tooth at the correct location to create the required force system to cause the tooth to move as depicted in the ClinCheck.
  • 127.
    • One internaldesign feature from Align Technology allows computer-designed attachments to provide specific directions of force application upon inserting the first aligner. • The initial force application applied to optimized attachments is generated by preactivating the aligner- attachment interface. • Preactivation is achieved by using an attachment template for attachment placement, which will alter only the optimized attachments that are slightly offset from the position of the attachment in the subsequent aligner that will be placed.
  • 128.
    • This offsetpositions the active surface of the attachment to engage fully the aligner material, thus eliminating a lag period of one to two aligners before achieving the full force system required to move the tooth as shown in the ClinCheck. • In addition to pre-activation, one additional feature has been designed to allow tooth movement using optimized attachments. • Some optimized attachments will have excess space opposite the active surface to allow the tooth to move unimpeded in the correct direction.
  • 129.
    • Although, clinically,this may give the appearance that the attachment is not fully seated in the aligner, this excess space is intentional by design. • As the number of optimized attachments has increased, it has become apparent that the ability to move teeth effectively with clear aligners is a function of the material, the velocity of tooth movement, and the ability to produce the correct force system by using computer-designed attachments and patient compliance.
  • 130.
    • Another groupof attachments are available to be placed by the orthodontist when modifying a virtual treatment plan - referred to as manually placed or physician-prescribed attachments. • The first of the manually placed attachments was the ellipsoid attachment. This attachment is widely considered the least effective attachment because of its small size and lack of a defined active surface. • All other attachments are variations of the initial rectangular attachment design.
  • 131.
    • This rectangularattachment design was the primary attachment for any tooth movement that was considered moderate or difficult, without deference to the actual forces and moments generated by its placement. • The patient has difficulty inserting and removing the aligners, which is an inherent problem with rectangular attachments. • If the attachment and the aligner are not completely coupled, then the result is an unwanted force system and unpredictable tooth movements.
  • 133.
    • In orderto facilitate greater ease of insertion and removal, as well as eliminate the all-or-none situation, the beveled attachment was developed by rotating a portion of the rectangular attachment virtually into the tooth surface
  • 135.
    Power ridges andpressure areas • A net force of 40 g (base level force of an aligner after 48 hours) intended to move the tooth lingually would require a moment of 320 to 400 g-mm (M/F ratio 8-10) for bodily movement or greater than 400 gmm (F/M ratio less than 10) for lingual root movement
  • 136.
    • Improper attachmentdesign or placement allows the delivery of only 280 g-mm moment in conjunction with 40 g force, resulting in controlled lingual crown tipping
  • 137.
    • It mustbe kept in mind that the aligner provides the same level of force on both sides of the teeth, even though the forces may be in opposite directions. • This means that in the absence of spaces to close, just as with fixed appliances, there must be some outside force system such as interarch elastics to provide a net distalizing force on the maxillary anterior teeth to produce lingual root movement.
  • 138.
    • An alternativeto attachments that help facilitate torque control is the power ridge. • Power ridges are engineered corrugations placed at specific locations to enhance the undercut near the gingival margin of teeth undergoing torquing movements.
  • 139.
    • The ridgesfunction in two ways • The first is to stiffen the gingival third of the aligner to make it more resilient. • The other is to provide additional force as close to the gingival margin as possible to increase the effective moment arm of the aligner. • The obvious advantage to power ridges is that attachments need not be placed or removed, and they are more aesthetically acceptable to the patient
  • 140.
    • Power ridgesalso have two disadvantages. • First, they cannot be combined with any other attachment or SmartForce feature. • For the force system to work as designed, the two points where the aligner places pressure on the tooth should be separated by as large a distance as possible, without interference from any other force system. • In effect, the gingival protrusion in the aligner has a dual purpose. Not only does it create a force near the gingival margin, but it also lifts the aligner away from the facial surface of the tooth until the aligner re- engages the tooth on the lingual surface of the incisal edge of the tooth.
  • 141.
    • The secondproblem with power ridges is that they can create irritation of the buccal tissues attributable to the protrusion of the margin of the aligner. • Although generally acceptable to most patients, some will find this irritation very uncomfortable, more often on the lower arch than on the upper. • Power ridges were the first of a group of SmartForce features that are currently used to create force systems that clear aligners alone cannot achieve.
  • 142.
