VIÊM PHỔI
TS BS TRẦN ANH TUẤN
TK HÔ HẤP
BV NHI ĐỒNG I
NỘI DUNG
1. Đại cương
2. Chẩn đoán
3. Điều trị
4. Phòng ngừa
5. Kết luận
MỤC TIÊU
1. Trình bày được phân loại viêm phổi
2. Trình bày được cách đánh giá, phân
loại VP ở trẻ dưới 5 tuổi theo TCYTTG
3. Trình bày được các khuyến cáo trong
chẩn đoán VP: LS, CLS, Xquang
4. Nêu được nguyên tắc điều trị viêm phổi
I/ ÑAÏI CÖÔNG
LỊCH SỬ
Hippocrates (460 BC–380
BC): ngöôøi ñaàu tieân moâ taû
trieäu chöùng vieâm phoåi
ñiển hình:
Soát, ñau ngöïc khi thôû ra,
ho, khaïc ñaøm, ñaøm coù
maøu vaøng hay xaùm, loaõng,
coù boït, hay coù maøu, khoù
thôû …
LỊCH SỬ
 Laenec: phaùt minh oáng nghe – 1815
 Phaùt minh ra X-quang (1895): Xquang ngöïc
thöôøng quy trong ñaùnh giaù vieâm phoåi khi coù daáu
hieäu gôïi yù.
Beänh nhaân coù soát, ho, ôùn laïnh, khaïc ñaøm maøu ró
seùt vaø coù daáu hieäu nghe phoåi & Xquang gôïi yù
vieâm phoåi ñöôïc xem laø vieâm phoåi ñieån hình.
Định nghĩa
VP là bệnh lý viêm của phổi do tác nhân
nhiễm trùng làm kích thích các phản ứng
gây tổn hại nhu mô phổi.
Phân loại theo giải phẩu
Viêm phổi thuỳ
Viêm phế quản phổi
Viêm phổi kẽ
VP có biến chứng
– Viêm mủ màng phổi
– Abcès phổi
Phân loại theo bệnh cảnh lâm sàng
VP điển hình: diễn tiến cấp tính với sốt cao, rét
run, đau ngực, ho có đàm. Xquang phổi: có
hình ảnh VP thuỳ. Điển hình: VP do phế cầu.
VP không điển hình: khởi phát từ từ (nhiều
ngày, vài tuần), sốt nhẹ, ho khan, nhức đầu,
mệt mõi. Xquang phổi không có hình ảnh VP
thuỳ điển hình, nhuộm gram đàm âm tính, kém
đáp ứng với điều trị kháng sinh họ penicillin.
Thường do M. pneumoniae, C. pneumoniae,
Legionella pneumophila.
Phân loại theo hoàn cảnh mắc bệnh
VP cộng đồng
VP bệnh viện (Hospital-acquired pneumonia
– HAP): VP xuất hiện từ sau 48 giờ nhập viện
(nhưng không phải trong giai đoạn ủ bệnh lúc
nhập viện).
VP ở bệnh nhân thở máy (ventilator-
associated pneumonia –VAP)
Lưu ý: ATS 2016: HAP không bao gồm VP
liên quan đến chăm sóc y tế (healthcare-
associated pneumonia - HCAP)
HCAP & HAP
 Có nhiều bằng chứng là BN HCAP không có nguy
cơ cao nhiễm TNGB MDR dù tiếp xúc với hệ thống
chăm sóc y tế có khả năng này.
 Yếu tố nguy cơ độc lập quan trọng của nhiễm
TNGB MDR: đặc điểm cơ bản, bệnh lý nền của BN.
 Nên dựa trên các yếu tố nguy cơ nhiễm TNGB
MDR được xác nhận, không dựa trên việc có liên
quan với chăm sóc y tế.
 ATS/IDSA 2016: trong hướng dẫn HAP/VAP không
nên bao gồm HCAP.
TÁC NHÂN
GÂY BỆNH
TÁC NHÂN GÂY BỆNH
THEO TUỔI
Các nước đang phát triển
- VP do virus thường kết hợp với VP do
VT (Yếu tố nguy cơ)
- Khó phân biệt VP Virus / VT
- Tỷ lệ tử vong do VP cao ở các nước
đang phát triển.
WHO: VP = VP do vi trùng
VIEÂM PHOÅI
 Theo TCYTTG-2006:
Hơn 1,5 trieäu treû döôùi 5 tuoåi cheát
vì vieâm phoåi / naêm
Khoaûng 4.300 töû vong moãi ngaøy
Moãi 20 giaây - 1 treû töû vong do vieâm phoåi
UNICEF. Pneumonia: The forgotten killer. 2006. pp 34–37. Available at:
www.unicef.org/publications/files/Pneumonia_The_Forgotten_Killer_of_Children.pdf (accessed Mar 2008).
15 quoác gia coù soá cas vieâm phoåi cao nhaát (05/2008)
QUOÁC GIA ÖÔÙC TÍNH SOÁá CA VP MÔÙI
(TRIEÄU)
TAÀN SUAÁT VP
( ÑÔÏT / TREÛ / NAÊM )
India 43.0 0.37
China 21.1 0.22
Pakistan 9.8 0.41
Bangladesh 6.4 0.41
Nigeria 6.1 0.34
Indonesia 6.0 0.28
Ethiopia 3.9 0.35
Democratic Republic of the Congo 3.9 0.39
Viet Nam 2.9 0.35
Philippines 2.7 0.27
Sudan 2.0 0.48
Afghanistan 2.0 0.45
United Republic of Tanzania 1.9 0.33
Myanmar 1.8 0.43
Brazil 1.8 0.11
UNICEF, September 2012
PHÂN BỐ TỬ VONG Ở TRẺ DƯỚI 5 TUỔI, 2010
2011:
Tử vong < 5 tuổi:
6.9 triệu
Epidemiology and etiology of childhood pneumonia
Igor Rudan, Cynthia Boschi-Pinto, Zrinka Biloglav, Kim Mulholland,
Harry Campbell Volume 86, Number 5, May 2008, 408-416
Incidence of childhood clinical pneumonia at the country level
15 quốc gia có số tử vong do VP cao nhất
(05/2008)
Country Predicted no. of deaths
(thousands)
Estimated mortality
rates(per 10 000 under-five
population)
India 408 32.2
Nigeria 204 84.7
Democratic Republic of the
Congo
126 110.1
Ethiopia 112 84.6
Pakistan 91 48.1
Afghanistan 87 185.9
China 74 8.6
Bangladesh 50 26.6
Angola 47 157.1
Niger 46 173.9
Uganda 38 67.6
United Republic of Tanzania 36 52.6
Mali 32 147.8
Kenya 30 50.3
Burkina Faso 25 99.4
TÁC ĐỘNG CỦA VIÊM PHỖI VỚI TRẺ EM
VIÊM PHỔI
GIẾT CHẾT TRẺ EM
NHIỀU HƠN
BẤT CỨ BỆNH NÀO
Ở MỌI NƠI TRÊN THẾ GIỚI
Chỉ có
…
TRẺ BỊ VIÊM PHỔI
được chăm sóc y
tế tốt ở các nước
đang phát triển
Trong số 8,8 triệu trẻ chết trong năm 2008,1/5 là do VIÊM PHỔI
II / CHẨN ĐOÁN
1 . Chaån ñoaùn xaùc ñònh vieâm phoåi
2 . Ñaùnh giaù möùc ñoä naëng
3 . Chaån ñoaùn nguyeân nhaân
4 . Beänh neàn phoái hôïp
5 . Phaùt hieän bieán chöùng
A/ CHẨN ĐOÁN VIÊM PHỔI
 Thở nhanh
 Thở co lõm lồng ngực
2 TRIỆU CHỨNG “CHÌA KHÓA“
(KEY SIGNS)
Thở nhanh :
Dấu hiệu nhạy cảm nhất của VP
* Ngưỡng thở nhanh :
. < 2 tháng tuổi: 60 lần/phút.
