University of Khartoum
Institute of Endemic Diseases
Department of Molecular Pathology and Immunology
Vitiligo as organ specific
Autoimmune disease
Prepared by : Omer Yahia
omerflagella@yahoo.com
M.sc. Program of molecular medicine
Human skin
Epidermis:
• keratinized epithelial cells
• Langerhans cells
• Intraepithelial lymphocytes.
Dermis: is mainly composed of
connective tissue produced by dermal
fibroblasts , and
• Dermal DCs .
• Mast cells .
• Cutaneous lymphocyte antigen (CLA)-
positive memory T cells.
Dermal post-capillary venules:
constitutively express low levels of
• E-selectin.
• CC-chemokine ligand 17 (CCL17)
•ICAM1.
These support the margination and
baseline emigration of CLA+ memory T
cells into non-inflamed skin.
Innate immune mechanisms in the skin
Epithelial-cell injury or pathogen invasion
leads to
the release of primary cytokines
and the activation of:
skin cells (keratinocytes and fibroblasts).
resident innate immune cells(Langerhans
cells (LCs), dermal dendritic cells (DCs) and
mast cells).which stimulating downstream
activation cascades.
Activated Langerhans cells and dermal DCs
are stimulated to mature and emigrate from
the tissue to the draining lymph node,
carrying antigen for presentation to naive and
memory T cells.
The cytokines and chemokines act on the
local endothelia through nuclear factor-κB
NF-kB
(NF-κB)-mediated pathways to
upregulate the expression of
•Adhesion molecules(including
E-selectin, P-selectin and
intercellular adhesion molecule
1 (ICAM1).
•Direct the recruitment of
additional innate immune
components according to the
specific signals that are
generated (for example,
neutrophils, eosinophils and
natural killer (NK) cells. CCL17,
CC-chemokine ligand 17).
Adaptive immune responses in the skin
•Cytokines released by keratinocytes,
fibroblasts and resident antigen-
presenting cells stimulate the
upregulation of expression of E-
selectin and intercellular adhesion
molecule 1 (ICAM1) through nuclear
factor-κB (NF-κB)-mediated activation
pathways.
•Production and presentation of T-
cell-specific chemokines, such as CC-
chemokine ligand 17 (CCL17), CCL22
and CCL27, on the local endothelium
results in the recruitment of CLA+ T
cells in an antigen non-specific
manner.
• Circulating cutaneous
lymphocyte antigen (CLA)-
positive T cells represent a library
of memory T cells with T-cell
receptors (TCRs) specific for
antigens previously encountered
in the skin.
• T cells entering the tissue that
encounter their specific antigen
presented by local macrophages
or dendritic cells will be activated
to proliferate and carry out their
specific functions. Those that do
not encounter their cognate
antigen, which might be most of
the cells that are recruited, will
enter the lymphatics and return
to the general circulation.
• In the skin there are
CLA+,CD45O+,CCR4+ skin resident
memory T cells
• they are 20 times more than that
present in blood.
• 5% of these cells are resident
memory (CD4+,CD25+,FOXP3+,
CD127+) regulatory T cells.
• They are antigen specific and
expanded by Langerhans dendritic
cells which occur side by side with
skin resident CD45O+ effector
memory cells
Tolerance
Tolerance
• Type of negative regulators:
• Regulatory T cells CD4+,CD25+,FOXP3+ ( natural nTreg. and induced iTreg)
(Nrp-1: It is a peptide of a role in nreg. T cells differentiation and is not
expressed on induced T reg cells).
Marine CD4CD25 Treg cells constitutively express CTLA-4 , which is known
as a negative regulator of T cell activation, and expression of this molecule is
required for these cells to suppress immune responses.
Regulatory T cells inhibition of autoreactivity, explaining why autoreactive
T cells are present in the circulation in the absence of autoimmune symptoms
• CD3+CD8+CD161 −CD56+ regulatory CD8 T cells were discovered in PBMC
(regulatory CD8 T cells occurred at a frequency of 3.2% of total CD8 T cells,
they do not express CD45RO or CCR7, could lyse autologous and allogeneic
activated CD4 T cell targets)
Sequential immunohistochemical
study of depigmenting and
repigmenting minigrafts in
vitiligo
• Marwa ABDALLAH*1
• Mohamed B. ABDEL-NASER*1
• Manal H. MOUSSA2
• Chalid ASSAF3
• Constantin E. ORFANOS3
Sequential melanocytes
disappearance in vitiligo patient
HMB-45 staining of minigrafts of non-responders
showing a sequential decrease of melanocytes
from day 14 (a), 17
(b) and 21 (c), with a complete disappearance on
day 28 (d). Meanwhile, keratinocytes show
striking cytoplasmic vacuolation.
Day 14
Day 17
Day 21
Day 28
Local Immune Response in Skin
of Generalized Vitiligo
Patients
René van den Wijngaard1, Anna Wankowicz-Kalinska1,2,
Caroline Le Poole4, Bert Tigges1, Wiete Westerhof2,3 and
Pranab Das1,2
Melanocytes disappearance
(A) Immunohistochemistry with the melanocyte-
specific antibody NKI-beteb shows a partial
absence of melanocytes from perilesional
(PL) epidermis.
