VIÊM TIỂU PHẾ QUẢN
TS BS TRAÀN ANH TUAÁN
TK HOÂ HAÁP
BV NHI ÑOÀNG I
NỘI DUNG
 1. Đại cương
 2. Triệu chứng lâm sàng, cận lâm sàng
 3. Diễn tiến, biến chứng, tiên lượng
 4. Điều trị
 5. Kết luận
MỤC TIÊU
 1. Nêu được định nghĩa VTPQ
 2. Trình bày được các TCLS, CLS của VTPQ
 3. Trình bày được tiêu chuẩn chẩn đoán
VTPQ, các chẩn đoán phân biệt chính
 4. Nêu được các biến chứng của VTPQ
 5. Nêu được yếu tố nguy cơ của VTPQ
 6. Trình bày được nguyên tắc điều trị, mục
tiêu ĐT VTPQ tại BV
I. ÑAÏI CÖÔNG
 VTPQ: bệnh nhiễm trùng hô hấp dưới phổ
biến nhất ở trẻ dưới 24 tháng tuổi.
 90% trẻ sẽ mắc VTPQ trong 2 năm đầu đời.
 Tỷ lệ khám bệnh và nhập viện vì VTPQ gia
tăng liên tục.
 Khó tránh dịch VTPQ xảy ra hàng năm.
1. TẦM QUAN TRỌNG
 TCYTTG: 64 triệu trường hợp trẻ mắc
VTPQ, 160.000 tử vong hàng năm.
 Hoa Kỳ: chi phí y tế liên quan với VTPQ:
khoảng 700 triệu USD/năm.
TẦM QUAN TRỌNG
2. NHẮC LẠI
GIẢI PHẨU-SINH LÝ
 Ñöôøng daãn khí :
. Ñöôøng hoâ haáp treân : muõi, mieäng, haàu,
thanh quaûn
. Ñöôøng hoâ haáp döôùi : khí quaûn, pheá quaûn
PQ : PQ goác P-T, phaân ñoâi tieáp laàn löôït
thaønh caùc PQ nhoû hôn
10
SUÏN
CÔ
TRÔN
THẾ HỆ CÂY KHÍ – PHẾ QUẢN
Caáu truùc Theá heä
Khí quaûn 0
PHẦN
CÓ
SỤN
Pheá quaûn goác 1
VUØNG Pheá quaûn thuyø 2
DAÃN Pheá quaûn phaân thuyø 3
TRUYEÀN PQ döôùi phaân thuyø 4 – 9
Tieåu pheá quaûn 10 – 15 KHÔNG
SỤNTieåu pheá quaûn taän 16 – 19
VUØNG Tieåu PQ hoâ haáp 20 – 23 VÙNG
TRAO
ĐỔI KHÍ
HOÂ OÁng pheá nang 24 – 27
HAÁP Tuùi pheá nang 28
Tiểu phế quản:
Đường dẫn khí nhỏ - đường kính < 2mm,
thành không có sụn, chỉ có cơ trơn
3. ĐỊNH NGHĨA:
Viêm tiểu phế quản :
Viêm nhiễm cấp tính do virút
Tổn thương phế quản nhỏ, TB
Xảy ra ở trẻ < 2 tuổi
Đặc trưng bởi hội chứng lâm sàng:
ho ,
khò khè,
thở nhanh  co lõm lồng ngực
Wohl MEB, Kendig’s Disorders of the Respiratory Tract in Children,2006, 7th ed.
Saunders Elsevier company, Philadelphia
4. DỊCH TỄ HỌC
 Âu Mỹ: dịch xảy ra hàng năm,
thường đông – xuân.
 Các nước nhiệt đới: thường nhiều vào
mùa mưa.
 Việt Nam:
 Miền nam: rãi rác quanh năm,
tăng cao vào mùa mưa
 Miền bắc: có 2 đỉnh cao vào tháng 3 và
tháng 8
TUỔI
 Chỉ xảy ra ở trẻ < 24 tháng tuổi.
3-6 tháng > 6-9 tháng > 9-12 tháng
80% : 3 – 6 tháng
 < 3 tháng: nặng
 > 18 tháng: lưu ý suyễn
4. NGUYÊN NHÂN
Nguyên nhân Tỷ lệ Tuổi
thường gặp
Tuổi thường
nhập viện
RSV 50-80% < 12 tháng < 6 tháng
hMPV 3-19% 3 – 18 tháng 3 – 12 tháng
Influenza 6-24% 1 – 24 tháng < 12 tháng
Rhinovirus 16-25% Mọi tuổi < 5 tuổi
Parainfluenza 7-18% < 5 tuổi < 12 tháng
Bocavirus 1-20% 6 – 24 tháng
Coronavirus 1-10% Mọi tuổi < 12 tháng
Adenovirus 3-20% < 5 tuổi < 2 tuổi
NGUYEÂN NHAÂN
 RSV: haøng ñaàu (50 -75 %),
laây lan raát cao
 Adenovirus (10%) (type 3, 7, 21): thöôøng coù
beänh caûnh naëng hôn, coù theå dieãn tieán thaønh
VTPQ taéc ngheõn (obliterative bronchiolitis)
VIRÚT HỢP BÀO HÔ HẤP
RSV: Respiratory Syncytial Virus
Massachusettes Medical Society
Hall CB. N Engl J Med. 2001;344:1928
LỚP VỎ LIPID
PROTEIN G
PHOSPHOPROTEIN
NUCLEOPROTEIN
PROTEIN F
MATRIX
PROTEIN
PROTEIN
KỴ NƯỚC
VIRÚT HỢP BÀO HÔ HẤP ( RSV )
Respiratory Syncytial Virus.
The characteristic cytopathic effect of RSV in tissue culture
includes the formation of large multinucleated syncytial cells.
5. Cơ chế bệnh sinh
SINH BỆNH HỌC
• Nhiễm RSV thường khu trú ở đường hô
hấp
• TB đích của RSV: TB biểu mô lông chuyển
• Ban đầu virút tăng sinh trong biểu mô
đường hô hấp trên, sau đó trong vài ngày
virút lan rộng đến đường hô hấp dưới
• Gây hiện tượng hợp màng tạo TB khổng lồ
có nhiều nhân (hợp bào)
Sinh bệnh học VTPQ do RSV
 Hoại tử TB BM hô hấp, phá hủy TBBM lông chuyển
 Thấp nhập lympho, neutrophil quanh tiểu phế quản
 Phù nề lớp dưới niêm mạc
 Không phá hủy collagen, cơ hay mô đàn hồi
 Mảnh vỡ tế bào và fibrin tạo nút nhầy bít tắt lòng tiểu
phế quản
 Các phế nang thường bình thường, ngoại trừ các phế
nang ngay bên dưới tiểu phế quản bị viêm
 Co thắt phế quản có thể qua trung gian cơ chế thể
dịch và thần kinh
SINH LÝ BỆNH
 VTPQ đặc trưng bởi hiện tượng viêm cấp,
phù nề, hoại tử các tế bào biểu mô đường
dẫn khí nhỏ, tăng sản xuất chất nhầy và co
thắt phế quản
KENDIG’S 2012 :
RSV còn có thể gây viêm phổi nặng với:
 Phá hủy lan rộng biểu mô hô hấp
 Hoại tử nhu mô phổi
 Hình thành màng trong (hyaline)
Hậu quả sinh lý
 Cơ chế hô hấp bất thường:
 Trẻ phải hô hấp với một thể tích phổi cao
 Thể tích khí cặn chức năng gia tăng
 Độ đàn hồi động học của phổi giảm
 Tăng kháng lực đường thở
Gia tăng công hô hấp
Hậu quả sinh lý
 Thở nhanh, khó thở
 Giảm dung tích sống và giảm tỷ lệ
thông khí / tưới máu dẫn đến hiện
tượng thiếu oxy máu
 Khi trẻ không còn khả năng bù trừ cho
sự rối loạn trao đổi khí bằng cách tăng
thông khí, tình trạng ứ CO2 xảy ra.