. 2 - 11 tháng tuổi: 50 lần/phút.
. 12 th – 59 tháng tuổi: 40 lần/phút.
NHỊP THỞ BÌNH THƯỜNG
CỦA TRẺ THEO ĐỘ TUỔI
THỨC
NGỦ
5 T12 TH2 TH
60
50
40
LẦN/PH
NGƯỠNG THỞ NHANH
Co lõm lồng ngực:
Dấu hiệu đặc hiệu nhất của VP nặng
- Định nghĩa: phần dưới lồng ngực lõm
vào khi trẻ hít vào.
* Không phải là rút lõm phần mềm giữa
các xương sườn hoặc vùng trên
xương sườn.
THỞ CO LÕM LỒNG NGỰC
THỞ CO LÕM LỒNG NGỰC
Trẻ < 2 tháng :
CLLN nặng mới có giá trị
Trẻ > 2 tháng :
CLLN nhẹ cũng có giá trị
THỞ CO KÉO KHOẢNG LIỀN
SƯỜN
XN CẬN LÂM SÀNG
XÉT NGHIỆM CẬN LÂM SÀNG
Công thức máu
VS
Các dấu chỉ điểm phản ứng viêm cấp:
CRP, Procalcitonin (PCT),...
Không giúp phân biệt VP do virus/vi
trùng
Không chỉ định thường quy, nhất là ở
BN ngoại trú
PCT <0,25 ng/mL : no antibiotics
PCT ≥0,25 ng/mL : antibiotics
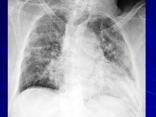
X QUANG PHỔI
Heulitt (1988): Xquang có:
Độ nhạy cảm: 45 %
Độ đặc hiệu: 92 %
X QUANG PHỔI
X quang: dấu hiệu chỉ điểm kém cho
nguyên nhân VP
• Không có hình ảnh Xquang đặc hiệu
cho VP do virus, TN không điển hình
• Không thể giúp phân biệt VP do VT
hay do virus
• VP thùy/Xquang: giá trị cao cho VP vi
trùng nếu kèm sốt cao (39oC), BC tăng
(>20.000/mm3) (Spec=74%)
XQ NGỰC
Không khuyến cáo chỉ định thường quy ở
BN ngoại trú.
Cần được chỉ định khi:
– VP nặng cần nhập viện
– VP kém đáp ứng với điều trị ban đầu theo
kinh nghiệm
– Có biểu hiện lâm sàng không rõ ràng
– Nghi ngờ có biến chứng (tràn dịch, tràn khí
màng phổi, …)
– Cần chẩn đoán phân biệt.
X QUANG PHOÅI
* Khi naøo caàn chuïp Xquang phoåi ?
- BN < 5t soát > 39oC , BC> 20.000 , khoâng coù daáu
hieäu LS chæ ñieåm /VP : 25 % coù VP / Xquang
Khuyeán caùo chuïp Xquang phoåi ôû treû <5tuoåi – soát
39oC khoâng roõ nguyeân nhaân .
* Khuyeán caùo chuïp X quang phoåi :
Nghi VP nhöng daáu hieäu thaêm khaùm khoâng roõ
raøng Nghi ngôø coù bieán chöùng ( TM-TKMP, … )
VP keùo daøi / keùm ñaùp öùng ÑT KS
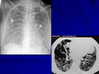
Chụp Xquang ngực cắt lớp (CT)
Niều lợi điểm hơn Xquang quy ước trong
đánh giá tổn thương nhu mô phổi và phân
biệt với các bất thường trong lồng ngực
khác đặc biệt khi có thể có nhiều hình ảnh
tổn thương chồng lên nhau, tổn thương
lan rộng nhiều vị trí giải phẩu (nhu mô
phổi, màng phổi, trung thất).
Chỉ chỉ định CT ngực khi cần chẩn đoán
phân biệt, đánh giá biến chứng.
XN VI SINH HỌC
 Chọc phổi: tiêu chuẩn vàng
vấn đề thực hiện trên thực tế
 Dịch tiết đường hô hấp:
NTA (Nasotracheal aspiration): giá trị tham
khảo / tác nhân vi trùng
Phết mũi, phết mũi họng, hút dịch tị hầu:
virus
Rửa PQ-PN (LBA)
Hút dịch qua NKQ
 Cấy máu
 Huyết thanh chẩn đoán
B/ PHAÂN LOAÏI
VIEÂM PHOÅI
ICU : ≥1 major or ≥ 2 minor criteria
PHÂN LOẠI VIÊM PHỔI
Ở TRẺ 2 – 59 THÁNG (WHO)
PHÂN LOẠI TC LÂM SÀNG
VIÊM PHỔI Không có DH NH
Không co lõm lồng ngực
Thở nhanh
VIÊM PHỔI
NẶNG
Không có DH NH
Thở co lõm lồng ngực
VIÊM PHỔI
RẤT NẶNG
Tím tái trung ương
Không uống được
Li bì – khó đánh thức
DH suy hô hấp nặng khác
III . ÑIEÀU TRÒ
VIEÂM PHOÅI
ÑIEÀU TRÒ VIEÂM PHOÅI
 Choáng nhieãm truøng : Khaùng sinh
 Choáng suy hoâ haáp : Oxygen, NCPAP, thôû maùy
 Dinh döôõng
 Ñieàu trò caùc TC ñi keøm : soát, khoø kheø , …
 Ñieàu trò bieán chöùng
A. KHÁNG SINH
ĐIỀU TRỊ VIÊM PHỔI
Chọn lựa KS
• Theo tác nhân gây bệnh được xác định
• Theo kinh nghiệm
ĐIỀU TRỊ VIÊM PHỔI =
ĐIỀU TRỊ THEO KINH NGHIỆM
*Canadian experts in infectious
diseases & microbiology - 1997,
Jo - Ann S. Harris - 1996:
. 40 - 60 % Viêm phổi ở trẻ dưới 5 tuổi
không xác định được TNGB dù thực
hiện nhiều XN chẩn đoán (cấy máu,
chọc phổi, LBA, test ELISA,…)
Điều trị theo kinh nghiệm
* Canadian experts in infectious diseases &
microbiology-1997, Jo-Ann S. Harris-1996:
Lựa chọn KS ban đầu dựa trên :
. Tần suất mắc bệnh theo tuổi.