(B) CD3-immunoreactive T cells in PL skin.
CD1a-reactive Langerhans
• Basal localization of CD1a-reactive Langerhans
cells in the lesional (L) epidermis of a vitiligo
donor.
ICAM-1 reactivity in PL skin
• ICAM-1 reactivity in PL skin of vitiligo donor.
Note: the focal epidermal expression (arrow).
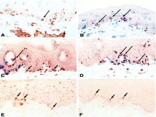
Immunoreactivity
(A)NKI-beteb (blue)/HLA-DR (red) double-label immunoreactivity showing
HLA-DR immunoreactivity of one remaining melanocyte (arrow) in PL
skin.
(B) NKI-beteb (red)/CD68 (blue) double-label immunoreactivity of normal
control (NC) skin showing CD68+ melanocytes (arrows).
C to F, Serial sections of PL vitiligo skin.
(C), NKI-beteb (blue)/CD8 (red) double-label immunoreactivity; long arrow,
CD8+ T cell apposed to melanocyte; short arrows, CD8+ T cells apposed to
melanocytic remnants.
(D) CD3 (red)/CLA (blue) double-label immunoreactivity showing a cluster of
double-immunoreactive T cells (arrows) at the epidermal/dermal
junction and CD3 single-immunoreactive cells in the dermal compartment
(asterisks).
(E) Granzyme-B
(F) perforin immunoreactivity in cells at the PL epidermal/dermal junction.
macrophage infiltrates
(A) CD68 immunoenzymatic reactivity of NL skin.
(B) PL skin.
(C)Epidermal CD68 expression pattern in PL skin
using high antibody concentration.
Immunohistochemical Findings
in Active Vitiligo Including
DepigmentingLesions and
Non-Lesional Skin
Flavia M.N.P. Aslanian*,1, Rosangela A.M. Noé1, Daniela P. Antelo1, Rogerio E.
Farias2,Pranab K. Das3, Ibrahim Galadari4, Tullia Cuzzi1 and Absalom L.
Filgueira1
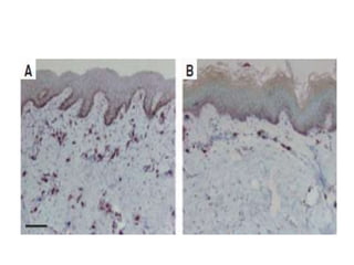
(A)Significantly decreased number of CD1a
positive cells (inbrown) in the non-lesional
skin of active vitiligo patients.
(B)In contrast, there are abundant marked CD1a
positive cells in the control skin.
(A)Presence of CD8+ cells infiltrate in the dermis
of nonlesional skin in active vitiligo.
(B)Such infiltrate was not observed in any
control skin.
Th17 Cells and Activated
Dendritic Cells Are Increased
in Vitiligo Lesions
Claire Q. F. Wang,#1 Andres E. Cruz-Inigo,#2 Judilyn Fuentes-Duculan,1 Dariush
Moussai,2 Nicholas Gulati,1 Mary Sullivan-Whalen,1 Patricia Gilleaudeau,1
Jules A. Cohen,1 and James G. Krueger1*
Characterization of Langerhans cells, dermal
dendritic cells subpopulations in matched
non-lesional, leading edge and depigmented
lesional skin
NALP-1 positive Langerhans cells are found in
lesional vitiligo skin
T cell infiltration and loss of melanocytes in
lesional and leading edge vitiligo skin.
Review
Apoptosis of melanocytes in
vitiligo results from antibody
penetration
Alejandro Ruiz-Argüellesa, , , Gustavo Jiménez Britob, Paola
Reyes-Izquierdoa, Beatriz Pérez-Romanoa, Sergio Sánchez-
Sosac
• Note :
this is the only paper that
show B cells in the perilesional
area of vitiligo patient.
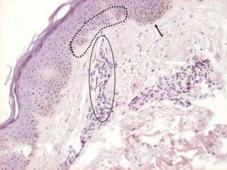
• Lymphocyte infiltrate (solid oval) in juxtaposition
to a depigmented area of the skin (dotted oval)
• The arrow indicates the reactivity of MoAb HMB-
45 in an adjacent area where abundant
melanocytes are still present.
Note :the specimen showed lymphocyte infiltrates
that, most strikingly, were located in juxtaposition
to areas of overt depigmentation while not in
those where residual melanocytes were present.
Staining for Bcl-2 revealed that infiltrates
consisted mainly of B lymphocytes
Role of T.reg in the
autoimmune disease
• Several T cell subsets with immunoregulatory functions
have been described, and their crucial roles in certain
animal autoimmune disease models have been
shown.(Maloy, K. J., and F. Powrie. 2001.)