HỒI PHỤC
 Quá trình hổi phục thường chậm (vài tuần):
 Bắt đầu bằng tái tạo biểu mô tiểu phế quản:
sau ngày thứ 3 hay 4
 Lông chuyển xuất hiện trễ hơn nhiều
(khoảng 15 ngày).
 Nút nhầy được đại thực bào lấy đi.
Các
yếu tố
góp
phần
vào
độ
nặng
của
VTPQ
. II .
TRIEÄU CHÖÙNG LAÂM SAØNG
– CAÄN LAÂM SAØNG
1 / LAÂM SAØNG
 Baét ñaàu: TC nhieãm sieâu vi (chaûy muõi, ho, soát
nheï)
 1-2 ngaøy sau:
 Ho nhiều
 Khoø kheø
 Thôû nhanh, co loõm ngöïc.
 Treû nhoû : kích thích, buù ít , noân oùi
LAÂM SAØNG
 Thôû nhanh > 50 – 60 l/p – Co keùo cô HH phuï
– Khoø kheø – Thì thôû ra keùo daøi
 Nghe phoåi : raâles rít – ngaùy – aåm – noå
 Tim nhanh
 Thaân nhieät : BT hay taêng ( 41oC )
 V keát maïc nheï, V tai giöõa, vieâm hoïng: 50%
 Gan sa
KHAÙM LAÂM SAØNG
 Daáu hieäu naëng :
 Suy hoâ haáp :
 Tím taùi
 SpO2 giaûm
 Nhòp thôû taêng (≥ 60 l/p ) : DH toån thöông trao
ñoåi khí
 Daáu hieäu maát nöôùc
2 / CAÄN LAÂM SAØNG
 CTM : BC = 5000 – 24000/mm3
 CRP : thöôøng khoâng taêng cao
 Khí maùu ÑM : BT luùc ñaàu Thieáu oxy
maùu , Toan hoâ haáp
 XN sieâu vi: pheát muõi hoïng, dòch tî haàu (NPA)
 ELISA
 Real-time PCR
Respiratory Syncytial Virus.
Direct fluorescent antibody staining of
respiratory syncytial virus.
Respiratory Syncytial Virus.
Indirect immunofluorescence technique- 40x
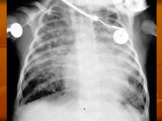
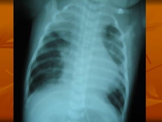
3. X QUANG PHỔI
 Không đặc hiệu:
Có thể BT: 13 % trẻ NV có XQ BT
 DH thường gặp:
 Ứ khí phế nang
 Thâm nhiễm mô kẽ, quanh PQ, PN
 Xẹp phổi: thùy trên phải
 Đông đặc phổi: 24%
 DH hiếm gặp: Tràn khí MP-TK trung thất (1%)
Tràn dịch MP
HEN PQ
1. CĐ VTPQ = CĐ LÂM SÀNG
 Tuổi < 24 tháng
 Yếu tố dịch tễ
 Lâm sàng: hội chứng:
 Ho
 Khò khè (lần đầu)
 Khó thở (thở nhanh /co lõm lồng ngực)
III. CHẨN ĐOÁN
2. Đánh giá mức độ nặng của VTPQ
Dựa trên bệnh sử và thăm khám lâm sàng
 VTPQ nặng: khi có dấu hiệu kiệt sức
hay suy hô hấp cấp.
 Dấu hiệu nặng:
- Bú kém (ít hơn 50% so với 24 giờ trước)
- Li bì
- Bệnh sử có cơn ngưng thở
- Nhịp thở > 70 lần / phút
- Cánh mũi phập phồng và / hoặc thở rên
- Co lõm lồng ngực nặng
- Tím tái
Phân độ nặng của VTPQ
Nhẹ Trung bình Nặng
-Tỉnh táo, bú tốt
-NT < 50l/p
-SpO2 > 95% khí
trời
-Yếu tố nguy cơ (-)
-Tỉnh táo, bú kém
-NT: 50 – 70 l/p
-Co lõm ngực
-SpO2: 92-95% khí
trời
-Bứt rứt, kích thích / li
bì
-Bỏ bú / bú kém
-Thở nhanh > 70l/p
- Thở không đều, có
cơn ngưng thở
- Tím tái
- Rên rỉ
- Co lõm ngực nặng
- SpO2 < 92% khí trời
3 / Chẩn đoán phân biệt:
 Hen
 Viêm phổi
 Ho gà
 Suy tim / Viêm cơ tim
 Dị vật đường thở
 Các nguyên nhân khò khè hiếm gặp khác
(mềm sụn phế quản, hẹp phế quản, vòng
nhẫn mạch máu,…)
BẪY CẦN TRÁNH
 Bỏ qua các bệnh lý có thể có biểu hiện
lâm sàng tương tự:
VTPQ nặng vs Viêm cơ tim.
Lacroix J, Gauthier M, Hubert P et al. Urgences et soins intensifs pédiatriques - 2007
KHÒ KHÈ:
 Phải được bác sĩ xác nhận
PHÂN BIỆT
HEN NHŨ NHI & VTPQ
VẤN ĐỀ THỰC TẾ
 2 bệnh phổ biến
 Biểu hiện LS tương tự nhau
 Có liên quan mật thiết với nhau
 Bối cảnh cấp tính – cần quyết định ĐT ngay
 Thiếu phương tiện chẩn đoán xác định khách
quan
 Chưa có khuyến cáo thống nhất trên thế giới
CÁC BƯỚC CHẨN ĐOÁN
THEO KHUYẾN CÁO QUỐC TẾ
Chẩn đoán lâm sàng dựa trên:
 Tiền sử
 Khám LS
 Xquang ngực
 Đáp ứng với điều trị hen: SABA và/hoặc ICS.
PHÂN BIỆT HEN & VTPQ
HEN VTPQ
Khò khè tái phát Có (đặc trưng) ≤ 2 lần: 70%
Khởi phát của
khò khè
Cấp tính nếu do dị ứng
hay gắng sức
Từ từ
VHHTđồng thời Có: nếu nhiễm khuẩn Có
BHDƯ đồng thời Có: nếu hen dị ứng Thường không có
TSGĐ dị ứng/ hen Thường có Thường không có
Đáp ứng với
thuốc DPQ
Có (Đặc trưng) Không,
hay 1 phần
Skoner D, Stillwagon P, Friedman R. Pediatric allergy and immunology.
In: Davis H, Zitelli B: Atlas of Pediatric Physical Diagnosis. London. Gower Press. 1987
TCYTTG
 Cơn khò khè đầu tiên ở trẻ < 6 tháng
tuổi: hàng đầu là VTPQ.
 Cơn khò khè đầu tiên ở trẻ > 18
tháng tuổi: hàng đầu là hen.
