CÁC HỘI CHỨNG HÔ HẤP THƢỜNG GẶP
GV: ThS.Bs. Nguyễn Thị Thu Sương
BM Nhi
MỤC TIÊU
• Nhận biết triệu chứng của một số hội chứng thường gặp
trong bệnh lý hô hấp trẻ em
• Phân biệt hình ảnh các hội chứng hô hấp trên phim XQ
ngực
• Một số nguyên nhân bệnh lý có liên quan
TRÀN DỊCH MÀNG PHỔI
• Ở màng phổi: khoang ảo.
• Bình thường ít thanh dịch -> lá thành và lá tạng trượt lên
nhau trong động tác hô hấp.
• Bệnh lý -> xuất hiện các dịch trong khoảng ảo đó-> gọi
là hội chứng tràn dịch mp.
TRÀN DỊCH MÀNG PHỔI
TRIỆU CHỨNG.
1. Cơ năng và toàn thể.
• -Khi dịch ít, khoảng 200 – 300 ml, người bệnh hơi đau
bên có tràn dịch, không khó thở, vẫn nằm ngửa, đầu thấp
được, nhưng có khuynh hướng nằm nghiêng về bên lành
để tránh đau .
• Trung bình -> 700-800ml, thì có khó thở nhẹ, và người
bệnh phải nằm nghiêng về bên đau.
• Nhiều -> tình trạng khó thở nổi bật, người bệnh phải
ngồi dậy thở nhanh, nông.
• Bên cạnh những triệu chứng cơ năng có thể thấy sốt ít
hoặc nhiều, mệt mỏi, tiếng ăn,v.v…
TRÀN DỊCH MÀNG PHỔI
Triệu chứng thực thể.
• Trường hợp điển hình là tràn dịch màng phổi tự do,
thể trung bình.
- Nhìn: lồng ngực bên có tràn dịch hơi nhô lên, khoảng liên
sườn rộng ra và kém di động.
- Sờ: rung thanh giảm nhiều hoặc mất.
- Gõ: đục rõ rệt
TRÀN DỊCH MÀNG PHỔI
Nghe:
• Rì rào phế nang giảm nhiều hoặc mất hẳn ở vùng đục.
• Có thể nghe tiếng cọ màng phổi lúc bắt đầu và giai đoạn
rút nhiều nước.
• Nếu tràn dịch ít và có đông đặc phổi, có thể nghe
thấy tiếng thổi màng phổi và một số tiếng ran ẩm
Tóm lại, có thể nghĩ tới tràn dịch màng phổi nếu có triệu
chứng chủ yếu.
• Rung thanh giảm hoặc mất.
• Gõ đục.
• Rì rào phế nang giảm hoặc mất.
TRÀN DỊCH MÀNG PHỔI
Các thể khu trú. Lâm sàng thường khó chẩn đoán
• Tràn dịch liên thuỳ: không gây khó thở rõ rệt, dịch khu trú
ở rãnh liên thuỳ. Có thể thấy hội chứng ba giảm lơ lửng ở
lồng ngực.
• Tràn dịch thể cơ hoành: dịch khu trú ở giữa nền phổi và
cơ hoành. Người bệnh có thể đau bụng, nấc. Không rõ
hội chứng ba giảm.
• Tràn dịch thể trung thất: dịch khu trú ở một phần, hoặc
toàn bộ góc phổi- trung thất. Người bệnh thường khó thở
nhiều. Có thể chú ý gõ thấy đục một vùng cạnh ức hoặc
cột sống.
TRÀN DỊCH MÀNG PHỔI
Xquang
• Tuỳ dịch nhiều hoặc ít sẽ thấy diện mờ lớn hoặc nhỏ
• Nếu dịch ít, lâm sàng có thể không phát hiện được,
nhưng trên Xquang thấy mờ góc sườn hoành
• Nếu dịch trung bình, có thể thấy đường cong Damoiseau.
• Nếu dịch nhiều: thấy nửa lồng ngực bị mờ, khoảng liên
sườn rộng ra, rất kém di động, tim bị đẩy sang trái hoặc
sang phải.
• Tràn dịch khu trú: có thể thấy được hình ảnh tràn dịch
trên Xquang bằng những hình mờ tương ứng với nơi tràn
dịch
TRÀN DỊCH MÀNG PHỔI
• Chọc dò dịch màng phổi
-> giúp chẩn đoán xác định, chẩn đoán nguyên nhân, và
điều trị đối với trường hợp khó thở do tràn dịch trung bình,
nhiều.
