Vieâm phoåi treû em
PGS.TS. PHAN HÖÕU NGUYEÄT DIEÃM
I. ÑÒNH NGHÓA
Vieâm phoåi laø beänh lyù vieâm caáp
hay maõn cuûa nhu moâ phoåi.
Theo TCYTTG vieâm phoåi bao
goàm vieâm pheá quaûn phoåi, vieâm phoåi
thuøy, aùp xe phoåi.
II. DÒCH TEÃ HOÏC:
2.1 Yeáu toá thuaän lôïi:
-hoaøn caûnh kinh teá xaõ hoâïi thaáp
-moâi tröôøng soáng ñoâng ñuùc keùm veä sinh
-cha meï huùt thuoác laù, khoùi buïi
-sanh non thaùng , nheï caân, sdd, sôûi,
thieáu vitamin A
-thôøi tieát laïnh
2.2 Yeáu toá nguy cô gaây vieâm phoåi taùi
phaùt:
-suy giaûm mieãn dòch baåm sinh hay maéc
phaûi
-dò taät baåm sinh taïi ñöôøng hoâ haáp
-cao aùp phoåi nguyeân phaùt hay thöù phaùt
-maát phaûn xaï ho: hoân meâ, baïi naõo…
-traøo ngöôïc daï daøy thöïc quaûn-
2.3. Nguyeân nhaân vieâm phoåi:
2.3.1. Do vi sinh:
Do virus: nguyeân nhaân öu theá: RSV, aù cuùm,
cuùm Adenovirus
Do vi truøng :
Ø Theo Hoäi loàng ngöïc Anh (BTS)
20-60% khoâng xaùc ñònh VT gaây beänh
8- 40% VP do hoån hôïp VT
(30% virus- VT; 13% virus-virus; 7% do 2 VT)
2.3.2 Khoâng do vi sinh:
Hít saëc: thöùc aên, söõa, traoø ngöôïc dd- thquaûn;
Doø khq- thöïc quaûn ; dò vaät
Taêng ñaùp öùng mieãn dòch
Chaát phoùng xaï
Treû döôùi 2 thaùng
Streptococcus nhoùm B
Chlamydia trachomatis
Tröïc khuaån ñöôøng ruoät Gr(-)
Töø 2 thaùng –5 tuoåi:
Streptococcus pneumoniae
Haemophilus Influenzae tpye B
Staphylococcus
Streptococcus nhoùm A
Ho gaø
Treân 5 tuoåi:
Streptococcus pneumoniae
Mycoplasma pneumoniae (42%)
Chlamydia pneumonia(20%)
Treû naèm vieän keùo daøi, SGMD:
Klebsiella
Pseudomonas
E.coli
Serratia
Pnemocystic carinii
III. BEÄNH SINH:
3.1. Doøng vi khuaån muõi haàu:
Bình thöôøng:ña soá vi khuaån Gram döông
Beänh lyù raêng mieäng: Vi khuaån hieám khí
Sau 72 giôø naèm vieän:vi khuaån Gram aâm
3.2 . Cô cheá ñeà khaùng cuûa ñöôøng hoâ haáp:
3.3 Vi khuaån vaøo phoåi theo 2 ñöôøng chaùnh:
- ñöôøng hoâ haáp
- ñöôøng maùu
IV. CHAÅN ÑOAÙN VIEÂM PHOÅI:
4.1.Laâm saøng:
-Hoäi chöùng nhieãm truøng: gaëp trong VP do vi truøng
Thôû nhanh: nguôõng thôû nhanh thay ñoåi theo löùa tuoåi
< 2 thaùng  60 laàn/ phuùt
2th - döôùi12 th  50 laàn /ph
12 th-5 tuoåi:  40 laàn
> 5 tuoåi :  30 laàn
Daáu hieäu suy hoâ haáp :
co loõm ngöïc, phaäp phoàng caùnh muõi,
co keùo gian suôøn, tím trung öông
khoâng buù ñöôïc, boû buù
thôû reân
Ran phoåi: ran noå, aåm
Treû < 2 thaùng : thôû khoâng ñeàu, côn
ngöng thôû, reân ræ
Tiếp cận trẻ ho
Có Không
• Vp rất nặng
• Bệnh rất nặng
Có Không
VP nặng
Có không
VP VHHT
CO LÕM NGỰC
DẤU HIỆU NGUY HIỂM TOÀN THÂN
THỞ NHANH
• 1 . Laøm theá naøo ñeå bieát laø treû bò NTHHC?