• One such T cell subset was initially identified in mice,
as CD4T cells that constitutively express CD25, the IL 2R
-chain (regulatory T (Treg) 4 cells).( Asano.1996 ;Takahashi. 1998;
Thornton. 1998.)
• This population is characterized by its ability to inhibit
the development of autoimmune gastritis after
neonatal thymectomy and constitutes 10% of
peripheral CD4 cells.( Asano.1996)
• Murine Treg cells are anergic when stimulated in vitro
with anti-CD3 mAbs, but proliferate upon addition of
exogenous IL-2. (Takahashi. 1998; Thornton. 1998.) and show
remarkable suppressive capacity both in vitro and in
vivo .(Suri-Payer 1998; Salomon. 2000 ; Read. 2000; Sakaguchi. 1995; Itoh. 1999)
• After TCR-mediated stimulation, CD4CD25 Treg cells
suppress the activation and proliferation of other CD4
and CD8 T cells in an Ag-nonspecific manner (Takahashi. 1998;
Thornton. 2000 )via a mechanism that requires cell-cell
contact and in most systems is independent of the
production of immunosuppressive cytokines. (Takahashi.
1998; Thornton. 1998.)
• Murine CD4CD25 Treg cells constitutively express
CTLA-4 (Salomon. 2000), which is known as a negative
regulator of T cell activation, and expression of
this molecule is required for these cells to
suppress immune responses in vivo. (Read. 2000; Takahashi.
2000).
• Regulatory T cells inhibition of autoreactivity,
explaining why autoreactive T cells are present in
the circulation in the absence of autoimmune
symptoms (Baecher-Allen and Hafler, 2006).
• While the mechanism of action for Treg is still not
fully understood, TGF-b and IL-10 contribute to Treg
mediated immunosuppression.
• TGF-b is important for imposing a regulatory
phenotype to the Treg subset and regulatory activity
is dependent on cell-cell contact (Bala and Moudgil, 2006;
Joetham et al., 2007; Zhu and Paul, 2008).
• Markers expressed by Treg include FoxP3, GITR,
CTLA-4 and CD25, yet only FoxP3 expression is
relatively unique to regulatory T cells (De Boer et al.,
2007). This transcription factor affects the
expression of many genes (Zheng and Rudensky, 2007)
• Mutations in FoxP3 can cause severe
autoimmune disease as in IPEX (human) and
scurfy mice, supporting the importance of Treg to
keep autoreactive T cells in check (Lahl et al., 2007).
• Among circulating Treg, a large proportion is set to home to
the skin (Hirahara et al., 2006).
• Chemokine CCL1 and its receptor CCR8 are involved in the
chemoattractive process that guides Treg to the skin, as are
the combinations of CCL5 and CCR5 and of CCL22, CCL17
and CCR4 (Colantonio et al., 2002; Hirahara et al., 2006).
• The cutaneous lymphocyte antigen (CLA) is a ligand for
selectin like molecules PCAM and ECAM on the endothelial
cell surface in a process that determines skin homing of
lymphocytes including Treg (Iellem et al., 2003).
• CLA is abundantly expressed by CD4+ and CD8+ T cells that
infiltrate vitiligo skin (Van den Wijngaard et al., 2000).
What is new?
• Progressive depigmentation in vitiligo involves a CTL mediated
autoimmune response to melanocytes.
• Although circulating CTL targeting melanosomal antigens are
observed in healthy individuals, their autoimmune impact is limited
by the presence of regulatory T cells.
• In vitiligo patients however, CD8+ T cells are cytotoxic towards
melanocytes and Treg apparently fail to keep autoimmunity in
check.
• Studies presented here demonstrate a significant reduction in the
abundance of Treg associated with reduced CCL22 expression in
patient skin, whereas functional Treg are abundant in the
circulation.
• These studies represent an important step forward in
understanding how depigmentation can progress in vitiligo patients.
Paucity of Treg in vitiligo skin
• Treg abundance quantified.
(A)Immunostaining of all T cells (blue) and
Tregs (red) was light microscopically evaluated
by two investigators.
Paucity of Treg in vitiligo skin
• (B) The percent Treg among T cells was
calculated for 4–8 samples in each group,
looking for significant differences to the %
Treg found in adult normal skin by Student’s T
test, with **P < 0.01, and *P < 0.05.
Paucity of Treg in vitiligo skin
Abundance of circulating Treg
quantified by FACS analysis
(A) Representative FACS plots for a vitiligo and a
control blood sample, with
CD4+CD25+CD127low and FoxP3+ used to
identify Treg.
Abundance of circulating Treg
quantified by FACS analysis
(B) The average percentage of Treg among
lymphocytes was quantified and compared
among control and vitiligo samples. According
to these data, the number of Treg circulating
in patients does not support a systemic defect
in Treg in vitiligo.Control Vitiligo.
Skin homing marker expression among
circulating Treg analyzed by FACS.
(A) Representative control subject plots show
sequential gating strategies for identifying
Treg, as well as CD4+FoxP3) and CD4)FoxP3)
subsets among CD3+ enriched lymphocytes.