TRÀN DỊCH MÀNG PHỔI
Chẩn đoán xác định:
-> chọc màng phổi có dịch.
• phân biệt với:
• - Viêm phổi có biểu hiện ba giảm (xem hội chứng đông
đặc).
• - Xẹp phổi.
TRÀN KHÍ MÀNG PHỔI
TRIỆU CHỨNG CƠ NĂNG.
• đau lói ở ngực đột ngôt
• khó thở.
• Có thể sốc do chèn ép trung thất
TRÀN KHÍ MÀNG PHỔI
TRIỆU CHỨNG THỰC THỂ
• 1. Nhìn: nửa ngực bị tràn khí thì lồng ngực bất động,
khoảng liên sườn giãn ra, ngực bên đó cũng phình ra.
• 2. Sờ: Rung thanh mất.
• 3. Gõ: tiếng vang-> dấu hiệu điển hình
• 4. Nghe: triệu chứng chủ yếu là mất tiếng rì rào phế nang.
• Ba triệu chứng: Rung thanh mất hay giảm; Rì rào phế
nang mất; Tiếng gõ vang -> Hợp thành tam chứng
Galliard.
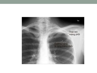
TRÀN KHÍ MÀNG PHỔI
XQUANG
• Tăng sáng bên có TKMP.
• Khoảng liên sườn giãn
• Phổi bị co lại thành một cục xẹp xuống sát rốn phổi.
• Cơ hoành không di động và bị đẩy xuống,
• Trung thất bị đẩy sang bên lành
TRÀN KHÍ MÀNG PHỔI
NGUYÊN NHÂN
• 1. Do lao: phần lớn (60%) tràn khí màng phổi tự phát là
do lao. Nó có thể là bệnh cảnh mở đầu một quá trình lao,
nhưng thường là biến chứng của một bệnh lao phổi tiến
triển.
• 2. không rõ nguyên nhân: thường xảy ra ở người trẻ,
khoẻ mạnh. Tràn khí toàn bộ một bên ổ màng phổi không
tiến triển thành một tràn dịch, hay tái phát, người ta cho
rằng có thể ;là do kén hơi ở phổi vỡ ra.
• 3. Các bệnh khác: Áp xe phổi vỡ ra ở màng phổi, ho gà…
HỘI CHỨNG ĐÔNG ĐẶC
HỘI CHỨNG ĐÔNG ĐẶC.
• Đông đặc phổi là một tình trạng bệnh lý ở nhu mô phổi có
thể phát hiện được trên lâm sàng và Xquang.
HỘI CHỨNG ĐÔNG ĐẶC
• ĐỊNH NGHĨA.
• Bình thường nhu mô phổi xốp. Trong một số trường hợp
bệnh lý, tỉ trọng của nhu mô phổi tăng lên ở một vùng lớn
hoặc nhỏ -> hội chứng đông đặc.
• Cơ chế hội chứng: khi nhu mô phổi bị viêm, các phế nang
vùng tổn thương xung huyết chứa đầy tiết dịch
->đặc và có tỷ trọng cao hơn bình thường.
HỘI CHỨNG ĐÔNG ĐẶC
TRƢỜNG HỢP ĐIỂN HÌNH
Các dấu hiệu thường gặp là:
• Rung thanh tăng.
• Gõ đục ít nhiều.
• Rì rào phế nang giảm.
• Rung thanh tăng vì nhu mô phổi đặc -> dẫn truyền tiếng
rung thanh âm xa hơn.
• Gõ đục vì phế nang chứa nhiều tiết dịch, ít không khí.
• Rì rào phế nang giảm vì các phế nang bị viêm, nay tiết
dịch nên luồng không khí lưu thông bị cản trở.
HỘI CHỨNG ĐÔNG ĐẶC
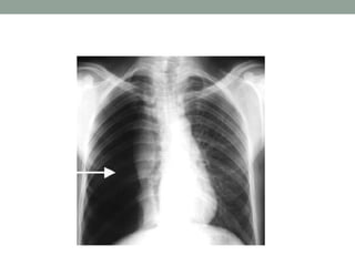
XQUANG
• Chủ yếu là những hình mờ chiếm một vùng hoặc rải rác
trên phế trường -> chiếm một phân thuỳ, hay một bên
phổi.
• Mật độ hình mờ có thể đều hoặc không đều, ranh giới rõ
rệt hoặc không.
• Ngoài ra còn phải quan sát các tạng lân cận: một hình mờ
lớn ở một bên phổi kèm theo co rút cơ hoành, trung thất
và các khoảng liên sườn -> đông đặc co rút.