. Tình hình kháng thuốc tại địa phương
. Biểu hiện lâm sàng
. Dữ kiện dịch tễ học
TUỔI: yếu tố tốt nhất để dự đoán nguyên
nhân gây Viêm phổi
NGUYÊN TẮC LỰA CHỌN
KHÁNG SINH THEO KINH NGHIỆM
1. Hoàn cảnh mắc bệnh: VPCĐ / VP BV
2. Tuổi bệnh nhân
3. Tình trạng miễn dịch
4. Theo mức độ nặng của bệnh
Các nước đang phát triển
- VP do virus thường kết hợp với VP do
VT (Yếu tố nguy cơ)
- Khó phân biệt VP Virus / VT
- Tỷ lệ tử vong do VP cao ở các nước
đang phát triển.
WHO: VP = VP do vi trùng
VK GRAM (-)
ÑR
SÔ SINH
VIEÂM PHOÅI RAÁT NAËNG
PNE
HI
VKKÑH
3 tuoåi
MACROLIDES
BETA-LACTAM
AMOXICILLINE
 Kendig’s Disorders of respiratory tract
in children-2012
 BTS 2011(Anh) – IDSA 2012 (Hoa Kỳ):
Amoxicillin vẫn là thuốc lựa chọn
hàng đầu trong
Viêm phổi mức độ nhẹ đến vừa.
KS khuyến cáo ban đầu: Amoxicillin
Thuốc thay thế: Co-amoxiclav,
Cefuroxime, Cefaclor, Erythromycin,
Azithromycin, Clarithromycin
Có thể cho thêm Macrolides ở bất
cứ tuổi nào nếu:
 Không đáp ứng ĐT ban đầu
 Nghi VP do Mycoplasma,
Chlamydia
 Bệnh rất nặng
2012
KHÁNG SINH UỐNG ĐT VP
Dùng cho các trường hợp viêm phổi nặng
có biến chứng hoặc có dấu hiệu của nhiễm
trùng huyết hoặc không dung nạp hoặc có
vấn đề về hấp thu thuốc qua đường uống.
Ampicillin, Penicillin
Cefotaxime, Ceftriaxone
Gentamycin (phối hợp).
Oxacillin+Gentamycin: VP nghi do S.aureus.
Chỉ dùng Vancomycin thay thế khi có bằng
chứng hoặc nghi ngờ S.aureus kháng Oxa.
KHÁNG SINH TIÊM
1. VIÊM PHỔI Ở TRẺ
DƯỚI 2 THÁNG TUỔI
 Mọi viêm phổi ở trẻ < 2 tháng đều nặng –
cần nhập viện
 VP sơ sinh = nhiễm khuẩn nặng
 Kháng sinh ban đầu:
Ampicilline + Gentamycine
 KS thay thế: Cefotaxime
 Vấn đề phối hợp:
Ampicilline + Cefotaxime + Gentamycine
2. VIÊM PHỔI Ở TRẺ
TỪ 2-59 THÁNG TUỔI
LƯU ĐỒ XỬ TRÍ VIÊM PHỔI
Ở TRẺ 2-59 TH TUỔI THEO TCYTTG
DH
nguy
hiểm
Viêm phổi rất nặng
• Nhập viện (Cấp cứu).
• KS: Ampi TM +Genta TB/C3G TM
Thở co
lõm
ngực
Viêm phổi nặng
• Nhập viện.
• KS: Penicilline G / Ampicilline TM
Thở
nhanh
Viêm phổi
• ĐT tại nhà - KS uống: Amoxicilline
ĐIỀU TRỊ NGỌAI TRÚ VIÊM PHỔI
Ở TRẺ 2 THÁNG – 59 THÁNG TUỔI
 Amoxicillin: lựa chọn hàng đầu
Liều lượng:
• Trước đây: 50mg/kg/ng chia 2 lần
• Hiện nay: 80-90mg/kg/ng
 ĐT thay thế:
- Amoxicillin / Acid Clavulanic
- C2G uống: Cefaclor, Cefuroxime
- Macrolides: Erythromycin, Clarithromycin,
Azithromycin
ĐIỀU TRỊ NỘI TRÚ VIÊM PHỔI
Ở TRẺ 2 THÁNG – 59 THÁNG TUỔI
Penicillin G 50.000 UI/kg/6 giờ (TM), hoặc
Ampicillin 50 mg/kg/6 giờ (TM): không
SHH nặng, không biến chứng, không có
dấu hiệu nặng khác.
Penicilline G/Ampicilline + Gentamycine:
VPRN, VPN-VPRN/trẻ HIV.
ĐIỀU TRỊ NỘI TRÚ VIÊM PHỔI
Ở TRẺ 2 THÁNG – 59 THÁNG TUỔI
Cefotaxime 200mg/kg/ng, Ceftriaxone
80mg/kg/ng (TM): thất bại ĐT trên, SHH
nặng, sốc, có biến chứng, nghi NTH, nghi
VK kháng thuốc, VPN-VPRN/trẻ HIV.
Phối hợp Gentamycin.
Oxacillin+Gentamycin: VP nghi do S.aureus.
Chỉ dùng Vancomycin thay thế khi có bằng
chứng hoặc nghi ngờ S.aureus kháng Oxa.
3. ĐIỀU TRỊ VIÊM PHỔI
Ở TRẺ ≥ 5 TUỔI
 VP không điển hình (Mycoplasma/ Chlamydia
pneumoniae): nguyên nhân quan trọng.
 S. pneumoniae: nguyên nhân phổ biến nhất
của VP do vi trùng.
