Dr.farman ullah
PGR Urology
LRH.
Vesico-vaginal fistula
Vesicovaginal fistula (VVF) is an abnormal
opening between the bladder and the vagina that
results in continuous and unremitting urinary
incontinence.
Most common acquired fistula.
Ancient Egypt, before 2,000 years bc.
Described by Sims.
Background
1. High fistula
•juxta cervical
•Vault(vesico-uterine)
2. Mid vaginal fistula
3. Low fistula
•Bladder neck (urethra intact)
•Urethral involment(segmental i.e partial b.neck loss)
•Complete bladder neck loss(circumfrential fistula)
4. Massive vaginal fistula
•encompasses all three fistulas & may include one/both ureters in addition
Classification
according to site of fistula
Simple VVF Complex VVF
 <2-3cm in size
 Supra trigonal
 No hx of pelvic
malignancy or
radiation
 Vaginal length is
normal
 Healthy tissue
 Good access
 >3cm
 Trigonal or below
 Hx pelvic malignancy or
radiation
 Vaginal length shortened
 Associated with scarring
 Involving urethra,vesical
neck,ureter,intestinal
 Previouse unsuccesful
attempt of repair
Classification according to size
Small <2cm
Medium 2-3cm
Large 4-5cm
Extensive >6cm
congenital or acquired,
Congenital are very rare
and associated with other
urogenital malformations.
Obstetric =developing
world over 90 % of fistulas
are of obstetric etiology .
Surgical/gynaecological
=industrialized world, the
most common cause
(>75 %) gynaecologic and
pelvic surgeries.
Radiation Malignant
miscellaneous causes.
Causes/etiology
 VVF usually presents with continouse leak of urine per
vaginum(true incontinece) CLASSIC SYMPTOM
 immediate(post op) or delayed onset of leakage(post pelvic
radiations i.e months upto years)
 Leakage after surgical injury occur from the first post op
day
 Obstetrical fistula=symptoms takes 7-14days to develop
 Small fistula=leakage in certain postions and can also pass
urine normally
 Large fistula= pt may not void at all but leak
 Menouria i.e cyclic heamaturia at time of menstruation
may be present
 Recurrent cystitis, perineal skin irritation, vaginal fungal
infection
presentation
 History
(etiology gynae surgry,pelvic radiation,prolong
labour,trauma during labour,attempt of
repair,comorbidities)
 General & genital examinations
Genital/E==full vaginal inspection and include
assessment of tissue mobility,accessibility of the fistula to
vaginal repair; determination of the degree of tissue
inflammation, edema, and infection.
 CBC and Urine analysis, U.creatinine
 Urine for culture and sensitivity.
Investigations
 3 swab test
 intravenous urogram (IVU) is necessary to exclude
ureter injury or fistula because 10% of VVFs have
associated ureter fistulas.
 Ascending pyelography to fortify the findings of IVP.
 Modern imaging technique contarst CT and MRI have
limited value.
 Cystogram
 Cystoscopy gold standard=size ,shape , number and
location of fistulas.
Conservative management
Medical therapy
Surgical therapy
 Indications
i. Simple
ii. <2cm
iii. Dx within 7 days of index surgery
iv. Unrelated to carcinoma/radiations
 Continouse bladder drainage
i. by transurethral or suprapubic catheter
ii. Duration upto 30days
a. Small fistula may resolve sponte…
b. If fistula decreases in size=drainage for additional
2-3weeks
c. If no improvement in 30days=surgery
 Estrogen replacement therapy
 Local estrogen vaginal cream
 Antiboitics
 combination of (methanamine,methylen
blue,phenyl salicylate,benxoic acid) and
parasympatholytics(atropine
sulphate,hyoscyamine sulfate)
 Sitz bath
Good prognosis Uncertain prognosis
Multiple
Mixed (vvf+Rvf)
>4cm
Present
Extensive
Draining into vagina
Present
Present
Single
Vvf
<4cm
Absent
Minimal
Draining into bladder
Absent
Absent
No. of fistula
Site
Size
Vaginal scarring
Tissue loss
Ureter involment
Urethral involment
Circumfrential defect
Vaginal
approach,
Vaginal Flap
splitting
Latzko technique
Saucerization
Abdominal
approach,
Transvesical
•vertical cystotomy
•excision of VVF track
transvesically
Tansperitoneal
Combined
The laparoscopic approach
Robotic approach
Electrocautry fulgurations
•fistula small in size
•vaginal and cystoscopic route
=fulguration=foleys catheter
placement for 2-3 weeks
Endoscopic closure using fibrin glue
usefule and safe for intaractable fistula
using interposition flaps or grafts
Martius flap
•consists of adipose and connective tissue,fistula
involving trigone, bladder neck and urethra blood
supply
For repair of big fistula,post radiation fistula
Aim
• To support fistula repair
• To fill dead space
• To bring in new blood supply to area of repair
Grafts
• Martius graft-labial fats and bulbocavernous muscle
• Gracils
• Omental graft
• Rectus abdominis
• Peritoneal flap graft
Pedical interpostion grafts
Dictum is that best to repair the fistula at its first closure during index
surgery
Obstetrical fistula 3 months after delivery
Surgical/gynaecolgical fistula
• If recognise within 48hrs-can be repaired immediately as the tissue is more
mobile, have less inflammation.