• Nếu các tạng lân cận bị đẩy -> đó là tràn dịch màng phổi.
Viêm phổi thùy
Áp xe phổi
Xẹp phổi
Xẹp phổi
HỘI CHỨNG ĐÔNG ĐẶC
NGUYÊN NHÂN
• viêm phổi không do lao: điển hình viêm phổi thùy
• áp xe phổi
• lao phổi
• nhồi máu động mạch phổi
• chén ép phế quản do hạch to, khối u…
HỘI CHỨNG ĐÔNG ĐẶC
1. viêm phổi không do lao: viêm phổi thuỳ cấp do phế
cầu thường gay ra hội chứng đông đặc điển hình
HỘI CHỨNG ĐÔNG ĐẶC
2. áp xe phổi. Là tình trạng mưng mủ của nhu mô phổi bị
viêm.
• Nguyên nhân trực tiếp là các loại vi khuẩn gay mủ ưa khí
hoặc kị khí.
• X-quang thấy hình mờ ở phổi, hoặc nhiều ổ áp xe.
• Tới giai đoạn thoát mủ ra ngoài, có thể thấy hình hang
với với mực nước ngang các ổ ở áp xe.
HỘI CHỨNG ĐÔNG ĐẶC
3. Lao phổi. gây đông đặc ở một hoặc nhiều nơi trên phổi
và tiến triển mạn tính.
• người bệnh sốt dai dẳng, suy kiệt.
• Trong đàm có thể tìm được trực khuẩn lao.
HỘI CHỨNG ĐÔNG ĐẶC
4. Xẹp phổi do chèn ép phế quản.
• trường hợp tiến triển mạn tính, nhưng hạch to gây chèn
ép, hoặc xẹp một phân thuỳ phổi, chẩn đoán chủ yếu dựa
vào X-quang.
• Nếu xẹp phổi do tắc đột ngột một phế quản lớn như hít
phải một dị vật, cục máu chít phế quản sau khi ho ra máu,
triệu chứng đầu tiên là khó thở dữ dội, khám thực
thể thấy xuất hiện hội chứng ba giảm như trong tràn
dịch màng phổi, và di động lồng ngực bện xẹp kém rõ rệt.
HỘI CHỨNG ĐÔNG ĐẶC
5. Nhồi máu động mạch phổi
• Tắc một nhánh động mạch phổi. thường gặp trong một
số bệnh có tình trạng máu dễ đông như hẹp van hai lá,
sau khi mổ, nhất là mổ ở vùng tiểu khung, và ở một số
người sau đẻ.
• Triệu chứng điển hình là khó thở, đau ngực đột ngột khạc
ra máu tím đen, có thể sốc.
• Khám thấy một vùng đông đặc.
HỘI CHỨNG ĐÔNG ĐẶC
Hội chứng đông đặc điển hình trên lâm sàng nhờ ba triệu
chứng chính:
• Gõ đục.
• Rung thanh tăng.
• Rì rào phế nang giảm.
HỘI CHỨNG HẠN CHẾ VÀ HỘI
CHỨNG TẮC NGHẼN
• Là các biểu hiện của rối loạn thông khí, xác định dựa trên
đo chức năng thông khí.
• Rối loạn thông khí kiểu hạn chế ( gặp trong trường hợp
sau cắt một phần phổi, xơ phổi, xẹp phổi do tắc nghẽn,
giãn phế nang...)
• Rối loạn thông khí kiểu tắc nghẽn ( gặp trong hen, viêm
tiểu phế quản ...)
• Ngoài ra có kiểu rối loạn thông khí hỗn hợp như trong
COPD
TẮC NGHẼN HÔ HẤP TRÊN
Lâm sàng
• Khó thở.
• Tiếng rít thanh khí quản (stridor):
• Thở nhanh nông hoặc thở chậm.
• Trường hợp nặng có thể thấy biểu hiện ngạt thở, thở
ngáp.
• Vã mồ hôi.
• Co kéo các cơ hô hấp phụ.
• Trường hợp nặng rối loạn ý thức
• Tím môi đầu chi (dấu hiệu muộn).
• Khám thực thể có thể nghe thấy tiếng rít thanh khí quản,
kèm theo nghe phổi thấy rì rào phế nang giảm cả hai bên.
TẮC NGHẼN HÔ HẤP TRÊN
• Nguyên nhân nội sinh:
– Do sập các tổ chức phần mềm vùng họng miệng (giảm
trương lực cơ, gẫy xương hàm).