W.H.O - A.R.I Program, 8/5/1990: Bronchodilators in treatment of ARI in young children
CHẨN ĐÓAN PHÂN BIỆT
 Có thể khó  phân biệt rõ ràng ngay từ
đầu
 Xử trí ban đầu có thể tương tự nhau
 Tùy diễn tiến LS, CLS, XQ, đáp ứng ĐT
để  xác định
Hen nhũ nhi
Viêm tiểu phế quản
III / DIEÃN TIEÁN , BIEÁN
CHÖÙNG VAØ TIEÂN
LÖÔÏNG
1 / DIEÃN TIEÁN :
 Töï hoài phuïc neáu ñöôïc ñieàu trò hoå trôï thích hôïp
 Thôøi kyø uû beänh: 4 – 5 ngaøy
 Trieäu chöùng roõ, ñieån hình daàn trong 1 – 2 ngaøy
 Nhaäp vieän: 2 %, thöôøng N 3 – 4
 Caûi thieän laâm saøng: trong voøng 3 – 4 ngaøy
 Xquang veà bình thöôøng töø N 9 sau NV
 Thôøi kyø dieãn tieán töø khi coù trieäu chöùng ñeán luùc
khoûi beänh treân laâm saøng töø 10 – 14 ngaøy
 10 – 20 % VTPQ coù theå keùo daøi haøng thaùng
TK UÛ BEÄNH
TOAØN
PHAÙT
KHÔÛI
PHAÙT
LUI BEÄNH &
HOÀI PHUÏC
DIEÃN TIEÁN VTPQ DO RSV
5 NG 3-4 NG 4-5 NG 5-7 NG
Đa số: 10-14 ngày
18%: 3 tuần
9%: 4 tuần
TK UÛ BEÄNH
TOAØN
PHAÙT
KHÔÛI
PHAÙT
DIEÃN TIEÁN VTPQ DO RSV
5 NG 3-4 NG 4-5 NG
TK UÛ BEÄNH
TOAØN
PHAÙT
KHÔÛI
PHAÙT
DIEÃN TIEÁN VTPQ DO RSV
5 NG 3-4 NG 4-5 NG
YTNC ?
2/ BIẾN CHỨNG:
a. Hô hấp
Suy hoâ haáp : do roái loïan V/Q
thöôøng gaëp ôû treû döôùi 3 thaùng tuoåi
7% phaûi thôû maùy
Ngöng thở: cô cheá khoâng roõ (liên quan với RSV
G glycoprotein-CX3CR1 + chaát P)
3-21% trẻ (sinh non, < 2 th).
Có thể là DH ban đầu. Tiên lượng tốt.
Xeïp phoåi : thöôøng ôû thuøy treân beân phaûi
treû < 3 thaùng, coù suy hoâ haáp .
BỘI NHIỄM VI TRÙNG
 Nước đã phát triển:
 Mandell (2007): 0-7%
 Billet (Pháp-2007): 45%
• H. influenzae: 55%
• M. catarrhalis: 30%
• S. pneumoniae: 25%
BỘI NHIỄM VI TRÙNG
 Nước đang phát triển:
 Ghafoor A, Nomani NK, Ishaq (Pakistan -
1999): 36% (PNE, HI)
 Forgie IM, O’Neill KP, Lloyd-Evans N
(Gambia-1991): 22%
 Traøn khí maøng phoåi – trung thaát : ít gaëp
( 1 % ) , lieân quan ñeán hoå trôï hoâ haáp vôùi aùp
löïc döông cao ( NCPAP , thôû maùy )
 Vieâm tieåu pheá quaûn taéc ngheõn :
. RSV khoâng bao giôø dieãn tieán thaønh VTPQ
taéc ngheõn
. Coù theå gaëp trong VTPQ do Adenovirus
b / Bieán chöùng khaùc :
 Vieâm tai giöõa caáp
 Roái loaïn tieâu hoùa
 Tim maïch : Suy tim ( 1 % ) , nhòp nhanh nhæ
 Maát nöôùc : do soát , thôû nhanh , buù keùm , roái
loaïn tieâu hoùa
 HC taêng tieát ADH khoâng thích hôïp ( SIADH )
 Roái loaïn ñieän giaûi
 Beänh lyù naõo : 1,8%
c / Töû vong :
 Treû bình thöôøng : 1 – 5 %
 Töû vong cao ôû treû coù yeáu toá nguy cô : Tim
baåm sinh ( 30 % )
 Tyû leä töû vong do VTPQ khoâng ñoåi trong khi
töû vong do caùc beänh HH khaùc ñaõ giaûm
TỬ VONG
Hoa Kỳ:
 Tỷ lệ nhập viện vì VTPQ gia tăng, ở mức cao
 Tử vong do VTPQ giảm (dưới 400 trẻ / năm)
 79% tử vong xảy ra ở trẻ dưới 12 tháng tuổi và
nhất là trong vài tháng đầu sau sinh.
 Trẻ có bệnh mãn tính (đặc biệt là bệnh lý ảnh
hưởng chức năng tim phổi): thường mắc VTPQ
nặng hay tử vong.
 Trẻ sinh non và có bệnh phổi mãn tính: nguy cơ
nhập viện vì VTPQ cao gấp 5 lần trẻ bình thường.
3. YẾU TỐ NGUY CƠ
 Tuổi < 3 tháng
 TS sanh non, nhẹ cân, SHH sơ sinh (giuùp
thở!)
 Bệnh tim BS, đặc biệt TBS tím, cao áp phổi
 Bệnh phổi mãn tính: bệnh xơ nang, loạn sản
PQ-phổi, thiểu sản phổi, …
 Suy dinh dưỡng nặng
 Suy giảm miễn dịch: BS, mắc phải
 Bất thường NST, bệnh thần kinh – cơ, bệnh
phổi kẽ, bệnh gan mãn tính, rối loạn chuyển
hóa, các dị dạng BS khác
LIÊN QUAN GIỮA
VTPQ VÀ SUYỄN
NHIỄM VIRUS VÀ KHỞI PHÁT
BỆNH SUYỄN Ở TRẺ EM
 Mối quan hệ giữa viêm tiểu phế quản và
suyễn ở trẻ em.
Mc Intosh: 50% trẻ VTPQ
diễn tiến thành suyễn
VTPQ càng nặng: nguy cơ suyễn càng cao
Tác giả Tỷ lệ mắc suyễn sau
VTPQ (%)
Kuikka L (1994) 25
Kneyber MCJ (2000) 40
Sigurs N (2000) 30
Martin Mateos MA (2001) 77,3
Sly PD (1989) 92
Tiên lượng lâu dài hầu hết là tốt:
giảm dần và biến mất trước khi trẻ lên 10 tuổi
IV / ÑIEÀU TRÒ
NGUYÊN TẮC ĐIỀU TRỊ
 Nguyên tắc điều trị cơ bản: điều trị nâng
đở nhằm bảo đảm ổn định tình trạng bệnh
nhân, oxy hóa máu đầy đủ, cung cấp đủ
nước
(Khuyến cáo: Mức độ A)
ÑIEÀU TRÒ
 VTPQ nheï :
thöôøng ÑT taïi nhaø
 VTPQ + daáu hieäu suy hoâ haáp :
nhaäp vieän
CHÆ ÑÒNH NHAÄP VIEÄN
 Treû döôùi 3 thaùng tuoåi
 Coù yeáu toá nguy cô
 Coù daáu hieäu nguy hieåm
 Thôû co loõm ngöïc , thôû nhanh ( treân 70 laàn /
phuùt )
 Coù daáu hieäu maát nöôùc .