These subsets were analyzed for expression of
CCR4, CCR5, CCR8 and CLA.
Skin homing marker expression among
circulating Treg analyzed by FACS.
• (B) show a similar percentage of skin homing
marker expression among patient and control
Treg, and CD4)FoxP3) populations whereas
CCR8 expression among non-Treg T cells was
significantly higher in vitiligo subjects (not
shown). The MFI representing CCR4, CCR5,
CCR8 and CLA expression was similar among
patient and control Treg
Skin homing chemokine CCL22 is markedly
reduced in vitligo patient skin
Representative images are given for
A. control and non-lesional vitiligo
B. frozen skin immunostained for CCL22.
C. The data reveal a significantly reduced abundance of CCL22
expressing non-lesional and intra-lesional vitiligo skin (P <
0.05).
D. Treg migration in response to CCL22 was also determined in
control and vitiligo samples .
Treg abundance among migrated CD4+ lymphocytes was
measured in the absence (spontaneous migration) or
presence of CCR4 ligand CCL22. Treg migration data were
summarized showing no difference in the % Treg responding
to CCL22 among control and vitiligo CD4+ lymphocytes.
• Type 1 diabetes is characterized by destruction of insulin-producing β
cells in the pancreatic islets by effector T cells.
• Tregs, defined by the markers CD4 and FoxP3, regulate immune responses
by suppressing effector T cells and are recruited to sites of action by the
chemokine CCL22.
• production of CCL22 in islets after intrapancreatic duct injection of
double-stranded adeno-associated virus encoding CCL22 recruits
endogenous Tregs to the islets and confers long-term protection from
autoimmune diabetes in NOD mice.
• In addition, adenoviral expression of CCL22 in syngeneic islet transplants
in diabetic NOD recipients prevented β cell destruction by autoreactive T
cells and thereby delayed recurrence of diabetes.
• CCL22 expression increased the frequency of Tregs,
produced higher levels of TGF-β in the CD4+ T cell
population near islets, and decreased the frequency of
circulating autoreactive CD8+ T cells and CD8+ IFN-γ–
producing T cells.
• The protective effect of CCL22 was abrogated by
depletion of Tregs with a CD25-specific antibody.
• Results indicate that islet expression of CCL22 recruits
Tregs and attenuates autoimmune destruction of β
cells.
• CCL22-mediated recruitment of Tregs to islets may be
a novel therapeutic strategy for type 1 diabetes.
CCL22 expression in islets protects
from diabetes development
(A) NOD females were injected at 8 weeks of
age with 1.5 × 1011 vg of dsAAV8-RIP/CCL22,
dsAAV8-RIP/GFP, or PBS (as control) via the
pancreatic duct. Kaplan-Meier survival curves
were derived from blood glucose data and
compared using the log-rank test (P < 0.001
CCL22 versus PBS control; P < 0.01 versus GFP;
P = 0.001 versus untreated).
(B) i.p. glucose tolerance tests 2 and 4 months
after injection of dsAAV8-RIP/CCL22 in NOD
mice and untreated NOD/SCID mice as control
(n = 4 in each group). No significant difference
in glucose tolerance was observed after
intraductal injection and CCL22 expression.
Results are expressed as mean ± SEM.
(C) Immunostaining for insulin-positive β cells
(red) and islet-infiltrating leukocytes by CD45
staining (green) of PBS- and CCL22-NOD mice
at indicated time points.
Note: the presence of intact islets containing
strong insulin staining in CCL22-NOD mice
compared with islets of PBS-NOD mice. Scale
bar: 100 μm.
`
Discussion
• I suggest that Local elevation of CCL22 will be a
mechanism of therapy in T reg. pausing associated
Autoimmune diseases.
• This peptide is constitutively expressed by
macrophages and B cells but only expressed under
activation by langerhans skin dendritic cells , so I think
the expression by langerhans cell is the committed step
in triggering of the mechanism of pathogenesis .
• This CCL22 is expressed in response to the activation
effect of the transcription factor NF-kappa (a key link
between the innate and adaptive immune systems)
which has multiple hits .
• about the mechanisms I think they may selectively
affect the expression of CCL22 as follow:
o Epigenetic mechanism: as there are 3 regions in the
promoter of CCL22 gene regulate its expression and
affected by methylation.
o Micro RNA silencing mechanism: this need
verification.
o Post translational modification defect. this need
verification.
o Protein - m RNA interactions . this need verification.
• The recent mechanisms revealed for some
immunosuppressive therapies highlight the role
of langerhance cells :
o Glucocorticosteroids Modify Langerhans Cells To
ProduceTGF-b and Expand Regulatory T Cells
2010. (but no talk about CCL22).
o Effects of vitamin D3 on expression of tumor
necrosis factor-alpha and chemokines by
monocytes 2010 (talked about elevation in CCL22
)
• Mechanisms of UV-induced immunosuppression
“review”2005
(talked about depletion of langerhans cells by
UVA and in particular UVB “inhibits antigen
presentation, induces the release of
immunosuppressive cytokines and causes
apoptosis of leukocytes, however, does not cause
general immunosuppression but rather inhibits
immune reactions in an antigen-specific fashion”)
.