• HO < 30 NGAØY
• 2 . Laøm theá naøo ñeå sôùm bieát treû bò Vieâm phoåi ?
• ( Trieäu chöùng nhaïy caûm nhaát cuûa vieâm phoåi ? )
• THÔÛ NHANH
• 3 . Khi naøo caàn cho treû nhaäp vieän ?
• ( TC trung thaønh nhaát cuûa vieâm phoåi naëng ? )
• THÔÛ CO LOÕM LOÀNG NGÖÏC
• 4 . Khi naøo caàn ñöa treû ñi BV caáp cöùu ngay ?
• Khi coù ít nhaát 1 daáu hieäu nguy hieåm toaøn thaân,
• hoaëc tím taùi
PHAÂN LOAÏI VIEÂM PHOÅI
ÔÛ TREÛ 2 – 59 THAÙNG (WHO)
PHAÂN LOAÏI TC LAÂM SAØNG
VIEÂM PHOÅI Thôû nhanh
VIEÂM PHOÅI
NAËNG
Co loõm ngöïc
VIEÂM PHOÅI
RAÁT NAËNG
Tím taùi trung öông
Co giật
Khoâng uoáng ñöôïc
Li bì – khoù ñaùnh thöùc
Suy dinh dưỡng nặng
4.2. Caäm laâm saøng:
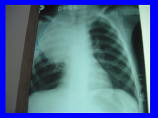
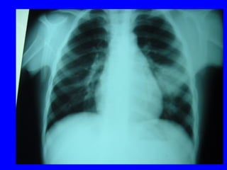
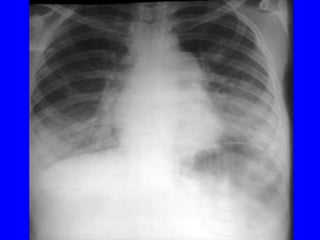
X quang phoåi:  xaùc ñònh , xñònh NN, ñoä naëng
VP thuyø, thaâm nhieãm phoåi, VP moâ keõâ
CTM : Baïch caàu > 15000/mm3
vôùi öu theá ña nhaân/ù VPvi khuaån
Xeùt nghieäm ñaøm:
Ho khaïc: treû > 10 tuoåi, deã ngoaïi nhieãm VT
thöôøng truù
Huùt dòch khí quaûn ( NTA: nasotracheal
aspiration)
chaát löôïng toát : coù teá baøo truï
< 10 TBBM
> 25 BCÑN/qtruôøng
soi töôi coù vi truùng
Noäi soi vaø röõa PQ: hieäu quaû, xaâm laán, deã
bieán chöùng
Caáy maùu:
(+) 3-11% ôû beänh nhi caáp cöùu VP
(+) 25% VP do H.I.
(+) 30% VP do tuï caàu
Xaùc ñònh khaùng nguyeân vi khuaån
Ñieän di mieãn dòch ñoái löu
Ngöng keát haït latex : tìmKN pheácaàu
hoaëc HI trong hthanh vaø nöôùc tieåu.
Sinh thieát phoåi muø hay choïc huùt qua da:
It laøm, coù nhieàu bieán chöùng.
4.3 Chaån ñoaùn xaùc ñònh:
Laâm saøng: soát+ ho+ thôû nhanh vaø hoaëc co
loõm ngöïc
+ X quang: coù toån thöông phoåi: toån thöông
pheá nang; moâ keõ; toån thöông thuøy phoåi
4.4Chaån ñoaùn phaân bieät:
-Lao phoåi
-Dò taät baåm sinh taïi phoåi
-Thôû nhanh khoâng töông xöùng vôùi toån
thöông phoåi treân laâm saøng vaø XQ caàn
phaân bieät vôùi toan chuyeån hoùa do nhöõng
nguyeân nhaân khaùc
V. ÑIEÀU TRÒ:
5.1. Ñieàu trò ngoaïi truù:
Chæ coù ho+ thôû nhanh: KS vaø chaêm soùc taïi nhaø
Choïn KS ban ñaàu:
Treû em < 5 tuoåi :
Amoxcilline ( 90mg/kg) ,choïn löïa khaùc laø: Amox- clavu;
Cefaclor, Cefuroxim, Erythromycine, clarythromycine.