ÑIEÀU TRÒ
MUÏC TIEÂU ÑT TAÏI BV :
 ÑT naâng ñỡ : Chuû yeáu bao goàm cung caáp
ñaày ñuû nöôùc – ñieän giaûi – dinh döôõng, vaø baûo
ñaûm ñuû Oxy
 Phaùt hieän vaø ÑT bieán chöùng coù theå coù
 Traùnh laây lan cho NVYT vaø BN khaùc
 ÑT khaùng SV ñaëc hieäu neáu coù chæ ñònh
 Caùc ÑT coøn baøn caõi : thuoác daõn PQ,
corticoid, khaùng sieâu vi, khaùng sinh
1. ĐIỀU TRỊ SUY HÔ HẤP
Thở oxygen
 Thở oxygen qua canula mũi với FiO2 khoảng 30-
40% đủ giúp điều chỉnh tình trạng thiếu oxy ở hầu
hết bệnh nhi
 Trường hợp nặng: cần cung cấp Oxy với FiO2
bằng 100% ngay, sau đó điều chỉnh FiO2 để đạt
được SaO2 ≥ 95%
 Trẻ loạn sản phế quản phổi: chọn FiO2 ở mức
thấp nhất duy trì được SpO2 từ 92-94%, theo dõi
SpO2 thường xuyên và theo dõi tình trạng ứ CO2.
Thở áp lực dương liên tục
qua đường mũi (NCPAP)
 Beasley, Jones, Thia: thở NCPAP giúp
tránh việc đặt nội khí quản, thở máy: cải
thiện lâm sàng, giảm thở nhanh, giảm
PaCO2 và gia tăng có ý nghĩa tỷ lệ
FiO2/PaCO2, dung nạp tốt, không có biến
chứng.
 Cùng với việc sử dụng NCPAP, số bệnh
nhi thở máy được giảm thiểu.
2. CUNG CẤP NƯỚC – ĐIỆN GIẢI,
DINH DƯỠNG
 Cần phát hiện dấu hiệu mất nước và đánh
giá khả năng uống đủ nước bằng đường
miệng (Mức độ A).
 Cần cung cấp nước theo nhu cầu và bù cả
lượng nước thiếu trong 24-48 giờ đầu.
Sau đó theo dõi cân nặng của trẻ, lượng
nước tiểu và Natri/máu để điều chỉnh
lượng nước cung cấp (Mức độ C).
CUNG CẤP NƯỚC – ĐIỆN GIẢI,
DINH DƯỠNG
 Tieáp tuïc cho aên uoáng, buù bình thường.
 Chæ ñònh nuoâi aên qua sonde daï daøy:
Thôû nhanh treân 70 – 80 laàn / phuùt
Noân oùi lieân tuïc neáu aên uoáng baèng ñöôøng mieäng
Khi treû aên uoáng / buù : SpO2 giaûm < 90% duø coù
thôû Oxygen
Keùm phoái hôïp caùc ñoäng taùc nuùt – nuoát – hoâ haáp
Taêng roõ reät coâng hoâ haáp khi aên uoáng / buù
 Chæ ñònh truyeàn dòch - nuoâi aên baèng ñöôøng tónh
maïch :
Khi coù maát nöôùc
Khi nuoâi aên baèng ñöôøng tieâu hoùa chæ coù theå cung
caáp ñöôïc khoâng quaù 80 ml/kg/ngaøy
Löu yù hoäi chöùng taêng tieát ADH khoâng thích hôïp
(khi coù: giôùi haïn cung caáp = 2/3 nhu caàu caên baûn )
3. THUỐC GIÃN PHẾ QUẢN
(Khí dung Salbutamol)
 Không khuyến cáo sử dụng thường quy
(Mức độ B).
 Trong trường hợp trẻ khò khè, khó thở,
nghi ngờ hen, có tiền sử hen, dị ứng gia
đình, xem xét chỉ định KD Salbutamol.
Cần đánh giá đáp ứng với thuốc giãn phế
quản sau 1 giờ.
Không tiếp tục sử dụng KD giãn phế quản
nếu không có đáp ứng (Mức độ B).
Thuốc giãn phế quản
TCYTTG và các hướng dẫn điều trị hiện hành:
 Khuyến cáo không sử dụng thường quy GPQ
 Nhưng khi trẻ có biểu hiện khò khè, khó thở có
thể xem xét tiến hành điều trị thử với thuốc
GPQ tác dụng nhanh, nhất là khi:
 Trẻ > 6 tháng tuổi
 Khò khè tái phát
 Có cơ địa dị ứng bản thân/gia đình
South Australian Child Health Clinical Network. Bronchiolitis in Children. 24/01/2012
Approved by SA Health Safety & Strategic Governance Committee on: 01/07/2013
Thuốc giãn phế quản
 Liều lượng: KD Salbutamol (0,15mg/kg/lần,
min:1,5mg/lần) - có thể lặp lại lần 2 sau 20 phút
 Phải được đánh giá bởi cùng 1 người ở các
thời điểm: ngay trước khi khí dung và 20 phút
sau mỗi lần khí dung.
 Đánh giá đáp ứng dựa trên: tổng trạng, nhịp
thở, mức độ sử dụng cơ hô hấp phụ, SpO2,
thông khí phổi (rì rào phế nang, ran rít/ngáy).
 Nếu có đáp ứng sau 1 giờ: có thể dùng tiếp.
Thuốc giãn phế quản
Lưu ý:
 Nếu bệnh nhi tím tái, thở co lõm lồng ngực
nặng, thở nhanh > 70 lần/phút, SpO2 < 92%
 Cần phun KD Salbutamol với oxy 6 l/ph
để tránh rối loạn tỷ lệ thông khí / tưới máu.
4. Khí dung Adrenalin
 Không khuyến cáo sử dụng thường quy
khí dung Adrenalin. (Mức độ B).
 Trường hợp trẻ khò khè, khó thở, có thể
xem xét sử dụng một liều khí dung
Adrenalin. Cần đánh giá lại sau 15-30
phút. Nếu không có đáp ứng, không sử
dụng tiếp. (Mức độ B).
5. Kháng sinh hay
không kháng sinh ?
BỘI NHIỄM VI TRÙNG
 Nước đã phát triển:
 Mandell (2007): 0-7%
 Billet (Pháp-2007): 45%
• H. influenzae: 55%
• M. catarrhalis: 30%
• S. pneumoniae: 25%
BỘI NHIỄM VI TRÙNG
 Nước đang phát triển:
 Ghafoor A, Nomani NK, Ishaq (Pakistan -
1999): 36% (PNE, HI)
 Forgie IM, O’Neill KP, Lloyd-Evans N
(Gambia-1991): 22%
Kháng sinh
*Khuyến cáo: Sử dụng KS khi trẻ có biểu hiện:
Thở nhanh
Thở co lõm lồng ngực
Có dấu hiệu nguy hiểm toàn thân
Cận lâm sàng: có bằng chứng nhiễm vi khuẩn
KS LỰA CHỌN: như Viêm phổi
Mức độ: C
Kháng sinh
*Khuyến cáo:
Không sử dụng KS khi:
• Không có bằng chứng nhiễm vi khuẩn
trên LS & CLS
• XQuang ngực: không tổn thương nhu mô phổi
• Không có dấu hiệu nguy hiểm toàn thân
Mức độ: C
6. CÁC BIỆN PHÁP KHÔNG
KHUYẾN CÁO THƯỜNG QUY
 Khí dung Ipratropium bromide (Mức độ B).
 Corticoid (uống, tiêm hay khí dung) (Mức độ B).
 Khí dung nước muối ưu trương 3% (Mức độ
C).
 Vật lý trị liệu hô hấp: chỉ định trong trường hợp
xẹp phổi (Mức độ B).
7. CÁC BIỆN PHÁP
KHÔNG KHUYẾN CÁO
(Mức độ B)
 Montelukast
 Khí dung nước muối sinh lý
 Phun khí dung làm ẩm
 Kháng histamin
 Thuốc chống sung huyết mũi và
thuốc co mạch máu mũi
 Immunoglobulin
V. KẾT LUẬN
 VTPQ: bệnh nhiễm trùng hô hấp dưới
phổ biến nhất ở trẻ dưới 24 tháng tuổi.