THANKS

Vitiligo as os autoimmune disease

  • 1.
    University of Khartoum Instituteof Endemic Diseases Department of Molecular Pathology and Immunology Vitiligo as organ specific Autoimmune disease Prepared by : Omer Yahia omerflagella@yahoo.com M.sc. Program of molecular medicine
  • 2.
    Human skin Epidermis: • keratinizedepithelial cells • Langerhans cells • Intraepithelial lymphocytes. Dermis: is mainly composed of connective tissue produced by dermal fibroblasts , and • Dermal DCs . • Mast cells . • Cutaneous lymphocyte antigen (CLA)- positive memory T cells. Dermal post-capillary venules: constitutively express low levels of • E-selectin. • CC-chemokine ligand 17 (CCL17) •ICAM1. These support the margination and baseline emigration of CLA+ memory T cells into non-inflamed skin.
  • 3.
    Innate immune mechanismsin the skin Epithelial-cell injury or pathogen invasion leads to the release of primary cytokines and the activation of: skin cells (keratinocytes and fibroblasts). resident innate immune cells(Langerhans cells (LCs), dermal dendritic cells (DCs) and mast cells).which stimulating downstream activation cascades. Activated Langerhans cells and dermal DCs are stimulated to mature and emigrate from the tissue to the draining lymph node, carrying antigen for presentation to naive and memory T cells. The cytokines and chemokines act on the local endothelia through nuclear factor-κB
  • 4.
    NF-kB (NF-κB)-mediated pathways to upregulatethe expression of •Adhesion molecules(including E-selectin, P-selectin and intercellular adhesion molecule 1 (ICAM1). •Direct the recruitment of additional innate immune components according to the specific signals that are generated (for example, neutrophils, eosinophils and natural killer (NK) cells. CCL17, CC-chemokine ligand 17).
  • 5.
    Adaptive immune responsesin the skin •Cytokines released by keratinocytes, fibroblasts and resident antigen- presenting cells stimulate the upregulation of expression of E- selectin and intercellular adhesion molecule 1 (ICAM1) through nuclear factor-κB (NF-κB)-mediated activation pathways. •Production and presentation of T- cell-specific chemokines, such as CC- chemokine ligand 17 (CCL17), CCL22 and CCL27, on the local endothelium results in the recruitment of CLA+ T cells in an antigen non-specific manner.
  • 6.
    • Circulating cutaneous lymphocyteantigen (CLA)- positive T cells represent a library of memory T cells with T-cell receptors (TCRs) specific for antigens previously encountered in the skin. • T cells entering the tissue that encounter their specific antigen presented by local macrophages or dendritic cells will be activated to proliferate and carry out their specific functions. Those that do not encounter their cognate antigen, which might be most of the cells that are recruited, will enter the lymphatics and return to the general circulation.
  • 7.
    • In theskin there are CLA+,CD45O+,CCR4+ skin resident memory T cells • they are 20 times more than that present in blood. • 5% of these cells are resident memory (CD4+,CD25+,FOXP3+, CD127+) regulatory T cells. • They are antigen specific and expanded by Langerhans dendritic cells which occur side by side with skin resident CD45O+ effector memory cells
  • 8.
  • 9.
    Tolerance • Type ofnegative regulators: • Regulatory T cells CD4+,CD25+,FOXP3+ ( natural nTreg. and induced iTreg) (Nrp-1: It is a peptide of a role in nreg. T cells differentiation and is not expressed on induced T reg cells). Marine CD4CD25 Treg cells constitutively express CTLA-4 , which is known as a negative regulator of T cell activation, and expression of this molecule is required for these cells to suppress immune responses. Regulatory T cells inhibition of autoreactivity, explaining why autoreactive T cells are present in the circulation in the absence of autoimmune symptoms • CD3+CD8+CD161 −CD56+ regulatory CD8 T cells were discovered in PBMC (regulatory CD8 T cells occurred at a frequency of 3.2% of total CD8 T cells, they do not express CD45RO or CCR7, could lyse autologous and allogeneic activated CD4 T cell targets)
  • 10.
    Sequential immunohistochemical study ofdepigmenting and repigmenting minigrafts in vitiligo • Marwa ABDALLAH*1 • Mohamed B. ABDEL-NASER*1 • Manal H. MOUSSA2 • Chalid ASSAF3 • Constantin E. ORFANOS3
  • 11.
    Sequential melanocytes disappearance invitiligo patient HMB-45 staining of minigrafts of non-responders showing a sequential decrease of melanocytes from day 14 (a), 17 (b) and 21 (c), with a complete disappearance on day 28 (d). Meanwhile, keratinocytes show striking cytoplasmic vacuolation.
  • 12.
  • 13.
  • 14.
  • 15.
  • 16.