    • These pressureareas may take the form of a power ridge, pressure point, or pressure area, and each may be a stand-alone feature or may work in conjunction with optimized attachments. • The multiplane attachment for the upper lateral incisors is an example of a pressure point on the lingual surface combined with an optimized attachment on the facial surface. • Root control attachments on the upper and lower bicuspids will also use this combination of pressure points and optimized attachments to produce the required moment to correct root alignment on these teeth.
  • 143.
    • The latestadditions to this family of SmartForce features are pressure areas on the lingual surface of maxillary and mandibular incisors and the lower cuspids to direct intrusive forces more closely down the long axis of the tooth when any of these teeth are intruding more than 0.5 mm. • Similar to optimized attachments, these pressure areas are all added by the Treat software when the amount and direction of movement extend beyond and surpass the default that triggers their placement. • The orthodontist can control whether these features appear or disappear by moving the teeth above or below the threshold required by the software.
  • 144.
    Root Parallelism • Anotheraspect of biomechanics, especially pertinent to extraction treatment, is to control tipping in order to achieve root parallelism. • When a force is applied in an attempt to move a canine distally, the tooth will rotate about the centre of resistance. • It would require a sufficient moment to oppose the tipping movement.
  • 145.
    • This isa more problematic area because in a typical mesiodistal movement as in an extraction scenario, the aligner contacts the tooth on a surface that is parallel to the direction of force. • The result is that there is little, if any, moment arm created without the use of substantial attachments
  • 148.
    • An ideadating back to the late 1800s was to place an attachment on the gingival aspect of a bracket extending toward the center of resistance in an attempt to decrease the amount of tipping when teeth are moved mesiodistally. • These gingival extensions are often described as power arms. • Power arms have been added to the force system with Invisalign in an attempt to alter the force–moment system
  • 150.
    • In theory,the addition of a power arm auxiliary accomplishes two things. • First, it moves the application of force closer to the center of resistance. • Second, it creates a secondary moment due to pressure against the distal of the aligner. • Unfortunately, the clinical application is not as beneficial as with fixed appliances because molar root control is more difficult than canine root control.
  • 151.
    • Align Technologyhas introduced engineered solutions in an attempt to mitigate the dumping in extraction cases and to help align the mesiodistal position of the roots of bicuspids, cuspids, and lateral and central incisors. • These root control enhancements are SmartForce features, consisting of pairs of optimized attachments or one optimized attachment and a corresponding pressure area. • Short clinical crowns on the maxillary and mandibular bicuspids will dictate the use of the attachment and pressure area design.
  • 152.
    • Maxillary centralincisors, maxillary cuspids, and mandibular cuspids use only the paired attachments where two facial attachments will create the couple designed to tip the roots. • The upper lateral incisor multiplane feature uses an optimized attachment on the facial surface and a pressure area on the lingual surface. • The root positions of lower incisors have been successfully maintained during single incisor extraction treatment without the use of engineered root control features and cases of successful premolar extraction treatment using Invisalign have been reported.
  • 153.
    • Unfortunately, caninesoften remain upright during retraction into premolar spaces, whereas the clinical crowns of molars, especially maxillary molars, tend to tip mesially, which is frequently referred to as “dumping” • Dumping occurs when the molars are being used as anchorage for anterior retraction.
  • 154.
    • As thearch perimeter is reduced, closing extraction spaces, pressure is applied to the molar crowns in a mesial direction. • This pressure is probably caused by the undesirable crown-root ratio combined with the large root surface area over which forces are distributed. • G6, the latest release of SmartForce features, has antitipping attachments and pressure areas built into the molars to limit dumping of the clinical crowns in extraction cases.
  • 155.
    Rotations • Correcting rotationswith aligners can be problematic. • There are two primary reasons for this. • The first is that aligners produce tooth movement by the plastic being slightly distorted and then elastically rebounding back to the predetermined shape and carrying the tooth with it. • In the case of rotations, the aligner is incapable of being distorted in a manner that can produce significant rotational movement.
  • 156.
    • Some havesuggested that beveled attachments with the bevel turned 90 degrees (i.e., mesiodistally)would provide a surface to allow the aligner to rotate teeth.
  • 157.
    • Even witha properly designed attachment, another problem with rotations is that the tooth root is not a cylinder, and because of dilacerations and root surface variations, there is no way the computer software can adequately estimate the true rotational long axis. • In many cases what is thought of as a rotation of the tooth crown turns out to be bodily movement of the root surface; thus, estimating the proper rate of tooth movement becomes impossible.
  • 158.