– Phù thanh quản/co thắt thanh quản.
– Viêm sụn nắp thanh quản cấp, viêm thanh quản cấp,
bạch hầu thanh quản.
– Liệt dây thanh âm hai bên.
– Dị ứng gây phù niêm mạc họng và khí quản, thường do
phản ứng dị ứng khi bị ong đốt, kháng sinh …
– Chấn thương thanh quản, khối u thanh quản.
TẮC NGHẼN HÔ HẤP TRÊN
• Nguyên nhân ngoại sinh
– Phù mạch kiểu
- Ổ mủ vùng hầu họng.
– Khối máu tụ (do rối loạn đông máu, chấn thương, phẫu
thuật).
– U tuyến giáp.
– U hạch.
– U hoặc dị vật thực quản.
TẮC NGHẼN HÔ HẤP TRÊN
• Di vật -Thức ăn.
– Đồ chơi với trẻ em hoặc bất kì đồ vật gì với các bệnh
nhân sa sút trí tuệ hoặc bệnh nhân tâm thần.
• Các thăm dò giúp chẩn đoán nguyên nhân
– Soi thanh quản.
– Soi khí phế quản.
– Chụp Xquang.
TẮC NGHẼN HÔ HẤP DƢỚI
• Chèn ép phế quản từ bên ngoài: hạch khí phế quản to,
tim to (tràn khí dịch màng tim)…
• Chèn ép từ bên trong phế quản: U ác hoặc lành tính, dị
vật, viêm mạn tính gây co kéo (lao) hoặc bán cấp (bạch
hầu, sinh giả mạc).
• Tiết dịch tăng bị ứ trệ: Ho ra máu, phế quản bị cục máu
bịt kín. Viêm phế quản-phổi.
TẮC NGHẼN HÔ HẤP DƢỚI
Lâm sàng
• Ho khó thở:trong cơn hen, khó thở ở hai thì hô hấp.
• Quan sát thấy: người bệnh mặt tím lại, vã mồ hôi, cánh
mũi phập phồng có kéo cơ hô hấp phụ
• Nghe: nếu tắc hoàn toàn, cả một vùng trên lồng ngực
không có rì rào phế nang.
• Tắc không hoàn toàn: ran ngáy ran rít
TẮC NGHẼN HÔ HẤP DƢỚI
Xquang:
• Có thể thấy hình ảnh xẹp phổi trong tắc hoàn toàn.
• Nếu tắc không hoàn toàn, không khí vào nhưng không ra
được, nên sẽ có tình trạng ứ khí.
Xẹp toàn bộ Vừa tràn khí vừa xẹp
Dị vật phế quản
Hình ảnh ứ khí 2 bên
CA LÂM SÀNG
1. Bé gái 8 tháng bệnh 2 ngày ho, sốt nhẹ. Khám: môi
hồng, khàn tiếng, thở rít hít vào, sốt nhẹ, phổi thô, thở
không kéo hô hấp, XQ phổi thẳng hình ảnh nóc nhà
thờ(Steeple sign).
• Hội chứng gì?
• Chẩn đoán?
CA LÂM SÀNG
2. Trai 8 tuổi bệnh 1 tuần ho, sốt cao, khó thở, đau ngực P.
Khám tỉnh, sốt cao, thở nhanh co lõm ngực 32l/p, phế âm
giảm đáy phổi P, gõ đục, rung thanh giảm.
• Hội chứng gì?
• Chẩn đoán có thể?
• Cần làm thêm gì?
CA LÂM SÀNG
3. Trai 1,5 tuổi, đang chơi với chị gái 7 tuổi trong phòng đột
ngột ho, sặc sụa, đỏ mặt, khóc bứt rứt, tái môi -> bv ndd1-
>khám còn ho nhiều, không sốt, thở co kéo có hô hấp phụ,
khò khè, nghe phổi phế âm P giảm.
• Hội chứng?
• Chẩn đoán?
CA LÂM SÀNG
4. Bé gái 3 tuổi bệnh 2 ngày ho, thở mệt, cơn ho thường về
đêm làm bé thức giấc, ngày càng nhiều-> ndd1. Khám ls
không sốt, ho nhiều, môi hồng, khó thở 2 thì chủ yếu thì
thở ra, nhịp thở 45 l/p, co kéo cơ hô hấp phụ. Phổi nghe
ran ngáy, ran rít. TC: không hít sặc, một tháng nay cũng
hay ho về đêm, sanh đủ tháng, phát triển bình thường, mẹ
bị suyễn lúc nhỏ.