    Local Immune Responsein Skin of Generalized Vitiligo Patients René van den Wijngaard1, Anna Wankowicz-Kalinska1,2, Caroline Le Poole4, Bert Tigges1, Wiete Westerhof2,3 and Pranab Das1,2
  • 17.
    Melanocytes disappearance (A) Immunohistochemistrywith the melanocyte- specific antibody NKI-beteb shows a partial absence of melanocytes from perilesional (PL) epidermis. (B) CD3-immunoreactive T cells in PL skin.
  • 19.
    CD1a-reactive Langerhans • Basallocalization of CD1a-reactive Langerhans cells in the lesional (L) epidermis of a vitiligo donor.
  • 21.
    ICAM-1 reactivity inPL skin • ICAM-1 reactivity in PL skin of vitiligo donor. Note: the focal epidermal expression (arrow).
  • 23.
    Immunoreactivity (A)NKI-beteb (blue)/HLA-DR (red)double-label immunoreactivity showing HLA-DR immunoreactivity of one remaining melanocyte (arrow) in PL skin. (B) NKI-beteb (red)/CD68 (blue) double-label immunoreactivity of normal control (NC) skin showing CD68+ melanocytes (arrows). C to F, Serial sections of PL vitiligo skin. (C), NKI-beteb (blue)/CD8 (red) double-label immunoreactivity; long arrow, CD8+ T cell apposed to melanocyte; short arrows, CD8+ T cells apposed to melanocytic remnants. (D) CD3 (red)/CLA (blue) double-label immunoreactivity showing a cluster of double-immunoreactive T cells (arrows) at the epidermal/dermal junction and CD3 single-immunoreactive cells in the dermal compartment (asterisks). (E) Granzyme-B (F) perforin immunoreactivity in cells at the PL epidermal/dermal junction.
  • 25.
    macrophage infiltrates (A) CD68immunoenzymatic reactivity of NL skin. (B) PL skin. (C)Epidermal CD68 expression pattern in PL skin using high antibody concentration.
  • 27.
    Immunohistochemical Findings in ActiveVitiligo Including DepigmentingLesions and Non-Lesional Skin Flavia M.N.P. Aslanian*,1, Rosangela A.M. Noé1, Daniela P. Antelo1, Rogerio E. Farias2,Pranab K. Das3, Ibrahim Galadari4, Tullia Cuzzi1 and Absalom L. Filgueira1
  • 28.
    (A)Significantly decreased numberof CD1a positive cells (inbrown) in the non-lesional skin of active vitiligo patients. (B)In contrast, there are abundant marked CD1a positive cells in the control skin.
  • 30.
    (A)Presence of CD8+cells infiltrate in the dermis of nonlesional skin in active vitiligo. (B)Such infiltrate was not observed in any control skin.
  • 32.
    Th17 Cells andActivated Dendritic Cells Are Increased in Vitiligo Lesions Claire Q. F. Wang,#1 Andres E. Cruz-Inigo,#2 Judilyn Fuentes-Duculan,1 Dariush Moussai,2 Nicholas Gulati,1 Mary Sullivan-Whalen,1 Patricia Gilleaudeau,1 Jules A. Cohen,1 and James G. Krueger1*
  • 33.
    Characterization of Langerhanscells, dermal dendritic cells subpopulations in matched non-lesional, leading edge and depigmented lesional skin
  • 35.
    NALP-1 positive Langerhanscells are found in lesional vitiligo skin
  • 37.
    T cell infiltrationand loss of melanocytes in lesional and leading edge vitiligo skin.
  • 39.
    Review Apoptosis of melanocytesin vitiligo results from antibody penetration Alejandro Ruiz-Argüellesa, , , Gustavo Jiménez Britob, Paola Reyes-Izquierdoa, Beatriz Pérez-Romanoa, Sergio Sánchez- Sosac
  • 40.
    • Note : thisis the only paper that show B cells in the perilesional area of vitiligo patient.
  • 41.
    • Lymphocyte infiltrate(solid oval) in juxtaposition to a depigmented area of the skin (dotted oval) • The arrow indicates the reactivity of MoAb HMB- 45 in an adjacent area where abundant melanocytes are still present. Note :the specimen showed lymphocyte infiltrates that, most strikingly, were located in juxtaposition to areas of overt depigmentation while not in those where residual melanocytes were present. Staining for Bcl-2 revealed that infiltrates consisted mainly of B lymphocytes
  • 44.
    Role of T.regin the autoimmune disease
  • 45.
    • Several Tcell subsets with immunoregulatory functions have been described, and their crucial roles in certain animal autoimmune disease models have been shown.(Maloy, K. J., and F. Powrie. 2001.) • One such T cell subset was initially identified in mice, as CD4T cells that constitutively express CD25, the IL 2R -chain (regulatory T (Treg) 4 cells).( Asano.1996 ;Takahashi. 1998; Thornton. 1998.) • This population is characterized by its ability to inhibit the development of autoimmune gastritis after neonatal thymectomy and constitutes 10% of peripheral CD4 cells.( Asano.1996)
  • 46.