 VTPQ vẫn còn là gánh nặng y tế - kinh
tế - xã hội đối với hầu hết quốc gia trên
thế giới.
VIÊM TIỂU PHẾ QUẢN

VIÊM TIỂU PHẾ QUẢN

  • 1.
    VIÊM TIỂU PHẾQUẢN TS BS TRAÀN ANH TUAÁN TK HOÂ HAÁP BV NHI ÑOÀNG I
  • 2.
    NỘI DUNG  1.Đại cương  2. Triệu chứng lâm sàng, cận lâm sàng  3. Diễn tiến, biến chứng, tiên lượng  4. Điều trị  5. Kết luận
  • 3.
    MỤC TIÊU  1.Nêu được định nghĩa VTPQ  2. Trình bày được các TCLS, CLS của VTPQ  3. Trình bày được tiêu chuẩn chẩn đoán VTPQ, các chẩn đoán phân biệt chính  4. Nêu được các biến chứng của VTPQ  5. Nêu được yếu tố nguy cơ của VTPQ  6. Trình bày được nguyên tắc điều trị, mục tiêu ĐT VTPQ tại BV
  • 4.
  • 5.
     VTPQ: bệnhnhiễm trùng hô hấp dưới phổ biến nhất ở trẻ dưới 24 tháng tuổi.  90% trẻ sẽ mắc VTPQ trong 2 năm đầu đời.  Tỷ lệ khám bệnh và nhập viện vì VTPQ gia tăng liên tục.  Khó tránh dịch VTPQ xảy ra hàng năm. 1. TẦM QUAN TRỌNG
  • 6.
     TCYTTG: 64triệu trường hợp trẻ mắc VTPQ, 160.000 tử vong hàng năm.  Hoa Kỳ: chi phí y tế liên quan với VTPQ: khoảng 700 triệu USD/năm. TẦM QUAN TRỌNG
  • 7.
    2. NHẮC LẠI GIẢIPHẨU-SINH LÝ  Ñöôøng daãn khí : . Ñöôøng hoâ haáp treân : muõi, mieäng, haàu, thanh quaûn . Ñöôøng hoâ haáp döôùi : khí quaûn, pheá quaûn PQ : PQ goác P-T, phaân ñoâi tieáp laàn löôït thaønh caùc PQ nhoû hôn
  • 9.
  • 11.
  • 12.
    THẾ HỆ CÂYKHÍ – PHẾ QUẢN Caáu truùc Theá heä Khí quaûn 0 PHẦN CÓ SỤN Pheá quaûn goác 1 VUØNG Pheá quaûn thuyø 2 DAÃN Pheá quaûn phaân thuyø 3 TRUYEÀN PQ döôùi phaân thuyø 4 – 9 Tieåu pheá quaûn 10 – 15 KHÔNG SỤNTieåu pheá quaûn taän 16 – 19 VUØNG Tieåu PQ hoâ haáp 20 – 23 VÙNG TRAO ĐỔI KHÍ HOÂ OÁng pheá nang 24 – 27 HAÁP Tuùi pheá nang 28
  • 13.
    Tiểu phế quản: Đườngdẫn khí nhỏ - đường kính < 2mm, thành không có sụn, chỉ có cơ trơn
  • 14.
    3. ĐỊNH NGHĨA: Viêmtiểu phế quản : Viêm nhiễm cấp tính do virút Tổn thương phế quản nhỏ, TB Xảy ra ở trẻ < 2 tuổi Đặc trưng bởi hội chứng lâm sàng: ho , khò khè, thở nhanh  co lõm lồng ngực Wohl MEB, Kendig’s Disorders of the Respiratory Tract in Children,2006, 7th ed. Saunders Elsevier company, Philadelphia
  • 15.
    4. DỊCH TỄHỌC  Âu Mỹ: dịch xảy ra hàng năm, thường đông – xuân.  Các nước nhiệt đới: thường nhiều vào mùa mưa.  Việt Nam:  Miền nam: rãi rác quanh năm, tăng cao vào mùa mưa  Miền bắc: có 2 đỉnh cao vào tháng 3 và tháng 8
  • 16.
    TUỔI  Chỉ xảyra ở trẻ < 24 tháng tuổi. 3-6 tháng > 6-9 tháng > 9-12 tháng 80% : 3 – 6 tháng  < 3 tháng: nặng  > 18 tháng: lưu ý suyễn
  • 17.
  • 18.
    Nguyên nhân Tỷlệ Tuổi thường gặp Tuổi thường nhập viện RSV 50-80% < 12 tháng < 6 tháng hMPV 3-19% 3 – 18 tháng 3 – 12 tháng Influenza 6-24% 1 – 24 tháng < 12 tháng Rhinovirus 16-25% Mọi tuổi < 5 tuổi Parainfluenza 7-18% < 5 tuổi < 12 tháng Bocavirus 1-20% 6 – 24 tháng Coronavirus 1-10% Mọi tuổi < 12 tháng Adenovirus 3-20% < 5 tuổi < 2 tuổi
  • 19.
    NGUYEÂN NHAÂN  RSV:haøng ñaàu (50 -75 %), laây lan raát cao  Adenovirus (10%) (type 3, 7, 21): thöôøng coù beänh caûnh naëng hôn, coù theå dieãn tieán thaønh VTPQ taéc ngheõn (obliterative bronchiolitis)
  • 20.
    VIRÚT HỢP BÀOHÔ HẤP RSV: Respiratory Syncytial Virus Massachusettes Medical Society Hall CB. N Engl J Med. 2001;344:1928 LỚP VỎ LIPID PROTEIN G PHOSPHOPROTEIN NUCLEOPROTEIN PROTEIN F MATRIX PROTEIN PROTEIN KỴ NƯỚC
  • 21.
    VIRÚT HỢP BÀOHÔ HẤP ( RSV )
  • 22.
    Respiratory Syncytial Virus. Thecharacteristic cytopathic effect of RSV in tissue culture includes the formation of large multinucleated syncytial cells.
  • 23.
    5. Cơ chếbệnh sinh
  • 25.
    SINH BỆNH HỌC •Nhiễm RSV thường khu trú ở đường hô hấp • TB đích của RSV: TB biểu mô lông chuyển • Ban đầu virút tăng sinh trong biểu mô đường hô hấp trên, sau đó trong vài ngày virút lan rộng đến đường hô hấp dưới • Gây hiện tượng hợp màng tạo TB khổng lồ có nhiều nhân (hợp bào)
  • 26.
    Sinh bệnh họcVTPQ do RSV  Hoại tử TB BM hô hấp, phá hủy TBBM lông chuyển  Thấp nhập lympho, neutrophil quanh tiểu phế quản  Phù nề lớp dưới niêm mạc  Không phá hủy collagen, cơ hay mô đàn hồi  Mảnh vỡ tế bào và fibrin tạo nút nhầy bít tắt lòng tiểu phế quản  Các phế nang thường bình thường, ngoại trừ các phế nang ngay bên dưới tiểu phế quản bị viêm  Co thắt phế quản có thể qua trung gian cơ chế thể dịch và thần kinh
  • 29.
    SINH LÝ BỆNH VTPQ đặc trưng bởi hiện tượng viêm cấp, phù nề, hoại tử các tế bào biểu mô đường dẫn khí nhỏ, tăng sản xuất chất nhầy và co thắt phế quản KENDIG’S 2012 :
  • 31.
    RSV còn cóthể gây viêm phổi nặng với:  Phá hủy lan rộng biểu mô hô hấp  Hoại tử nhu mô phổi  Hình thành màng trong (hyaline)
  • 32.