• Hội chứng gì?
• Chẩn đoán?
• XQ có thể thấy hình ảnh gì?

CÁC HỘI CHỨNG HÔ HẤP THƯỜNG GẶP

  • 1.
    CÁC HỘI CHỨNGHÔ HẤP THƢỜNG GẶP GV: ThS.Bs. Nguyễn Thị Thu Sương BM Nhi
  • 2.
    MỤC TIÊU • Nhậnbiết triệu chứng của một số hội chứng thường gặp trong bệnh lý hô hấp trẻ em • Phân biệt hình ảnh các hội chứng hô hấp trên phim XQ ngực • Một số nguyên nhân bệnh lý có liên quan
  • 3.
    TRÀN DỊCH MÀNGPHỔI • Ở màng phổi: khoang ảo. • Bình thường ít thanh dịch -> lá thành và lá tạng trượt lên nhau trong động tác hô hấp. • Bệnh lý -> xuất hiện các dịch trong khoảng ảo đó-> gọi là hội chứng tràn dịch mp.
  • 4.
    TRÀN DỊCH MÀNGPHỔI TRIỆU CHỨNG. 1. Cơ năng và toàn thể. • -Khi dịch ít, khoảng 200 – 300 ml, người bệnh hơi đau bên có tràn dịch, không khó thở, vẫn nằm ngửa, đầu thấp được, nhưng có khuynh hướng nằm nghiêng về bên lành để tránh đau . • Trung bình -> 700-800ml, thì có khó thở nhẹ, và người bệnh phải nằm nghiêng về bên đau. • Nhiều -> tình trạng khó thở nổi bật, người bệnh phải ngồi dậy thở nhanh, nông. • Bên cạnh những triệu chứng cơ năng có thể thấy sốt ít hoặc nhiều, mệt mỏi, tiếng ăn,v.v…
  • 5.
    TRÀN DỊCH MÀNGPHỔI Triệu chứng thực thể. • Trường hợp điển hình là tràn dịch màng phổi tự do, thể trung bình. - Nhìn: lồng ngực bên có tràn dịch hơi nhô lên, khoảng liên sườn rộng ra và kém di động. - Sờ: rung thanh giảm nhiều hoặc mất. - Gõ: đục rõ rệt
  • 6.
    TRÀN DỊCH MÀNGPHỔI Nghe: • Rì rào phế nang giảm nhiều hoặc mất hẳn ở vùng đục. • Có thể nghe tiếng cọ màng phổi lúc bắt đầu và giai đoạn rút nhiều nước. • Nếu tràn dịch ít và có đông đặc phổi, có thể nghe thấy tiếng thổi màng phổi và một số tiếng ran ẩm Tóm lại, có thể nghĩ tới tràn dịch màng phổi nếu có triệu chứng chủ yếu. • Rung thanh giảm hoặc mất. • Gõ đục. • Rì rào phế nang giảm hoặc mất.
  • 7.
    TRÀN DỊCH MÀNGPHỔI Các thể khu trú. Lâm sàng thường khó chẩn đoán • Tràn dịch liên thuỳ: không gây khó thở rõ rệt, dịch khu trú ở rãnh liên thuỳ. Có thể thấy hội chứng ba giảm lơ lửng ở lồng ngực. • Tràn dịch thể cơ hoành: dịch khu trú ở giữa nền phổi và cơ hoành. Người bệnh có thể đau bụng, nấc. Không rõ hội chứng ba giảm. • Tràn dịch thể trung thất: dịch khu trú ở một phần, hoặc toàn bộ góc phổi- trung thất. Người bệnh thường khó thở nhiều. Có thể chú ý gõ thấy đục một vùng cạnh ức hoặc cột sống.
  • 8.
    TRÀN DỊCH MÀNGPHỔI Xquang • Tuỳ dịch nhiều hoặc ít sẽ thấy diện mờ lớn hoặc nhỏ • Nếu dịch ít, lâm sàng có thể không phát hiện được, nhưng trên Xquang thấy mờ góc sườn hoành • Nếu dịch trung bình, có thể thấy đường cong Damoiseau. • Nếu dịch nhiều: thấy nửa lồng ngực bị mờ, khoảng liên sườn rộng ra, rất kém di động, tim bị đẩy sang trái hoặc sang phải. • Tràn dịch khu trú: có thể thấy được hình ảnh tràn dịch trên Xquang bằng những hình mờ tương ứng với nơi tràn dịch
  • 11.