• Otherwise repair after 10-12weeks
Radiation fistula after 12 months
If repair fails reattempt after 3months
Mid vaginal transvginal
High vaginal
Post hystrectomy/juxta cervical abdominal/vaginal
low fistula vaginal
urethral
juxtaurethral
Circumfrential combined
Loss of bladder neck abdomino-vaginal
High inacessible fistula
Multiple fistula
Involment of uterus or bowel
Need for ureter re-implatation
Complex fistula
Associated pelvic pathology
Surgeon prefrence
Vaginal=avoids laparotomy and splitting of the bladder
recovery is shorter with less morbidity,
Less blood loss and postoperative bladder irritability.
procedure can be done in an outpatient setting;
postoperative pain is minimal
results as successful as those of the abdominal approach are.
vaginal shortening may be an issue with some types of vaginal VVF repairs,
including the Latzko operation.
Vaginal vs abdominal Approachs
1.Inadequate exposure related to a high or retracted fistula in a narrow
vagina.
2. Close proximity of the fistulous tract to the ureter.
3. Associated pelvic pathology requiring simultaneous abdominal surgery
4. Multiple and recurrent fistulas
5. Supratrigonal location
6.Surgeon's inexperience with vaginal surgery.
Abdominal approach
Good exposure , spot less bright light .
surgeons experience with best route as well as location/size/number/associated uretric fistula.
Mobilization of bladder.
Excision of scar tissue.
Tension free suturing.
Closure in layers.
Interposition of flaps or grafts—omentum , muscle etc.
Postoperative continuous bladder drainage for 2-3 weeks
Principal of repair
Adequate urinary tract drainage.
prevention of infection(Appropriate use of antimicrobials).
Maintenance of haemostasis.
Wide mobilization of the vaginal epithelium to expose the
bladder
Excision of scar tissue.
Factor affecting successful outcome
A: A longitudinal incision is placed in the bladder dome. B: The incision is
extended around the fistula. The fistulous tract and its vaginal orifice are
completely excised. C: Interrupted delayed-absorbable sutures are used to
close the vagina in one or two layers.
D: Continuous delayed-absorbable suture closes the bladder mucosa
longitudinally. E: A suprapubic catheter is placed into the bladder in an extra
peritoneal location.
F: The bladder muscularis is closed with delayed-absorbable continuous or
interrupted sutures. G: An omental flap can be interposed between the bladder
closure and the vaginal closure.
A: Ureters have been catheterized. An incision through the
vaginal epithelium is made circumferentially around the
fistula. B: The vaginal epithelium is widely mobilized from
the bladder. The scarred fistula tract should be excised.
C: A continuous (or interrupted) delayed-absorbable suture
inverts the mucosa into the bladder. D: A second suture line
is placed in the musculofascial layer to reinforce the first.
Vaginal epithelium is trimmed and approximated
Latzko technique for a closure of a simple vesicovaginal
fistula. (A)A circumferential incision is made around the
fistula. The fistula is not excised. B: The vaginal epithelium
is mobilized approximately 2 cm from the fistula.
C: Delayed-absorbable interrupted mattress sutures are
placed parallel to the edge of the fistula tract to invert it
into the bladder. D: One or two additional rows of suture
approximate the musculofascial layer of the bladder.
The vaginal epithelium is closed transversely with
interrupted delayed-absorbable sutures.
A: The lateral margin of the labia majora is incised vertically) The fat
pad adjacent to the bulbocavernosus muscle is mobilized, leaving a
broad pedicle attached at the inferior pole.