    • Murine Tregcells are anergic when stimulated in vitro with anti-CD3 mAbs, but proliferate upon addition of exogenous IL-2. (Takahashi. 1998; Thornton. 1998.) and show remarkable suppressive capacity both in vitro and in vivo .(Suri-Payer 1998; Salomon. 2000 ; Read. 2000; Sakaguchi. 1995; Itoh. 1999) • After TCR-mediated stimulation, CD4CD25 Treg cells suppress the activation and proliferation of other CD4 and CD8 T cells in an Ag-nonspecific manner (Takahashi. 1998; Thornton. 2000 )via a mechanism that requires cell-cell contact and in most systems is independent of the production of immunosuppressive cytokines. (Takahashi. 1998; Thornton. 1998.)
  • 47.
    • Murine CD4CD25Treg cells constitutively express CTLA-4 (Salomon. 2000), which is known as a negative regulator of T cell activation, and expression of this molecule is required for these cells to suppress immune responses in vivo. (Read. 2000; Takahashi. 2000). • Regulatory T cells inhibition of autoreactivity, explaining why autoreactive T cells are present in the circulation in the absence of autoimmune symptoms (Baecher-Allen and Hafler, 2006).
  • 48.
    • While themechanism of action for Treg is still not fully understood, TGF-b and IL-10 contribute to Treg mediated immunosuppression. • TGF-b is important for imposing a regulatory phenotype to the Treg subset and regulatory activity is dependent on cell-cell contact (Bala and Moudgil, 2006; Joetham et al., 2007; Zhu and Paul, 2008).
  • 49.
    • Markers expressedby Treg include FoxP3, GITR, CTLA-4 and CD25, yet only FoxP3 expression is relatively unique to regulatory T cells (De Boer et al., 2007). This transcription factor affects the expression of many genes (Zheng and Rudensky, 2007) • Mutations in FoxP3 can cause severe autoimmune disease as in IPEX (human) and scurfy mice, supporting the importance of Treg to keep autoreactive T cells in check (Lahl et al., 2007).
  • 50.
    • Among circulatingTreg, a large proportion is set to home to the skin (Hirahara et al., 2006). • Chemokine CCL1 and its receptor CCR8 are involved in the chemoattractive process that guides Treg to the skin, as are the combinations of CCL5 and CCR5 and of CCL22, CCL17 and CCR4 (Colantonio et al., 2002; Hirahara et al., 2006). • The cutaneous lymphocyte antigen (CLA) is a ligand for selectin like molecules PCAM and ECAM on the endothelial cell surface in a process that determines skin homing of lymphocytes including Treg (Iellem et al., 2003). • CLA is abundantly expressed by CD4+ and CD8+ T cells that infiltrate vitiligo skin (Van den Wijngaard et al., 2000).
  • 51.
  • 53.
    • Progressive depigmentationin vitiligo involves a CTL mediated autoimmune response to melanocytes. • Although circulating CTL targeting melanosomal antigens are observed in healthy individuals, their autoimmune impact is limited by the presence of regulatory T cells. • In vitiligo patients however, CD8+ T cells are cytotoxic towards melanocytes and Treg apparently fail to keep autoimmunity in check. • Studies presented here demonstrate a significant reduction in the abundance of Treg associated with reduced CCL22 expression in patient skin, whereas functional Treg are abundant in the circulation. • These studies represent an important step forward in understanding how depigmentation can progress in vitiligo patients.
  • 54.
    Paucity of Tregin vitiligo skin • Treg abundance quantified. (A)Immunostaining of all T cells (blue) and Tregs (red) was light microscopically evaluated by two investigators.
  • 55.
    Paucity of Tregin vitiligo skin
  • 62.
    • (B) Thepercent Treg among T cells was calculated for 4–8 samples in each group, looking for significant differences to the % Treg found in adult normal skin by Student’s T test, with **P < 0.01, and *P < 0.05.
  • 63.
    Paucity of Tregin vitiligo skin
  • 64.
    Abundance of circulatingTreg quantified by FACS analysis (A) Representative FACS plots for a vitiligo and a control blood sample, with CD4+CD25+CD127low and FoxP3+ used to identify Treg.
  • 65.
    Abundance of circulatingTreg quantified by FACS analysis
  • 66.
    (B) The averagepercentage of Treg among lymphocytes was quantified and compared among control and vitiligo samples. According to these data, the number of Treg circulating in patients does not support a systemic defect in Treg in vitiligo.Control Vitiligo.
  • 68.
    Skin homing markerexpression among circulating Treg analyzed by FACS. (A) Representative control subject plots show sequential gating strategies for identifying Treg, as well as CD4+FoxP3) and CD4)FoxP3) subsets among CD3+ enriched lymphocytes. These subsets were analyzed for expression of CCR4, CCR5, CCR8 and CLA.
  • 69.
    Skin homing markerexpression among circulating Treg analyzed by FACS.