    Hậu quả sinhlý  Cơ chế hô hấp bất thường:  Trẻ phải hô hấp với một thể tích phổi cao  Thể tích khí cặn chức năng gia tăng  Độ đàn hồi động học của phổi giảm  Tăng kháng lực đường thở Gia tăng công hô hấp
  • 33.
    Hậu quả sinhlý  Thở nhanh, khó thở  Giảm dung tích sống và giảm tỷ lệ thông khí / tưới máu dẫn đến hiện tượng thiếu oxy máu  Khi trẻ không còn khả năng bù trừ cho sự rối loạn trao đổi khí bằng cách tăng thông khí, tình trạng ứ CO2 xảy ra.
  • 36.
    HỒI PHỤC  Quátrình hổi phục thường chậm (vài tuần):  Bắt đầu bằng tái tạo biểu mô tiểu phế quản: sau ngày thứ 3 hay 4  Lông chuyển xuất hiện trễ hơn nhiều (khoảng 15 ngày).  Nút nhầy được đại thực bào lấy đi.
  • 37.
  • 38.
    . II . TRIEÄUCHÖÙNG LAÂM SAØNG – CAÄN LAÂM SAØNG
  • 39.
    1 / LAÂMSAØNG  Baét ñaàu: TC nhieãm sieâu vi (chaûy muõi, ho, soát nheï)  1-2 ngaøy sau:  Ho nhiều  Khoø kheø  Thôû nhanh, co loõm ngöïc.  Treû nhoû : kích thích, buù ít , noân oùi
  • 40.
    LAÂM SAØNG  Thôûnhanh > 50 – 60 l/p – Co keùo cô HH phuï – Khoø kheø – Thì thôû ra keùo daøi  Nghe phoåi : raâles rít – ngaùy – aåm – noå  Tim nhanh  Thaân nhieät : BT hay taêng ( 41oC )  V keát maïc nheï, V tai giöõa, vieâm hoïng: 50%  Gan sa
  • 41.
    KHAÙM LAÂM SAØNG Daáu hieäu naëng :  Suy hoâ haáp :  Tím taùi  SpO2 giaûm  Nhòp thôû taêng (≥ 60 l/p ) : DH toån thöông trao ñoåi khí  Daáu hieäu maát nöôùc
  • 42.
    2 / CAÄNLAÂM SAØNG  CTM : BC = 5000 – 24000/mm3  CRP : thöôøng khoâng taêng cao  Khí maùu ÑM : BT luùc ñaàu Thieáu oxy maùu , Toan hoâ haáp  XN sieâu vi: pheát muõi hoïng, dòch tî haàu (NPA)  ELISA  Real-time PCR
  • 43.
    Respiratory Syncytial Virus. Directfluorescent antibody staining of respiratory syncytial virus.
  • 44.
    Respiratory Syncytial Virus. Indirectimmunofluorescence technique- 40x
  • 45.
    3. X QUANGPHỔI  Không đặc hiệu: Có thể BT: 13 % trẻ NV có XQ BT  DH thường gặp:  Ứ khí phế nang  Thâm nhiễm mô kẽ, quanh PQ, PN  Xẹp phổi: thùy trên phải  Đông đặc phổi: 24%  DH hiếm gặp: Tràn khí MP-TK trung thất (1%) Tràn dịch MP
  • 47.
  • 53.
    1. CĐ VTPQ= CĐ LÂM SÀNG  Tuổi < 24 tháng  Yếu tố dịch tễ  Lâm sàng: hội chứng:  Ho  Khò khè (lần đầu)  Khó thở (thở nhanh /co lõm lồng ngực) III. CHẨN ĐOÁN
  • 54.
    2. Đánh giámức độ nặng của VTPQ Dựa trên bệnh sử và thăm khám lâm sàng  VTPQ nặng: khi có dấu hiệu kiệt sức hay suy hô hấp cấp.  Dấu hiệu nặng: - Bú kém (ít hơn 50% so với 24 giờ trước) - Li bì - Bệnh sử có cơn ngưng thở - Nhịp thở > 70 lần / phút - Cánh mũi phập phồng và / hoặc thở rên - Co lõm lồng ngực nặng - Tím tái
  • 55.
    Phân độ nặngcủa VTPQ Nhẹ Trung bình Nặng -Tỉnh táo, bú tốt -NT < 50l/p -SpO2 > 95% khí trời -Yếu tố nguy cơ (-) -Tỉnh táo, bú kém -NT: 50 – 70 l/p -Co lõm ngực -SpO2: 92-95% khí trời -Bứt rứt, kích thích / li bì -Bỏ bú / bú kém -Thở nhanh > 70l/p - Thở không đều, có cơn ngưng thở - Tím tái - Rên rỉ - Co lõm ngực nặng - SpO2 < 92% khí trời
  • 56.
    3 / Chẩnđoán phân biệt:  Hen  Viêm phổi  Ho gà  Suy tim / Viêm cơ tim  Dị vật đường thở  Các nguyên nhân khò khè hiếm gặp khác (mềm sụn phế quản, hẹp phế quản, vòng nhẫn mạch máu,…)
  • 57.
    BẪY CẦN TRÁNH Bỏ qua các bệnh lý có thể có biểu hiện lâm sàng tương tự: VTPQ nặng vs Viêm cơ tim. Lacroix J, Gauthier M, Hubert P et al. Urgences et soins intensifs pédiatriques - 2007
  • 58.
    KHÒ KHÈ:  Phảiđược bác sĩ xác nhận
  • 59.
  • 60.
    VẤN ĐỀ THỰCTẾ  2 bệnh phổ biến  Biểu hiện LS tương tự nhau  Có liên quan mật thiết với nhau  Bối cảnh cấp tính – cần quyết định ĐT ngay  Thiếu phương tiện chẩn đoán xác định khách quan  Chưa có khuyến cáo thống nhất trên thế giới
  • 61.
    CÁC BƯỚC CHẨNĐOÁN THEO KHUYẾN CÁO QUỐC TẾ Chẩn đoán lâm sàng dựa trên:  Tiền sử  Khám LS  Xquang ngực  Đáp ứng với điều trị hen: SABA và/hoặc ICS.
  • 62.
    PHÂN BIỆT HEN& VTPQ HEN VTPQ Khò khè tái phát Có (đặc trưng) ≤ 2 lần: 70% Khởi phát của khò khè Cấp tính nếu do dị ứng hay gắng sức Từ từ VHHTđồng thời Có: nếu nhiễm khuẩn Có BHDƯ đồng thời Có: nếu hen dị ứng Thường không có TSGĐ dị ứng/ hen Thường có Thường không có Đáp ứng với thuốc DPQ Có (Đặc trưng) Không, hay 1 phần Skoner D, Stillwagon P, Friedman R. Pediatric allergy and immunology. In: Davis H, Zitelli B: Atlas of Pediatric Physical Diagnosis. London. Gower Press. 1987
  • 63.
    TCYTTG  Cơn khòkhè đầu tiên ở trẻ < 6 tháng tuổi: hàng đầu là VTPQ.  Cơn khò khè đầu tiên ở trẻ > 18 tháng tuổi: hàng đầu là hen. W.H.O - A.R.I Program, 8/5/1990: Bronchodilators in treatment of ARI in young children
  • 64.
    CHẨN ĐÓAN PHÂNBIỆT  Có thể khó  phân biệt rõ ràng ngay từ đầu  Xử trí ban đầu có thể tương tự nhau  Tùy diễn tiến LS, CLS, XQ, đáp ứng ĐT để  xác định Hen nhũ nhi Viêm tiểu phế quản
  • 65.
    III / DIEÃNTIEÁN , BIEÁN CHÖÙNG VAØ TIEÂN LÖÔÏNG
  • 66.