    • When thishappens in fixed appliances, it simply takes longer for the tooth to rotate; when it happens with aligners, the aligner no longer fits the tooth. • This results in lack of desired movement, but also, the aligner is now contacting different tooth surfaces than was intended. • The result is either no movement or undesirable tooth movements.
  • 159.
    • With manyrotated teeth, there has typically been a need to use auxiliaries either before, during, or after aligner treatment in order to accomplish the rotational correction
  • 160.
    • With theadvent of the newer optimized attachments, the predictability of rotational movements has significantly improved. • Optimized attachments are now available for all bicuspids and cuspids. • The default for the bicuspids and cuspids is rotation correction greater than 5 degrees in either direction. • Molars and incisors do not have engineered rotation attachments to date.
  • 161.
    Extrusions • One methodpreviously used was to use the gingival beveled attachment to provide a longer surface area that can be elastically deformed and provide an extrusive force on the tooth. • This model obviously had merit because Align Technology subsequently released an engineered solution to assist extrusion of maxillary and mandibular incisors and cuspids. • The optimized attachments that assist extrusion are very similar to horizontal beveled attachments, beveled toward the gingival margin.
  • 162.
    • The defaultthat causes the attachment to be added to the virtual plan is extrusion of more than 0.50 mm down the long axis of the tooth. • Relative extrusion, in which the crown of each incisor lingually reclines, may not trigger the placement of optimized extrusion attachments, even though the extrusion may be quite obvious. • An additional SmartForce feature improves the tracking of anterior teeth extrusion when all four upper incisors are individually extruding more than 0.50 mm.
  • 163.
    • This additionalfeature alters the digital model to create a pressure area at the bases of the optimized attachment on the upper lateral incisors. • This pressure area produces a higher force on the optimized attachment to keep the teeth fully engaged in the aligner. • The addition of optimized attachments for extrusion and pressure areas on the upper lateral incisors has made Invisalign the preferred appliance for treatment of mild to moderate anterior open bite treatment.
  • 164.
    • In particularlychallenging situations, a button bonded to the tooth, together with an elastic, will assist with the extrusion. • This method is infrequently used after the introduction of optimized attachments and can also be a very useful technique to finish treatment when only minor extrusion of a single tooth is required.
  • 166.
    Auxiliaries • Other auxiliariescan be used to facilitate specific movements. • Class II and Class III elastics are frequently needed just as they are with fixed appliances. • One can either attach the elastics directly to the aligner or attach elastics to buttons bonded to the teeth.
  • 167.
    • If theelastics are directly attached to the aligner, then attachments are generally required to prevent displacement of the aligner. • Engineers at Align Technology have developed an elastic hook with the proprietary name “precision hooks and button cutouts” that are manufactured into the aligner. The orthodontist can place either of these options when modifying the ClinCheck using the ATTACH & CUTS interface.
  • 168.
    • Mini-screws canalso be used effectively with aligners in the same manner as they can with fixed appliances, either planned initially as part of the treatment or to help with movements that are not progressing as desired. • They can be used with aligners alone or in combination with other auxiliaries to simplify the movements the aligners are required to accomplish. • The two most common uses of mini-screws with aligners are for vertical and anteroposterior movements.
  • 169.
    • One suchexample is the extrusion of an upper canine. • Placing a miniscrew in the lower arch and then running a rubber band from a clear button near the gingival on the upper canine to the miniscrew guides the tooth into the correct position.
  • 170.
    • Another verticalmovement : intrusion of molars that have supererupted into an edentulous space. • Place the miniscrews on the buccal and lingual aspects of an upper molar. The patient is asked to then wear an elastic from one mini screw over the top of the aligner to the other miniscrew.
  • 171.
    • Miniscrews canexpedite Class II correction. • The first example involves placing a Carriere Distalizer appliance (Henry Schein Orthodontics, Carlsbad, CA) in the upper arch along with a miniscrew in the lower arch in the molar or retromolar area. • A Class II elastic is then worn 24 hours a day; generally, a Class I molar and canine correction can be expected in approximately 12 to 16 weeks. • Once the sagittal molar and cuspid correction has been accomplished, then arch alignment and finishing can be accomplished with Invisalign
  • 173.
    • Another applicationof miniscrews with aligners is correcting an arch asymmetry by enhancing the distalization of one side. • This correction can be accomplished by placing a miniscrew in the retromolar area, bonding buttons on the facial and lingual aspects of the upper first or second molar, and then connecting an elastic chain from the buttons to the miniscrew. • If the intended movement is planned into the aligner treatment, then the mini screw provides the anchorage and allows simultaneous movement in the ClinCheck to reduce treatment time.