C: The fat pad is drawn through a tunnel beneath the labia minor and
vaginal mucosa and sutured with delayed-absorbable sutures to the
fascia of the urethra and bladder. D: The vaginal mucosa is mobilized
widely to permit closure over the pedicle without tension. The vulvar
incision is closed with interrupted delayed-absorbable sutures.
The bladder should be drained for14-21 days.
Excellent hydration to ensure irrigation of the bladder and
to prevent clots that could obstruct the bladder.
Catheter blockage should be prevented so that there is no
bladder distension and tension on the suture lines.
Supra-pubic catheter may be used for fistula.
Cystogram is to evaluate the integrity of the bladder
before discontinuing the bladder drainage.
Postoperative care
 Contraceptive advice i.e spacing for 1-2 years.
 Abstenence for 3 month.
 Maintain hygeine.
 If pregnancy occurs elective C/section is
indicated as when fetus attains maturity.
 Woman who had repair of obstetrical fistula may
develop UTIs, DUB and other gynae problems
like other population, should go for medical Rx
and when pelvic surgery is indicated should be
done by experienced surgeon.
Instruction on discharge
2 to 3 weeks from surgery is an
adequate time period for postoperative
imaging.
6 weeks & 12 weeks.
Followup
Adequate exposure of the operative field should be obtained to
avoid inadvertent organ injury and to ensure early identification of
any injury ocurred.
Minimize bleeding and hematoma formation.
Widely mobilize the bladder from the vagina to diminish
the risk of suture placement into the bladder wall
Factors affecting successful outcome
Adequate urinary tract drainage and catheterisation .
Treatment and prevention of infection (Appropriate use of
antimicrobials).
Wide mobilization of the vaginal epithelium to expose the
bladder
Excise all scar tissue, even at the risk of increasing the size of
the fistula in an attempt to create a fresh bladder injury•(this
recommendation is not universally acceptable)
Factor affecting successful outcome
 General factors that increase the risk complications
 Obesity
 Smoking
 Advancing age
 Poorly controlled diabetes
 Chronic kidney disease pt
 Chronic liver disease pt
 Hypertension
 Poor nutritional status
 Bleeding disorders
 Chronic illness,chronic infections
 Poor immune system
Factors affecting successful outcome
early
•Excessive bleeding
•Surgical wound infection
•Urinary tract infection
•Continued urine leakage through the fistula
Late
•Risks of abdominal and pelvic adhesions (if abdminal approach is
used)
•Risks of dyspareunia and tenderness (if vaginal approach is used)
•Reduced vaginal length/ shortening and stenosis(if vaginal approach
is used)
Post op complications
1. Surgeons involved in VVF repair should
have enough training, skills, and experience
to select an appropriate procedure for each
patient.
2. Attention should be given to skin care,
nutrition, rehabilitation, counselling and
support prior to and following fistula repair.
3. If a VVF is diagnosed within six weeks of
surgery, consider catheterisation for 12
weeks after the causative event.
EUA guidelines 2016
4. Tailor the timing of fistula repair to the
individual pt & surgeon requirements once
any oedema, inflammation, tissue necrosis, or
infection, are resolved.
5. Where ureteric re-implantation or
augmentation cystoplasty are required, the
abdominal approach is necessary.
Conti…..
6. Ensure that the bladder is continuously
drained following fistula repair until healing
is confirmed
(10-14 days for simple and/or postsurgical fistulae;
14-21 days for complex and/or post-radiation
fistulae).
7. if urinary or faecal diversions are required,
avoid using irradiated tissue for repair.
8. Use interposition grafts when repair of
radiation associated fistulae is undertaken.
Conti……
•25post hystrectomy
•4post c/section
•1post forcep delivery
From january
2016-jan 2017
•High/low/combined =20/8/2
•Recurrant =2
Classification
•Transabdominal/transvesicalApproach
Our experience
•6weeks
•12weeks
Post op
follow up
•2pts
Lost to
follow up
•100% if no previouse
intervention.
Success
rate
After iatrogenic VVF, bladder drainage and conservative
trail is mandatory for 3-12weeks.
It helps in healing of small fistulas & allow time for
decrease in inflammatory process & adequate tissue
vascularity for proper post operative healing of VVF.
We conclude that open trans vesical repair of VVF is safe &
effective method of VVF repair e upto 100% success rate
especially if there is no previouse intervention.