 H. influenza: ít gặp hơn.
 Lựa chọn kháng sinh ban đầu / viêm phổi
nhẹ đến vừa: nhằm vào S. pneumoniae &
Mycoplasma
VIÊM PHỔI Ở TRẺ ≥ 5 TUỔI
TUỔI NGUYÊN NHÂN KHÁNG SINH
> 5 tuổi S.pneumoniae
H.influenzae
M.pneumoniae
C.Pneumoniae
VP nhẹ - TB:
Erythromycin
hay Clarithro.
hay
Azithromycin
Nặng :
Macrolide +
C3G/C2G
PNE kháng PNC :
C3G hay Vanco
ĐIỀU TRỊ VIÊM PHỔI
Ở TRẺ ≥ 5 TUỔI
*Macrolide (erythromycin, clarithromycin,
azithromycin) hay Tetracycline (trẻ  8 tuổi):
KS lựa chọn ban đầu.
Erythromycine: 40mg/kg/ng chia 4 lần x 10ng
Clarithromycine: 15mg/kg/ng chia 2 lần x 10ng
Azithromycine: 10 mg/kg/ng (1 lần/ng) x 5ng
*Fluoroquinolones (Levofloxacine): ĐT thay thế
B / ÑIEÀU TRÒ
SUY HOÂ HAÁP
CHÆ ÑÒNH THÔÛ OXYGEN
Toát nhaát döïa treân SpO2 :
- Thôû oxygen khi SpO2 < 90%
- Muïc tieâu : Tröôùc ñaây: SpO2 = 90 – 95 %
Hieän nay : SpO2 = 92 – 96 %
- Ngöng oxy khi :
LS caûi thieän , oån ñònh
SpO2 > 92 %
CHÆ ÑÒNH THÔÛ OXYGEN
CHÆ ÑÒNH DÖÏA TREÂN LAÂM SAØNG ( WHO ) :
 Chæ ñònh tuyeät ñoái :
1. Tím taùi trung öông
2. Li bì – khoù ñaùnh thöùc
 Chæ ñònh töông ñoái :
3. Thôû nhanh > 70 laàn / phuùt
4. Thôû co loõm ngöïc naëng
5. Ñaàu gaät guø theo nhòp thôû
6. Reân ró
7. Vaät vaõ kích thích – Naèm yeân sau khi thôû oxygen
C /CUNG CAÁP ÑUÛ NÖÔÙC – ÑIEÄN
GIAÛI – DINH DÖÔÕNG
- Tieáp tuïc cho aên uoáng , buù . Caân haøng ngaøy .
- Chæ ñònh nuoâi aên qua sonde daï daøy :
Thôû nhanh treân 70 – 80 laàn / phuùt
Noân oùi lieân tuïc neáu aên uoáng baèng ñöôøng mieäng
Khi treû aên uoáng / buù : SpO2 giaûm < 90% duø coù
thôû Oxygen
Keùm phoái hôïp caùc ñoäng taùc nuùt – nuoát – hoâ haáp
Taêng roõ reät coâng hoâ haáp khi aên uoáng / buù
- Chæ ñònh truyeàn dòch - nuoâi aên baèng ñöôøng tónh maïch :
Khi coù maát nöôùc
Khi nuoâi aên baèng ñöôøng tieâu hoùa chæ coù theå cung caáp
ñöôïc khoâng quaù 80 ml/kg/ngaøy
Löu yù hoäi chöùng taêng tieát ADH khoâng thích hôïp
( khi coù: giôùi haïn cung caáp = 2/3 nhu caàu caên baûn )
IV. CHIEÁN LÖÔÏC
PHOØNG NGÖØA
VIEÂM PHOÅI
CAÙC YEÁU TOÁ NGUY CÔ AÛNH HÖÔÛNG ÑEÁN
TAÀN SUAÁT VIEÂM PHOÅI TREÛ EM ÔÛ COÄNG
ÑOÀNG TAÏI CAÙC NÖÔÙC ÑANG PHAÙT TRIEÅN Â
 YEÁU TOÁ CHAÉC CHAÉN:
Suy dinh döôõng ( CN / tuoåi < –2SD )
CNLS thaáp (≤ 2500 g)
Khoâng buù söõa meï hoaøn toaøn ( trong 4 thaùng ñaàu )
Khoâng chuûng ngöøa sôûi ( trong voøng 12 thaùng ñaàu )
OÂ nhieãm khoâng khí trong nhaø
Ñoâng ñuùc
 YEÁU TOÁ NHIEÀU KHAÛ NAÊNG:
Cha meï huùt thuoác laù
Thieáu keõm
Meï / ngöôøi chaêm soùc thieáu kinh nghieäm
Beänh phoái hôïp ( tieâu chaûy, beänh tim, suyeãn )
Epidemiology and etiology of childhood pneumonia
Igor Rudan, Cynthia Boschi-Pinto, Zrinka Biloglav, Kim Mulholland, Harry Campbell. Volume 86, Number 5, May 2008, 408-416
CAÙC YEÁU TOÁ NGUY CÔ AÛNH HÖÔÛNG ÑEÁN
TAÀN SUAÁT VIEÂM PHOÅI TREÛ EM ÔÛ COÄNG
ÑOÀNG TAÏI CAÙC NÖÔÙC ÑANG PHAÙT TRIEÅN Â
 YEÁU TOÁ COÙ THEÅ:
Trình ñoä hoïc vaán cuûa baø meï
Soáng ôû cô sôû chaêm soùc ban ngaøy
Muøa möa ( ñoä aåm )
Vuøng cao ( khoâng khí laïnh )
Thieáu Vitamin A
Sinh theo yeâu caàu
OÂ nhieãm khoâng khí beân ngoaøi nhaø
Epidemiology and etiology of childhood pneumonia
Igor Rudan, Cynthia Boschi-Pinto, Zrinka Biloglav, Kim Mulholland, Harry Campbell. Volume 86, Number 5, May 2008, 408-416
CHUÛNG NGÖØA
Sôûi, ho gaø
H. influenzae typ B
Pheá caàu: polysaccharide (> 2 tuổi)
liên hợp
(Non-typeable H. influenzae)
PHÒNG NGỪA VIÊM PHỔI Ở TRẺ EM
BÚ SỮA MẸ HOÀN
TOÀN TRONG 6 THÁNG
ĐẦU LÀM GIẢM
VIÊM PHỔI Ở
TRẺ EM
BIỆN PHÁP HIỆU QUẢ,
KHÔNG ĐẮT TIỀN ĐỂ
ĐIỀU TRỊ VIÊM PHỔI
… LÀ
KHÁNG SINH
CHỦNG NGỪA
HIB VÀ PHẾ CẦU
LÀM GIẢM
VIÊM PHỔI
SỬ DỤNG
BẾP SẠCH
LÀM
GIẢM…
NGUY CƠ
VIÊM PHỔI
Ở TRẺ EM
V. KẾT LUẬN

VIÊM PHỔI

  • 1.