Treû em > 5 tuoåi:ø
Macrolides +Amoxcillin
5.2. Ñieàu trò noâïi truù :
Nguyeân taéc ñieàu trò chính:
-Hoã trôï hoâ haáp
-Khaùng sinh
-Ñieàu trò hoã trôï
-Ñieàu trò bieán chöùng
Hoå trôï hoâ haáp
CHÆ ÑÒNH THÔÛ OXYGEN
Toát nhaát döïa treân SpO2 :
• - Thôû oxygen khi SpO2 < 90%
• - Muïc tieâu :
• SpO2 = 92 – 96 %
• - Ngöng oxy khi :
• LS caûi thieän , oån ñònh
• SpO2 > 92 %
CHÆ ÑÒNH THÔÛ OXYGEN
CHÆ ÑÒNH DÖÏA TREÂN LAÂM SAØNG ( WHO ) :
 Chæ ñònh tuyeät ñoái :
1. Tím taùi trung öông
2. Li bì – khoù ñaùnh thöùc
 Chæ ñònh töông ñoái :
3. Thôû nhanh > 70 laàn / phuùt
4. Thôû co loõm ngöïc naëng
5. Ñaàu gaät guø theo nhòp thôû
6. Reân ró
7. Vaät vaõ kích thích – Naèm yeân sau khi thôû oxygen
Khaùng sinh:
Neáu beänh nhaân chöa ñieàu trò KS ñöôøng chích:
Treû < 2 th: Ampicilline + Gentamycine Cefotaxim
Treû > 2-5T : Penicilline G hoaëc Ampicilline  Genta
Hoaëc Cefotaxim 200mg/ kg chia 3 lần/ng,
Ceftriasone 80mg/kg x 1 lần/ng
Nghi Tuï caàu: Oxacilline + Genta
hoaëc Clindamycine, Vancomycin
Treû > 5T: Cefotaxim+ Macrolides( Eury, Clarythromycin,
Azythromycine)
Neáu beänh nhaân ñaõ ñöôïc ñieàu trò tuyeán tröôùc baèng Ampi
hoaëc PNC G, KS choïn ngay: Cefotaxim + Genta
5.3Thaát baïi ñieàu trò vieâm phoåi:
-VT khaùng thuoác ñang ñieàu trò
-Lao phoåi: toån thöông thaâm nhieãm phoåi keùo daøi,
keøm haïch roán phoåi
ñaõ ñieàu trò KS thöôøng > 10 ngaøy khoâng giaûm
-Do sieâu vi: beänh SARS, cuùm gaø. caùc virus khaùc…
thöôøng raàm roä vaø thaønh dòch
Cô ñòa ñaëc bieät: -suy giaûm MD, haäu sôûi,SDD -
-cao aùp phoåi nguyeân phaùt hoaëc thöù phaùt
- dò taät baåm sinh taïi phoåi
- dò vaät
- traøo ngöôïc daï daøy thöïc quaûn

VIÊM PHỔI TRẺ EM

  • 1.
    Vieâm phoåi treûem PGS.TS. PHAN HÖÕU NGUYEÄT DIEÃM
  • 2.
    I. ÑÒNH NGHÓA Vieâmphoåi laø beänh lyù vieâm caáp hay maõn cuûa nhu moâ phoåi. Theo TCYTTG vieâm phoåi bao goàm vieâm pheá quaûn phoåi, vieâm phoåi thuøy, aùp xe phoåi.
  • 3.
    II. DÒCH TEÃHOÏC: 2.1 Yeáu toá thuaän lôïi: -hoaøn caûnh kinh teá xaõ hoâïi thaáp -moâi tröôøng soáng ñoâng ñuùc keùm veä sinh -cha meï huùt thuoác laù, khoùi buïi -sanh non thaùng , nheï caân, sdd, sôûi, thieáu vitamin A -thôøi tieát laïnh
  • 4.
    2.2 Yeáu toánguy cô gaây vieâm phoåi taùi phaùt: -suy giaûm mieãn dòch baåm sinh hay maéc phaûi -dò taät baåm sinh taïi ñöôøng hoâ haáp -cao aùp phoåi nguyeân phaùt hay thöù phaùt -maát phaûn xaï ho: hoân meâ, baïi naõo… -traøo ngöôïc daï daøy thöïc quaûn-
  • 5.
    2.3. Nguyeân nhaânvieâm phoåi: 2.3.1. Do vi sinh: Do virus: nguyeân nhaân öu theá: RSV, aù cuùm, cuùm Adenovirus Do vi truøng : Ø Theo Hoäi loàng ngöïc Anh (BTS) 20-60% khoâng xaùc ñònh VT gaây beänh 8- 40% VP do hoån hôïp VT (30% virus- VT; 13% virus-virus; 7% do 2 VT) 2.3.2 Khoâng do vi sinh: Hít saëc: thöùc aên, söõa, traoø ngöôïc dd- thquaûn; Doø khq- thöïc quaûn ; dò vaät Taêng ñaùp öùng mieãn dòch Chaát phoùng xaï
  • 6.