Conclusion
Keep smiling
Thanks to ALL

Vesico vaginal fistula

  • 1.
  • 2.
    Vesico-vaginal fistula Vesicovaginal fistula(VVF) is an abnormal opening between the bladder and the vagina that results in continuous and unremitting urinary incontinence.
  • 3.
    Most common acquiredfistula. Ancient Egypt, before 2,000 years bc. Described by Sims. Background
  • 4.
    1. High fistula •juxtacervical •Vault(vesico-uterine) 2. Mid vaginal fistula 3. Low fistula •Bladder neck (urethra intact) •Urethral involment(segmental i.e partial b.neck loss) •Complete bladder neck loss(circumfrential fistula) 4. Massive vaginal fistula •encompasses all three fistulas & may include one/both ureters in addition Classification according to site of fistula
  • 5.
    Simple VVF ComplexVVF  <2-3cm in size  Supra trigonal  No hx of pelvic malignancy or radiation  Vaginal length is normal  Healthy tissue  Good access  >3cm  Trigonal or below  Hx pelvic malignancy or radiation  Vaginal length shortened  Associated with scarring  Involving urethra,vesical neck,ureter,intestinal  Previouse unsuccesful attempt of repair
  • 6.
    Classification according tosize Small <2cm Medium 2-3cm Large 4-5cm Extensive >6cm
  • 7.
    congenital or acquired, Congenitalare very rare and associated with other urogenital malformations. Obstetric =developing world over 90 % of fistulas are of obstetric etiology . Surgical/gynaecological =industrialized world, the most common cause (>75 %) gynaecologic and pelvic surgeries. Radiation Malignant miscellaneous causes. Causes/etiology
  • 8.
     VVF usuallypresents with continouse leak of urine per vaginum(true incontinece) CLASSIC SYMPTOM  immediate(post op) or delayed onset of leakage(post pelvic radiations i.e months upto years)  Leakage after surgical injury occur from the first post op day  Obstetrical fistula=symptoms takes 7-14days to develop  Small fistula=leakage in certain postions and can also pass urine normally  Large fistula= pt may not void at all but leak  Menouria i.e cyclic heamaturia at time of menstruation may be present  Recurrent cystitis, perineal skin irritation, vaginal fungal infection presentation
  • 10.
     History (etiology gynaesurgry,pelvic radiation,prolong labour,trauma during labour,attempt of repair,comorbidities)  General & genital examinations Genital/E==full vaginal inspection and include assessment of tissue mobility,accessibility of the fistula to vaginal repair; determination of the degree of tissue inflammation, edema, and infection.  CBC and Urine analysis, U.creatinine  Urine for culture and sensitivity. Investigations
  • 11.
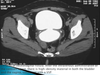
     3 swabtest  intravenous urogram (IVU) is necessary to exclude ureter injury or fistula because 10% of VVFs have associated ureter fistulas.  Ascending pyelography to fortify the findings of IVP.  Modern imaging technique contarst CT and MRI have limited value.  Cystogram  Cystoscopy gold standard=size ,shape , number and location of fistulas.
  • 16.
  • 17.
     Indications i. Simple ii.<2cm iii. Dx within 7 days of index surgery iv. Unrelated to carcinoma/radiations  Continouse bladder drainage i. by transurethral or suprapubic catheter ii. Duration upto 30days a. Small fistula may resolve sponte… b. If fistula decreases in size=drainage for additional 2-3weeks c. If no improvement in 30days=surgery
  • 18.
     Estrogen replacementtherapy  Local estrogen vaginal cream  Antiboitics  combination of (methanamine,methylen blue,phenyl salicylate,benxoic acid) and parasympatholytics(atropine sulphate,hyoscyamine sulfate)  Sitz bath
  • 19.
    Good prognosis Uncertainprognosis Multiple Mixed (vvf+Rvf) >4cm Present Extensive Draining into vagina Present Present Single Vvf <4cm Absent Minimal Draining into bladder Absent Absent No. of fistula Site Size Vaginal scarring Tissue loss Ureter involment Urethral involment Circumfrential defect
  • 20.
  • 21.
    The laparoscopic approach Roboticapproach Electrocautry fulgurations •fistula small in size •vaginal and cystoscopic route =fulguration=foleys catheter placement for 2-3 weeks
  • 22.