    VIÊM PHỔI TS BSTRẦN ANH TUẤN TK HÔ HẤP BV NHI ĐỒNG I
  • 2.
    NỘI DUNG 1. Đạicương 2. Chẩn đoán 3. Điều trị 4. Phòng ngừa 5. Kết luận
  • 3.
    MỤC TIÊU 1. Trìnhbày được phân loại viêm phổi 2. Trình bày được cách đánh giá, phân loại VP ở trẻ dưới 5 tuổi theo TCYTTG 3. Trình bày được các khuyến cáo trong chẩn đoán VP: LS, CLS, Xquang 4. Nêu được nguyên tắc điều trị viêm phổi
  • 4.
  • 5.
    LỊCH SỬ Hippocrates (460BC–380 BC): ngöôøi ñaàu tieân moâ taû trieäu chöùng vieâm phoåi ñiển hình: Soát, ñau ngöïc khi thôû ra, ho, khaïc ñaøm, ñaøm coù maøu vaøng hay xaùm, loaõng, coù boït, hay coù maøu, khoù thôû …
  • 6.
    LỊCH SỬ  Laenec:phaùt minh oáng nghe – 1815  Phaùt minh ra X-quang (1895): Xquang ngöïc thöôøng quy trong ñaùnh giaù vieâm phoåi khi coù daáu hieäu gôïi yù. Beänh nhaân coù soát, ho, ôùn laïnh, khaïc ñaøm maøu ró seùt vaø coù daáu hieäu nghe phoåi & Xquang gôïi yù vieâm phoåi ñöôïc xem laø vieâm phoåi ñieån hình.
  • 7.
    Định nghĩa VP làbệnh lý viêm của phổi do tác nhân nhiễm trùng làm kích thích các phản ứng gây tổn hại nhu mô phổi.
  • 8.
    Phân loại theogiải phẩu Viêm phổi thuỳ Viêm phế quản phổi Viêm phổi kẽ VP có biến chứng – Viêm mủ màng phổi – Abcès phổi
  • 13.
    Phân loại theobệnh cảnh lâm sàng VP điển hình: diễn tiến cấp tính với sốt cao, rét run, đau ngực, ho có đàm. Xquang phổi: có hình ảnh VP thuỳ. Điển hình: VP do phế cầu. VP không điển hình: khởi phát từ từ (nhiều ngày, vài tuần), sốt nhẹ, ho khan, nhức đầu, mệt mõi. Xquang phổi không có hình ảnh VP thuỳ điển hình, nhuộm gram đàm âm tính, kém đáp ứng với điều trị kháng sinh họ penicillin. Thường do M. pneumoniae, C. pneumoniae, Legionella pneumophila.
  • 14.
    Phân loại theohoàn cảnh mắc bệnh VP cộng đồng VP bệnh viện (Hospital-acquired pneumonia – HAP): VP xuất hiện từ sau 48 giờ nhập viện (nhưng không phải trong giai đoạn ủ bệnh lúc nhập viện). VP ở bệnh nhân thở máy (ventilator- associated pneumonia –VAP) Lưu ý: ATS 2016: HAP không bao gồm VP liên quan đến chăm sóc y tế (healthcare- associated pneumonia - HCAP)
  • 15.
    HCAP & HAP Có nhiều bằng chứng là BN HCAP không có nguy cơ cao nhiễm TNGB MDR dù tiếp xúc với hệ thống chăm sóc y tế có khả năng này.  Yếu tố nguy cơ độc lập quan trọng của nhiễm TNGB MDR: đặc điểm cơ bản, bệnh lý nền của BN.  Nên dựa trên các yếu tố nguy cơ nhiễm TNGB MDR được xác nhận, không dựa trên việc có liên quan với chăm sóc y tế.  ATS/IDSA 2016: trong hướng dẫn HAP/VAP không nên bao gồm HCAP.
  • 16.
  • 17.
    TÁC NHÂN GÂYBỆNH THEO TUỔI
  • 18.
    Các nước đangphát triển - VP do virus thường kết hợp với VP do VT (Yếu tố nguy cơ) - Khó phân biệt VP Virus / VT - Tỷ lệ tử vong do VP cao ở các nước đang phát triển. WHO: VP = VP do vi trùng
  • 19.
    VIEÂM PHOÅI  TheoTCYTTG-2006: Hơn 1,5 trieäu treû döôùi 5 tuoåi cheát vì vieâm phoåi / naêm Khoaûng 4.300 töû vong moãi ngaøy Moãi 20 giaây - 1 treû töû vong do vieâm phoåi UNICEF. Pneumonia: The forgotten killer. 2006. pp 34–37. Available at: www.unicef.org/publications/files/Pneumonia_The_Forgotten_Killer_of_Children.pdf (accessed Mar 2008).
  • 20.
    15 quoác giacoù soá cas vieâm phoåi cao nhaát (05/2008) QUOÁC GIA ÖÔÙC TÍNH SOÁá CA VP MÔÙI (TRIEÄU) TAÀN SUAÁT VP ( ÑÔÏT / TREÛ / NAÊM ) India 43.0 0.37 China 21.1 0.22 Pakistan 9.8 0.41 Bangladesh 6.4 0.41 Nigeria 6.1 0.34 Indonesia 6.0 0.28 Ethiopia 3.9 0.35 Democratic Republic of the Congo 3.9 0.39 Viet Nam 2.9 0.35 Philippines 2.7 0.27 Sudan 2.0 0.48 Afghanistan 2.0 0.45 United Republic of Tanzania 1.9 0.33 Myanmar 1.8 0.43 Brazil 1.8 0.11
  • 21.
    UNICEF, September 2012 PHÂNBỐ TỬ VONG Ở TRẺ DƯỚI 5 TUỔI, 2010 2011: Tử vong < 5 tuổi: 6.9 triệu
  • 22.
    Epidemiology and etiologyof childhood pneumonia Igor Rudan, Cynthia Boschi-Pinto, Zrinka Biloglav, Kim Mulholland, Harry Campbell Volume 86, Number 5, May 2008, 408-416 Incidence of childhood clinical pneumonia at the country level
  • 23.
    15 quốc giacó số tử vong do VP cao nhất (05/2008) Country Predicted no. of deaths (thousands) Estimated mortality rates(per 10 000 under-five population) India 408 32.2 Nigeria 204 84.7 Democratic Republic of the Congo 126 110.1 Ethiopia 112 84.6 Pakistan 91 48.1 Afghanistan 87 185.9 China 74 8.6 Bangladesh 50 26.6 Angola 47 157.1 Niger 46 173.9 Uganda 38 67.6 United Republic of Tanzania 36 52.6 Mali 32 147.8 Kenya 30 50.3 Burkina Faso 25 99.4
  • 24.