    TRÀN DỊCH MÀNGPHỔI • Chọc dò dịch màng phổi -> giúp chẩn đoán xác định, chẩn đoán nguyên nhân, và điều trị đối với trường hợp khó thở do tràn dịch trung bình, nhiều.
  • 12.
    TRÀN DỊCH MÀNGPHỔI Chẩn đoán xác định: -> chọc màng phổi có dịch. • phân biệt với: • - Viêm phổi có biểu hiện ba giảm (xem hội chứng đông đặc). • - Xẹp phổi.
  • 14.
    TRÀN KHÍ MÀNGPHỔI TRIỆU CHỨNG CƠ NĂNG. • đau lói ở ngực đột ngôt • khó thở. • Có thể sốc do chèn ép trung thất
  • 15.
    TRÀN KHÍ MÀNGPHỔI TRIỆU CHỨNG THỰC THỂ • 1. Nhìn: nửa ngực bị tràn khí thì lồng ngực bất động, khoảng liên sườn giãn ra, ngực bên đó cũng phình ra. • 2. Sờ: Rung thanh mất. • 3. Gõ: tiếng vang-> dấu hiệu điển hình • 4. Nghe: triệu chứng chủ yếu là mất tiếng rì rào phế nang. • Ba triệu chứng: Rung thanh mất hay giảm; Rì rào phế nang mất; Tiếng gõ vang -> Hợp thành tam chứng Galliard.
  • 16.
    TRÀN KHÍ MÀNGPHỔI XQUANG • Tăng sáng bên có TKMP. • Khoảng liên sườn giãn • Phổi bị co lại thành một cục xẹp xuống sát rốn phổi. • Cơ hoành không di động và bị đẩy xuống, • Trung thất bị đẩy sang bên lành
  • 19.
    TRÀN KHÍ MÀNGPHỔI NGUYÊN NHÂN • 1. Do lao: phần lớn (60%) tràn khí màng phổi tự phát là do lao. Nó có thể là bệnh cảnh mở đầu một quá trình lao, nhưng thường là biến chứng của một bệnh lao phổi tiến triển. • 2. không rõ nguyên nhân: thường xảy ra ở người trẻ, khoẻ mạnh. Tràn khí toàn bộ một bên ổ màng phổi không tiến triển thành một tràn dịch, hay tái phát, người ta cho rằng có thể ;là do kén hơi ở phổi vỡ ra. • 3. Các bệnh khác: Áp xe phổi vỡ ra ở màng phổi, ho gà…
  • 20.
    HỘI CHỨNG ĐÔNGĐẶC HỘI CHỨNG ĐÔNG ĐẶC. • Đông đặc phổi là một tình trạng bệnh lý ở nhu mô phổi có thể phát hiện được trên lâm sàng và Xquang.
  • 21.
    HỘI CHỨNG ĐÔNGĐẶC • ĐỊNH NGHĨA. • Bình thường nhu mô phổi xốp. Trong một số trường hợp bệnh lý, tỉ trọng của nhu mô phổi tăng lên ở một vùng lớn hoặc nhỏ -> hội chứng đông đặc. • Cơ chế hội chứng: khi nhu mô phổi bị viêm, các phế nang vùng tổn thương xung huyết chứa đầy tiết dịch ->đặc và có tỷ trọng cao hơn bình thường.
  • 22.
    HỘI CHỨNG ĐÔNGĐẶC TRƢỜNG HỢP ĐIỂN HÌNH Các dấu hiệu thường gặp là: • Rung thanh tăng. • Gõ đục ít nhiều. • Rì rào phế nang giảm. • Rung thanh tăng vì nhu mô phổi đặc -> dẫn truyền tiếng rung thanh âm xa hơn. • Gõ đục vì phế nang chứa nhiều tiết dịch, ít không khí. • Rì rào phế nang giảm vì các phế nang bị viêm, nay tiết dịch nên luồng không khí lưu thông bị cản trở.
  • 23.
    HỘI CHỨNG ĐÔNGĐẶC XQUANG • Chủ yếu là những hình mờ chiếm một vùng hoặc rải rác trên phế trường -> chiếm một phân thuỳ, hay một bên phổi. • Mật độ hình mờ có thể đều hoặc không đều, ranh giới rõ rệt hoặc không. • Ngoài ra còn phải quan sát các tạng lân cận: một hình mờ lớn ở một bên phổi kèm theo co rút cơ hoành, trung thất và các khoảng liên sườn -> đông đặc co rút. • Nếu các tạng lân cận bị đẩy -> đó là tràn dịch màng phổi.