    Endoscopic closure usingfibrin glue usefule and safe for intaractable fistula using interposition flaps or grafts Martius flap •consists of adipose and connective tissue,fistula involving trigone, bladder neck and urethra blood supply
  • 23.
    For repair ofbig fistula,post radiation fistula Aim • To support fistula repair • To fill dead space • To bring in new blood supply to area of repair Grafts • Martius graft-labial fats and bulbocavernous muscle • Gracils • Omental graft • Rectus abdominis • Peritoneal flap graft Pedical interpostion grafts
  • 24.
    Dictum is thatbest to repair the fistula at its first closure during index surgery Obstetrical fistula 3 months after delivery Surgical/gynaecolgical fistula • If recognise within 48hrs-can be repaired immediately as the tissue is more mobile, have less inflammation. • Otherwise repair after 10-12weeks Radiation fistula after 12 months If repair fails reattempt after 3months
  • 25.
    Mid vaginal transvginal Highvaginal Post hystrectomy/juxta cervical abdominal/vaginal low fistula vaginal urethral juxtaurethral Circumfrential combined Loss of bladder neck abdomino-vaginal
  • 26.
    High inacessible fistula Multiplefistula Involment of uterus or bowel Need for ureter re-implatation Complex fistula Associated pelvic pathology Surgeon prefrence
  • 27.
    Vaginal=avoids laparotomy andsplitting of the bladder recovery is shorter with less morbidity, Less blood loss and postoperative bladder irritability. procedure can be done in an outpatient setting; postoperative pain is minimal results as successful as those of the abdominal approach are. vaginal shortening may be an issue with some types of vaginal VVF repairs, including the Latzko operation. Vaginal vs abdominal Approachs
  • 28.
    1.Inadequate exposure relatedto a high or retracted fistula in a narrow vagina. 2. Close proximity of the fistulous tract to the ureter. 3. Associated pelvic pathology requiring simultaneous abdominal surgery 4. Multiple and recurrent fistulas 5. Supratrigonal location 6.Surgeon's inexperience with vaginal surgery. Abdominal approach
  • 29.
    Good exposure ,spot less bright light . surgeons experience with best route as well as location/size/number/associated uretric fistula. Mobilization of bladder. Excision of scar tissue. Tension free suturing. Closure in layers. Interposition of flaps or grafts—omentum , muscle etc. Postoperative continuous bladder drainage for 2-3 weeks Principal of repair
  • 30.
    Adequate urinary tractdrainage. prevention of infection(Appropriate use of antimicrobials). Maintenance of haemostasis. Wide mobilization of the vaginal epithelium to expose the bladder Excision of scar tissue. Factor affecting successful outcome
  • 32.
    A: A longitudinalincision is placed in the bladder dome. B: The incision is extended around the fistula. The fistulous tract and its vaginal orifice are completely excised. C: Interrupted delayed-absorbable sutures are used to close the vagina in one or two layers.
  • 33.
    D: Continuous delayed-absorbablesuture closes the bladder mucosa longitudinally. E: A suprapubic catheter is placed into the bladder in an extra peritoneal location.
  • 34.
    F: The bladdermuscularis is closed with delayed-absorbable continuous or interrupted sutures. G: An omental flap can be interposed between the bladder closure and the vaginal closure.
  • 38.
    A: Ureters havebeen catheterized. An incision through the vaginal epithelium is made circumferentially around the fistula. B: The vaginal epithelium is widely mobilized from the bladder. The scarred fistula tract should be excised.
  • 39.
    C: A continuous(or interrupted) delayed-absorbable suture inverts the mucosa into the bladder. D: A second suture line is placed in the musculofascial layer to reinforce the first. Vaginal epithelium is trimmed and approximated
  • 40.
    Latzko technique fora closure of a simple vesicovaginal fistula. (A)A circumferential incision is made around the fistula. The fistula is not excised. B: The vaginal epithelium is mobilized approximately 2 cm from the fistula.
  • 41.
    C: Delayed-absorbable interruptedmattress sutures are placed parallel to the edge of the fistula tract to invert it into the bladder. D: One or two additional rows of suture approximate the musculofascial layer of the bladder.
  • 42.
    The vaginal epitheliumis closed transversely with interrupted delayed-absorbable sutures.
  • 43.
    A: The lateralmargin of the labia majora is incised vertically) The fat pad adjacent to the bulbocavernosus muscle is mobilized, leaving a broad pedicle attached at the inferior pole.