    Treû döôùi 2thaùng Streptococcus nhoùm B Chlamydia trachomatis Tröïc khuaån ñöôøng ruoät Gr(-) Töø 2 thaùng –5 tuoåi: Streptococcus pneumoniae Haemophilus Influenzae tpye B Staphylococcus Streptococcus nhoùm A Ho gaø Treân 5 tuoåi: Streptococcus pneumoniae Mycoplasma pneumoniae (42%) Chlamydia pneumonia(20%)
  • 7.
    Treû naèm vieänkeùo daøi, SGMD: Klebsiella Pseudomonas E.coli Serratia Pnemocystic carinii
  • 8.
    III. BEÄNH SINH: 3.1.Doøng vi khuaån muõi haàu: Bình thöôøng:ña soá vi khuaån Gram döông Beänh lyù raêng mieäng: Vi khuaån hieám khí Sau 72 giôø naèm vieän:vi khuaån Gram aâm 3.2 . Cô cheá ñeà khaùng cuûa ñöôøng hoâ haáp: 3.3 Vi khuaån vaøo phoåi theo 2 ñöôøng chaùnh: - ñöôøng hoâ haáp - ñöôøng maùu
  • 9.
    IV. CHAÅN ÑOAÙNVIEÂM PHOÅI: 4.1.Laâm saøng: -Hoäi chöùng nhieãm truøng: gaëp trong VP do vi truøng Thôû nhanh: nguôõng thôû nhanh thay ñoåi theo löùa tuoåi < 2 thaùng  60 laàn/ phuùt 2th - döôùi12 th  50 laàn /ph 12 th-5 tuoåi:  40 laàn > 5 tuoåi :  30 laàn
  • 10.
    Daáu hieäu suyhoâ haáp : co loõm ngöïc, phaäp phoàng caùnh muõi, co keùo gian suôøn, tím trung öông khoâng buù ñöôïc, boû buù thôû reân Ran phoåi: ran noå, aåm Treû < 2 thaùng : thôû khoâng ñeàu, côn ngöng thôû, reân ræ
  • 12.
    Tiếp cận trẻho Có Không • Vp rất nặng • Bệnh rất nặng Có Không VP nặng Có không VP VHHT CO LÕM NGỰC DẤU HIỆU NGUY HIỂM TOÀN THÂN THỞ NHANH
  • 13.
    • 1 .Laøm theá naøo ñeå bieát laø treû bò NTHHC? • HO < 30 NGAØY • 2 . Laøm theá naøo ñeå sôùm bieát treû bò Vieâm phoåi ? • ( Trieäu chöùng nhaïy caûm nhaát cuûa vieâm phoåi ? ) • THÔÛ NHANH • 3 . Khi naøo caàn cho treû nhaäp vieän ? • ( TC trung thaønh nhaát cuûa vieâm phoåi naëng ? ) • THÔÛ CO LOÕM LOÀNG NGÖÏC • 4 . Khi naøo caàn ñöa treû ñi BV caáp cöùu ngay ? • Khi coù ít nhaát 1 daáu hieäu nguy hieåm toaøn thaân, • hoaëc tím taùi
  • 14.
    PHAÂN LOAÏI VIEÂMPHOÅI ÔÛ TREÛ 2 – 59 THAÙNG (WHO) PHAÂN LOAÏI TC LAÂM SAØNG VIEÂM PHOÅI Thôû nhanh VIEÂM PHOÅI NAËNG Co loõm ngöïc VIEÂM PHOÅI RAÁT NAËNG Tím taùi trung öông Co giật Khoâng uoáng ñöôïc Li bì – khoù ñaùnh thöùc Suy dinh dưỡng nặng
  • 15.
    4.2. Caäm laâmsaøng: X quang phoåi:  xaùc ñònh , xñònh NN, ñoä naëng VP thuyø, thaâm nhieãm phoåi, VP moâ keõâ CTM : Baïch caàu > 15000/mm3 vôùi öu theá ña nhaân/ù VPvi khuaån
  • 20.
    Xeùt nghieäm ñaøm: Hokhaïc: treû > 10 tuoåi, deã ngoaïi nhieãm VT thöôøng truù Huùt dòch khí quaûn ( NTA: nasotracheal aspiration) chaát löôïng toát : coù teá baøo truï < 10 TBBM > 25 BCÑN/qtruôøng soi töôi coù vi truùng Noäi soi vaø röõa PQ: hieäu quaû, xaâm laán, deã bieán chöùng
  • 21.