  • 70.
    • (B) showa similar percentage of skin homing marker expression among patient and control Treg, and CD4)FoxP3) populations whereas CCR8 expression among non-Treg T cells was significantly higher in vitiligo subjects (not shown). The MFI representing CCR4, CCR5, CCR8 and CLA expression was similar among patient and control Treg
  • 72.
    Skin homing chemokineCCL22 is markedly reduced in vitligo patient skin Representative images are given for A. control and non-lesional vitiligo B. frozen skin immunostained for CCL22. C. The data reveal a significantly reduced abundance of CCL22 expressing non-lesional and intra-lesional vitiligo skin (P < 0.05). D. Treg migration in response to CCL22 was also determined in control and vitiligo samples . Treg abundance among migrated CD4+ lymphocytes was measured in the absence (spontaneous migration) or presence of CCR4 ligand CCL22. Treg migration data were summarized showing no difference in the % Treg responding to CCL22 among control and vitiligo CD4+ lymphocytes.
  • 77.
    • Type 1diabetes is characterized by destruction of insulin-producing β cells in the pancreatic islets by effector T cells. • Tregs, defined by the markers CD4 and FoxP3, regulate immune responses by suppressing effector T cells and are recruited to sites of action by the chemokine CCL22. • production of CCL22 in islets after intrapancreatic duct injection of double-stranded adeno-associated virus encoding CCL22 recruits endogenous Tregs to the islets and confers long-term protection from autoimmune diabetes in NOD mice. • In addition, adenoviral expression of CCL22 in syngeneic islet transplants in diabetic NOD recipients prevented β cell destruction by autoreactive T cells and thereby delayed recurrence of diabetes.
  • 78.
    • CCL22 expressionincreased the frequency of Tregs, produced higher levels of TGF-β in the CD4+ T cell population near islets, and decreased the frequency of circulating autoreactive CD8+ T cells and CD8+ IFN-γ– producing T cells. • The protective effect of CCL22 was abrogated by depletion of Tregs with a CD25-specific antibody. • Results indicate that islet expression of CCL22 recruits Tregs and attenuates autoimmune destruction of β cells. • CCL22-mediated recruitment of Tregs to islets may be a novel therapeutic strategy for type 1 diabetes.
  • 79.
    CCL22 expression inislets protects from diabetes development (A) NOD females were injected at 8 weeks of age with 1.5 × 1011 vg of dsAAV8-RIP/CCL22, dsAAV8-RIP/GFP, or PBS (as control) via the pancreatic duct. Kaplan-Meier survival curves were derived from blood glucose data and compared using the log-rank test (P < 0.001 CCL22 versus PBS control; P < 0.01 versus GFP; P = 0.001 versus untreated).
  • 81.
    (B) i.p. glucosetolerance tests 2 and 4 months after injection of dsAAV8-RIP/CCL22 in NOD mice and untreated NOD/SCID mice as control (n = 4 in each group). No significant difference in glucose tolerance was observed after intraductal injection and CCL22 expression. Results are expressed as mean ± SEM.
  • 83.
    (C) Immunostaining forinsulin-positive β cells (red) and islet-infiltrating leukocytes by CD45 staining (green) of PBS- and CCL22-NOD mice at indicated time points. Note: the presence of intact islets containing strong insulin staining in CCL22-NOD mice compared with islets of PBS-NOD mice. Scale bar: 100 μm.
  • 85.
  • 86.
    • I suggestthat Local elevation of CCL22 will be a mechanism of therapy in T reg. pausing associated Autoimmune diseases. • This peptide is constitutively expressed by macrophages and B cells but only expressed under activation by langerhans skin dendritic cells , so I think the expression by langerhans cell is the committed step in triggering of the mechanism of pathogenesis . • This CCL22 is expressed in response to the activation effect of the transcription factor NF-kappa (a key link between the innate and adaptive immune systems) which has multiple hits .
  • 87.
    • about themechanisms I think they may selectively affect the expression of CCL22 as follow: o Epigenetic mechanism: as there are 3 regions in the promoter of CCL22 gene regulate its expression and affected by methylation. o Micro RNA silencing mechanism: this need verification. o Post translational modification defect. this need verification. o Protein - m RNA interactions . this need verification.
  • 88.
    • The recentmechanisms revealed for some immunosuppressive therapies highlight the role of langerhance cells : o Glucocorticosteroids Modify Langerhans Cells To ProduceTGF-b and Expand Regulatory T Cells 2010. (but no talk about CCL22). o Effects of vitamin D3 on expression of tumor necrosis factor-alpha and chemokines by monocytes 2010 (talked about elevation in CCL22 )
  • 89.
    • Mechanisms ofUV-induced immunosuppression “review”2005 (talked about depletion of langerhans cells by UVA and in particular UVB “inhibits antigen presentation, induces the release of immunosuppressive cytokines and causes apoptosis of leukocytes, however, does not cause general immunosuppression but rather inhibits immune reactions in an antigen-specific fashion”) .
  • 91.