  • 44.
    C: The fatpad is drawn through a tunnel beneath the labia minor and vaginal mucosa and sutured with delayed-absorbable sutures to the fascia of the urethra and bladder. D: The vaginal mucosa is mobilized widely to permit closure over the pedicle without tension. The vulvar incision is closed with interrupted delayed-absorbable sutures.
  • 45.
    The bladder shouldbe drained for14-21 days. Excellent hydration to ensure irrigation of the bladder and to prevent clots that could obstruct the bladder. Catheter blockage should be prevented so that there is no bladder distension and tension on the suture lines. Supra-pubic catheter may be used for fistula. Cystogram is to evaluate the integrity of the bladder before discontinuing the bladder drainage. Postoperative care
  • 46.
     Contraceptive advicei.e spacing for 1-2 years.  Abstenence for 3 month.  Maintain hygeine.  If pregnancy occurs elective C/section is indicated as when fetus attains maturity.  Woman who had repair of obstetrical fistula may develop UTIs, DUB and other gynae problems like other population, should go for medical Rx and when pelvic surgery is indicated should be done by experienced surgeon. Instruction on discharge
  • 47.
    2 to 3weeks from surgery is an adequate time period for postoperative imaging. 6 weeks & 12 weeks. Followup
  • 48.
    Adequate exposure ofthe operative field should be obtained to avoid inadvertent organ injury and to ensure early identification of any injury ocurred. Minimize bleeding and hematoma formation. Widely mobilize the bladder from the vagina to diminish the risk of suture placement into the bladder wall Factors affecting successful outcome
  • 49.
    Adequate urinary tractdrainage and catheterisation . Treatment and prevention of infection (Appropriate use of antimicrobials). Wide mobilization of the vaginal epithelium to expose the bladder Excise all scar tissue, even at the risk of increasing the size of the fistula in an attempt to create a fresh bladder injury•(this recommendation is not universally acceptable) Factor affecting successful outcome
  • 50.
     General factorsthat increase the risk complications  Obesity  Smoking  Advancing age  Poorly controlled diabetes  Chronic kidney disease pt  Chronic liver disease pt  Hypertension  Poor nutritional status  Bleeding disorders  Chronic illness,chronic infections  Poor immune system Factors affecting successful outcome
  • 51.
    early •Excessive bleeding •Surgical woundinfection •Urinary tract infection •Continued urine leakage through the fistula Late •Risks of abdominal and pelvic adhesions (if abdminal approach is used) •Risks of dyspareunia and tenderness (if vaginal approach is used) •Reduced vaginal length/ shortening and stenosis(if vaginal approach is used) Post op complications
  • 52.
    1. Surgeons involvedin VVF repair should have enough training, skills, and experience to select an appropriate procedure for each patient. 2. Attention should be given to skin care, nutrition, rehabilitation, counselling and support prior to and following fistula repair. 3. If a VVF is diagnosed within six weeks of surgery, consider catheterisation for 12 weeks after the causative event. EUA guidelines 2016
  • 53.
    4. Tailor thetiming of fistula repair to the individual pt & surgeon requirements once any oedema, inflammation, tissue necrosis, or infection, are resolved. 5. Where ureteric re-implantation or augmentation cystoplasty are required, the abdominal approach is necessary. Conti…..
  • 54.
    6. Ensure thatthe bladder is continuously drained following fistula repair until healing is confirmed (10-14 days for simple and/or postsurgical fistulae; 14-21 days for complex and/or post-radiation fistulae). 7. if urinary or faecal diversions are required, avoid using irradiated tissue for repair. 8. Use interposition grafts when repair of radiation associated fistulae is undertaken. Conti……
  • 55.
    •25post hystrectomy •4post c/section •1postforcep delivery From january 2016-jan 2017 •High/low/combined =20/8/2 •Recurrant =2 Classification •Transabdominal/transvesicalApproach Our experience
  • 56.
    •6weeks •12weeks Post op follow up •2pts Lostto follow up •100% if no previouse intervention. Success rate
  • 57.
    After iatrogenic VVF,bladder drainage and conservative trail is mandatory for 3-12weeks. It helps in healing of small fistulas & allow time for decrease in inflammatory process & adequate tissue vascularity for proper post operative healing of VVF. We conclude that open trans vesical repair of VVF is safe & effective method of VVF repair e upto 100% success rate especially if there is no previouse intervention. Conclusion
  • 58.