  • 174.
    • A Studydone by Kravitz el al (2009)showed that: 1. The mean accuracy of tooth movement with Invisalign was 41%. The most accurate tooth movement was lingual constriction (47.1%). The least accurate tooth movement was extrusion (29.6%). The mandibular canine was the most difficult tooth to control. 2. Maxillary and mandibular canines achieved approximately one third of the predicted rotation. The accuracy of canine rotation was significantly lower than the rotation of all other teeth, with the exception of the maxillary lateral incisors. At rotational movements greater than 15°, the accuracy for the maxillary canines was significantly reduced.
  • 175.
    3. With theexception of canine rotation, no tooth was significantly less accurate in movement. 4. Lingual crown tip was significantly more accurate than labial crown tip, particularly for the maxilary incisors. 5. The severity of pretreatment overjet might influence the accuracy of anterior tooth movement with Invisalign.
  • 176.
    Numbering of invisaligntrays • Normally invisalign is numbered low to high • The Higher the Number the Closer to Finishing • Numbers are laser inscribed on each aligner
  • 177.
    Invisalign Teen • Originally,Invisalign was anticipated for use with adults and approved by the U.S. Food and Drug Administration (FDA) for those individuals with a fully erupted permanent dentition. • It soon became apparent, however, that being able to treat the late mixed dentition with aligners provided certain benefits as well. • The shortcomings to overcome were anticipating tooth eruption of one or more permanent teeth, being able to monitor patient compliance to discuss the progress (or lack thereof) with parents, proper control of torque without the need for attachments when crowns were not yet fully exposed, and, finally, avoiding practice management issues over lost aligners.
  • 178.
    • Eruption tabsare used to prevent supereruption of unerupted second molars
  • 179.
    • Tooth formsof approximate anticipated crown size are used to both create and hold room and to guide eruption of actively erupting second premolars and canines, planning for refinement aligners with proper fit once the teeth are adequately erupted to capture properly the crowns in the impression. • Wear indicators (Compliance indicators) are placed on the facial surfaces of the first molars. • Two different types of chemical indicators are available that turn from dark blue to clear as the aligners are worn.
  • 180.
    • These indicatorsare designed so that creative teenagers cannot realistically figure out a method to have both indicators change without actually wearing the aligners.
  • 181.
    • All SmartForceenhancements, including optimized attachments, pressure points, and pressure areas were developed for the Invisalign Teen product and are a routine part of the feature set. • The practice management part is actually quite easy. • Align Technology charges a premium and provides free replacements for lost aligners. • In reality, the patient prepays for the privilege of having them replaced if lost.
  • 182.
    • Understanding whenand where to anticipate the use of aligners in combination with other techniques or auxiliaries is critical to both getting satisfactory results and satisfying patients. • Several variables combine to produce either acceptable desired results or unacceptable undesired tooth movements. • The first and most important variable is duration of wear. • Aligners are not retainers and must be consistently worn for approximately 22 hours of a 24-hour period, essentially acting similar to fixed appliances
  • 183.
    • The nextmost important variables are clinical crown length and shape. • The longer the clinical crown and the greater the natural undercuts to facilitate aligner retention, the more likely that the desired movement will take place, because there is a greater amount of surface area for the aligner to contact. • Patients with very short clinical crowns are not good candidates to attempt some movements with Invisalign such as root alignment with premolar extraction treatment. • Single lower central incisor extraction tends to be successful because of the length of the clinical crowns of the lower incisors relative to the forces applied.
  • 184.
    • Closing anteriorspaces, especially with protrusive incisors that require some intrusion, is extremely predictable and requires no attachments. • Closing minor anterior open bites is predictable because one secondary effect of aligner wear is the vertical control of dentoalveolar eruption of the posterior teeth. • In growing patients this is particularly poignant. Because aligners tend to limit posterior tooth eruption, when opening a deep bite, special consideration should be given to the virtual setup.
  • 185.
    • If thecurve of Spee is deep, then intruding lower second molars and lower incisors (using the aligner as if it were a reverse curve of Spee archwire) leaves only a small amount of extrusion of the premolars and first molars. • Along with the reverse curve of Spee effect, heavy posterior occlusal contacts can be virtually created to compensate for the side effect of molars and bicuspids not being able to extrude easily.
  • 186.