    TÁC ĐỘNG CỦAVIÊM PHỖI VỚI TRẺ EM VIÊM PHỔI GIẾT CHẾT TRẺ EM NHIỀU HƠN BẤT CỨ BỆNH NÀO Ở MỌI NƠI TRÊN THẾ GIỚI Chỉ có … TRẺ BỊ VIÊM PHỔI được chăm sóc y tế tốt ở các nước đang phát triển Trong số 8,8 triệu trẻ chết trong năm 2008,1/5 là do VIÊM PHỔI
  • 25.
    II / CHẨNĐOÁN 1 . Chaån ñoaùn xaùc ñònh vieâm phoåi 2 . Ñaùnh giaù möùc ñoä naëng 3 . Chaån ñoaùn nguyeân nhaân 4 . Beänh neàn phoái hôïp 5 . Phaùt hieän bieán chöùng
  • 26.
    A/ CHẨN ĐOÁNVIÊM PHỔI
  • 27.
     Thở nhanh Thở co lõm lồng ngực 2 TRIỆU CHỨNG “CHÌA KHÓA“ (KEY SIGNS)
  • 28.
    Thở nhanh : Dấuhiệu nhạy cảm nhất của VP * Ngưỡng thở nhanh : . < 2 tháng tuổi: 60 lần/phút. . 2 - 11 tháng tuổi: 50 lần/phút. . 12 th – 59 tháng tuổi: 40 lần/phút.
  • 29.
    NHỊP THỞ BÌNHTHƯỜNG CỦA TRẺ THEO ĐỘ TUỔI THỨC NGỦ 5 T12 TH2 TH 60 50 40 LẦN/PH NGƯỠNG THỞ NHANH
  • 32.
    Co lõm lồngngực: Dấu hiệu đặc hiệu nhất của VP nặng - Định nghĩa: phần dưới lồng ngực lõm vào khi trẻ hít vào. * Không phải là rút lõm phần mềm giữa các xương sườn hoặc vùng trên xương sườn.
  • 34.
    THỞ CO LÕMLỒNG NGỰC
  • 35.
    THỞ CO LÕMLỒNG NGỰC Trẻ < 2 tháng : CLLN nặng mới có giá trị Trẻ > 2 tháng : CLLN nhẹ cũng có giá trị
  • 36.
    THỞ CO KÉOKHOẢNG LIỀN SƯỜN
  • 38.
  • 39.
    XÉT NGHIỆM CẬNLÂM SÀNG Công thức máu VS Các dấu chỉ điểm phản ứng viêm cấp: CRP, Procalcitonin (PCT),... Không giúp phân biệt VP do virus/vi trùng Không chỉ định thường quy, nhất là ở BN ngoại trú
  • 40.
    PCT <0,25 ng/mL: no antibiotics PCT ≥0,25 ng/mL : antibiotics
  • 41.
    X QUANG PHỔI Heulitt(1988): Xquang có: Độ nhạy cảm: 45 % Độ đặc hiệu: 92 %
  • 42.
    X QUANG PHỔI Xquang: dấu hiệu chỉ điểm kém cho nguyên nhân VP • Không có hình ảnh Xquang đặc hiệu cho VP do virus, TN không điển hình • Không thể giúp phân biệt VP do VT hay do virus • VP thùy/Xquang: giá trị cao cho VP vi trùng nếu kèm sốt cao (39oC), BC tăng (>20.000/mm3) (Spec=74%)
  • 43.
    XQ NGỰC Không khuyếncáo chỉ định thường quy ở BN ngoại trú. Cần được chỉ định khi: – VP nặng cần nhập viện – VP kém đáp ứng với điều trị ban đầu theo kinh nghiệm – Có biểu hiện lâm sàng không rõ ràng – Nghi ngờ có biến chứng (tràn dịch, tràn khí màng phổi, …) – Cần chẩn đoán phân biệt.
  • 44.
    X QUANG PHOÅI *Khi naøo caàn chuïp Xquang phoåi ? - BN < 5t soát > 39oC , BC> 20.000 , khoâng coù daáu hieäu LS chæ ñieåm /VP : 25 % coù VP / Xquang Khuyeán caùo chuïp Xquang phoåi ôû treû <5tuoåi – soát 39oC khoâng roõ nguyeân nhaân . * Khuyeán caùo chuïp X quang phoåi : Nghi VP nhöng daáu hieäu thaêm khaùm khoâng roõ raøng Nghi ngôø coù bieán chöùng ( TM-TKMP, … ) VP keùo daøi / keùm ñaùp öùng ÑT KS
  • 45.
    Chụp Xquang ngựccắt lớp (CT) Niều lợi điểm hơn Xquang quy ước trong đánh giá tổn thương nhu mô phổi và phân biệt với các bất thường trong lồng ngực khác đặc biệt khi có thể có nhiều hình ảnh tổn thương chồng lên nhau, tổn thương lan rộng nhiều vị trí giải phẩu (nhu mô phổi, màng phổi, trung thất). Chỉ chỉ định CT ngực khi cần chẩn đoán phân biệt, đánh giá biến chứng.
  • 46.
    XN VI SINHHỌC  Chọc phổi: tiêu chuẩn vàng vấn đề thực hiện trên thực tế  Dịch tiết đường hô hấp: NTA (Nasotracheal aspiration): giá trị tham khảo / tác nhân vi trùng Phết mũi, phết mũi họng, hút dịch tị hầu: virus Rửa PQ-PN (LBA) Hút dịch qua NKQ  Cấy máu  Huyết thanh chẩn đoán
  • 47.
  • 49.
    ICU : ≥1major or ≥ 2 minor criteria
  • 50.
    PHÂN LOẠI VIÊMPHỔI Ở TRẺ 2 – 59 THÁNG (WHO) PHÂN LOẠI TC LÂM SÀNG VIÊM PHỔI Không có DH NH Không co lõm lồng ngực Thở nhanh VIÊM PHỔI NẶNG Không có DH NH Thở co lõm lồng ngực VIÊM PHỔI RẤT NẶNG Tím tái trung ương Không uống được Li bì – khó đánh thức DH suy hô hấp nặng khác
  • 51.
    III . ÑIEÀUTRÒ VIEÂM PHOÅI
  • 52.
    ÑIEÀU TRÒ VIEÂMPHOÅI  Choáng nhieãm truøng : Khaùng sinh  Choáng suy hoâ haáp : Oxygen, NCPAP, thôû maùy  Dinh döôõng  Ñieàu trò caùc TC ñi keøm : soát, khoø kheø , …  Ñieàu trò bieán chöùng
  • 53.