  • 24.
  • 25.
  • 26.
  • 27.
  • 28.
    HỘI CHỨNG ĐÔNGĐẶC NGUYÊN NHÂN • viêm phổi không do lao: điển hình viêm phổi thùy • áp xe phổi • lao phổi • nhồi máu động mạch phổi • chén ép phế quản do hạch to, khối u…
  • 29.
    HỘI CHỨNG ĐÔNGĐẶC 1. viêm phổi không do lao: viêm phổi thuỳ cấp do phế cầu thường gay ra hội chứng đông đặc điển hình
  • 30.
    HỘI CHỨNG ĐÔNGĐẶC 2. áp xe phổi. Là tình trạng mưng mủ của nhu mô phổi bị viêm. • Nguyên nhân trực tiếp là các loại vi khuẩn gay mủ ưa khí hoặc kị khí. • X-quang thấy hình mờ ở phổi, hoặc nhiều ổ áp xe. • Tới giai đoạn thoát mủ ra ngoài, có thể thấy hình hang với với mực nước ngang các ổ ở áp xe.
  • 31.
    HỘI CHỨNG ĐÔNGĐẶC 3. Lao phổi. gây đông đặc ở một hoặc nhiều nơi trên phổi và tiến triển mạn tính. • người bệnh sốt dai dẳng, suy kiệt. • Trong đàm có thể tìm được trực khuẩn lao.
  • 32.
    HỘI CHỨNG ĐÔNGĐẶC 4. Xẹp phổi do chèn ép phế quản. • trường hợp tiến triển mạn tính, nhưng hạch to gây chèn ép, hoặc xẹp một phân thuỳ phổi, chẩn đoán chủ yếu dựa vào X-quang. • Nếu xẹp phổi do tắc đột ngột một phế quản lớn như hít phải một dị vật, cục máu chít phế quản sau khi ho ra máu, triệu chứng đầu tiên là khó thở dữ dội, khám thực thể thấy xuất hiện hội chứng ba giảm như trong tràn dịch màng phổi, và di động lồng ngực bện xẹp kém rõ rệt.
  • 33.
    HỘI CHỨNG ĐÔNGĐẶC 5. Nhồi máu động mạch phổi • Tắc một nhánh động mạch phổi. thường gặp trong một số bệnh có tình trạng máu dễ đông như hẹp van hai lá, sau khi mổ, nhất là mổ ở vùng tiểu khung, và ở một số người sau đẻ. • Triệu chứng điển hình là khó thở, đau ngực đột ngột khạc ra máu tím đen, có thể sốc. • Khám thấy một vùng đông đặc.
  • 34.
    HỘI CHỨNG ĐÔNGĐẶC Hội chứng đông đặc điển hình trên lâm sàng nhờ ba triệu chứng chính: • Gõ đục. • Rung thanh tăng. • Rì rào phế nang giảm.
  • 35.
    HỘI CHỨNG HẠNCHẾ VÀ HỘI CHỨNG TẮC NGHẼN • Là các biểu hiện của rối loạn thông khí, xác định dựa trên đo chức năng thông khí. • Rối loạn thông khí kiểu hạn chế ( gặp trong trường hợp sau cắt một phần phổi, xơ phổi, xẹp phổi do tắc nghẽn, giãn phế nang...) • Rối loạn thông khí kiểu tắc nghẽn ( gặp trong hen, viêm tiểu phế quản ...) • Ngoài ra có kiểu rối loạn thông khí hỗn hợp như trong COPD
  • 36.
    TẮC NGHẼN HÔHẤP TRÊN Lâm sàng • Khó thở. • Tiếng rít thanh khí quản (stridor): • Thở nhanh nông hoặc thở chậm. • Trường hợp nặng có thể thấy biểu hiện ngạt thở, thở ngáp. • Vã mồ hôi. • Co kéo các cơ hô hấp phụ. • Trường hợp nặng rối loạn ý thức • Tím môi đầu chi (dấu hiệu muộn). • Khám thực thể có thể nghe thấy tiếng rít thanh khí quản, kèm theo nghe phổi thấy rì rào phế nang giảm cả hai bên.
  • 37.
    TẮC NGHẼN HÔHẤP TRÊN • Nguyên nhân nội sinh: – Do sập các tổ chức phần mềm vùng họng miệng (giảm trương lực cơ, gẫy xương hàm). – Phù thanh quản/co thắt thanh quản. – Viêm sụn nắp thanh quản cấp, viêm thanh quản cấp, bạch hầu thanh quản. – Liệt dây thanh âm hai bên. – Dị ứng gây phù niêm mạc họng và khí quản, thường do phản ứng dị ứng khi bị ong đốt, kháng sinh … – Chấn thương thanh quản, khối u thanh quản.