    1 / DIEÃNTIEÁN :  Töï hoài phuïc neáu ñöôïc ñieàu trò hoå trôï thích hôïp  Thôøi kyø uû beänh: 4 – 5 ngaøy  Trieäu chöùng roõ, ñieån hình daàn trong 1 – 2 ngaøy  Nhaäp vieän: 2 %, thöôøng N 3 – 4  Caûi thieän laâm saøng: trong voøng 3 – 4 ngaøy  Xquang veà bình thöôøng töø N 9 sau NV  Thôøi kyø dieãn tieán töø khi coù trieäu chöùng ñeán luùc khoûi beänh treân laâm saøng töø 10 – 14 ngaøy  10 – 20 % VTPQ coù theå keùo daøi haøng thaùng
  • 67.
    TK UÛ BEÄNH TOAØN PHAÙT KHÔÛI PHAÙT LUIBEÄNH & HOÀI PHUÏC DIEÃN TIEÁN VTPQ DO RSV 5 NG 3-4 NG 4-5 NG 5-7 NG Đa số: 10-14 ngày 18%: 3 tuần 9%: 4 tuần
  • 68.
    TK UÛ BEÄNH TOAØN PHAÙT KHÔÛI PHAÙT DIEÃNTIEÁN VTPQ DO RSV 5 NG 3-4 NG 4-5 NG
  • 69.
    TK UÛ BEÄNH TOAØN PHAÙT KHÔÛI PHAÙT DIEÃNTIEÁN VTPQ DO RSV 5 NG 3-4 NG 4-5 NG YTNC ?
  • 70.
    2/ BIẾN CHỨNG: a.Hô hấp Suy hoâ haáp : do roái loïan V/Q thöôøng gaëp ôû treû döôùi 3 thaùng tuoåi 7% phaûi thôû maùy Ngöng thở: cô cheá khoâng roõ (liên quan với RSV G glycoprotein-CX3CR1 + chaát P) 3-21% trẻ (sinh non, < 2 th). Có thể là DH ban đầu. Tiên lượng tốt. Xeïp phoåi : thöôøng ôû thuøy treân beân phaûi treû < 3 thaùng, coù suy hoâ haáp .
  • 71.
    BỘI NHIỄM VITRÙNG  Nước đã phát triển:  Mandell (2007): 0-7%  Billet (Pháp-2007): 45% • H. influenzae: 55% • M. catarrhalis: 30% • S. pneumoniae: 25%
  • 72.
    BỘI NHIỄM VITRÙNG  Nước đang phát triển:  Ghafoor A, Nomani NK, Ishaq (Pakistan - 1999): 36% (PNE, HI)  Forgie IM, O’Neill KP, Lloyd-Evans N (Gambia-1991): 22%
  • 73.
     Traøn khímaøng phoåi – trung thaát : ít gaëp ( 1 % ) , lieân quan ñeán hoå trôï hoâ haáp vôùi aùp löïc döông cao ( NCPAP , thôû maùy )  Vieâm tieåu pheá quaûn taéc ngheõn : . RSV khoâng bao giôø dieãn tieán thaønh VTPQ taéc ngheõn . Coù theå gaëp trong VTPQ do Adenovirus
  • 74.
    b / Bieánchöùng khaùc :  Vieâm tai giöõa caáp  Roái loaïn tieâu hoùa  Tim maïch : Suy tim ( 1 % ) , nhòp nhanh nhæ  Maát nöôùc : do soát , thôû nhanh , buù keùm , roái loaïn tieâu hoùa  HC taêng tieát ADH khoâng thích hôïp ( SIADH )  Roái loaïn ñieän giaûi  Beänh lyù naõo : 1,8%
  • 75.
    c / Töûvong :  Treû bình thöôøng : 1 – 5 %  Töû vong cao ôû treû coù yeáu toá nguy cô : Tim baåm sinh ( 30 % )  Tyû leä töû vong do VTPQ khoâng ñoåi trong khi töû vong do caùc beänh HH khaùc ñaõ giaûm
  • 76.
    TỬ VONG Hoa Kỳ: Tỷ lệ nhập viện vì VTPQ gia tăng, ở mức cao  Tử vong do VTPQ giảm (dưới 400 trẻ / năm)  79% tử vong xảy ra ở trẻ dưới 12 tháng tuổi và nhất là trong vài tháng đầu sau sinh.  Trẻ có bệnh mãn tính (đặc biệt là bệnh lý ảnh hưởng chức năng tim phổi): thường mắc VTPQ nặng hay tử vong.  Trẻ sinh non và có bệnh phổi mãn tính: nguy cơ nhập viện vì VTPQ cao gấp 5 lần trẻ bình thường.
  • 77.
    3. YẾU TỐNGUY CƠ  Tuổi < 3 tháng  TS sanh non, nhẹ cân, SHH sơ sinh (giuùp thở!)  Bệnh tim BS, đặc biệt TBS tím, cao áp phổi  Bệnh phổi mãn tính: bệnh xơ nang, loạn sản PQ-phổi, thiểu sản phổi, …  Suy dinh dưỡng nặng  Suy giảm miễn dịch: BS, mắc phải  Bất thường NST, bệnh thần kinh – cơ, bệnh phổi kẽ, bệnh gan mãn tính, rối loạn chuyển hóa, các dị dạng BS khác
  • 78.
  • 79.
    NHIỄM VIRUS VÀKHỞI PHÁT BỆNH SUYỄN Ở TRẺ EM  Mối quan hệ giữa viêm tiểu phế quản và suyễn ở trẻ em. Mc Intosh: 50% trẻ VTPQ diễn tiến thành suyễn VTPQ càng nặng: nguy cơ suyễn càng cao
  • 80.
    Tác giả Tỷlệ mắc suyễn sau VTPQ (%) Kuikka L (1994) 25 Kneyber MCJ (2000) 40 Sigurs N (2000) 30 Martin Mateos MA (2001) 77,3 Sly PD (1989) 92 Tiên lượng lâu dài hầu hết là tốt: giảm dần và biến mất trước khi trẻ lên 10 tuổi
  • 81.
  • 82.
    NGUYÊN TẮC ĐIỀUTRỊ  Nguyên tắc điều trị cơ bản: điều trị nâng đở nhằm bảo đảm ổn định tình trạng bệnh nhân, oxy hóa máu đầy đủ, cung cấp đủ nước (Khuyến cáo: Mức độ A)
  • 83.
    ÑIEÀU TRÒ  VTPQnheï : thöôøng ÑT taïi nhaø  VTPQ + daáu hieäu suy hoâ haáp : nhaäp vieän
  • 84.
    CHÆ ÑÒNH NHAÄPVIEÄN  Treû döôùi 3 thaùng tuoåi  Coù yeáu toá nguy cô  Coù daáu hieäu nguy hieåm  Thôû co loõm ngöïc , thôû nhanh ( treân 70 laàn / phuùt )  Coù daáu hieäu maát nöôùc .
  • 85.
    ÑIEÀU TRÒ MUÏC TIEÂUÑT TAÏI BV :  ÑT naâng ñỡ : Chuû yeáu bao goàm cung caáp ñaày ñuû nöôùc – ñieän giaûi – dinh döôõng, vaø baûo ñaûm ñuû Oxy  Phaùt hieän vaø ÑT bieán chöùng coù theå coù  Traùnh laây lan cho NVYT vaø BN khaùc  ÑT khaùng SV ñaëc hieäu neáu coù chæ ñònh  Caùc ÑT coøn baøn caõi : thuoác daõn PQ, corticoid, khaùng sieâu vi, khaùng sinh
  • 86.