    A. KHÁNG SINH ĐIỀUTRỊ VIÊM PHỔI Chọn lựa KS • Theo tác nhân gây bệnh được xác định • Theo kinh nghiệm ĐIỀU TRỊ VIÊM PHỔI = ĐIỀU TRỊ THEO KINH NGHIỆM
  • 54.
    *Canadian experts ininfectious diseases & microbiology - 1997, Jo - Ann S. Harris - 1996: . 40 - 60 % Viêm phổi ở trẻ dưới 5 tuổi không xác định được TNGB dù thực hiện nhiều XN chẩn đoán (cấy máu, chọc phổi, LBA, test ELISA,…)
  • 55.
    Điều trị theokinh nghiệm * Canadian experts in infectious diseases & microbiology-1997, Jo-Ann S. Harris-1996: Lựa chọn KS ban đầu dựa trên : . Tần suất mắc bệnh theo tuổi. . Tình hình kháng thuốc tại địa phương . Biểu hiện lâm sàng . Dữ kiện dịch tễ học TUỔI: yếu tố tốt nhất để dự đoán nguyên nhân gây Viêm phổi
  • 56.
    NGUYÊN TẮC LỰACHỌN KHÁNG SINH THEO KINH NGHIỆM 1. Hoàn cảnh mắc bệnh: VPCĐ / VP BV 2. Tuổi bệnh nhân 3. Tình trạng miễn dịch 4. Theo mức độ nặng của bệnh
  • 57.
    Các nước đangphát triển - VP do virus thường kết hợp với VP do VT (Yếu tố nguy cơ) - Khó phân biệt VP Virus / VT - Tỷ lệ tử vong do VP cao ở các nước đang phát triển. WHO: VP = VP do vi trùng
  • 58.
    VK GRAM (-) ÑR SÔSINH VIEÂM PHOÅI RAÁT NAËNG PNE HI VKKÑH 3 tuoåi MACROLIDES BETA-LACTAM
  • 59.
    AMOXICILLINE  Kendig’s Disordersof respiratory tract in children-2012  BTS 2011(Anh) – IDSA 2012 (Hoa Kỳ): Amoxicillin vẫn là thuốc lựa chọn hàng đầu trong Viêm phổi mức độ nhẹ đến vừa.
  • 60.
    KS khuyến cáoban đầu: Amoxicillin Thuốc thay thế: Co-amoxiclav, Cefuroxime, Cefaclor, Erythromycin, Azithromycin, Clarithromycin Có thể cho thêm Macrolides ở bất cứ tuổi nào nếu:  Không đáp ứng ĐT ban đầu  Nghi VP do Mycoplasma, Chlamydia  Bệnh rất nặng 2012 KHÁNG SINH UỐNG ĐT VP
  • 61.
    Dùng cho cáctrường hợp viêm phổi nặng có biến chứng hoặc có dấu hiệu của nhiễm trùng huyết hoặc không dung nạp hoặc có vấn đề về hấp thu thuốc qua đường uống. Ampicillin, Penicillin Cefotaxime, Ceftriaxone Gentamycin (phối hợp). Oxacillin+Gentamycin: VP nghi do S.aureus. Chỉ dùng Vancomycin thay thế khi có bằng chứng hoặc nghi ngờ S.aureus kháng Oxa. KHÁNG SINH TIÊM
  • 62.
    1. VIÊM PHỔIỞ TRẺ DƯỚI 2 THÁNG TUỔI  Mọi viêm phổi ở trẻ < 2 tháng đều nặng – cần nhập viện  VP sơ sinh = nhiễm khuẩn nặng  Kháng sinh ban đầu: Ampicilline + Gentamycine  KS thay thế: Cefotaxime  Vấn đề phối hợp: Ampicilline + Cefotaxime + Gentamycine
  • 63.
    2. VIÊM PHỔIỞ TRẺ TỪ 2-59 THÁNG TUỔI
  • 64.
    LƯU ĐỒ XỬTRÍ VIÊM PHỔI Ở TRẺ 2-59 TH TUỔI THEO TCYTTG DH nguy hiểm Viêm phổi rất nặng • Nhập viện (Cấp cứu). • KS: Ampi TM +Genta TB/C3G TM Thở co lõm ngực Viêm phổi nặng • Nhập viện. • KS: Penicilline G / Ampicilline TM Thở nhanh Viêm phổi • ĐT tại nhà - KS uống: Amoxicilline
  • 65.
    ĐIỀU TRỊ NGỌAITRÚ VIÊM PHỔI Ở TRẺ 2 THÁNG – 59 THÁNG TUỔI  Amoxicillin: lựa chọn hàng đầu Liều lượng: • Trước đây: 50mg/kg/ng chia 2 lần • Hiện nay: 80-90mg/kg/ng  ĐT thay thế: - Amoxicillin / Acid Clavulanic - C2G uống: Cefaclor, Cefuroxime - Macrolides: Erythromycin, Clarithromycin, Azithromycin
  • 66.
    ĐIỀU TRỊ NỘITRÚ VIÊM PHỔI Ở TRẺ 2 THÁNG – 59 THÁNG TUỔI Penicillin G 50.000 UI/kg/6 giờ (TM), hoặc Ampicillin 50 mg/kg/6 giờ (TM): không SHH nặng, không biến chứng, không có dấu hiệu nặng khác. Penicilline G/Ampicilline + Gentamycine: VPRN, VPN-VPRN/trẻ HIV.
  • 67.
    ĐIỀU TRỊ NỘITRÚ VIÊM PHỔI Ở TRẺ 2 THÁNG – 59 THÁNG TUỔI Cefotaxime 200mg/kg/ng, Ceftriaxone 80mg/kg/ng (TM): thất bại ĐT trên, SHH nặng, sốc, có biến chứng, nghi NTH, nghi VK kháng thuốc, VPN-VPRN/trẻ HIV. Phối hợp Gentamycin. Oxacillin+Gentamycin: VP nghi do S.aureus. Chỉ dùng Vancomycin thay thế khi có bằng chứng hoặc nghi ngờ S.aureus kháng Oxa.
  • 68.
    3. ĐIỀU TRỊVIÊM PHỔI Ở TRẺ ≥ 5 TUỔI  VP không điển hình (Mycoplasma/ Chlamydia pneumoniae): nguyên nhân quan trọng.  S. pneumoniae: nguyên nhân phổ biến nhất của VP do vi trùng.  H. influenza: ít gặp hơn.  Lựa chọn kháng sinh ban đầu / viêm phổi nhẹ đến vừa: nhằm vào S. pneumoniae & Mycoplasma
  • 69.