    • Leveling thecurve of Spee has now been made significantly easier with the addition of the virtual bite plane being added to the lingual aspect of the upper incisors. This addition was part of the G5 release in 2014 to address deep bite treatment. • Opening the bite is accomplished by creating virtual collisions between the upper and lower molars when modifying the ClinCheck.
  • 187.
    COW-CATCH ALIGNERS • Clearaligners with intermaxillary elastics • To fabricate a clear aligner for correcting an open bite, an impression is taken and a working cast produced. The teeth on this cast are ideally set-up (extruded) before a 1-mm plastic sheet (Duran, Scheu-Dental, Iserlohn, Germany) is formed with either a pressure- molding machine (Biostar, Scheu-Dental, Iserlohn, Germany) or a vacuum machine (Raintree Essix, Sarasota, Florida,USA).
  • 188.
    • The teethto be extruded are supplied with buttons and connected to the opposite arch with elastics where buttons were attached to the aligner. • When the expected extrusion is achieved, the respective teeth will contact the inner surface of the aligner so that no additional extrusion occurs. Thus, it is a fail-safe appliance.
  • 189.
    Periodontal Considerations • Thereis a body of evidence growing that orthodontic treatment with aligners has less detrimental periodontal impact than that of fixed appliances. • Miethke and Vogt and Miethke and Brauner compared the periodontal health of patients who underwent treatment with aligners to that of patients who underwent treatment with both labial fixed appliances and with lingual fixed appliances and found that the periodontal risk was no greater than with labial appliances and was lower than that of lingual fixed appliances.
  • 190.
    • Boyd foundthat periodontal health could actually improve during the course of treatment with Invisalign. • He attributed this to the patient’s ability to remove the appliances and spend more time brushing and flossing their teeth and the aligner’s ability to maintain an invisible appearance to the appliances.
  • 191.
    CONCLUSION • Not allmalocclusions are amenable to treatment solely with the Invisalign system. • Treatment of many malocclusions with proper tip, torque, arch form, and aesthetic crown inclination is possible to achieve with aligners. • Besides the obvious aesthetic improvement over fixed appliances, there may also be periodontal health benefits associated with Invisalign treatment.
  • 192.
    • Understanding boththe process of aligner manufacturing along with the biomechanics of tooth movement with aligners and applying that knowledge to treatment planning and clinical execution should enable the clinician to design a treatment plan with aligners alone or in combination with fixed appliances to make both simple and complex treatment predictable and routine.
  • 193.
    REFERENCES • Graber.Vanarsdall.Vig. Orthodonticscurrent principles and technique. Mosby,6th ed; 2017 • Graber.Vanarsdall.Vig. Orthodontics current principles and technique. Mosby,5th ed; 2012 • Orthodontic Clear Aligner Treatment Timothy T. Wheeler, Seminars in Orthodontics 2017 • Sheridan JJ, LeDoux W, McMinn R. Essix retainers: fabrication and supervision for permanent retention. J Clin Orthod.1993;27(1):37– 45. • Vincent S. Evaluation of Invisalign treatment utilizing the American Board of Orthodontics objective grading system for dental casts. Am J Orthod Dentofac Orthop. 2005;127(2):268–269.
  • 194.
    • Djeu G,Shelton C, Maganzini A. Outcome assessment of Invisalign and traditional orthodontic treatment compared with the American Board of Orthodontics objective grading system. Am J Orthod Dentofac Orthop. 2005;128(3):292–298 • Lagravere MO, Flores-Mir C. The treatment effects of Invisalign orthodontic aligners: a systematic review. JADA. 2005;136(12):1724–1729. • Jones ML, Mah J, O’Toole BJ. Retention of thermoformed aligners with attachments of various shapes and positions.J Clin Orthod. 2009;43(2):113–117. • Kuo E, Miller RJ. Automated custom-manufacturing technology in orthodontics. Am J Orthod Dentofacial Orthop 2003;123:578-81. • Wong B. Invisalign A to Z. Am J Orthod Dentofacial Orthop 2002;121:540-1.
  • 195.
    • Joffe L.Invisalign: early experiences.J Orthod 2003; 30(4):348–52 • Kravitz N.D.et al. How well does Invisalign work? A prospective clinical study evaluating the efficacy of tooth movement with Invisalign. Am J Orthod Dentofacial Orthop 2009;135:27-35 • Jae Hyun Park and Tae Weon Kim, Open-bite treatment utilizing clear removable appliances with intermaxillary and intramaxillary elastics, World J Orthod 2009;10:130–134.