    1. ĐIỀU TRỊSUY HÔ HẤP Thở oxygen  Thở oxygen qua canula mũi với FiO2 khoảng 30- 40% đủ giúp điều chỉnh tình trạng thiếu oxy ở hầu hết bệnh nhi  Trường hợp nặng: cần cung cấp Oxy với FiO2 bằng 100% ngay, sau đó điều chỉnh FiO2 để đạt được SaO2 ≥ 95%  Trẻ loạn sản phế quản phổi: chọn FiO2 ở mức thấp nhất duy trì được SpO2 từ 92-94%, theo dõi SpO2 thường xuyên và theo dõi tình trạng ứ CO2.
  • 87.
    Thở áp lựcdương liên tục qua đường mũi (NCPAP)  Beasley, Jones, Thia: thở NCPAP giúp tránh việc đặt nội khí quản, thở máy: cải thiện lâm sàng, giảm thở nhanh, giảm PaCO2 và gia tăng có ý nghĩa tỷ lệ FiO2/PaCO2, dung nạp tốt, không có biến chứng.  Cùng với việc sử dụng NCPAP, số bệnh nhi thở máy được giảm thiểu.
  • 88.
    2. CUNG CẤPNƯỚC – ĐIỆN GIẢI, DINH DƯỠNG  Cần phát hiện dấu hiệu mất nước và đánh giá khả năng uống đủ nước bằng đường miệng (Mức độ A).  Cần cung cấp nước theo nhu cầu và bù cả lượng nước thiếu trong 24-48 giờ đầu. Sau đó theo dõi cân nặng của trẻ, lượng nước tiểu và Natri/máu để điều chỉnh lượng nước cung cấp (Mức độ C).
  • 89.
    CUNG CẤP NƯỚC– ĐIỆN GIẢI, DINH DƯỠNG  Tieáp tuïc cho aên uoáng, buù bình thường.  Chæ ñònh nuoâi aên qua sonde daï daøy: Thôû nhanh treân 70 – 80 laàn / phuùt Noân oùi lieân tuïc neáu aên uoáng baèng ñöôøng mieäng Khi treû aên uoáng / buù : SpO2 giaûm < 90% duø coù thôû Oxygen Keùm phoái hôïp caùc ñoäng taùc nuùt – nuoát – hoâ haáp Taêng roõ reät coâng hoâ haáp khi aên uoáng / buù
  • 90.
     Chæ ñònhtruyeàn dòch - nuoâi aên baèng ñöôøng tónh maïch : Khi coù maát nöôùc Khi nuoâi aên baèng ñöôøng tieâu hoùa chæ coù theå cung caáp ñöôïc khoâng quaù 80 ml/kg/ngaøy Löu yù hoäi chöùng taêng tieát ADH khoâng thích hôïp (khi coù: giôùi haïn cung caáp = 2/3 nhu caàu caên baûn )
  • 91.
    3. THUỐC GIÃNPHẾ QUẢN (Khí dung Salbutamol)  Không khuyến cáo sử dụng thường quy (Mức độ B).  Trong trường hợp trẻ khò khè, khó thở, nghi ngờ hen, có tiền sử hen, dị ứng gia đình, xem xét chỉ định KD Salbutamol. Cần đánh giá đáp ứng với thuốc giãn phế quản sau 1 giờ. Không tiếp tục sử dụng KD giãn phế quản nếu không có đáp ứng (Mức độ B).
  • 92.
    Thuốc giãn phếquản TCYTTG và các hướng dẫn điều trị hiện hành:  Khuyến cáo không sử dụng thường quy GPQ  Nhưng khi trẻ có biểu hiện khò khè, khó thở có thể xem xét tiến hành điều trị thử với thuốc GPQ tác dụng nhanh, nhất là khi:  Trẻ > 6 tháng tuổi  Khò khè tái phát  Có cơ địa dị ứng bản thân/gia đình South Australian Child Health Clinical Network. Bronchiolitis in Children. 24/01/2012 Approved by SA Health Safety & Strategic Governance Committee on: 01/07/2013
  • 93.
    Thuốc giãn phếquản  Liều lượng: KD Salbutamol (0,15mg/kg/lần, min:1,5mg/lần) - có thể lặp lại lần 2 sau 20 phút  Phải được đánh giá bởi cùng 1 người ở các thời điểm: ngay trước khi khí dung và 20 phút sau mỗi lần khí dung.  Đánh giá đáp ứng dựa trên: tổng trạng, nhịp thở, mức độ sử dụng cơ hô hấp phụ, SpO2, thông khí phổi (rì rào phế nang, ran rít/ngáy).  Nếu có đáp ứng sau 1 giờ: có thể dùng tiếp.
  • 94.
    Thuốc giãn phếquản Lưu ý:  Nếu bệnh nhi tím tái, thở co lõm lồng ngực nặng, thở nhanh > 70 lần/phút, SpO2 < 92%  Cần phun KD Salbutamol với oxy 6 l/ph để tránh rối loạn tỷ lệ thông khí / tưới máu.
  • 95.
    4. Khí dungAdrenalin  Không khuyến cáo sử dụng thường quy khí dung Adrenalin. (Mức độ B).  Trường hợp trẻ khò khè, khó thở, có thể xem xét sử dụng một liều khí dung Adrenalin. Cần đánh giá lại sau 15-30 phút. Nếu không có đáp ứng, không sử dụng tiếp. (Mức độ B).
  • 96.
    5. Kháng sinhhay không kháng sinh ?
  • 97.
    BỘI NHIỄM VITRÙNG  Nước đã phát triển:  Mandell (2007): 0-7%  Billet (Pháp-2007): 45% • H. influenzae: 55% • M. catarrhalis: 30% • S. pneumoniae: 25%
  • 98.
    BỘI NHIỄM VITRÙNG  Nước đang phát triển:  Ghafoor A, Nomani NK, Ishaq (Pakistan - 1999): 36% (PNE, HI)  Forgie IM, O’Neill KP, Lloyd-Evans N (Gambia-1991): 22%
  • 100.
    Kháng sinh *Khuyến cáo:Sử dụng KS khi trẻ có biểu hiện: Thở nhanh Thở co lõm lồng ngực Có dấu hiệu nguy hiểm toàn thân Cận lâm sàng: có bằng chứng nhiễm vi khuẩn KS LỰA CHỌN: như Viêm phổi Mức độ: C
  • 101.
    Kháng sinh *Khuyến cáo: Khôngsử dụng KS khi: • Không có bằng chứng nhiễm vi khuẩn trên LS & CLS • XQuang ngực: không tổn thương nhu mô phổi • Không có dấu hiệu nguy hiểm toàn thân Mức độ: C
  • 102.
    6. CÁC BIỆNPHÁP KHÔNG KHUYẾN CÁO THƯỜNG QUY  Khí dung Ipratropium bromide (Mức độ B).  Corticoid (uống, tiêm hay khí dung) (Mức độ B).  Khí dung nước muối ưu trương 3% (Mức độ C).  Vật lý trị liệu hô hấp: chỉ định trong trường hợp xẹp phổi (Mức độ B).
  • 103.
    7. CÁC BIỆNPHÁP KHÔNG KHUYẾN CÁO (Mức độ B)  Montelukast  Khí dung nước muối sinh lý  Phun khí dung làm ẩm  Kháng histamin  Thuốc chống sung huyết mũi và thuốc co mạch máu mũi  Immunoglobulin
  • 104.
    V. KẾT LUẬN VTPQ: bệnh nhiễm trùng hô hấp dưới phổ biến nhất ở trẻ dưới 24 tháng tuổi.  VTPQ vẫn còn là gánh nặng y tế - kinh tế - xã hội đối với hầu hết quốc gia trên thế giới.