    VIÊM PHỔI ỞTRẺ ≥ 5 TUỔI TUỔI NGUYÊN NHÂN KHÁNG SINH > 5 tuổi S.pneumoniae H.influenzae M.pneumoniae C.Pneumoniae VP nhẹ - TB: Erythromycin hay Clarithro. hay Azithromycin Nặng : Macrolide + C3G/C2G PNE kháng PNC : C3G hay Vanco
  • 70.
    ĐIỀU TRỊ VIÊMPHỔI Ở TRẺ ≥ 5 TUỔI *Macrolide (erythromycin, clarithromycin, azithromycin) hay Tetracycline (trẻ  8 tuổi): KS lựa chọn ban đầu. Erythromycine: 40mg/kg/ng chia 4 lần x 10ng Clarithromycine: 15mg/kg/ng chia 2 lần x 10ng Azithromycine: 10 mg/kg/ng (1 lần/ng) x 5ng *Fluoroquinolones (Levofloxacine): ĐT thay thế
  • 71.
    B / ÑIEÀUTRÒ SUY HOÂ HAÁP
  • 72.
    CHÆ ÑÒNH THÔÛOXYGEN Toát nhaát döïa treân SpO2 : - Thôû oxygen khi SpO2 < 90% - Muïc tieâu : Tröôùc ñaây: SpO2 = 90 – 95 % Hieän nay : SpO2 = 92 – 96 % - Ngöng oxy khi : LS caûi thieän , oån ñònh SpO2 > 92 %
  • 73.
    CHÆ ÑÒNH THÔÛOXYGEN CHÆ ÑÒNH DÖÏA TREÂN LAÂM SAØNG ( WHO ) :  Chæ ñònh tuyeät ñoái : 1. Tím taùi trung öông 2. Li bì – khoù ñaùnh thöùc  Chæ ñònh töông ñoái : 3. Thôû nhanh > 70 laàn / phuùt 4. Thôû co loõm ngöïc naëng 5. Ñaàu gaät guø theo nhòp thôû 6. Reân ró 7. Vaät vaõ kích thích – Naèm yeân sau khi thôû oxygen
  • 74.
    C /CUNG CAÁPÑUÛ NÖÔÙC – ÑIEÄN GIAÛI – DINH DÖÔÕNG - Tieáp tuïc cho aên uoáng , buù . Caân haøng ngaøy . - Chæ ñònh nuoâi aên qua sonde daï daøy : Thôû nhanh treân 70 – 80 laàn / phuùt Noân oùi lieân tuïc neáu aên uoáng baèng ñöôøng mieäng Khi treû aên uoáng / buù : SpO2 giaûm < 90% duø coù thôû Oxygen Keùm phoái hôïp caùc ñoäng taùc nuùt – nuoát – hoâ haáp Taêng roõ reät coâng hoâ haáp khi aên uoáng / buù
  • 75.
    - Chæ ñònhtruyeàn dòch - nuoâi aên baèng ñöôøng tónh maïch : Khi coù maát nöôùc Khi nuoâi aên baèng ñöôøng tieâu hoùa chæ coù theå cung caáp ñöôïc khoâng quaù 80 ml/kg/ngaøy Löu yù hoäi chöùng taêng tieát ADH khoâng thích hôïp ( khi coù: giôùi haïn cung caáp = 2/3 nhu caàu caên baûn )
  • 76.
    IV. CHIEÁN LÖÔÏC PHOØNGNGÖØA VIEÂM PHOÅI
  • 77.
    CAÙC YEÁU TOÁNGUY CÔ AÛNH HÖÔÛNG ÑEÁN TAÀN SUAÁT VIEÂM PHOÅI TREÛ EM ÔÛ COÄNG ÑOÀNG TAÏI CAÙC NÖÔÙC ÑANG PHAÙT TRIEÅN Â  YEÁU TOÁ CHAÉC CHAÉN: Suy dinh döôõng ( CN / tuoåi < –2SD ) CNLS thaáp (≤ 2500 g) Khoâng buù söõa meï hoaøn toaøn ( trong 4 thaùng ñaàu ) Khoâng chuûng ngöøa sôûi ( trong voøng 12 thaùng ñaàu ) OÂ nhieãm khoâng khí trong nhaø Ñoâng ñuùc  YEÁU TOÁ NHIEÀU KHAÛ NAÊNG: Cha meï huùt thuoác laù Thieáu keõm Meï / ngöôøi chaêm soùc thieáu kinh nghieäm Beänh phoái hôïp ( tieâu chaûy, beänh tim, suyeãn ) Epidemiology and etiology of childhood pneumonia Igor Rudan, Cynthia Boschi-Pinto, Zrinka Biloglav, Kim Mulholland, Harry Campbell. Volume 86, Number 5, May 2008, 408-416
  • 78.
    CAÙC YEÁU TOÁNGUY CÔ AÛNH HÖÔÛNG ÑEÁN TAÀN SUAÁT VIEÂM PHOÅI TREÛ EM ÔÛ COÄNG ÑOÀNG TAÏI CAÙC NÖÔÙC ÑANG PHAÙT TRIEÅN Â  YEÁU TOÁ COÙ THEÅ: Trình ñoä hoïc vaán cuûa baø meï Soáng ôû cô sôû chaêm soùc ban ngaøy Muøa möa ( ñoä aåm ) Vuøng cao ( khoâng khí laïnh ) Thieáu Vitamin A Sinh theo yeâu caàu OÂ nhieãm khoâng khí beân ngoaøi nhaø Epidemiology and etiology of childhood pneumonia Igor Rudan, Cynthia Boschi-Pinto, Zrinka Biloglav, Kim Mulholland, Harry Campbell. Volume 86, Number 5, May 2008, 408-416
  • 79.
    CHUÛNG NGÖØA Sôûi, hogaø H. influenzae typ B Pheá caàu: polysaccharide (> 2 tuổi) liên hợp (Non-typeable H. influenzae)
  • 80.
    PHÒNG NGỪA VIÊMPHỔI Ở TRẺ EM BÚ SỮA MẸ HOÀN TOÀN TRONG 6 THÁNG ĐẦU LÀM GIẢM VIÊM PHỔI Ở TRẺ EM BIỆN PHÁP HIỆU QUẢ, KHÔNG ĐẮT TIỀN ĐỂ ĐIỀU TRỊ VIÊM PHỔI … LÀ KHÁNG SINH CHỦNG NGỪA HIB VÀ PHẾ CẦU LÀM GIẢM VIÊM PHỔI SỬ DỤNG BẾP SẠCH LÀM GIẢM… NGUY CƠ VIÊM PHỔI Ở TRẺ EM
  • 81.