  • 39.
    TẮC NGHẼN HÔHẤP TRÊN • Nguyên nhân ngoại sinh – Phù mạch kiểu - Ổ mủ vùng hầu họng. – Khối máu tụ (do rối loạn đông máu, chấn thương, phẫu thuật). – U tuyến giáp. – U hạch. – U hoặc dị vật thực quản.
  • 40.
    TẮC NGHẼN HÔHẤP TRÊN • Di vật -Thức ăn. – Đồ chơi với trẻ em hoặc bất kì đồ vật gì với các bệnh nhân sa sút trí tuệ hoặc bệnh nhân tâm thần. • Các thăm dò giúp chẩn đoán nguyên nhân – Soi thanh quản. – Soi khí phế quản. – Chụp Xquang.
  • 41.
    TẮC NGHẼN HÔHẤP DƢỚI • Chèn ép phế quản từ bên ngoài: hạch khí phế quản to, tim to (tràn khí dịch màng tim)… • Chèn ép từ bên trong phế quản: U ác hoặc lành tính, dị vật, viêm mạn tính gây co kéo (lao) hoặc bán cấp (bạch hầu, sinh giả mạc). • Tiết dịch tăng bị ứ trệ: Ho ra máu, phế quản bị cục máu bịt kín. Viêm phế quản-phổi.
  • 42.
    TẮC NGHẼN HÔHẤP DƢỚI Lâm sàng • Ho khó thở:trong cơn hen, khó thở ở hai thì hô hấp. • Quan sát thấy: người bệnh mặt tím lại, vã mồ hôi, cánh mũi phập phồng có kéo cơ hô hấp phụ • Nghe: nếu tắc hoàn toàn, cả một vùng trên lồng ngực không có rì rào phế nang. • Tắc không hoàn toàn: ran ngáy ran rít
  • 43.
    TẮC NGHẼN HÔHẤP DƢỚI Xquang: • Có thể thấy hình ảnh xẹp phổi trong tắc hoàn toàn. • Nếu tắc không hoàn toàn, không khí vào nhưng không ra được, nên sẽ có tình trạng ứ khí.
  • 44.
    Xẹp toàn bộVừa tràn khí vừa xẹp
  • 45.
  • 46.
    Hình ảnh ứkhí 2 bên
  • 47.
    CA LÂM SÀNG 1.Bé gái 8 tháng bệnh 2 ngày ho, sốt nhẹ. Khám: môi hồng, khàn tiếng, thở rít hít vào, sốt nhẹ, phổi thô, thở không kéo hô hấp, XQ phổi thẳng hình ảnh nóc nhà thờ(Steeple sign). • Hội chứng gì? • Chẩn đoán?
  • 48.
    CA LÂM SÀNG 2.Trai 8 tuổi bệnh 1 tuần ho, sốt cao, khó thở, đau ngực P. Khám tỉnh, sốt cao, thở nhanh co lõm ngực 32l/p, phế âm giảm đáy phổi P, gõ đục, rung thanh giảm. • Hội chứng gì? • Chẩn đoán có thể? • Cần làm thêm gì?
  • 49.
    CA LÂM SÀNG 3.Trai 1,5 tuổi, đang chơi với chị gái 7 tuổi trong phòng đột ngột ho, sặc sụa, đỏ mặt, khóc bứt rứt, tái môi -> bv ndd1- >khám còn ho nhiều, không sốt, thở co kéo có hô hấp phụ, khò khè, nghe phổi phế âm P giảm. • Hội chứng? • Chẩn đoán?
  • 50.
    CA LÂM SÀNG 4.Bé gái 3 tuổi bệnh 2 ngày ho, thở mệt, cơn ho thường về đêm làm bé thức giấc, ngày càng nhiều-> ndd1. Khám ls không sốt, ho nhiều, môi hồng, khó thở 2 thì chủ yếu thì thở ra, nhịp thở 45 l/p, co kéo cơ hô hấp phụ. Phổi nghe ran ngáy, ran rít. TC: không hít sặc, một tháng nay cũng hay ho về đêm, sanh đủ tháng, phát triển bình thường, mẹ bị suyễn lúc nhỏ. • Hội chứng gì? • Chẩn đoán? • XQ có thể thấy hình ảnh gì?