    Caáy maùu: (+) 3-11%ôû beänh nhi caáp cöùu VP (+) 25% VP do H.I. (+) 30% VP do tuï caàu Xaùc ñònh khaùng nguyeân vi khuaån Ñieän di mieãn dòch ñoái löu Ngöng keát haït latex : tìmKN pheácaàu hoaëc HI trong hthanh vaø nöôùc tieåu. Sinh thieát phoåi muø hay choïc huùt qua da: It laøm, coù nhieàu bieán chöùng.
  • 22.
    4.3 Chaån ñoaùnxaùc ñònh: Laâm saøng: soát+ ho+ thôû nhanh vaø hoaëc co loõm ngöïc + X quang: coù toån thöông phoåi: toån thöông pheá nang; moâ keõ; toån thöông thuøy phoåi 4.4Chaån ñoaùn phaân bieät: -Lao phoåi -Dò taät baåm sinh taïi phoåi -Thôû nhanh khoâng töông xöùng vôùi toån thöông phoåi treân laâm saøng vaø XQ caàn phaân bieät vôùi toan chuyeån hoùa do nhöõng nguyeân nhaân khaùc
  • 23.
    V. ÑIEÀU TRÒ: 5.1.Ñieàu trò ngoaïi truù: Chæ coù ho+ thôû nhanh: KS vaø chaêm soùc taïi nhaø Choïn KS ban ñaàu: Treû em < 5 tuoåi : Amoxcilline ( 90mg/kg) ,choïn löïa khaùc laø: Amox- clavu; Cefaclor, Cefuroxim, Erythromycine, clarythromycine. Treû em > 5 tuoåi:ø Macrolides +Amoxcillin
  • 24.
    5.2. Ñieàu trònoâïi truù : Nguyeân taéc ñieàu trò chính: -Hoã trôï hoâ haáp -Khaùng sinh -Ñieàu trò hoã trôï -Ñieàu trò bieán chöùng
  • 25.
    Hoå trôï hoâhaáp CHÆ ÑÒNH THÔÛ OXYGEN Toát nhaát döïa treân SpO2 : • - Thôû oxygen khi SpO2 < 90% • - Muïc tieâu : • SpO2 = 92 – 96 % • - Ngöng oxy khi : • LS caûi thieän , oån ñònh • SpO2 > 92 %
  • 26.
    CHÆ ÑÒNH THÔÛOXYGEN CHÆ ÑÒNH DÖÏA TREÂN LAÂM SAØNG ( WHO ) :  Chæ ñònh tuyeät ñoái : 1. Tím taùi trung öông 2. Li bì – khoù ñaùnh thöùc  Chæ ñònh töông ñoái : 3. Thôû nhanh > 70 laàn / phuùt 4. Thôû co loõm ngöïc naëng 5. Ñaàu gaät guø theo nhòp thôû 6. Reân ró 7. Vaät vaõ kích thích – Naèm yeân sau khi thôû oxygen
  • 27.
    Khaùng sinh: Neáu beänhnhaân chöa ñieàu trò KS ñöôøng chích: Treû < 2 th: Ampicilline + Gentamycine Cefotaxim Treû > 2-5T : Penicilline G hoaëc Ampicilline  Genta Hoaëc Cefotaxim 200mg/ kg chia 3 lần/ng, Ceftriasone 80mg/kg x 1 lần/ng Nghi Tuï caàu: Oxacilline + Genta hoaëc Clindamycine, Vancomycin Treû > 5T: Cefotaxim+ Macrolides( Eury, Clarythromycin, Azythromycine) Neáu beänh nhaân ñaõ ñöôïc ñieàu trò tuyeán tröôùc baèng Ampi hoaëc PNC G, KS choïn ngay: Cefotaxim + Genta
  • 28.
    5.3Thaát baïi ñieàutrò vieâm phoåi: -VT khaùng thuoác ñang ñieàu trò -Lao phoåi: toån thöông thaâm nhieãm phoåi keùo daøi, keøm haïch roán phoåi ñaõ ñieàu trò KS thöôøng > 10 ngaøy khoâng giaûm -Do sieâu vi: beänh SARS, cuùm gaø. caùc virus khaùc… thöôøng raàm roä vaø thaønh dòch Cô ñòa ñaëc bieät: -suy giaûm MD, haäu sôûi,SDD - -cao aùp phoåi nguyeân phaùt hoaëc thöù phaùt - dò taät baåm sinh taïi phoåi - dò vaät - traøo ngöôïc daï daøy thöïc quaûn